The Senolytic Effect of Indole-3-Carbinol (I3C) on Mouse Embryonic (MEF) and Human Fibroblast Cell Lines
Abstract
1. Introduction
2. Results
2.1. I3C Triggers the Removal of Senescent Cells Both in MEF and Human Fibroblast
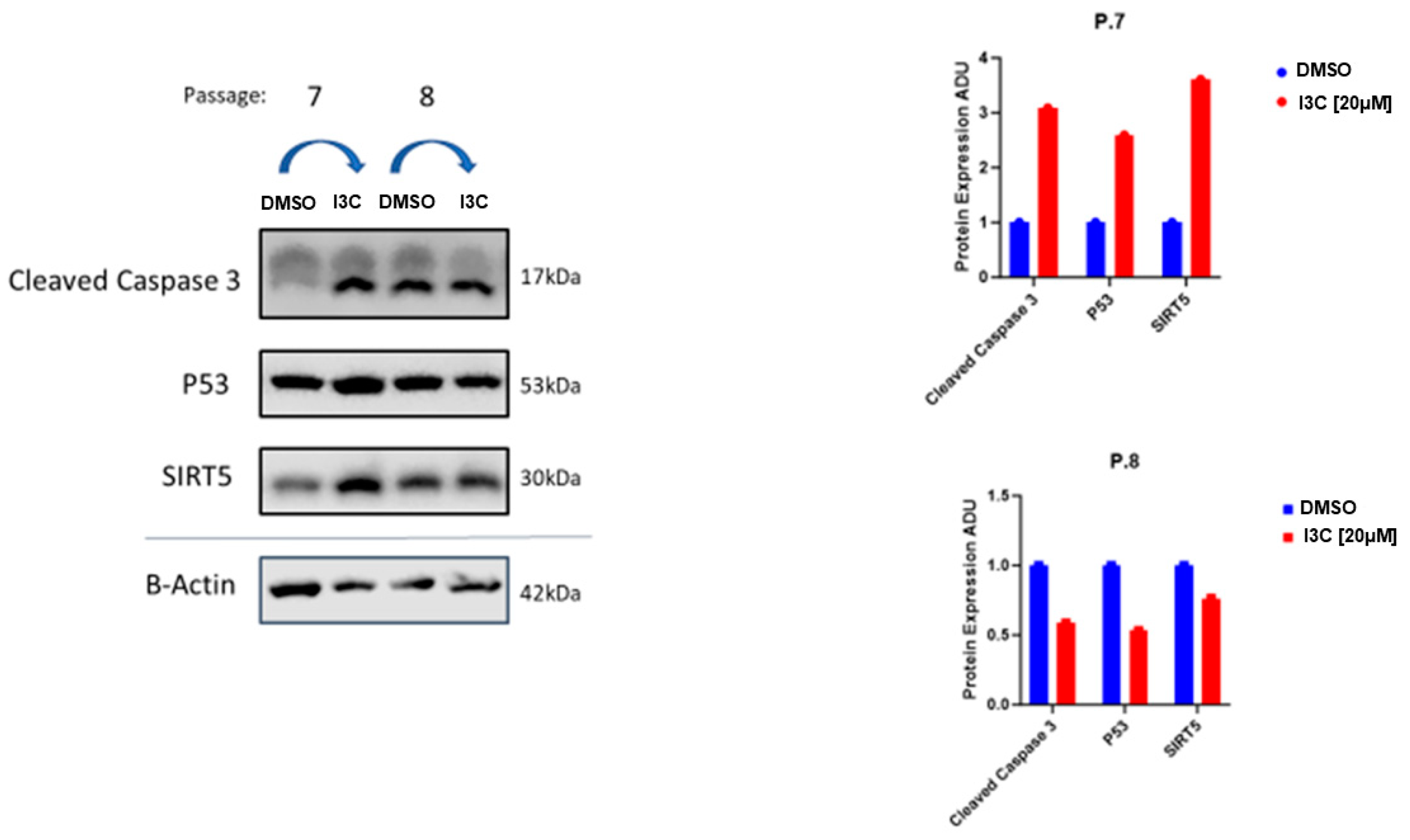
2.1.1. Effect of I3C on Senescence in MEF Cells
2.1.2. Effect of I3C on Senescence in Human Fibroblast Cells
3. Discussion
4. Materials and Methods
4.1. Chemical Treatment
4.2. Cell Culture
4.3. Induction of Senescent Cells
4.4. Senescence-Associated β-Galactosidase Assay
4.5. Gene Expression
4.6. Western Blotting
4.7. Cell Viability/Counts
4.8. Statistical Analyses
Supplementary Materials
Author Contributions
Funding
Institutional Review Board Statement
Informed Consent Statement
Data Availability Statement
Acknowledgments
Conflicts of Interest
References
- Bientinesi, E.; Lulli, M.; Becatti, M.; Ristori, S.; Margheri, F.; Monti, D. Doxorubicin-Induced Senescence in Normal Fibroblasts Promotes In Vitro Tumour Cell Growth and Invasiveness: The Role of Quercetin in Modulating These Processes. Mech. Ageing Dev. 2022, 206, 111689. [Google Scholar] [CrossRef] [PubMed]
- López-Otín, C.; Blasco, M.A.; Partridge, L.; Serrano, M.; Kroemer, G. The Hallmarks of Aging. Cell 2013, 153, 1194. [Google Scholar] [CrossRef] [PubMed]
- Bulbiankova, D.; Díaz-Puertas, R.; Álvarez-Martínez, F.J.; Herranz-López, M.; Barrajón-Catalán, E.; Micol, V. Hallmarks and Biomarkers of Skin Senescence: An Updated Review of Skin Senotherapeutics. Antioxidants 2023, 12, 444. [Google Scholar] [CrossRef]
- Chaib, S.; Tchkonia, T.; Kirkland, J.L. Cellular Senescence and Senolytics: The Path to the Clinic. Nat. Med. 2022, 28, 1556–1568. [Google Scholar] [CrossRef]
- Montégut, L.; López-Otín, C.; Kroemer, G. Aging and Cancer. Mol. Cancer 2024, 23, 106. [Google Scholar] [CrossRef]
- Sedrak, M.S.; Cohen, H.J. The Aging-Cancer Cycle: Mechanisms and Opportunities for Intervention. J. Gerontol.—Ser. A Biol. Sci. Med. Sci. 2023, 78, 1234–1238. [Google Scholar] [CrossRef] [PubMed]
- Hu, L.; Li, H.; Zi, M.; Li, W.; Liu, J.; Yang, Y.; Zhou, D.; Kong, Q.P.; Zhang, Y.; He, Y. Why Senescent Cells Are Resistant to Apoptosis: An Insight for Senolytic Development. Front. Cell Dev. Biol. 2022, 10, 822816. [Google Scholar] [CrossRef]
- Di Micco, R.; Krizhanovsky, V.; Baker, D.; d’Adda di Fagagna, F. Cellular Senescence in Ageing: From Mechanisms to Therapeutic Opportunities. Nat. Rev. Mol. Cell Biol. 2021, 22, 75–95. [Google Scholar] [CrossRef] [PubMed]
- Hayflick, L.; Moorhead, P.S. The Serial Cultivation of Human Diploid Cell Strains. Exp. Cell Res. 1961, 25. [Google Scholar] [CrossRef]
- Hernandez-Segura, A.; Nehme, J.; Demaria, M. Hallmarks of Cellular Senescence. Trends Cell Biol. 2018, 28, 436–453. [Google Scholar] [CrossRef]
- Baker, D.J.; Wijshake, T.; Tchkonia, T.; Lebrasseur, N.K.; Childs, B.G.; Van De Sluis, B.; Kirkland, J.L.; Van Deursen, J.M. Clearance of P16 Ink4a-Positive Senescent Cells Delays Ageing-Associated Disorders. Nature 2011, 479, 232–236. [Google Scholar] [CrossRef]
- Du, D.; Tang, X.; Li, Y.; Gao, Y.; Chen, R.; Chen, Q.; Wen, J.; Wu, T.; Zhang, Y.; Lu, H.; et al. Senotherapy Protects against Cisplatin-Induced Ovarian Injury by Removing Senescent Cells and Alleviating DNA Damage. Oxid. Med. Cell Longev. 2022, 2022, 9144644. [Google Scholar] [CrossRef]
- Childs, B.G.; Baker, D.J.; Wijshake, T.; Conover, C.A.; Campisi, J.; Van Deursen, J.M. Senescent Intimal Foam Cells Are Deleterious at All Stages of Atherosclerosis. Science 2016, 354, 472–477. [Google Scholar] [CrossRef]
- Lozano-Torres, B.; Estepa-Fernández, A.; Rovira, M.; Orzáez, M.; Serrano, M.; Martínez-Máñez, R.; Sancenón, F. The Chemistry of Senescence. Nat. Rev. Chem. 2019, 3, 426–441. [Google Scholar] [CrossRef]
- Fuhrmann-Stroissnigg, H.; Ling, Y.Y.; Zhao, J.; McGowan, S.J.; Zhu, Y.; Brooks, R.W.; Grassi, D.; Gregg, S.Q.; Stripay, J.L.; Dorronsoro, A.; et al. Identification of HSP90 Inhibitors as a Novel Class of Senolytics. Nat. Commun. 2017, 8, 422. [Google Scholar] [CrossRef]
- Martin, N.; Popgeorgiev, N.; Ichim, G.; Bernard, D. BCL-2 Proteins in Senescence: Beyond a Simple Target for Senolysis? Nat. Rev. Mol. Cell Biol. 2023, 24, 517–518. [Google Scholar] [CrossRef]
- Buffard, T.; Ferbeyre, G. Senolytics Target Senescent Cells and Improve Aging and Age-Related Diseases. In Senolytics in Disease, Ageing and Longevity; Muñoz-Espin, D., Demaria, M., Eds.; Springer International Publishing: Cham, Germany, 2020; pp. 63–84. ISBN 978-3-030-44903-2. [Google Scholar]
- Singh, V.; Ubaid, S. Role of Silent Information Regulator 1 (SIRT1) in Regulating Oxidative Stress and Inflammation. Inflammation 2020, 43, 1589–1598. [Google Scholar] [CrossRef]
- Al-Naggar, I.M.A.; Kuchel, G.A.; Xu, M. Senolytics: Targeting Senescent Cells for Age-Associated Diseases. Curr. Mol. Biol. Rep. 2020, 6, 161–172. [Google Scholar] [CrossRef]
- Sun, Y.; Li, Q.; Kirkland, J.L. Targeting Senescent Cells for a Healthier Longevity: The Roadmap for an Era of Global Aging. Life Med. 2022, 1, 103–119. [Google Scholar] [CrossRef]
- Centofanti, F.; Buono, A.; Verboni, M.; Tomino, C.; Lucarini, S.; Duranti, A.; Pandolfi, P.P.; Novelli, G. Synthetic Methodologies and Therapeutic Potential of Indole-3-Carbinol (I3C) and Its Derivatives. Pharmaceuticals 2023, 16, 240. [Google Scholar] [CrossRef]
- Kishikawa, T.; Higuchi, H.; Wang, L.; Panch, N.; Maymi, V.; Best, S.; Lee, S.; Notoya, G.; Toker, A.; Matesic, L.E.; et al. WWP1 Inactivation Enhances Efficacy of PI3K Inhibitors While Suppressing Their Toxicities in Breast Cancer Models. J. Clin. Investig. 2021, 131, e140436. [Google Scholar] [CrossRef]
- Song, M.S.; Pandolfi, P.P. The HECT Family of E3 Ubiquitin Ligases and PTEN. Semin. Cancer Biol. 2022, 85, 43–51. [Google Scholar] [CrossRef]
- Lee, Y.R.; Chen, M.; Lee, J.D.; Zhang, J.; Lin, S.Y.; Fu, T.M.; Chen, H.; Ishikawa, T.; Chiang, S.Y.; Katon, J.; et al. Reactivation of PTEN Tumor Suppressor for Cancer Treatment through Inhibition of a MYC-WWP1 Inhibitory Pathway. Science 2019, 364, eaau0159. [Google Scholar] [CrossRef]
- Amarakoon, D.; Lee, W.-J.; Tamia, G.; Lee, S.-H. The Annual Review of Food Science and Technology Is Online at Food. Annu. Rev. Food Sci. Technol. 2023, 14, 347–366. [Google Scholar] [CrossRef]
- Rahman, K.W. Novel Targets for Detection of Cancer and Their Modulation by Chemopreventive Natural Compounds. Front. Biosci. 2012, E4, 410–425. [Google Scholar] [CrossRef]
- Ahmad, A.; A Sakr, W.; Wahidur Rahman, K. Anticancer Properties of Indole Compounds: Mechanism of Apoptosis Induction and Role in Chemotherapy. Curr. Drug Targets 2010, 11, 652–666. [Google Scholar] [CrossRef]
- Firestone, G.L.; Sundar, S.N. Minireview: Modulation of Hormone Receptor Signaling by Dietary Anticancer Indoles. Mol. Endocrinol. 2009, 23, 1940–1947. [Google Scholar] [CrossRef]
- Firestone, G.L.; Bjeldanes, L.F. Indole-3-Carbinol and 3-3′-Diindolylmethane Antiproliferative Signaling Pathways Control Cell-Cycle Gene Transcription in Human Breast Cancer Cells by Regulating Promoter-Sp1 Transcription Factor Interactions. J. Nutr. 2003, 133, 2448S–2455S. [Google Scholar] [CrossRef]
- Choi, H.S.; Cho, M.C.; Lee, H.G.; Yoon, D.Y. Indole-3-Carbinol Induces Apoptosis through P53 and Activation of Caspase-8 Pathway in Lung Cancer A549 Cells. Food Chem. Toxicol. 2010, 48, 883–890. [Google Scholar] [CrossRef]
- Safa, M.; Tavasoli, B.; Manafi, R.; Kiani, F.; Kashiri, M.; Ebrahimi, S.; Kazemi, A. Indole-3-Carbinol Suppresses NF-ΚB Activity and Stimulates the P53 Pathway in Pre-B Acute Lymphoblastic Leukemia Cells. Tumor Biol. 2015, 36, 3919–3930. [Google Scholar] [CrossRef]
- Choi, Y.; Yanagawa, Y.; Kim, S.; Park, T. Involvement of SIRT1-AMPK Signaling in the Protective Action of Indole-3-Carbinol against Hepatic Steatosis in Mice Fed a High-Fat Diet. J. Nutr. Biochem. 2013, 24, 1393–1400. [Google Scholar] [CrossRef]
- Choi, Y.; Um, S.J.; Park, T. Indole-3-Carbinol Directly Targets SIRT1 to Inhibit Adipocyte Differentiation. Int. J. Obes. 2013, 37, 881–884. [Google Scholar] [CrossRef]
- Ware, C.F.; VanArsdale, S.; VanArsdale, T.L. Apoptosis Mediated by the TNF-Related Cytokine and Receptor Families. J. Cell Biochem. 1996, 60, 47–55. [Google Scholar] [CrossRef]
- Han, M.K.; Song, E.K.; Guo, Y.; Ou, X.; Mantel, C.; Broxmeyer, H.E. SIRT1 Regulates Apoptosis and Nanog Expression in Mouse Embryonic Stem Cells by Controlling P53 Subcellular Localization. Cell Stem Cell 2008, 2, 241–251. [Google Scholar] [CrossRef]
- Lyn-Cook, B.D.; Mohammed, S.I.; Davis, C.; Word, B.; Haefele, A.; Wang, H.; Hammons, G. Gender Differences in Gemcitabine (Gemzar) Efficacy in Cancer Cells: Effect of Indole-3-Carbinol. Anticancer. Res. 2010, 30, 4907–4913. [Google Scholar]
- CBrew, C.T.; Aronchik, I.; Hsu, J.C.; Sheen, J.H.; Dickson, R.B.; Bjeldanes, L.F.; Firestone, G.L. Indole-3-Carbinol Activates the ATM Signaling Pathway Independent of DNA Damage to Stabilize P53 and Induce G1 Arrest of Human Mammary Epithelial Cells. Int. J. Cancer 2006, 118, 857–863. [Google Scholar] [CrossRef]
- Sarkar, F.H.; Rahman, K.M.W.; Li, Y. Bax Translocation to Mitochondria Is an Important Event in Inducing Apoptotic Cell Death by Indole-3-Carbinol (I3C) Treatment of Breast Cancer Cells. J. Nutr. 2003, 133, 2434S–2439S. [Google Scholar] [CrossRef]
- Zhang, Z.; Yang, R.; Zi, Z.; Liu, B. A New Clinical Age of Aging Research. In Trends in Endocrinology and Metabolism; Elsevier: Amsterdam, The Netherlands, 2024. [Google Scholar]
- Baker, D.J.; Childs, B.G.; Durik, M.; Wijers, M.E.; Sieben, C.J.; Zhong, J.; Saltness, R.A.; Jeganathan, K.B.; Verzosa, G.C.; Pezeshki, A.; et al. Naturally Occurring P16 Ink4a-Positive Cells Shorten Healthy Lifespan. Nature 2016, 530, 184–189. [Google Scholar] [CrossRef]
- Huang, W.; Hickson, L.T.J.; Eirin, A.; Kirkland, J.L.; Lerman, L.O. Cellular Senescence: The Good, the Bad and the Unknown. Nat. Rev. Nephrol. 2022, 18, 611–627. [Google Scholar] [CrossRef]
- van Deursen, J.M. Senolytic Therapies for Healthy Longevity. Science 2019, 364, 636–647. [Google Scholar] [CrossRef]
- Demirci, D.; Dayanc, B.; Mazi, F.A.; Senturk, S. The Jekyll and Hyde of Cellular Senescence in Cancer. Cells 2021, 10, 208. [Google Scholar] [CrossRef]
- Malumbres, M. Cyclin-Dependent Kinases. Genome Biol. 2014, 15, 208. [Google Scholar] [CrossRef]
- Kanaki, T.; Makrantonaki, E.; Zouboulis, C.C. Biomarkers of Skin Aging. Rev. Endocr. Metab. Disord. 2016, 17, 433–442. [Google Scholar] [CrossRef]
- Kim, W.Y.; Sharpless, N.E. The Regulation of INK4/ARF in Cancer and Aging. Cell 2006, 127, 265–275. [Google Scholar] [CrossRef]
- Kastenhuber, E.R.; Lowe, S.W. Putting P53 in Context. Cell 2017, 170, 1062–1078. [Google Scholar] [CrossRef]
- Soto-Gamez, A.; Quax, W.J.; Demaria, M. Regulation of Survival Networks in Senescent Cells: From Mechanisms to Interventions. J. Mol. Biol. 2019, 431, 2629–2643. [Google Scholar] [CrossRef]
- Rath, P.C.; Aggarwal, B.B. TNF-Induced Signaling in Apoptosis. J. Clin. Immunol. 1999, 19, 350–364. [Google Scholar] [CrossRef]
- van Loo, G.; Bertrand, M.J.M. Death by TNF: A Road to Inflammation. Nat. Rev. Immunol. 2023, 23, 289–303. [Google Scholar] [CrossRef]
- Fabbrizi, E.; Fiorentino, F.; Carafa, V.; Altucci, L.; Mai, A.; Rotili, D. Emerging Roles of SIRT5 in Metabolism, Cancer, and SARS-CoV-2 Infection. Cells 2023, 12, 852. [Google Scholar] [CrossRef]
- Bousset, L.; Gil, J. Targeting Senescence as an Anticancer Therapy. Mol. Oncol. 2022, 16, 3855–3880. [Google Scholar] [CrossRef]
- Centofanti, F.; Alonzi, T.; Latini, A.; Spitalieri, P.; Murdocca, M.; Chen, X.; Cui, W.; Shang, Q.; Goletti, D.; Shi, Y.; et al. Indole-3-Carbinol in Vitro Antiviral Activity against SARS-CoV-2 Virus and in Vivo Toxicity. Cell Death Discov. 2022, 8, 491. [Google Scholar] [CrossRef]
- Reed, G.A.; Arneson, D.W.; Putnam, W.C.; Smith, H.J.; Gray, J.C.; Sullivan, D.K.; Mayo, M.S.; Crowell, J.A.; Hurwitz, A. Single-Dose and Multiple-Dose Administration of Indole-3-Carbinol to Women: Pharmacokinetics Based on 3,3′-Diindolylmethane. Cancer Epidemiol. Biomark. Prev. 2006, 15, 2477–2481. [Google Scholar] [CrossRef]
- Fletcher, A.; Huang, H.; Yu, L.; Pham, Q.; Yu, L.; Wang, T.T.Y. Reversible Toxic Effects of the Dietary Supplement Indole-3-Carbinol in an Immune Compromised Rodent Model: Intestine as the Main Target. J. Diet. Suppl. 2017, 14, 303–322. [Google Scholar] [CrossRef]
- Krzystyniak, A.; Gluchowska, A.; Mosieniak, G.; Sikora, E. Fiji-Based Tool for Rapid and Unbiased Analysis of SA-β-Gal Activity in Cultured Cells. Biomolecules 2023, 13, 362. [Google Scholar] [CrossRef]







Disclaimer/Publisher’s Note: The statements, opinions and data contained in all publications are solely those of the individual author(s) and contributor(s) and not of MDPI and/or the editor(s). MDPI and/or the editor(s) disclaim responsibility for any injury to people or property resulting from any ideas, methods, instructions or products referred to in the content. |
© 2024 by the authors. Licensee MDPI, Basel, Switzerland. This article is an open access article distributed under the terms and conditions of the Creative Commons Attribution (CC BY) license (https://creativecommons.org/licenses/by/4.0/).
Share and Cite
Sax, S.L.; Centomo, M.L.; Centofanti, F.; Rizzacasa, B.; Cox, S.; Cox, C.; Latini, A.; D’Apice, M.R.; Mannucci, L.; Novelli, G.; et al. The Senolytic Effect of Indole-3-Carbinol (I3C) on Mouse Embryonic (MEF) and Human Fibroblast Cell Lines. Int. J. Mol. Sci. 2024, 25, 11652. https://doi.org/10.3390/ijms252111652
Sax SL, Centomo ML, Centofanti F, Rizzacasa B, Cox S, Cox C, Latini A, D’Apice MR, Mannucci L, Novelli G, et al. The Senolytic Effect of Indole-3-Carbinol (I3C) on Mouse Embryonic (MEF) and Human Fibroblast Cell Lines. International Journal of Molecular Sciences. 2024; 25(21):11652. https://doi.org/10.3390/ijms252111652
Chicago/Turabian StyleSax, Scott L., Maria Laura Centomo, Federica Centofanti, Barbara Rizzacasa, Sierra Cox, Chelsea Cox, Andrea Latini, Maria Rosaria D’Apice, Liliana Mannucci, Giuseppe Novelli, and et al. 2024. "The Senolytic Effect of Indole-3-Carbinol (I3C) on Mouse Embryonic (MEF) and Human Fibroblast Cell Lines" International Journal of Molecular Sciences 25, no. 21: 11652. https://doi.org/10.3390/ijms252111652
APA StyleSax, S. L., Centomo, M. L., Centofanti, F., Rizzacasa, B., Cox, S., Cox, C., Latini, A., D’Apice, M. R., Mannucci, L., Novelli, G., & Pandolfi, P. P. (2024). The Senolytic Effect of Indole-3-Carbinol (I3C) on Mouse Embryonic (MEF) and Human Fibroblast Cell Lines. International Journal of Molecular Sciences, 25(21), 11652. https://doi.org/10.3390/ijms252111652

