Honey Enriched with Additives Alleviates Behavioral, Oxidative Stress, and Brain Alterations Induced by Heavy Metals and Imidacloprid in Zebrafish
Abstract
1. Introduction
2. Results and Discussion
2.1. Physicochemical Analysis and Antimicrobial Activity of HF
2.2. Effects of HF on Mixture of Heavy Metals and IMI-Induced Toxicity in Zebrafish
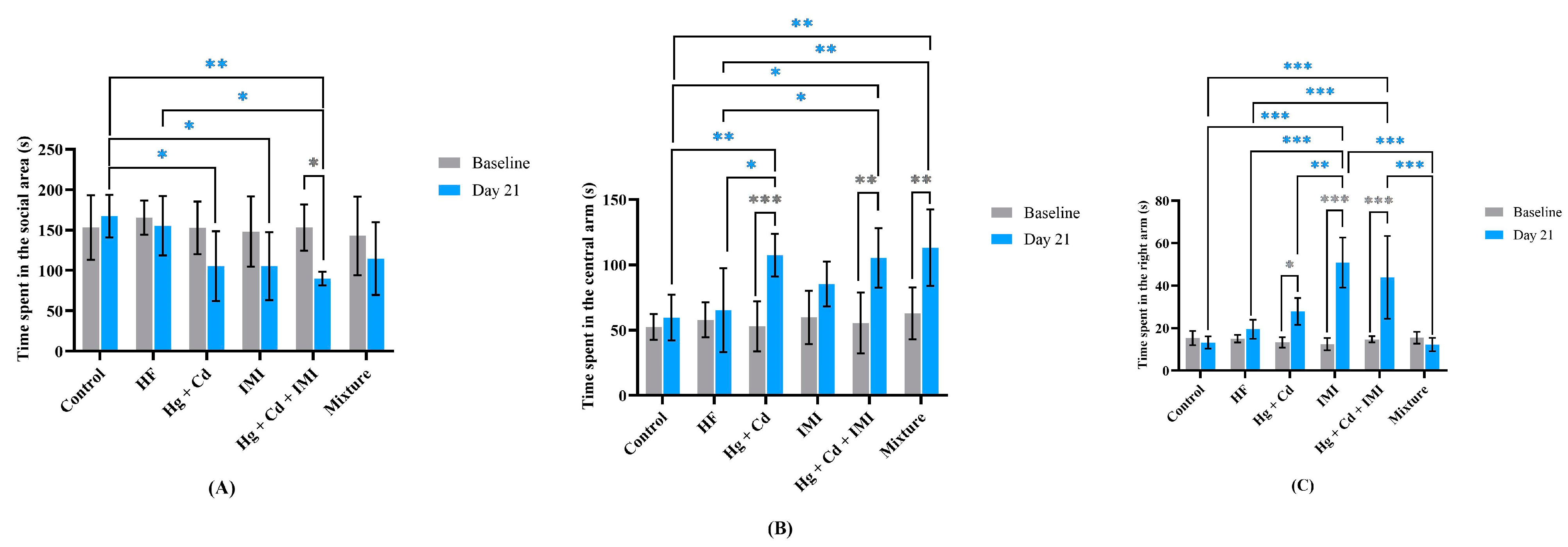
2.2.1. Behavioral Analysis
2.2.2. Biochemical Analysis
2.2.3. Zebrafish Body Element Concentrations
2.2.4. Evaluation of Histologic and IHC Lesions
3. Materials and Methods
3.1. HF Composition and Analysis
3.1.1. HF Composition
3.1.2. Physicochemical Analysis
3.1.3. Determination of Mineral Elements
3.1.4. Determination of Total Phenolic Content (TPC), Total Flavonoid Content (TFC), and Total Carotenoid Content (TCC)
3.1.5. Quantification of the Total Antioxidant Capacity (TAC)
3.1.6. RF-HPLC Analysis of Honey Flavonoids and Other Phenolic Derivates
3.1.7. Antibacterial Assay
3.2. Zebrafish Protocols and Analysis
3.2.1. Chemicals and Reagents Used for Exposure Protocols and Biochemical Analysis
3.2.2. Zebrafish Maintenance and Exposure Protocols
3.2.3. Behavioral Assessment
3.2.4. Biochemical Assays
3.2.5. Mineral Analysis of Zebrafish Whole Body
3.2.6. Histological Analysis and Immunohistochemistry Activity for Brain and Spinal Cord Tissues
3.3. Statistical Analysis
4. Conclusions
Supplementary Materials
Author Contributions
Funding
Institutional Review Board Statement
Informed Consent Statement
Data Availability Statement
Conflicts of Interest
References
- Tomczyk, M.; Miłek, M.; Sidor, E.; Kapusta, I.; Litwińczuk, W.; Puchalski, C.; Dżugan, M. The Effect of Adding the Leaves and Fruits of Morus alba to Rape Honey on Its Antioxidant Properties, Polyphenolic Profile, and Amylase Activity. Molecules 2019, 25, 84. [Google Scholar] [CrossRef] [PubMed]
- Dżugan, M.; Sowa, P.; Kwaśniewska, M.; Wesołowska, M.; Czernicka, M. Physicochemical Parameters and Antioxidant Activity of Bee Honey Enriched with Herbs. Plant Foods Hum. Nutr. 2017, 72, 74–81. [Google Scholar] [CrossRef] [PubMed]
- Grabek-Lejko, D.; Miłek, M.; Sidor, E.; Puchalski, C.; Dżugan, M. Antiviral and Antibacterial Effect of Honey Enriched with Rubus spp. as a Functional Food with Enhanced Antioxidant Properties. Molecules 2022, 27, 4859. [Google Scholar] [CrossRef] [PubMed]
- Guldas, M.; Gurbuz, O.; Cakmak, I.; Yildiz, E.; Sen, H. Effects of honey enrichment with Spirulina platensis on phenolics, bioaccessibility, antioxidant capacity and fatty acids. LWT 2022, 153, 112461. [Google Scholar] [CrossRef]
- Miłek, M.; Ciszkowicz, E.; Sidor, E.; Hęclik, J.; Lecka-Szlachta, K.; Dżugan, M. The Antioxidant, Antibacterial and Anti-Biofilm Properties of Rapeseed Creamed Honey Enriched with Selected Plant Superfoods. Antibiotics 2023, 12, 235. [Google Scholar] [CrossRef]
- Miłek, M.; Grabek-Lejko, D.; Stępień, K.; Sidor, E.; Mołoń, M.; Dżugan, M. The Enrichment of Honey with Aronia melanocarpa Fruits Enhances Its in vitro and in vivo Antioxidant Potential and Intensifies its Antibacterial and Antiviral Properties. Food Funct. 2021, 12, 8920–8931. [Google Scholar] [CrossRef]
- Pereira, C.; Barreira, J.C.M.; Calhelha, R.C.; Lopes, M.; Queiroz, M.J.R.P.; Vilas-Boas, M.; Barros, L.; Ferreira, I.C.F.R. Is Honey Able to Potentiate the Antioxidant and Cytotoxic Properties of Medicinal Plants Consumed as Infusions for Hepatoprotective Effects? Food Funct. 2015, 6, 1435–1442. [Google Scholar] [CrossRef]
- Sowa, P.; Tarapatskyy, M.; Puchalski, C.; Jarecki, W.; Dżugan, M. A Novel Honey-Based Product Enriched with Coumarin from Melilotus flowers. J. Food Meas. Charact. 2019, 13, 1748–1754. [Google Scholar] [CrossRef]
- Żebracka, A.; Winiarska-Mieczan, A.; Nowakowicz-Dębek, B.; Banach, M.; Drabik, A.; Pulit-Prociak, J.; Chmielowiec-Korzeniowska, A. Assessment of the Microbiological Quality and Bactericidal Properties of Flavoured Honey. Med. Weter. 2022, 78, 556–562. [Google Scholar] [CrossRef]
- Hussien, H.M.; Abdou, H.M.; Yousef, M.I. Cypermethrin Induced Damage in Genomic DNA and Histopathological Changes in Brain and Haematotoxicity in Rats: The Protective Effect of Sesame Oil. Brain Res. Bull. 2013, 92, 76–83. [Google Scholar] [CrossRef]
- Tunali-Akbay, T.; Sener, G.; Salvarli, H.; Sehirli, O.; Yarat, A. Protective Effects of Ginkgo biloba Extract Against Mercury(II)-induced Cardiovascular Oxidative Damage in Rats. Phytother. Res. 2007, 21, 26–31. [Google Scholar] [CrossRef] [PubMed]
- Banaee, M.; Impellitteri, F.; Samani, H.E.-Z.; Piccione, G.; Faggio, C. Dietary Arthrospira platensis in Rainbow Trout (Oncorhynchus mykiss): A Means to Reduce Threats Caused by CdCl2 Exposure? Toxics 2022, 10, 731. [Google Scholar] [CrossRef] [PubMed]
- El-Demerdash, F.M.; Jebur, A.B.; Nasr, H.M.; Hamid, H.M. Modulatory Effect of Turnera diffusa Against Testicular Toxicity Induced by Fenitrothion and/or Hexavalent Chromium in Rats. Environ. Toxicol. 2019, 34, 330–339. [Google Scholar] [CrossRef] [PubMed]
- González, S.; López-Roldán, R.; Cortina, J.-L. Presence and Biological Effects of Emerging Contaminants in Llobregat River Basin: A Review. Environ. Pollut. 2012, 161, 83–92. [Google Scholar] [CrossRef]
- Machado, C.S.; Fregonesi, B.M.; Alves, R.I.S.; Tonani, K.A.A.; Sierra, J.; Martinis, B.S.; Celere, B.S.; Mari, M.; Schuhmacher, M.; Nadal, M.; et al. Health Risks of Environmental Exposure to Metals and Herbicides in the Pardo River, Brazil. Environ. Sci. Pollut. Res. 2017, 24, 20160–20172. [Google Scholar] [CrossRef]
- Salvadó, V.; Quintana, X.D.; Hidalgo, M. Monitoring of Nutrients, Pesticides, and Metals in Waters, Sediments, and Fish of a Wetland. Arch. Environ. Contam. Toxicol. 2006, 51, 377–386. [Google Scholar] [CrossRef]
- Olutona, G.O.; Livingstone, S.T. Detection of Organochlorine Pesticide (OCPs) Residues and Trace Metals in Some Selected Malt Drinks in Nigeria. Beverages 2018, 4, 65. [Google Scholar] [CrossRef]
- Marković, M.; Cupać, S.; Durović, R.; Milinović, J.; Kljajić, P. Assessment of Heavy Metal and Pesticide Levels in Soil and Plant Products From Agricultural Area of Belgrade, Serbia. Arch. Environ. Contam. Toxicol. 2010, 58, 341–351. [Google Scholar] [CrossRef]
- He, W.; Guo, W.; Qian, Y.; Zhang, S.; Ren, D.; Liu, S. Synergistic Hepatotoxicity by Cadmium and Chlorpyrifos: Disordered Hepatic Lipid Homeostasis. Mol. Med. Rep. 2015, 12, 303–308. [Google Scholar] [CrossRef]
- Chen, L.; Qu, G.; Sun, X.; Zhang, S.; Wang, L.; Sang, N.; Du, Y.; Liu, J.; Liu, S. Characterization of the Interaction between Cadmium and Chlorpyrifos with Integrative Techniques in Incurring Synergistic Hepatoxicity. PLoS ONE 2013, 8, e59553. [Google Scholar] [CrossRef]
- Jijie, R.; Solcan, G.; Nicoara, M.N.; Micu, D.; Strungaru, S.-A. Antagonistic effects in zebrafish (Danio rerio) behavior and oxidative stress induced by toxic metals and deltamethrin acute exposure. Sci. Total Environ. 2019, 698, 134299. [Google Scholar] [CrossRef] [PubMed]
- Paduraru, E.; Flocea, E.I.; Lazado, C.C.; Simionov, I.A.; Nicoara, M.; Ciobica, A.; Faggio, C.; Jijie, R. Vitamin C Mitigates Oxidative Stress and Behavioral Impairments Induced by Deltamethrin and Lead Toxicity in Zebrafish. Int. J. Mol. Sci. 2021, 22, 12714. [Google Scholar] [CrossRef] [PubMed]
- Ku, T.; Yan, W.; Jia, W.; Yun, Y.; Zhu, N.; Li, G.; Sang, N. Characterization of Synergistic Embryotoxicity of Nickel and Buprofezin in Zebrafish. Environ. Sci. Technol. 2015, 49, 4600–4608. [Google Scholar] [CrossRef]
- Lajmanovich, R.C.; Peltzer, P.M.; Attademo, A.M.; Martinuzzi, C.S.; Simoniello, M.F.; Colussi, C.L.; Boccioni, A.P.C.; Sigrist, M. First Evaluation of Novel Potential Synergistic Effects of Glyphosate and Arsenic Mixture on Rhinella arenarum (Anura: Bufonidae) Tadpoles. Heliyon 2019, 5, e02601. [Google Scholar] [CrossRef]
- Liu, J.; Sun, L.; Zhang, H.; Shi, M.; Dahlgren, R.A.; Wang, X.; Wang, H. Response Mechanisms to Joint Exposure of Triclosan and Its Chlorinated Derivatives on Zebrafish (Danio rerio) Behavior. Chemosphere 2018, 193, 820–832. [Google Scholar] [CrossRef] [PubMed]
- Yang, Y.; Yu, Y.; Zhou, R.; Yang, Y.; Bu, Y. The Effect of Combined Exposure of Zinc and Nickel on the Development of Zebrafish. J. Appl. Toxicol. 2021, 41, 1765–1778. [Google Scholar] [CrossRef] [PubMed]
- Lu, K.; Qiao, R.; An, H.; Zhang, Y. Influence of Microplastics on the Accumulation and Chronic Toxic Effects of Cadmium in Zebrafish (Danio rerio). Chemosphere 2018, 202, 514–520. [Google Scholar] [CrossRef]
- Jijie, R.; Paduraru, E.; Simionov, I.-A.; Faggio, C.; Ciobica, A.; Nicoara, M. Effects of Single and Combined Ciprofloxacin and Lead Treatments on Zebrafish Behavior, Oxidative Stress, and Elements Content. Int. J. Mol. Sci. 2023, 24, 4952. [Google Scholar] [CrossRef]
- Di Paola, D.; Iaria, C.; Capparucci, F.; Cordaro, M.; Crupi, R.; Siracusa, R.; D’Amico, R.; Fusco, R.; Impellizzeri, D.; Cuzzocrea, S.; et al. Aflatoxin B1 Toxicity in Zebrafish Larva (Danio rerio): Protective Role of Hericium erinaceus. Toxins 2021, 13, 710. [Google Scholar] [CrossRef]
- Costa, B.P.D.; Moura, L.A.; Pinto, S.A.G.; Lima-Maximino, M.G.; Maximino, C. Zebrafish Models in Neural and Behavioral Toxicology across the Life Stages. Fishes 2020, 5, 23. [Google Scholar] [CrossRef]
- Xia, Y.; Zhu, J.; Xu, Y.; Zhang, H.; Zou, F.; Meng, X. Effects of Ecologically Relevant Concentrations of Cadmium on Locomotor Activity and Microbiota in Zebrafish. Chemosphere 2020, 257, 127220. [Google Scholar] [CrossRef] [PubMed]
- Tian, J.; Hu, J.; He, W.; Zhou, L.; Huang, Y. Parental Exposure to Cadmium Chloride Causes Developmental Toxicity and Thyroid Endocrine Disruption in Zebrafish Offspring. Comp. Biochem. Physiol. C Toxicol. Pharmacol. 2020, 234, 108782. [Google Scholar] [CrossRef] [PubMed]
- Patel, U.N.; Patel, U.D.; Khadayata, A.V.; Vaja, R.K.; Modi, C.M.; Patel, H.B. Long-term Exposure of the Binary Mixture of Cadmium and Mercury Damages the Developed Ovary of Adult Zebrafish. Environ. Sci. Pollut. Res. 2022, 29, 44928–44938. [Google Scholar] [CrossRef] [PubMed]
- Li, P.; Li, Z.-H. Environmental Co-exposure to TBT and Cd Caused Neurotoxicity and Thyroid Endocrine Disruption in Zebrafish, a Three-generation Study in a Simulated Environment. Environ. Pollut. 2020, 259, 113868. [Google Scholar] [CrossRef]
- Lacave, J.M.; Bilbao, E.; Gilliland, D.; Mura, F.; Dini, L.; Cajaraville, M.P.; Orbea, A. Bioaccumulation, Cellular and Molecular Effects in Adult Zebrafish After Exposure to Cadmium Sulphide Nanoparticles and to Ionic Cadmium. Chemosphere 2020, 238, 124588. [Google Scholar] [CrossRef]
- Abu Bakar, N.; Sata, N.S.M.; Ramlan, N.F.; Ibrahim, W.N.W.; Zulkifli, S.Z.; Abdullah, C.A.C.; Ahmad, S.; Amal, M.N. Evaluation of the Neurotoxic Effects of Chronic Embryonic Exposure with Inorganic Mercury on Motor and Anxiety-like Responses in Zebrafish (Danio rerio) Larvae. Neurotoxicol. Teratol. 2017, 59, 53–61. [Google Scholar] [CrossRef]
- Strungaru, S.A.; Robea, M.A.; Plavan, G.; Todirascu-Ciornea, E.; Ciobica, A.; Nicoara, M. Acute Exposure to Methylmercury Chloride Induces Fast Changes in Swimming Performance, Cognitive Processes and Oxidative Stress of Zebrafish (Danio rerio) as Reference Model for Fish Community. J. Trace Elem. Med. Biol. 2018, 47, 115–123. [Google Scholar] [CrossRef]
- Macirella, R.; Brunelli, E. Morphofunctional Alterations in Zebrafish (Danio rerio) Gills after Exposure to Mercury Chloride. Int. J. Mol. Sci. 2017, 18, 824. [Google Scholar] [CrossRef] [PubMed]
- Xie, D.; Chen, Q.; Gong, S.; An, J.; Li, Y.; Lian, X.; Liu, Z.; Shen, Y.; Giesy, J.P. Exposure of Zebrafish to Environmentally Relevant Concentrations of Mercury During Early Life Stages Impairs Subsequent Reproduction in Adults but can be Recovered in Offspring. Aquat. Toxicol. 2020, 229, 105655. [Google Scholar] [CrossRef]
- Sun, Y.; Li, Y.; Liu, Z.; Chen, Q. Environmentally Relevant Concentrations of Mercury Exposure Alter Thyroid Hormone Levels and Gene Expression in the Hypothalamic-pituitary-thyroid Axis of Zebrafish Larvae. Fish Physiol. Biochem. 2018, 44, 1175–1183. [Google Scholar] [CrossRef]
- Chung, K.-T.; Chen, L.-W.; Tseng, H.-W.; Wu, C.-H. Neonicotinoid Imidacloprid Affects the Social Behavior of Adult Zebrafish by Damaging Telencephalon Neurons through Oxidation Stress, Inflammation, and Apoptosis. Life 2023, 13, 1418. [Google Scholar] [CrossRef] [PubMed]
- Luo, T.; Wang, X.; Jin, Y. Low Concentrations of Imidacloprid Exposure Induced Gut Toxicity in Adult Zebrafish (Danio rerio). Comp. Biochem. Physiol. C Toxicol. Pharmacol. 2021, 241, 108972. [Google Scholar] [CrossRef] [PubMed]
- Luo, T.; Weng, Y.; Huang, Z.; Zhao, Y.; Jin, Y. Combined Hepatotoxicity of Imidacloprid and Microplastics in Adult Zebrafish: Endpoints at Gene Transcription. Comp. Biochem. Physiol. C Toxicol. Pharmacol. 2021, 246, 109043. [Google Scholar] [CrossRef] [PubMed]
- Hou, J.; Zhang, L.; Xu, W.; Liu, Z.; Yu, J.; Yu, R.; Chen, L. Glycometabolic Disorder Induced by Chronic Exposure to Low-concentration Imidacloprid in Zebrafish. Sci. Total Environ. 2024, 937, 173421. [Google Scholar] [CrossRef] [PubMed]
- Alvarez-Suarez, J.M.; Giampieri, F.; Brenciani, A.; Mazzoni, L.; Gasparrini, M.; González-Paramás, A.M.; Santos-Buelga, C.; Morroni, G.; Simoni, S.; Forbes-Hernández, T.Y.; et al. Apis mellifera vs Melipona beecheii Cuban Polifloral Honeys: A Comparison Based on Their Physicochemical Parameters, Chemical Composition and Biological Properties. LWT 2018, 87, 272–279. [Google Scholar] [CrossRef]
- Codex Stan 12-1981; Revised Codex Standard for Honey Codex Stan 12-1981, Rev. 1 (1987), Rev. (2001). FAO: Rome, Italy, 2022.
- The European Parliament and The Council of The European Union. European Parliament Directive 2014/63/EU of The European Parliament and of the Council of 15 May 2014 amending Council Directive 2001/110/EC relating to honey. Off. J. Eur. Union 2014, L164, 1–5. [Google Scholar]
- Sakač, M.B.; Jovanov, P.T.; Marić, A.Z.; Pezo, L.L.; Kevrešan, Ž.S.; Novaković, A.R.; Nedeljković, N.M. Physicochemical Properties and Mineral Content of Honey Samples from Vojvodina (Republic of Serbia). Food Chem. 2019, 276, 15–21. [Google Scholar] [CrossRef]
- Shamsudin, S.; Selamat, J.; Sanny, M.; Abdul Razak, S.B.; Jambari, N.N.; Khatib, A. A Comparative Characterization of Physicochemical and Antioxidants Properties of Processed Heterotrigona itama Honey from Different Origins and Classification by Chemometrics Analysis. Molecules 2019, 24, 3898. [Google Scholar] [CrossRef]
- Albu, A.; Radu-Rusu, C.-G.; Pop, I.M.; Frunza, G.; Nacu, G. Quality Assessment of Raw Honey Issued from Eastern Romania. Agriculture 2021, 11, 247. [Google Scholar] [CrossRef]
- da Silva, P.M.; Gauche, C.; Gonzaga, L.V.; Costa, A.C.O.; Fett, R. Honey: Chemical Composition, Stability and Authenticity. Food Chem. 2016, 196, 309–323. [Google Scholar] [CrossRef]
- Živkov Baloš, M.; Popov, N.; Jakšić, S.; Mihaljev, Ž.; Pelić, M.; Ratajac, R.; Ljubojević Pelić, D. Sunflower Honey—Evaluation of Quality and Stability during Storage. Foods 2023, 12, 2585. [Google Scholar] [CrossRef] [PubMed]
- Can, Z.; Yildiz, O.; Sahin, H.; Akyuz Turumtay, E.; Silici, S.; Kolayli, S. An investigation of Turkish honeys: Their physico-chemical properties, antioxidant capacities and phenolic profiles. Food Chem. 2015, 180, 133–141. [Google Scholar] [CrossRef] [PubMed]
- Nascimento, K.S.d.; Gasparotto Sattler, J.A.; Lauer Macedo, L.F.; Serna González, C.V.; Pereira de Melo, I.L.; da Silva Araújo, E.; Granato, D.; Sattler, A.; de Almeida-Muradian, L.B. Phenolic Compounds, Antioxidant Capacity and Physicochemical Properties of Brazilian Apis mellifera Honeys. LWT 2018, 91, 85–94. [Google Scholar] [CrossRef]
- Kunat-Budzyńska, M.; Rysiak, A.; Wiater, A.; Grąz, M.; Andrejko, M.; Budzyński, M.; Bryś, M.S.; Sudziński, M.; Tomczyk, M.; Gancarz, M.; et al. Chemical Composition and Antimicrobial Activity of New Honey Varietals. Int. J. Environ. Res. Public Health 2023, 20, 2458. [Google Scholar] [CrossRef]
- Pătruică, S.; Alexa, E.; Obiștioiu, D.; Cocan, I.; Radulov, I.; Berbecea, A.; Lazăr, R.N.; Simiz, E.; Vicar, N.M.; Hulea, A.; et al. Chemical Composition, Antioxidant and Antimicrobial Activity of Some Types of Honey from Banat Region, Romania. Molecules 2022, 27, 4179. [Google Scholar] [CrossRef]
- Boussaid, A.; Chouaibi, M.; Rezig, L.; Hellal, R.; Donsì, F.; Ferrari, G.; Hamdi, S. Physicochemical and Bioactive Properties of Six Honey Samples From Various Floral Origins From Tunisia. Arab. J. Chem. 2018, 11, 265–274. [Google Scholar] [CrossRef]
- Conti, M.E. Lazio Region (Central Italy) Honeys: A Survey of Mineral Content and Typical Quality Parameters. Food Control 2000, 11, 459–463. [Google Scholar] [CrossRef]
- Wilczyńska, A.; Newerli-Guz, J.; Szweda, P. Influence of the Addition of Selected Spices on Sensory Quality and Biological Activity of Honey. J. Food Qual. 2017, 2017, 6963904. [Google Scholar] [CrossRef]
- Đorđević, S.; Nedić, N.; Pavlović, A.; Milojković-Opsenica, D.; Tešić, Ž.; Gašić, U. Honey with Added Value—Enriched with Rutin and Quercetin from Sophora Flower. J. Herb. Med. 2022, 34, 100580. [Google Scholar] [CrossRef]
- Alzahrani, H.A.; Alsabehi, R.; Boukraâ, L.; Abdellah, F.; Bellik, Y.; Bakhotmah, B.A. Antibacterial and Antioxidant Potency of Floral Honeys from Different Botanical and Geographical Origins. Molecules 2012, 17, 100540–100549. [Google Scholar] [CrossRef]
- Weston, R.J.; Mitchell, K.R.; Allen, K.L. Antibacterial Phenolic Components of New Zealand Manuka Honey. Food Chem. 1999, 64, 295–301. [Google Scholar] [CrossRef]
- Cheung, Y.; Meenu, M.; Yu, X.; Xu, B. Phenolic Acids and Flavonoids Profiles of Commercial Honey from Different Floral Sources and Geographic Sources. Int. J. Food Prop. 2019, 22, 290–308. [Google Scholar] [CrossRef]
- Mandal, M.D.; Mandal, S. Honey: Its Medicinal Property and Antibacterial Activity. Asian Pac. J. Trop. Biomed. 2011, 1, 154–160. [Google Scholar] [CrossRef] [PubMed]
- Albaridi, N.A. Antibacterial Potency of Honey. Int. J. Microbiol. 2019, 2019, 2464507. [Google Scholar] [CrossRef] [PubMed]
- Almasaudi, S. The Antibacterial Activities of Honey. Saudi J. Biol. Sci. 2021, 28, 2188–2196. [Google Scholar] [CrossRef]
- Bui Thi, N.H.; Nguyen Thi, N.A.; Audira, G.; Siregar, P.; Liang, S.T.; Huang, J.C.; Hsiao, C.D. Chronic Exposure to Low Concentration Lead Chloride-Induced Anxiety and Loss of Aggression and Memory in Zebrafish. Int. J. Mol. Sci. 2020, 21, 1844. [Google Scholar] [CrossRef]
- Hu, S.; Han, J.; Yang, L.; Li, S.; Guo, Y.; Zhou, B.; Wu, H.; Hu, S.; Han, J.; Yang, L.; et al. Impact of Co-Exposure to Titanium Dioxide Nanoparticles and Pb on Zebrafish Embryos. Chemosphere 2019, 233, 579–589. [Google Scholar] [CrossRef]
- Zhang, W.; Fan, R.; Luo, S.; Ying, l.; Jin, Y.; Li, Y.; Xiong, M.; Yuan, X.; Jia, L.; Chen, Y. Antagonistic Effects and Mechanisms of Carbendazim and Chlorpyrifos on the Neurobehavior of Larval Zebrafish. Chemosphere 2022, 293, 133522. [Google Scholar] [CrossRef]
- Guerra, L.J.; do Amaral, A.M.B.; de Quadros, V.A.; da Luz Fiuza, T.; Rosemberg, D.B.; Prestes, O.D.; Zanella, R.; Clasen, B.; Loro, V.L. Biochemical and Behavioral Responses in Zebrafish Exposed to Imidacloprid Oxidative Damage and Antioxidant Responses. Arch. Environ. Contam. Toxicol. 2021, 81, 255–264. [Google Scholar] [CrossRef]
- Faria, M.; Prats, E.; Gómez-Canela, C.; Hsu, C.-Y.; Arick, M.A.; Bedrossiantz, J.; Orozco, M.; Garcia-Reyero, N.; Ziv, T.; Ben-Lulu, S.; et al. Therapeutic Potential of N-acetylcysteine in Acrylamide Acute Neurotoxicity in Adult Zebrafish. Sci. Rep. 2019, 9, 16467. [Google Scholar] [CrossRef]
- Abdulmajeed, W.I.; Sulieman, H.B.; Zubayr, M.O.; Imam, A.; Amin, A.; Biliaminu, S.A.; Oyewole, L.A.; Owoyele, B.V. Honey Prevents Neurobehavioural Deficit and Oxidative Stress Induced by Lead Acetate Exposure in Male Wistar Rats—A Preliminary Study. Metab. Brain Dis. 2016, 31, 37–44. [Google Scholar] [CrossRef] [PubMed]
- Robea, M.A.; Jijie, R.; Nicoara, M.; Plavan, G.; Ciobica, A.S.; Solcan, C.; Audira, G.; Hsiao, C.-D.; Strungaru, S.-A. Vitamin C Attenuates Oxidative Stress and Behavioral Abnormalities Triggered by Fipronil and Pyriproxyfen Insecticide Chronic Exposure on Zebrafish Juvenile. Antioxidants 2020, 9, 944. [Google Scholar] [CrossRef] [PubMed]
- Robea, M.A.; Ilie, O.D.; Nicoara, M.N.; Solcan, G.; Romila, L.E.; Ureche, D.; Ciobica, A. Vitamin B12 Ameliorates Pesticide-Induced Sociability Impairment in Zebrafish (Danio rerio): A Prospective Controlled Intervention Study. Animals 2024, 14, 405. [Google Scholar] [CrossRef] [PubMed]
- Zimmermann, F.F.; Gaspary, K.V.; Leite, C.E.; De Paula Cognato, G.; Bonan, C.D. Embryological Exposure to Valproic Acid Induces Social Interaction Deficits in Zebrafish (Danio rerio): A Developmental Behavior Analysis. Neurotoxicol. Teratol. 2015, 52, 36–41. [Google Scholar] [CrossRef]
- Robea, M.A.; Ciobica, A.; Curpan, A.S.; Plavan, G.; Strungaru, S.; Lefter, R.; Nicoara, M. Preliminary Results Regarding Sleep in a Zebrafish Model of Autism Spectrum Disorder. Brain Sci. 2021, 11, 556. [Google Scholar] [CrossRef]
- Chen, J.; Tanguay, R.L.; Simonich, M.; Nie, S.; Zhao, Y.; Li, L.; Bai, C.; Dong, Q.; Huang, C.; Lin, K. TBBPA Chronic Exposure Produces Sex-specific Neurobehavioral and Social Interaction Changes in Adult Zebrafish. Neurotoxicol. Teratol. 2016, 56, 9–15. [Google Scholar] [CrossRef]
- Fu, C.-W.; Horng, J.-L.; Tong, S.-K.; Cherng, B.-W.; Liao, B.-K.; Lin, L.-Y.; Chou, M.-Y. Exposure to Silver impairs Learning and Social Behaviors in Adult Zebrafish. J. Hazard. Mater. 2021, 403, 124031. [Google Scholar] [CrossRef]
- Naderi, M.; Puar, P.; JavadiEsfahani, R.; Kwong, R.W.M. Early Developmental Exposure to Bisphenol A and Bisphenol S Disrupts Socio-cognitive Function, Isotocin Equilibrium, and Excitation-Inhibition Balance in Developing Zebrafish. Neurotoxicology 2022, 88, 144–154. [Google Scholar] [CrossRef]
- Hong, X.; Zhao, G.; Zhou, Y.; Chen, R.; Li, J.; Zha, J. Risks to Aquatic Environments Posed by 14 Pharmaceuticals as Illustrated by Their Effects on Zebrafish Behaviour. Sci. Total Environ. 2021, 771, 145450. [Google Scholar] [CrossRef]
- Karri, V.; Schuhmacher, M.; Kumar, V. Heavy Metals (Pb, Cd, As and MeHg) as Risk Factors for Cognitive Dysfunction: A General Review of Metal Mixture Mechanism in Brain. Environ. Toxicol. Pharmacol. 2016, 48, 203–213. [Google Scholar] [CrossRef]
- Erejuwa, O.O.; Sulaiman, S.A.; Ab Wahab, M.S. Honey: A Novel Antioxidant. Molecules 2012, 17, 4400–4423. [Google Scholar] [CrossRef]
- Ahmed, S.; Sulaiman, S.A.; Baig, A.A.; Ibrahim, M.; Liaqat, S.; Fatima, S.; Jabeen, S.; Shamim, N.; Othman, N.H. Honey as a Potential Natural Antioxidant Medicine: An Insight into Its Molecular Mechanisms of Action. Oxidative Med. Cell. Longev. 2018, 2018, 8367846. [Google Scholar] [CrossRef] [PubMed]
- Ranneh, Y.; Akim, A.M.; Hamid, H.A.; Khazaai, H.; Fadel, A.; Zakaria, Z.A.; Albujja, M.; Bakar, M.F.A. Honey and Its Nutritional and Anti-inflammatory Value. BMC Complement. Med. Ther. 2021, 21, 30. [Google Scholar] [CrossRef] [PubMed]
- Khalil, M.I.; Sulaiman, S.A. The Potential Role of Honey and Its Polyphenols in Preventing Heart Diseases: A Review. Afr. J. Tradit. Complement. Altern. Med. 2010, 7, 315–321. [Google Scholar] [CrossRef]
- Olas, B. Honey and Its Phenolic Compounds as an Effective Natural Medicine for Cardiovascular Diseases in Humans? Nutrients 2020, 12, 283. [Google Scholar] [CrossRef]
- Bt Hj Idrus, R.; Sainik, N.; Nordin, A.; Saim, A.B.; Sulaiman, N. Cardioprotective Effects of Honey and Its Constituent: An Evidence-Based Review of Laboratory Studies and Clinical Trials. Int. J. Environ. Res. Public Health 2020, 17, 3613. [Google Scholar] [CrossRef]
- Kumar, S.; Verma, M.; Hajam, Y.A.; Kumar, R. Honey Infused with Herbs: A Boon to Cure Pathological Diseases. Heliyon 2024, 10, e23302. [Google Scholar] [CrossRef]
- Cruz, F.F.; Leite, C.E.; Pereira, T.C.; Bogo, M.R.; Bonan, C.D.; Battastini, A.M.; Campos, M.M.; Morrone, F.B. Assessment of Mercury Chloride-induced Toxicity and the Relevance of P2X7 Receptor Activation in Zebrafish Larvae. Comp. Biochem. Physiol. C Toxicol. Pharmacol. 2013, 158, 159–164. [Google Scholar] [CrossRef] [PubMed][Green Version]
- Jin, Y.; Liu, Z.; Liu, F.; Ye, Y.; Peng, T.; Fu, Z. Embryonic Exposure to Cadmium (II) and Chromium (VI) Induce Behavioral Alterations, Oxidative Stress and Immunotoxicity in Zebrafish (Danio rerio). Neurotoxicol. Teratol. 2015, 48, 9–17. [Google Scholar] [CrossRef]
- Ge, W.; Yan, S.; Wang, J.; Zhu, L.; Chen, A.; Wang, J. Oxidative Stress and DNA Damage Induced by Imidacloprid in Zebrafish (Danio rerio). J. Agric. Food Chem. 2015, 63, 1856–1862. [Google Scholar] [CrossRef]
- Banni, M.; Chouchene, L.; Said, K.; Kerkeni, A.; Messaoudi, I. Mechanisms Underlying the Protective Effect of Zinc and Selenium Against Cadmium-induced Oxidative Stress in Zebrafish Danio rerio. Biometals 2011, 24, 981–992. [Google Scholar] [CrossRef] [PubMed]
- Green, A.J.; Planchart, A. The Neurological Toxicity of Heavy Metals: A Fish Perspective. Comp. Biochem. Physiol. C Toxicol. Pharmacol. 2018, 208, 12–19. [Google Scholar] [CrossRef] [PubMed]
- Zhang, J.G.; Ma, D.D.; Xiong, Q.; Qiu, S.Q.; Huang, G.Y.; Shi, W.J.; Ying, G.G. Imidacloprid and Thiamethoxam Affect Synaptic Transmission in Zebrafish. Ecotoxicol. Environ. Saf. 2021, 227, 112917. [Google Scholar] [CrossRef] [PubMed]
- Capriello, T.; Grimaldi, M.C.; Cofone, R.; D’Aniello, S.; Ferrandino, I. Effects of Aluminium and Cadmium on Hatching and Swimming Ability in Developing Zebrafish. Chemosphere 2019, 222, 243–249. [Google Scholar] [CrossRef]
- Rosales-Pérez, K.E.; Elizalde-Velázquez, G.A.; Gómez-Oliván, L.M.; Orozco-Hernández, J.M.; Cardoso-Vera, J.D.; Heredia-García, G.; Islas-Flores, H.; García-Medina, S.; Galar-Martínez, M. Brain Damage Induced by Contaminants Released in a Hospital from Mexico: Evaluation of Swimming Behavior, Oxidative Stress, and Acetylcholinesterase in Zebrafish (Danio rerio). Chemosphere 2022, 294, 133791. [Google Scholar] [CrossRef]
- Azman, K.F.; Zakaria, R.; AbdAziz, C.; Othman, Z.; Al-Rahbi, B. Tualang honey improves memory performance and decreases depressive-like behavior in rats exposed to loud noise stress. Noise Health 2015, 17, 83–89. [Google Scholar] [CrossRef]
- Arabmoazzen, S.; Sarkaki, A.; Saki, G.; Mirshekar, M.A. Antidiabetic Effect of Honey Feeding in Noise Induced Hyperglycemic Rat: Involvement of Oxidative Stress. Iran. J. Basic Med. Sci. 2015, 18, 745–751. [Google Scholar]
- Qaid, E.Y.A.; Zakaria, R.; Mohd Yusof, N.A.; Sulaiman, S.F.; Shafin, N.; Othman, Z.; Ahmad, A.H.; Abd Aziz, C.B.; Muthuraju, S. Tualang Honey Ameliorates Hypoxia-induced Memory Deficits by Reducing Neuronal Damage in the Hippocampus of Adult Male Sprague Dawley Rats. Turk. J. Pharm. Sci. 2020, 17, 555–564. [Google Scholar] [CrossRef]
- Merciai, R.; Guasch, H.; Kumar, A.; Sabater, S.; García-Berthou, E. Trace Metal Concentration and Fish Size: Variation Among Fish Species in a Mediterranean River. Ecotoxicol. Environ. Saf. 2014, 107, 154–161. [Google Scholar] [CrossRef]
- Solayman, M.; Islam, M.A.; Paul, S.; Ali, Y.; Khalil, M.I.; Alam, N.; Gan, S.H. Physicochemical Properties, Minerals, Trace Elements, and Heavy Metals in Honey of Different Origins: A Comprehensive Review. Compr. Rev. Food Sci. Food Saf. 2016, 15, 219–233. [Google Scholar] [CrossRef]
- Hassan, A.T.; Kwong, R.W.M. The Neurophysiological Effects of Iron in Early Life Stages of Zebrafish. Environ. Pollut. 2020, 267, 115625. [Google Scholar] [CrossRef] [PubMed]
- Li, S.; Cao, C.; Shi, H.; Yang, S.; Qi, L.; Zhao, X.; Sun, C. Effect of Quercetin Against Mixture of Four Organophosphate pesticides Induced Nephrotoxicity in Rats. Xenobiotica 2016, 46, 225–233. [Google Scholar] [CrossRef] [PubMed]
- Dale, K.; Rasinger, J.D.; Thorstensen, K.L.; Penglase, S.; Ellingsen, S. Vitamin E Reduces Endosulfan-induced Toxic Effects on Morphology and Behavior in Early Development of Zebrafish (Danio rerio). Food Chem. Toxicol. 2017, 101, 84–93. [Google Scholar] [CrossRef] [PubMed]
- Zeng, X.; Du, Z.; Ding, X.; Jiang, W. Protective Effects of Dietary Flavonoids Against pesticide-induced Toxicity: A Review. Trends Food Sci. Technol. 2021, 109, 271–279. [Google Scholar] [CrossRef]
- Priyadarsini, K.I. The Chemistry of Curcumin: From Extraction to Therapeutic Agent. Molecules 2014, 19, 20091–20112. [Google Scholar] [CrossRef]
- Pivovarov, A.S.; Calahorro, F.; Walker, R.J. Na(+)/K(+)-pump and Neurotransmitter Membrane Receptors. Invertebr. Neurosci. 2018, 19, 1. [Google Scholar] [CrossRef]
- Glasdam, S.M.; Glasdam, S.; Peters, G.H. The Importance of Magnesium in the Human Body: A Systematic Literature Review. Adv. Clin. Chem. 2016, 73, 169–193. [Google Scholar] [CrossRef]
- Araujo, G.F.; Soares, L.O.S.; Junior, S.F.S.; Barreto de Carvalho, L.V.; Rocha, R.C.C.; Saint’Pierre, T.; Hauser-Davis, R.A.; Correia, F.V.; Saggioro, E.M. Oxidative Stress and Metal Homeostasis Alterations in Danio rerio (zebrafish) under Single and Combined Carbamazepine, Acetamiprid and Cadmium Exposures. Aquat. Toxicol. 2022, 245, 106122. [Google Scholar] [CrossRef]
- Alsop, D.; Wood, C.M. Metal Uptake and Acute Toxicity in Zebrafish: Common Mechanisms Across Multiple Metals. Aquat. Toxicol. 2011, 105, 385–393. [Google Scholar] [CrossRef]
- Shaw, P.; Mondal, P.; Dey Bhowmik, A.; Bandyopadhyay, A.; Sudarshan, M.; Chakraborty, A.; Chattopadhyay, A. Environmentally Relevant Hexavalent Chromium Disrupts Elemental Homeostasis and Induces Apoptosis in Zebrafish Liver. Bull. Environ. Contam. Toxicol. 2022, 108, 716–724. [Google Scholar] [CrossRef]
- Siblerud, R.; Mutter, J.; Moore, E.; Naumann, J.; Walach, H. A Hypothesis and Evidence That Mercury May be an Etiological Factor in Alzheimer’s Disease. Int. J. Environ. Res. Public Health 2019, 16, 5152. [Google Scholar] [CrossRef] [PubMed]
- Devarapogu, R.; Asupatri, U.R. Effects of Zinc Supplementation in Mitigating the Harmful Effects of Chronic Cadmium Exposure in a Zebrafish Model. Environ. Toxicol. Pharmacol. 2023, 100, 104158. [Google Scholar] [CrossRef] [PubMed]
- Hol, E.M.; Pekny, M. Glial Fibrillary Acidic Protein (GFAP) and the Astrocyte Intermediate Filament System in Diseases of the Central Nervous System. Curr. Opin. Cell Biol. 2015, 32, 121–130. [Google Scholar] [CrossRef] [PubMed]
- Brenner, M.; Kisseberth, W.C.; Su, Y.; Besnard, F.; Messing, A. GFAP Promoter Directs Astrocyte-specific Expression in Transgenic Mice. J. Neurosci. 1994, 14, 1030–1037. [Google Scholar] [CrossRef] [PubMed]
- Escartin, C.; Galea, E.; Lakatos, A.; O’Callaghan, J.P.; Petzold, G.C.; Serrano-Pozo, A.; Steinhäuser, C.; Volterra, A.; Carmignoto, G.; Agarwal, A.; et al. Reactive Astrocyte Nomenclature, Definitions, and Future Directions. Nat. Neurosci. 2021, 24, 312–325. [Google Scholar] [CrossRef]
- Ben Haim, L.; Rowitch, D.H. Functional Diversity of Astrocytes in Neural Circuit Regulation. Nat. Rev. Neurosci. 2017, 18, 31–41. [Google Scholar] [CrossRef]
- Gradisnik, L.; Velnar, T. Astrocytes in the Central Nervous System and their Functions in Health and Disease: A Review. World J. Clin. Cases 2023, 11, 3385–3394. [Google Scholar] [CrossRef]
- Oberheim, N.A.; Goldman, S.A.; Nedergaard, M. Heterogeneity of Astrocytic Form and Function. Methods Mol. Biol. 2012, 814, 23–45. [Google Scholar] [CrossRef]
- Grupp, L.; Wolburg, H.; Mack, A.F. Astroglial Structures in the Zebrafish Brain. J. Comp. Neurol. 2010, 518, 4277–4287. [Google Scholar] [CrossRef]
- Kettenmann, H.; Verkhratsky, A. Neuroglia—Living Nerve Glue. Fortschr. Neurol. Psychiatr. 2011, 79, 588–597. [Google Scholar] [CrossRef]
- Hamby, M.E.; Sofroniew, M.V. Reactive Astrocytes as Therapeutic Targets for CNS Disorders. Neurotherapeutics 2010, 7, 494–506. [Google Scholar] [CrossRef] [PubMed]
- Floden, A.M.; Combs, C.K. Microglia Repetitively Isolated from in vitro Mixed Glial Cultures Retain their Initial Phenotype. J. Neurosci. Methods 2007, 164, 218–224. [Google Scholar] [CrossRef] [PubMed]
- Fellin, T.; Ellenbogen, J.M.; De Pittà, M.; Ben-Jacob, E.; Halassa, M.M. Astrocyte regulation of sleep circuits: Experimental and modeling perspectives. Front. Comput. Neurosci. 2012, 6, 65. [Google Scholar] [CrossRef] [PubMed]
- Souza, D.G.; Bellaver, B.; Souza, D.O.; Quincozes-Santos, A. Characterization of adult rat astrocyte cultures. PLoS ONE 2013, 8, e60282. [Google Scholar] [CrossRef] [PubMed]
- He, Y.; Taylor, N.; Bhattacharya, A. Isolation and Culture of Astrocytes from Postnatal and Adult Mouse Brains. Methods Mol. Biol. 2019, 1938, 37–47. [Google Scholar] [CrossRef] [PubMed]
- López, E.; Arce, C.; Oset-Gasque, M.J.; Cañadas, S.; González, M.P. Cadmium Induces Reactive Oxygen Species Generation and Lipid Peroxidation in Cortical Neurons in Culture. Free Radic. Biol. Med. 2006, 40, 940–951. [Google Scholar] [CrossRef]
- Bolam, J.P.; Pissadaki, E.K. Living on the Edge with Too Many Mouths to Feed: Why Dopamine Neurons Die. Mov. Disord. 2012, 27, 1478–1483. [Google Scholar] [CrossRef]
- Rayman, M.P. Selenium and Human Health. Lancet 2012, 379, 1256–1268. [Google Scholar] [CrossRef]
- O’Donnell, K.C.; Vargas, M.E.; Sagasti, A. WldS and PGC-1α Regulate Mitochondrial Transport and Oxidation State After Axonal Injury. J. Neurosci. 2013, 33, 14778–14790. [Google Scholar] [CrossRef]
- Tisler, T.; Jemec, A.; Mozetic, B.; Trebse, P. Hazard Identification of Imidacloprid to Aquatic Environment. Chemosphere 2009, 76, 907–914. [Google Scholar] [CrossRef]
- Duzguner, V.; Erdogan, S. Chronic exposure to imidacloprid induces inflammation and oxidative stress in the liver & central nervous system of rats. Pestic. Biochem. Physiol. 2012, 104, 58–64. [Google Scholar] [CrossRef]
- Abdel-Rahman Mohamed, A.; Mohamed, W.A.M.; Khater, S.I. Imidacloprid Induces Various Toxicological Effects Related to the Expression of 3β-HSD, NR5A1, and OGG1 Genes in Mature and Immature Rats. Environ. Pollut. 2017, 221, 15–25. [Google Scholar] [CrossRef] [PubMed]
- Antonio, M.T.; Peinado, V.; González, J.C.; Leret, M.L. Effects of Maternal Cadmium Administration on Development of Monoaminergic, GABAergic and Glutamatergic Systems. Environ. Toxicol. Pharmacol. 2010, 29, 87–90. [Google Scholar] [CrossRef]
- Philbert, M.A.; Billingsley, M.L.; Reuhl, K.R. Mechanisms of Injury in the Central Nervous System. Toxicol. Pathol. 2000, 28, 43–53. [Google Scholar] [CrossRef] [PubMed]
- Cambier, S.; Bénard, G.; Mesmer-Dudons, N.; Gonzalez, P.; Rossignol, R.; Brèthes, D.; Bourdineaud, J.P. At Environmental Doses, Dietary Methylmercury Inhibits Mitochondrial Energy Metabolism in Skeletal Muscles of the Zebra fish (Danio rerio). Int. J. Biochem. Cell. Biol. 2009, 41, 791–799. [Google Scholar] [CrossRef]
- Borges, A.C.; Da Silva Montes, C.; Barbosa, L.A.; Ferreira, M.A.P.; Berrêdo, J.F.; Martins Rocha, R. Integrated Use of Histological and Ultrastructural Biomarkers for Assessing Mercury Pollution in Piranhas (Serrasalmus rhombeus) from the Amazon Mining Region. Chemosphere 2018, 202, 788–796. [Google Scholar] [CrossRef]
- Bhattacharya, S.; Large, E.; Heizmann, C.W.; Hemmings, B.; Chazin, W.J. Structure of the Ca2+/S100B/NDR Kinase Peptide Complex: Insights Into S100 Target Specificity and Activation of the Kinase. Biochemistry 2003, 42, 14416–14426. [Google Scholar] [CrossRef]
- Leclerc, E.; Fritz, G.; Weibel, M.; Heizmann, C.W.; Galichet, A. S100B and S100A6 Differentially Modulate Cell Survival by Interacting with Distinct RAGE (Receptor for Advanced Glycation End Products) Immunoglobulin Domains. J. Biol. Chem. 2007, 282, 31317–31331. [Google Scholar] [CrossRef]
- Sorci, G.; Riuzzi, F.; Arcuri, C.; Giambanco, I.; Donato, R. Amphoterin Stimulates Myogenesis and Counteracts the Antimyogenic Factors Basic Fibroblast Growth Factor and S100B via RAGE Binding. Mol. Cell. Biol. 2004, 24, 4880–4894. [Google Scholar] [CrossRef]
- Vogl, T.; Tenbrock, K.; Ludwig, S.; Leukert, N.; Ehrhardt, C.; van Zoelen, M.A.; Nacken, W.; Foell, D.; van der Poll, T.; Sorg, C.; et al. Mrp8 and Mrp14 are Endogenous Activators of Toll-like Receptor 4, Promoting Lethal, Endotoxin-induced Shock. Nat. Med. 2007, 13, 1042–1049. [Google Scholar] [CrossRef]
- Chan, J.K.; Roth, J.; Oppenheim, J.J.; Tracey, K.J.; Vogl, T.; Feldmann, M.; Horwood, N.; Nanchahal, J. Alarmins: Awaiting a Clinical Response. J. Clin. Investig. 2012, 122, 2711–2719. [Google Scholar] [CrossRef] [PubMed]
- Newton, K.; Dixit, V.M. Signaling in Innate Immunity and Inflammation. Cold Spring Harb. Perspect. Biol. 2012, 4, a006049. [Google Scholar] [CrossRef] [PubMed]
- Donato, R. Intracellular and Extracellular Roles of S100 Proteins. Microsc. Res. Tech. 2003, 60, 540–551. [Google Scholar] [CrossRef]
- Sorci, G.; Agneletti, A.L.; Donato, R. Effects of S100A1 and S100B on Microtubule Stability. An in vitro Study Using Triton-cytoskeletons from Astrocyte and Myoblast Cell Lines. Neuroscience 2000, 99, 773–783. [Google Scholar] [CrossRef] [PubMed]
- Raponi, E.; Agenes, F.; Delphin, C.; Assard, N.; Baudier, J.; Legraverend, C.; Deloulme, J.C. S100B Expression Defines a State in Which GFAP-expressing Cells Lose Their Neural Stem Cell Potential and Acquire a More Mature Developmental Stage. Glia 2007, 55, 165–177. [Google Scholar] [CrossRef]
- Grandel, H.; Kaslin, J.; Ganz, J.; Wenzel, I.; Brand, M. Neural Stem Cells and Neurogenesis in the Adult Zebrafish Brain: Origin, Proliferation Dynamics, Migration and Cell Fate. Dev. Biol. 2006, 295, 263–277. [Google Scholar] [CrossRef]
- Ninkovic, J.; Götz, M. Signaling in Adult Neurogenesis: From Stem Cell Niche to Neuronal Networks. Curr. Opin. Neurobiol. 2007, 17, 338–344. [Google Scholar] [CrossRef]
- Mahler, J.; Driever, W. Expression of the Zebrafish Intermediate Neurofilament Nestin in the Developing Nervous System and in Neural Proliferation Zones at Postembryonic Stages. BMC Dev. Biol. 2007, 7, 89. [Google Scholar] [CrossRef]
- Hassan, S.A.; Moussa, E.A.; Abbott, L.C. The Effect of Methylmercury Exposure on Early Central Nervous System Development in the Zebrafish (Danio rerio) embryo. J. Appl. Toxicol. 2012, 32, 707–713. [Google Scholar] [CrossRef]
- Smith, L.E.; Carvan, M.J.; Dellinger, J.A.; Ghorai, J.K.; White, D.B.; Williams, F.E.; Weber, D.N. Developmental Selenomethionine and Methylmercury Exposures Affect Zebrafish Learning. Neurotoxicol. Teratol. 2010, 32, 246–255. [Google Scholar] [CrossRef]
- Yang, L.; Kemadjou, J.R.; Zinsmeister, C.; Bauer, M.F.; Legradi, J.; Müller, F.; Pankratz, M.J.; Jäkel, J.; Strähle, U. Transcriptional Profiling Reveals Barcode-like Toxicogenomic Responses in the Zebrafish Embryo. Genome Biol. 2007, 8, R227. [Google Scholar] [CrossRef] [PubMed]
- Hamed, H.S.; El-Sayed, Y.S. Antioxidant Activities of Moringa oleifera Leaf Extract Against Pendimethalin-induced Oxidative Stress and Genotoxicity in Nile tilapia, Oreochromis niloticus (L.). Fish Physiol. Biochem. 2019, 45, 71–82. [Google Scholar] [CrossRef] [PubMed]
- Mallya, R.; Chatterjee, P.K.; Vinodini, N.A.; Chatterjee, P.; Mithra, P. Moringa oleifera Leaf Extract: Beneficial Effects on Cadmium Induced Toxicities—A Review. J. Clin. Diagn. Res. 2017, 11, CE01–CE04. [Google Scholar] [CrossRef] [PubMed]
- Sreelatha, S.; Padma, P.R. Antioxidant Activity and Total phenolic Content of Moringa oleifera Leaves in Two Stages of Maturity. Plant Foods Hum. Nutr. 2009, 64, 303–311. [Google Scholar] [CrossRef]
- Guardia de Souza, E.S.T.; do Val de Paulo, M.E.F.; da Silva, J.R.M.; da Silva Alves, A.; Britto, L.R.G.; Xavier, G.F.; Lopes Sandoval, M.R. Oral Treatment with Royal Jelly Improves Memory and Presents Neuroprotective Effects on icv-STZ Rat Model of Sporadic Alzheimer’s Disease. Heliyon 2020, 6, e03281. [Google Scholar] [CrossRef]
- Li, X.T.; Zhou, J.C.; Zhou, Y.; Ren, Y.S.; Huang, Y.H.; Wang, S.M.; Tan, L.; Yang, Z.Y.; Ge, Y.W. Pharmacological Effects of Eleutherococcus senticosus on the Neurological Disorders. Phytother. Res. 2022, 36, 3490–3504. [Google Scholar] [CrossRef]
- Yang, Y.; Gao, H.; Liu, W.; Liu, X.; Jiang, X.; Li, X.; Wu, Q.; Xu, Z.; Zhao, Q. Arctium lappa L. Roots Ameliorates Cerebral Ischemia Through Inhibiting Neuronal Apoptosis and Suppressing AMPK/mTOR-Mediated Autophagy. Phytomedicine 2021, 85, 153526. [Google Scholar] [CrossRef]
- Sayyar, Z.; Yazdinezhad, A.; Hassan, M.; Anarkooli, I.J. Protective Effect of Matricaria chamomilla Ethanolic Extract on Hippocampal Neuron Damage in Rats Exposed to Formaldehyde. Oxid. Med. Cell. Longev. 2018, 2018, 6414317. [Google Scholar] [CrossRef] [PubMed]
- Asgharzade, S.; Rabiei, Z.; Rafieian-kopaei, M. Effects of Matricaria chamomilla Extract on Motor Coordination Impairment Induced by Scopolamine in Rats. Asian Pac. J. Trop. Biomed. 2015, 5, 829–833. [Google Scholar] [CrossRef]
- Wang, X.; Zhang, Z.; Wu, S.C. Health Benefits of Silybum marianum: Phytochemistry, Pharmacology, and Applications. J. Agric. Food Chem. 2020, 68, 11644–11664. [Google Scholar] [CrossRef]
- Csakvari, A.C.; Moisa, C.; Radu, D.G.; Olariu, L.M.; Lupitu, A.I.; Panda, A.O.; Pop, G.; Chambre, D.; Socoliuc, V.; Copolovici, L.; et al. Green Synthesis, Characterization, and Antibacterial Properties of Silver Nanoparticles Obtained by Using Diverse Varieties of Cannabis sativa Leaf Extracts. Molecules 2021, 26, 4041. [Google Scholar] [CrossRef]
- Rababah, T.M.; Al-Omoush, M.; Brewer, S.; Alhamad, M.; Yang, W.; Alrababah, M.; Al-Ghzawi, A.A.M.; Al-u’datt, M.; Ereifej, K.; Alsheyab, F.; et al. Total Phenol, Antioxidant Activity, Flavonoids, Anthocyanins and Color of Honey as Affected by Floral Origin Found in the Arid and Semiarid Mediterranean Areas. J. Food Process. Preserv. 2014, 38, 1119–1128. [Google Scholar] [CrossRef]
- Bogdan, M.A.; Bungau, S.; Tit, D.M.; Zaha, D.C.; Nechifor, A.C.; Behl, T.; Chambre, D.; Lupitu, A.I.; Copolovici, L.; Copolovici, D.M. Chemical Profile, Antioxidant Capacity, and Antimicrobial Activity of Essential Oils Extracted from Three Different Varieties (Moldoveanca 4, Vis Magic 10, and Alba 7) of Lavandula angustifolia. Molecules 2021, 26, 4381. [Google Scholar] [CrossRef]
- Wu, S.; Li, X.; Liu, X.; Yang, G.; An, X.; Wang, Q.; Wang, Y. Joint Toxic Effects of Triazophos and Imidacloprid on Zebrafish (Danio rerio). Environ. Pollut. 2018, 235, 470–481. [Google Scholar] [CrossRef]
- Richetti, S.K.; Rosemberg, D.B.; Ventura-Lima, J.; Monserrat, J.M.; Bogo, M.R.; Bonan, C.D. Acetylcholinesterase Activity and Antioxidant Capacity of Zebrafish Brain is Altered by Heavy Metal Exposure. Neurotoxicology 2011, 32, 116–122. [Google Scholar] [CrossRef]
- Plavan, G.; Jitar, O.; Teodosiu, C.; Nicoara, M.; Micu, D.; Strungaru, S.A. Toxic Metals in Tissues of Fishes from the Black Sea and Associated Human Health Risk Exposure. Environ. Sci. Pollut. Res. 2017, 24, 7776–7787. [Google Scholar] [CrossRef]
- Lee, J.W.; Kim, J.-W.; De Riu, N.; Moniello, G.; Hung, S.S.O. Histopathological Alterations of Juvenile Green (Acipenser medirostris) and White Sturgeon (Acipenser transmontanus) Exposed to Graded Levels of Dietary Methylmercury. Aquat. Toxicol. 2012, 109, 90–99. [Google Scholar] [CrossRef]
- Félix, L.; Carreira, P.; Peixoto, F. Effects of Chronic Exposure of Naturally Weathered Microplastics on Oxidative Stress Level, Behaviour, and Mitochondrial Function of Adult Zebrafish (Danio rerio). Chemosphere 2023, 310, 136895. [Google Scholar] [CrossRef]
- Boopathi, S.; Haridevamuthu, B.; Mendonca, E.; Gandhi, A.; Priya, P.S.; Alkahtani, S.; Al-Johani, N.S.; Arokiyaraj, S.; Guru, A.; Arockiaraj, J.; et al. Combined Effects of a High-fat Diet and Polyethylene Microplastic Exposure Induce Impaired Lipid Metabolism and Locomotor Behavior in Larvae and Adult Zebrafish. Sci. Total Environ. 2023, 902, 165988. [Google Scholar] [CrossRef]
- Rodrigues Garcia, T.; Freire, P.T.C.; da Silva, A.W.; Ferreira, M.K.A.; Rebouças, E.L.; Mendes, F.R.S.; Marinho, E.M.; Marinho, M.M.; Teixeira, A.M.R.; Marinho, E.S.; et al. Anxiolytic and Anticonvulsant Effect of Ibuprofen Derivative Through GABAergic Neuromodulation in Adult Zebrafish. J. Biomol. Struct. Dyn. 2023, 41, 12055–12062. [Google Scholar] [CrossRef]
- Maffioli, E.; Nonnis, S.; Negri, A.; Fontana, M.; Frabetti, F.; Rossi, A.R.; Tedeschi, G.; Toni, M. Environmental Temperature Variation Affects Brain Lipid Composition in Adult Zebrafish (Danio rerio). Int. J. Mol. Sci. 2024, 25, 9629. [Google Scholar] [CrossRef] [PubMed]








| Parameters | Honey Sample | |
|---|---|---|
| Polyfloral | Formulation | |
| Physicochemical parameters | ||
| Moisture (%) | 19.467 ± 0.115 b | 22.667 ± 0.115 a | 
| TSS (°Brix) | 80.533 ± 0.115 a | 77.333 ± 0.115 b | 
| pH | 3.93 ± 0.01 b | 4.05 ± 0.05 a | 
| Free acidity (meq·kg−1) | 20.100 ± 0.100 b | 40.067 ± 0.115 a | 
| Electrical conductivity (mS·cm−1) | 0.453 ± 0.002 b | 0.538 ± 0.001 a | 
| Metal ion concentrations (mg·g−1) | ||
| Bioelements | ||
| K | 238.56 ± 22.24 b | 534.63 ± 38.11 a | 
| Ca | 63 ± 9.45 b | 180.3 ± 19.83 a | 
| Mg | 35.53 ± 1.88 b | 100.89 ± 5.06 a | 
| Na | 5.921 ± 0.51 b | 38.084 ± 5.71 a | 
| Zn | 11.69 ± 1.25 a | 9.31 ± 1.01 b | 
| Fe | 5.62 ± 0.5 b | 6.52 ± 0.53 a | 
| Mn | 0.483 ± 0.053 b | 1.139 ± 0.159 a | 
| Cu | 0.233 ± 0.028 b | 0.513 ± 0.035 a | 
| Cr | 0.134 ± 0.012 a | 0.143 ± 0.013 a | 
| Toxic metals | ||
| Cd | 1.9 ± 0.2 (×10−3) a | 2 ± 0.3 (×10−3) a | 
| Pb | 9 ± 2 (×10−3) a | 10 ± 2.5 (×10−3) a | 
| Bioactive compounds | ||
| TPC (mg GAE per 100 g sample) | 143.415 ± 1.771 | 371.318 ± 0.740 | 
| TFC (mg RE per 100 g sample) | 59.751 ± 0.272 | 269.932 ± 5.203 | 
| TAC (mg CGE per 100 g honey) | 1.761 ± 0.127 | 10.086 ± 0.421 | 
| Antioxidant capacity (AC) | ||
| DPPH (mg GAE per 100 g honey) | 0.584 ± 0.075 | 4.851 ± 0.058 | 
| ABTS (mg TE per 100 g honey) | 1214.72 ± 86.036 | 2315.716 ± 110.638 | 
| Compound | tR (min) | Control Sample (mg per 100 g Sample) | HF (mg per 100 g Sample) | 
|---|---|---|---|
| Phenolic acids | |||
| Gallic acid | Tr | Tr | |
| Pyrogallol | 5.94 | 0.05 ± 0.01 | 1.76 ± 0.33 | 
| Caffeic acid | Tr | Tr | |
| Vanillic acid | Tr | Tr | |
| Syringic acid | 8.79 | 0.78 ± 0.0168 | 0.27 ± 0.02 | 
| p-Coumaric acid | Tr | Tr | |
| Rosmarinic acid | Tr | Tr | |
| Ferulic acid | 11.00 | 0.36 ± 0.01 | 0.58 ± 0.01 | 
| Flavonoids | |||
| Rutin | Tr | Tr | |
| Catechin | Tr | Tr | |
| Quercetin | 11.40 | 0.50 ± 0.01 | 1.21 ± 0.01 | 
| Kaempferol | Tr | Tr | |
| Vitamin | |||
| Riboflavin (Vitamin B2) | 8.19 | 0.1 ± 0.01 | 0.13 ± 0.013 | 
| Ascorbic acid (Vitamin C) | Tr | Tr | 
| Disclaimer/Publisher’s Note: The statements, opinions and data contained in all publications are solely those of the individual author(s) and contributor(s) and not of MDPI and/or the editor(s). MDPI and/or the editor(s) disclaim responsibility for any injury to people or property resulting from any ideas, methods, instructions or products referred to in the content. | 
© 2024 by the authors. Licensee MDPI, Basel, Switzerland. This article is an open access article distributed under the terms and conditions of the Creative Commons Attribution (CC BY) license (https://creativecommons.org/licenses/by/4.0/).
Share and Cite
Paduraru, E.; Jijie, R.; Simionov, I.-A.; Gavrilescu, C.-M.; Ilie, T.; Iacob, D.; Lupitu, A.; Moisa, C.; Muresan, C.; Copolovici, L.; et al. Honey Enriched with Additives Alleviates Behavioral, Oxidative Stress, and Brain Alterations Induced by Heavy Metals and Imidacloprid in Zebrafish. Int. J. Mol. Sci. 2024, 25, 11730. https://doi.org/10.3390/ijms252111730
Paduraru E, Jijie R, Simionov I-A, Gavrilescu C-M, Ilie T, Iacob D, Lupitu A, Moisa C, Muresan C, Copolovici L, et al. Honey Enriched with Additives Alleviates Behavioral, Oxidative Stress, and Brain Alterations Induced by Heavy Metals and Imidacloprid in Zebrafish. International Journal of Molecular Sciences. 2024; 25(21):11730. https://doi.org/10.3390/ijms252111730
Chicago/Turabian StylePaduraru, Emanuela, Roxana Jijie, Ira-Adeline Simionov, Cristina-Maria Gavrilescu, Tudor Ilie, Diana Iacob, Andreea Lupitu, Cristian Moisa, Claudia Muresan, Lucian Copolovici, and et al. 2024. "Honey Enriched with Additives Alleviates Behavioral, Oxidative Stress, and Brain Alterations Induced by Heavy Metals and Imidacloprid in Zebrafish" International Journal of Molecular Sciences 25, no. 21: 11730. https://doi.org/10.3390/ijms252111730
APA StylePaduraru, E., Jijie, R., Simionov, I.-A., Gavrilescu, C.-M., Ilie, T., Iacob, D., Lupitu, A., Moisa, C., Muresan, C., Copolovici, L., Copolovici, D. M., Mihalache, G., Lipsa, F. D., Solcan, G., Danelet, G.-A., Nicoara, M., Ciobica, A., & Solcan, C. (2024). Honey Enriched with Additives Alleviates Behavioral, Oxidative Stress, and Brain Alterations Induced by Heavy Metals and Imidacloprid in Zebrafish. International Journal of Molecular Sciences, 25(21), 11730. https://doi.org/10.3390/ijms252111730
 
        





 
                         
       