NIK Is a Mediator of Inflammation and Intimal Hyperplasia in Endothelial Denudation-Induced Vascular Injury
Abstract
1. Introduction
2. Results
2.1. Increased Expression of Fn14 and NIK Following Endothelial Cell Injury
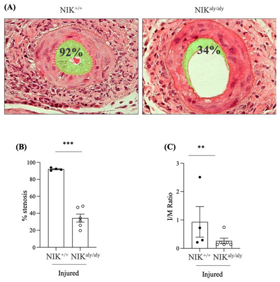
2.2. NIK Deficiency Protected from Arterial Stenosis
2.3. NIK Deficiency Decreases Chemokine Expression
2.4. NIK Deficiency Decreases Arterial Inflammation
3. Discussion
4. Materials and Methods
4.1. Experimental Model
4.2. Histomorphometry
4.3. Immunohistochemistry
4.4. RNA Expression Studies: Reverse Transcription and Real-Time PCR
4.5. ELISA
4.6. Statistical Analysis
Supplementary Materials
Author Contributions
Funding
Institutional Review Board Statement
Informed Consent Statement
Data Availability Statement
Conflicts of Interest
References
- Foreman, K.J.; Marquez, N.; Dolgert, A.; Fukutaki, K.; Fullman, N.; McGaughey, M.; Pletcher, M.A.; Smith, A.E.; Tang, K.; Yuan, C.W.; et al. Forecasting Life Expectancy, Years of Life Lost, and All-Cause and Cause-Specific Mortality for 250 Causes of Death: Reference and Alternative Scenarios for 2016-40 for 195 Countries and Territories. Lancet 2018, 392, 2052–2090. [Google Scholar] [CrossRef] [PubMed]
- Epstein, F.H.; Gibbons, G.H.; Dzau, V.J. The Emerging Concept of Vascular Remodeling. N. Engl. J. Med. 1994, 330, 1431–1438. [Google Scholar] [CrossRef]
- Schwartz, S.M.; DeBlois, D.; O’Brien, E.R.M. The Intima. Soil for Atherosclerosis and Restenosis. Circ. Res. 1995, 77, 445–465. [Google Scholar] [CrossRef] [PubMed]
- Pashova, A.; Work, L.M.; Nicklin, S.A. The Role of Extracellular Vesicles in Neointima Formation Post Vascular Injury. Cell. Signal. 2020, 76, 109783. [Google Scholar] [CrossRef]
- Moriarty, J.P.; Murad, M.H.; Shah, N.D.; Prasad, C.; Montori, V.M.; Erwin, P.J.; Forbes, T.L.; Meissner, M.H.; Stoner, M.C. A Systematic Review of Lower Extremity Arterial Revascularization Economic Analyses. J. Vasc. Surg. 2011, 54, 1131–1144.e1. [Google Scholar] [CrossRef]
- Dosluoglu, H.H.; Lall, P.; Harris, L.M.; Dryjski, M.L. Long-Term Limb Salvage and Survival after Endovascular and Open Revascularization for Critical Limb Ischemia after Adoption of Endovascular-First Approach by Vascular Surgeons. J. Vasc. Surg. 2012, 56, 361–371. [Google Scholar] [CrossRef] [PubMed]
- Gimbrone, M.A.; García-Cardeña, G. Endothelial Cell Dysfunction and the Pathobiology of Atherosclerosis. Circ. Res. 2016, 118, 620–636. [Google Scholar] [CrossRef]
- Reiss, A.B.; Jacob, B.; Ahmed, S.; Carsons, S.E.; DeLeon, J. Understanding Accelerated Atherosclerosis in Systemic Lupus Erythematosus: Toward Better Treatment and Prevention. Inflammation 2021, 44, 1663–1682. [Google Scholar] [CrossRef] [PubMed]
- Mussbacher, M.; Salzmann, M.; Brostjan, C.; Hoesel, B.; Schoergenhofer, C.; Datler, H.; Hohensinner, P.; Basílio, J.; Petzelbauer, P.; Assinger, A.; et al. Cell Type-Specific Roles of NF-ΚB Linking Inflammation and Thrombosis. Front. Immunol. 2019, 10, 85. [Google Scholar] [CrossRef]
- Sanz, A.B.; Sanchez-Niño, M.D.; Ramos, A.M.; Moreno, J.A.; Santamaria, B.; Ruiz-Ortega, M.; Egido, J.; Ortiz, A. NF-KappaB in Renal Inflammation. J. Am. Soc. Nephrol. 2010, 21, 1254–1262. [Google Scholar] [CrossRef]
- Valiño-Rivas, L.; Vaquero, J.J.; Sucunza, D.; Gutierrez, S.; Sanz, A.B.; Fresno, M.; Ortiz, A.; Sanchez-Niño, M.D. NIK as a Druggable Mediator of Tissue Injury. Trends Mol. Med. 2019, 25, 341–360. [Google Scholar] [CrossRef] [PubMed]
- Ortiz, A.; Husi, H.; Gonzalez-Lafuente, L.; Valiño-Rivas, L.; Fresno, M.; Sanz, A.B.; Mullen, W.; Albalat, A.; Mezzano, S.; Vlahou, T.; et al. Mitogen-Activated Protein Kinase 14 Promotes AKI. J. Am. Soc. Nephrol. 2017, 28, 823–836. [Google Scholar] [CrossRef] [PubMed]
- Cuarental, L.; Sucunza-Sáenz, D.; Valiño-Rivas, L.; Fernandez-Fernandez, B.; Sanz, A.B.; Ortiz, A.; Vaquero, J.J.; Sanchez-Niño, M.D. MAP3K Kinases and Kidney Injury. Nefrologia 2019, 39, 568–580. [Google Scholar] [CrossRef] [PubMed]
- Brightbill, H.D.; Suto, E.; Blaquiere, N.; Ramamoorthi, N.; Sujatha-Bhaskar, S.; Gogol, E.B.; Castanedo, G.M.; Jackson, B.T.; Kwon, Y.C.; Haller, S.; et al. NF-ΚB Inducing Kinase Is a Therapeutic Target for Systemic Lupus Erythematosus. Nat. Commun. 2018, 9, 179. [Google Scholar] [CrossRef] [PubMed]
- Taylor, T.; Anastasiou, C.; Ja, C.; Rush, S.; Trupin, L.; Dall’Era, M.; Katz, P.; Barbour, K.E.; Greenlund, K.J.; Yazdany, J.; et al. Causes of Death Among Individuals With Systemic Lupus Erythematosus by Race and Ethnicity: A Population-Based Study. Arthritis Care Res. 2023, 75, 61–68. [Google Scholar] [CrossRef] [PubMed]
- Poveda, J.; Tabara, L.C.; Fernandez-Fernandez, B.; Martin-Cleary, C.; Sanz, A.B.; Selgas, R.; Ortiz, A.; Sanchez-Niño, M.D. TWEAK/Fn14 and Non-Canonical NF-KappaB Signaling in Kidney Disease. Front. Immunol. 2013, 4, 447. [Google Scholar] [CrossRef]
- Sastre, C.; Fernández-Laso, V.; Madrigal-Matute, J.; Muñoz-García, B.; Moreno, J.A.; Pastor-Vargas, C.; Llamas-Granda, P.; Burkly, L.C.; Egido, J.; Martín-Ventura, J.L.; et al. Genetic Deletion or TWEAK Blocking Antibody Administration Reduce Atherosclerosis and Enhance Plaque Stability in Mice. J. Cell. Mol. Med. 2014, 18, 721–734. [Google Scholar] [CrossRef]
- Muñoz-García, B.; Moreno, J.A.; López-Franco, O.; Sanz, A.B.; Martín-Ventura, J.L.; Blanco, J.; Jakubowski, A.; Burkly, L.C.; Ortiz, A.; Egido, J.; et al. Tumor Necrosis Factor-like Weak Inducer of Apoptosis (TWEAK) Enhances Vascular and Renal Damage Induced by Hyperlipidemic Diet in ApoE-Knockout Mice. Arterioscler. Thromb. Vasc. Biol. 2009, 29, 2061–2068. [Google Scholar] [CrossRef]
- Sanz, A.B.; Izquierdo, M.C.; Sanchez-Niño, M.D.; Ucero, A.C.; Egido, J.; Ruiz-Ortega, M.; Ramos, A.M.; Putterman, C.; Ortiz, A. TWEAK and the Progression of Renal Disease: Clinical Translation. Nephrol. Dial. Transpl. 2014, 29 (Suppl. S1), i54–i62. [Google Scholar] [CrossRef]
- Tang, Y. Analysis of the Binding Pattern of NIK Inhibitors by Computational Simulation. J. Biomol. Struct. Dyn. 2023, 42, 3318–3331. [Google Scholar] [CrossRef]
- Crawford, J.J.; Feng, J.; Brightbill, H.D.; Johnson, A.R.; Wright, M.; Kolesnikov, A.; Lee, W.; Castanedo, G.M.; Do, S.; Blaquiere, N.; et al. Filling a Nick in NIK: Extending the Half-Life of a NIK Inhibitor through Structure-Based Drug Design. Bioorg. Med. Chem. Lett. 2023, 89, 129277. [Google Scholar] [CrossRef] [PubMed]
- Zhang, Z.; Zhong, X.; Shen, H.; Sheng, L.; Liangpunsakul, S.; Lok, A.S.; Omary, M.B.; Wang, S.; Rui, L. Biliary NIK Promotes Ductular Reaction and Liver Injury and Fibrosis in Mice. Nat. Commun. 2022, 13, 5111. [Google Scholar] [CrossRef] [PubMed]
- Zhu, Y.; Ma, Y.; Zu, W.; Song, J.; Wang, H.; Zhong, Y.; Li, H.; Zhang, Y.; Gao, Q.; Kong, B.; et al. Identification of N-Phenyl-7 H-Pyrrolo[2,3- d]Pyrimidin-4-Amine Derivatives as Novel, Potent, and Selective NF-ΚB Inducing Kinase (NIK) Inhibitors for the Treatment of Psoriasis. J. Med. Chem. 2020, 63, 6748–6773. [Google Scholar] [CrossRef] [PubMed]
- Mondragón, L.; Mhaidly, R.; De Donatis, G.M.; Tosolini, M.; Dao, P.; Martin, A.R.; Pons, C.; Chiche, J.; Jacquin, M.; Imbert, V.; et al. GAPDH Overexpression in the T Cell Lineage Promotes Angioimmunoblastic T Cell Lymphoma through an NF-ΚB-Dependent Mechanism. Cancer Cell 2019, 36, 268–287.e10. [Google Scholar] [CrossRef]
- Cheng, G.; Mei, X.B.; Yan, Y.Y.; Chen, J.; Zhang, B.; Li, J.; Dong, X.W.; Lin, N.M.; Zhou, Y.B. Identification of New NIK Inhibitors by Discriminatory Analysis-Based Molecular Docking and Biological Evaluation. Arch. Pharm. 2019, 352, e1800374. [Google Scholar] [CrossRef]
- Pippione, A.C.; Sainas, S.; Federico, A.; Lupino, E.; Piccinini, M.; Kubbutat, M.; Contreras, J.M.; Morice, C.; Barge, A.; Ducime, A.; et al. N-Acetyl-3-Aminopyrazoles Block the Non-Canonical NF-KB Cascade by Selectively Inhibiting NIK. Medchemcomm 2018, 9, 963–968. [Google Scholar] [CrossRef]
- Takeda, T.; Tsubaki, M.; Sakamoto, K.; Ichimura, E.; Enomoto, A.; Suzuki, Y.; Itoh, T.; Imano, M.; Tanabe, G.; Muraoka, O.; et al. Mangiferin, a Novel Nuclear Factor Kappa B-Inducing Kinase Inhibitor, Suppresses Metastasis and Tumor Growth in a Mouse Metastatic Melanoma Model. Toxicol. Appl. Pharmacol. 2016, 306, 105–112. [Google Scholar] [CrossRef]
- Sun, S.C. The Noncanonical NF-ΚB Pathway. Immunol. Rev. 2012, 246, 125–140. [Google Scholar] [CrossRef]
- Pflug, K.M.; Sitcheran, R. Targeting NF-ΚB-Inducing Kinase (NIK) in Immunity, Inflammation, and Cancer. Int. J. Mol. Sci. 2020, 21, 8470. [Google Scholar] [CrossRef]
- Ratajczak, W.; Atkinson, S.D.; Kelly, C. The TWEAK/Fn14/CD163 Axis-Implications for Metabolic Disease. Rev. Endocr. Metab. Disord. 2022, 23, 449–462. [Google Scholar] [CrossRef]
- Méndez-Barbero, N.; Gutierrez-Muñoz, C.; Madrigal-Matute, J.; Mínguez, P.; Egido, J.; Michel, J.B.; Martín-Ventura, J.L.; Esteban, V.; Blanco-Colio, L.M. A Major Role of TWEAK/Fn14 Axis as a Therapeutic Target for Post-Angioplasty Restenosis. EBioMedicine 2019, 46, 274–289. [Google Scholar] [CrossRef] [PubMed]
- Fernández-Laso, V.; Sastre, C.; Méndez-Barbero, N.; Egido, J.; Martín-Ventura, J.L.; Gómez-Guerrero, C.; Blanco-Colio, L.M. TWEAK Blockade Decreases Atherosclerotic Lesion Size and Progression through Suppression of STAT1 Signaling in Diabetic Mice. Sci. Rep. 2017, 7, 46679. [Google Scholar] [CrossRef]
- Zhao, K.; Zeng, Z.; He, Y.; Zhao, R.; Niu, J.; Sun, H.; Li, S.; Dong, J.; Jing, Z.; Zhou, J. Recent Advances in Targeted Therapy for Inflammatory Vascular Diseases. J. Control Release 2024, 372, 730–750. [Google Scholar] [CrossRef] [PubMed]
- Le Voyer, T.; Parent, A.V.; Liu, X.; Cederholm, A.; Gervais, A.; Rosain, J.; Nguyen, T.; Perez Lorenzo, M.; Rackaityte, E.; Rinchai, D.; et al. Autoantibodies against Type I IFNs in Humans with Alternative NF-ΚB Pathway Deficiency. Nature 2023, 623, 803–813. [Google Scholar] [CrossRef] [PubMed]
- Shinkura, R.; Kitada, K.; Matsuda, F.; Tashiro, K.; Ikuta, K.; Suzuki, M.; Kogishi, K.; Serikawa, T.; Honjo, T. Alymphoplasia Is Caused by a Point Mutation in the Mouse Gene Encoding Nf-Kappa b-Inducing Kinase. Nat. Genet. 1999, 22, 74–77. [Google Scholar] [CrossRef] [PubMed]
- Jane-wit, D.; Surovtseva, Y.V.; Qin, L.; Li, G.; Liu, R.; Clark, P.; Manes, T.D.; Wang, C.; Kashgarian, M.; Kirkiles-Smith, N.C.; et al. Complement Membrane Attack Complexes Activate Noncanonical NF-ΚB by Forming an Akt+ NIK+ Signalosome on Rab5+ Endosomes. Proc. Natl. Acad. Sci. USA 2015, 112, 9686–9691. [Google Scholar] [CrossRef]
- Xie, C.B.; Qin, L.; Li, G.; Fang, C.; Kirkiles-Smith, N.C.; Tellides, G.; Pober, J.S.; Jane-Wit, D. Complement Membrane Attack Complexes Assemble NLRP3 Inflammasomes Triggering IL-1 Activation of IFN-γ-Primed Human Endothelium. Circ. Res. 2019, 124, 1747–1759. [Google Scholar] [CrossRef]
- Kucharzewska, P.; Maracle, C.X.; Jeucken, K.C.M.; Van Hamburg, J.P.; Israelsson, E.; Furber, M.; Tas, S.W.; Olsson, H.K. NIK-IKK Complex Interaction Controls NF-ΚB-Dependent Inflammatory Activation of Endothelium in Response to LTβR Ligation. J. Cell Sci. 2019, 132, jcs.225615. [Google Scholar] [CrossRef]
- Fan, X.; Li, Q.; Wang, Y.; Zhang, D.M.; Zhou, J.; Chen, Q.; Sheng, L.; Passerini, A.G.; Sun, C.X. Non-Canonical NF-ΚB Contributes to Endothelial Pyroptosis and Atherogenesis Dependent on IRF-1. Transl. Res. 2023, 255, 1–13. [Google Scholar] [CrossRef]
- Li, B.; Li, H.; Dai, L.; Liu, C.; Wang, L.; Li, Q.; Gu, C. NIK-SIX1 Signalling Axis Regulates High Glucose-Induced Endothelial Cell Dysfunction and Inflammation. Autoimmunity 2022, 55, 86–94. [Google Scholar] [CrossRef]
- Yang, J.; Zhang, S.; Zhang, L.; Xie, X.; Wang, H.; Jie, Z.; Gu, M.; Yang, J.Y.; Cheng, X.; Sun, S.C. Lymphatic Endothelial Cells Regulate B-Cell Homing to Lymph Nodes via a NIK-Dependent Mechanism. Cell. Mol. Immunol. 2019, 16, 165–177. [Google Scholar] [CrossRef] [PubMed]
- Hay, D.C.; Beers, C.; Cameron, V.; Thomson, L.; Flitney, F.W.; Hay, R.T. Activation of NF-ΚB Nuclear Transcription Factor by Flow in Human Endothelial Cells. Biochim. Biophys. Acta Mol. Cell Res. 2003, 1642, 33–44. [Google Scholar] [CrossRef] [PubMed]
- Maracle, C.X.; Agca, R.; Helder, B.; Meeuwsen, J.A.L.; Niessen, H.W.M.; Biessen, E.A.L.; de Winther, M.P.J.; de Jager, S.C.A.; Nurmohamed, M.T.; Tas, S.W. Noncanonical NF-ΚB Signaling in Microvessels of Atherosclerotic Lesions Is Associated with Inflammation, Atheromatous Plaque Morphology and Myocardial Infarction. Atherosclerosis 2018, 270, 33–41. [Google Scholar] [CrossRef] [PubMed]
- Anderson, J.J.; Grillo, M.J.; Harki, D.A. Development of Allosteric NIK Ligands from Fragment-Based NMR Screening. ACS Med. Chem. Lett. 2023, 14, 1815–1820. [Google Scholar] [CrossRef]
- Cao, M.; Yi, L.; Xu, Y.; Tian, Y.; Li, Z.; Bi, Y.; Guo, M.; Li, Y.; Liu, Y.; Xu, X.; et al. Inhibiting NF-ΚB Inducing Kinase Improved the Motor Performance of ALS Animal Model. Brain Res. 2024, 1843, 149124. [Google Scholar] [CrossRef] [PubMed]
- Zhang, N.; Shen, S.; Yang, M.; He, S.; Liu, C.; Li, H.; Lu, T.; Liu, H.; Hu, Q.; Tang, W.; et al. Design, Synthesis, and Biological Evaluation of a Novel NIK Inhibitor with Anti-Inflammatory and Hepatoprotective Effects for Sepsis Treatment. J. Med. Chem. 2024, 67, 5617–5641. [Google Scholar] [CrossRef]
- Zhang, K.; Tang, Y.; Yu, H.; Yang, J.; Tao, L.; Xiang, P. Discovery of Lupus Nephritis Targeted Inhibitors Based on De Novo Molecular Design: Comprehensive Application of Vinardo Scoring, ADMET Analysis, and Molecular Dynamics Simulation. J. Biomol. Struct. Dyn. 2024, 1–14. [Google Scholar] [CrossRef]
- Merino-Vico, A.; van Hamburg, J.P.; Tuijnenburg, P.; Frazzei, G.; Al-Soudi, A.; Bonasia, C.G.; Helder, B.; Rutgers, A.; Abdulahad, W.H.; Stegeman, C.A.; et al. Targeting NF-ΚB Signaling in B Cells as a Potential New Treatment Modality for ANCA-Associated Vasculitis. J. Autoimmun. 2024, 142, 103133. [Google Scholar] [CrossRef]
- Chen, X.; Liu, Z.; Liu, W.; Wang, S.; Jiang, R.; Hu, K.; Sheng, L.; Xu, G.; Kou, X.; Song, Y. NF-ΚB-Inducing Kinase Provokes Insulin Resistance in Skeletal Muscle of Obese Mice. Inflammation 2023, 46, 1445–1457. [Google Scholar] [CrossRef]
- Pflug, K.M.; Lee, D.W.; Keeney, J.N.; Sitcheran, R. NF-ΚB-Inducing Kinase Maintains Mitochondrial Efficiency and Systemic Metabolic Homeostasis. Biochim. Biophys. Acta. Mol. Basis Dis. 2023, 1869, 166682. [Google Scholar] [CrossRef]
- Mori, K.; Mizokami, A.; Sano, T.; Mukai, S.; Hiura, F.; Ayukawa, Y.; Koyano, K.; Kanematsu, T.; Jimi, E. RANKL Elevation Activates the NIK/NF-ΚB Pathway, Inducing Obesity in Ovariectomized Mice. J. Endocrinol. 2022, 254, 27–36. [Google Scholar] [CrossRef] [PubMed]
- Bilgic, S.N.; Domaniku, A.; Toledo, B.; Agca, S.; Weber, B.Z.C.; Arabaci, D.H.; Ozornek, Z.; Lause, P.; Thissen, J.P.; Loumaye, A.; et al. EDA2R-NIK Signalling Promotes Muscle Atrophy Linked to Cancer Cachexia. Nature 2023, 617, 827–834. [Google Scholar] [CrossRef]
- Xu, C.; Zhou, H.; Jin, Y.; Sahay, K.; Robicsek, A.; Liu, Y.; Dong, K.; Zhou, J.; Barrett, A.; Su, H.; et al. Hepatic Neddylation Deficiency Triggers Fatal Liver Injury via Inducing NF-ΚB-Inducing Kinase in Mice. Nat. Commun. 2022, 13, 7782. [Google Scholar] [CrossRef]
- Vesting, A.J.; Jais, A.; Klemm, P.; Steuernagel, L.; Wienand, P.; Fog-Tonnesen, M.; Hvid, H.; Schumacher, A.L.; Kukat, C.; Nolte, H.; et al. NIK/MAP3K14 in Hepatocytes Orchestrates NASH to Hepatocellular Carcinoma Progression via JAK2/STAT5 Inhibition. Mol. Metab. 2022, 66, 101626. [Google Scholar] [CrossRef]
- Xu, K.; Kessler, A.; Nichetti, F.; Hoffmeister-Wittmann, P.; Scherr, A.L.; Nader, L.; Kelmendi, E.; Schmitt, N.; Schwab, M.; García-Beccaria, M.; et al. Lymphotoxin Beta-Activated LTBR/NIK/RELB Axis Drives Proliferation in Cholangiocarcinoma. Liver Int. 2024, 44, 2950–2963. [Google Scholar] [CrossRef]
- Jung, D.E.; Seo, M.K.; Jo, J.H.; Kim, K.; Kim, C.; Kang, H.; Park, S.B.; Lee, H.S.; Kim, S.; Song, S.Y. PUM1-TRAF3 Fusion Protein Activates Non-Canonical NF-ΚB Signaling via Rescued NIK in Biliary Tract Cancer. NPJ Precis. Oncol. 2024, 8, 170. [Google Scholar] [CrossRef] [PubMed]
- Decombis, S.; Papin, A.; Bellanger, C.; Sortais, C.; Dousset, C.; Le Bris, Y.; Riveron, T.; Blandin, S.; Hulin, P.; Tessoulin, B.; et al. The IL32/BAFF Axis Supports Prosurvival Dialogs in the Lymphoma Ecosystem and Is Disrupted by NIK Inhibition. Haematologica 2022, 107, 2905–2917. [Google Scholar] [CrossRef] [PubMed]
- Agca, S.; Kir, S. EDA2R-NIK Signaling in Cancer Cachexia. Curr. Opin. Support. Palliat. Care 2024, 18, 126–131. [Google Scholar] [CrossRef]
- Morrison, H.A.; Eden, K.; Trusiano, B.; Rothschild, D.E.; Qin, Y.; Wade, P.A.; Rowe, A.J.; Mounzer, C.; Stephens, M.C.; Hanson, K.M.; et al. NF-ΚB Inducing Kinase Attenuates Colorectal Cancer by Regulating Noncanonical NF-ΚB Mediated Colonic Epithelial Cell Regeneration. Cell. Mol. Gastroenterol. Hepatol. 2024, 18, 101356. [Google Scholar] [CrossRef]
- Li, M.Y.; Chong, L.C.; Duns, G.; Lytle, A.; Woolcock, B.; Jiang, A.; Telenius, A.; Ben-Neriah, S.; Nawaz, W.; Slack, G.W.; et al. TRAF3 Loss-of-Function Reveals the Noncanonical NF-ΚB Pathway as a Therapeutic Target in Diffuse Large B Cell Lymphoma. Proc. Natl. Acad. Sci. USA 2024, 121, e2320421121. [Google Scholar] [CrossRef]
- Cormier, F.; Housni, S.; Dumont, F.; Villard, M.; Cochand-Priollet, B.; Mercier-Nomé, F.; Perlemoine, K.; Bertherat, J.; Groussin, L. NF-ΚB Signaling Activation and Roles in Thyroid Cancers: Implication of MAP3K14/NIK. Oncogenesis 2023, 12, 55. [Google Scholar] [CrossRef] [PubMed]
- Pflug, K.M.; Lee, D.W.; Tripathi, A.; Bankaitis, V.A.; Burgess, K.; Sitcheran, R. Cyanine Dye Conjugation Enhances Crizotinib Localization to Intracranial Tumors, Attenuating NF-ΚB-Inducing Kinase Activity and Glioma Progression. Mol. Pharm. 2023, 20, 6140–6150. [Google Scholar] [CrossRef] [PubMed]
- Pflug, K.M.; Lee, D.W.; McFadden, K.; Herrera, L.; Sitcheran, R. Transcriptional Induction of NF-ΚB-Inducing Kinase by E2F4/5 Facilitates Collective Invasion of GBM Cells. Sci. Rep. 2023, 13, 13093. [Google Scholar] [CrossRef]
- Daren, L.; Dan, Y.; Jinhong, W.; Chao, L. NIK-Mediated Reactivation of SIX2 Enhanced the CSC-like Traits of Hepatocellular Carcinoma Cells through Suppressing Ubiquitin-Proteasome System. Environ. Toxicol. 2024, 39, 583–591. [Google Scholar] [CrossRef]
- Hayashi, Y.; Nakayama, J.; Yamamoto, M.; Maekawa, M.; Watanabe, S.; Higashiyama, S.; Inoue, J.I.; Yamamoto, Y.; Semba, K. Aberrant Accumulation of NIK Promotes Tumor Growth by Dysregulating Translation and Post-Translational Modifications in Breast Cancer. Cancer Cell Int. 2023, 23, 57. [Google Scholar] [CrossRef] [PubMed]
- Xia, X.; Zhu, L.; Xu, M.; Lei, Z.; Yu, H.; Li, G.; Wang, X.; Jia, H.; Yin, Z.; Huang, F.; et al. ANKRD22 Promotes Resolution of Psoriasiform Skin Inflammation by Antagonizing NIK-Mediated IL-23 Production. Mol. Ther. 2024, 32, 1561–1577. [Google Scholar] [CrossRef]
- Xie, C.B.; Jiang, B.; Qin, L.; Tellides, G.; Kirkiles-Smith, N.C.; Jane-Wit, D.; Pober, J.S. Complement-Activated Interferon-γ-Primed Human Endothelium Transpresents Interleukin-15 to CD8+ T Cells. J. Clin. Investig. 2020, 130, 3437–3452. [Google Scholar] [CrossRef] [PubMed]
- Sánchez-Valdepeñas, C.; Martín, A.G.; Ramakrishnan, P.; Wallach, D.; Fresno, M. NF-KappaB-Inducing Kinase Is Involved in the Activation of the CD28 Responsive Element through Phosphorylation of c-Rel and Regulation of Its Transactivating Activity. J. Immunol. 2006, 176, 4666–4674. [Google Scholar] [CrossRef] [PubMed]
- Roque, M.; Fallon, J.T.; Badimon, J.J.; Zhang, W.X.; Taubman, M.B.; Reis, E.D. Mouse Model of Femoral Artery Denudation Injury Associated with the Rapid Accumulation of Adhesion Molecules on the Luminal Surface and Recruitment of Neutrophils. Arterioscler. Thromb. Vasc. Biol. 2000, 20, 335–342. [Google Scholar] [CrossRef]
- Baeza, C.; Pintor-Chocano, A.; Carrasco, S.; Sanz, A.; Ortiz, A.; Sanchez-Niño, M.D. Paricalcitol Has a Potent Anti-Inflammatory Effect in Rat Endothelial Denudation-Induced Intimal Hyperplasia. Int. J. Mol. Sci. 2024, 25, 4814. [Google Scholar] [CrossRef]
- Gallo, R.; Padurean, A.; Toschi, V.; Bichler, J.; Fallon, J.T.; Chesebro, J.H.; Fuster, V.; Badimon, J.J. Prolonged Thrombin Inhibition Reduces Restenosis after Balloon Angioplasty in Porcine Coronary Arteries. Circulation 1998, 97, 581–588. [Google Scholar] [CrossRef] [PubMed][Green Version]
- Silvestre-Roig, C.; Fernández, P.; Esteban, V.; Pello, M.; Indolfi, C.; Rodríguez, C.; Rodríguez-Calvo, R.; López-Maderuelo, M.D.; Bauriedel, G.; Hutter, R.; et al. Inactivation of Nuclear Factor-Y Inhibits Vascular Smooth Muscle Cell Proliferation and Neointima Formation. Arterioscler. Thromb. Vasc. Biol. 2013, 33, 1036–1045. [Google Scholar] [CrossRef] [PubMed]
- Cuarental, L.; Ribagorda, M.; Ceballos, M.I.; Pintor-Chocano, A.; Carriazo, S.M.; Dopazo, A.; Vazquez, E.; Suarez-Alvarez, B.; Cannata-Ortiz, P.; Sanz, A.B.; et al. The Transcription Factor Fosl1 Preserves Klotho Expression and Protects from Acute Kidney Injury. Kidney Int. 2023, 103, 686–701. [Google Scholar] [CrossRef] [PubMed]
- Valiño-Rivas, L.; Cuarental, L.; Ceballos, M.I.; Pintor-Chocano, A.; Perez-Gomez, M.V.; Sanz, A.B.; Ortiz, A.; Sanchez-Niño, M.D. Growth Differentiation Factor-15 Preserves Klotho Expression in Acute Kidney Injury and Kidney Fibrosis. Kidney Int. 2022, 101, 1200–1215. [Google Scholar] [CrossRef]




Disclaimer/Publisher’s Note: The statements, opinions and data contained in all publications are solely those of the individual author(s) and contributor(s) and not of MDPI and/or the editor(s). MDPI and/or the editor(s) disclaim responsibility for any injury to people or property resulting from any ideas, methods, instructions or products referred to in the content. |
© 2024 by the authors. Licensee MDPI, Basel, Switzerland. This article is an open access article distributed under the terms and conditions of the Creative Commons Attribution (CC BY) license (https://creativecommons.org/licenses/by/4.0/).
Share and Cite
Baeza, C.; Ribagorda, M.; Maya-Lopez, C.; Fresno, M.; Sanchez-Diaz, T.; Pintor-Chocano, A.; Sanz, A.B.; Carrasco, S.; Ortiz, A.; Sanchez-Niño, M.D. NIK Is a Mediator of Inflammation and Intimal Hyperplasia in Endothelial Denudation-Induced Vascular Injury. Int. J. Mol. Sci. 2024, 25, 11473. https://doi.org/10.3390/ijms252111473
Baeza C, Ribagorda M, Maya-Lopez C, Fresno M, Sanchez-Diaz T, Pintor-Chocano A, Sanz AB, Carrasco S, Ortiz A, Sanchez-Niño MD. NIK Is a Mediator of Inflammation and Intimal Hyperplasia in Endothelial Denudation-Induced Vascular Injury. International Journal of Molecular Sciences. 2024; 25(21):11473. https://doi.org/10.3390/ijms252111473
Chicago/Turabian StyleBaeza, Ciro, Marta Ribagorda, Carla Maya-Lopez, Manuel Fresno, Tania Sanchez-Diaz, Aranzazu Pintor-Chocano, Ana B. Sanz, Susana Carrasco, Alberto Ortiz, and Maria Dolores Sanchez-Niño. 2024. "NIK Is a Mediator of Inflammation and Intimal Hyperplasia in Endothelial Denudation-Induced Vascular Injury" International Journal of Molecular Sciences 25, no. 21: 11473. https://doi.org/10.3390/ijms252111473
APA StyleBaeza, C., Ribagorda, M., Maya-Lopez, C., Fresno, M., Sanchez-Diaz, T., Pintor-Chocano, A., Sanz, A. B., Carrasco, S., Ortiz, A., & Sanchez-Niño, M. D. (2024). NIK Is a Mediator of Inflammation and Intimal Hyperplasia in Endothelial Denudation-Induced Vascular Injury. International Journal of Molecular Sciences, 25(21), 11473. https://doi.org/10.3390/ijms252111473

