Three-Dimensional Organotypic Systems for Modelling and Understanding Molecular Regulation of Oral Dentogingival Tissues
Abstract
1. Introduction
2. Landmark Historical Transplantation and Recombination Studies
3. Three-Dimensional Organotypic Cultures: General Principles
3.1. Paracrine Signalling of Fibroblasts Facilitates Keratinocyte Proliferation and Differentiation
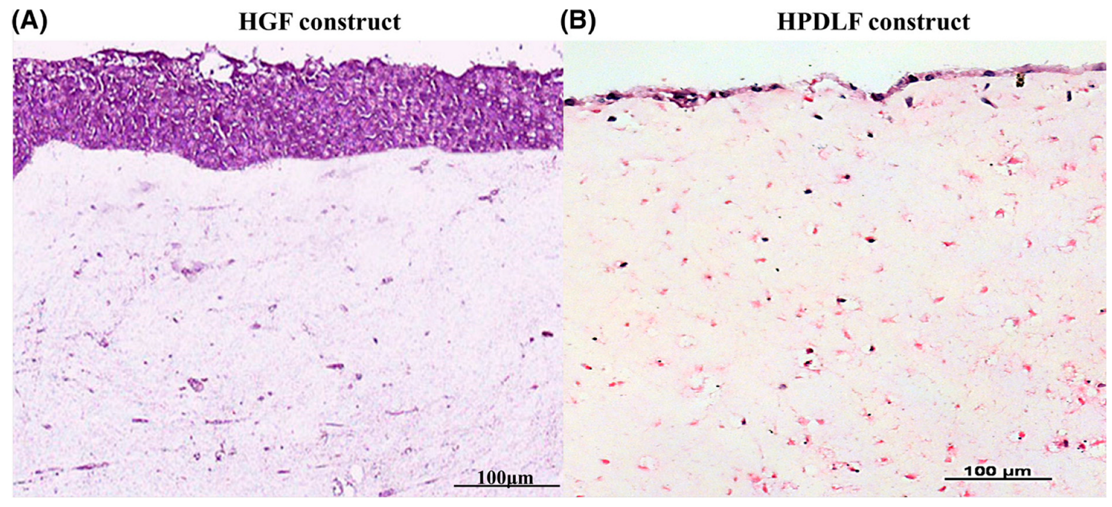
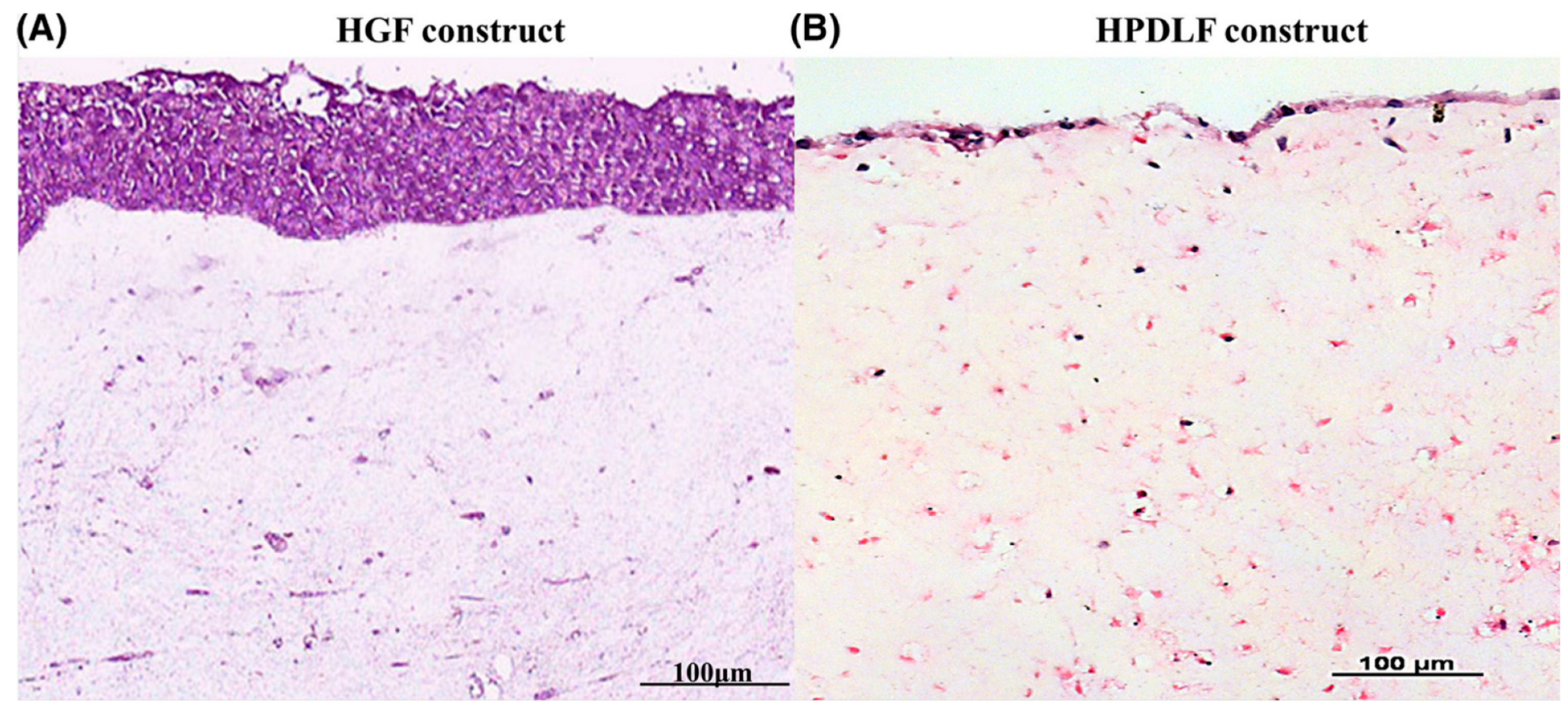
3.2. Role of Distinct Fibroblast Populations in Supporting Epithelial Growth
3.3. Molecular Regulation of the Dentogingival Epithelia
4. Epithelial Response to Mucosal Wounding and the Edge Concept
5. Development of the In Vitro Model of the DGJ
6. Experimental Protocols
6.1. Three-Dimensional Organotypic Culture Modelling of Oral Tissues
6.1.1. H400 Epithelial Culture
6.1.2. Fibroblast Culture
6.1.3. Preparation of the Collagen Solution
6.1.4. Embedding of Fibroblasts in Collagen Gel (Day 1)
6.1.5. Epithelial Cell Seeding (Day 7)
6.1.6. Airlifting and Harvesting (Day 14)
6.2. Three-Dimensional Organotypic Model of the DGJ
6.2.1. Preparation of the Donor HGF Construct (Day 1)
6.2.2. Preparation of the Recipient HPDLF Collagen Gel (Day 7)
6.2.3. Transfer Stage (Day 14) and Harvesting (Day 21)
7. Limitations and Directions for Future Research
8. Conclusions
Funding
Conflicts of Interest
References
- Berkovitz, B.K.B.; Moxham, H.B.J. (Eds.) Oral Anatomy, Histology and Embryology, 5th ed.; Elsevier: Toronto, ON, Canada, 2018. [Google Scholar] [CrossRef]
- Lu, E.M.; Hobbs, C.; Dyer, C.; Ghuman, M.; Hughes, F.J. Differential Regulation of Epithelial Growth by Gingival and Periodontal Fibroblasts in Vitro. J. Periodontal Res. 2020, 55, 859–867. [Google Scholar] [CrossRef] [PubMed]
- Mackenzie, I.C.; Hill, M.W. Connective Tissue Influences on Patterns of Epithelial Architecture and Keratinization in Skin and Oral Mucosa of the Adult Mouse. Cell Tissue Res. 1984, 235, 551–559. [Google Scholar] [CrossRef] [PubMed]
- Karring, T.; Lang, N.P.; Loe, H. The Role of Gingival Connective Tissue in Determining Epithelial Differentiation. J. Periodontal Res. 1975, 10, 1–11. [Google Scholar] [CrossRef]
- Mackenzie, I.C. The Role of Epithelial-mesenchymal Interactions in Epithelial Migration and Differentiation. J. Periodontal Res. 1984, 19, 656–660. [Google Scholar] [CrossRef]
- Dabija-Wolter, G.; Bakken, V.; Cimpan, M.R.; Johannessen, A.C.; Costea, D.E. In Vitro Reconstruction of Human Junctional and Sulcular Epithelium. J. Oral Pathol. Med. 2013, 42, 396–404. [Google Scholar] [CrossRef]
- Locke, M.; Hyland, P.L.; Irwin, C.R.; Mackenzie, I.C. Modulation of Gingival Epithelial Phenotypes by Interactions with Regionally Defined Populations of Fibroblasts. J. Periodontal Res. 2008, 43, 279–289. [Google Scholar] [CrossRef]
- AlFatlawi, Z.; Huang, M.; Chau, D.Y.S.; D’Aiuto, F. Three Dimensional (3D) Gingival Models in Periodontal Research: A Systematic Review. J. Mater. Sci. Mater. Med. 2023, 34, 58. [Google Scholar] [CrossRef]
- Karring, T.; öStergaard, E.; Löe, H. Conservation of Tissue Specifically after Heterotopic Transplantation of Gingiva and Alveolar Mucosa. J. Periodontal Res. 1971, 6, 282–293. [Google Scholar] [CrossRef]
- Mackenzie, I.C.; Tonetti, M.S. Formation of Normal Gingival Epithelial Phenotypes Around Osseo-Integrated Oral Implants in Humans. J. Periodontol. 1995, 66, 933–943. [Google Scholar] [CrossRef]
- Hill, M.W.; Mackenzie, L.C. The Influence of Differing Connective Tissue Substrates on the Maintenance of Adult Stratified Squamous Epithelia. Cell Tissue Res. 1984, 237, 473–478. [Google Scholar] [CrossRef]
- Mackenzie, I.C.; Fusenig, N.E. Regeneration of Organized Epithelial Structure. J. Investig. Dermatol. 1983, 81, S189–S194. [Google Scholar] [CrossRef] [PubMed]
- Mackenzie, I.C.; Hill, M.W. Maintenance of Regionally Specific Patterns of Cell Proliferation and Differentiation in Transplanted Skin and Oral Mucosa. Cell Tissue Res. 1981, 219, 597–607. [Google Scholar] [CrossRef] [PubMed]
- Mackenzie, I.C. Nature and Mechanisms of Regeneration of the Junctional Epithelial Phenotype. J. Periodontal Res. 1987, 22, 243–245. [Google Scholar] [CrossRef] [PubMed]
- Hill, M.W.; Mackenzie, L.C. The influence of subepithelial connective tissues on epithelial proliferation in the adult mouse. Cell Tissue Res. 1989, 255, 179–182. [Google Scholar] [CrossRef]
- Chinnathambi, S.; Tomanek-Chalkley, A.; Ludwig, N.; King, E.; DeWaard, R.; Johnson, G.; Wertz, P.W.; Bickenbach, J.R. Recapitulation of Oral Mucosal Tissues in Long-term Organotypic Culture. Anat. Rec. A Discov. Mol. Cell Evol. Biol. 2003, 270, 162–174. [Google Scholar] [CrossRef]
- Gibbs, S.; Ponec, M. Intrinsic Regulation of Differentiation Markers in Human Epidermis, Hard Palate and Buccal Mucosa. Arch. Oral Biol. 2000, 45, 149–158. [Google Scholar] [CrossRef]
- Okazaki, M.; Yoshimura, K.; Suzuki, Y.; Harii, K. Effects of Subepithelial Fibroblasts on Epithelial Differentiation in Human Skin and Oral Mucosa: Heterotypically Recombined Organotypic Culture Model. Plast. Reconstr. Surg. 2003, 112, 784–792. [Google Scholar] [CrossRef]
- Lu, E.M.-C. Mesenchymal Regulation of the Junctional Epithelium; King’s College London: London, UK, 2019. [Google Scholar]
- Smith, C.J.; Parkinson, E.K.; Yang, J.; Pratten, J.; O’Toole, E.A.; Caley, M.P.; Braun, K.M. Investigating Wound Healing Characteristics of Gingival and Skin Keratinocytes in Organotypic Cultures. J. Dent. 2022, 125, 104251. [Google Scholar] [CrossRef]
- Ravi, M.; Paramesh, V.; Kaviya, S.R.; Anuradha, E.; Solomon, F.D.P. 3D Cell Culture Systems: Advantages and Applications. J. Cell Physiol. 2015, 230, 16–26. [Google Scholar] [CrossRef]
- Mazzoleni, G.; Di Lorenzo, D.; Steimberg, N. Modelling Tissues in 3D: The next Future of Pharmaco-Toxicology and Food Research? Genes. Nutr. 2009, 4, 13–22. [Google Scholar] [CrossRef]
- Sun, T.; Jackson, S.; Haycock, J.W.; MacNeil, S. Culture of Skin Cells in 3D Rather than 2D Improves Their Ability to Survive Exposure to Cytotoxic Agents. J. Biotechnol. 2006, 122, 372–381. [Google Scholar] [CrossRef] [PubMed]
- Shamir, E.R.; Ewald, A.J. Three-Dimensional Organotypic Culture: Experimental Models of Mammalian Biology and Disease. Nat. Rev. Mol. Cell Biol. 2014, 15, 647–664. [Google Scholar] [CrossRef] [PubMed]
- Asante, E.C.; Pallegar, N.K.; Viloria-Petit, A.M.; Christian, S.L. Three-Dimensional Co-Culture Method for Studying Interactions Between Adipocytes, Extracellular Matrix, and Cancer Cells. In Cancer Cell Biology: Methods and Protocols; Springer: New York, NY, USA, 2022; pp. 69–77. [Google Scholar] [CrossRef]
- Lu, E.M.-C.P.A. 3D Oral Mucosal Models for Studying Host-Pathogen Interactions in Periodontal Disease. Open Access J. Dent. Sci. 2023, 8. [Google Scholar] [CrossRef]
- Klausner, M.; Handa, Y.; Aizawa, S. In Vitro Three-Dimensional Organotypic Culture Models of the Oral Mucosa. Vitr. Cell Dev. Biol. Anim. 2021, 57, 148–159. [Google Scholar] [CrossRef] [PubMed]
- Dongari-Bagtzoglou, A.; Kashleva, H. Development of a Highly Reproducible Three-Dimensional Organotypic Model of the Oral Mucosa. Nat. Protoc. 2006, 1, 2012–2018. [Google Scholar] [CrossRef] [PubMed]
- Klausner, M.; Ayehunie, S.; Breyfogle, B.A.; Wertz, P.W.; Bacca, L.; Kubilus, J. Organotypic Human Oral Tissue Models for Toxicological Studies. Toxicol. Vitr. 2007, 21, 938–949. [Google Scholar] [CrossRef] [PubMed]
- Delcourt-Huard, A.; Corlu, A.; Joffre, A.; Magloire, H.; Bonnaure-Mallet, M. Reconstituted Human Gingival Epithelium: Nonsubmerged in Vitro Model. Vitr. Cell Dev. Biol. Anim. 1997, 33, 30–36. [Google Scholar] [CrossRef]
- Lorthois, I.; Asselineau, D.; Seyler, N.; Pouliot, R. Contribution of In Vivo and Organotypic 3D Models to Understanding the Role of Macrophages and Neutrophils in the Pathogenesis of Psoriasis. Mediat. Inflamm. 2017, 2017, 7215072. [Google Scholar] [CrossRef]
- Weinmüllner, R.; Zbiral, B.; Becirovic, A.; Stelzer, E.M.; Nagelreiter, F.; Schosserer, M.; Lämmermann, I.; Liendl, L.; Lang, M.; Terlecki-Zaniewicz, L.; et al. Organotypic Human Skin Culture Models Constructed with Senescent Fibroblasts Show Hallmarks of Skin Aging. NPJ Aging Mech. Dis. 2020, 6, 4. [Google Scholar] [CrossRef]
- Sacchi, M.; Bansal, R.; Rouwkema, J. Bioengineered 3D Models to Recapitulate Tissue Fibrosis. Trends Biotechnol. 2020, 38, 623–636. [Google Scholar] [CrossRef]
- Costea, D.E.; Loro, L.L.; Dimba, E.A.O.; Vintermyr, O.K.; Johannessen, A.C. Crucial Effects of Fibroblasts and Keratinocyte Growth Factor on Morphogenesis of Reconstituted Human Oral Epithelium. J. Investig. Dermatol. 2003, 121, 1479–1486. [Google Scholar] [CrossRef] [PubMed]
- Boukamp, P.; Breitkreutz, D.; Stark, H.-J.; Fusenig, N.E. Mesenchyme-Mediated and Endogenous Regulation of Growth and Differentiation of Human Skin Keratinocytes Derived from Different Body Sites. Differentiation 1990, 44, 150–161. [Google Scholar] [CrossRef] [PubMed]
- El Ghalbzouri, A.; Ponec, M. Diffusible Factors Released by Fibroblasts Support Epidermal Morphogenesis and Deposition of Basement Membrane Components. Wound Repair Regen. 2004, 12, 359–367. [Google Scholar] [CrossRef] [PubMed]
- Maas-Szabowski, N.; Stark, H.-J.; Fusenig, N.E. Keratinocyte Growth Regulation in Defined Organotypic Cultures Through IL-1-Induced Keratinocyte Growth Factor Expression in Resting Fibroblasts. J. Investig. Dermatol. 2000, 114, 1075–1084. [Google Scholar] [CrossRef]
- Russo, B.; Brembilla, N.C.; Chizzolini, C. Interplay Between Keratinocytes and Fibroblasts: A Systematic Review Providing a New Angle for Understanding Skin Fibrotic Disorders. Front. Immunol. 2020, 11, 648. [Google Scholar] [CrossRef]
- Dally, J.; Khan, J.; Voisey, A.; Charalambous, C.; John, H.; Woods, E.; Steadman, R.; Moseley, R.; Midgley, A. Hepatocyte Growth Factor Mediates Enhanced Wound Healing Responses and Resistance to Transforming Growth Factor-Β1-Driven Myofibroblast Differentiation in Oral Mucosal Fibroblasts. Int. J. Mol. Sci. 2017, 18, 1843. [Google Scholar] [CrossRef]
- Bai, R.; Guo, Y.; Liu, W.; Song, Y.; Yu, Z.; Ma, X. The Roles of WNT Signaling Pathways in Skin Development and Mechanical-Stretch-Induced Skin Regeneration. Biomolecules 2023, 13, 1702. [Google Scholar] [CrossRef]
- Gumede, D.B.; Abrahamse, H.; Houreld, N.N. Targeting Wnt/β-Catenin Signaling and Its Interplay with TGF-β and Notch Signaling Pathways for the Treatment of Chronic Wounds. Cell Commun. Signal. 2024, 22, 244. [Google Scholar] [CrossRef]
- Acar, A.; Hidalgo-Sastre, A.; Leverentz, M.K.; Mills, C.G.; Woodcock, S.; Baron, M.; Collu, G.M.; Brennan, K. Inhibition of Wnt Signalling by Notch via Two Distinct Mechanisms. Sci. Rep. 2021, 11, 9096. [Google Scholar] [CrossRef]
- Khalaf, H.; Lönn, J.; Bengtsson, T. Cytokines and Chemokines Are Differentially Expressed in Patients with Periodontitis: Possible Role for TGF-Β1 as a Marker for Disease Progression. Cytokine 2014, 67, 29–35. [Google Scholar] [CrossRef]
- Matarese, G.; Isola, G.; Anastasi, G.P.; Cutroneo, G.; Cordasco, G.; Favaloro, A.; Vita, G.; Vermiglio, G.; Milardi, D.; Zizzari, V.L.; et al. Transforming Growth Factor Beta 1 and Vascular Endothelial Growth Factor Levels in the Pathogenesis of Periodontal Disease. Eur. J. Inflamm. 2013, 11, 479–488. [Google Scholar] [CrossRef]
- Maekawa, T.; Kulwattanaporn, P.; Hosur, K.; Domon, H.; Oda, M.; Terao, Y.; Maeda, T.; Hajishengallis, G. Differential Expression and Roles of Secreted Frizzled-Related Protein 5 and the Wingless Homolog Wnt5a in Periodontitis. J. Dent. Res. 2017, 96, 571–577. [Google Scholar] [CrossRef] [PubMed]
- Haftcheshmeh, S.M.; Mohammadi, A.; Soltani, A.; Momtazi-Borojeni, A.A.; Sattari, M. Evaluation of STAT1 and Wnt5a Gene Expression in Gingival Tissues of Patients with Periodontal Disease. J. Cell Biochem. 2019, 120, 1827–1834. [Google Scholar] [CrossRef] [PubMed]
- Nanbara, H.; Wara-aswapati, N.; Nagasawa, T.; Yoshida, Y.; Yashiro, R.; Bando, Y.; Kobayashi, H.; Khongcharoensuk, J.; Hormdee, D.; Pitiphat, W.; et al. Modulation of Wnt5a Expression by Periodontopathic Bacteria. PLoS ONE 2012, 7, e34434. [Google Scholar] [CrossRef]
- GRØN, B.; STOLTZE, K.; ANDERSSON, A.; DABELSTEEN, E. Oral Fibroblasts Produce More HGF and KGF than Skin Fibroblasts in Response to Co-culture with Keratinocytes. APMIS 2002, 110, 892–898. [Google Scholar] [CrossRef]
- Turabelidze, A.; Guo, S.; Chung, A.Y.; Chen, L.; Dai, Y.; Marucha, P.T.; DiPietro, L.A. Intrinsic Differences between Oral and Skin Keratinocytes. PLoS ONE 2014, 9, e101480. [Google Scholar] [CrossRef]
- Lim, X.; Nusse, R. Wnt Signaling in Skin Development, Homeostasis, and Disease. Cold Spring Harb. Perspect. Biol. 2013, 5, a008029. [Google Scholar] [CrossRef]
- Tonetti, M.S.; Sanz, M. Implementation of the New Classification of Periodontal Diseases: Decision-making Algorithms for Clinical Practice and Education. J. Clin. Periodontol. 2019, 46, 398–405. [Google Scholar] [CrossRef]
- Block, E.R.; Matela, A.R.; SundarRaj, N.; Iszkula, E.R.; Klarlund, J.K. Wounding Induces Motility in Sheets of Corneal Epithelial Cells through Loss of Spatial Constraints. J. Biol. Chem. 2004, 279, 24307–24312. [Google Scholar] [CrossRef]
- Winter, G.D. Transcutaneous Implants: Reactions of the Skin-implant Interface. J. Biomed. Mater. Res. 1974, 8, 99–113. [Google Scholar] [CrossRef]
- Lu, E.M.; Hobbs, C.; Ghuman, M.; Hughes, F.J. Development of an in Vitro Model of the Dentogingival Junction Using 3D Organotypic Constructs. J. Periodontal Res. 2021, 56, 147–153. [Google Scholar] [CrossRef] [PubMed]
- Habanjar, O.; Diab-Assaf, M.; Caldefie-Chezet, F.; Delort, L. 3D Cell Culture Systems: Tumor Application, Advantages, and Disadvantages. Int. J. Mol. Sci. 2021, 22, 12200. [Google Scholar] [CrossRef] [PubMed]
- Amirrah, I.N.; Lokanathan, Y.; Zulkiflee, I.; Wee, M.F.M.R.; Motta, A.; Fauzi, M.B. A Comprehensive Review on Collagen Type I Development of Biomaterials for Tissue Engineering: From Biosynthesis to Bioscaffold. Biomedicines 2022, 10, 2307. [Google Scholar] [CrossRef] [PubMed]
- Sarrigiannidis, S.O.; Rey, J.M.; Dobre, O.; González-García, C.; Dalby, M.J.; Salmeron-Sanchez, M. A Tough Act to Follow: Collagen Hydrogel Modifications to Improve Mechanical and Growth Factor Loading Capabilities. Mater. Today Bio 2021, 10, 100098. [Google Scholar] [CrossRef]
- Moharamzadeh, K.; Colley, H.; Murdoch, C.; Hearnden, V.; Chai, W.L.; Brook, I.M.; Thornhill, M.H.; MacNeil, S. Tissue-Engineered Oral Mucosa. J. Dent. Res. 2012, 91, 642–650. [Google Scholar] [CrossRef]
- Igarashi, M.; Irwin, C.R.; Locke, M.; Mackenzie, I.C. Construction of Large Area Organotypical Cultures of Oral Mucosa and Skin. J. Oral Pathol. Med. 2003, 32, 422–430. [Google Scholar] [CrossRef]
- Prime, S.S.; Nixon, S.V.R.; Crane, I.J.; Stone, A.; Matthews, J.B.; Maitland, N.J.; Remnant, L.; Powell, S.K.; Game, S.M.; Scully, C. The Behaviour of Human Oral Squamous Cell Carcinoma in Cell Culture. J. Pathol. 1990, 160, 259–269. [Google Scholar] [CrossRef]
- Meyle, J.; Chapple, I. Molecular Aspects of the Pathogenesis of Periodontitis. Periodontology 2000 2015, 69, 7–17. [Google Scholar] [CrossRef]
- Fischer, N.G.; Aparicio, C. Junctional Epithelium and Hemidesmosomes: Tape and Rivets for Solving the “Percutaneous Device Dilemma” in Dental and Other Permanent Implants. Bioact. Mater. 2022, 18, 178–198. [Google Scholar] [CrossRef]
- Lu, E.M. The Role of Vitamin D in Periodontal Health and Disease. J. Periodontal Res. 2023, 58, 213–224. [Google Scholar] [CrossRef]
- Ricci, G.; Gibelli, F.; Sirignano, A. Three-Dimensional Bioprinting of Human Organs and Tissues: Bioethical and Medico-Legal Implications Examined through a Scoping Review. Bioengineering 2023, 10, 1052. [Google Scholar] [CrossRef] [PubMed]
- Almeida, N.D.; Carneiro, C.A.; de Marco, A.C.; Porto, V.C.; França, R. 3D Bioprinting Techniques and Bioinks for Periodontal Tissues Regeneration—A Literature Review. Biomimetics 2024, 9, 480. [Google Scholar] [CrossRef] [PubMed]
- Huang, C.; Sanaei, F.; Verdurmen, W.P.R.; Yang, F.; Ji, W.; Walboomers, X.F. The Application of Organs-on-a-Chip in Dental, Oral, and Craniofacial Research. J. Dent. Res. 2023, 102, 364–375. [Google Scholar] [CrossRef] [PubMed]








Disclaimer/Publisher’s Note: The statements, opinions and data contained in all publications are solely those of the individual author(s) and contributor(s) and not of MDPI and/or the editor(s). MDPI and/or the editor(s) disclaim responsibility for any injury to people or property resulting from any ideas, methods, instructions or products referred to in the content. |
© 2024 by the author. Licensee MDPI, Basel, Switzerland. This article is an open access article distributed under the terms and conditions of the Creative Commons Attribution (CC BY) license (https://creativecommons.org/licenses/by/4.0/).
Share and Cite
Lu, E.M.-C. Three-Dimensional Organotypic Systems for Modelling and Understanding Molecular Regulation of Oral Dentogingival Tissues. Int. J. Mol. Sci. 2024, 25, 11552. https://doi.org/10.3390/ijms252111552
Lu EM-C. Three-Dimensional Organotypic Systems for Modelling and Understanding Molecular Regulation of Oral Dentogingival Tissues. International Journal of Molecular Sciences. 2024; 25(21):11552. https://doi.org/10.3390/ijms252111552
Chicago/Turabian StyleLu, Emily Ming-Chieh. 2024. "Three-Dimensional Organotypic Systems for Modelling and Understanding Molecular Regulation of Oral Dentogingival Tissues" International Journal of Molecular Sciences 25, no. 21: 11552. https://doi.org/10.3390/ijms252111552
APA StyleLu, E. M.-C. (2024). Three-Dimensional Organotypic Systems for Modelling and Understanding Molecular Regulation of Oral Dentogingival Tissues. International Journal of Molecular Sciences, 25(21), 11552. https://doi.org/10.3390/ijms252111552

