Application of hs-CRP in Assessment of Tissue Inflammation Following Implantation of Biodegradable Polymer in Experiment
Abstract
1. Introduction
2. Results
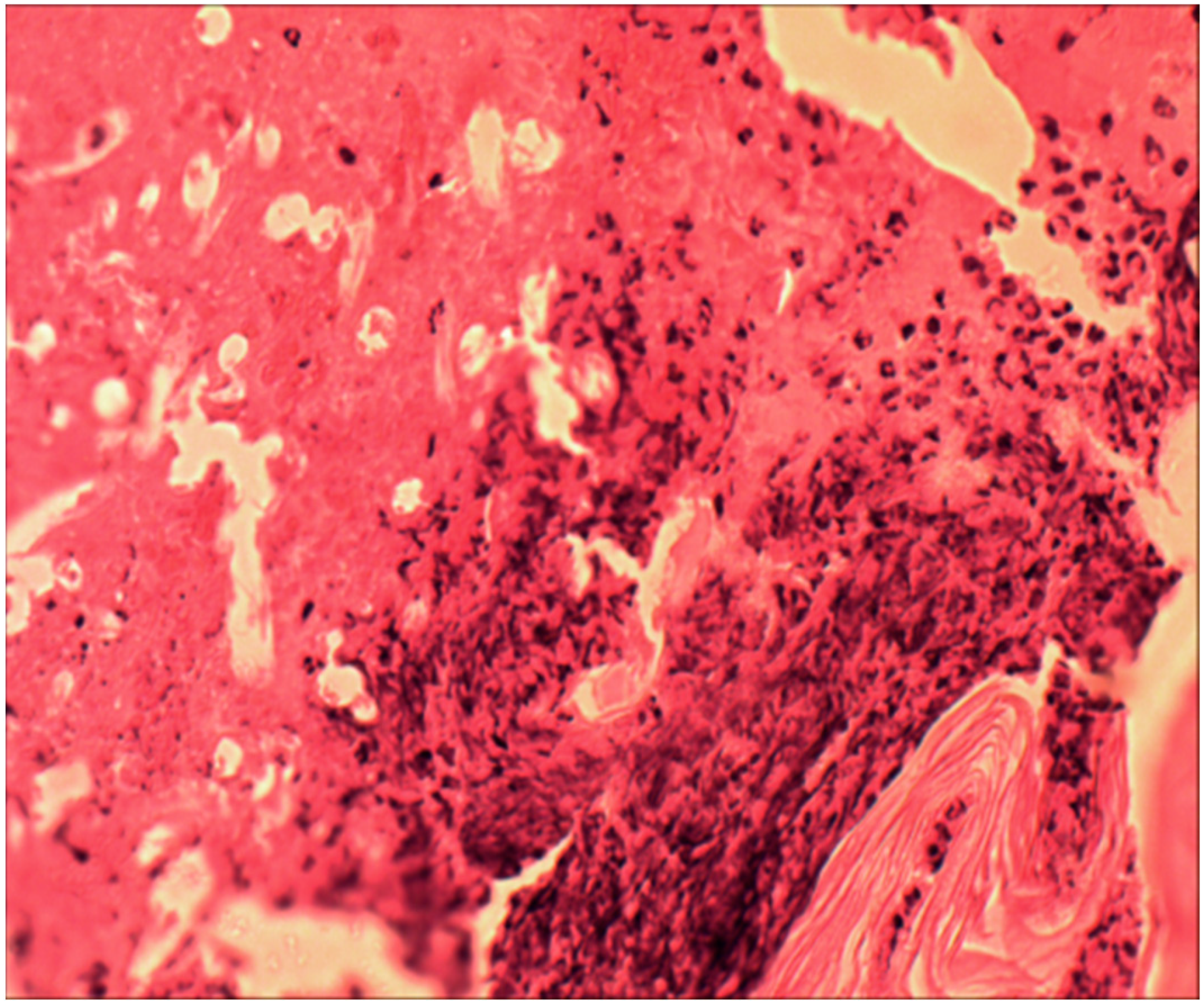
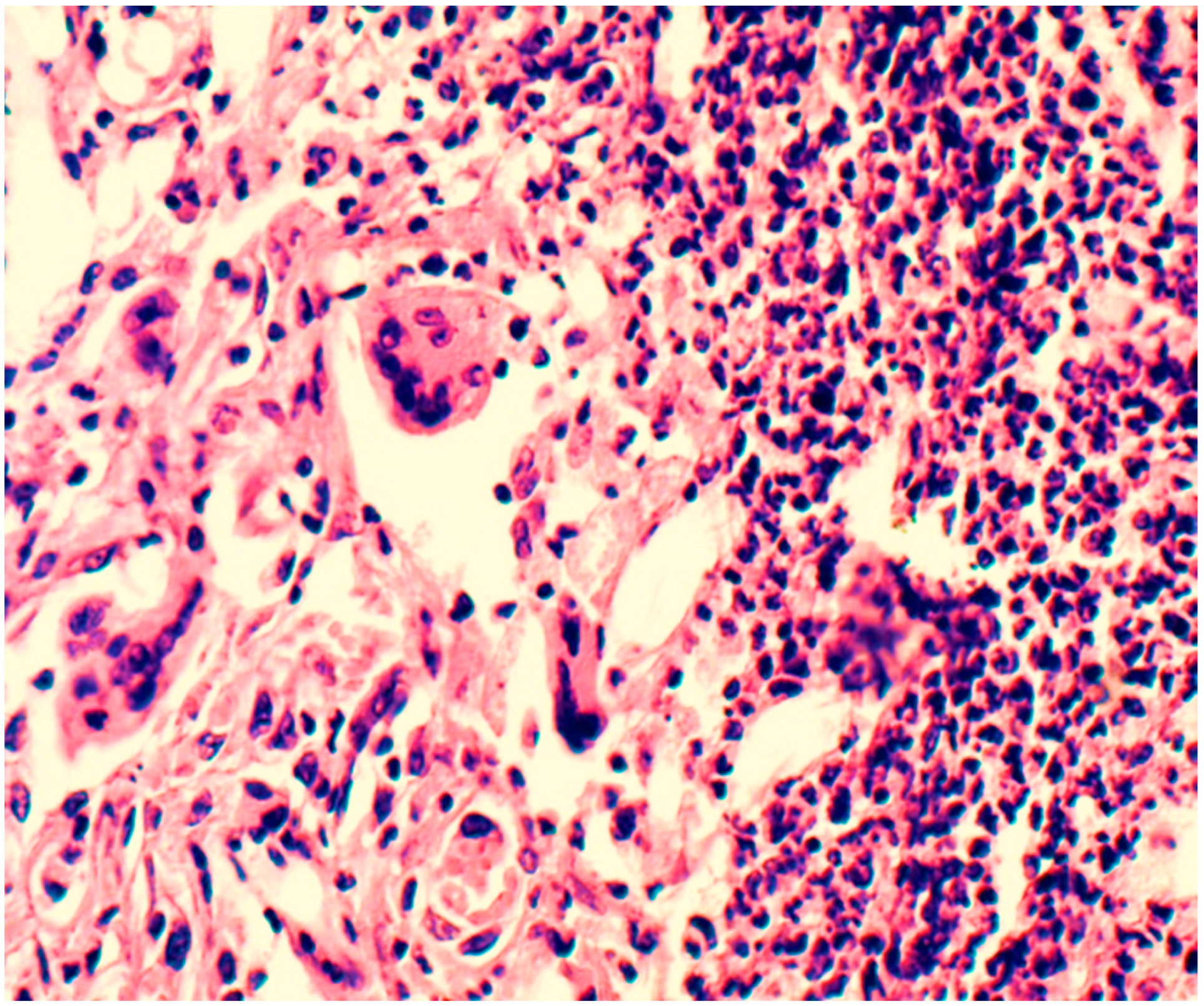
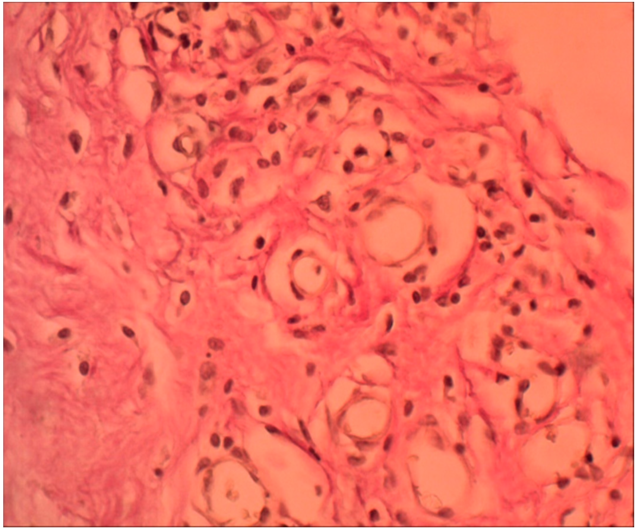
2.1. Tissue Response to Biopolymer (Macropreparation, Morphometry)
2.2. Animal Experiment, Level of hs-CRP in Blood, ELISA
2.3. In Vitro/in Vivo Biopolymer Degradation, Spectrometry, and Chromatography
3. Discussion
- (a)
- When does biodegradation begin in vivo and how does inflammation proceed in the tissues around the polymer?
- (b)
- What is formed at the site of the degraded polymer?
- (c)
- Is the selected biopolymer bioinert?
- (d)
- When does biodegradation begin in vitro, and is it possible to determine the dependence on biodegradation in vivo?
- (e)
- Can hs-CRP be used as a marker for determining the quality of inflammatory processes in peri-implant tissues?
- (a)
- Using morphometry, it was established that this polymer begins to biotransform one month after implantation, when the transformation of the synthetic matrix begins under the influence of physicochemical degradation processes and biological transformation processes, accompanied by the absorption of released biopolymer chains by macrophages. Before this period, an inflammatory infiltrate was formed along the border with the material, which after one month, due to biotransformation processes, moved into the depth of the polymer matrix, increasing the area of inflammation. In terms of qualitative composition, in the first two weeks, the inflammatory infiltrate was mainly represented by macrophages, leukocytes, and lymphocytes. After one month, the number of inflammatory cells decreased, especially macrophages—they were partially replaced by fibrocytes and fibroblasts. Subsequently, the composition of the infiltrate changed little.
- (b)
- The result of the fibroblastic reaction was the development of dense irregular connective tissue at a distance from the border with the biopolymer after the acute phase of inflammation.
- (c)
- The material used in the study did not cause rejection or allergic reactions in any of the cases. During the experiment, no extreme increase in the level of hs-CRP was recorded. The biopolymer consisting of PCL (65%) and PTMC (35%) can be considered bioinert.
- (d)
- In vitro, the polymer biodegradation began from week 2. According to the spectrometry data, this process was not linear; in the first two months, the Mw and Mn values remained virtually unchanged from week 2. At three months, the Mw value was 14.4% less than the initial value. The degradation process in tissues, according to the spectrometry data during three months of implantation, remained unclear in the course of this research. The Mw and Mn values for the biopolymer from tissues after three months of implantation were greater than these values for the polymer degrading in vitro at three months and even at 0 months. Complex metabolic processes in tissues during inflammation and involving various chemical agents can explain this contradiction. The data obtained can serve as a basis for further, more detailed study of the physical parameters of polymer degradation in tissues and in vitro. However, the in vitro results confirm a delayed degradation period of at least a month, which was confirmed by the histological study of peri-implantation tissues. According to histological studies, cell migration into the biopolymer began in the first month of the experiment. This is somewhat earlier than the polymer degradation processes in vitro. As described above, during this period, macrophages were predominantly in direct contact with the biopolymer. Based on this, it can be assumed that macrophages are active participants in the biotransformation process and absorb polymer chains of the biopolymer as a result of phagocytosis. This assumption can also serve as a subject for future studies to determine the molecular weight of polymer chains formed during degradation and the ability of macrophages to absorb these chains, determining the rate of biopolymer biotransformation.
- (e)
- Changes in the level of hs-CRP fully correlated with morphometric changes in the peri-implantation tissues (Figure 9). In the first month after implantation, the processes of adaptation of the body to the alteration due to the operation were already completed, and the process of polymer biotransformation had not yet begun; the tissue reaction was like the formation of a limiting granulation ridge with minor inflammation and a decrease in the number of macrophages, leukocytes, lymphocytes, and FBGC, which was confirmed by the absence of an increase in the level of hs-CRP in the blood of animals. After three months, the onset of the polymer biodegradation process led to an increase in the area of inflammation due to the expansion of the infiltrate into the depth of the implant with a large number of macrophages, lymphocytes, leukocytes, FBGC, and accordingly, inflammation mediators. These intra-tissue processes influenced the increase in the level of hs-CRP at three months.
4. Materials and Methods
4.1. Animal Experiment, Tissue Research, and Morphometry
4.2. Animal Experiment, Study of hs-CRP, and ELISA
4.3. In Vitro Biopolymer Degradation Studies, Spectrometry, and Chromatography
5. Conclusions
Author Contributions
Funding
Institutional Review Board Statement
Informed Consent Statement
Data Availability Statement
Acknowledgments
Conflicts of Interest
References
- Shtilman, M.I.; Artyukhov, A.A.; Luss, A.L.; Kuskov, A.N. Biomaterials and regenerative medicine. Genes Cells 2019, 14, 265–270. [Google Scholar]
- Guo, B.; Ma, P.X. Conducting Polymers for Tissue Engineering. Biomacromolecules 2018, 19, 1764–1782. [Google Scholar] [CrossRef]
- MacCraith, E.; O’Brien, F.J.; Davis, N.F. Biodegradable materials for surgical management of stress urinary incontinence: A narrative review. Eur. J. Obstet. Gynecol. Reprod. Biol. 2021, 259, 153–160. [Google Scholar] [CrossRef]
- Oleksy, M.; Dynarowicz, K.; Aebisher, D. Advances in Biodegradable Polymers and Biomaterials for Medical Applications-A Review. Molecules 2023, 28, 6213. [Google Scholar] [CrossRef]
- Szulc, M.; Lewandowska, K. Biomaterials Based on Chitosan and Its Derivatives and Their Potential in Tissue Engineering and Other Biomedical Applications-A Review. Molecules 2022, 28, 247. [Google Scholar] [CrossRef]
- Wang, H.; Huddleston, S.; Yang, J.; Ameer, G.A. Enabling Proregenerative Medical Devices via Citrate-Based Biomaterials: Transitioning from Inert to Regenerative Biomaterials. Adv. Mater. 2024, 36, 2306326. [Google Scholar] [CrossRef]
- Yang, Y.; Chu, C.; Liu, L.; Wang, C.; Hu, C.; Rung, S.; Man, Y.; Qu, Y. Tracing immune cells around biomaterials with spatial anchors during large-scale wound regeneration. Nat. Commun. 2023, 14, 5995. [Google Scholar] [CrossRef]
- Viana, C.T.R.; Orellano, L.A.A.; Machado, C.T.; Almeida, C.P.; de Lazari, M.G.T.; Campos, P.P.; Andrade, S.P. ST2 deletion accelerates inflammatory-angiogenesis and remodeling in subcutaneous implants in mice. Microvasc. Res. 2022, 139, 104277. [Google Scholar] [CrossRef]
- Singhvi, M.S.; Zinjarde, S.S.; Gokhale, D.V. Polylacticacid: Synthesis and biomedical applications. J. Appl. Microbiol. 2019, 127, 1612–1626. [Google Scholar] [CrossRef]
- Cohen Tervaert, J.W.; Mohazab, N.; Redmond, D.; Eeden, C.; Osman, M. Breast implant illness: Scientific evidence of its existence. Expert Rev. Clin. Immunol. 2022, 18, 15–29. [Google Scholar] [CrossRef]
- Millar, N.L.; O’Donnell, C.; McInnes, I.B.; Brint, E. Wounds that heal and wounds that don’t—The role of the IL-33/ST2 pathway in tissue repair and tumorigenesis. Semin. Cell Dev. Biol. 2017, 61, 41–50. [Google Scholar] [CrossRef]
- Adamiak, A.; Jankiewicz, K.; Miotła, P.; Rechberger, T. Tape erosion-local process or general reaction of the organism. The erosion rate and localization of implanted polypropylene tape in female pelvis. Ginekol. Pol. 2007, 78, 210–213. [Google Scholar]
- Babaei, M.; Javadian, Y.; Narimani, H.; Ranaei, M.; Heidari, B.; Basereh, H.; Gholinia, H.; Firouzjahi, A. Correlation between systemic markers of inflammation and local synovitis in knee osteoarthritis. Caspian J. Intern. Med. 2019, 10, 383–387. [Google Scholar] [CrossRef]
- Kargaltseva, N.M.; Kotcherovets, V.I.; Mironov, A.Y.; Borisova, O.Y.; Burbello, A.T. Inflammation markers and bloodstream infection. Clin. Lab. Diagn. 2019, 64, 435–442. [Google Scholar] [CrossRef]
- Dudina, K.R.; Kutateladze, M.M.; Znoiko, O.O.; Bokova, N.O.; Shutko, S.A.; Filina, L.D.; Ogarev, V.V.; Yushchuk, N.D. The clinical significance of acute phase proteins as inflammatory markers in infectious diseases. Kazan. Med. J. 2014, 95, 909–915. [Google Scholar] [CrossRef]
- Kyrochristou, I.; Spartalis, E.; Anagnostopoulos, G.; Tsourouflis, G.; Dimitroulis, D.; Nikiteas, N.I. CRP in Drain Fluid as a Predictive Marker of Anastomotic Leak in Colorectal Surgery: A Systematic Review of the Literature. In Vivo 2023, 37, 1450–1454. [Google Scholar] [CrossRef]
- Neumaier, M.; Braun, F.K.; Sandmann, G.; Siebenlist, S. C-Reactive Protein in Orthopaedic Surgery. Acta Chir. Orthop. Traumatol. Cech. 2015, 82, 327–331. [Google Scholar] [CrossRef]
- Baktashian, M.; Soflaei, S.S.; Kosari, N.; Salehi, M.; Khosravi, A.; Ahmadinejad, M.; Moohebati, M.; Ebrahimi, M.; Rahmani, F.; Khameneh-Bagheri, R.; et al. Association of high level of hs-CRP with in-stent restenosis: A case-control study. Cardiovasc. Revasc Med. 2019, 20, 583–587. [Google Scholar] [CrossRef]
- Chen, X.; Chen, J.; Chen, W.; Zhou, S.; Hei, Z.; Liu, Z.; Chen, C. Preoperative hs-CRP/HDL ratio is associated with increased risk for postoperative SIRS in elderly patients: A retrospective cohort study. Aging Clin. Exp. Res. 2023, 35, 2603–2611. [Google Scholar] [CrossRef]
- Cardoso Ribeiro, P.D.; Sato, E.I. Autoimmune/autoinflammatory syndrome induced by adjuvants: A focus on silicone. Clin. Rheumatol. 2022, 41, 3275–3283. [Google Scholar] [CrossRef]
- Di Via Ioschpe, A.; Oleru, O.O.; Brozynski, M.; Seyidova, N.; Henderson, P.W. Contextualizing the Impact of Pop Culture on Breast Implant Illness and its Medical Relevance. Aesthetic Plast. Surg. 2024, 48, 1056–1065. [Google Scholar] [CrossRef]
- Banzaraksheev, V.G. Pathophysiological substantiation of the results of modeling atherogenic dyslipidemia in rats. Bull. VSRC RAMS 2016, 1, 33–36. [Google Scholar]
- Birulina, Y.G.; Voronkova, O.V.; Ivanov, V.V.; Buyko, E.E.; Shcherbakov, M.M.; Chernyshev, N.A.; Motlokhova, E.A. Markers of systemic inflammation in rats in the model of diet-induced metabolic syndrome. Bull. Russ. State Med. Univ. 2022, 4, 43–49. [Google Scholar] [CrossRef]
- Shtilman, M.I.B. Encyclopedia of Biomedical Polymers and Polymeric Biomaterials, 1st ed.; CRC Press: Boca Raton, FL, USA, 2015; pp. 804–816. [Google Scholar]
- Yeon, Y.K.; Park, H.S.; Lee, J.M.; Lee, J.S.; Lee, Y.J.; Sultan, M.T.; Seo, Y.B.; Lee, O.J.; Kim, S.H.; Park, C.H. New concept of 3D printed bone clip (polylactic acid/hydroxyapatite/silk composite) for internal fixation of bone fractures. J. Biomater. Sci. Polym. Ed. 2018, 29, 894–906. [Google Scholar] [CrossRef]
- Van Wouwe, P.; Dusselier, M.; Vanleeuw, E.; Sels, B. Lactide Synthesis and Chirality Control for Polylacticacid Production. ChemSusChem 2016, 9, 907–921. [Google Scholar] [CrossRef]
- Yoo, K.H.; Cho, H.S.; Kim, D.H.; Lee, J.K.; Yong-Il, K.; Hwang, K.H.; Yoon, S.Y. Polylactic Acid/Nanostructured Si-Substituted β-Tricalcium Phosphate Composites for Biodegradable Fixation Medical Devices. J. Nanosci. Nanotechnol. 2018, 18, 856–860. [Google Scholar] [CrossRef]
- Santonocito, C.; De Loecker, I.; Donadello, K.; Moussa, M.D.; Markowicz, S.; Gullo, A.; Vincent, J.L. C-reactive protein kinetics after major surgery. Anesth. Analg. 2014, 119, 614–629. [Google Scholar] [CrossRef]
- Sereda, A.P.; Rukina, A.N.; Trusova, Y.V.; Dzhavadov, A.A.; Cherny, A.A.; Bozhkova, S.A.; Shubnyakov, I.T.; Tikhilov, R.M. Dynamics of C-reactive protein level after orthopedic surgeries. J. Orthop. 2023, 47, 1–7. [Google Scholar] [CrossRef]
- Windisch, C.; Brodt, S.; Roehner, E.; Matziolis, G. The C-reactive protein level after total knee arthroplasty is gender specific. Knee Surg. Sports Traumatol. Arthrosc. 2016, 24, 3163–3167. [Google Scholar] [CrossRef]
- Vu, T.P.; Thuy, D.N.T.; Quy, K.T.; Thu, H.N.T.; Van, D.N.; Do Manh, H.; Trung, K.N.; Do, Q.; Viet, T.T.; Do Nhu, B.; et al. Serum hs-CRP measured prior transplantation predicts of new-onset diabetes after transplantation in renal transplant recipients. Transpl. Immunol. 2021, 66, 101392. [Google Scholar] [CrossRef]
- Nakamoto, S.; Hirose, M. Prediction of early C-reactive protein levels after non-cardiac surgery under general anesthesia. PLoS ONE 2019, 14, e0226032. [Google Scholar] [CrossRef]
- Xu, C.; Sun, Y.-M.; Chai, W.; Chen, J.-Y. C-reactive protein may rise after closed-suction drainage removal in patients undergoing revision arthroplasty: A retrospective study. ANZ J. Surg. 2020, 90, 1062–1066. [Google Scholar] [CrossRef]
- ISO 13781:2017; Implants for Surgery—Homopolymers, Copolymers and Blends on Poly(lactide)—In Vitro Degradation Testing. International Organization for Standardization: Geneva, Switzerland, 2017. Available online: https://www.iso.org/standard/64565.html (accessed on 4 March 2024).











| Period | The Actual Molar Ratio of Units in the Polymer Chain, % | Mw, (kDa) | Mn, (kDa) | PDI | |
|---|---|---|---|---|---|
| PTMC | PCL | ||||
| 0 | 35 | 65 | 104.0 | 62.0 | 1.68 |
| 2 weeks | 29 | 71 | 101.0 | 53.8 | 1.88 |
| 1 month | 32 | 68 | 99.0 | 52.0 | 1.61 |
| 2 months | 31 | 69 | 101.5 | 62.0 | 1.64 |
| 3 months | 34 | 66 | 89.0 | 51.5 | 1.73 |
| 4 months | 31 | 69 | 75 | 42.8 | 1.75 |
| 5 months | 29 | 71 | 72.6 | 46.5 | 1.56 |
Disclaimer/Publisher’s Note: The statements, opinions and data contained in all publications are solely those of the individual author(s) and contributor(s) and not of MDPI and/or the editor(s). MDPI and/or the editor(s) disclaim responsibility for any injury to people or property resulting from any ideas, methods, instructions or products referred to in the content. |
© 2024 by the authors. Licensee MDPI, Basel, Switzerland. This article is an open access article distributed under the terms and conditions of the Creative Commons Attribution (CC BY) license (https://creativecommons.org/licenses/by/4.0/).
Share and Cite
Eisenach, I.A.; Lapii, G.A.; Uzyumova, A.K.; Lushnikova, E.L.; Ovchinnikov, V.S.; Solovieva, A.O.; Naprimerov, V.A. Application of hs-CRP in Assessment of Tissue Inflammation Following Implantation of Biodegradable Polymer in Experiment. Int. J. Mol. Sci. 2024, 25, 11183. https://doi.org/10.3390/ijms252011183
Eisenach IA, Lapii GA, Uzyumova AK, Lushnikova EL, Ovchinnikov VS, Solovieva AO, Naprimerov VA. Application of hs-CRP in Assessment of Tissue Inflammation Following Implantation of Biodegradable Polymer in Experiment. International Journal of Molecular Sciences. 2024; 25(20):11183. https://doi.org/10.3390/ijms252011183
Chicago/Turabian StyleEisenach, Igor A., Galina A. Lapii, Alexandra K. Uzyumova, Elena L. Lushnikova, Victor S. Ovchinnikov, Anastasia O. Solovieva, and Vasiliy A. Naprimerov. 2024. "Application of hs-CRP in Assessment of Tissue Inflammation Following Implantation of Biodegradable Polymer in Experiment" International Journal of Molecular Sciences 25, no. 20: 11183. https://doi.org/10.3390/ijms252011183
APA StyleEisenach, I. A., Lapii, G. A., Uzyumova, A. K., Lushnikova, E. L., Ovchinnikov, V. S., Solovieva, A. O., & Naprimerov, V. A. (2024). Application of hs-CRP in Assessment of Tissue Inflammation Following Implantation of Biodegradable Polymer in Experiment. International Journal of Molecular Sciences, 25(20), 11183. https://doi.org/10.3390/ijms252011183

