Knockout of the Carbohydrate Responsive Element Binding Protein Enhances Proliferation and Tumorigenesis in Renal Tubules of Mice
Abstract
1. Introduction
2. Results
2.1. Body Weight and Blood Glucose Levels
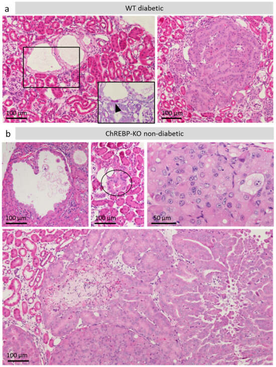
2.2. Clear Cell Tubules in Diabetic Mice
2.3. Proliferative Activity in the Kidney Tubules
2.4. Progression of CCT to Renal Adenomas and Carcinomas
2.5. Accelerated Tumor Development in Diabetic ChREBP-KO and Renal Cell Neoplasms in Non-Diabetic ChREBP-KO Mice (Figure 4b, Table 1)
2.6. Immunohistochemical Analysis of Tumors in ChREBP-KO Mice (Figure 5)
2.7. ChREBP Expression in Human RCCs
3. Discussion
4. Methods
4.1. Mice Experiments
4.2. Diabetes Induction
4.3. Application of the Nucleoside Analogue 5-Bromo-2′-Deoxyuridine (BrdU)
4.4. Tissue Processing
4.5. Immunohistochemistry
4.6. Morphologic and Morphometric Analysis
4.7. Transmission Electron Microscopy (TEM)
4.8. Human Renal Tissue
4.9. Statistical Analysis
Supplementary Materials
Author Contributions
Funding
Institutional Review Board Statement
Informed Consent Statement
Data Availability Statement
Acknowledgments
Conflicts of Interest
References
- Joinpoint Regression Program. Statistical Methodology and Applications Branch. In Surveillance Research Program; National Cancer Institute: Singapore, 2017.
- Steinberg, P.; Störkel, S.; Oesch, F.; Thoenes, W. Carbohydrate metabolism in human renal clear cell carcinomas. Lab. Investig. A J. Tech. Methods Pathol. 1992, 67, 506–511. [Google Scholar]
- Creighton, C.J.; Morgan, M.; Gunaratne, P.H.; Wheeler, D.A.; Gibbs, R.A.; Gordon Robertson, A.; Chu, A.; Beroukhim, R.; Cibulskis, K.; Signoretti, S.; et al. Comprehensive molecular characterization of clear cell renal cell carcinoma. Nature 2013, 499, 43–49. [Google Scholar] [CrossRef]
- Otunctemur, A.; Ozbek, E.; Sahin, S.; Dursun, M.; Besiroglu, H.; Koklu, I.; Erkoc, M.; Danis, E.; Bozkurt, M.; Gurbuz, A. Diabetes Mellitus as a Risk Factor for High Grade Renal Cell Carcinoma. Asian Pac. J. Cancer Prev. 2014, 15, 3993–3996. [Google Scholar] [CrossRef] [PubMed][Green Version]
- Bannasch, P.; Hacker, H.J.; Tsuda, H.; Zerban, H. Aberrant regulation of carbohydrate metabolism and metamorphosis during renal carcinogenesis. Adv. Enzym. Regul. 1986, 25, 279–284. [Google Scholar] [CrossRef]
- Ahn, Y.S.; Zerban, H.; Grobholz, R.; Bannasch, P. Sequential changes in glycogen content, expression of glucose transporters and enzymic patterns during development of clear/acidophilic cell tumors in rat kidney. Carcinogenesis 1992, 13, 2329–2334. [Google Scholar] [CrossRef] [PubMed]
- Dombrowski, F.; Klotz, L.; Bannasch, P.; Evert, M. Renal carcinogenesis in models of diabetes in rats—Metabolic changes are closely related to neoplastic development. Diabetologia 2007, 50, 2580–2590. [Google Scholar] [CrossRef][Green Version]
- Ribback, S.; Cigliano, A.; Kroeger, N.; Pilo, M.G.; Terracciano, L.; Burchardt, M.; Bannasch, P.; Calvisi, D.F.; Dombrowski, F. PI3K/AKT/mTOR pathway plays a major pathogenetic role in glycogen accumulation and tumor development in renal distal tubules of rats and men. Oncotarget 2015, 6, 13036–13048. [Google Scholar] [CrossRef]
- Singh, P.; Irwin, D.M. Contrasting Patterns in the Evolution of Vertebrate MLX Interacting Protein (MLXIP) and MLX Interacting Protein-Like (MLXIPL) Genes. PLoS ONE 2016, 11, e0149682. [Google Scholar] [CrossRef] [PubMed][Green Version]
- Burkert, C.K. Influence of the Transcription Factor Carbohydrate Responsive Element Binding Protein (Chrebp) on the Pathogenesis of Glycogen Storage and Carcinogenesis in Renal Tubules in Diabetic Wild-Type and Chrebp Knockout Mice in the Context of Pancreatic Islet Transplantation Model. Doctoral Thesis, Universität Greifswald, Greifswald, Germany, 2021. [Google Scholar]
- Linden, A.G.; Li, S.; Choi, H.Y.; Fang, F.; Fukasawa, M.; Uyeda, K.; Hammer, R.E.; Horton, J.D.; Engelking, L.J.; Liang, G. Interplay between ChREBP and SREBP-1c coordinates postprandial glycolysis and lipogenesis in livers of mice. J. Lipid Res. 2018, 59, 475–487. [Google Scholar] [CrossRef]
- Airley, R.E.; McHugh, P.; Evans, A.R.; Harris, B.; Winchester, L.; Buffa, F.M.; Al-Tameemi, W.; Leek, R.; Harris, A.L. Role of carbohydrate response element-binding protein (ChREBP) in generating an aerobic metabolic phenotype and in breast cancer progression. Br. J. Cancer 2014, 110, 715–723. [Google Scholar] [CrossRef]
- Iizuka, K. The transcription factor carbohydrate-response element-binding protein (ChREBP): A possible link between metabolic disease and cancer. Biochim. Biophys. Acta (BBA)-Mol. Basis Dis. 2017, 1863, 474–485. [Google Scholar] [CrossRef] [PubMed]
- Lei, Y.; Zhou, S.; Hu, Q.; Chen, X.; Gu, J. Carbohydrate response element binding protein (ChREBP) correlates with colon cancer progression and contributes to cell proliferation. Sci. Rep. 2020, 10, 4233. [Google Scholar] [CrossRef] [PubMed]
- Wang, H.; Dolezal, J.M.; Kulkarni, S.; Lu, J.; Mandel, J.; Jackson, L.E.; Alencastro, F.; Duncan, A.W.; Prochownik, E.V. Myc and ChREBP transcription factors cooperatively regulate normal and neoplastic hepatocyte proliferation in mice. J. Biol. Chem. 2018, 293, 14740–14757. [Google Scholar] [CrossRef] [PubMed]
- Ribback, S.; Sonke, J.; Lohr, A.; Frohme, J.; Peters, K.; Holm, J.; Peters, M.; Cigliano, A.; Calvisi, D.F.; Dombrowski, F. Hepatocellular glycogenotic foci after combined intraportal pancreatic islet transplantation and knockout of the carbohydrate responsive element binding protein in diabetic mice. Oncotarget 2017, 8, 104315–104329. [Google Scholar] [CrossRef] [PubMed]
- Nuernberger, V.; Mortoga, S.; Metzendorf, C.; Burkert, C.; Ehricke, K.; Knuth, E.; Zimmer, J.; Singer, S.; Nath, N.; Karim, M.; et al. Hormonally Induced Hepatocellular Carcinoma in Diabetic Wild Type and Carbohydrate Responsive Element Binding Protein Knockout Mice. Cells 2021, 10, 2787. [Google Scholar] [CrossRef]
- Pandey, A.; Forte, V.; Abdallah, M.; Alickaj, A.; Mahmud, S.; Asad, S.; McFarlane, S.I. Diabetes mellitus and the risk of cancer. Minerva Endocrinol. 2011, 36, 187–209. [Google Scholar]
- Szablewski, L. Diabetes mellitus: Influences on cancer risk. Diabetes/Metab. Res. Rev. 2014, 30, 543–553. [Google Scholar] [CrossRef]
- Carstensen, B.; Read, S.H.; Friis, S.; Sund, R.; Keskimäki, I.; Svensson, A.-M.; Ljung, R.; Wild, S.H.; Kerssens, J.J.; Harding, J.L.; et al. Cancer incidence in persons with type 1 diabetes: A five-country study of 9,000 cancers in type 1 diabetic individuals. Diabetologia 2016, 59, 980–988. [Google Scholar] [CrossRef]
- Vigneri, P.; Frasca, F.; Sciacca, L.; Pandini, G.; Vigneri, R. Diabetes and cancer. Endocr.-Relat. Cancer 2009, 16, 1103–1123. [Google Scholar] [CrossRef]
- Ingalls, A.M.; Dickie, M.M.; Snell, G.D. Obese, a new mutation in the house mouse. J. Hered. 1950, 41, 317–318. [Google Scholar] [CrossRef]
- Pitombo, C.; Araújo, E.P.; De Souza, C.T.; Pareja, J.C.; Geloneze, B.; A Velloso, L. Amelioration of diet-induced diabetes mellitus by removal of visceral fat. J. Endocrinol. 2006, 191, 699–706. [Google Scholar] [CrossRef] [PubMed]
- Lee, V.K.; Hosking, B.M.; Holeniewska, J.; Kubala, E.C.; von Leithner, P.L.; Gardner, P.J.; Foxton, R.H.; Shima, D.T. BTBR ob/ob mouse model of type 2 diabetes exhibits early loss of retinal function and retinal inflammation followed by late vascular changes. Diabetologia 2018, 61, 2422–2432. [Google Scholar] [CrossRef] [PubMed]
- Straub, L.G.; Efthymiou, V.; Grandl, G.; Balaz, M.; Challa, T.D.; Truscello, L.; Horvath, C.; Moser, C.; Rachamin, Y.; Arnold, M.; et al. Antioxidants protect against diabetes by improving glucose homeostasis in mouse models of inducible insulin resistance and obesity. Diabetologia 2019, 62, 2094–2105. [Google Scholar] [CrossRef] [PubMed]
- Iizuka, K.; Bruick, R.K.; Liang, G.; Horton, J.D.; Uyeda, K. Deficiency of carbohydrate response element-binding protein (ChREBP) reduces lipogenesis as well as glycolysis. Proc. Natl. Acad. Sci. USA 2004, 101, 7281–7286. [Google Scholar] [CrossRef]
- Nakai, K.; Umehara, M.; Minamida, A.; Yamauchi-Sawada, H.; Sunahara, Y.; Matoba, Y.; Okuno-Ozeki, N.; Nakamura, I.; Nakata, T.; Yagi-Tomita, A.; et al. Streptozotocin induces renal proximal tubular injury through p53 signaling activation. Sci. Rep. 2023, 13, 8705. [Google Scholar] [CrossRef]
- Guder, W.G.; Ross, B.D. Enzyme distribution along the nephron. Kidney Int. 1984, 26, 101–111. [Google Scholar] [CrossRef]
- Zhai, X.Y.; Birn, H.; Jensen, K.B.; Thomsen, J.S.; Andreasen, A.; Christensen, E.I. Digital Three-Dimensional Reconstruction and Ultrastructure of the Mouse Proximal Tubule. J. Am. Soc. Nephrol. 2003, 14, 611–619. [Google Scholar] [CrossRef]
- Iizuka, K.; Horikawa, Y. ChREBP: A Glucose-activated Transcription Factor Involved in the Development of Metabolic Syndrome. Endocr. J. 2008, 55, 617–624. [Google Scholar] [CrossRef]
- Zhao, Q.; Lin, X.; Wang, G. Targeting SREBP-1-Mediated Lipogenesis as Potential Strategies for Cancer. Front. Oncol. 2022, 12, 952371. [Google Scholar] [CrossRef]
- Wang, C.; Cigliano, A.; Jiang, L.; Li, X.; Fan, B.; Pilo, M.G.; Liu, Y.; Gui, B.; Sini, M.; Smith, J.W.; et al. 4EBP1/eIF4E and p70S6K/RPS6 axes play critical and distinct roles in hepatocarcinogenesis driven by AKT and N-Ras proto-oncogenes in mice. Hepatology 2014, 61, 200–213. [Google Scholar] [CrossRef]
- Metukuri, M.R.; Zhang, P.; Basantani, M.K.; Chin, C.; Stamateris, R.E.; Alonso, L.C.; Takane, K.K.; Gramignoli, R.; Strom, S.C.; O’Doherty, R.M.; et al. ChREBP Mediates Glucose-Stimulated Pancreatic β-Cell Proliferation. Diabetes 2012, 61, 2004–2015. [Google Scholar] [CrossRef] [PubMed]
- Zhang, J.; Zhang, J.; Fu, Z.; Zhang, Y.; Luo, Z.; Zhang, P.; Xu, Y.; Huang, C. CHREBP suppresses gastric cancer progression via the cyclin D1-Rb-E2F1 pathway. Cell Death Discov. 2022, 8, 300. [Google Scholar] [CrossRef]
- Jiang, L.; Xiao, L.; Sugiura, H.; Huang, X.; Ali, A.; Kuro-o, M.; Deberardinis, R.J.; Boothman, D.A. Metabolic reprogramming during TGFβ1-induced epithelial-to-mesenchymal transition. Oncogene 2015, 34, 3908–3916. [Google Scholar] [CrossRef] [PubMed]
- Shu, Z.-p.; Yi, G.-w.; Deng, S.; Huang, K.; Wang, Y. Hippo pathway cooperates with ChREBP to regulate hepatic glucose utilization. Biochem. Biophys. Res. Commun. 2020, 530, 115–121. [Google Scholar] [CrossRef] [PubMed]
- Zeng, H.; Gu, H.; Chen, C.; Li, M.; Xia, F.; Xie, L.; Liu, X.; Zhang, F.; Tong, X.; Wang, J.; et al. ChREBP promotes the differentiation of leukemia-initiating cells to inhibit leukemogenesis through the TXNIP/RUNX1 pathways. Oncotarget 2016, 7, 38347–38358. [Google Scholar] [CrossRef][Green Version]
- Feng, Y.; Wang, H.; Chen, Z.; Chen, B. High glucose mediates the ChREBP/p300 transcriptional complex to activate proapoptotic genes Puma and BAX and contributes to intervertebral disc degeneration. Bone 2021, 153, 116164. [Google Scholar] [CrossRef]
- Isoe, T.; Makino, Y.; Mizumoto, K.; Sakagami, H.; Fujita, Y.; Honjo, J.; Takiyama, Y.; Itoh, H.; Haneda, M. High glucose activates HIF-1-mediated signal transduction in glomerular mesangial cells through a carbohydrate response element binding protein. Kidney Int. 2010, 78, 48–59. [Google Scholar] [CrossRef]





| Experimental Groups | ChREBP-KO, Diabetic | ChREBP-KO, Non-Diabetic | WT, Diabetic | WT, Non-Diabetic |
|---|---|---|---|---|
| 3 months/6 months/12 months | ||||
| Streptozotocin treatment | yes | no | yes | no |
| Number of animals (n) total | 74 | 59 | 60 | 58 |
| Number of animals 3/6/12 months (n) | 40/24/10 | 19/19/21 | 25/20/15 | 20/18/20 |
| At least one lesion (%) | 10/25/60 d | 26.3 a/31.6 b/61.9 c | 4/20/100 d | 0 a/0 b/0 c |
| At least one lesion 0.1–0.3 mm (%) | 5/16.7/60 | 15.8/10.5/57.1 | 4/0/80 | 0/0/0 |
| At least one lesion 0.4–0.6 mm (%) | 2.5/12.5/40 | 21/5.3/9.5 | 0/5/20 | 0/0/0 |
| At least one lesion 0.7–0.9 mm (%) | 5/8.3/40 | 0/5.3/0 | 0/5/46.7 | 0/0/0 |
| At least one lesion with necrosis (%) | 0/0/0 | 0/0/4.8 | 0/0/6.7 | 0/0/0 |
| At least one RCC (%) | 0/0/0 | 5.3/15.8/4.8 | 0/0/13.3 | 0/0/0 |
| Age | 1 Week | 4 Weeks | 3 Months | 6 Months | 12 Months | |||||
|---|---|---|---|---|---|---|---|---|---|---|
| Diabetes | yes | no | yes | no | yes | no | yes | no | yes | no |
| Wild type | n = 9 | n = 10 | n = 7 | n = 10 | n = 25 | n = 20 | n = 21 | n = 19 | n = 17 | n = 20 |
| ChREBP-KO | n = 11 | n = 10 | n = 7 | n = 11 | n = 40 | n = 19 | n = 25 | n = 20 | n = 10 | n = 21 |
| Protein | Dilution | Species | Company |
|---|---|---|---|
| ACAC | 1/200 | Rabbit | Cell Signaling, Danvers, MA, USA |
| BrdU | 1/50 ON | Mouse | Dako, Hamburg, Germany |
| ChREBP | 1/400 | Rabbit | Novusbio, Littleton, CO, USA |
| 4E-BP1 | 1/600 | Rabbit | Cell Signaling, Danvers, MA, USA |
| FASN | 1/400 ON | Mouse | BD biosciences, San Diego, CA, USA |
| IRS1 | 1/400 | Rabbit | Abcam, Cambridge, UK |
| PKM2 | 1/100 | Rabbit | Cell Signaling, Danvers, MA, USA |
| RPS6 | 1/300 | Rabbit | Cell Signaling, Danvers, MA, USA |
| TXNIP | 1/1600 | Rabbit | Abcam, Cambridge, UK |
| Cyclin D1 | 1/100 | Rabbit | Epitomics, Burlingame, CA, USA |
| Snail | 1/100 | Rabbit | Abcam, Cambridge, UK |
| Slug | 1/100 | Rabbit | Abcam, Cambridge, UK |
| E-Cadherin | 1/100 | Mouse | BD biosciences, San Diego, CA, USA |
| Vimentin | 1/100 | Mouse | Santa Cruz, Santa Cruz, CA, USA |
| YAP | 1/100 | Rabbit | Cell Signaling, Danvers, MA, USA |
| Percentage of positively stained nuclei | 1 | <10% |
| 2 | 10–50% | |
| 3 | 51–80% | |
| 4 | >80% | |
| Staining intensity | 0 | no staining |
| 1 | weak staining | |
| 2 | moderate staining | |
| 3 | strong staining |
Disclaimer/Publisher’s Note: The statements, opinions and data contained in all publications are solely those of the individual author(s) and contributor(s) and not of MDPI and/or the editor(s). MDPI and/or the editor(s) disclaim responsibility for any injury to people or property resulting from any ideas, methods, instructions or products referred to in the content. |
© 2024 by the authors. Licensee MDPI, Basel, Switzerland. This article is an open access article distributed under the terms and conditions of the Creative Commons Attribution (CC BY) license (https://creativecommons.org/licenses/by/4.0/).
Share and Cite
Hansen, K.; Peters, K.; Burkert, C.K.; Brose, E.; Calvisi, D.F.; Ehricke, K.; Engeler, M.; Knuth, E.; Kröger, N.; Lohr, A.; et al. Knockout of the Carbohydrate Responsive Element Binding Protein Enhances Proliferation and Tumorigenesis in Renal Tubules of Mice. Int. J. Mol. Sci. 2024, 25, 11438. https://doi.org/10.3390/ijms252111438
Hansen K, Peters K, Burkert CK, Brose E, Calvisi DF, Ehricke K, Engeler M, Knuth E, Kröger N, Lohr A, et al. Knockout of the Carbohydrate Responsive Element Binding Protein Enhances Proliferation and Tumorigenesis in Renal Tubules of Mice. International Journal of Molecular Sciences. 2024; 25(21):11438. https://doi.org/10.3390/ijms252111438
Chicago/Turabian StyleHansen, Kerrin, Kristin Peters, Christian K. Burkert, Eric Brose, Diego F. Calvisi, Katrina Ehricke, Maren Engeler, Elisa Knuth, Nils Kröger, Andrea Lohr, and et al. 2024. "Knockout of the Carbohydrate Responsive Element Binding Protein Enhances Proliferation and Tumorigenesis in Renal Tubules of Mice" International Journal of Molecular Sciences 25, no. 21: 11438. https://doi.org/10.3390/ijms252111438
APA StyleHansen, K., Peters, K., Burkert, C. K., Brose, E., Calvisi, D. F., Ehricke, K., Engeler, M., Knuth, E., Kröger, N., Lohr, A., Prey, J., Sonke, J., Vakeel, P., Wladasch, J., Zimmer, J., Dombrowski, F., & Ribback, S. (2024). Knockout of the Carbohydrate Responsive Element Binding Protein Enhances Proliferation and Tumorigenesis in Renal Tubules of Mice. International Journal of Molecular Sciences, 25(21), 11438. https://doi.org/10.3390/ijms252111438
