Renoprotective Effects of Brown-Strain Flammulina velutipes Singer in Chronic Kidney Disease-Induced Mice Through Modulation of Oxidative Stress and Inflammation and Regulation of Renal Transporters
Abstract
1. Introduction
2. Results
2.1. Effect of FVB on Kidney Mass in Mice with Cisplatin-Induced Nephrotoxicity
2.2. Effects of FVB on BUN and CRE in Mice with Cisplatin-Induced Nephrotoxicity
2.3. Effect of FVB on Kidney Index in Mice with Cisplatin-Induced Nephrotoxicity
2.4. Effect of FVB on Renal Hematoxylin and Eosin (H&E)-Stained Sections of Mice with Cisplatin-Induced Nephrotoxicity
2.5. Effect of FVB on Renal Masson’s Trichrome-Stained Sections of Mice with Cisplatin-Induced Nephrotoxicity
2.6. Effects of FVB on Glutathione (GSH), Nitrite, and Malondialdehyde (MDA) in Kidneys with Cisplatin-Induced Nephrotoxicity
2.7. Effects of FVB on Cytokine Levels in Mice with Cisplatin-Induced Nephrotoxicity
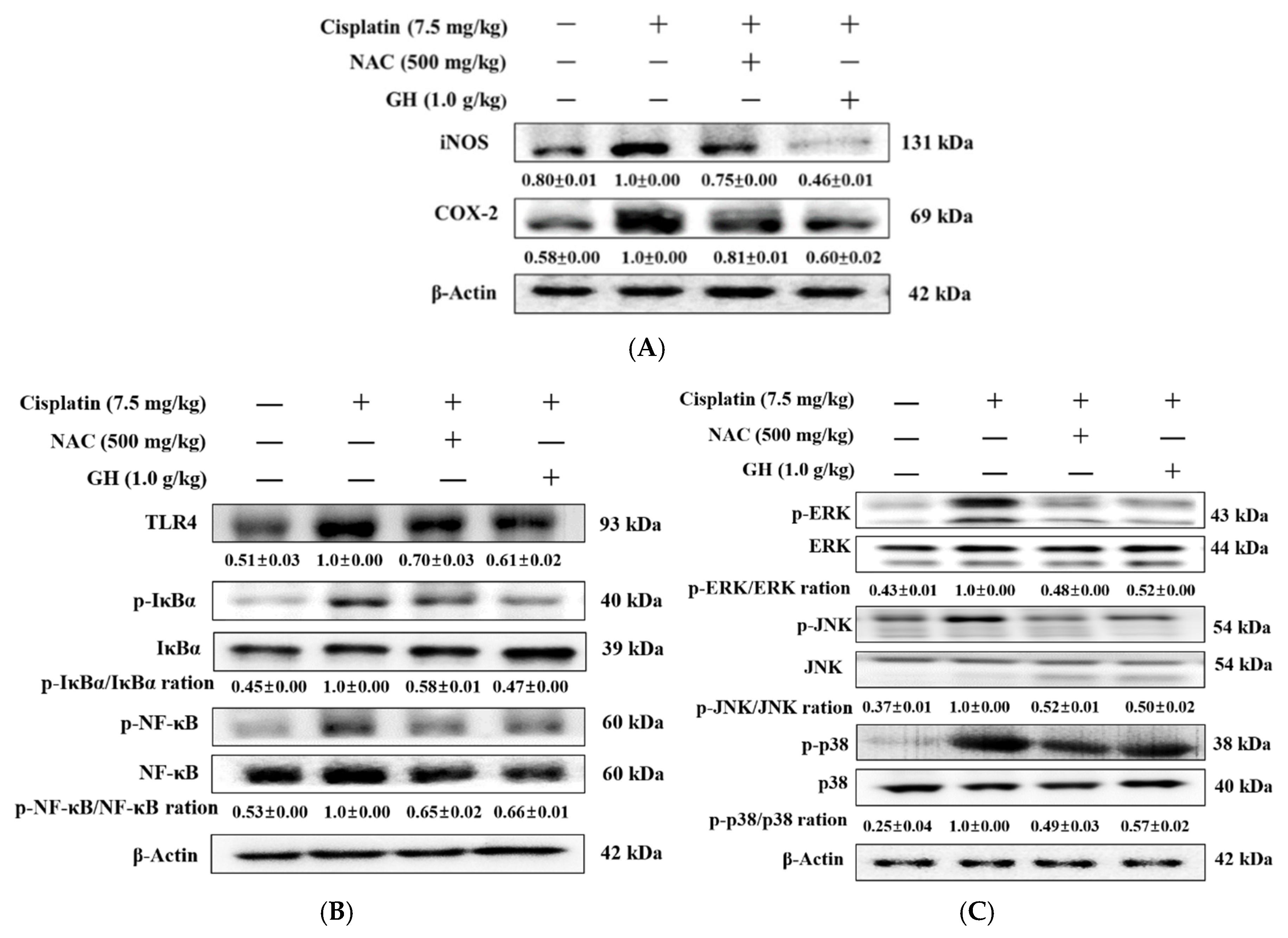
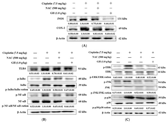
2.8. Effects of FVB on Inducible Nitric Oxide Synthase (iNOS) and Cyclooxygenase-2 (COX-2) in Mice with Cisplatin-Induced Nephrotoxicity
2.9. Effects of FVB on TLR4, IκBα, and NF-κB Levels in Mice with Cisplatin-Induced Nephrotoxicity
2.10. Effects of FVB on Extracellular Signal-Regulated Kinase (ERK), c-Jun NH2-Terminal Kinase (JNK), and p38 in Mice with Cisplatin-Induced Nephrotoxicity
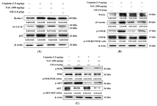
2.11. Effects of FVB on Beclin-1, Light Chain 3 (LC3)-I/II, and p62 in Mice with Cisplatin-Induced Nephrotoxicity
2.12. Effects of FVB on Wnt/β-catenin/Glycogen Synthase Kinase-3β (GSK3β) in Mice with Cisplatin-Induced Nephrotoxicity
2.13. Effects of FVB on PI3K and AKT in Mice with Cisplatin-Induced Nephrotoxicity
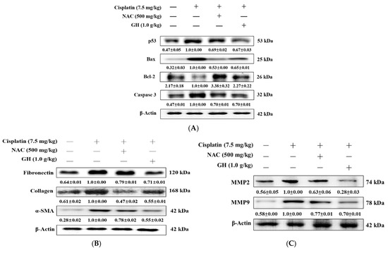
2.14. Effects of FVB on p53, Bax, Bcl-2, and Caspase-3 in Mice with Cisplatin-Induced Nephrotoxicity
2.15. Effects of FVB on Transforming Growth Factor-β (TGF-β) and SMAD3 in Mice with Cisplatin-Induced Nephrotoxicity
2.16. Effects of FVB on Matrix Metalloproteinase 2 (MMP2) and MMP9 in Mice with Cisplatin-Induced Nephrotoxicity
2.17. Effects of FVB on Fibronectin, Collagen, and α-Smooth Muscle Actin (SMA) in Mice with Cisplatin-Induced Nephrotoxicity
2.18. Effects of FVB on Nuclear Factor Erythroid–Related Factor 2 (Nrf2) and Heme Oxygenase-1 (HO-1) in Mice with Cisplatin-Induced Nephrotoxicity
2.19. Effects of FVB on Catalase, Glutathione Peroxidase 3 (GPx3), and Superoxide Dismutase Type 1 (SOD-1) in Mice with Cisplatin-Induced Nephrotoxicity
2.20. Effects of FVB on Organic Cation Transporters (OCTs) and Organic Anion Transporters (OATs) in Mice with Cisplatin-Induced Nephrotoxicity
2.21. Qualitative and Quantitative Analyses of FVB Extract by HPLC
3. Discussion
4. Materials and Methods
4.1. Sample Preparation
4.2. Chemicals and Reagents
4.3. Experimental Animal Design
4.4. Body Mass and Kidney/Body Mass Ratio
4.5. Histopathological Analysis and Scoring
4.6. Renal Function Analysis: BUN and CRE
4.7. GSH Analysis
4.8. MDA Analysis
4.9. Nitrite Analysis
4.10. Inflammatory Factor Analysis
4.11. Western Blotting
4.12. HPLC
4.13. Statistical Analysis
5. Conclusions
Supplementary Materials
Author Contributions
Funding
Institutional Review Board Statement
Informed Consent Statement
Data Availability Statement
Conflicts of Interest
Abbreviations
References
- Gur, C.; Kandemir, F.M.; Caglayan, C.; Satıcı, E. Chemopreventive effects of hesperidin against paclitaxel-induced hepatotoxicity and nephrotoxicity via amendment of Nrf2/HO-1 and caspase-3/Bax/Bcl-2 signaling pathways. Chem. Biol. Interact. 2022, 365, 110073. [Google Scholar] [CrossRef] [PubMed]
- Loren, P.; Lugones, Y.; Saavedra, N.; Saavedra, K.; Páez, I.; Rodriguez, N.; Moriel, P.; Salazar, L.A. MicroRNAs involved in intrinsic apoptotic pathway during cisplatin-induced nephrotoxicity: Potential use of natural products against DDP-induced apoptosis. Biomolecule 2022, 12, 1206. [Google Scholar] [CrossRef] [PubMed]
- Aladaileh, S.H.; Al-Swailmi, F.K.; Abukhalil, M.H.; Ahmeda, A.F.; Mahmoud, A.M. Punicalagin prevents cisplatin-induced nephrotoxicity by attenuating oxidative stress, inflammatory response, and apoptosis in rats. Life Sci. 2021, 28, 120071. [Google Scholar] [CrossRef]
- Khine, H.E.E.; Ecoy, G.A.U.; Roytrakul, S.; Phaonakrop, N.; Pornputtapong, N.; Prompetchara, E.; Chanvorachote, P.; Chaotham, C. Chemosensitizing activity of peptide from Lentinus squarrosulus (Mont.) on cisplatin-induced apoptosis in human lung cancer cells. Sci. Rep. 2021, 11, 4060. [Google Scholar] [CrossRef]
- Mapuskar, K.A.; Steinbach, E.J.; Zaher, A.; Riley, D.P.; Beardsley, R.A.; Keene, J.L.; Holmlund, J.T.; Anderson, C.M.; Zepeda-Orozco, D.; Buatti, J.M.; et al. Mitochondrial superoxide dismutase in cisplatin-induced kidney injury. Antioxidants 2021, 10, 1329. [Google Scholar] [CrossRef] [PubMed]
- Wang, Z.; Sun, W.; Sun, X.; Wang, Y.; Zhou, M. Kaempferol ameliorates cisplatin induced nephrotoxicity by modulating oxidative stress, inflammation and apoptosis via ERK and NF-κB pathways. AMB Express 2020, 10, 58. [Google Scholar] [CrossRef]
- Liu, H.T.; Wang, T.E.; Hsu, Y.T.; Chou, C.C.; Huang, K.H.; Hsu, C.C.; Liang, H.J.; Chang, H.W.; Lee, T.H.; Tsai, P.S. Nanoparticulated honokiol mitigates cisplatin-induced chronic kidney injury by maintaining mitochondria antioxidant capacity and reducing caspase 3-associated cellular apoptosis. Antioxidants 2019, 8, 466. [Google Scholar] [CrossRef]
- Szefler, B.; Czeleń, P.; Kruszewski, S.; Siomek-Górecka, A.; Krawczyk, P. The assessment of physicochemical properties of Cisplatin complexes with purines and vitamins B group. J. Mol. Graph. Model. 2022, 113, 108144. [Google Scholar] [CrossRef]
- Ismail, R.S.; El-Awady, M.S.; Hassan, M.H. Pantoprazole abrogated cisplatin-induced nephrotoxicity in mice via suppression of inflammation, apoptosis, and oxidative stress. Naunyn Schmiedeberg’s Arch. Pharmacol. 2020, 393, 1161–1171. [Google Scholar] [CrossRef]
- Miller, R.P.; Tadagavadi, R.K.; Ramesh, G.; Reeves, W.B. Mechanisms of cisplatin nephrotoxicity. Toxins 2010, 2, 2490–2518. [Google Scholar] [CrossRef]
- Wei, Q.; Dong, G.; Yang, T.; Megyesi, J.; Price, P.M.; Dong, Z. Activation and involvement of p53 in cisplatin-induced nephrotoxicity. Am. J. Physiol. Ren. Physiol. 2007, 293, F1282–F1291. [Google Scholar] [CrossRef] [PubMed]
- Imig, J.D.; Ryan, M.J. Immune and inflammatory role in renal disease. Compr. Physiol. 2013, 3, 957–976. [Google Scholar] [PubMed]
- Landau, S.I.; Guo, X.; Velazquez, H.; Torres, R.; Olson, E.; Garcia-Milian, R.; Moeckel, G.W.; Desir, G.V.; Safirstein, R. Regulated necrosis and failed repair in cisplatin-induced chronic kidney disease. Kidney Int. 2019, 95, 797–814. [Google Scholar] [CrossRef]
- Ma, N.; Wei, Z.; Hu, J.; Gu, W.; Ci, X. Farrerol ameliorated cisplatin-induced chronic kidney disease through mitophagy induction via Nrf2/PINK1 Pathway. Front. Pharmacol. 2021, 12, 768700. [Google Scholar] [CrossRef]
- Song, A.; Zhang, C.; Meng, X. Mechanism and application of metformin in kidney diseases: An update. Biomed. Pharmacother. 2021, 138, 111454. [Google Scholar] [CrossRef] [PubMed]
- Tsai, Y.S.; Chen, Y.P.; Lin, S.W.; Chen, Y.L.; Chen, C.C.; Huang, G.J. Lactobacillus rhamnosus GKLC1 ameliorates cisplatin-induced chronic nephrotoxicity by inhibiting cell inflammation and apoptosis. Biomed. Pharmacother. 2022, 147, 112701. [Google Scholar] [CrossRef]
- Hu, Y.N.; Sung, T.J.; Chou, C.H.; Liu, K.L.; Hsieh, L.P.; Hsieh, C.W. Characterization and antioxidant activities of yellow strain Flammulina velutipes (Jinhua Mushroom) polysaccharides and their effects on ROS content in L929 Cell. Antioxidants 2019, 8, 298. [Google Scholar] [CrossRef]
- Shen, P.; Lin, W.; Deng, X.; Ba, X.; Han, L.; Chen, Z.; Qin, K.; Huang, Y.; Tu, S. Potential implications of quercetin in autoimmune diseases. Front. Immunol. 2021, 12, 689044. [Google Scholar] [CrossRef]
- Wianowska, D.; Olszowy-Tomczyk, M. A concise profile of gallic acid from its natural sources through biological properties and chemical methods of determination. Molecule 2023, 28, 1186. [Google Scholar] [CrossRef]
- Chou, Y.N.; Lee, M.M.; Deng, J.S.; Jiang, W.P.; Lin, J.G.; Huang, G.J. Water extract from brown strain of Flammulina velutipes alleviates cisplatin-induced acute kidney injury by attenuating oxidative stress, inflammation, and autophagy via PI3K/AKT pathway regulation. Int. J. Mol. Sci. 2023, 24, 9448. [Google Scholar] [CrossRef]
- Zhang, Y.; Qin, S.; Song, Y.; Yuan, J.; Hu, S.; Chen, M.; Li, L. Alginate oligosaccharide alleviated cisplatin-induced kidney oxidative stress via Lactobacillus genus-FAHFAs-Nrf2 Axis in mice. Front. Immunol. 2022, 13, 387242. [Google Scholar] [CrossRef] [PubMed]
- Deng, J.S.; Jiang, W.P.; Chen, C.C.; Lee, L.Y.; Li, P.Y.; Huang, W.C.; Liao, J.C.; Chen, H.Y.; Huang, S.S.; Huang, G.J. Cordyceps cicadae mycelia ameliorate cisplatin-induced acute kidney injury by suppressing the TLR4/NF-κB/MAPK and activating the HO-1/Nrf2 and Sirt-1/AMPK pathways in mice. Oxid. Med. Cell. Longev. 2020, 2020, 7912763. [Google Scholar] [CrossRef] [PubMed]
- Yu, X.; Meng, X.; Xu, M.; Zhang, X.; Zhang, Y.; Ding, G.; Huang, S.; Zhang, A.; Jia, Z. Celastrol ameliorates cisplatin nephrotoxicity by inhibiting NF-κB and improving mitochondrial function. EBioMedicin 2018, 36, 266–280. [Google Scholar] [CrossRef] [PubMed]
- Kwon, D.J.; Ju, S.M.; Youn, G.S.; Choi, S.Y.; Park, J. Suppression of iNOS and COX-2 expression by flavokawain A via blockade of NF-κB and AP-1 activation in RAW 264.7 macrophages. Food Chem. Toxicol. 2013, 58, 479–486. [Google Scholar] [CrossRef] [PubMed]
- Yin, Q.; Xiong, H. Chemotherapy-induced nephrotoxicity was improved by crocin in mouse model. Eur. J. Histochem. 2022, 66, 3541. [Google Scholar] [CrossRef]
- Fu, S.; Hu, X.; Ma, Z.; Wei, Q.; Xiang, X.; Li, S.; Wen, L.; Liang, Y.; Dong, Z. P53 in proximal tubules mediates chronic kidney problems after cisplatin treatment. Cell 2022, 11, 712. [Google Scholar] [CrossRef]
- Liang, S.; Wu, Y.S.; Li, D.Y.; Tang, J.X.; Liu, H.F. Autophagy and Renal Fibrosis. Aging Dis. 2022, 13, 712–731. [Google Scholar] [CrossRef]
- Li, L.; Zepeda-Orozco, D.; Black, R.; Lin, F. Autophagy is a component of epithelial cell fate in obstructive uropathy. Am. J. Pathol. 2010, 176, 1767–1778. [Google Scholar] [CrossRef]
- Teh, Y.M.; Mualif, S.A.; Lim, S.K. A comprehensive insight into autophagy and its potential signaling pathways as a therapeutic target in podocyte injury. Int. J. Biochem. Cell Biol. 2022, 143, 106153. [Google Scholar] [CrossRef]
- Cai, Y.; Yang, W.; Pan, M.; Wang, C.; Wu, W.; Zhu, S. Wnt2 knock down by RNAi inhibits the proliferation of in vitro-cultured human keloid fibroblasts. Medicine 2018, 97, e12167. [Google Scholar] [CrossRef]
- Wu, D.; Pan, W. GSK3: A multifaceted kinase in Wnt signaling. Trends Biochem. Sc. 2010, 35, 161–168. [Google Scholar] [CrossRef] [PubMed]
- Pal, S.K.; Quinn, D.I. Differentiating mTOR inhibitors in renal cell carcinoma. Cancer Treat. Rev. 2013, 39, 709–719. [Google Scholar] [CrossRef]
- Yin, H.; Zuo, Z.; Yang, Z.; Guo, H.; Fang, J.; Cui, H.; Ouyang, P.; Chen, X.; Chen, J.; Geng, Y.; et al. Nickel induces autophagy via PI3K/AKT/mTOR and AMPK pathways in mouse kidney. Ecotoxicol. Enviro. Saf. 2021, 223, 112583. [Google Scholar] [CrossRef] [PubMed]
- Wang, J.; Wang, Y.; Liu, Y.; Cai, X.; Huang, X.; Fu, W.; Wang, L.; Qiu, L.; Li, J.; Sun, L. Ferroptosis, a new target for treatment of renal injury and fibrosis in a 5/6 nephrectomy-induced CKD rat model. Cell Death Discov. 2022, 8, 127. [Google Scholar] [CrossRef] [PubMed]
- Jia, M.; Qiu, H.; Lin, L.; Zhang, S.; Li, D.; Jin, D. Inhibition of PI3K/AKT/mTOR signaling pathway activates autophagy and suppresses peritoneal fibrosis in the process of peritoneal dialysis. Front. Physiol. 2022, 13, 778479. [Google Scholar] [CrossRef] [PubMed]
- Li, B.; Ji, Y.; Yi, C.; Wang, X.; Liu, C.; Wang, C.; Lu, X.; Xu, X.; Wang, X. Rutin inhibits Ox-LDL-mediated macrophage inflammation and foam cell formation by inducing autophagy and modulating PI3K/ATK signaling. Molecule 2022, 27, 4201. [Google Scholar] [CrossRef]
- Li, Y.Y.; Tian, Z.H.; Pan, G.H.; Zhao, P.; Pan, D.J.; Zhang, J.Q.; Ye, L.Y.; Zhang, F.R.; Xu, X.D. Heidihuangwan alleviates renal fibrosis in rats with 5/6 nephrectomy by inhibiting autophagy. Front. Pharm. 2022, 13, 977284. [Google Scholar] [CrossRef]
- Peng, J.; Xiao, X.; Li, S.; Lyu, X.; Gong, H.; Tan, S.; Dong, L.; Sanders, Y.Y.; Zhang, X. Aspirin alleviates pulmonary fibrosis through PI3K/AKT/mTOR-mediated autophagy pathway. Exp. Gerontol. 2023, 172, 112085. [Google Scholar] [CrossRef]
- Wozniak, J.; Floege, J.; Ostendorf, T.; Ludwig, A. Key metalloproteinase-mediated pathways in the kidney. Nat. Rev. Nephrol. 2021, 17, 513–527. [Google Scholar] [CrossRef]
- Andreucci, M.; Provenzano, M.; Faga, T.; Michael, A.; Patella, G.; Mastroroberto, P.; Serraino, G.F.; Bracale, U.M.; Ielapi, N.; Serra, R. Aortic aneurysms, chronic kidney disease and metalloproteinases. Biomolecule 2021, 11, 194. [Google Scholar] [CrossRef]
- Uddin, M.J.; Kim, E.H.; Hannan, M.A.; Ha, H. Pharmacotherapy against oxidative stress in chronic kidney disease: Promising small molecule natural products targeting Nrf2-HO-1 signaling. Antioxidant 2021, 10, 258. [Google Scholar] [CrossRef] [PubMed]
- Mahran, Y.F.; Hassan, H.M. Ganoderma lucidum prevents cisplatin-induced nephrotoxicity through inhibition of epidermal growth Factor receptor signaling and autophagy-mediated apoptosis. Oxid. Med. Cell Longev. 2020, 2020, 4932587. [Google Scholar] [CrossRef] [PubMed]
- Guerrero-Hue, M.; Rayego-Mateos, S.; Vázquez-Carballo, C.; Palomino-Antolín, A.; García-Caballero, C.; Opazo-Rios, L.; Morgado-Pascual, J.L.; Herencia, C.; Mas, S.; Ortiz, A.; et al. Protective Role of Nrf2 in Renal Disease. Antioxidants 2020, 10, 39. [Google Scholar] [CrossRef]
- Joo, C.R.; Cheng, M.S.; Shik, K.Y. Desoxyrhapontigenin up-regulates Nrf2-mediated heme oxygenase-1 expression in macrophages and inflammatory lung injury. Redox Biol. 2014, 2, 504–512. [Google Scholar]
- Sahin, K.; Tuzcu, M.; Gencoglu, H.; Dogukan, A.; Timurkan, M.; Sahin, N.; Aslan, A.; Kucuk, O. Epigallocatechin-3-gallate activates Nrf2/HO-1 signaling pathway in cisplatin-induced nephrotoxicity in rats. Life Sci. 2010, 87, 240–245. [Google Scholar] [CrossRef]
- Nigam, S.K.; Wu, W.; Bush, K.T.; Hoenig, M.P.; Blantz, R.C.; Bhatnagar, V. Handling of drugs, metabolites, and uremic toxins by kidney proximal tubule drug transporters. Clin. J. Am. Soc. Nephrol. 2015, 10, 2039–2049. [Google Scholar] [CrossRef]
- Shi, B.; Zhang, Y.; Huang, B.; Lin, H.; Zhou, Q.; Wang, Y.; Cai, Z.; Liu, M. The system profile of renal drug transporters in tubulointerstitial fibrosis model and consequent effect on pharmacokinetics. Molecule 2022, 27, 704. [Google Scholar] [CrossRef]
- Susa, K.; Kobayashi, K.; Galichon, P.; Matsumoto, T.; Tamura, A.; Hiratsuka, K.; Gupta, N.R.; Yazdi, I.K.; Bonventre, J.V.; Morizane, R. ATP/ADP biosensor organoids for drug nephrotoxicity assessment. Front. Cell Dev. Bio 2023, 11, 1138504. [Google Scholar] [CrossRef] [PubMed]
- Ma, S.; Zhang, H.; Xu, J. Characterization, antioxidant and anti-Inflammation capacities of fermented Flammulina Velutipes Polyphenols. Molecules 2021, 26, 6205. [Google Scholar] [CrossRef]
- Franke, R.M.; Kosloske, A.M.; Lancaster, C.S.; Filipski, K.K.; Hu, C.; Zolk, O.; Mathijssen, R.H.; Sparreboom, A. Influence of Oct1/Oct2-deficiency on cisplatin-induced changes in urinary N-acetyl-beta-D-glucosaminidase. Clin. Cancer Res. 2010, 16, 4198–4206. [Google Scholar] [CrossRef]
- Nieskens, T.T.G.; Peters, J.G.P.; Dabaghie, D.; Korte, D.; Jansen, K.; Van Asbeck, A.H.; Tavraz, N.N.; Friedrich, T.; Russel, F.G.M.; Masereeuw, R.; et al. Expression of organic anion transporter 1 or 3 in human kidney proximal tubule cells reduces cisplatin sensitivity. Drug Metab. Dispos. 2018, 46, 592–599. [Google Scholar] [CrossRef] [PubMed]
- Peng, C.C.; Hsieh, C.L.; Wang, H.E.; Chung, J.Y.; Chen, K.C.; Peng, R.Y. Ferulic acid is nephrodamaging while gallic acid is renal protective in long term treatment of chronic kidney disease. Clin. Nutr. 2012, 31, 405–414. [Google Scholar] [CrossRef] [PubMed]
- Widowati, W.; Prahastuti, S.; Tjokropranoto, R.; Onggowidjaja, P.; Kusuma, H.S.W.; Afifah, E.; Arumwardana, S.; Maulana, M.A.; Rizal, R. Quercetin prevents chronic kidney disease on mesangial cells model by regulating inflammation, oxidative stress, and TGF-beta1/SMADs pathway. PeerJ 2022, 10, e13257. [Google Scholar] [CrossRef] [PubMed]
- Chien, L.H.; Wu, C.T.; Deng, J.S.; Jiang, W.P.; Huang, W.C.; Huang, G.J. Salvianolic acid C protects against cisplatin-induced acute kidney injury through attenuation of inflammation, oxidative stress and apoptotic effects and activation of the CaMKK–AMPK–Sirt1-associated signaling Pathway in mouse models. Antioxidant 2021, 10, 1620. [Google Scholar] [CrossRef] [PubMed]
- Chien, L.H.; Deng, J.S.; Jiang, W.P.; Chou, Y.N.; Lin, J.G.; Huang, G.J. Evaluation of lung protection of Sanghuangporus sanghuang through TLR4/NF-κB/MAPK, keap1/Nrf2/HO-1, CaMKK/AMPK/Sirt1, and TGF-β/SMAD3signaling pathways mediating apoptosis and autophagy. Biomed. Pharmacother. 2023, 165, 115080. [Google Scholar] [CrossRef]
- Lin, W.H.; Jiang, W.P.; Chen, C.C.; Lee, L.Y.; Tsai, Y.S.; Chien, L.H.; Chou, Y.N.; Deng, J.S.; Huang, G.J. Renoprotective effect of Pediococcus acidilactici GKA4 on cisplatin-induced acute kidney injury by mitigating inflammation and oxidative stress and regulating the MAPK, AMPK/SIRT1/NF-κB, and PI3K/AKT pathways. Nutrients 2022, 14, 2877. [Google Scholar] [CrossRef]
- Jiang, W.P.; Deng, J.S.; Huang, S.S.; Wu, S.H.; Chen, C.C.; Liao, J.C.; Chen, H.Y.; Lin, H.Y.; Huang, G.J. Sanghuangporus sanghuang mycelium prevents paracetamol-induced hepatotoxicity through regulating the MAPK/NF-κB, Keap1/Nrf2/HO-1, TLR4/PI3K/Akt, and CaMKKβ/LKB1/AMPK pathways and suppressing oxidative stress and inflammation. Antioxidants 2021, 10, 897. [Google Scholar] [CrossRef]










| Group (n = 6) | Dosage (g/kg) | Body Weight (g) | Renal Weight (g) | Kidney Index (mg/g) | |
|---|---|---|---|---|---|
| Initial | Final | ||||
| N | - | 22.2 ± 0.76 | 25.9 ± 1.04 | 0.30 ± 0.02 | 1.18 ± 0.06 |
| Cis | 0.0075 | 21.8 ± 0.58 | 14.3 ± 1.70 ### | 0.14 ± 0.01 ### | 0.86 ± 0.06 ### |
| Cis + NAC | 0.5 | 22.5 ± 0.55 | 16.4 ± 1.25 * | 0.17 ± 0.01 ** | 1.07 ± 0.02 *** |
| Cis + GH | 1.0 | 23.4 ± 0.87 | 20.3 ± 2.50 *** | 0.20 ± 0.01 *** | 1.19 ± 0.15 *** |
| Cis + GL | 0.5 | 22.3 ± 0.75 | 17.6 ± 1.76 ** | 0.16 ± 0.02 * | 1.05 ± 0.11 ** |
Disclaimer/Publisher’s Note: The statements, opinions and data contained in all publications are solely those of the individual author(s) and contributor(s) and not of MDPI and/or the editor(s). MDPI and/or the editor(s) disclaim responsibility for any injury to people or property resulting from any ideas, methods, instructions or products referred to in the content. |
© 2024 by the authors. Licensee MDPI, Basel, Switzerland. This article is an open access article distributed under the terms and conditions of the Creative Commons Attribution (CC BY) license (https://creativecommons.org/licenses/by/4.0/).
Share and Cite
Lee, M.-M.; Chou, Y.-X.; Huang, S.-H.; Cheng, H.-T.; Liu, C.-H.; Huang, G.-J. Renoprotective Effects of Brown-Strain Flammulina velutipes Singer in Chronic Kidney Disease-Induced Mice Through Modulation of Oxidative Stress and Inflammation and Regulation of Renal Transporters. Int. J. Mol. Sci. 2024, 25, 12096. https://doi.org/10.3390/ijms252212096
Lee M-M, Chou Y-X, Huang S-H, Cheng H-T, Liu C-H, Huang G-J. Renoprotective Effects of Brown-Strain Flammulina velutipes Singer in Chronic Kidney Disease-Induced Mice Through Modulation of Oxidative Stress and Inflammation and Regulation of Renal Transporters. International Journal of Molecular Sciences. 2024; 25(22):12096. https://doi.org/10.3390/ijms252212096
Chicago/Turabian StyleLee, Min-Min, Yun-Xuan Chou, Sheng-Hsiung Huang, Hsu-Tang Cheng, Chung-Hsiang Liu, and Guan-Jhong Huang. 2024. "Renoprotective Effects of Brown-Strain Flammulina velutipes Singer in Chronic Kidney Disease-Induced Mice Through Modulation of Oxidative Stress and Inflammation and Regulation of Renal Transporters" International Journal of Molecular Sciences 25, no. 22: 12096. https://doi.org/10.3390/ijms252212096
APA StyleLee, M.-M., Chou, Y.-X., Huang, S.-H., Cheng, H.-T., Liu, C.-H., & Huang, G.-J. (2024). Renoprotective Effects of Brown-Strain Flammulina velutipes Singer in Chronic Kidney Disease-Induced Mice Through Modulation of Oxidative Stress and Inflammation and Regulation of Renal Transporters. International Journal of Molecular Sciences, 25(22), 12096. https://doi.org/10.3390/ijms252212096

