Abstract
Environmental concerns have consistently been a focal point for the scientific community. Pollution is a critical ecological issue that poses significant threats to human health and agricultural production. Contamination with heavy metals and pesticides is a considerable concern, a threat to the environment, and warrants special attention. In this study, we investigated the significant issues arising from sub-chronic exposure to imidacloprid (IMI), mercury (Hg), and cadmium (Cd), either alone or in combination, using zebrafish (Danio rerio) as an animal model. Additionally, we assessed the potential protective effects of polyfloral honey enriched with natural ingredients, also called honey formulation (HF), against the combined sub-chronic toxic effects of the three contaminants. The effects of IMI (0.5 mg·L−1), Hg (15 μg·L−1), and Cd (5 μg·L−1), both individually and in combination with HF (500 mg·L−1), on zebrafish were evaluated by quantifying acetylcholinesterase (AChE) activity, lipid peroxidation (MDA), various antioxidant enzyme activities like superoxide dismutase and glutathione peroxidase (SOD and GPx), 2D locomotor activity, social behavior, histological and immunohistochemical factors, and changes in body element concentrations. Our findings revealed that all concentrations of pollutants may disrupt social behavior, diminish swimming performances (measured by total distance traveled, inactivity, and swimming speed), and elevate oxidative stress (OS) biomarkers of SOD, GPx, and MDA in zebrafish over the 21-day administration period. Fish exposed to IMI and Hg + Cd + IMI displayed severe lesions and increased GFAP (Glial fibrillary acidic protein) and S100B (S100 calcium-binding protein B) protein expression in the optic tectum and cerebellum, conclusively indicating astrocyte activation and neurotoxic effects. Furthermore, PCNA (Proliferating cell nuclear antigen) staining revealed reduced cell proliferation in the IMI-exposed group, contrasting with intensified proliferation in the Hg + Cd group. The nervous system exhibited significant damage across all studied concentrations, confirming the observed behavioral changes. Moreover, HF supplementation significantly mitigated the toxicity induced by contaminants and reduced OS. Therefore, the exposure to chemical mixtures offers a more complete picture of adverse impacts on aquatic ecosystems and the supplementation with bioactive compounds can help to reduce the toxicity induced by exposure to environmental pollutants.
1. Introduction
The functional food product market is growing due to increased consumer awareness of healthy food, the connection between nutrition and diseases, and the demand for innovative products. Efforts to enhance honey’s nutritional value with functional ingredients are ongoing, as honey can be enriched with additional components to boost its health benefits and overall dietary composition [1,2,3,4]. Introducing additives to honey not only enhances the sensory properties of honey, such as color, taste, or smell, but also significantly amplifies its pharmacokinetic, physicochemical, and microbiological effects, as evidenced by previous research [2,5,6,7,8,9]. For example, flavored honey has been proven to possess antioxidant, antiviral, antibacterial, antifungal, and hepatoprotective properties [3,5,7,8]. Sowa et al. (2019) found that polyfloral honey enriched with Melilotus flowers contains coumarin and that coumarin may hold therapeutic potential [8]. Additionally, honey supplemented with sea buckthorn leaf and black raspberry fruits effectively inhibited S. aureus biofilm formation [5]. Furthermore, a synergistic hepatoprotective effect was observed for a mixture of chestnut honey, artichoke (Cynara cardunculus var. scolymus L.), milk thistle (Silybum marianum L.), and borututu (Cochlospermum angolensis Welw.) [7]. Moreover, the usefulness of natural supplements has attracted ample interest due to their potential protective role against the adverse effects of pollutants. It has been demonstrated that sesame oil alleviates cypermethrin-induced brain toxicity [10], Ginkgo biloba extract provides protective benefits against mercury chloride (HgCl2)-induced oxidative damage [11], dietary supplementation with Arthrospira platensis (Gomont, 1892) may restore normal hepatic function disrupted by cadmium chloride (CdCl2) exposure [12], and Turnera diffusa (Willd) may play a protective role against testicular toxicity induced by fenitrothion (FNT) and/or hexavalent chromium [13].
The co-occurrence of metals and pesticides in aquatic environments has been demonstrated by environmental surveys [14,15,16], and their presence in food and drinking water has also been indicated by several studies [17,18]. However, little knowledge exists about their combined toxic effects and potential interactions. Studies have associated acute and chronic exposure to heavy metals and pesticides with testicular toxicity [13], hepatotoxicity [19,20], and neurotoxicity [21,22]. For instance, co-exposure to chlorpyrifos (CPF) and Cd has been found to cause synergistic injury, reducing the viability of Hep G2cells [20]. It has been observed that the combination of CPF and Cd forms a complex that promotes the bioaccumulation of metal, leading to increased toxicity. Similar synergistic impairment has been reported in zebrafish (Danio rerio, Hamilton, 1822) embryos due to the combination of nickel sulfate (NiSO4) and buprofezin [23]. Lajmanovich et al. (2019) demonstrated the synergistic toxicity of a glyphosate-based herbicide and arsenite (As (III)) mixture, which negatively affected tadpole development by increasing OS and thyroid hormone levels [24]. In a previous study, it was shown that acute exposure to deltamethrin (DM) and lead (Pb) induces damage to zebrafish, resulting in significant alterations in their behavior [22]. Conversely, the DM-associated behavioral changes and OS were mitigated in the presence of nickel (Ni) and Cd [21]. Thus, evaluating the effects of single contaminants may not fully reflect the real exposure risk to aquatic ecosystems and human health.
The limited availability of data on the toxicity of joint compound exposure concerning animal behavior and cognitive responses is an intriguing aspect worth considering [25]. Most toxicology studies predominantly focus on alterations in physiological and biochemical parameters [26], rather than on the relationship between biological and behavioral processes [22]. As a result of its complex behavioral responses, the zebrafish (Danio rerio) has rapidly emerged as a popular model organism for screening the effects of various toxic and bioactive compounds and the associated mechanisms [27,28]. In addition to sharing many molecular, biochemical, cellular, and physiological similarities with mammals, zebrafish have several advantages including a high reproductive rate, external fertilization, optical transparency, small size, rapid development, a short life cycle, easy husbandry, and cost-effectiveness [29,30]. Therefore, by evaluating the impact of various substances on zebrafish, valuable information for both human and fish safety can be obtained.
In our study, a stress condition was induced by exposing zebrafish to a ternary mixture of Cd, Hg, and IMI. Previous research indicates that exposure to these contaminants can result in organ and system damage in zebrafish. For instance, Cd exposure can elicit neurotoxicity, microbiota dysbiosis, disruption of thyroid endocrine and reproductive systems, and developmental abnormalities [27,31,32,33,34,35]. Xia et al. (2020) demonstrated that exposure to 5 μg·L−1 Cd for 7 days induced changes in locomotor activities and in microbiota diversity and richness in zebrafish [31]. Combined exposure to 10 μg·L−1 Cd and polystyrene beads (5 μm in diameter) for 3 weeks induced oxidative damage and inflammation in zebrafish tissues [27]. In addition, co-exposure of zebrafish adults to 0.1 μg·L−1 Cd and tributyltin (TBT) for 90 days can cause neurotoxicity and disruption of the thyroid system as well as developmental impairments in the offspring larvae [34]. Stronger effects were found for zebrafish exposed to ionic Cd compared to Cd-containing nanoparticles (5 nm in diameter), for the same nominal concentration of Cd (10 μg·L−1) [35]. Likewise, Hg exposure may lead to cumulative impacts on motor and cognitive functions, characterized by increased anxiety-related responses [36] and decreased aggressive behavior [37]. Moreover, the short-term exposure to 7.7 and 38.5 μg·L−1 HgCl2 resulted in morpho-functional alterations in zebrafish gills and changes in the expression patterns of Na+/K+-ATPase and metallothioneins [38]. The reproductive function of adult zebrafish can be impaired by exposure to environmentally relevant concentrations of Hg (0.6–15 μg·L−1) during early life [39]. Sun et al. (2018) revealed that exposure of zebrafish embryos/larvae to Hg in the range of environmentally relevant concentrations (1–16 μg·L−1) for 7 days augmented the whole-body thyroid hormone levels and altered the transcription of related hypothalamic–pituitary–thyroid axis genes [40]. Similarly, IMI treatment has been associated with adverse effects on social behavior [41] and oxidative damage [42]. For instance, low concentrations of IMI (100 and 1000 μg·L−1) caused intestinal histological injury, OS, an inflammatory response, and gut microbiota dysbiosis [42]. Co-exposure to 100 μg·L−1 IMI and 20 μg·L−1 polystyrene (PS) microplastics for 21 days led to growth inhibition and alterations in hepatic parameters and OS-related biochemical parameters [43]. Similarly, Hou et al. (2024) showed that exposure to 10–500 μg·L−1 IMI inhibited the growth of zebrafish, but also altered liver glucose metabolism and decreased plasma insulin levels [44].
Therefore, the present study aims to assess the impact of two heavy metals and one pesticide on zebrafish and to investigate the potential protective effects of HF against toxicity induced by these contaminants. Our study involved a comprehensive analysis of adult zebrafish, including their behavior, biochemical profiles, and body element concentrations, as well as histological and immunohistochemical changes. Furthermore, there is currently a lack of research on the effectiveness of HF in mitigating the toxic effects of a combination of heavy metals and pesticides.
2. Results and Discussion
2.1. Physicochemical Analysis and Antimicrobial Activity of HF
According to the literature, honey’s physicochemical and biological properties are related to the botanical and geographical origins and bee species, as well as harvesting, processing, storage, and transport conditions [45]. The physicochemical parameter values for raw polyfloral honey (control) enriched with 12 ingredients (HF) are given in Table 1. Polyfloral honey showed a moisture content of 19.46%, which is below the maximum limit (20%) set by Codex Alimentarius and European standards [46,47]. While higher moisture content was noticed in the HF (22.66%), the addition of aqueous extracts increased the water content. The amount of water present in honey may affect its quality and stability during storage; e.g., honey with higher moisture content is more prone to fermentation and the formation of acetic acid [48]. In general, honey with low moisture content has high total soluble solids [49], which is in agreement with our result. Moreover, the TSS for raw honey was similar to that reported by Albu et al. (2021), who found a TSS of 80.6 ± 1.41 °Brix [50]. The pH mean values for honey samples were acidic and relatively close, ranging between 3.93 ± 0.01 for raw honey and 4.05 ± 0.05 for HF. According to published results, a pH range of 3.2 to 4.5 is considered acceptable for honey samples and is a good indicator of honey’s stability and quality [48]. Also, both honey samples met the maximum level of acidity requirement, which is 50 meq·kg−1 [46]. Similar results for polyfloral honey acidity were published by Sakač et al. (2019) [48], who found an acidity level of 19.3 ± 1.88 meq·kg−1. As the literature describes, free acidity increases during the storage time and fermentation because the sugars and the alcohols from the honey composition are transformed into organic acid by the action of yeasts [51,52]. Another important parameter in honey quality control is electrical conductivity, which correlates with the content of ions, organic acids, and proteins [53,54]. As depicted in Table 1, the obtained mean values of electrical conductivity were below the maximum limit of 0.8 mS·cm−1 set by Codex Alimentarius [46] and close to the data previously published by Kunat-Budzyńska and co-authors [55]. On the other hand, with the introduction of the additives, the final product is characterized by a vibrant color and robust flavor (Figure S1 in Supplementary Materials).
Table 1.
Physicochemical parameters, bioactive compounds, and total antioxidant capacity of honey samples.
The mineral content is one of the parameters used to assess the nutritional value of honey, but also an indicator of environmental pollution. According to literature data, darker honey tends to have slightly higher mineral amounts compared to lighter honey [56]. Our data support this finding, the total mineral content of honey enriched with additives accounts for 871.53 μg·g−1, which is 2.4 times higher than the value of polyfloral honey (361.17 μg·g−1). K was the most abundant macroelement in both tested samples, with a mean concentration of 238.56 μg·g−1 for the control sample and 534.63 μg·g−1 for HF, respectively. The results obtained are strongly supported by other authors’ findings [56,57,58]. Further, the Pb and Cd concentrations did not exceed the acceptable levels proposed by the World Health Organization (WHO) and the Food and Agriculture Organization (FAO) of 25 μg·kg−1 for Pb and 7 μg·kg−1 for Cd [56].
Moreover, the addition of additives enhanced the total content of phenolic compounds (2.6-fold), flavonoids (4.5-fold), and carotenoids (5.7-fold increase) compared to the control sample. Further, the flavonoid fraction of total phenolic compounds increased from 41.6% to 72.7% with the introduction of 12 additives to polyfloral honey. A similar effect of enriching honey with polyphenolic compounds was previously observed for honey supplemented with powdered sea buckthorn leaves and fruits, respectively [5]. Higher enrichment (over 400%) was reported for honey mixed with 4% fruit or 1% leaves of Rubus sp. [3].
The superiority of the antioxidant activity (DPPH and ABTS) of HF over raw honey was also observed, which is in agreement with other studies [2,59]. For example, a several-fold increase in the antioxidant capacity was found for creamed honey enriched with lavender (~3 times), lemon balm (~6.8 times), nettle (~3.2 times), peppermint (~5.9 times), and ginger (1.8 times) in contrast to polyfloral honey [2]. The results of Wilczyńska et al. (2017) [59] showed that the addition of cinnamon, ginger, and cardamom to polyfloral honey may cause changes in its antioxidant capacity. The highest antioxidant activity was obtained for honey flavored with cinnamon [59].
Among the 12 compounds explored, syringic acid, quercetin, ferulic acid, riboflavin, and pyrogallol were present in various amounts in both studied samples. As illustrated in Table 2, syringic acid was the dominant phenolic acid in the raw honey sample, and pyrogallol in the HF sample, while quercetin was found among flavonoids. Other authors indicate the presence of caffeoylquinic acids in rape honey enriched with mulberry leaves or fruits [1] and coumarin and o-coumaric acid in polyfloral honey fortified with Melilotus officinalis and M. albus [8]. Also, an increase in rutin and quercetin concentrations was observed in honey supplemented with Sophora flower [60], while Tomczyk et al. (2019) [1] highlight the potential of using mulberry leaves as a source of phenolic compounds for enriching honey instead of fruits.
Table 2.
Identification and quantification of common phenolic acids, flavonoids, and vitamins in honey samples.
Furthermore, the results reveal that the HF at the tested concentrations (0.5, 1, and 1.5 g·mL−1) does not exhibit antibacterial activity against Gram-negative and Gram-positive bacteria (Figure S2 in Supplementary Materials). Similarly, no antibacterial activity was observed against E. coli [5] and P. aeruginosa [9] for other types of flavored honey irrespective of the added additives (e.g., fruit, herbs, and spices). The lack of antibacterial activity of HF might be attributed to the relatively low contents and diversity of polyphenols and flavonoids (Table 2). Alzahrani et al. (2012) have shown that the honey antimicrobial effects decrease as the polyphenols content decreases [61]. In their study, the highest antimicrobial activity was reported for manuka honey with a total polyphenol content of 899.09 mg gallic acid per kg, followed by acacia honey (627.56 mg gallic acid per kg), wild carrot honey (503.09 mg gallic acid per kg), and lavender honey (111.42 mg gallic acid per kg) [61]. Equally important is the composition and content of polyphenols found in honey. For instance, the high antimicrobial effects of manuka honey were attributed to the presence of caffeic acid, pinocembrin, chrysin, and galangin among the polyphenols [62]. However, according to Cheung et al. (2019), the composition of phenolic compounds depends on the geographical origin, while the concentrations of the compounds are influenced by the floral source [63]. Apart from the phytochemical composition, other factors influencing the antibacterial activity of honey include its chemical composition (water content, acidity, level of H2O2, non-peroxide components or sugar concentration), origin (geographical, seasonal, and botanical), and harvesting, processing, and preservation conditions. In addition, the low concentrations used in the experiment could have played an important role in the absence of antimicrobial effect. In general, the concentrations reported as having antibacterial activity can range from less than 3% to more than 50% [64,65,66]. Thus, the effectiveness of different types of honey against bacteria can vary significantly, with differences between them being as much as 100-fold [64].
2.2. Effects of HF on Mixture of Heavy Metals and IMI-Induced Toxicity in Zebrafish
2.2.1. Behavioral Analysis
Since animal behavior integrates effects across multiple biological levels, subtle changes can be observed following short-term exposures to low concentrations of compounds. Thus, behavioral assays have drawn increasing attention in toxicity studies, particularly in the ecotoxicology and pharmacology fields, as they offer numerous advantages in assessing the impact of various compounds on organisms [21,22]. Common behavioral assays include the evaluation of locomotor activity, conspecific interaction, aggressiveness, and various sensory responses [67]. In this context, we used both the locomotor activity and conspecific interaction assays to investigate whether sub-chronic exposure to heavy metals alone and in combination with IMI has any detrimental effects on fish locomotion parameters and on the time spent near the social stimulus. In addition, the efficiency of HF supplementation in alleviating behavioral impairments induced by the three toxicants was assessed.
According to the results shown in Figure 1A–C, there is no significant difference in behavioral endpoints between HF-treated zebrafish and the control group, as well as in the baseline performance of animals. Instead, the sub-chronic exposure to heavy metals and IMI mixture caused significant changes in zebrafish swimming behavior compared to the control and individual contaminant groups, which were characterized by an increased period of inactivity and reduced average swim velocity and total distance traveled. For instance, the simultaneous exposure to Hg, Cd, and IMI decreased the total distance traveled by 33% and 38.6% in relation to the control (p = 0.01) and IMI (p < 0.001) groups, while decreasing the mean velocity by 48.6% and 56.9% compared with the control (p = 0.002) and IMI (p < 0.001) groups, respectively. Similarly, the results of other studies indicated that co-exposure to Pb and TiO2 nanoparticles [68] or carbendazim and chlorpyrifos [69] can lead to slower exploration behavior in zebrafish.
Figure 1.
Locomotor activity of control and treated groups. (A) Total distance traveled (cm), (B) mean speed (cm·s−1), and (C) immobility duration (s). Data are expressed as mean ± SD and analyzed by two-way ANOVA followed by Tukey’s multiple comparison test. Statistically significant differences are denoted by * p < 0.05, ** p < 0.01, and *** p < 0.001. The experiments were repeated 2 times with 7 animals per group.
In addition, we found a significant increase in the inactivity time of the zebrafish from an average of approximately 8% of the time for both the control and HF-exposed group to an average of 24% and 12.5% for the ternary mixture (p < 0.001) and Hg + Cd (p < 0.001). Similar to our observation, zebrafish exposed to 50 µg·L−1 PbCl2 [67], 45 µg·L−1 IMI [70], and 0.75 mM acrylamide [71] showed behavioral changes, characterized by a significant increase in immobility duration. A previous study also reported an augmentation in immobile time and a decrease in the total distance traveled by zebrafish after 96 h exposure to various proportions of a hospital effluent [72]. On the other hand, the results indicate that the locomotor impairments induced by the ternary mixture can be partially attenuated by HF supplementation. Interestingly, there were no significant differences when comparing the velocity and distance moved by the animals from the mixture group with those from the HF and control groups, respectively. The period of inactivity for zebrafish exposed to the mixture (Hg + Cd + IMI + HF) was partially restored to the control value (p = 0.043). Consequently, the fish exposed to Hg, Cd, and IMI in combination with HF moved faster (1.7 times) and a longer distance (1.5 times) and had a lower immobility duration (2.5 times) than those from the Hg + Cd + IMI group. Our results are in agreement with an earlier study by Abdulmajeed et al. (2016) [72] who showed that honey supplementation may mitigate lead-induced memory and locomotor activity impairments.
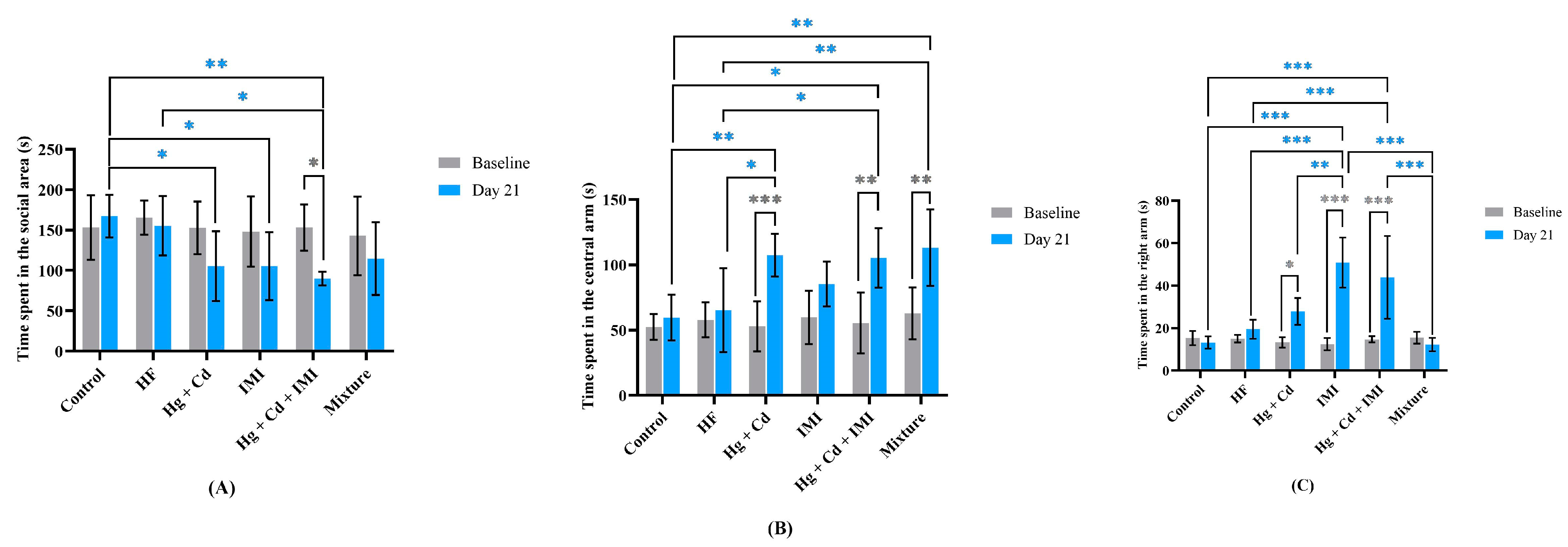
Furthermore, we found that exposure to singular and combined chemical treatments for 21 days impaired the zebrafish’s social behavior, as indicated by the reduced time spent in the zone near conspecific individuals compared to the control group (Figure 2A). The time spent near the social stimulus decreased by 37% when zebrafish were treated with Hg + Cd and IMI (p = 0.031) compared to the control group, while the highest magnitude of reduction was observed for the group exposed to heavy metals in combination with IMI (p = 0.004). As shown in Figure 2A,B, the HF co-treatment with chemicals restored social preference to the normal level (p = 0.094), but with an increase in the time spent in the central segment compared to the control group (p = 0.002). Similarly, the results of Robea et al. (2020) showed that the simultaneous administration of vitamin C [73] and vitamin B12 [74] with fipronil and pyriproxyfen can partially reverse the social interaction deficits induced by insecticides, but with an increase in the time spent in the right arm compared to the control group on day 14 of exposure.
Figure 2.
Social interaction behavior observed among zebrafish after chemical compound exposure. Time spent in the left (social area) (A), central (B), and right (C) arms. Data are expressed as mean ± SD (n = 7) and analyzed by two-way ANOVA followed by Tukey’s multiple comparison test. Statistically significant differences are denoted by * p < 0.05, ** p < 0.01, and *** p < 0.001. The experiments were repeated 2 times with 7 animals per group.
Moreover, the zebrafish exposed to heavy metals alone and in combination with IMI showed a preference for the central segment, spending 107.4 ± 16.3 s and 105.3 ± 22.8 s, respectively. Also, the IMI (p < 0.001) and Hg + Cd + IMI (p < 0.001) groups showed a marked difference with the control regarding the time spent in the right arm (Figure 2C). Similar to our observation, valproic acid [75,76], tetrabromobisphenol A [77], silver nitrate [78], bisphenol S and estradiol [79], and antidepressant [80] treatments induced social interaction deficits in zebrafish.
2.2.2. Biochemical Analysis
Biochemical responses of organisms are frequently used as early warning signs of environmental contamination [43]. The imbalance between the production and elimination of reactive oxygen species (ROS) in tissues leads to the appearance of OS, which is a key factor for many chronic diseases like neurological, metabolic, and cardiovascular disorders [70,81]. However, organisms have evolved a complex system of defense to neutralize ROS, consisting of a network of enzymatic (e.g., SOD, GPx, CAT, etc.) and non-enzymatic (e.g., vitamin C, uric acid, vitamin E, melatonin, etc.) antioxidants. The antioxidants can act at various levels, inhibiting the formation of free radicals, scavenging them, and repairing or removing the oxidized biomolecules [81]. Antioxidants are substances that counteract the deterioration caused by oxidants such as O2, OH−, superoxide, and/or lipid peroxyl radicals [82]. Cells have a defense system against oxidative damage, which includes free radicals and other protective agents such as catalase, SOD, peroxidase, ascorbic acid, tocopherol, and polyphenols [83].
Honey from different floral origins in various countries has been shown to possess high antioxidant properties [82]. The antioxidant activity of honey is primarily attributed to phenolic acids [84] and flavonoids [85,86,87]. Antioxidant agents stimulate biomolecules like carbohydrates, proteins, lipids, and nucleic acids [83]. This stimulation ultimately triggers an antioxidant response in cells. Honey and honey infused with herbs have been found to exhibit strong antioxidant activity, and this capacity contributes to the prevention of several acute and chronic disorders [83,88]. The precise antioxidant mechanism remains unclear, but proposed pathways include scavenging of free radicals, donation of hydrogen atoms, chelation of metal ions, and the role of flavonoids as substrates for neutralizing hydroxyl and superoxide radicals [83].
The present study aims to evaluate the single and combined sub-chronic effects of IMI, Hg, and Cd treatments on selected OS parameters and AChE activity and to determine whether HF co-administration can alleviate contaminant-induced OS. To assess the oxidative damage induced by pollutants in zebrafish, we measured the activities of SOD and GPx, as well as the MDA contents. As is described in the literature, SOD and GPx are the body’s first line of defense against the toxic effects of ROS, while MDA is a marker of oxidative damage caused by these chemical compounds against zebrafish [74]. In addition, the AChE is a key nervous system enzyme often employed as a biomarker for evaluating the effects of various environmental pollutants on aquatic organisms [89]. Figure 3A–D show no significant difference in SO parameters between HF-treated (500 mg·L−1) zebrafish and the control group; in contrast, exposure to IMI treatment for 21 days increased MDA content (p = 0.003) and SOD activity (p = 0.047).
Figure 3.
MDA level (A), GPx (B), SOD (C), and AChE (D) activities in zebrafish following treatment with Hg (15 µg·L−1), Cd (5 µg·L−1), and IMI (0.5 mg·L−1) alone and in combination with HF (500 mg·L−1) for 21 days. Data are expressed as mean ± SD (n = 5 animals per group with two replicates), and bars sharing the same letter indicate no significant differences at the level of p < 0.05 using one-way ANOVA followed by Tukey’s multiple comparison test.
In a previous study, neotropical fish (Prochilodus lineatus Valenciennes, 1837) exposed to different IMI concentrations showed liver, gill, kidney, and brain lipid peroxidation as well as increased SOD activity in the liver and gills [90]. Also, Ge et al. (2015) showed that 5 mg·L−1 IMI treatment markedly increased MDA content and SOD activity in zebrafish liver at day 14 [91]. Moreover, sub-chronic exposure to heavy metals caused a significant increase in MDA level (p = 0.003) and GPx activity (p = 0.047), which were about 1.2- and 1.7-fold higher than those in control fish, respectively. Similar to our results, various reports demonstrated that HgCl2 [92], CH3HgCl [93], CdCr2 [94], and simultaneous CdCl2, and HgCl2 [95] exposure induced lipid peroxidation.
The ternary mixture affected not only the main parameters related to the OS but also the AChE activity. As shown in Figure 3A–D, sub-chronic exposure to heavy metals and IMI promoted a significant inhibition of AChE activity (−30.7% compared to the control group) in the fish brains and a remarkable elevation in antioxidant enzyme activities (p = 0.047 for SOD and p < 0.001 for GPx) and MDA level (p < 0.001) in fish tissues, respectively. According to our findings, an earlier study by Rosales-Pérez et al. (2022) showed that acute exposure to a mixture of contaminants from a hospital effluent markedly inhibited the AChE activity and increased antioxidant enzyme activities (e.g., SOD, CAT, and GPx) in fish brains [96].
The changes in AChE activity concerning behavioral observations provide valuable insights. However, a more comprehensive investigation is needed to understand the underlying mechanisms. The partial reduction in AChE inhibition with HF supplementation suggests reversibility, raising the possibility of adaptive mechanisms mitigating neurotoxic effects in zebrafish. The preservation of swimming behavior despite inhibited AChE activity may point to the activation of compensatory motor control strategies.
In addition, Abdulmajeed et al. (2016) and Azman et al. (2015) found that honey supplementation reduced anxiety, memory impairment, decreased locomotor activity, and OS levels in rats [72,97]. In our study, co-administration of HF partially normalized OS markers in zebrafish, thus indicating a protective role against oxidative damage. Furthermore, the cholinergic system has a critical role in mediating locomotor responses to novel stimuli and facilitating spatial memory, highlighting the impact of disruptions to AChE breakdown due to compromised AChE activity [32,94,95]. While our research found that metal concentrations and pesticides negatively impacted AChE activity, it is essential to note that some studies, such as that of Bui Thi et al. (2020), have reported increased AChE activity in fish following heavy metal exposure [67]. This variability underscores the need for further exploration of the context-dependent compensatory mechanisms that zebrafish may employ in response to environmental neurotoxins, which can enhance our understanding of their resilience to neurotoxic stress at both molecular and behavioral levels.
In addition, the co-administration of HF attenuated ternary mixture-induced changes in OS parameters and AChE activity. For example, in rats, honey supplementation ameliorated the enhanced MDA level and normalized the SOD activity [98]; meanwhile, in the case of AChE, Tualang honey improved cholinergic transmission, protecting against hypoxia-induced neuronal damages [99].
2.2.3. Zebrafish Body Element Concentrations
Cu, Fe, Zn, Mn, Ni, Mg, Na, and Ca constitute essential elements crucial for the optimal functionality of various cellular enzymes and proteins [100,101]. The impact of bioelements on biological processes can turn toxic when their concentrations exceed specific thresholds [100,102]. Notably, certain heavy metals possess the potential to influence metal ion dynamics within aquatic environments, prompting a growing interest in evaluating the efficacy of dietary products in mitigating pollutant toxicity [103,104,105,106].
In general, honey or honey-based products are described by elevated concentrations of essential elements [45,101]. In the context of our study, the administration of HF produced significant effects on some of the elemental composition of the zebrafish body (Figure 4A–G). This intervention led to a reduction in Fe+ levels while elevating the concentrations of Mg+ and Na+. This outcome underscores the vital physiological role of Na+ in nerve transmission [107] and the enhanced metabolism of Mg+, a factor of particular importance [108]. The observed decrease in Fe+ levels suggests a potential regulatory effect on Fe+ metabolism.
Figure 4.
Concentration (μg·g−1 wet weight) of essential elements ((A)—Ca; (B)—Na; (C)—K; (D)—Mg; (E)—Fe; (F)—Zn; (G)—Cu) involved in biological structures and biochemical processes analyzed from entire fish body mass and reported as mean ± SD (n = 5 animals per group), with bars sharing the same letter indicating no significant differences at the level of p < 0.05 using one-way ANOVA followed by Tukey’s multiple comparison test.
Our study indicates a 10% decrease in Na levels within the zebrafish group exclusively exposed to neonicotinoid insecticides and heavy metals. For example, Araujo et al. (2022) showed a significant reduction in Na levels after 96 h in carbamazepine (CBZ) + acetamiprid (ACT) and ACT + Cd groups [109].
Regarding K levels, no significant differences were observed in the group exposed to the mixture compared to the control; these findings imply that the losses of K+ and Ca2+ were proportional to the ionic disparities between the fish plasma and the surrounding water, suggesting a common mechanism of acute toxicity [110]. The previously mentioned finding is in line with the finding of Araujo (2022), who showed that CBZ + ACT and CBZ + ACT + Cd treatments did not result in significant differences compared to the control group after 96 h exposure [109]. Similarly, there was no significant difference between K levels in the control groups and zebrafish exposed to 2 mg·L−1 of Cr [VI] for 60 days [111].
Our study further demonstrated that exposure to a combination of Hg and Cd led to a 20% increase in Ca levels, while exposure to Cd, Hg, and IMI resulted in a 24% increase in Ca levels. The present study aligns with the findings of Siblerud et al. (2019) [112], linking Hg to elevated intracellular Ca concentrations. Increased Ca levels were measured in zebrafish exposed to CBZ, ACT, Cd, and their combined treatments [109]. Similarly, Shaw et al. reported an increase in Ca amount in the zebrafish treated with 2 mg·L−1 of Cr [VI] [111].
The levels of Cu and Zn did not differ significantly between the control group and the fish exposed to Cd, Hg, and IMI; these substances did not cause considerable changes in Cu and Zn metabolism. Devarapogu and Asupatri (2023) suggested a potential role for Zn in alleviating Cd toxicity [113]. Contrary to our results, significant differences in Zn and Cu levels compared to controls were measured in zebrafish exposed to CBZ, ACT, Cd, and their binary combination [109], as well as for Cr [VI]-treated zebrafish [111]. However, further analysis is necessary to understand the possible interactions and effects of mixtures on essential elements comprehensively.
2.2.4. Evaluation of Histologic and IHC Lesions
Zebrafish from the control and HF groups did not present histologic changes in the studied nervous system areas. The lesion severity score was (-). Contrarily, the optic tectum in fish exposed to IMI and Hg + Cd + IMI showed severe spongiosis in the neuronal layer, edema, and vacuolization of the neuropil with multiple areas of extravasated erythrocytes, as shown in Figure 5.
Figure 5.
IHC expression of GFAP, S100B, and PCNA markers in the optic tectum for the control and exposed groups green arrow marks IHC positive cells (n = 5 animals per group; scale bar = 50 µm).
In addition, degenerative changes of neurons and neuropil and focal aggregation of microglial cells were recorded in the optic tectum for heavy-metal- and IMI-exposed animals with the lesion score (+++) (Table S2 in Supplementary Materials). The Hg + Cd group had the lesion score (+). The intensity of DAB anti-GFAP staining was significantly higher in IMI, Hg + Cd, and Hg + Cd + IMI (+++). An intermediate intensity score (++) was observed in the optic tectum of the group exposed to Hg, Cd, and IMI. Thus, GFAP expression is confirmed to increase with astrocytic emergence and activation; it is commonly adapted as a marker to study astrocyte response to various physiological and pathological conditions. Astrocytes play a significant role in nervous system development, synaptic transmission, and nerve tissue repair.
Researchers identified GFAP as a sensitive indicator of early response to neurodegenerative injury [114], and it can be detected in astrocytes even in the absence of neuronal death [115]. The severity of the injury correlates with the intensity of GFAP expression in reactive astrocytes [116,117]. In various central nervous system (CNS) disorders, activated astrocytes exhibit an increased GFAP expression due to elevated mRNA levels and increased cytoskeletal GFAP proteins. It is important to note that the elevation of GFAP levels alone is insufficient for classifying reactive astrocytes, suggesting that increased GFAP levels occur in response to pathological stimuli and regional astrocyte differences. Furthermore, initial GFAP expression in astrocytes can occur following physiological stimuli [116]. Astrocytes, as integral CNS cells, play crucial and diverse roles [118]. They are involved in metal uptake and sequestration, thereby preventing the accumulation of metals in the CNS at toxic concentrations [119,120]. Additionally, astrocytes protect neurons against various insults, including excess glutamate [121,122] and heavy metals, which are a primary source of neurotoxicity leading to neurodegenerative changes. The influx of heavy metals affects astroglial homeostatic and neuroprotective cascades, including the glutamate/GABA–glutamine complex, antioxidant systems, and energy metabolism. The astrocytes produce nerve growth factor and S100 protein, essential for neurite elongation and outgrowth [123,124]. Activated astrocytes are involved in angiogenesis, a crucial process in CNS development and repair that relies on physical interaction between astrocytes and endothelial cells. Notably, endothelial cells separated from astrocytes do not form capillaries [125,126].
In the control and HF groups, there was a noticeable difference in the reaction to anti-GFAP DAB staining. The HF group showed a more intense response. Additionally, the scoring indicated a result of (-) in the control group and a result of (+) in the HF group.
Figure 5 demonstrates the presence of the S100B protein in all experimental groups. The mesencephalic optic tectum predominantly contains S100B in nerve fibers rather than nerve cells. The protein showed immunoreactivity across all the fiber profiles, which run from the bottom to the top of the optic tectum perpendicular to its outer surface. Additionally, immunoreactivity in the medial and lateral regions of the cerebral valve was noticed. The inner surface of the optic tectum, adjacent to the tectal ventricle, contained S100B-positive ependymal and subependymal cells. The bulkier and rounder shapes of ependymal cells set them apart and make them easily identifiable.
In contrast, subependymal (glial) cells exhibited elongated radial processes that extended through the optic tectum and reached the surface of the pial membrane (pia mater). In the control group, the observed immunoreactivity was rated as (+), while in the HF group, it was (++). The mixed group displayed intense positivity (+++) in cytoplasmic and extracellular regions, whereas moderate positivity (++) was detected in groups exposed to individual or combined chemicals (IMI, Hg + Cd). Furthermore, the dorsal and lateral sections of the torus longitudinalis were lined with S100B-positive ependymal cells, and the nerve fibers forming the commissure in the ventral region of the torus longitudinalis were also S100B-positive. The presence of extracellular protein S100B might have a role in regulating tissue development and facilitating regeneration or repair processes.
In the assessment involving IHC staining for PCNA (Figure 5), a marker indicative of the nuclei of dividing cells, it was observed that the PCNA marker was evident in both the control group and the group exposed to HF (++). The neurotoxic effects reduced the PCNA staining in the IMI-exposed group, indicating a decrease in cell proliferation. An intense (+++) reaction was recorded in the Hg + Cd group, a moderately intense (++) reaction in the IMI and mixture groups, and a weakly positive (+) reaction in the Hg + Cd + IMI (refer to Table S2 in the Supplementary Materials). The toxicities of Cd and Hg may be mitigated, prompting the body to stimulate cell regeneration and potentially repair the damage.
In the cerebellum, IMI and Hg + Cd + IMI cause neuronal degeneration, spongiosis, and vacuolation with focal aggregation of glial cells and damage to granule neurons. A reduction in cell density, depletion of the nuclear area, and chromatin condensation in granular cells were also identified (Figure 6).
Figure 6.
IHC expression of GFAP, S100, and PCNA markers in the cerebellum for the control and exposed groups, green arrow marks IHC positive cells (n = 5 animals per group; scale bar = 50 µm).
Vacuolation of grey and white matter, necrotic cells, and the presence of tissue edema that caused large lesions due to OS were observed during the analysis. Significant damage was documented in the cerebellar cortex after exposure to Hg + Cd, resulting in a neuronal loss lesion score of ++ (Table S3 in Supplementary Materials). The cerebellum showed slight vacuolization and degeneration of cells in the Purkinje cell layer with a score of (++). No changes were recorded in the control and HF groups, while in the mixture group, the lesion score was (++).
The intensity of DAB anti-GFAP staining in the cerebellum was as follows: significantly more intense, receiving a score of (+++) for the mixture group; intermediate intensity (++) for the Hg + Cd, Hg + Cd + IMI, and IMI-exposed groups; and reduced intensity for the control group (Table S3 in the Supplementary Materials). The distribution pattern of the S100B protein in the cerebellum differs from that of other central nervous segments. It is mainly localized in neurons and less in glial cells. The cerebellar body showed S100B protein in small neurons, localized primarily in the superficial layer. In addition, neurons forming the deep cerebellar nuclei were also immunoreactive for S100B. Purkinje neurons localized in the basal zone showed a strong reaction for S100B protein in both the perikaryon and the dendritic arbor. Intense reactions were observed in the group exposed to a ternary mixture of S100B, and reactions were rated as medium (++) in HF and Hg + Cd and low in the control group. The PCNA reaction was most intense (+++) in the Hg + Cd group, followed by a medium reaction (++) in the mixture, HF, and control groups, and low in the Hg + Cd + IMI group.
In the spinal cord, the intensity of DAB anti-GFAP staining was as follows: significantly more intense (+++) for the mixture group; of intermediate intensity (++) in Hg + Cd, Hg + Cd + IMI, and IMI-exposed groups, and reduced (+) in the control group, as shown in Table S4 in the Supplementary Materials. The distribution pattern of S100B protein in the cerebellum differs from that of other central nervous segments. It was localized mainly in neurons and less in glial cells. The reaction to PCNA was most intense (+++) in the Hg + Cd group, followed by a medium reaction (++) in the mixture, HF, and control group, and low (+) in the Hg + Cd + IMI group (Figure 7).
Figure 7.
IHC expression of GFAP, S100, and PCNA markers in the spinal cord for the control and exposed groups, green arrow marks IHC positive cells (n = 5 animals per group; scale bar = 50 µm).
In the current investigation, the exposure of zebrafish to contaminants triggered a cascade of responses characterized by heightened oxidative and nervous system stress. This radical interference led to membrane damage, potential impairment, and morphological alterations in mitochondrial cristae, culminating in disrupted adenosine triphosphate (ATP) production and a subsequent decrease in intracellular ATP content [127]. The observed mitochondrial effects may have substantial implications for neurological function. Neurons have the highest energy requirements of all somatic cells. They are the largest consumers of oxygen (O2)—the brain consumes O2 at a rate ten times higher than any other tissue, making it much more vulnerable to oxidative damage [128,129]. In addition, cells have difficulty repairing the distal ends of dendrites and axons due to their distance from the cell body [129]. The heightened impact is associated with oxidative injury to mitochondria, which play a significant role in upholding the health of axons [130]. Although considerable efforts have been dedicated to the IMI toxicity on aquatic organisms, only a few data are on apoptosis and immunotoxicity [131]. IMI in common carp moderately induces apoptosis in the brain but also induces severe histopathological changes, inflammation, and OS in the gills, liver, and brain, in agreement with our results. The mechanisms of the activation of some biomarkers (iNOS, 8-OHdG, TNF-α) and expression of some apoptotic genes (caspase 3) during pesticide intoxication have been reported [132,133]. Cd also induces caspase-mediated apoptosis and necrosis in cortical neurons [127]. In addition, Cd exposure can cause a decrease in several critical brain enzymes, including AChE, acid phosphatases, alkaline phosphatase, ATPase, and catalase [134]. The observed neurotoxic effects of MeHg on zebrafish embryos could be because MeHg is known to disrupt microtubule formation [135], which could profoundly affect cell division. The toxic impact of MeHg could also be because it negatively affects mitochondrial function, thus decreasing the metabolic capabilities of cells. A study in adult zebrafish showed that exposure to 15 µg·L−1 of MeHg under ambient conditions caused uncoupling and mitochondrial oxidative phosphorylation in skeletal muscle [136].
The GFAP and S100B markers were selected for the protein homology studies between human, mouse, and zebrafish orthologs. GFAP (astrocyte intermediate filament), whose expression increases as astrocytes arise (astrocyte activation), is commonly adopted as a marker to study the reaction of astrocytes in various situations of physiological and pathological conditions, playing a vital role in nervous system development, synaptic transmission, and nerve tissue repair. In the present study, the expression of GFAP was considerably increased in the IMI-treated group and discrete in the control group. The observed changes may suggest heightened dopaminergic and serotonergic activity in the brain, along with initial behavioral shifts [137]. This study noted strong and extensive expression of S100B and moderate, discrete expression of GFAP in the zebrafish’s central and peripheral nervous systems, aligning with previous research findings [138]. For instance, S100B is recognized for its direct interaction with Dbf2-related nuclear protein kinase (NDR kinase), inhibiting the recruitment of NDR kinase substrates [138,139,140]. S100B deactivates advanced glycation end products (RAGEs) by binding with vital fibroblast growth factor and its receptor [139,140]. Extracellular S100 proteins play a role in regulating the apoptosis, proliferation, differentiation, and migration of various cell types, such as monocytes, macrophages, neutrophils, lymphocytes, myoblasts, epithelial cells, endothelial cells, smooth muscle cells, neurons, and fibroblasts. Additionally, besides their function as Ca-binding proteins, S100 proteins were later identified as DAMP molecules [141] associated with cell death and tissue damage, triggering rapid inflammatory responses or producing biologically active molecules [142,143]. S100B protein’s presence in the adult zebrafish nervous system contributes to intracellular Ca homeostasis regulation as a triggering or activating protein. It also exhibits neurotrophic activity, suppresses phosphorylation, induces apoptosis [144], and maintains cytoskeletal stability [145]. Furthermore, S100B protein is produced, stored, and released by astrocytes, tanycytes, oligodendrocytes, and radial cells and exerts paracrine and autocrine effects on neurons and glia. It has been shown that S100B expression defines a late developmental stage, after which the GFAP-expressing stage of development loses its potential as neuronal stem cells [146]. Since S100 protein continues to be deposited in these regions of adult zebrafish, and subventricular zone glial cells play an essential role in adult zebrafish neurogenesis, S100 protein could be involved in this function, which is maintained in zebrafish during their entire lifespan [147,148]. Using immunohistochemical staining for PCNA, a marker for the nuclei of cells undergoing cell division is expressed in developing zebrafish [149]. The expression of PCNA was significantly decreased in animals exposed to different concentrations of MeHg [150]. The neural toxicity of MeHg tested in this study caused a decrease in PCNA staining, suggesting a decline in cell proliferation. Smith et al. (2010) observed that in adult zebrafish, the telencephalic cell density was significantly decreased at all MeHg exposures during development [151]. These observations are similar to those reported by Yang et al. (2007), where MeHg exposure significantly impaired zebrafish development [152].
Higher production of antioxidants can act as a protective shield during oxidative damage [153,154,155]. OS has been implicated in the pathogenesis of neurotoxic mechanisms of several pesticides because the brain has a higher susceptibility to oxidative damage. OS occurs due to a mismatch between pro-oxidant and antioxidant systems. The resulting OS can cause oxidative damage to lipids, nucleic acids, and proteins [137]. The combination of heavy metals and IMI causes degenerative changes in the optic tectum and cerebellum and is somewhat reduced in the spinal cord. The use of GFAP, S100, and PCNA markers highlights the lesions in groups exposed to pesticides and heavy metals and their amelioration by reducing the effect of OS.
3. Materials and Methods
3.1. HF Composition and Analysis
3.1.1. HF Composition
The commercial HF was received directly from the producer. This product contains a mixture of 90.39% polyfloral honey and 9.61% other natural ingredients, such as royal jelly, Spirulina Arthrospira platensis, extracts of Arctium lappa L., Matricaria chamomilla, Eleutherococcus senticosus, Silybum marianum, Panax ginseng, Astragalus membranaceus, Boswellia serrata, and essential oils from Matricaria chamomilla, Salvia sclarea, and Salvia officinalis. Adding natural ingredients to the polyfloral honey resulted in a notable alteration in its color, causing it to transition to a deep shade of blue (as depicted in Figure S1 in Supplementary Materials). Of the 12 constituents, the royal jelly [156], Eleutherococcus senticosus [157], Arctium lappa L. [158], Matricaria chamomilla [159,160], and Silybum marianum [161] are reported to exhibit neuroprotective effects and reduce oxidative damage. Polyfloral honey was obtained from the apiary located in the Bunesti-Viscri region (Romania) in the 2021 bee-keeping season. For transparency and to avoid any potential conflicts of interest concerning honey-based products, the brand name of the producer has been kept confidential. This product was chosen for this study to simulate a realistic scenario.
3.1.2. Physicochemical Analysis
The moisture content (%), total soluble substances (°Brix), and free acidity (mequiv·kg−1) for polyfloral honey without (control) or with additives (HF) were assessed following the guidelines provided by the Codex Alimentarius Commission—Revised Codex Standard for Honey Codex Stan 12-1981, Rev. 1 (1987), Rev. 2 (2001) [46]. Furthermore, the pH and conductivity (mS·cm−1) were measured using multiparameter analysis equipment from XS Instruments, Carpi, Italy.
3.1.3. Determination of Mineral Elements
The mineral analysis was conducted at the laboratory of the Faculty of Food Science and Engineering, Dunarea de Jos University of Galati, Romania. In preparation for the quantification analysis, minerals from polyfloral honey samples were extracted. This process involved treating approximately 0.5 g of honey samples (with and without additives) with a mixture of 5 mL HNO3 Suprapur® of 65% concentration (certified Merck, Darmstadt, Germany) and 2 mL H2O2 EMSURE® of 30% concentration (certified Merck, Darmstadt, Germany), followed by digestion using a microwave-assisted pressure digestion system (TOPwave, Analytik Jena, Jena, Germany) The mineralized samples were then transferred into decontaminated polyethylene flasks (50 mL volume) and diluted with ultrapure water (18.2 MΩ·cm−2, equipment LaboStar™ UV 4 Siemens Water Technologies, Barsbüttel, Germany). The treated samples were processed and then analyzed for the quantification of Calcium (Ca), potassium (K), magnesium (Mg), and sodium (Na) through the flame atomic absorption spectrometry technique (FL-AAS) using an air–acetylene–nitrous oxide flame. Furthermore, the determination of copper (Cu), iron (Fe), manganese (Mn), and zinc (Zn) was performed using the graphite furnace atomic absorption spectrometry technique (GF AAS). The ContrAA 700 equipment manufactured by Analytik Jena, Jena, Germany, was utilized to conduct these measurements. Calibration curves were established through the preparation and analysis of a reference standard solution, ICP multi-element standard solution IV with 23 elements in diluted HNO3 (Certipur®, 1000 mg·L−1, Merck, Darmstadt, Germany). Each sample underwent triplicate analysis, and the metal ion content was determined at the mg·g−1 level.
3.1.4. Determination of Total Phenolic Content (TPC), Total Flavonoid Content (TFC), and Total Carotenoid Content (TCC)
The TPC was determined according to the method proposed by Csakvari et al. (2021) [162], while the TFC and TAC were measured as outlined by Rababah et al. (2014) [163], for 4% solutions of honey in distilled water. The results for TPC and TFC were expressed in gallic acid equivalents (GAE) and quercetin equivalents (QE) per 100 g sample, respectively, using appropriate calibration curves with standard solutions (gallic acid monohydrate, Sigma-Aldrich Chemie GmbH, Taufkirchen, Germany).
3.1.5. Quantification of the Total Antioxidant Capacity (TAC)
The total antioxidant activity was determined by 1,1-diphenyl-2-picrylhydrazyl (DPPH; Sigma-Aldrich Chemie GmbH, Taufkirchen, Germany) and 2,2′-azino-bis-(3-ethylbenzothiazoline-6-sulfonic) acid (ABTS; Sigma-Aldrich Chemie GmbH, Taufkirchen, Germany) assays, as earlier reported by Bogdan et al. (2021) [164] and Csakvari et al. (2021) [162]. The results were expressed as mg gallic acid equivalents (GAE) per 100 g of sample and mg Trolox equivalents (TE) per 100 g of sample, respectively.
3.1.6. RF-HPLC Analysis of Honey Flavonoids and Other Phenolic Derivates
The identification and quantification of phenolic compounds were performed using an ultra-high-performance liquid chromatograph (Nexera X2, Shimadzu, Tokyo, Japan) equipped with a diode array detector (M30A, Shimadzu, Tokyo, Japan) and a Nucleosil 100-3 C18 reversed-phase column (4.0 mm column inner diameter × 125 mm column length, 3 µm particle size, Macherey-Nagel GmbH, Düren, Germany). The column temperature was maintained at 30 °C, and the flow rate was 0.5 mL per min. The solvents used for the chromatographic elution consisted of ultrapure water (18.2 MΩ·cm−2, equipment Adrona Crystal EX, Adrona, Riga, Latvia) with 0.1% trifluoroacetic acid (A) (Sigma-Aldrich Chemie GmbH, Taufkirchen, Germany) and acetonitrile (B) (Sigma-Aldrich Chemie GmbH, Taufkirchen, Germany). The chromatographic elution program used was as follows: 5% B, then 42% B for 5 min, followed by 35% B, 5% B in 35 min. The HF was diluted 1:5 with 96% ethanol (CH3CH2OH, EMSURE®, Merck KGaA, Darmstadt, Germany) and then filtered using 25 mm syringe filters (Labbox Labware S.L., Barcelona, Spain). Then, the HF was injected at a volume of 10 µL and the spectra were acquired between 200 and 600 nm. The standards used were ascorbic acid, pyrogallol, gallic acid, riboflavin, rutin, caffeic acid, vanillic acid, syringic acid, p-coumaric acid, catechin, rosmarinic acid, ferulic acid, quercetin, and kaempferol (Sigma-Aldrich Chemie GmbH, Taufkirchen, Germany). Polyphenols were identified by comparing the retention times and UV-Vis spectra with the previously mentioned standards.
3.1.7. Antibacterial Assay
The screening of HF for antibacterial activity was performed by the disk diffusion approach. It was performed using six standard strains of microorganisms from Microbiologics (Saint Cloud, MN, USA), including three strains of Gram-negative bacteria [Escherichia coli (ATCC 8739), Salmonella enteritidis (ATCC 13076), Pseudomonas aeruginosa (ATCC 27853)] and three strains of Gram-positive bacteria [Staphylococcus aureus (ATCC 25923), Enterococcus faecalis (ATCC 19433), Listeria monocytogenes (ATCC 13932)]. The strains were first grown on Mueller–Hinton Agar (MHA, Scharlab, Barcelona, Spain) for 24 h at 37 °C in order to develop single colonies, and then one colony was inoculated in 10 mL of Mueller–Hinton Broth (MHB, Carl Roth, Karlsruhe, Germany) under shaking conditions (160 rpm) at 37 °C for 24 h. After incubation, an inoculum of 0.5 MacFarland turbidity standards (~2 × 108 CFU·mL−1) of each strain was prepared, and 200 µL was surface-spread on MHA plates. Antibiotic assay discs (Whatman™, Cytiva, Marlborough, MA, USA) of 6 mm in diameter, saturated with 20 µL of 0.5 mg·mL−1, 1 mg·mL−1, and 1.5 mg·mL−1 HF solutions prepared with sterile distilled water, were placed on the surface of inoculated plates. As a reference, two different antibiotics (Bio-Rad, Marnes-la-Coquette, France) for each bacterial strain were used as presented in Table S1 (Supplementary Materials). The plates were incubated at 37 °C, and the zone of inhibition against the test microorganism was measured after 24 h. The test was carried out in triplicates.
3.2. Zebrafish Protocols and Analysis
3.2.1. Chemicals and Reagents Used for Exposure Protocols and Biochemical Analysis
A standard solution of Hg Certipur® (1000 mg·L−1), a standard solution of Cd Certipur® (1000 mg·L−1), nitric acid 65% Suprapur® (HNO3, 100441), hydrogen peroxide 30% Perhydro® (H2O2, 107210), phosphate-buffered saline (PBS, P4417-50TAB), acetylthiocholine iodide (ATChl, A5751), Tris hydrochloride solution (Tris-HCl) solution (Trizma®, T2819), 5,5′-dithiobis(2-nitrobenzoic acid) (DTNB, 322123), Bovine Serum Albumin (BSA, A8022-10G), Bradford Reagent (B6916), Lipid Peroxidation Assay Kit (MDA, MAK085), Glutathione Peroxidase Cellular Activity Assay Kit (GPx, CGP1-1KT), and Superoxide Dismutase Determination Kit (SOD, 19160-1KT-F) were all purchased from Merck, Darmstadt, Germany. The IMI used in the experiment is the active compound of a known insecticide (IMI, 100 g·L−1) bought from a local market. To ensure transparency and mitigate any potential conflict of interest related to the IMI, the manufacturer’s identity has been kept confidential. This product was deliberately selected for this study to represent an accurate real-life scenario.
3.2.2. Zebrafish Maintenance and Exposure Protocols
Wild-type (AB strain) zebrafish (Danio rerio) of both sexes (6–8 months old, 0.38 ± 0.06 g) were obtained from a local supplier and acclimated in the experimental room for two weeks before the experiments. Zebrafish maintenance and experimental procedures were based on previous publications with slight modifications [21,51]. After acclimatization, the animals were randomly separated into the following six groups with 15 animals in each group, as shown in Figure 8: Group 1 (control)—fish were exposed to standard tank water and served as the control group; Group 2 (HF)—fish were exposed to honey enriched with additives at a concentration of 500 mg·L−1; Group 3 (Hg + Cd)—fish were exposed to 15 µg·L−1 Hg and 5 µg·L−1 Cd; Group 4 (IMI)—fish were exposed to 0.5 mg·L−1 IMI; Group 5 (Hg + Cd + IMI)—fish were exposed to 15 µg·L−1 Hg, 5 µg·L−1 Cd, and 0.5 mg·L−1 IMI; Group 6 (mixture)—fish were exposed to 15 µg·L−1 Hg, 5 µg·L−1 Cd, and 0.5 mg·L−1 IMI, in combination with 500 mg·L−1 HF. According to a previous study [70], a density of approximately 1.59 g of fish per L of water was maintained. Two replicated experiments were carried out for the control and each treatment. During the acclimatization and the 21 days of exposure, the fish were fed twice a day with commercial fish food (TetraMin) at a level of approximately 1% of their body weight per day. Also, the test solutions were renewed every day to maintain the compounds’ concentrations and water quality at stable levels. The concentrations of the heavy metals and pesticide were set based on previous studies [31,37,38,39,42,43,165], while the concentration of HF was selected based on its maximum solubility in water, to achieve a homogeneous and clear aqueous solution of HF.
Figure 8.
The schematic illustration of the experimental setup (n = 15 for each experimental group with two experimental replicates).
3.2.3. Behavioral Assessment
Initially and at the end of the 21 days of exposure, zebrafish from control and exposed groups were submitted to behavioral tests to evaluate animal locomotion and social responses (shoal preference). Both tests were performed in a multipurpose T maze (10 cm height × 50 cm length × 50 cm width) filled with water to a height of 5 cm. The fish were allowed to acclimate to the experimental tank for 30 s, after which behavior was video-recorded over a 4 min period.
The video files were recorded with a professional infrared light camera located above the T maze and analyzed with EthoVision® XT 11.5 software (Noldus Information Technology BV, Wageningen, The Netherlands). The software was previously programmed, calibrated, and optimized for the behavioral tests. The total distance traveled (cm) and mean speed (cm·s−1) were considered the main parameters of locomotion, whereas the immobility duration (s), characterized in zebrafish by the delay in the swimming activity, represented a parameter of anxiety-like behavior. For the social interaction test, 4 fish from the same experimental group were placed in a compartment in the left arm closed with a transparent slot. During the 4 min session following 30 s of acclimation, the fish could freely swim from the central zone to the other (left zone—social zone; right zone—non-social zone). The analysis of behavior changes was based on a comparison of responses of exposed zebrafish either to responses of unexposed zebrafish (control group) or to responses measured during the pre-exposure period (baseline behavior assessment).
3.2.4. Biochemical Assays
Following the completion of treatment, the zebrafish brains of each group were dissected and homogenized with a KIMBLE® Dounce tissue grinder (Sigma-Aldrich, Saint Louis, MO, USA) by adding 6-fold ice of 0.05 M Tris-HCl with a pH of 8.0, according to the approach of Richetti et al. (2011) [166]. Then, the supernatant was used for the determination of AChE activity, according to a previously reported protocol [22].
For the determination of SOD, GPx activities, and MDA levels, the fish bodies were homogenized with 10 volumes of 0.1 M ice-cold PBS with a pH of 7.4 and then centrifuged (microcentrifuge Biocen 22 R, ORTO ALRESA, Madrid, Spain) for 15 min at 5500 rpm (4 °C). The enzyme activities and MDA levels were measured using test kits according to the manufacturer’s instructions. All measurements were normalized by the determined protein concentration in each sample according to the Bradford method with BSA as a standard.
3.2.5. Mineral Analysis of Zebrafish Whole Body
The concentrations of Cu, Zn, Fe, Ca, Mg, K, and Na were determined following a previously described protocol [22,28,167] and using the same reagents and equipment described in Section 3.1.3. Five fish specimens were selected from each experimental group and subjected to the mineralization process after being washed with ultrapure water.
The validation of the method was performed using a certified reference material (fish muscle, ERM-BB422), which was prepared by applying the same protocol used for experimental samples. The reference material has been certified by the Institute for Reference Materials and Measurements (IRMM) of the European Commission’s Joint Research Centre (JRC). All concentrations are reported as µg·g −1 wet weight.
3.2.6. Histological Analysis and Immunohistochemistry Activity for Brain and Spinal Cord Tissues
After each fish was euthanized using ice-cold water, specimens were fixed in 10% neutral buffered formalin (HT501128, Sigma-Aldrich Chemie GmbH, Taufkirchen, Germany) for 1 h and 48 h in Bouin’s solution (HT10132, Sigma-Aldrich Chemie GmbH, Taufkirchen, Germany) and then dehydrated in different ethanol solutions (Ethanol absolute for analysis, EMSURE®, Merck, Darmstadt, Germany), embedded in paraffin, and sectioned at 5 µm thickness using a rotary microtome (Cut 6062, SLEE medical GmbH, Mainz, Germany). Five microscope slides were prepared from each paraffin block and subjected to staining following the standard hematoxylin and eosin (H&E) staining protocol (Sigma-Aldrich, Saint Louis, MO, USA). Immunohistochemistry (IHC) staining was conducted using a series of specific antibodies as markers. Three key regions were thoroughly discussed and analyzed (optic tectum, cerebellum, and spinal cord) with three markers, proliferating cell nuclear antigen (PCNA), S100 beta (S100B), and glial fibrillary acidic protein (GFAP), respectively. These antibodies included GFAP from Synaptic Systems GmbH (Catalog No. 173002, Göttingen, Germany), S100B from Signalway Antibody (Catalog No. C48942, Greenbelt, MA, USA), and PCNA from GeneTex (catalog No. GTX124496, Irvine, CA, USA). For each fish, three slides were subjected to the following procedure: They were initially dewaxed and then microwaved at 95 °C for 10 min in a citrate buffer, pH 6.0, 10×, Antigen Retriever (C9999, Sigma-Aldrich, Saint Louis, MO, USA). Afterward, the slides were allowed to cool for 20 min and subsequently rinsed twice in PBS (P4417, Sigma-Aldrich, Saint Louis, MO, USA) for 5 min each. Next, they were incubated overnight at 4 °C in a humid chamber with primary antibodies. The primary antibodies were diluted to a ratio of 1:1000 for GFAP, 1:100 for S100B, and 1:250 for PCNA. On the following day, the slides were washed three times with PBS for 5 min each and then incubated with secondary antibodies (Goat Anti-Rabbit HRP, ab205718, Abcam, Cambridge, UK) diluted to the same ratio as primary antibodies. Immunohistochemistry sections were developed using a 3,30-diaminobenzidine Substrate Kit (DAB, ab64238, Abcam, Cambridge, UK) and subsequently counterstained with hematoxylin (Merck KGaA, Darmstadt, Germany). Subsequently, they were examined and photographed using an optical microscope (Leica DM750, Leica Microsystems CMS GmbH, Wetzlar, Germany). In addition, the IHC lesion severity scores were calculated as follows: (−) = absent or rarely observed labeling, no lesions; (+) = mild–low lesions (numbers of cells positively labeled up to 10%), (++) = moderate–medium lesions (numbers of cells positively labeled between 10 and 50%), (+++) = severe, major lesions (more than 50% of cells positively labeled) [168].
3.3. Statistical Analysis
The data are represented by mean ± standard deviation (SD), and the statistical difference was analyzed either by two-way ANOVA followed by a Tukey’s HSD post hoc test for multiple comparisons between groups or a t-test using a statistical analysis software, GraphPad Prism (GraphPad Prism Software, San Diego, CA, USA), version 10.3.1 for Windows. The SigmaPlot software (Systat Software Inc., Erkrath, Germany), version 15 for Windows, was used for the normality test (Shapiro–Wilk), equal variance test (Brown–Forsythe), and the power of the test, with α = 0.050. Moreover, a priori sample size calculation was carried out on various studies [44,169,170,171,172] and assuming a one-way between-subjects ANOVA for independent groups to detect a medium to large effect with power exceeding 80% with α = 0.05 by using G*Power 3.1.9.7 software (University of Düsseldorf, Germany).
4. Conclusions
In our study, we observed that the combined exposure of zebrafish to Cd, Hg, and IMI resulted in a more pronounced impact than any individual treatment alone. Thus, co-exposure to these two heavy metals and IMI over 21 days led to a significant decline in main locomotion parameters and an increase in immobile duration. Exposure to these contaminants adversely affected the social behavior of the fish, with the most substantial reduction in time spent near social stimuli recorded in the group subjected to the ternary mixture. The presence of heavy metals and a pesticide in the habitat of zebrafish resulted in a noticeable decrease in AChE activity within their brains. This decline was accompanied by increased levels of MDA and heightened activity of antioxidant enzymes, such as SOD and GPx, in the fish’s tissues. In addition, the group exposed to the mixture of Cd, Hg, and IMI exhibited excess Ca levels, while elevated Mg levels were noted in the Hg + Cd and mixture groups. In contrast, significant deficiencies in Fe and K were observed in the Hg + Cd and mixture groups. Furthermore, the mixture treatment resulted in degenerative changes in the optic tectum and cerebellum, with relatively milder effects observed in the spinal cord. The results showed that HF co-administration can attenuate the contaminant-induced social and locomotor activity impairments, changes in OS parameters and AChE activity, and brain injury. These supplements hold potential utility within the fish industry for alleviating the adverse effects of environmental contaminants infiltrating aquaculture systems through various pathways. Future research endeavors are warranted to elucidate the precise mechanisms underlying both the toxicological effects induced by concurrent exposure to heavy metals and pesticides and the observed protective effects of health supplements. Furthermore, establishing a dose–response relationship for these supplements remains crucial for advancing our understanding.
Supplementary Materials
The following supporting information can be downloaded at: https://www.mdpi.com/article/10.3390/ijms252111730/s1.
Author Contributions
Conceptualization, T.I., R.J. and E.P.; methodology, T.I., R.J. and D.I.; software, R.J. and D.I.; validation, R.J., C.-M.G., T.I., A.L., C.M. (Cristian Moisa), L.C., C.M. (Claudia Muresan), D.M.C., G.M., F.D.L., C.S., G.-A.D., I.-A.S. and E.P.; formal analysis, R.J., A.L., C.M. (Cristian Moisa), L.C., C.M. (Claudia Muresan), D.M.C., G.M., C.S. and I.-A.S.; investigation R.J. and E.P.; resources, T.I.; data curation, R.J. and E.P.; writing—original draft preparation, R.J., E.P., C.-M.G., T.I., A.L., C.M. (Cristian Moisa), L.C., C.M. (Claudia Muresan), D.M.C., G.M., F.D.L., C.S. and I.-A.S.; writing—review and editing, G.S., C.S., D.I., R.J., E.P. and M.N.; visualization, R.J., E.P., D.I. and M.N.; supervision, T.I., A.C., M.N. and C.-M.G.; project administration, T.I. and A.C.; funding acquisition, T.I. All authors have read and agreed to the published version of the manuscript.
Funding
This work was supported by a grant from the Ministry of Research, Innovation and Digitization, CNCS—UEFISCDI, project number PN-III-P4-PCE-2021-0639, within PNCDI III. SC Synergy Plant Products SRL provided support in the form of materials.
Institutional Review Board Statement
The animal study protocol was approved by the Ethics Committee of the Faculty of Biology, Alexandru Ioan Cuza University of Iasi (2992/05.10.2021).
Informed Consent Statement
Not applicable.
Data Availability Statement
Data are contained within the article or Supplementary Materials.
Conflicts of Interest
The authors declare no conflicts of interest.
References
- Tomczyk, M.; Miłek, M.; Sidor, E.; Kapusta, I.; Litwińczuk, W.; Puchalski, C.; Dżugan, M. The Effect of Adding the Leaves and Fruits of Morus alba to Rape Honey on Its Antioxidant Properties, Polyphenolic Profile, and Amylase Activity. Molecules 2019, 25, 84. [Google Scholar] [CrossRef] [PubMed]
- Dżugan, M.; Sowa, P.; Kwaśniewska, M.; Wesołowska, M.; Czernicka, M. Physicochemical Parameters and Antioxidant Activity of Bee Honey Enriched with Herbs. Plant Foods Hum. Nutr. 2017, 72, 74–81. [Google Scholar] [CrossRef] [PubMed]
- Grabek-Lejko, D.; Miłek, M.; Sidor, E.; Puchalski, C.; Dżugan, M. Antiviral and Antibacterial Effect of Honey Enriched with Rubus spp. as a Functional Food with Enhanced Antioxidant Properties. Molecules 2022, 27, 4859. [Google Scholar] [CrossRef] [PubMed]
- Guldas, M.; Gurbuz, O.; Cakmak, I.; Yildiz, E.; Sen, H. Effects of honey enrichment with Spirulina platensis on phenolics, bioaccessibility, antioxidant capacity and fatty acids. LWT 2022, 153, 112461. [Google Scholar] [CrossRef]
- Miłek, M.; Ciszkowicz, E.; Sidor, E.; Hęclik, J.; Lecka-Szlachta, K.; Dżugan, M. The Antioxidant, Antibacterial and Anti-Biofilm Properties of Rapeseed Creamed Honey Enriched with Selected Plant Superfoods. Antibiotics 2023, 12, 235. [Google Scholar] [CrossRef]
- Miłek, M.; Grabek-Lejko, D.; Stępień, K.; Sidor, E.; Mołoń, M.; Dżugan, M. The Enrichment of Honey with Aronia melanocarpa Fruits Enhances Its in vitro and in vivo Antioxidant Potential and Intensifies its Antibacterial and Antiviral Properties. Food Funct. 2021, 12, 8920–8931. [Google Scholar] [CrossRef]
- Pereira, C.; Barreira, J.C.M.; Calhelha, R.C.; Lopes, M.; Queiroz, M.J.R.P.; Vilas-Boas, M.; Barros, L.; Ferreira, I.C.F.R. Is Honey Able to Potentiate the Antioxidant and Cytotoxic Properties of Medicinal Plants Consumed as Infusions for Hepatoprotective Effects? Food Funct. 2015, 6, 1435–1442. [Google Scholar] [CrossRef]
- Sowa, P.; Tarapatskyy, M.; Puchalski, C.; Jarecki, W.; Dżugan, M. A Novel Honey-Based Product Enriched with Coumarin from Melilotus flowers. J. Food Meas. Charact. 2019, 13, 1748–1754. [Google Scholar] [CrossRef]
- Żebracka, A.; Winiarska-Mieczan, A.; Nowakowicz-Dębek, B.; Banach, M.; Drabik, A.; Pulit-Prociak, J.; Chmielowiec-Korzeniowska, A. Assessment of the Microbiological Quality and Bactericidal Properties of Flavoured Honey. Med. Weter. 2022, 78, 556–562. [Google Scholar] [CrossRef]
- Hussien, H.M.; Abdou, H.M.; Yousef, M.I. Cypermethrin Induced Damage in Genomic DNA and Histopathological Changes in Brain and Haematotoxicity in Rats: The Protective Effect of Sesame Oil. Brain Res. Bull. 2013, 92, 76–83. [Google Scholar] [CrossRef]
- Tunali-Akbay, T.; Sener, G.; Salvarli, H.; Sehirli, O.; Yarat, A. Protective Effects of Ginkgo biloba Extract Against Mercury(II)-induced Cardiovascular Oxidative Damage in Rats. Phytother. Res. 2007, 21, 26–31. [Google Scholar] [CrossRef] [PubMed]
- Banaee, M.; Impellitteri, F.; Samani, H.E.-Z.; Piccione, G.; Faggio, C. Dietary Arthrospira platensis in Rainbow Trout (Oncorhynchus mykiss): A Means to Reduce Threats Caused by CdCl2 Exposure? Toxics 2022, 10, 731. [Google Scholar] [CrossRef] [PubMed]
- El-Demerdash, F.M.; Jebur, A.B.; Nasr, H.M.; Hamid, H.M. Modulatory Effect of Turnera diffusa Against Testicular Toxicity Induced by Fenitrothion and/or Hexavalent Chromium in Rats. Environ. Toxicol. 2019, 34, 330–339. [Google Scholar] [CrossRef] [PubMed]
- González, S.; López-Roldán, R.; Cortina, J.-L. Presence and Biological Effects of Emerging Contaminants in Llobregat River Basin: A Review. Environ. Pollut. 2012, 161, 83–92. [Google Scholar] [CrossRef]
- Machado, C.S.; Fregonesi, B.M.; Alves, R.I.S.; Tonani, K.A.A.; Sierra, J.; Martinis, B.S.; Celere, B.S.; Mari, M.; Schuhmacher, M.; Nadal, M.; et al. Health Risks of Environmental Exposure to Metals and Herbicides in the Pardo River, Brazil. Environ. Sci. Pollut. Res. 2017, 24, 20160–20172. [Google Scholar] [CrossRef]
- Salvadó, V.; Quintana, X.D.; Hidalgo, M. Monitoring of Nutrients, Pesticides, and Metals in Waters, Sediments, and Fish of a Wetland. Arch. Environ. Contam. Toxicol. 2006, 51, 377–386. [Google Scholar] [CrossRef]
- Olutona, G.O.; Livingstone, S.T. Detection of Organochlorine Pesticide (OCPs) Residues and Trace Metals in Some Selected Malt Drinks in Nigeria. Beverages 2018, 4, 65. [Google Scholar] [CrossRef]
- Marković, M.; Cupać, S.; Durović, R.; Milinović, J.; Kljajić, P. Assessment of Heavy Metal and Pesticide Levels in Soil and Plant Products From Agricultural Area of Belgrade, Serbia. Arch. Environ. Contam. Toxicol. 2010, 58, 341–351. [Google Scholar] [CrossRef]
- He, W.; Guo, W.; Qian, Y.; Zhang, S.; Ren, D.; Liu, S. Synergistic Hepatotoxicity by Cadmium and Chlorpyrifos: Disordered Hepatic Lipid Homeostasis. Mol. Med. Rep. 2015, 12, 303–308. [Google Scholar] [CrossRef]
- Chen, L.; Qu, G.; Sun, X.; Zhang, S.; Wang, L.; Sang, N.; Du, Y.; Liu, J.; Liu, S. Characterization of the Interaction between Cadmium and Chlorpyrifos with Integrative Techniques in Incurring Synergistic Hepatoxicity. PLoS ONE 2013, 8, e59553. [Google Scholar] [CrossRef]
- Jijie, R.; Solcan, G.; Nicoara, M.N.; Micu, D.; Strungaru, S.-A. Antagonistic effects in zebrafish (Danio rerio) behavior and oxidative stress induced by toxic metals and deltamethrin acute exposure. Sci. Total Environ. 2019, 698, 134299. [Google Scholar] [CrossRef] [PubMed]
- Paduraru, E.; Flocea, E.I.; Lazado, C.C.; Simionov, I.A.; Nicoara, M.; Ciobica, A.; Faggio, C.; Jijie, R. Vitamin C Mitigates Oxidative Stress and Behavioral Impairments Induced by Deltamethrin and Lead Toxicity in Zebrafish. Int. J. Mol. Sci. 2021, 22, 12714. [Google Scholar] [CrossRef] [PubMed]
- Ku, T.; Yan, W.; Jia, W.; Yun, Y.; Zhu, N.; Li, G.; Sang, N. Characterization of Synergistic Embryotoxicity of Nickel and Buprofezin in Zebrafish. Environ. Sci. Technol. 2015, 49, 4600–4608. [Google Scholar] [CrossRef]
- Lajmanovich, R.C.; Peltzer, P.M.; Attademo, A.M.; Martinuzzi, C.S.; Simoniello, M.F.; Colussi, C.L.; Boccioni, A.P.C.; Sigrist, M. First Evaluation of Novel Potential Synergistic Effects of Glyphosate and Arsenic Mixture on Rhinella arenarum (Anura: Bufonidae) Tadpoles. Heliyon 2019, 5, e02601. [Google Scholar] [CrossRef]
- Liu, J.; Sun, L.; Zhang, H.; Shi, M.; Dahlgren, R.A.; Wang, X.; Wang, H. Response Mechanisms to Joint Exposure of Triclosan and Its Chlorinated Derivatives on Zebrafish (Danio rerio) Behavior. Chemosphere 2018, 193, 820–832. [Google Scholar] [CrossRef] [PubMed]
- Yang, Y.; Yu, Y.; Zhou, R.; Yang, Y.; Bu, Y. The Effect of Combined Exposure of Zinc and Nickel on the Development of Zebrafish. J. Appl. Toxicol. 2021, 41, 1765–1778. [Google Scholar] [CrossRef] [PubMed]
- Lu, K.; Qiao, R.; An, H.; Zhang, Y. Influence of Microplastics on the Accumulation and Chronic Toxic Effects of Cadmium in Zebrafish (Danio rerio). Chemosphere 2018, 202, 514–520. [Google Scholar] [CrossRef]
- Jijie, R.; Paduraru, E.; Simionov, I.-A.; Faggio, C.; Ciobica, A.; Nicoara, M. Effects of Single and Combined Ciprofloxacin and Lead Treatments on Zebrafish Behavior, Oxidative Stress, and Elements Content. Int. J. Mol. Sci. 2023, 24, 4952. [Google Scholar] [CrossRef]
- Di Paola, D.; Iaria, C.; Capparucci, F.; Cordaro, M.; Crupi, R.; Siracusa, R.; D’Amico, R.; Fusco, R.; Impellizzeri, D.; Cuzzocrea, S.; et al. Aflatoxin B1 Toxicity in Zebrafish Larva (Danio rerio): Protective Role of Hericium erinaceus. Toxins 2021, 13, 710. [Google Scholar] [CrossRef]
- Costa, B.P.D.; Moura, L.A.; Pinto, S.A.G.; Lima-Maximino, M.G.; Maximino, C. Zebrafish Models in Neural and Behavioral Toxicology across the Life Stages. Fishes 2020, 5, 23. [Google Scholar] [CrossRef]
- Xia, Y.; Zhu, J.; Xu, Y.; Zhang, H.; Zou, F.; Meng, X. Effects of Ecologically Relevant Concentrations of Cadmium on Locomotor Activity and Microbiota in Zebrafish. Chemosphere 2020, 257, 127220. [Google Scholar] [CrossRef] [PubMed]
- Tian, J.; Hu, J.; He, W.; Zhou, L.; Huang, Y. Parental Exposure to Cadmium Chloride Causes Developmental Toxicity and Thyroid Endocrine Disruption in Zebrafish Offspring. Comp. Biochem. Physiol. C Toxicol. Pharmacol. 2020, 234, 108782. [Google Scholar] [CrossRef] [PubMed]
- Patel, U.N.; Patel, U.D.; Khadayata, A.V.; Vaja, R.K.; Modi, C.M.; Patel, H.B. Long-term Exposure of the Binary Mixture of Cadmium and Mercury Damages the Developed Ovary of Adult Zebrafish. Environ. Sci. Pollut. Res. 2022, 29, 44928–44938. [Google Scholar] [CrossRef] [PubMed]
- Li, P.; Li, Z.-H. Environmental Co-exposure to TBT and Cd Caused Neurotoxicity and Thyroid Endocrine Disruption in Zebrafish, a Three-generation Study in a Simulated Environment. Environ. Pollut. 2020, 259, 113868. [Google Scholar] [CrossRef]
- Lacave, J.M.; Bilbao, E.; Gilliland, D.; Mura, F.; Dini, L.; Cajaraville, M.P.; Orbea, A. Bioaccumulation, Cellular and Molecular Effects in Adult Zebrafish After Exposure to Cadmium Sulphide Nanoparticles and to Ionic Cadmium. Chemosphere 2020, 238, 124588. [Google Scholar] [CrossRef]
- Abu Bakar, N.; Sata, N.S.M.; Ramlan, N.F.; Ibrahim, W.N.W.; Zulkifli, S.Z.; Abdullah, C.A.C.; Ahmad, S.; Amal, M.N. Evaluation of the Neurotoxic Effects of Chronic Embryonic Exposure with Inorganic Mercury on Motor and Anxiety-like Responses in Zebrafish (Danio rerio) Larvae. Neurotoxicol. Teratol. 2017, 59, 53–61. [Google Scholar] [CrossRef]
- Strungaru, S.A.; Robea, M.A.; Plavan, G.; Todirascu-Ciornea, E.; Ciobica, A.; Nicoara, M. Acute Exposure to Methylmercury Chloride Induces Fast Changes in Swimming Performance, Cognitive Processes and Oxidative Stress of Zebrafish (Danio rerio) as Reference Model for Fish Community. J. Trace Elem. Med. Biol. 2018, 47, 115–123. [Google Scholar] [CrossRef]
- Macirella, R.; Brunelli, E. Morphofunctional Alterations in Zebrafish (Danio rerio) Gills after Exposure to Mercury Chloride. Int. J. Mol. Sci. 2017, 18, 824. [Google Scholar] [CrossRef] [PubMed]
- Xie, D.; Chen, Q.; Gong, S.; An, J.; Li, Y.; Lian, X.; Liu, Z.; Shen, Y.; Giesy, J.P. Exposure of Zebrafish to Environmentally Relevant Concentrations of Mercury During Early Life Stages Impairs Subsequent Reproduction in Adults but can be Recovered in Offspring. Aquat. Toxicol. 2020, 229, 105655. [Google Scholar] [CrossRef]
- Sun, Y.; Li, Y.; Liu, Z.; Chen, Q. Environmentally Relevant Concentrations of Mercury Exposure Alter Thyroid Hormone Levels and Gene Expression in the Hypothalamic-pituitary-thyroid Axis of Zebrafish Larvae. Fish Physiol. Biochem. 2018, 44, 1175–1183. [Google Scholar] [CrossRef]
- Chung, K.-T.; Chen, L.-W.; Tseng, H.-W.; Wu, C.-H. Neonicotinoid Imidacloprid Affects the Social Behavior of Adult Zebrafish by Damaging Telencephalon Neurons through Oxidation Stress, Inflammation, and Apoptosis. Life 2023, 13, 1418. [Google Scholar] [CrossRef] [PubMed]
- Luo, T.; Wang, X.; Jin, Y. Low Concentrations of Imidacloprid Exposure Induced Gut Toxicity in Adult Zebrafish (Danio rerio). Comp. Biochem. Physiol. C Toxicol. Pharmacol. 2021, 241, 108972. [Google Scholar] [CrossRef] [PubMed]
- Luo, T.; Weng, Y.; Huang, Z.; Zhao, Y.; Jin, Y. Combined Hepatotoxicity of Imidacloprid and Microplastics in Adult Zebrafish: Endpoints at Gene Transcription. Comp. Biochem. Physiol. C Toxicol. Pharmacol. 2021, 246, 109043. [Google Scholar] [CrossRef] [PubMed]
- Hou, J.; Zhang, L.; Xu, W.; Liu, Z.; Yu, J.; Yu, R.; Chen, L. Glycometabolic Disorder Induced by Chronic Exposure to Low-concentration Imidacloprid in Zebrafish. Sci. Total Environ. 2024, 937, 173421. [Google Scholar] [CrossRef] [PubMed]
- Alvarez-Suarez, J.M.; Giampieri, F.; Brenciani, A.; Mazzoni, L.; Gasparrini, M.; González-Paramás, A.M.; Santos-Buelga, C.; Morroni, G.; Simoni, S.; Forbes-Hernández, T.Y.; et al. Apis mellifera vs Melipona beecheii Cuban Polifloral Honeys: A Comparison Based on Their Physicochemical Parameters, Chemical Composition and Biological Properties. LWT 2018, 87, 272–279. [Google Scholar] [CrossRef]
- Codex Stan 12-1981; Revised Codex Standard for Honey Codex Stan 12-1981, Rev. 1 (1987), Rev. (2001). FAO: Rome, Italy, 2022.
- The European Parliament and The Council of The European Union. European Parliament Directive 2014/63/EU of The European Parliament and of the Council of 15 May 2014 amending Council Directive 2001/110/EC relating to honey. Off. J. Eur. Union 2014, L164, 1–5. [Google Scholar]
- Sakač, M.B.; Jovanov, P.T.; Marić, A.Z.; Pezo, L.L.; Kevrešan, Ž.S.; Novaković, A.R.; Nedeljković, N.M. Physicochemical Properties and Mineral Content of Honey Samples from Vojvodina (Republic of Serbia). Food Chem. 2019, 276, 15–21. [Google Scholar] [CrossRef]
- Shamsudin, S.; Selamat, J.; Sanny, M.; Abdul Razak, S.B.; Jambari, N.N.; Khatib, A. A Comparative Characterization of Physicochemical and Antioxidants Properties of Processed Heterotrigona itama Honey from Different Origins and Classification by Chemometrics Analysis. Molecules 2019, 24, 3898. [Google Scholar] [CrossRef]
- Albu, A.; Radu-Rusu, C.-G.; Pop, I.M.; Frunza, G.; Nacu, G. Quality Assessment of Raw Honey Issued from Eastern Romania. Agriculture 2021, 11, 247. [Google Scholar] [CrossRef]
- da Silva, P.M.; Gauche, C.; Gonzaga, L.V.; Costa, A.C.O.; Fett, R. Honey: Chemical Composition, Stability and Authenticity. Food Chem. 2016, 196, 309–323. [Google Scholar] [CrossRef]
- Živkov Baloš, M.; Popov, N.; Jakšić, S.; Mihaljev, Ž.; Pelić, M.; Ratajac, R.; Ljubojević Pelić, D. Sunflower Honey—Evaluation of Quality and Stability during Storage. Foods 2023, 12, 2585. [Google Scholar] [CrossRef] [PubMed]
- Can, Z.; Yildiz, O.; Sahin, H.; Akyuz Turumtay, E.; Silici, S.; Kolayli, S. An investigation of Turkish honeys: Their physico-chemical properties, antioxidant capacities and phenolic profiles. Food Chem. 2015, 180, 133–141. [Google Scholar] [CrossRef] [PubMed]
- Nascimento, K.S.d.; Gasparotto Sattler, J.A.; Lauer Macedo, L.F.; Serna González, C.V.; Pereira de Melo, I.L.; da Silva Araújo, E.; Granato, D.; Sattler, A.; de Almeida-Muradian, L.B. Phenolic Compounds, Antioxidant Capacity and Physicochemical Properties of Brazilian Apis mellifera Honeys. LWT 2018, 91, 85–94. [Google Scholar] [CrossRef]
- Kunat-Budzyńska, M.; Rysiak, A.; Wiater, A.; Grąz, M.; Andrejko, M.; Budzyński, M.; Bryś, M.S.; Sudziński, M.; Tomczyk, M.; Gancarz, M.; et al. Chemical Composition and Antimicrobial Activity of New Honey Varietals. Int. J. Environ. Res. Public Health 2023, 20, 2458. [Google Scholar] [CrossRef]
- Pătruică, S.; Alexa, E.; Obiștioiu, D.; Cocan, I.; Radulov, I.; Berbecea, A.; Lazăr, R.N.; Simiz, E.; Vicar, N.M.; Hulea, A.; et al. Chemical Composition, Antioxidant and Antimicrobial Activity of Some Types of Honey from Banat Region, Romania. Molecules 2022, 27, 4179. [Google Scholar] [CrossRef]
- Boussaid, A.; Chouaibi, M.; Rezig, L.; Hellal, R.; Donsì, F.; Ferrari, G.; Hamdi, S. Physicochemical and Bioactive Properties of Six Honey Samples From Various Floral Origins From Tunisia. Arab. J. Chem. 2018, 11, 265–274. [Google Scholar] [CrossRef]
- Conti, M.E. Lazio Region (Central Italy) Honeys: A Survey of Mineral Content and Typical Quality Parameters. Food Control 2000, 11, 459–463. [Google Scholar] [CrossRef]
- Wilczyńska, A.; Newerli-Guz, J.; Szweda, P. Influence of the Addition of Selected Spices on Sensory Quality and Biological Activity of Honey. J. Food Qual. 2017, 2017, 6963904. [Google Scholar] [CrossRef]
- Đorđević, S.; Nedić, N.; Pavlović, A.; Milojković-Opsenica, D.; Tešić, Ž.; Gašić, U. Honey with Added Value—Enriched with Rutin and Quercetin from Sophora Flower. J. Herb. Med. 2022, 34, 100580. [Google Scholar] [CrossRef]
- Alzahrani, H.A.; Alsabehi, R.; Boukraâ, L.; Abdellah, F.; Bellik, Y.; Bakhotmah, B.A. Antibacterial and Antioxidant Potency of Floral Honeys from Different Botanical and Geographical Origins. Molecules 2012, 17, 100540–100549. [Google Scholar] [CrossRef]
- Weston, R.J.; Mitchell, K.R.; Allen, K.L. Antibacterial Phenolic Components of New Zealand Manuka Honey. Food Chem. 1999, 64, 295–301. [Google Scholar] [CrossRef]
- Cheung, Y.; Meenu, M.; Yu, X.; Xu, B. Phenolic Acids and Flavonoids Profiles of Commercial Honey from Different Floral Sources and Geographic Sources. Int. J. Food Prop. 2019, 22, 290–308. [Google Scholar] [CrossRef]
- Mandal, M.D.; Mandal, S. Honey: Its Medicinal Property and Antibacterial Activity. Asian Pac. J. Trop. Biomed. 2011, 1, 154–160. [Google Scholar] [CrossRef] [PubMed]
- Albaridi, N.A. Antibacterial Potency of Honey. Int. J. Microbiol. 2019, 2019, 2464507. [Google Scholar] [CrossRef] [PubMed]
- Almasaudi, S. The Antibacterial Activities of Honey. Saudi J. Biol. Sci. 2021, 28, 2188–2196. [Google Scholar] [CrossRef]
- Bui Thi, N.H.; Nguyen Thi, N.A.; Audira, G.; Siregar, P.; Liang, S.T.; Huang, J.C.; Hsiao, C.D. Chronic Exposure to Low Concentration Lead Chloride-Induced Anxiety and Loss of Aggression and Memory in Zebrafish. Int. J. Mol. Sci. 2020, 21, 1844. [Google Scholar] [CrossRef]
- Hu, S.; Han, J.; Yang, L.; Li, S.; Guo, Y.; Zhou, B.; Wu, H.; Hu, S.; Han, J.; Yang, L.; et al. Impact of Co-Exposure to Titanium Dioxide Nanoparticles and Pb on Zebrafish Embryos. Chemosphere 2019, 233, 579–589. [Google Scholar] [CrossRef]
- Zhang, W.; Fan, R.; Luo, S.; Ying, l.; Jin, Y.; Li, Y.; Xiong, M.; Yuan, X.; Jia, L.; Chen, Y. Antagonistic Effects and Mechanisms of Carbendazim and Chlorpyrifos on the Neurobehavior of Larval Zebrafish. Chemosphere 2022, 293, 133522. [Google Scholar] [CrossRef]
- Guerra, L.J.; do Amaral, A.M.B.; de Quadros, V.A.; da Luz Fiuza, T.; Rosemberg, D.B.; Prestes, O.D.; Zanella, R.; Clasen, B.; Loro, V.L. Biochemical and Behavioral Responses in Zebrafish Exposed to Imidacloprid Oxidative Damage and Antioxidant Responses. Arch. Environ. Contam. Toxicol. 2021, 81, 255–264. [Google Scholar] [CrossRef]
- Faria, M.; Prats, E.; Gómez-Canela, C.; Hsu, C.-Y.; Arick, M.A.; Bedrossiantz, J.; Orozco, M.; Garcia-Reyero, N.; Ziv, T.; Ben-Lulu, S.; et al. Therapeutic Potential of N-acetylcysteine in Acrylamide Acute Neurotoxicity in Adult Zebrafish. Sci. Rep. 2019, 9, 16467. [Google Scholar] [CrossRef]
- Abdulmajeed, W.I.; Sulieman, H.B.; Zubayr, M.O.; Imam, A.; Amin, A.; Biliaminu, S.A.; Oyewole, L.A.; Owoyele, B.V. Honey Prevents Neurobehavioural Deficit and Oxidative Stress Induced by Lead Acetate Exposure in Male Wistar Rats—A Preliminary Study. Metab. Brain Dis. 2016, 31, 37–44. [Google Scholar] [CrossRef] [PubMed]
- Robea, M.A.; Jijie, R.; Nicoara, M.; Plavan, G.; Ciobica, A.S.; Solcan, C.; Audira, G.; Hsiao, C.-D.; Strungaru, S.-A. Vitamin C Attenuates Oxidative Stress and Behavioral Abnormalities Triggered by Fipronil and Pyriproxyfen Insecticide Chronic Exposure on Zebrafish Juvenile. Antioxidants 2020, 9, 944. [Google Scholar] [CrossRef] [PubMed]
- Robea, M.A.; Ilie, O.D.; Nicoara, M.N.; Solcan, G.; Romila, L.E.; Ureche, D.; Ciobica, A. Vitamin B12 Ameliorates Pesticide-Induced Sociability Impairment in Zebrafish (Danio rerio): A Prospective Controlled Intervention Study. Animals 2024, 14, 405. [Google Scholar] [CrossRef] [PubMed]
- Zimmermann, F.F.; Gaspary, K.V.; Leite, C.E.; De Paula Cognato, G.; Bonan, C.D. Embryological Exposure to Valproic Acid Induces Social Interaction Deficits in Zebrafish (Danio rerio): A Developmental Behavior Analysis. Neurotoxicol. Teratol. 2015, 52, 36–41. [Google Scholar] [CrossRef]
- Robea, M.A.; Ciobica, A.; Curpan, A.S.; Plavan, G.; Strungaru, S.; Lefter, R.; Nicoara, M. Preliminary Results Regarding Sleep in a Zebrafish Model of Autism Spectrum Disorder. Brain Sci. 2021, 11, 556. [Google Scholar] [CrossRef]
- Chen, J.; Tanguay, R.L.; Simonich, M.; Nie, S.; Zhao, Y.; Li, L.; Bai, C.; Dong, Q.; Huang, C.; Lin, K. TBBPA Chronic Exposure Produces Sex-specific Neurobehavioral and Social Interaction Changes in Adult Zebrafish. Neurotoxicol. Teratol. 2016, 56, 9–15. [Google Scholar] [CrossRef]
- Fu, C.-W.; Horng, J.-L.; Tong, S.-K.; Cherng, B.-W.; Liao, B.-K.; Lin, L.-Y.; Chou, M.-Y. Exposure to Silver impairs Learning and Social Behaviors in Adult Zebrafish. J. Hazard. Mater. 2021, 403, 124031. [Google Scholar] [CrossRef]
- Naderi, M.; Puar, P.; JavadiEsfahani, R.; Kwong, R.W.M. Early Developmental Exposure to Bisphenol A and Bisphenol S Disrupts Socio-cognitive Function, Isotocin Equilibrium, and Excitation-Inhibition Balance in Developing Zebrafish. Neurotoxicology 2022, 88, 144–154. [Google Scholar] [CrossRef]
- Hong, X.; Zhao, G.; Zhou, Y.; Chen, R.; Li, J.; Zha, J. Risks to Aquatic Environments Posed by 14 Pharmaceuticals as Illustrated by Their Effects on Zebrafish Behaviour. Sci. Total Environ. 2021, 771, 145450. [Google Scholar] [CrossRef]
- Karri, V.; Schuhmacher, M.; Kumar, V. Heavy Metals (Pb, Cd, As and MeHg) as Risk Factors for Cognitive Dysfunction: A General Review of Metal Mixture Mechanism in Brain. Environ. Toxicol. Pharmacol. 2016, 48, 203–213. [Google Scholar] [CrossRef]
- Erejuwa, O.O.; Sulaiman, S.A.; Ab Wahab, M.S. Honey: A Novel Antioxidant. Molecules 2012, 17, 4400–4423. [Google Scholar] [CrossRef]
- Ahmed, S.; Sulaiman, S.A.; Baig, A.A.; Ibrahim, M.; Liaqat, S.; Fatima, S.; Jabeen, S.; Shamim, N.; Othman, N.H. Honey as a Potential Natural Antioxidant Medicine: An Insight into Its Molecular Mechanisms of Action. Oxidative Med. Cell. Longev. 2018, 2018, 8367846. [Google Scholar] [CrossRef] [PubMed]
- Ranneh, Y.; Akim, A.M.; Hamid, H.A.; Khazaai, H.; Fadel, A.; Zakaria, Z.A.; Albujja, M.; Bakar, M.F.A. Honey and Its Nutritional and Anti-inflammatory Value. BMC Complement. Med. Ther. 2021, 21, 30. [Google Scholar] [CrossRef] [PubMed]
- Khalil, M.I.; Sulaiman, S.A. The Potential Role of Honey and Its Polyphenols in Preventing Heart Diseases: A Review. Afr. J. Tradit. Complement. Altern. Med. 2010, 7, 315–321. [Google Scholar] [CrossRef]
- Olas, B. Honey and Its Phenolic Compounds as an Effective Natural Medicine for Cardiovascular Diseases in Humans? Nutrients 2020, 12, 283. [Google Scholar] [CrossRef]
- Bt Hj Idrus, R.; Sainik, N.; Nordin, A.; Saim, A.B.; Sulaiman, N. Cardioprotective Effects of Honey and Its Constituent: An Evidence-Based Review of Laboratory Studies and Clinical Trials. Int. J. Environ. Res. Public Health 2020, 17, 3613. [Google Scholar] [CrossRef]
- Kumar, S.; Verma, M.; Hajam, Y.A.; Kumar, R. Honey Infused with Herbs: A Boon to Cure Pathological Diseases. Heliyon 2024, 10, e23302. [Google Scholar] [CrossRef]
- Cruz, F.F.; Leite, C.E.; Pereira, T.C.; Bogo, M.R.; Bonan, C.D.; Battastini, A.M.; Campos, M.M.; Morrone, F.B. Assessment of Mercury Chloride-induced Toxicity and the Relevance of P2X7 Receptor Activation in Zebrafish Larvae. Comp. Biochem. Physiol. C Toxicol. Pharmacol. 2013, 158, 159–164. [Google Scholar] [CrossRef] [PubMed][Green Version]
- Jin, Y.; Liu, Z.; Liu, F.; Ye, Y.; Peng, T.; Fu, Z. Embryonic Exposure to Cadmium (II) and Chromium (VI) Induce Behavioral Alterations, Oxidative Stress and Immunotoxicity in Zebrafish (Danio rerio). Neurotoxicol. Teratol. 2015, 48, 9–17. [Google Scholar] [CrossRef]
- Ge, W.; Yan, S.; Wang, J.; Zhu, L.; Chen, A.; Wang, J. Oxidative Stress and DNA Damage Induced by Imidacloprid in Zebrafish (Danio rerio). J. Agric. Food Chem. 2015, 63, 1856–1862. [Google Scholar] [CrossRef]
- Banni, M.; Chouchene, L.; Said, K.; Kerkeni, A.; Messaoudi, I. Mechanisms Underlying the Protective Effect of Zinc and Selenium Against Cadmium-induced Oxidative Stress in Zebrafish Danio rerio. Biometals 2011, 24, 981–992. [Google Scholar] [CrossRef] [PubMed]
- Green, A.J.; Planchart, A. The Neurological Toxicity of Heavy Metals: A Fish Perspective. Comp. Biochem. Physiol. C Toxicol. Pharmacol. 2018, 208, 12–19. [Google Scholar] [CrossRef] [PubMed]
- Zhang, J.G.; Ma, D.D.; Xiong, Q.; Qiu, S.Q.; Huang, G.Y.; Shi, W.J.; Ying, G.G. Imidacloprid and Thiamethoxam Affect Synaptic Transmission in Zebrafish. Ecotoxicol. Environ. Saf. 2021, 227, 112917. [Google Scholar] [CrossRef] [PubMed]
- Capriello, T.; Grimaldi, M.C.; Cofone, R.; D’Aniello, S.; Ferrandino, I. Effects of Aluminium and Cadmium on Hatching and Swimming Ability in Developing Zebrafish. Chemosphere 2019, 222, 243–249. [Google Scholar] [CrossRef]
- Rosales-Pérez, K.E.; Elizalde-Velázquez, G.A.; Gómez-Oliván, L.M.; Orozco-Hernández, J.M.; Cardoso-Vera, J.D.; Heredia-García, G.; Islas-Flores, H.; García-Medina, S.; Galar-Martínez, M. Brain Damage Induced by Contaminants Released in a Hospital from Mexico: Evaluation of Swimming Behavior, Oxidative Stress, and Acetylcholinesterase in Zebrafish (Danio rerio). Chemosphere 2022, 294, 133791. [Google Scholar] [CrossRef]
- Azman, K.F.; Zakaria, R.; AbdAziz, C.; Othman, Z.; Al-Rahbi, B. Tualang honey improves memory performance and decreases depressive-like behavior in rats exposed to loud noise stress. Noise Health 2015, 17, 83–89. [Google Scholar] [CrossRef]
- Arabmoazzen, S.; Sarkaki, A.; Saki, G.; Mirshekar, M.A. Antidiabetic Effect of Honey Feeding in Noise Induced Hyperglycemic Rat: Involvement of Oxidative Stress. Iran. J. Basic Med. Sci. 2015, 18, 745–751. [Google Scholar]
- Qaid, E.Y.A.; Zakaria, R.; Mohd Yusof, N.A.; Sulaiman, S.F.; Shafin, N.; Othman, Z.; Ahmad, A.H.; Abd Aziz, C.B.; Muthuraju, S. Tualang Honey Ameliorates Hypoxia-induced Memory Deficits by Reducing Neuronal Damage in the Hippocampus of Adult Male Sprague Dawley Rats. Turk. J. Pharm. Sci. 2020, 17, 555–564. [Google Scholar] [CrossRef]
- Merciai, R.; Guasch, H.; Kumar, A.; Sabater, S.; García-Berthou, E. Trace Metal Concentration and Fish Size: Variation Among Fish Species in a Mediterranean River. Ecotoxicol. Environ. Saf. 2014, 107, 154–161. [Google Scholar] [CrossRef]
- Solayman, M.; Islam, M.A.; Paul, S.; Ali, Y.; Khalil, M.I.; Alam, N.; Gan, S.H. Physicochemical Properties, Minerals, Trace Elements, and Heavy Metals in Honey of Different Origins: A Comprehensive Review. Compr. Rev. Food Sci. Food Saf. 2016, 15, 219–233. [Google Scholar] [CrossRef]
- Hassan, A.T.; Kwong, R.W.M. The Neurophysiological Effects of Iron in Early Life Stages of Zebrafish. Environ. Pollut. 2020, 267, 115625. [Google Scholar] [CrossRef] [PubMed]
- Li, S.; Cao, C.; Shi, H.; Yang, S.; Qi, L.; Zhao, X.; Sun, C. Effect of Quercetin Against Mixture of Four Organophosphate pesticides Induced Nephrotoxicity in Rats. Xenobiotica 2016, 46, 225–233. [Google Scholar] [CrossRef] [PubMed]
- Dale, K.; Rasinger, J.D.; Thorstensen, K.L.; Penglase, S.; Ellingsen, S. Vitamin E Reduces Endosulfan-induced Toxic Effects on Morphology and Behavior in Early Development of Zebrafish (Danio rerio). Food Chem. Toxicol. 2017, 101, 84–93. [Google Scholar] [CrossRef] [PubMed]
- Zeng, X.; Du, Z.; Ding, X.; Jiang, W. Protective Effects of Dietary Flavonoids Against pesticide-induced Toxicity: A Review. Trends Food Sci. Technol. 2021, 109, 271–279. [Google Scholar] [CrossRef]
- Priyadarsini, K.I. The Chemistry of Curcumin: From Extraction to Therapeutic Agent. Molecules 2014, 19, 20091–20112. [Google Scholar] [CrossRef]
- Pivovarov, A.S.; Calahorro, F.; Walker, R.J. Na(+)/K(+)-pump and Neurotransmitter Membrane Receptors. Invertebr. Neurosci. 2018, 19, 1. [Google Scholar] [CrossRef]
- Glasdam, S.M.; Glasdam, S.; Peters, G.H. The Importance of Magnesium in the Human Body: A Systematic Literature Review. Adv. Clin. Chem. 2016, 73, 169–193. [Google Scholar] [CrossRef]
- Araujo, G.F.; Soares, L.O.S.; Junior, S.F.S.; Barreto de Carvalho, L.V.; Rocha, R.C.C.; Saint’Pierre, T.; Hauser-Davis, R.A.; Correia, F.V.; Saggioro, E.M. Oxidative Stress and Metal Homeostasis Alterations in Danio rerio (zebrafish) under Single and Combined Carbamazepine, Acetamiprid and Cadmium Exposures. Aquat. Toxicol. 2022, 245, 106122. [Google Scholar] [CrossRef]
- Alsop, D.; Wood, C.M. Metal Uptake and Acute Toxicity in Zebrafish: Common Mechanisms Across Multiple Metals. Aquat. Toxicol. 2011, 105, 385–393. [Google Scholar] [CrossRef]
- Shaw, P.; Mondal, P.; Dey Bhowmik, A.; Bandyopadhyay, A.; Sudarshan, M.; Chakraborty, A.; Chattopadhyay, A. Environmentally Relevant Hexavalent Chromium Disrupts Elemental Homeostasis and Induces Apoptosis in Zebrafish Liver. Bull. Environ. Contam. Toxicol. 2022, 108, 716–724. [Google Scholar] [CrossRef]
- Siblerud, R.; Mutter, J.; Moore, E.; Naumann, J.; Walach, H. A Hypothesis and Evidence That Mercury May be an Etiological Factor in Alzheimer’s Disease. Int. J. Environ. Res. Public Health 2019, 16, 5152. [Google Scholar] [CrossRef] [PubMed]
- Devarapogu, R.; Asupatri, U.R. Effects of Zinc Supplementation in Mitigating the Harmful Effects of Chronic Cadmium Exposure in a Zebrafish Model. Environ. Toxicol. Pharmacol. 2023, 100, 104158. [Google Scholar] [CrossRef] [PubMed]
- Hol, E.M.; Pekny, M. Glial Fibrillary Acidic Protein (GFAP) and the Astrocyte Intermediate Filament System in Diseases of the Central Nervous System. Curr. Opin. Cell Biol. 2015, 32, 121–130. [Google Scholar] [CrossRef] [PubMed]
- Brenner, M.; Kisseberth, W.C.; Su, Y.; Besnard, F.; Messing, A. GFAP Promoter Directs Astrocyte-specific Expression in Transgenic Mice. J. Neurosci. 1994, 14, 1030–1037. [Google Scholar] [CrossRef] [PubMed]
- Escartin, C.; Galea, E.; Lakatos, A.; O’Callaghan, J.P.; Petzold, G.C.; Serrano-Pozo, A.; Steinhäuser, C.; Volterra, A.; Carmignoto, G.; Agarwal, A.; et al. Reactive Astrocyte Nomenclature, Definitions, and Future Directions. Nat. Neurosci. 2021, 24, 312–325. [Google Scholar] [CrossRef]
- Ben Haim, L.; Rowitch, D.H. Functional Diversity of Astrocytes in Neural Circuit Regulation. Nat. Rev. Neurosci. 2017, 18, 31–41. [Google Scholar] [CrossRef]
- Gradisnik, L.; Velnar, T. Astrocytes in the Central Nervous System and their Functions in Health and Disease: A Review. World J. Clin. Cases 2023, 11, 3385–3394. [Google Scholar] [CrossRef]
- Oberheim, N.A.; Goldman, S.A.; Nedergaard, M. Heterogeneity of Astrocytic Form and Function. Methods Mol. Biol. 2012, 814, 23–45. [Google Scholar] [CrossRef]
- Grupp, L.; Wolburg, H.; Mack, A.F. Astroglial Structures in the Zebrafish Brain. J. Comp. Neurol. 2010, 518, 4277–4287. [Google Scholar] [CrossRef]
- Kettenmann, H.; Verkhratsky, A. Neuroglia—Living Nerve Glue. Fortschr. Neurol. Psychiatr. 2011, 79, 588–597. [Google Scholar] [CrossRef]
- Hamby, M.E.; Sofroniew, M.V. Reactive Astrocytes as Therapeutic Targets for CNS Disorders. Neurotherapeutics 2010, 7, 494–506. [Google Scholar] [CrossRef] [PubMed]
- Floden, A.M.; Combs, C.K. Microglia Repetitively Isolated from in vitro Mixed Glial Cultures Retain their Initial Phenotype. J. Neurosci. Methods 2007, 164, 218–224. [Google Scholar] [CrossRef] [PubMed]
- Fellin, T.; Ellenbogen, J.M.; De Pittà, M.; Ben-Jacob, E.; Halassa, M.M. Astrocyte regulation of sleep circuits: Experimental and modeling perspectives. Front. Comput. Neurosci. 2012, 6, 65. [Google Scholar] [CrossRef] [PubMed]
- Souza, D.G.; Bellaver, B.; Souza, D.O.; Quincozes-Santos, A. Characterization of adult rat astrocyte cultures. PLoS ONE 2013, 8, e60282. [Google Scholar] [CrossRef] [PubMed]
- He, Y.; Taylor, N.; Bhattacharya, A. Isolation and Culture of Astrocytes from Postnatal and Adult Mouse Brains. Methods Mol. Biol. 2019, 1938, 37–47. [Google Scholar] [CrossRef] [PubMed]
- López, E.; Arce, C.; Oset-Gasque, M.J.; Cañadas, S.; González, M.P. Cadmium Induces Reactive Oxygen Species Generation and Lipid Peroxidation in Cortical Neurons in Culture. Free Radic. Biol. Med. 2006, 40, 940–951. [Google Scholar] [CrossRef]
- Bolam, J.P.; Pissadaki, E.K. Living on the Edge with Too Many Mouths to Feed: Why Dopamine Neurons Die. Mov. Disord. 2012, 27, 1478–1483. [Google Scholar] [CrossRef]
- Rayman, M.P. Selenium and Human Health. Lancet 2012, 379, 1256–1268. [Google Scholar] [CrossRef]
- O’Donnell, K.C.; Vargas, M.E.; Sagasti, A. WldS and PGC-1α Regulate Mitochondrial Transport and Oxidation State After Axonal Injury. J. Neurosci. 2013, 33, 14778–14790. [Google Scholar] [CrossRef]
- Tisler, T.; Jemec, A.; Mozetic, B.; Trebse, P. Hazard Identification of Imidacloprid to Aquatic Environment. Chemosphere 2009, 76, 907–914. [Google Scholar] [CrossRef]
- Duzguner, V.; Erdogan, S. Chronic exposure to imidacloprid induces inflammation and oxidative stress in the liver & central nervous system of rats. Pestic. Biochem. Physiol. 2012, 104, 58–64. [Google Scholar] [CrossRef]
- Abdel-Rahman Mohamed, A.; Mohamed, W.A.M.; Khater, S.I. Imidacloprid Induces Various Toxicological Effects Related to the Expression of 3β-HSD, NR5A1, and OGG1 Genes in Mature and Immature Rats. Environ. Pollut. 2017, 221, 15–25. [Google Scholar] [CrossRef] [PubMed]
- Antonio, M.T.; Peinado, V.; González, J.C.; Leret, M.L. Effects of Maternal Cadmium Administration on Development of Monoaminergic, GABAergic and Glutamatergic Systems. Environ. Toxicol. Pharmacol. 2010, 29, 87–90. [Google Scholar] [CrossRef]
- Philbert, M.A.; Billingsley, M.L.; Reuhl, K.R. Mechanisms of Injury in the Central Nervous System. Toxicol. Pathol. 2000, 28, 43–53. [Google Scholar] [CrossRef] [PubMed]
- Cambier, S.; Bénard, G.; Mesmer-Dudons, N.; Gonzalez, P.; Rossignol, R.; Brèthes, D.; Bourdineaud, J.P. At Environmental Doses, Dietary Methylmercury Inhibits Mitochondrial Energy Metabolism in Skeletal Muscles of the Zebra fish (Danio rerio). Int. J. Biochem. Cell. Biol. 2009, 41, 791–799. [Google Scholar] [CrossRef]
- Borges, A.C.; Da Silva Montes, C.; Barbosa, L.A.; Ferreira, M.A.P.; Berrêdo, J.F.; Martins Rocha, R. Integrated Use of Histological and Ultrastructural Biomarkers for Assessing Mercury Pollution in Piranhas (Serrasalmus rhombeus) from the Amazon Mining Region. Chemosphere 2018, 202, 788–796. [Google Scholar] [CrossRef]
- Bhattacharya, S.; Large, E.; Heizmann, C.W.; Hemmings, B.; Chazin, W.J. Structure of the Ca2+/S100B/NDR Kinase Peptide Complex: Insights Into S100 Target Specificity and Activation of the Kinase. Biochemistry 2003, 42, 14416–14426. [Google Scholar] [CrossRef]
- Leclerc, E.; Fritz, G.; Weibel, M.; Heizmann, C.W.; Galichet, A. S100B and S100A6 Differentially Modulate Cell Survival by Interacting with Distinct RAGE (Receptor for Advanced Glycation End Products) Immunoglobulin Domains. J. Biol. Chem. 2007, 282, 31317–31331. [Google Scholar] [CrossRef]
- Sorci, G.; Riuzzi, F.; Arcuri, C.; Giambanco, I.; Donato, R. Amphoterin Stimulates Myogenesis and Counteracts the Antimyogenic Factors Basic Fibroblast Growth Factor and S100B via RAGE Binding. Mol. Cell. Biol. 2004, 24, 4880–4894. [Google Scholar] [CrossRef]
- Vogl, T.; Tenbrock, K.; Ludwig, S.; Leukert, N.; Ehrhardt, C.; van Zoelen, M.A.; Nacken, W.; Foell, D.; van der Poll, T.; Sorg, C.; et al. Mrp8 and Mrp14 are Endogenous Activators of Toll-like Receptor 4, Promoting Lethal, Endotoxin-induced Shock. Nat. Med. 2007, 13, 1042–1049. [Google Scholar] [CrossRef]
- Chan, J.K.; Roth, J.; Oppenheim, J.J.; Tracey, K.J.; Vogl, T.; Feldmann, M.; Horwood, N.; Nanchahal, J. Alarmins: Awaiting a Clinical Response. J. Clin. Investig. 2012, 122, 2711–2719. [Google Scholar] [CrossRef] [PubMed]
- Newton, K.; Dixit, V.M. Signaling in Innate Immunity and Inflammation. Cold Spring Harb. Perspect. Biol. 2012, 4, a006049. [Google Scholar] [CrossRef] [PubMed]
- Donato, R. Intracellular and Extracellular Roles of S100 Proteins. Microsc. Res. Tech. 2003, 60, 540–551. [Google Scholar] [CrossRef]
- Sorci, G.; Agneletti, A.L.; Donato, R. Effects of S100A1 and S100B on Microtubule Stability. An in vitro Study Using Triton-cytoskeletons from Astrocyte and Myoblast Cell Lines. Neuroscience 2000, 99, 773–783. [Google Scholar] [CrossRef] [PubMed]
- Raponi, E.; Agenes, F.; Delphin, C.; Assard, N.; Baudier, J.; Legraverend, C.; Deloulme, J.C. S100B Expression Defines a State in Which GFAP-expressing Cells Lose Their Neural Stem Cell Potential and Acquire a More Mature Developmental Stage. Glia 2007, 55, 165–177. [Google Scholar] [CrossRef]
- Grandel, H.; Kaslin, J.; Ganz, J.; Wenzel, I.; Brand, M. Neural Stem Cells and Neurogenesis in the Adult Zebrafish Brain: Origin, Proliferation Dynamics, Migration and Cell Fate. Dev. Biol. 2006, 295, 263–277. [Google Scholar] [CrossRef]
- Ninkovic, J.; Götz, M. Signaling in Adult Neurogenesis: From Stem Cell Niche to Neuronal Networks. Curr. Opin. Neurobiol. 2007, 17, 338–344. [Google Scholar] [CrossRef]
- Mahler, J.; Driever, W. Expression of the Zebrafish Intermediate Neurofilament Nestin in the Developing Nervous System and in Neural Proliferation Zones at Postembryonic Stages. BMC Dev. Biol. 2007, 7, 89. [Google Scholar] [CrossRef]
- Hassan, S.A.; Moussa, E.A.; Abbott, L.C. The Effect of Methylmercury Exposure on Early Central Nervous System Development in the Zebrafish (Danio rerio) embryo. J. Appl. Toxicol. 2012, 32, 707–713. [Google Scholar] [CrossRef]
- Smith, L.E.; Carvan, M.J.; Dellinger, J.A.; Ghorai, J.K.; White, D.B.; Williams, F.E.; Weber, D.N. Developmental Selenomethionine and Methylmercury Exposures Affect Zebrafish Learning. Neurotoxicol. Teratol. 2010, 32, 246–255. [Google Scholar] [CrossRef]
- Yang, L.; Kemadjou, J.R.; Zinsmeister, C.; Bauer, M.F.; Legradi, J.; Müller, F.; Pankratz, M.J.; Jäkel, J.; Strähle, U. Transcriptional Profiling Reveals Barcode-like Toxicogenomic Responses in the Zebrafish Embryo. Genome Biol. 2007, 8, R227. [Google Scholar] [CrossRef] [PubMed]
- Hamed, H.S.; El-Sayed, Y.S. Antioxidant Activities of Moringa oleifera Leaf Extract Against Pendimethalin-induced Oxidative Stress and Genotoxicity in Nile tilapia, Oreochromis niloticus (L.). Fish Physiol. Biochem. 2019, 45, 71–82. [Google Scholar] [CrossRef] [PubMed]
- Mallya, R.; Chatterjee, P.K.; Vinodini, N.A.; Chatterjee, P.; Mithra, P. Moringa oleifera Leaf Extract: Beneficial Effects on Cadmium Induced Toxicities—A Review. J. Clin. Diagn. Res. 2017, 11, CE01–CE04. [Google Scholar] [CrossRef] [PubMed]
- Sreelatha, S.; Padma, P.R. Antioxidant Activity and Total phenolic Content of Moringa oleifera Leaves in Two Stages of Maturity. Plant Foods Hum. Nutr. 2009, 64, 303–311. [Google Scholar] [CrossRef]
- Guardia de Souza, E.S.T.; do Val de Paulo, M.E.F.; da Silva, J.R.M.; da Silva Alves, A.; Britto, L.R.G.; Xavier, G.F.; Lopes Sandoval, M.R. Oral Treatment with Royal Jelly Improves Memory and Presents Neuroprotective Effects on icv-STZ Rat Model of Sporadic Alzheimer’s Disease. Heliyon 2020, 6, e03281. [Google Scholar] [CrossRef]
- Li, X.T.; Zhou, J.C.; Zhou, Y.; Ren, Y.S.; Huang, Y.H.; Wang, S.M.; Tan, L.; Yang, Z.Y.; Ge, Y.W. Pharmacological Effects of Eleutherococcus senticosus on the Neurological Disorders. Phytother. Res. 2022, 36, 3490–3504. [Google Scholar] [CrossRef]
- Yang, Y.; Gao, H.; Liu, W.; Liu, X.; Jiang, X.; Li, X.; Wu, Q.; Xu, Z.; Zhao, Q. Arctium lappa L. Roots Ameliorates Cerebral Ischemia Through Inhibiting Neuronal Apoptosis and Suppressing AMPK/mTOR-Mediated Autophagy. Phytomedicine 2021, 85, 153526. [Google Scholar] [CrossRef]
- Sayyar, Z.; Yazdinezhad, A.; Hassan, M.; Anarkooli, I.J. Protective Effect of Matricaria chamomilla Ethanolic Extract on Hippocampal Neuron Damage in Rats Exposed to Formaldehyde. Oxid. Med. Cell. Longev. 2018, 2018, 6414317. [Google Scholar] [CrossRef] [PubMed]
- Asgharzade, S.; Rabiei, Z.; Rafieian-kopaei, M. Effects of Matricaria chamomilla Extract on Motor Coordination Impairment Induced by Scopolamine in Rats. Asian Pac. J. Trop. Biomed. 2015, 5, 829–833. [Google Scholar] [CrossRef]
- Wang, X.; Zhang, Z.; Wu, S.C. Health Benefits of Silybum marianum: Phytochemistry, Pharmacology, and Applications. J. Agric. Food Chem. 2020, 68, 11644–11664. [Google Scholar] [CrossRef]
- Csakvari, A.C.; Moisa, C.; Radu, D.G.; Olariu, L.M.; Lupitu, A.I.; Panda, A.O.; Pop, G.; Chambre, D.; Socoliuc, V.; Copolovici, L.; et al. Green Synthesis, Characterization, and Antibacterial Properties of Silver Nanoparticles Obtained by Using Diverse Varieties of Cannabis sativa Leaf Extracts. Molecules 2021, 26, 4041. [Google Scholar] [CrossRef]
- Rababah, T.M.; Al-Omoush, M.; Brewer, S.; Alhamad, M.; Yang, W.; Alrababah, M.; Al-Ghzawi, A.A.M.; Al-u’datt, M.; Ereifej, K.; Alsheyab, F.; et al. Total Phenol, Antioxidant Activity, Flavonoids, Anthocyanins and Color of Honey as Affected by Floral Origin Found in the Arid and Semiarid Mediterranean Areas. J. Food Process. Preserv. 2014, 38, 1119–1128. [Google Scholar] [CrossRef]
- Bogdan, M.A.; Bungau, S.; Tit, D.M.; Zaha, D.C.; Nechifor, A.C.; Behl, T.; Chambre, D.; Lupitu, A.I.; Copolovici, L.; Copolovici, D.M. Chemical Profile, Antioxidant Capacity, and Antimicrobial Activity of Essential Oils Extracted from Three Different Varieties (Moldoveanca 4, Vis Magic 10, and Alba 7) of Lavandula angustifolia. Molecules 2021, 26, 4381. [Google Scholar] [CrossRef]
- Wu, S.; Li, X.; Liu, X.; Yang, G.; An, X.; Wang, Q.; Wang, Y. Joint Toxic Effects of Triazophos and Imidacloprid on Zebrafish (Danio rerio). Environ. Pollut. 2018, 235, 470–481. [Google Scholar] [CrossRef]
- Richetti, S.K.; Rosemberg, D.B.; Ventura-Lima, J.; Monserrat, J.M.; Bogo, M.R.; Bonan, C.D. Acetylcholinesterase Activity and Antioxidant Capacity of Zebrafish Brain is Altered by Heavy Metal Exposure. Neurotoxicology 2011, 32, 116–122. [Google Scholar] [CrossRef]
- Plavan, G.; Jitar, O.; Teodosiu, C.; Nicoara, M.; Micu, D.; Strungaru, S.A. Toxic Metals in Tissues of Fishes from the Black Sea and Associated Human Health Risk Exposure. Environ. Sci. Pollut. Res. 2017, 24, 7776–7787. [Google Scholar] [CrossRef]
- Lee, J.W.; Kim, J.-W.; De Riu, N.; Moniello, G.; Hung, S.S.O. Histopathological Alterations of Juvenile Green (Acipenser medirostris) and White Sturgeon (Acipenser transmontanus) Exposed to Graded Levels of Dietary Methylmercury. Aquat. Toxicol. 2012, 109, 90–99. [Google Scholar] [CrossRef]
- Félix, L.; Carreira, P.; Peixoto, F. Effects of Chronic Exposure of Naturally Weathered Microplastics on Oxidative Stress Level, Behaviour, and Mitochondrial Function of Adult Zebrafish (Danio rerio). Chemosphere 2023, 310, 136895. [Google Scholar] [CrossRef]
- Boopathi, S.; Haridevamuthu, B.; Mendonca, E.; Gandhi, A.; Priya, P.S.; Alkahtani, S.; Al-Johani, N.S.; Arokiyaraj, S.; Guru, A.; Arockiaraj, J.; et al. Combined Effects of a High-fat Diet and Polyethylene Microplastic Exposure Induce Impaired Lipid Metabolism and Locomotor Behavior in Larvae and Adult Zebrafish. Sci. Total Environ. 2023, 902, 165988. [Google Scholar] [CrossRef]
- Rodrigues Garcia, T.; Freire, P.T.C.; da Silva, A.W.; Ferreira, M.K.A.; Rebouças, E.L.; Mendes, F.R.S.; Marinho, E.M.; Marinho, M.M.; Teixeira, A.M.R.; Marinho, E.S.; et al. Anxiolytic and Anticonvulsant Effect of Ibuprofen Derivative Through GABAergic Neuromodulation in Adult Zebrafish. J. Biomol. Struct. Dyn. 2023, 41, 12055–12062. [Google Scholar] [CrossRef]
- Maffioli, E.; Nonnis, S.; Negri, A.; Fontana, M.; Frabetti, F.; Rossi, A.R.; Tedeschi, G.; Toni, M. Environmental Temperature Variation Affects Brain Lipid Composition in Adult Zebrafish (Danio rerio). Int. J. Mol. Sci. 2024, 25, 9629. [Google Scholar] [CrossRef] [PubMed]
Disclaimer/Publisher’s Note: The statements, opinions and data contained in all publications are solely those of the individual author(s) and contributor(s) and not of MDPI and/or the editor(s). MDPI and/or the editor(s) disclaim responsibility for any injury to people or property resulting from any ideas, methods, instructions or products referred to in the content. |
© 2024 by the authors. Licensee MDPI, Basel, Switzerland. This article is an open access article distributed under the terms and conditions of the Creative Commons Attribution (CC BY) license (https://creativecommons.org/licenses/by/4.0/).







