Development of a Rapid Detection Method for Ethylene Glycol and Glycolic Acid in Feline Samples: A Response to Increasing Antifreeze Poisoning Incidents in Korea
Abstract
1. Introduction
2. Results
2.1. Analysis of Ethylene Glycol Using GC-MS
2.2. Analysis of Glycolic Acid Using LC-MS/MS
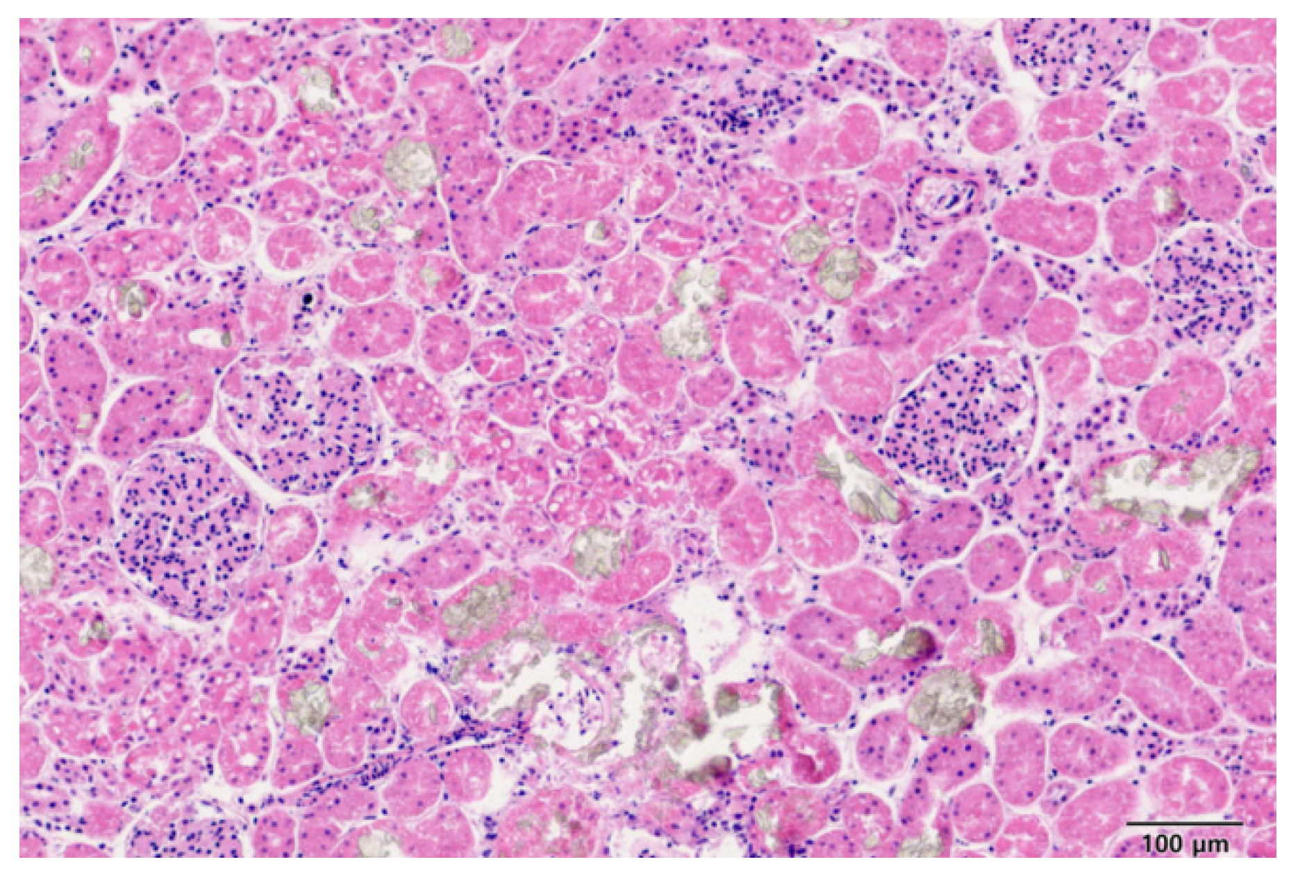
2.3. Analysis of Samples Suspected to Be Exposed to Antifreeze
3. Discussion
4. Materials and Methods
4.1. Reagents and Chemicals
4.2. Sample Preparation for Mass Spectrometry Analysis
4.3. GC-MS Method
4.4. LC-MS/MS Method
4.5. Validation of GC-MS and LC-MS/MS Methods
4.6. Forensic Examination [Necropsy and H&E Staining]
4.7. Biomarker Test Using PCR
Author Contributions
Funding
Informed Consent Statement
Data Availability Statement
Conflicts of Interest
References
- Patočka, J.; Hon, Z. Ethylene glycol, hazardous substance in the household. Acta Med. 2010, 53, 19–23. [Google Scholar] [CrossRef] [PubMed]
- Lovrić, M.; Granić, P.; Cubrilo-Turek, M.; Lalić, Z.; Sertić, J. Ethylene glycol poisoning. Forensic Sci. Int. 2007, 170, 213–215. [Google Scholar] [CrossRef] [PubMed]
- Jammalamadaka, D.; Raissi, S. Ethylene Glycol, Methanol and Isopropyl Alcohol Intoxication. Am. J. Med. Sci. 2010, 339, 276–281. [Google Scholar] [CrossRef] [PubMed]
- Schweighauser, A.; Francey, T. Ethylene glycol poisoning in three dogs: Importance of early diagnosis and role of hemodialysis as a treatment option. Schweiz. Arch. Tierheilkd. 2016, 158, 109–114. [Google Scholar] [CrossRef] [PubMed]
- Hložek, T.; Bursová, M.; Čabala, R. Simultaneous and Cost-Effective Determination of Ethylene Glycol and Glycolic Acid in Human Serum and Urine for Emergency Toxicology by GC-MS. Clin. Biochem. 2015, 48, 189–191. [Google Scholar] [CrossRef] [PubMed]
- Williams, R.H.; Shah, S.M.; Maggiore, J.A.; Erickson, T.B. Simultaneous detection and quantitation of diethylene glycol, ethylene glycol, and the toxic alcohols in serum using capillary column gas chromatography. J. Anal. Toxicol. 2000, 24, 621–626. [Google Scholar] [CrossRef] [PubMed][Green Version]
- Tuero, G.; González, J.; Sahuquillo, L.; Freixa, A.; Gomila, I.; Elorza, M.Á.; Barceló, B. Value of glycolic acid analysis in ethylene glycol poisoning: A clinical case report and systematic review of the literature. Forensic Sci. Int. 2018, 290, e9–e14. [Google Scholar] [CrossRef] [PubMed]
- Montagnac, R.; Thouvenin, M.; Luxey, G.; Schendel, A.; Parent, X. La cristallurie dans l’intoxication à l’éthylène glycol [Crystalluria in ethylene glycol intoxication. Nephrol. Ther. 2014, 10, 475–477. [Google Scholar] [CrossRef] [PubMed]
- Eder, A.F.; McGrath, C.M.; Dowdy, Y.G.; Tomaszewski, J.E.; Rosenberg, F.M.; Wilson, R.B.; Wolf, B.A.; Shaw, L.M. Ethylene glycol poisoning: Toxicokinetic and analytical factors affecting laboratory diagnosis. Clin. Chem. 1998, 44, 168–177. [Google Scholar] [CrossRef] [PubMed]
- Henderson, W.R.; Brubacher, J. Methanol and ethylene glycol poisoning: A case study and review of current literature. Can. J. Emerg. Med. 2002, 4, 34–40. [Google Scholar] [CrossRef] [PubMed]
- Amoroso, L.; Cocumelli, C.; Bruni, G.; Brozzi, A.; Tancredi, F.; Grifoni, G.; Mastromattei, A.; Meoli, R.; Di Guardo, G.; Eleni, C. Ethylene glycol toxicity: A retrospective pathological study in cats. Vet. Ital. 2017, 53, 251–254. [Google Scholar] [PubMed]
- Jacobsen, D.; Hewlett, T.P.; Webb, R.; Brown, S.T.; Ordinario, A.T.; McMartin, K.E. Ethylene glycol intoxication: Evaluation of kinetics and crystalluria. Am. J. Med. 1988, 84, 145–152. [Google Scholar] [CrossRef] [PubMed]
- McQuade, D.J.; Dargan, P.I.; Wood, D.M. Challenges in the diagnosis of ethylene glycol poisoning. Ann. Clin. Biochem. 2014, 51, 167–178. [Google Scholar] [CrossRef] [PubMed]
- Kraut, J.A.; Kurtz, I. Toxic alcohol ingestions: Clinical features, diagnosis, and management. Clin. J. Am. Soc. Nephrol. 2008, 3, 208–225. [Google Scholar] [CrossRef] [PubMed]
- Tusiewicz, K.; Wachełko, O.; Zawadzki, M.; Szpot, P. Novel technique for simultaneous ethylene glycol and its metabolites determination in human whole blood and urine samples using GC–QqQ–MS/MS. J. Xenobiot. 2024, 14, 1143–1164. [Google Scholar] [CrossRef] [PubMed]
- Hong, H.; Li, W.; Li, X.; Huang, B.; Shi, D. Determination of glycolic acid in natural seawater by liquid chromatography coupled with triple quadrupole mass spectrometry. Limnol. Oceanogr. Methods 2017, 15, 631–641. [Google Scholar] [CrossRef]
- Dziadosz, M. Direct analysis of ethylene glycol in human serum on the basis of analyte adduct formation and liquid chroma-tography–tandem mass spectrometry. J. Chromatogr. B Analyt. Technol. Biomed. Life Sci. 2018, 1072, 100–104. [Google Scholar] [CrossRef] [PubMed]
- Hossain, M.A.; Pervin, R.; Park, N.H.; Kang, J.W.; Lee, K.J.; Suh, J.W.; Park, S.C. Development of a simple and sensitive HPLC method for the determination of rifaximin in serum and its application. Indian J. Pharm. Sci. 2018, 80, 1108–1114. [Google Scholar] [CrossRef]
- Thrall, M.A.; Grauer, G.F.; Mero, K.N. Clinicopathologic findings in dogs and cats with ethylene glycol intoxication. J. Am. Med. Assoc. 1984, 184, 37–41. [Google Scholar] [PubMed]
- Merck Veterinary Manual. Ethylene Glycol Toxicosis in Animals. Available online: https://www.msdvetmanual.com/toxicology/ethylene-glycol-toxicosis/ethylene-glycol-toxicosis-in-animals (accessed on 5 February 2024).
- Liu, Z.; Jiang, H.; Yang, J.; Wang, T.; Ding, Y.; Liu, J.; Wang, S.; Ye, Z. Analysis of altered microRNA expression profiles in the kidney tissues of ethylene glycol-induced hyperoxaluric rats. Mol. Med. Rep. 2016, 14, 4650–4658. [Google Scholar] [CrossRef] [PubMed]




| Compound Name | Calibration Curve (ng/mL) | r2 | LOD (ng/mL) | LOQ (ng/mL) | Recovery (%) | RSD (%) |
|---|---|---|---|---|---|---|
| Ethylene glycol | 50–1000 | 0.99 | 25 | 100 | 83.05–91.73 | 0.41–0.96 |
| Glycolic acid | 10–200 | 0.99 | 5 | 20 | 80.92–95.30 | 0.81–1.34 |
| Case | Sample Characteristics | Analytes | Concentration (µg/mL) | Other Relevant Findings | ||
|---|---|---|---|---|---|---|
| Gastric Tissue | Liver Tissue | RENAL TISSUE | ||||
| 1 | Age: - Sex: Male Weight: 3.23 kg Location: Suwon | EG | 82 | 69 | 67 | Upper GI tract bleeding, mild calcium oxalate crystals within the kidneys |
| GA | 27 | 29 | 28 | |||
| 2 | Age: - Sex: Female Weight: 4.8 kg Location: Seoul | EG | 572 | 395 | 367 | Calcium oxalate crystals within the kidneys |
| GA | 59 | 41 | 46 | |||
| 3 | Age: - Sex: Female, Weight: 4.6 kg Location: Seoul | EG | 590 | 473 | 359 | Calcium oxalate crystals within the kidneys |
| GA | 98 | 62 | 53 | |||
| 4 | Age: - Sex: Male Weight: 4.2 kg Location: Seoul | EG | 541 | 313 | 410 | Calcium oxalate crystals within the kidneys |
| GA | 43 | 50 | 55 | |||
| 5 | Age: - Sex: Female Weight: 3.1 kg Location: Gimcheon | EG | 497 | 387 | 340 | Calcium oxalate crystals within the kidneys |
| GA | 40 | 51 | 42 | |||
Disclaimer/Publisher’s Note: The statements, opinions and data contained in all publications are solely those of the individual author(s) and contributor(s) and not of MDPI and/or the editor(s). MDPI and/or the editor(s) disclaim responsibility for any injury to people or property resulting from any ideas, methods, instructions or products referred to in the content. |
© 2024 by the authors. Licensee MDPI, Basel, Switzerland. This article is an open access article distributed under the terms and conditions of the Creative Commons Attribution (CC BY) license (https://creativecommons.org/licenses/by/4.0/).
Share and Cite
Chae, H.; Byun, J.W.; Shin, G.-E.; Lee, K.H.; Kim, A.-Y.; Ku, B.-K.; Hossain, M.A.; Kim, T.-W.; Kang, J. Development of a Rapid Detection Method for Ethylene Glycol and Glycolic Acid in Feline Samples: A Response to Increasing Antifreeze Poisoning Incidents in Korea. Int. J. Mol. Sci. 2024, 25, 11030. https://doi.org/10.3390/ijms252011030
Chae H, Byun JW, Shin G-E, Lee KH, Kim A-Y, Ku B-K, Hossain MA, Kim T-W, Kang J. Development of a Rapid Detection Method for Ethylene Glycol and Glycolic Acid in Feline Samples: A Response to Increasing Antifreeze Poisoning Incidents in Korea. International Journal of Molecular Sciences. 2024; 25(20):11030. https://doi.org/10.3390/ijms252011030
Chicago/Turabian StyleChae, HyunYoung, Jae Won Byun, Go-Eun Shin, Kyung Hyun Lee, Ah-Young Kim, Bok-Kyung Ku, Md Akil Hossain, Tae-Wan Kim, and JeongWoo Kang. 2024. "Development of a Rapid Detection Method for Ethylene Glycol and Glycolic Acid in Feline Samples: A Response to Increasing Antifreeze Poisoning Incidents in Korea" International Journal of Molecular Sciences 25, no. 20: 11030. https://doi.org/10.3390/ijms252011030
APA StyleChae, H., Byun, J. W., Shin, G.-E., Lee, K. H., Kim, A.-Y., Ku, B.-K., Hossain, M. A., Kim, T.-W., & Kang, J. (2024). Development of a Rapid Detection Method for Ethylene Glycol and Glycolic Acid in Feline Samples: A Response to Increasing Antifreeze Poisoning Incidents in Korea. International Journal of Molecular Sciences, 25(20), 11030. https://doi.org/10.3390/ijms252011030

