Effects of Nitric Oxide on Bladder Detrusor Overactivity through the NRF2 and HIF-1α Pathways: A Rat Model Induced by Metabolic Syndrome and Ovarian Hormone Deficiency
Abstract
1. Introduction
2. Results
2.1. Serum Estradiol and Testosterone Concentration Reduced after Bilateral Ovariectomy (OVX)
2.2. Physical Characteristics
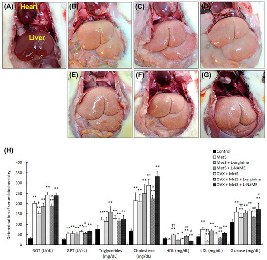
2.3. Changes in Liver Morphology and Serum Indicators
2.4. L-Arginine Treatment Ameliorated Bladder Hyperactivity
2.5. L-Arginine Treatment Improved the Bladder Detrusor Contractile Response
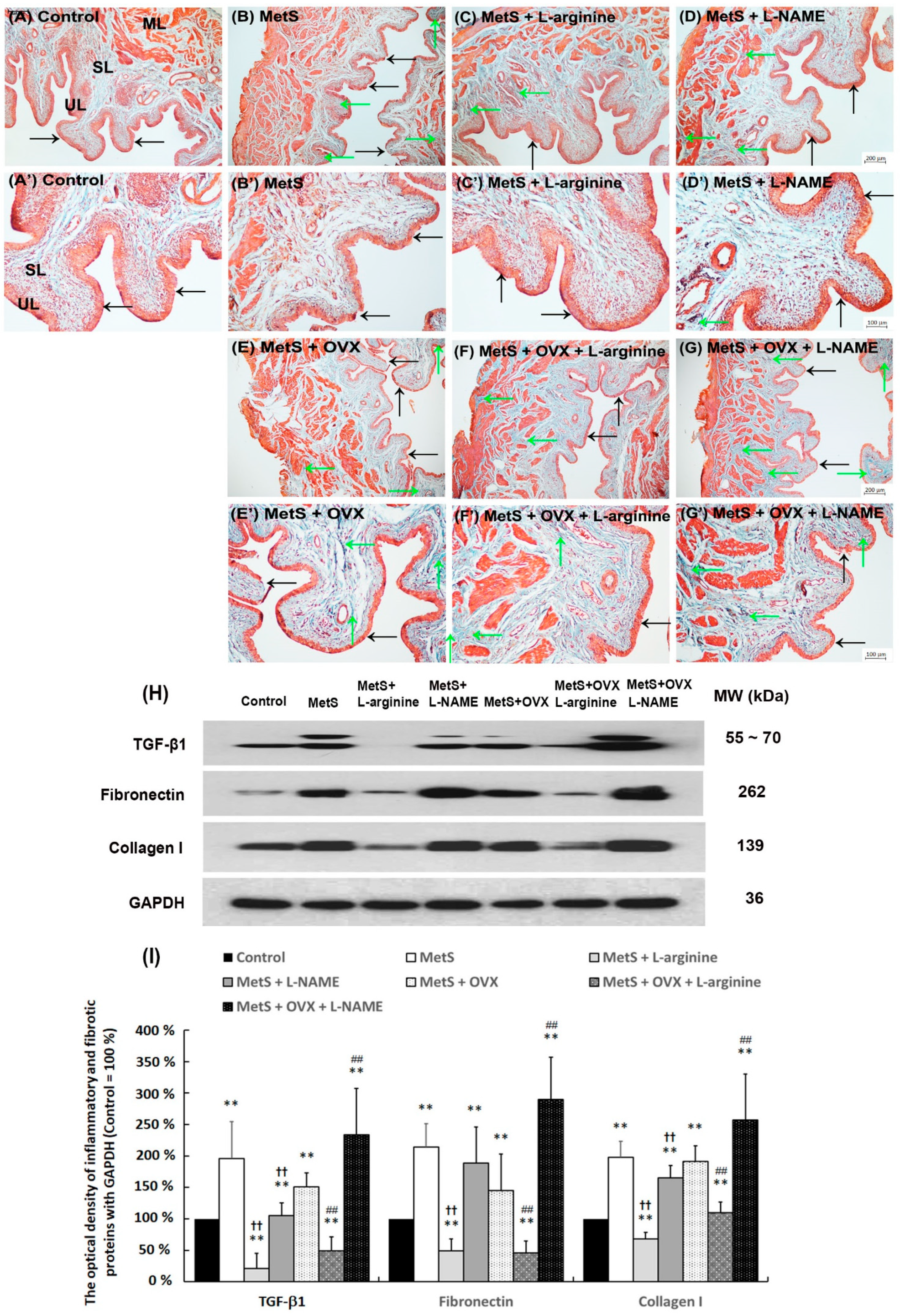
2.6. L-Arginine Improved Bladder Pathological Alteration in Association with MetS and OHD
2.7. L-Arginine Improved Bladder Urothelial Regeneration and Interstitial Cell (IC) Generation
2.8. L-Arginine Altered Bladder Angiogenic Remodeling
2.9. The Effect of L-Arginine Promoted Bladder Neurogenesis
2.10. The Effect of L-Arginine Increased NO Production and Decreased Oxidative Stress
2.11. Mitochondria-Elicited Bladder Damage with MetS and OHD
3. Discussion
4. Materials and Methods
4.1. Animals and Feeding Protocol
4.2. Ovariectomy Procedure
4.3. Estradiol Concentration by Enzyme-Linked Immunosorbent Assay (ELISA)
4.4. Physical Indicator
4.5. Evaluation of Liver and Renal Biochemistry Parameters
4.6. Measure the Micturition Volume and Frequency by Physiological Metabolic Cage
4.7. Cystometrograms Studies
4.8. Bladder Muscle Strips for Bladder Contractility Studies
4.9. Masson’s Trichrome Staining for Morphological Change
4.10. Western Blot Analysis for Protein Expression
4.11. Immunofluorescence Staining to Detect the Location of Protein Expression
4.12. Statistical Analysis
5. Conclusions
Author Contributions
Funding
Institutional Review Board Statement
Informed Consent Statement
Data Availability Statement
Acknowledgments
Conflicts of Interest
Abbreviations
Appendix A. Other Materials and Procedures Used in Western Blot Experiments
References
- Alberti, K.G.; Zimmet, P.Z. Definition, diagnosis and classification of diabetes mellitus and its complications. Part 1: Diagnosis and classification of diabetes mellitus provisional report of a WHO consultation. Diabet. Med. 1998, 15, 539–553. [Google Scholar] [CrossRef]
- Yu, H.-J.; Liu, C.-Y.; Lee, K.-L.; Lee, W.-C.; Chen, T.H.-H. Overactive Bladder Syndrome among Community-Dwelling Adults in Taiwan: Prevalence, Correlates, Perception, and Treatment Seeking. Urol. Int. 2006, 77, 327–333. [Google Scholar] [CrossRef] [PubMed]
- Miller, A.; Adeli, K. Dietary fructose and the metabolic syndrome. Curr. Opin. Gastroenterol. 2008, 24, 204–209. [Google Scholar] [CrossRef] [PubMed]
- Wein, A.J.; Rovner, E.S. Definition and epidemiology of overactive bladder. Urology 2002, 60, 7–12, discussion 12. [Google Scholar] [CrossRef] [PubMed]
- Azadzoi, K.M.; Shinde, V.M.; Tarcan, T.; Kozlowski, R.; Siroky, M.B. Increased Leukotriene and Prostaglandin Release, and Overactivity in the Chronically Ischemic Bladder. J. Urol. 2003, 169, 1885–1891. [Google Scholar] [CrossRef]
- Yoshimura, N.; Kaiho, Y.; Miyazato, M.; Yunoki, T.; Tai, C.; Chancellor, M.B.; Tyagi, P. Therapeutic receptor targets for lower urinary tract dysfunction. Naunyn-Schmiedeberg’s Arch. Pharmacol. 2008, 377, 437–448. [Google Scholar] [CrossRef]
- Apostolidis, A.; Brady, C.M.; Yiangou, Y.; Davis, J.; Fowler, C.J.; Anand, P. Capsaicin receptor TRPV1 in urothelium of neurogenic human bladders and effect of intravesical resiniferatoxin. Urology 2005, 65, 400–405. [Google Scholar] [CrossRef]
- Sun, Y.; Chai, T.C. Up-Regulation of P2X3 Receptor During Stretch of Bladder Urothelial Cells from Patients with Interstitial Cystitis. J. Urol. 2004, 171, 448–452. [Google Scholar] [CrossRef]
- Yokoyama, T.; Nozaki, K.; Fujita, O.; Nose, H.; Inoue, M.; Kumon, H. Role of C afferent Fibers and monitoring of intravesical resiniferatoxin therapy for patients with idiopathic detrusor overactivity. J. Urol. 2004, 172, 596–600. [Google Scholar] [CrossRef]
- Rohrmann, S.; Smit, E.; Giovannucci, E.; Platz, E.A. Association between markers of the metabolic syndrome and lower urinary tract symptoms in the Third National Health and Nutrition Examination Survey (NHANES III). Int. J. Obes. 2005, 29, 310–316. [Google Scholar] [CrossRef]
- Esposito, K.; Pontillo, A.; Di Palo, C.; Giugliano, G.; Masella, M.; Marfella, R.; Giugliano, D. Effect of weight loss and lifestyle changes on vascular inflammatory markers in obese women: A randomized trial. JAMA 2003, 289, 1799–1804. [Google Scholar] [CrossRef] [PubMed]
- Esposito, K.; Marfella, R.; Ciotola, M.; Di Palo, C.; Giugliano, F.; Giugliano, G.; D’Armiento, M.; D’Andrea, F.; Giugliano, D. Effect of a mediterranean-style diet on endothelial dysfunction and markers of vascular inflammation in the metabolic syn-drome: A randomized trial. JAMA 2004, 292, 1440–1446. [Google Scholar] [CrossRef]
- Vincent, M.A.; Montagnani, M.; Quon, M.J. Molecular and physiologic actions of insulin related to production of nitric oxide in vascular endothelium. Curr. Diabetes Rep. 2003, 3, 279–288. [Google Scholar] [CrossRef] [PubMed]
- Weisberg, S.P.; McCann, D.; Desai, M.; Rosenbaum, M.; Leibel, R.L.; Ferrante, A.W., Jr. Obesity is associated with macrophage accumulation in adipose tissue. J. Clin. Invest. 2003, 112, 1796–1808. [Google Scholar] [CrossRef] [PubMed]
- Xu, H.; Barnes, G.T.; Yang, Q.; Tan, G.; Yang, D.; Chou, C.J.; Sole, J.; Nichols, A.; Ross, J.S.; Tartaglia, L.A.; et al. Chronic inflammation in fat plays a crucial role in the development of obesity-related insulin resistance. J. Clin. Invest. 2003, 112, 1821–1830. [Google Scholar] [CrossRef]
- LaMonte, M.J.; Durstine, J.L.; Yanowitz, F.G.; Lim, T.; DuBose, K.D.; Davis, P.; Ainsworth, B.E. Cardiorespiratory fitness and C-reactive protein among a tri-ethnic sample of women. Circulation 2002, 106, 403–406. [Google Scholar] [CrossRef]
- Chambers, J.C.; Eda, S.; Bassett, P.; Karim, Y.; Thompson, S.G.; Gallimore, J.; Pepys, M.B.; Kooner, J.S. C-Reactive Protein, Insulin Resistance, Central Obesity, and Coronary Heart Disease Risk in Indian Asians from the United Kingdom Compared with European Whites. Circulation 2001, 104, 145–150. [Google Scholar] [CrossRef]
- Nawrocki, A.R.; Scherer, P.E. The delicate balance between fat and muscle: Adipokines in metabolic disease and musculo-skeletal inflammation. Curr. Opin. Pharmacol. 2004, 4, 281–289. [Google Scholar] [CrossRef]
- Stokes, K.Y.; Dugas, T.R.; Tang, Y.; Garg, H.; Guidry, E.; Bryan, N.S. Dietary nitrite prevents hypercholesterolemic microvascular inflammation and reverses endothelial dysfunction. Am. J. Physiol. Heart Circ. Physiol. 2009, 296, H1281–H1288. [Google Scholar] [CrossRef]
- Monti, L.D.; Galluccio, E.; Lucotti, P.; Setola, E.; Costa, S.; Fontana, B.; Oldani, M.; Merante, D.; Di Blasi, P.; Bosi, E.; et al. Beneficial role of l-arginine in cardiac matrix remodelling in insulin resistant rats. Eur. J. Clin. Investig. 2008, 38, 849–856. [Google Scholar] [CrossRef]
- Barnard, R.J.; Roberts, C.K.; Varon, S.M.; Berger, J.J. Diet-induced insulin resistance precedes other aspects of the metabolic syndrome. J. Appl. Physiol. 1998, 84, 1311–1315. [Google Scholar] [CrossRef] [PubMed]
- Brindley, D.N. Role of glucocorticoids and fatty acids in the impairment of lipid metabolism observed in the metabolic syn-drome. Int. J. Obes. Relat. Metab. Disord. 1995, 19, S69–S75. [Google Scholar] [PubMed]
- Roberts, C.K.; Vaziri, N.D.; Wang, X.Q.; Barnard, R.J. Enhanced NO Inactivation and Hypertension Induced by a High-Fat, Refined-Carbohydrate Diet. Hypertension 2000, 36, 423–429. [Google Scholar] [CrossRef] [PubMed]
- Naderali, E.K.; Fatani, S.; Williams, G. Chronic withdrawal of a high-palatable obesity-inducing diet completely reverses metabolic and vascular abnormalities associated with dietary-obesity in the rat. Atherosclerosis 2004, 172, 63–69. [Google Scholar] [CrossRef]
- Tong, Y.-C.; Cheng, J. Alterations of M2,3-Muscarinic Receptor Protein and mRNA Expression in the Bladder of the Fructose Fed Obese Rat. J. Urol. 2007, 178, 1537–1542. [Google Scholar] [CrossRef] [PubMed]
- Lee, W.-C.; Chuang, Y.-C.; Chiang, P.-H.; Chien, C.-T.; Yu, H.-J.; Wu, C.-C. Pathophysiological Studies of Overactive Bladder and Bladder Motor Dysfunction in a Rat Model of Metabolic Syndrome. J. Urol. 2011, 186, 318–325. [Google Scholar] [CrossRef]
- Eshtiaghi, R.; Esteghamati, A.; Nakhjavani, M. Menopause is an independent predictor of metabolic syndrome in Iranian women. Maturitas 2010, 65, 262–266. [Google Scholar] [CrossRef]
- Robinson, D.; Cardozo, L.D. The role of estrogens in female lower urinary tract dysfunction. Urology 2003, 62, 45–51. [Google Scholar] [CrossRef]
- Stenberg, A.; Heimer, G.; Ulmsten, U. The prevalence of urogenital symptoms in postmenopausal women. Maturitas 1995, 22, S17–S20. [Google Scholar] [CrossRef]
- Cardozo, L.; Lose, G.; McClish, D.; Versi, E. A systematic review of the effects of estrogens for symptoms suggestive of overactive bladder. Acta Obstet. Gynecol. Scand. 2004, 83, 892–897. [Google Scholar] [CrossRef]
- Liang, W.; Afshar, K.; Stothers, L.; Laher, I. The influence of ovariectomy and estrogen replacement on voiding patterns and detrusor muscarinic receptor affinity in the rat. Life Sci. 2002, 71, 351–362. [Google Scholar] [CrossRef] [PubMed]
- Juan, Y.-S.; Chuang, S.-M.; Long, C.-Y.; Chen, C.-H.; Levin, R.M.; Liu, K.-M.; Huang, C.-H. Neuroprotection of green tea catechins on surgical menopause-induced overactive bladder in a rat model. Menopause 2012, 19, 346–354. [Google Scholar] [CrossRef] [PubMed]
- Juan, Y.; Chuang, S.; Lee, Y.; Long, C.; Wu, T.; Chang, W.; Levin, R.M.; Liu, K.; Huang, C. Green tea catechins decrease oxidative stress in surgical menopause-induced overactive bladder in a rat model. BJU Int. 2012, 110, E236–E244. [Google Scholar] [CrossRef]
- Cheng, C.-L.; de Groat, W.C. Effects of agonists for estrogen receptor α and β on ovariectomy-induced lower urinary tract dysfunction in the rat. Am. J. Physiol. Renal. Physiol. 2014, 306, F181–F187. [Google Scholar] [CrossRef]
- Imamov, O.; Yakimchuk, K.; Morani, A.; Schwend, T.; Wada-Hiraike, O.; Razumov, S.; Warner, M.; Gustafsson, J.A. Estrogen receptor β-deficient female mice develop a bladder phenotype resembling human interstitial cystitis. Proc. Natl. Acad. Sci. USA 2007, 104, 9806–9809. [Google Scholar] [CrossRef] [PubMed]
- Lee, Y.-L.; Lin, K.-L.; Wu, B.-N.; Chuang, S.-M.; Wu, W.-J.; Lee, Y.-C.; Ho, W.-T.; Juan, Y.-S. Epigallocatechin-3-gallate alleviates bladder overactivity in a rat model with metabolic syndrome and ovarian hormone deficiency through mitochondria apoptosis pathways. Sci. Rep. 2018, 8, 5358. [Google Scholar] [CrossRef]
- Losordo, D.W.; Isner, J.M. Estrogen and Angiogenesis: A review. Arter. Thromb. Vasc. Biol. 2001, 21, 6–12. [Google Scholar] [CrossRef]
- Aikawa, K.; Sugino, T.; Matsumoto, S.; Chichester, P.; Whitbeck, C.; Levin, R.M. The Effect of Ovariectomy and Estradiol on Rabbit Bladder Smooth Muscle Contraction and Morphology. J. Urol. 2003, 170, 634–637. [Google Scholar] [CrossRef]
- Papka, R.E.; Mowa, C.N. Estrogen receptors in the spinal cord, sensory ganglia, and pelvic autonomic ganglia. Int. Rev. Cytol. 2003, 231, 91–127. [Google Scholar] [CrossRef]
- Bennett, H.L.; Gustafsson, J.; Keast, J.R. Estrogen receptor expression in lumbosacral dorsal root ganglion cells innervating the female rat urinary bladder. Auton. Neurosci. 2003, 105, 90–100. [Google Scholar] [CrossRef]
- Xu, S.; Cheng, Y.; Keast, J.R.; Osborne, P.B. 17β-Estradiol Activates Estrogen Receptor β-Signalling and Inhibits Transient Receptor Potential Vanilloid Receptor 1 Activation by Capsaicin in Adult Rat Nociceptor Neurons. Endocrinology 2008, 149, 5540–5548. [Google Scholar] [CrossRef] [PubMed]
- Aikawa, K.; Chichester, P.; Whitbeck, C.; Levin, R.M. Effect of Nitric Oxide Synthase Inhibition on Changes Induced by Estradiol in Bladders from Ovariectomized Rabbits. Urol. Int. 2005, 75, 133–138. [Google Scholar] [CrossRef] [PubMed]
- Conners, W.; Whitebeck, C.; Chicester, P.; Legget, R.; Lin, A.D.-Y.; Johnson, A.; Kogan, B.; Levin, R.; Mannikarottu, A. l-NAME, a nitric oxide synthase inhibitor, diminishes oxidative damage in urinary bladder partial outlet obstruction. Am. J. Physiol. Renal. Physiol. 2006, 290, F357–F363. [Google Scholar] [CrossRef] [PubMed]
- Saito, M.; Miyagawa, I. Direct detection of nitric oxide in rat urinary bladder during ischemia-reperfusion. J. Urol. 1999, 162, 1490–1495. [Google Scholar] [CrossRef]
- Saitongdee, P.; Loesch, A.; Knight, G.; Milner, P.; Burnstock, G. Ultrastructural Localization of Nitric Oxide Synthase and Endothelin in the Renal and Mesenteric Arteries of the Golden Hamster: Differences during and after Arousal from Hibernation. Endothelium 1999, 6, 197–207. [Google Scholar] [CrossRef]
- Saito, M.; Wada, K.; Kamisaki, Y.; Miyagawa, I. Effect of ischemia-reperfusion on contractile function of rat urinary bladder: Possible role of nitric oxide. Life Sci. 1998, 62, PL149–PL156. [Google Scholar] [CrossRef]
- Ho, M.H.; Bhatia, N.N.; Khorram, O. Physiologic role of nitric oxide and nitric oxide synthase in female lower urinary tract. Curr. Opin. Obstet. Gynecol. 2004, 16, 423–429. [Google Scholar] [CrossRef]
- Azadzoi, K.M.; Chen, B.-G.; Radisavljevic, Z.M.; Siroky, M.B. Molecular Reactions and Ultrastructural Damage in the Chronically Ischemic Bladder. J. Urol. 2011, 186, 2115–2122. [Google Scholar] [CrossRef]
- Lin, W.-Y.; Levin, R.M.; Chichester, P.; Leggett, R.; Juan, Y.-S.; Johnson, A.; Neumann, P.; Whitbeck, C.; Guven, A.; Kogan, B.; et al. Effects ofl-arginine andl-NAME on chronic partial bladder outlet obstruction in rabbit. Am. J. Physiol. Regul. Integr. Comp. Physiol. 2007, 293, R2390–R2399. [Google Scholar] [CrossRef][Green Version]
- Stefanska, A.; Bergmann, K.; Sypniewska, G. Metabolic syndrome and menopause: Pathophysiology, clinical and diagnostic significance. Adv. Clin. Chem. 2015, 72, 1–75. [Google Scholar] [CrossRef]
- Alberti, K.G.; Eckel, R.H.; Grundy, S.M.; Zimmet, P.Z.; Cleeman, J.I.; Donato, K.A.; Fruchart, J.C.; James, W.P.T.; Loria, C.M.; Smith, S.C., Jr. Harmonizing the metabolic syndrome: A joint interim statement of the international diabetes federation task force on epidemiology and prevention; National heart, lung, and blood institute; American heart association; World heart federation; International Atherosclerosis Society; and International Association for the Study of Obesity. Circulation 2009, 120, 1640–1645. [Google Scholar] [CrossRef] [PubMed]
- Misitzis, A.; Cunha, P.R.; Kroumpouzos, G. Skin disease related to metabolic syndrome in women. Int. J. Women’s Dermatol. 2019, 5, 205–212. [Google Scholar] [CrossRef] [PubMed]
- Chung, S.-D.; Chien, C.-T.; Yu, H.-J. Alterations in peripheral purinergic and muscarinic signaling of rat bladder after long-term fructose-induced metabolic syndrome. Eur. J. Nutr. 2013, 52, 347–359. [Google Scholar] [CrossRef] [PubMed]
- Brand, J.S.; van der Tweel, I.; Grobbee, D.E.; Emmelot-Vonk, M.H.; van der Schouw, Y.T. Testosterone, sex hormone-binding globulin and the metabolic syndrome: A systematic review and meta-analysis of observational studies. Int. J. Epidemiol. 2011, 40, 189–207. [Google Scholar] [CrossRef]
- Torréns, J.I.; Sutton-Tyrrell, K.; Zhao, X.; Matthews, K.; Brockwell, S.; Sowers, M.; Santoro, N. Relative androgen excess during the menopausal transition predicts incident metabolic syndrome in midlife women: Study of Women’s Health Across the Nation. Menopause 2009, 16, 257–264. [Google Scholar] [CrossRef]
- Chang, J.-W.; Liao, C.-H.; Huang, C.L.-C.; Wu, M.-P. The reciprocal impacts of lower urinary tract symptoms (LUTS) on mental illness. Urol. Sci. 2024, 35, 19–23. [Google Scholar] [CrossRef]
- Burnett, A.L. Nitric oxide control of lower genitourinary tract functions: A review. Urology 1995, 45, 1071–1083. [Google Scholar] [CrossRef]
- Munoz, A.; Smith, C.P.; Boone, T.B.; Somogyi, G.T. Overactive and underactive bladder dysfunction is reflected by alterations in urothelial ATP and NO release. Neurochem. Int. 2011, 58, 295–300. [Google Scholar] [CrossRef]
- Nakanishi, K.; Vinten-Johansen, J.; Lefer, D.J.; Zhao, Z.; Fowler, W.C., 3rd; McGee, D.S.; Johnston, W.E. Intracoronary L-arginine during reperfusion improves endothelial function and reduces infarct size. Am. J. Physiol. Circ. Physiol. 1992, 263, H1650–H1658. [Google Scholar] [CrossRef]
- Nonami, Y. The role of nitric oxide in cardiac surgery. Surg. Today 1997, 27, 583–592. [Google Scholar] [CrossRef]
- Wang, Q.-D.; Morcos, E.; Wiklund, P.; Pernow, J. L-Arginine Enhances Functional Recovery and Ca2+-Dependent Nitric Oxide Synthase Activity After Ischemia and Reperfusion in the Rat Heart. J. Cardiovasc. Pharmacol. 1997, 29, 291–296. [Google Scholar] [CrossRef] [PubMed]
- Morrissey, J.J.; Ishidoya, S.; McCracken, R.; Klahr, S. Nitric oxide generation ameliorates the tubulointerstitial fibrosis of obstructive nephropathy. J. Am. Soc. Nephrol. 1996, 7, 2202–2212. [Google Scholar] [CrossRef] [PubMed]
- Whitbeck, C.; Chichester, P.; Sokol, R.; Levin, R.M. Role of Nitric Oxide in Urinary Bladder Function: Effect of L-Arginine. Urol. Int. 2007, 78, 30–36. [Google Scholar] [CrossRef]
- Saito, M.; Miyagawa, I. NG-nitro-L-arginine methylester, a nitric oxide synthase inhibitor, diminishes apoptosis induced by ischemia-reperfusion in the rat bladder. Neurourol. Urodyn. 2002, 21, 566–571. [Google Scholar] [CrossRef]
- Nomiya, M.; Andersson, K.; Yamaguchi, O. Chronic bladder ischemia and oxidative stress: New pharmacotherapeutic targets for lower urinary tract symptoms. Int. J. Urol. 2015, 22, 40–46. [Google Scholar] [CrossRef]
- Alexandre, E.C.; Calmasini, F.B.; de Oliveira, M.G.; Silva, F.H.; da Silva, C.P.V.; André, D.M.; Leonardo, F.C.; Delbin, M.A.; Antunes, E. Chronic treatment with resveratrol improves overactive bladder in obese mice via antioxidant activity. Eur. J. Pharmacol. 2016, 788, 29–36. [Google Scholar] [CrossRef]
- Leiria, L.O.; Silva, F.H.; Davel, A.P.C.; Alexandre, E.C.; Calixto, M.C.; De Nucci, G.; Mónica, F.Z.; Antunes, E. The Soluble Guanylyl Cyclase Activator BAY 60-2770 Ameliorates Overactive Bladder in Obese Mice. J. Urol. 2014, 191, 539–547. [Google Scholar] [CrossRef] [PubMed]
- Furukawa, S.; Fujita, T.; Shimabukuro, M.; Iwaki, M.; Yamada, Y.; Nakajima, Y.; Nakayama, O.; Makishima, M.; Matsuda, M.; Shimomura, I. Increased oxidative stress in obesity and its impact on metabolic syndrome. J. Clin. Investig. 2004, 114, 1752–1761. [Google Scholar] [CrossRef]
- He, Q.; Wang, Z.; Liu, G.; Daneshgari, F.; MacLennan, G.T.; Gupta, S. Metabolic syndrome, inflammation and lower urinary tract symptoms: Possible translational links. Prostate Cancer Prostatic Dis. 2016, 19, 7–13. [Google Scholar] [CrossRef]
- Peyronnet, B.; Mironska, E.; Chapple, C.; Cardozo, L.; Oelke, M.; Dmochowski, R.; Amarenco, G.; Gamé, X.; Kirby, R.; Van Der Aa, F.; et al. A Comprehensive Review of Overactive Bladder Pathophysiology: On the Way to Tailored Treatment. Eur. Urol. 2019, 75, 988–1000. [Google Scholar] [CrossRef]
- Wu, Y.-H.; Chueh, K.-S.; Chuang, S.-M.; Long, C.-Y.; Lu, J.-H.; Juan, Y.-S. Bladder Hyperactivity Induced by Oxidative Stress and Bladder Ischemia: A Review of Treatment Strategies with Antioxidants. Int. J. Mol. Sci. 2021, 22, 6014. [Google Scholar] [CrossRef] [PubMed]
- Tsai, T.-N.; Lin, W.-S.; Wu, C.-H.; Lin, W.-Y.; Chu, K.-M.; Cheng, C.-C.; Hsu, C.-H.; Tsai, W.-C.; Cheng, S.-M.; Yang, S.-P. Activation of Krüppel-Like Factor 2 with Ginkgo Biloba Extract Induces eNOS Expression and Increases NO Production in Cultured Human Umbilical Endothelial Cells. Acta Cardiol. Sin. 2014, 30, 215–222. [Google Scholar] [PubMed]
- Varejckova, M.; Gallardo-Vara, E.; Vicen, M.; Vitverova, B.; Fikrova, P.; Dolezelova, E.; Rathouska, J.; Prasnicka, A.; Blazickova, K.; Micuda, S.; et al. Soluble endoglin modulates the pro-inflammatory mediators NF-κB and IL-6 in cultured human endothelial cells. Life Sci. 2017, 175, 52–60. [Google Scholar] [CrossRef]
- Li, Q.; Chen, Y.; Zhang, X.; Zuo, S.; Ge, H.; Chen, Y.; Liu, X.; Zhang, J.H.; Ruan, H.; Feng, H. Scutellarin attenuates vasospasm through the Erk5-KLF2-eNOS pathway after subarachnoid hemorrhage in rats. J. Clin. Neurosci. 2016, 34, 264–270. [Google Scholar] [CrossRef] [PubMed]
- Förstermann, U.; Sessa, W.C. Nitric oxide synthases: Regulation and function. Eur. Heart, J. 2012, 33, 829–837. [Google Scholar] [CrossRef]
- Tengan, C.H.; Rodrigues, G.S.; Godinho, R.O. Nitric Oxide in Skeletal Muscle: Role on Mitochondrial Biogenesis and Function. Int. J. Mol. Sci. 2012, 13, 17160–17184. [Google Scholar] [CrossRef]
- Kone, B.C.; Kuncewicz, T.; Zhang, W.; Yu, Z.-Y. Protein interactions with nitric oxide synthases: Controlling the right time, the right place, and the right amount of nitric oxide. Am. J. Physiol. Renal. Physiol. 2003, 285, F178–F190. [Google Scholar] [CrossRef]
- Förstermann, U.; Closs, E.I.; Pollock, J.S.; Nakane, M.; Schwarz, P.; Gath, I.; Kleinert, H. Nitric oxide synthase isozymes. Characterization, purification, molecular cloning, and functions. Hypertension 1994, 23, 1121–1131. [Google Scholar] [CrossRef]
- Heinonen, I.; Saltin, B.; Hellsten, Y.; Kalliokoski, K.K. The effect of nitric oxide synthase inhibition with and without inhibition of prostaglandins on blood flow in different human skeletal muscles. Eur. J. Appl. Physiol. 2017, 117, 1175–1180. [Google Scholar] [CrossRef]
- Birder, L.A.; de Groat, W.C. Mechanisms of Disease: Involvement of the urothelium in bladder dysfunction. Nat. Clin. Pract. Urol. 2007, 4, 46–54. [Google Scholar] [CrossRef]
- Mondal, S.; Agarwal, N.; Pal, D.K. Comparative study of tamsulosin, tadalafil, and combination of tamsulosin with tadalafil in the treatment of patients with lower urinary tract symptoms. Urol. Sci. 2024, 35, 90–94. [Google Scholar] [CrossRef]
- Wu, M.; Lam, K.; Lee, W.; Hsu, K.; Wu, C.; Cheng, B.; Ng, H.; Chi, P.; Lee, Y.; Lee, C. Albuminuria, Proteinuria, and Urinary Albumin to Protein Ratio in Chronic Kidney Disease. J. Clin. Lab. Anal. 2012, 26, 82–92. [Google Scholar] [CrossRef] [PubMed]
- Iwata, A.; Miura, S.-I.; Nishikawa, H.; Kawamura, A.; Matsuo, Y.; Sako, H.; Kumagai, K.; Matsuo, K.; Saku, K. Significance of combined angiotensin II receptor blocker and carvedilol therapy in patients with congestive heart failure and arginine variant. J Cardiol. 2006, 47, 1–7. [Google Scholar] [PubMed]
- Cannon, T.W.; Damaser, M.S. Effects of anesthesia on cystometry and leak point pressure of the female rat. Life Sci. 2001, 69, 1193–1202. [Google Scholar] [CrossRef]











| Control | MetS | Mets + L-Arginine | MetS + L-NAME | OVX + MetS | OVX + MetS + L-Arginine | OVX + MetS + L-NAME | |
|---|---|---|---|---|---|---|---|
| No. rats | 15 | 15 | 12 | 12 | 15 | 12 | 12 |
| Serum estradiol conc. (pg/mL) before OVX | 40.1 ± 7.5 | 39.8 ± 4.5 | 38.9 ± 5.4 | 38.6 ± 6.0 | 38.2 ± 5.3 | 36.9 ± 6.2 | 38.8 ± 4.6 |
| Serum estradiol conc. (pg/mL) after OVX | 44.8 ± 8.5 | 43.5 ± 7.1 | 36.6 ± 5.7 | 38.4 ± 7.4 | 18.9 ± 2.1 ** | 19.6 ± 3.3 ** | 20.3 ± 3.9 ** |
| Serum testosterone conc. (pg/mL) before OVX | 60.1 ± 4.5 | 57.8 ± 4.5 | 58.9 ± 5.4 | 58.6 ± 6.0 | 58.2 ± 5.3 | 56.9 ± 6.2 | 60.8 ± 4.6 |
| Serum testosterone conc. (pg/mL) after OVX | 61.2 ± 10.9 | 67.2 ± 13.6 | 64.8 ± 12.2 | 61.4 ± 9.9 | 35.0 ± 4.7 ** | 36.4 ± 9.3 ** | 33.2 ± 4.7 ** |
| Physical indicator | |||||||
| Water intake (mL/24 h) | 29.0 ± 2.6 | 34.2 ± 4.8 | 37.3 ± 2.5 | 28.6 ± 3.4 | 26.0 ± 4.2 | 25.0 ± 3.0 | 20.8 ± 3.1 |
| Urine output (mL/24 h) | 16.2 ± 1.7 | 17.5 ± 2.3 | 20.8 ± 1.9 | 19.0 ± 3.2 | 16.2 ± 1.9 | 17.1 ± 1.6 | 14.0 ± 3.9 |
| Body weight (gm) | 389.3 ± 52.7 | 525.9 ± 77.2 ** | 451.4 ± 56.7 * †† | 500.7 ± 62.4 ** | 681.8 ± 65.0 ** | 518.1 ± 50.4 ** # | 692.8 ± 74.8 ** |
| Bladder weight (mg) | 155.3 ± 18.0 | 163.9 ± 34.3 | 165.8 ± 18.8 ** | 186.7 ± 22.2 | 188.2 ± 38.0 | 180.5 ± 30.2 ** | 181.1 ± 42.2 ** |
| The ratio of bladder weight (mg)/body weight (g) | 0.41 ± 0.09 | 0.31 ± 0.06 * | 0.37 ± 0.07 † | 0.34 ± 0.06 | 0.27 ± 0.07 ** | 0.35 ± 0.08 | 0.26 ± 0.07 ** |
| Waist circumference (cm) | 18.5 ± 1.1 | 22.1 ± 2.8 * | 21.7 ± 1.6 * | 21.7 ± 1.6 * | 26.4 ± 2.5 ** | 22.2 ± 1.3 * | 24.5 ± 2.8 ** |
| Systolic pressure (mmHg) | 113.1 ± 7.9 | 127.2 ± 8.6 * | 118.8 ± 16.0 | 136.2 ± 21.5 ** † | 131.7 ± 8.5 ** | 118.2 ± 10.0 | 139.2 ± 12.1 ** # |
| Diastolic pressure (mmHg) | 88.0 ± 5.0 | 97.6 ± 4.7 * | 93.3 ± 15.0 | 118.2 ± 17.8 ** † | 98.7 ± 5.2 * | 91.9 ± 6.4 | 118.2 ± 17.8 ** # |
| MAP (mmHg) | 96.4 ± 4.8 | 107.4 ± 5.6 * | 101.8 ± 15.0 | 124.2 ± 19.0 ** †† | 109.7 ± 5.9 ** | 100.7 ± 7.0 | 125.2 ± 15.5 ** # |
| Serum biochemistry | |||||||
| Creatinine (mg/dL) | 0.35 ± 0.06 | 0.47 ± 0.09 * | 0.31 ± 0.03 | 0.42 ± 0.05 * | 0.49 ± 0.09 ** | 0.43 ± 0.07 * | 0.48 ± 0.03 ** |
| Insulin (Bayer) (mU/L) | 0.50 ± 0.04 | 0.60 ± 0.08 | 0.54 ± 0.07 | 0.55 ± 0.04 | 0.62± 0.05 | 0.55 ± 0.05 | 0.61 ± 0.07 |
| LDH (U/L) | 157.0 ± 15.9 | 1433.0 ± 50.8 ** | 455.0 ± 60.3 ** †† | 1834.9 ± 31.3 ** †† | 2373.0 ± 63.3 ** | 585.5 ± 87.7 ** ## | 3152.5 ± 181.2 ** ## |
| ALK-P (U/L) | 63.5 ± 4.6 | 164.5 ± 51.5 ** | 102.9 ± 21.0 ** †† | 182.7 ± 13.8 ** † | 280.8 ± 54.0 ** | 165.2 ± 31.7 ** ## | 278.5 ± 47.9 ** |
| The ratio of ALK-P/LDH | 0.40 ± 0.10 | 0.11 ± 0.03 ** | 0.22 ± 0.06 ** †† | 0.10 ± 0.03 ** | 0.11 ± 0.02 ** | 0.28 ± 0.05 ** ## | 0.08 ± 0.02 ** # |
| Urine parameters | |||||||
| Glucose (mg/dL) | 0 | 0 | 0 | 0 | 15.6 ± 5.2 ** | 9.7 ± 2.9 ** # | 16.6 ± 2.4 ** |
| Urine protein (mg/dL) | 16.5 ± 1.8 | 73.0 ± 9.3 ** | 38.7 ± 4.6 ** † | 107.3 ± 28.8 ** † | 74.6 ± 17.7 ** | 40.7 ± 11.3 ** ## | 90.6 ± 19.2 ** |
| The ratio of urine protein/creatinine | 5.4 ± 2.0 | 49.2 ± 10.8 ** | 21.7 ± 5.3 ** † | 37.7 ± 5.5 ** | 70.2 ± 12.8 ** | 29.9 ± 5.7 ** ## | 65.8 ± 13.4 ** |
| CCR (mL/min) | 1.21 ± 0.42 | 0.72 ± 0.11 ** | 1.41 ± 0.36 †† | 0.71 ± 0.16 ** | 0.59 ± 0.18 ** | 1.58 ± 0.08 ** ## | 0.54 ± 0.17 ** |
| Urodynamic parameters | |||||||
| Frequency (No. voids/24 h) | 12.3 ± 2.3 | 26.6 ± 4.1 ** | 18.9 ± 3.2 * † | 29.3 ± 5.7 ** | 24.4 ± 3.6 ** | 17.9 ± 2.6 * # | 22.3 ± 4.1 ** |
| Peak micturition pressure (cmH2O) | 33.4 ± 4.6 | 51.8 ± 7.1 ** | 38.6 ± 5.9 †† | 53.4 ± 8.2 ** | 53.0 ± 9.5 ** | 43.3 ± 6.3 * # | 58.9 ± 8.3 ** |
| Voided volume (mL) | 1.56 ± 0.37 | 0.63 ± 0.18 ** | 1.37 ± 0.44 †† | 0.65 ± 0.18 ** | 0.64 ± 0.16 ** | 1.06 ± 0.10 * # | 0.54 ± 0.14 ** |
| No. non-voiding contractions between micturition (No./hr) | 0 | 0.87 ± 0.22 * | 0 † | 0.98 ± 0.26 * | 2.79 ± 0.66 ** | 0.85 ± 0.31 * # | 2.67 ± 0.43 ** |
Disclaimer/Publisher’s Note: The statements, opinions and data contained in all publications are solely those of the individual author(s) and contributor(s) and not of MDPI and/or the editor(s). MDPI and/or the editor(s) disclaim responsibility for any injury to people or property resulting from any ideas, methods, instructions or products referred to in the content. |
© 2024 by the authors. Licensee MDPI, Basel, Switzerland. This article is an open access article distributed under the terms and conditions of the Creative Commons Attribution (CC BY) license (https://creativecommons.org/licenses/by/4.0/).
Share and Cite
Lin, H.-Y.; Lu, J.-H.; Lin, R.-J.; Chueh, K.-S.; Juan, T.-J.; Mao, J.-W.; Lee, Y.-C.; Chuang, S.-M.; Shen, M.-C.; Sun, T.-W.; et al. Effects of Nitric Oxide on Bladder Detrusor Overactivity through the NRF2 and HIF-1α Pathways: A Rat Model Induced by Metabolic Syndrome and Ovarian Hormone Deficiency. Int. J. Mol. Sci. 2024, 25, 11103. https://doi.org/10.3390/ijms252011103
Lin H-Y, Lu J-H, Lin R-J, Chueh K-S, Juan T-J, Mao J-W, Lee Y-C, Chuang S-M, Shen M-C, Sun T-W, et al. Effects of Nitric Oxide on Bladder Detrusor Overactivity through the NRF2 and HIF-1α Pathways: A Rat Model Induced by Metabolic Syndrome and Ovarian Hormone Deficiency. International Journal of Molecular Sciences. 2024; 25(20):11103. https://doi.org/10.3390/ijms252011103
Chicago/Turabian StyleLin, Hung-Yu, Jian-He Lu, Rong-Jyh Lin, Kuang-Shun Chueh, Tai-Jui Juan, Jing-Wen Mao, Yi-Chen Lee, Shu-Mien Chuang, Mei-Chen Shen, Ting-Wei Sun, and et al. 2024. "Effects of Nitric Oxide on Bladder Detrusor Overactivity through the NRF2 and HIF-1α Pathways: A Rat Model Induced by Metabolic Syndrome and Ovarian Hormone Deficiency" International Journal of Molecular Sciences 25, no. 20: 11103. https://doi.org/10.3390/ijms252011103
APA StyleLin, H.-Y., Lu, J.-H., Lin, R.-J., Chueh, K.-S., Juan, T.-J., Mao, J.-W., Lee, Y.-C., Chuang, S.-M., Shen, M.-C., Sun, T.-W., & Juan, Y.-S. (2024). Effects of Nitric Oxide on Bladder Detrusor Overactivity through the NRF2 and HIF-1α Pathways: A Rat Model Induced by Metabolic Syndrome and Ovarian Hormone Deficiency. International Journal of Molecular Sciences, 25(20), 11103. https://doi.org/10.3390/ijms252011103

