Fahr’s Syndrome with Pseudohypoparathyroidism: Oral Features and Genetic Insights
Abstract
1. Introduction
2. Result
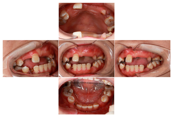
2.1. Clinical Features of Proband
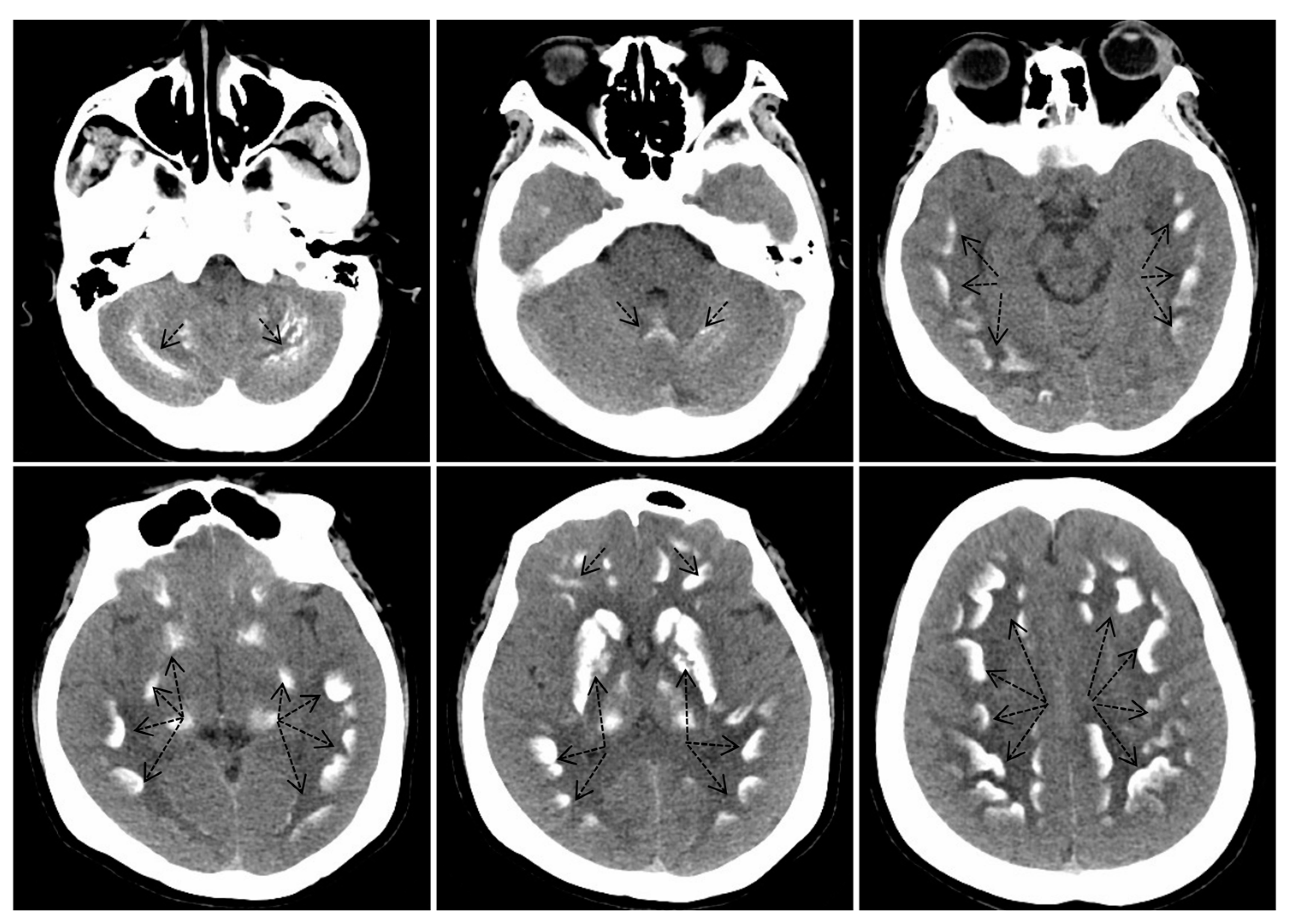
2.2. Biochemical and Radiographic Analysis
2.3. Molecular Genetic Analysis
2.4. Retrospective Analysis of the Literature on Oral Clinical Features
3. Discussion
4. Methods
4.1. Case Presentation
4.2. Clinical and Biochemical Examination
4.3. Pedigree and Gene Analysis
4.4. Literature Collection and Analysis
Author Contributions
Funding
Institutional Review Board Statement
Informed Consent Statement
Data Availability Statement
Acknowledgments
Conflicts of Interest
References
- Manyam, B.V.; Walters, A.S.; Narla, K.R. Bilateral striopallidodentate calcinosis: Clinical characteristics of patients seen in a registry. Mov. Disord. 2001, 16, 258–264. [Google Scholar] [CrossRef] [PubMed]
- Saleem, S.; Aslam, H.M.; Anwar, M.; Anwar, S.; Saleem, M.; Saleem, A.; Rehmani, M.A.K. Fahr’s syndrome: Literature review of current evidence. Orphanet J. Rare Dis. 2013, 8, 156. [Google Scholar] [CrossRef] [PubMed]
- Sahu, K.K.; Mishra, A.K.; Lal, A.; Gandhi, R. Fahr’s syndrome: A case of unwanted calcium in the brain. Intern. Emerg. Med. 2019, 14, 1359–1362. [Google Scholar] [CrossRef]
- Dembélé, K.; Cissé, L.; Djimdé, S.; Coulibaly, Y.; Diarra, S.; Yalcouyé, A.; Maiga, B.; Guinto, C.O.; Landouré, G. Fahr’s syndrome with hyperparathyroidism revealed by seizures and proximal weakness. eNeurologicalsci 2019, 15, 100192. [Google Scholar] [CrossRef]
- Thillaigovindan, R.; Arumugam, E.; Rai, R.; Prabhu, R.; Kesavan, R. Idiopathic Basal Ganglia Calcification: Fahr’s Syndrome, a Rare Disorder. Cureus 2019, 11, e5895. [Google Scholar] [CrossRef]
- Gao, S.; Moreno, M.; Eliason, S.; Cao, H.; Li, X.; Yu, W.; Bidlack, F.B.; Margolis, H.C.; Baldini, A.; Amendt, B.A. TBX1 protein interactions and microRNA-96-5p regulation controls cell proliferation during craniofacial and dental development: Implications for 22q11.2 deletion syndrome. Hum. Mol. Genet. 2015, 24, 2330–2348. [Google Scholar] [CrossRef] [PubMed]
- Zhu, S.; Huo, S.; Wang, Z.; Huang, C.; Li, C.; Song, H.; Yang, X.; He, R.; Ding, C.; Qiu, M.; et al. Follistatin controls the number of murine teeth by limiting TGF-β signaling. iScience 2024, 27, 110785. [Google Scholar] [CrossRef]
- Wise, G.E.; Yao, S.; Odgren, P.R.; Pan, F. CSF-1 regulation of osteoclastogenesis for tooth eruption. J. Dent. Res. 2005, 84, 837–841. [Google Scholar] [CrossRef]
- Le Norcy, E.; Reggio-Paquet, C.; de Kerdanet, M.; Mignot, B.; Rothenbuhler, A.; Chaussain, C.; Linglart, A. Dental and craniofacial features associated with GNAS loss of function mutations. Eur. J. Orthodont. 2020, 42, 525–533. [Google Scholar] [CrossRef]
- Perugula, M.L.; Lippmann, S. Fahr’s Disease or Fahr’s Syndrome? Innov. Clin. Neurosci. 2016, 13, 45–46. [Google Scholar]
- Manyam, B.V. What is and what is not ‘Fahr’s disease’. Park. Relat. Disord. 2005, 11, 73–80. [Google Scholar] [CrossRef] [PubMed]
- Schottlaender, L.V.; Abeti, R.; Jaunmuktane, Z.; Macmillan, C.; Chelban, V.; O’Callaghan, B.; McKinley, J.; Maroofian, R.; Efthymiou, S.; Athanasiou-Fragkouli, A.; et al. Bi-allelic JAM2 Variants Lead to Early-Onset Recessive Primary Familial Brain Calcification. Am. J. Hum. Genet. 2020, 106, 412–421. [Google Scholar] [CrossRef] [PubMed]
- Aditya, A.; Lele, S.; Aditya, P. Fahr’s disease with oral manifestations: Report of a rare case. Med. Princ. Pract. 2012, 21, 395–397. [Google Scholar] [CrossRef]
- Hejlesen, J.; Underbjerg, L.; Gjørup, H.; Sikjaer, T.; Rejnmark, L.; Haubek, D. Dental anomalies and orthodontic characteristics in patients with pseudohypoparathyroidism. BMC Oral Health 2019, 20, 1–9. [Google Scholar] [CrossRef]
- Ritchie, G.M. Dental manifestations of pseudohypoparathyroidism. Arch. Dis. Child. 1965, 40, 565–572. [Google Scholar] [CrossRef] [PubMed]
- Van der Biest, A.-M.; Jüppner, H.; Andreescu, C.; Bravenboer, B. Epileptic seizures and abnormal tooth development as primary presentation of pseudohypoparathyroidism type 1B. BMJ Case Rep. 2024, 17, e258403. [Google Scholar] [CrossRef]
- Sciacchitano, S.; De Francesco, G.P.; Piane, M.; Savio, C.; De Vitis, C.; Petrucci, S.; Salvati, V.; Goldoni, M.; Fabiani, M.; Mesoraca, A.; et al. Complete Pseudo-Anodontia in an Adult Woman with Pseudo-Hypoparathyroidism Type 1a: A New Additional Nonclassical Feature? Diagnostics 2022, 12, 2997. [Google Scholar] [CrossRef]
- Schlund, M.; Depeyre, A.; Kohler, F.; Nicot, R.; Ferri, J. Cranio-Maxillofacial and Dental Findings in Albright’s Hereditary Osteodystrophy and Pseudohypoparathyroidism. Cleft Palate-Craniofacial J. 2018, 56, 831–836. [Google Scholar] [CrossRef]
- Gallacher, A.A.; Pemberton, M.N.; Waring, D.T. The dental manifestations and orthodontic implications of hypoparathyroidism in childhood. J. Orthod. 2017, 45, 46–50. [Google Scholar] [CrossRef]
- Velez, I.; Bond, M.; Ellen, S.; Ede-Nichols, D.; Larumbe, J.; Oramas, V.; Arnold, D. Hereditary Osteodystrophy with Multiple Hormone Resistance—A Case Report. J. Clin. Pediatr. Dent. 2009, 34, 67–69. [Google Scholar] [CrossRef]
- Gardziejczyk, M.; Górska, A.; Dobreńko, E.; Urban, M. [Pseudohypoparathyroidism in a 14-year-old girl]. Endokrynol Diabetol Chor Przemiany Materii Wieku Rozw. 1999, 5, 49–51. [Google Scholar] [PubMed]
- Brown, M.D.; Aaron, G. Pseudohypoparathyroidism: Case report. Pediatr. Dent. 1991, 13, 106–109. [Google Scholar] [PubMed]
- Okano, K.; Fujita, T.; Orimo, H.; Yoshikawa, M. A Case of Pseudohypoparathyroidism with Increased Bone Turnover and Demineralization. Endocrinol. Jpn. 1969, 16, 423–431. [Google Scholar] [CrossRef][Green Version]
- Jensen, S.B.; Illum, F.; Dupont, E. Nature and frequency of dental changes in idiopathic hypoparathyroidism and pseudohypoparathyroidism. Scand. J. Dent. Res. 1981, 89, 26–37. [Google Scholar] [CrossRef] [PubMed]
- Flottes, Y.; Valleron, E.; Gogly, B.; Wulfman, C.; Dursun, E. Full-Mouth Rehabilitation of a 15-Year-Old Girl Affected by a Rare Hypoparathyroidism (Glial Cell Missing Homolog 2 Mutation): A 3-Year Follow-Up. Dent. J. 2024, 12, 130. [Google Scholar] [CrossRef]
- Nayyar, A.; Reddy, G.; Chalapathi, K.; Reddy, D.; Rana, S.; Kalyan, M.; Kartheeki, B. Multiple impacted permanent teeth, an indicator for early detection of hypoparathyroidism: A rare case report. J. Fam. Med. Prim. Care 2018, 7, 1096–1099. [Google Scholar] [CrossRef]
- Satyanarayan, A.; Srirangarajan, S.; Ravindra, S.; Thakur, S. Dental manifestation of primary idiopathic hypoparathyroidism. J. Indian Soc. Periodontol. 2014, 18, 524–526. [Google Scholar] [CrossRef]
- Kelly, A.; Pomarico, L.; de Souza, I.P.R. Cessation of dental development in a child with idiopathic hypoparathyroidism: A 5-year follow-up. Oral Surg. Oral Med. Oral Pathol. Oral Radiol. Endodontology 2009, 107, 673–677. [Google Scholar] [CrossRef]
- Takeuchi, H.; Hioki, H.; Ishikura, Y.; Tomizawa, M.; Noda, T.; Fukushima, M. [Dental findings in a case of idiopathic hypoparathyroidism]. Shoni Shikagaku Zasshi Jpn. J. Pedod. 1989, 27, 678–691. [Google Scholar]
- Nally, F.F. Idiopathic juvenile hypoparathyroidism with superficial moniliasis: Report of a case. Oral Surg. Oral Med. Oral Pathol. 1970, 30, 356–365. [Google Scholar] [CrossRef]
- Greenberg, M.S.; Brightman, V.J.; Lynch, M.A.; Ship, I.I. Idiopathic hypoparathyroidism, chronic candidiasis, and dental hypoplasia. Oral Surg. Oral Med. Oral Pathol. 1969, 28, 42–53. [Google Scholar] [CrossRef] [PubMed]
- Kamarthi, N.; Venkatraman, S.; Patilb, P.B. Dental findings in the diagnosis of idiopathic hypoparathyroidism. Ann. Saudi Med. 2013, 33, 411–413. [Google Scholar] [CrossRef]
- Powers, J.; Joy, K.; Ruscio, A.; Lagast, H. Prevalence and incidence of hypoparathyroidism in the United States using a large claims database. J. Bone Miner. Res. 2013, 28, 2570–2576. [Google Scholar] [CrossRef]
- Batla, A.; Tai, X.Y.; Schottlaender, L.; Erro, R.; Balint, B.; Bhatia, K.P. Deconstructing Fahr’s disease/syndrome of brain calcification in the era of new genes. Park. Relat. Disord. 2017, 37, 1–10. [Google Scholar] [CrossRef]
- Pindborg, J.J. Aetiology of developmental enamel defects not related to fluorosis. Int. Dent. J. 1982, 32, 123–134. [Google Scholar] [PubMed]
- Merametdjian, L.; Beck-Cormier, S.; Bon, N.; Couasnay, G.; Sourice, S.; Guicheux, J.; Gaucher, C.; Beck, L. Expression of Phosphate Transporters during Dental Mineralization. J. Dent. Res. 2018, 97, 209–217. [Google Scholar] [CrossRef]
- Gerber, J.T.; Weiss, S.G.; Mijolaro, L.V.; Silva, C.S.; Petinati, M.; Meger, M.N.; Honorio, H.M.; Rebellato, N.; Sebastiani, A.M.; Kuchler, E.C.; et al. Polymorphisms in hormonal-related genes might be associated with variations in permanent tooth crown size. Orthod. Craniofacial Res. 2023, 26, 539–545. [Google Scholar] [CrossRef] [PubMed]
- Philbrick, W.M.; Dreyer, B.E.; Nakchbandi, I.A.; Karaplis, A.C. Parathyroid hormone-related protein is required for tooth eruption. Proc. Natl. Acad. Sci. USA 1998, 95, 11846–11851. [Google Scholar] [CrossRef] [PubMed]
- Walls, A.W.; Soames, J.V. Dental manifestations of autoimmune hypoparathyroidism. Oral Surg. Oral Med. Oral Pathol. 1993, 75, 452–454. [Google Scholar] [CrossRef]
- Assif, D. Dental changes in hypoparathyroidism. Refuat Hapeh Vehashinayim 1977, 26, 13–19. [Google Scholar]
- Mahdi, S.S.; Jafri, H.A.; Allana, R.; Amenta, F.; Khawaja, M.; Qasim, S. Oral Manifestations of Rett Syndrome—A Systematic Review. Int. J. Environ. Res. Public Health 2021, 18, 1162. [Google Scholar] [CrossRef] [PubMed]
- Lowry, M.B.; Lotinun, S.; Leontovich, A.A.; Zhang, M.; Maran, A.; Shogren, K.L.; Palama, B.K.; Marley, K.; Iwaniec, U.T.; Turner, R.T. Osteitis fibrosa is mediated by Platelet-Derived Growth Factor—A via a phosphoinositide 3-kinase-dependent signaling pathway in a rat model for chronic hyperparathyroidism. Endocrinology 2008, 149, 5735–5746. [Google Scholar] [CrossRef]
- Wu, N.; Iwamoto, T.; Sugawara, Y.; Futaki, M.; Yoshizaki, K.; Yamamoto, S.; Yamada, A.; Nakamura, T.; Nonaka, K.; Fukumoto, S. PDGFs regulate tooth germ proliferation and ameloblast differentiation. Arch. Oral Biol. 2010, 55, 426–434. [Google Scholar] [CrossRef] [PubMed]
- Xu, X.; Bringas, P.J.; Soriano, P.; Chai, Y. PDGFR-alpha signaling is critical for tooth cusp and palate morphogenesis. Dev. Dyn. 2005, 232, 75–84. [Google Scholar] [CrossRef] [PubMed]
- Hermans, F.; Hemeryck, L.; Lambrichts, I.; Bronckaers, A.; Vankelecom, H. Intertwined Signaling Pathways Governing Tooth Development: A Give-and-Take Between Canonical Wnt and Shh. Front. Cell. Dev. Biol. 2021, 9, 758203. [Google Scholar] [CrossRef]
- Albers, J.; Keller, J.; Baranowsky, A.; Beil, F.T.; Catala-Lehnen, P.; Schulze, J.; Amling, M.; Schinke, T. Canonical Wnt signaling inhibits osteoclastogenesis independent of osteoprotegerin. J. Cell Biol. 2013, 200, 537–549. [Google Scholar] [CrossRef]
- Roscoe, M.G.; Meira, J.B.; Cattaneo, P.M. Association of orthodontic force system and root resorption: A systematic review. Am. J. Orthod. Dentofac. Orthop. 2015, 147, 610–626. [Google Scholar] [CrossRef]




| Items | Values in the Patient | Reference Values |
|---|---|---|
| Calcium (mmol/L) | 1.63↓ | 2.1–2.5 |
| Sodium (mmol/L) | 138 | 137–147 |
| Potassium (mmol/L) | 2.91↓ | 3.5–5.3 |
| Chloride (mmol/L) | 96↓ | 99–110 |
| Free triiodothyronine (FT3) (pmol/L) | 5.2 | 3.85–6.30 |
| Free thyroxine (FT4) (pmol/L) | 18.1 | 12.8–21.3 |
| Thyroid-stimulating hormone (TSH) (ulU/mL) | 0.71 | 0.75–5.60 |
| Parathyroid hormone (ng/L) | 412.7↑ | 15–65 |
| Gene | CHR | mRNA | Protein | Variation Type | ACMG Judgement | Deleteriousness Assessment | Annotation |
|---|---|---|---|---|---|---|---|
| KIF1A | 2 | ENST00000404283.9 (c.2751_2753del) | p. Glu917del | In frame deletion | Likely pathogenic | Moderate | neurodegenerative diseases |
| UEVLD | 11 | ENST00000300038.7 (c.613-4_613-3del) | / | Splice region variant | Likely pathogenic | Low | carbohydrate metabolic process |
| OR2T35 | 1 | ENST00000641268.1 (c.956_957dup) | p. Ile320Ter | Frameshift variant | Uncertain significance | Moderate | olfactory transduction |
| IGLV5-48 | 22 | ENST00000390293.1 (c.185G>A) | p. Gly62Glu | Missense variant | Uncertain significance | Moderate | autoimmune disease |
| IGLV5-48 | 22 | ENST00000390293.1 (c.209A>G) | p. Asn70Ser | Missense variant | Uncertain significance | Moderate | autoimmune disease |
| IGLV5-48 | 22 | ENST00000390293.1 (c.47-5del) | / | Missense variant | Uncertain significance | Low | autoimmune disease |
| CENPBD1P1 | 19 | ENST00000487264.5 (n.347-5_347-3dup) | / | Splice region variant | Uncertain significance | Low | / |
| CENPBD1P1 | 19 | ENST00000487264.5 (n.347-8G>T) | / | Splice region variant | Likely pathogenic | Low | / |
| CHR | Genotype | Gene | mRNA | Protein | Annotation |
|---|---|---|---|---|---|
| Missense Variants | |||||
| chr4 | Heterozygous | TRIML2 | ENST00000326754.7: c.1035G>T | p. Arg345Ser | Alzheimer’s disease |
| chr7 | Heterozygous | SMARCD3 | ENST00000262188.13: c.218C>T | p. Ala73Val | neurodegenerative diseases |
| chr18 | Heterozygous | TUBB8B | XM_024451143.1: c.11C>T | p. Pro4Leu | neurodevelopmental disorders and degenerative diseases |
| Inframe Deletion | |||||
| chr2 | Heterozygous | FAM117B | ENST00000392238.3: c.246_248del | p. Gly84del | gastric cancer; familial amyotrophic lateral sclerosis |
| chr10 | Heterozygous | FZD8 | ENST00000374694.3: c.1929_1946del | p. Pro644_Gly649del | neurodegenerative diseases, developmental disorders, and skeletal disorders |
| Splice region Variants | |||||
| chr3 | Heterozygous | KPNA4 | ENST00000334256.9: c.115-7_115-4dup | / | neurodegenerative diseases |
| chr7 | Heterozygous | PDGFA | XM_011515415.1: c.72+3G>T | / | cardiovascular disease, dental development |
| chr7 | Heterozygous | TRIM50 | XM_011515787.1: c.875-5_875-2dup | / | neurological disorders, immune regulation |
| chr11 | Heterozygous | ANKRD42 | ENST00000531869.1: n.91-3del | / | cardiovascular disease, cancer |
| chr13 | Heterozygous | ABCC4 | ENST00000642524.1: c.1-5_1-4dup | / | kidney disease |
| Case Number | Dental Manifestations * | Clinical Diagnosis | References | |||
|---|---|---|---|---|---|---|
| Tooth Agenesis | Root Dysplasia | Dental Malformation | Abnormal Tooth Eruption | |||
| 1 | 1 | 1 | 1 | 1 | Fahr’s syndrome | Our case |
| 1 | 1 | 0 | 1 | 1 | Fahr’s syndrome | [5] |
| 1 | 1 | 1 | 0 | 1 | Fahr’s syndrome | [13] |
| 29 | / | 16 | 8 | / | PHP | [14] |
| 4 | 4 | 3 | 4 | 2 | PHP | [15] |
| 1 | 0 | 0 | 0 | 1 | PHP | [16] |
| 1 | 1 | 1 | 1 | 1 | PHP | [17] |
| 19 | 10 | 6 | 11 | 14 | PHP | [9] |
| 4 | 2 | 3 | 4 | 3 | PHP | [18] |
| 1 | 0 | 1 | 1 | 0 | PHP | [19] |
| 1 | 1 | 1 | 1 | 1 | PHP | [20] |
| 1 | 1 | 0 | 0 | 1 | PHP | [21] |
| 1 | 0 | 1 | 1 | 0 | PHP | [22] |
| 1 | 1 | 0 | 1 | 1 | PHP | [23] |
| 6 | 4 | 4 | 5 | 5 | PHP | [24] |
| 5 | 3 | 1 | 1 | 2 | IHP | [24] |
| 1 | 1 | 0 | 1 | 0 | IHP | [25] |
| 1 | 1 | 1 | 1 | 1 | IHP | [26] |
| 1 | 0 | 1 | 1 | 0 | IHP | [27] |
| 1 | 0 | 1 | 1 | 1 | IHP | [28] |
| 1 | 0 | 0 | 1 | 0 | IHP | [29] |
| 1 | 0 | 0 | 1 | 0 | IHP | [30] |
| 1 | 1 | 1 | 1 | 1 | IHP | [31] |
| 1 | 1 | 1 | 1 | 1 | IHP | [32] |
| 85 | 34 | 45 | 48 | 38 | N/A | Summary |
| Case Number | Dental Manifestations | Clinical Diagnosis | |||
|---|---|---|---|---|---|
| Tooth Agenesis | Root Dysplasia | Dental Malformation | Abnormal Tooth Eruption | ||
| 69 | 24/69 (34.78%) | 36/69 (52.17%) | 37/69 (53.62%) | 29/69 (42.03%) | PHP |
| 13 | 7/13 (53.85%) | 7/13 (53.85%) | 9/13 (69.23%) | 6/13 (46.15%) | IHP |
Disclaimer/Publisher’s Note: The statements, opinions and data contained in all publications are solely those of the individual author(s) and contributor(s) and not of MDPI and/or the editor(s). MDPI and/or the editor(s) disclaim responsibility for any injury to people or property resulting from any ideas, methods, instructions or products referred to in the content. |
© 2024 by the authors. Licensee MDPI, Basel, Switzerland. This article is an open access article distributed under the terms and conditions of the Creative Commons Attribution (CC BY) license (https://creativecommons.org/licenses/by/4.0/).
Share and Cite
Wang, X.; Xu, T.; Zhu, Y.; Duan, X. Fahr’s Syndrome with Pseudohypoparathyroidism: Oral Features and Genetic Insights. Int. J. Mol. Sci. 2024, 25, 11611. https://doi.org/10.3390/ijms252111611
Wang X, Xu T, Zhu Y, Duan X. Fahr’s Syndrome with Pseudohypoparathyroidism: Oral Features and Genetic Insights. International Journal of Molecular Sciences. 2024; 25(21):11611. https://doi.org/10.3390/ijms252111611
Chicago/Turabian StyleWang, Xiangpu, Taoyun Xu, Yulong Zhu, and Xiaohong Duan. 2024. "Fahr’s Syndrome with Pseudohypoparathyroidism: Oral Features and Genetic Insights" International Journal of Molecular Sciences 25, no. 21: 11611. https://doi.org/10.3390/ijms252111611
APA StyleWang, X., Xu, T., Zhu, Y., & Duan, X. (2024). Fahr’s Syndrome with Pseudohypoparathyroidism: Oral Features and Genetic Insights. International Journal of Molecular Sciences, 25(21), 11611. https://doi.org/10.3390/ijms252111611

