Transcriptomic Analysis of the Response of the Dioryctria abietella Larva Midgut to Bacillus thuringiensis 2913 Infection
Abstract
1. Introduction
2. Results
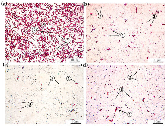
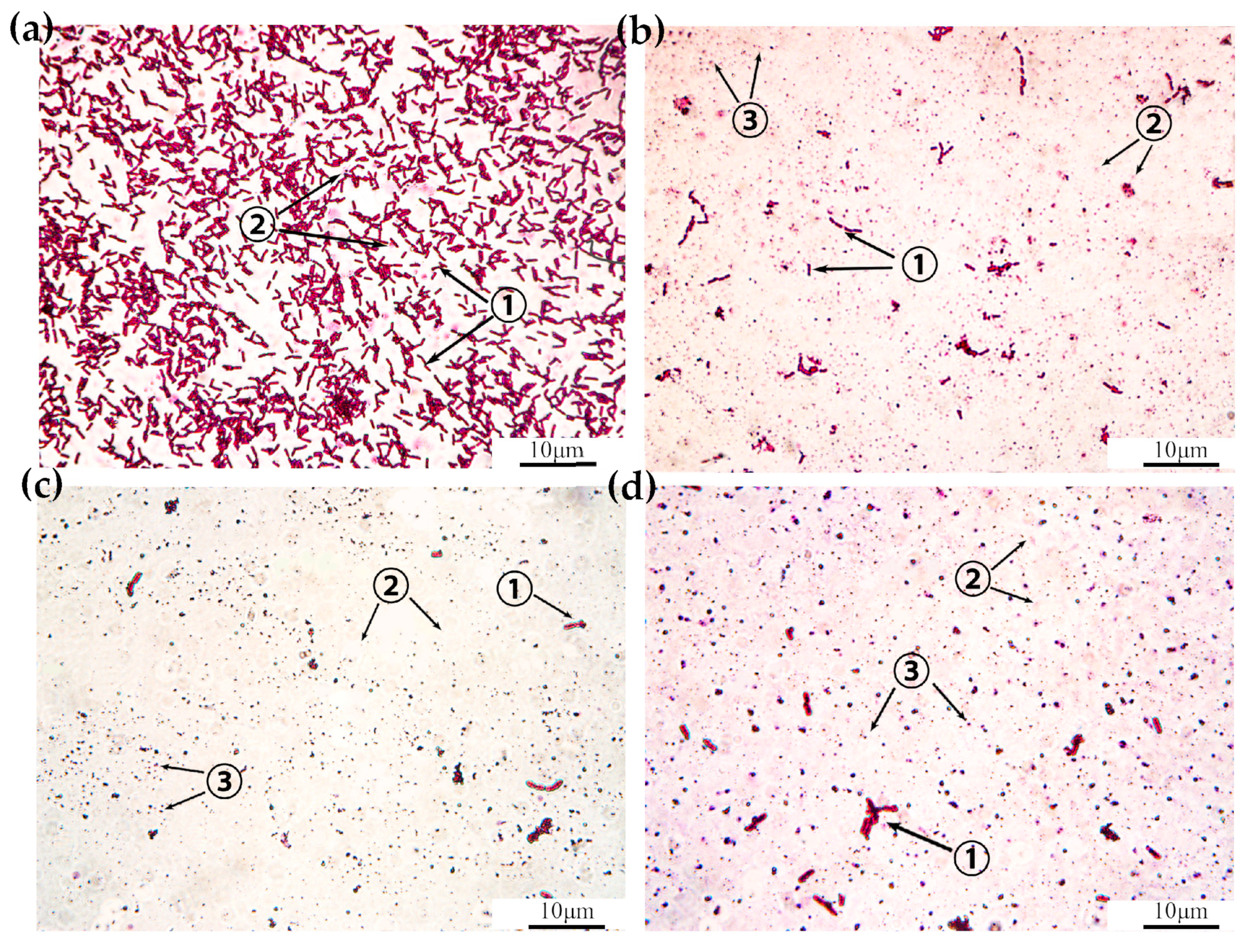
2.1. Identification of the Genotype of Bt 2913 and Its Parasporal Crystal Metabolism
2.2. Transcriptome in the Midgut Tissue of D. abietella Larvae in the Context of Bt 2913 Infection
2.3. Analysis of Differentially Expressed Genes (DEGs) in the Midgut Tissues of Bt 2913-Treated D. abietella Larvae at Different Time Points
2.4. Identification of Genes Associated with the Response to Bt 2913 Infection in the Midgut Tissue of D. abietella Larvae
2.4.1. Expression of Midgut Proteases Involved in Bt Toxin Activation
2.4.2. Expression of Potential Receptor Proteins for Bt Toxin
2.4.3. Expression of Metabolic Detoxification Genes and 60S Ribosomal Proteins
2.4.4. Expression of Genes Related to the Immune Defense Response
2.5. Bioinformatic Analysis of Zonadhesin and Three Detoxification Enzymes in D. abietella
2.6. Verification of Real-Time Fluorescence Quantitative PCR (qRT-PCR)
3. Discussion
3.1. Mechanism of Action of Bt 2913 on D. abietella Larvae
3.2. Metabolic Detoxification and Immune Defense of D. abietella Larvae in Response to Bt 2913
4. Materials and Methods
4.1. Identification of the Genotype of Bacillus thuringiensis 2913 and Its Crystal Metabolism
4.2. Experimental Insect Rearing and Sample Preparation
4.3. RNA Extraction, Library Construction, and Sequencing
4.4. De Novo Assembly and Sequence Annotation
4.5. Differential Expression of Genes in the Midgut Tissues of Bt 2913-Treated D. abietella Larvae at Different Time Points
4.6. Screening of Genes Associated with the Response of D. abietella Larvae to Bt 2913 Infection in Midgut Tissue
4.7. Bioinformatic Analysis of Zonadhesin and Three Detoxification Enzymes
4.8. Validation by Real-Time Fluorescence Quantitative PCR (qRT-PCR)
5. Conclusions
Supplementary Materials
Author Contributions
Funding
Institutional Review Board Statement
Informed Consent Statement
Data Availability Statement
Acknowledgments
Conflicts of Interest
References
- Gupta, M.; Kumar, H.; Kaur, S. Vegetative Insecticidal Protein (Vip): A Potential Contender from Bacillus thuringiensis for Efficient Management of Various Detrimental Agricultural Pests. Front. Microbiol. 2021, 12, 659736. [Google Scholar] [CrossRef] [PubMed]
- Xiao, Y.; Wu, K. Recent progress on the interaction between insects and Bacillus thuringiensis crops. Philos. Trans. R. Soc. B 2019, 374, 20180316. [Google Scholar] [CrossRef]
- Libardoni, G.; Neves, P.M.O.J.; Abati, R.; Sampaio, A.R.; Costa-Maia, F.M.; de Souza Vismara, E.; Lozano, E.R.; Potrich, M. Possible interference of Bacillus thuringiensis in the survival and behavior of Africanized honey bees (Apis mellifera). Sci. Rep. 2021, 11, 3482. [Google Scholar] [CrossRef]
- El-Gaied, L.; Mahmoud, A.; Salem, R.; Elmenofy, W.; Saleh, I.; Abulreesh, H.H.; Arif, I.A.; Osman, G. Characterization, cloning, expression and bioassay of vip3 gene isolated from an Egyptian Bacillus thuringiensis against whiteflies. Saudi J. Biol. Sci. 2020, 27, 1363–1367. [Google Scholar] [CrossRef] [PubMed]
- González-Ponce, K.S.; Casados-Vázquez, L.E.; Lozano-Sotomayor, P.; Bideshi, D.K.; Del Rincón-Castro, M.C.; Barboza-Corona, J.E. Expression of ChiA74∆sp and its truncated versions in Bacillus thuringiensis HD1 using a vegetative promoter maintains the integrity and toxicity of native Cry1A toxins. Int. J. Biol. Macromol. 2019, 124, 80–87. [Google Scholar] [CrossRef]
- Canton, P.E.; Cancino-Rodezno, A.; Gill, S.S.; Soberón, M.; Bravo, A. Transcriptional cellular responses in midgut tissue of Aedes aegypti larvae following intoxication with Cry11Aa toxin from Bacillus thuringiensis. BMC Genom. 2015, 16, 1042. [Google Scholar] [CrossRef] [PubMed]
- Kunthic, T.; Watanabe, H.; Kawano, R.; Tanaka, Y.; Promdonkoy, B.; Yao, M.; Boonserm, P. pH regulates pore formation of a protease activated Vip3Aa from Bacillus thuringiensis. Biochim. Biophys. Acta (BBA)—Biomembr. 2017, 1859, 2234–2241. [Google Scholar] [CrossRef]
- Vachon, V.; Laprade, R.; Schwartz, J.-L. Current models of the mode of action of Bacillus thuringiensis insecticidal crystal proteins: A critical review. J. Invertebr. Pathol. 2012, 111, 1–12. [Google Scholar] [CrossRef]
- Wu, H.; Zhang, J.; Rodríguez-Calcerrada, J.; Salomón, R.L.; Yin, D.; Zhang, P.; Shen, H. Large investment of stored nitrogen and phosphorus in female cones is consistent with infrequent reproduction events of Pinus koraiensis, a high value woody oil crop in Northeast Asia. Front. Plant Sci. 2023, 13, 1084043. [Google Scholar] [CrossRef]
- Guo, Y.-R.; Yin, N.-N.; Wu, C.; Yang, Z.-X.; Wang, Z.-Q.; Liu, N.-Y. Expression profile and functional characterization of odorant binding proteins in a forest pest, Dioryctria abietella (Lepidoptera: Pyralidae). Comp. Biochem. Physiol. Part B Biochem. Mol. Biol. 2023, 266, 110835. [Google Scholar] [CrossRef]
- Tang, X.; Gao, T.; Lu, J.; Hong, D.; Tong, X.; Ren, Y. Relationship between volatile compounds of Picea likiangensis var. linzhiensis cone and host selection of Dioryctria abietella. Arch. Insect Biochem. Physiol. 2020, 105, e21733. [Google Scholar]
- Xing, Y.; Thanasirungkul, W.; Adeel, M.M.; Yu, J.; Aslam, A.; Chi, D.-F. Identification and analysis of olfactory genes in Dioryctria abietella based on the antennal transcriptome. Comp. Biochem. Physiol. Part D Genom. Proteom. 2021, 38, 100814. [Google Scholar]
- Wang, Z.-Q.; Wu, C.; Li, G.-C.; Nuo, S.-M.; Yin, N.-N.; Liu, N.-Y. Transcriptome Analysis and Characterization of Chemosensory Genes in the Forest Pest, Dioryctria abietella (Lepidoptera: Pyralidae). Front. Ecol. Evol. 2021, 9, 748199. [Google Scholar]
- El-Saeid, M.H.; BaQais, A.; Alshabanat, M. Study of the Photocatalytic Degradation of Highly Abundant Pesticides in Agricultural Soils. Molecules 2022, 27, 634. [Google Scholar] [CrossRef] [PubMed]
- Tejada, M.; Gómez, I.; del Toro, M. Use of organic amendments as a bioremediation strategy to reduce the bioavailability of chlorpyrifos insecticide in soils. Effects on soil biology. Ecotoxicol. Environ. Saf. 2011, 74, 2075–2081. [Google Scholar] [CrossRef]
- Zhang, C.; Wei, J.; Naing, Z.L.; Soe, E.T.; Liang, G. Endogenous serpin reduces toxicity of Bacillus thuringiensis Cry1Ac against Helicoverpa armigera (Hübner). Pestic. Biochem. Physiol. 2021, 175, 104837. [Google Scholar]
- Antony, B.; Johny, J.; Abdelazim, M.M.; Jakše, J.; Al-Saleh, M.A.; Pain, A. Global transcriptome profiling and functional analysis reveal that tissue-specific constitutive overexpression of cytochrome P450s confers tolerance to imidacloprid in palm weevils in date palm fields. BMC Genom. 2019, 20, 440. [Google Scholar]
- Batool, K.; Alam, I.; Wu, S.; Liu, W.; Zhao, G.; Chen, M.; Wang, J.; Xu, J.; Huang, T.; Pan, X.; et al. Transcriptomic Analysis of Aedes aegypti in Response to Mosquitocidal Bacillus thuringiensis LLP29 Toxin. Sci. Rep. 2018, 8, 12650. [Google Scholar]
- Feng, K.; Luo, J.; Ding, X.; Tang, F. Transcriptome analysis and response of three important detoxifying enzymes to Serratia marcescens Bizio (SM1) in Hyphantria cunea (Drury) (Lepidoptera: Noctuidae). Pestic. Biochem. Physiol. 2021, 178, 104922. [Google Scholar] [CrossRef]
- Hilliou, F.; Chertemps, T.; Maïbèche, M.; Le Goff, G. Resistance in the Genus Spodoptera: Key Insect Detoxification Genes. Insects 2021, 12, 544. [Google Scholar] [CrossRef]
- Wang, X.M. Study on the Pathogenicity of Biocontrol Strains in Dioryctria abietella. Ph.D. Thesis, Northeast Forestry University, Harbin, China, 2023. [Google Scholar]
- Cao, X.; He, Y.; Hu, Y.; Zhang, X.; Wang, Y.; Zou, Z.; Chen, Y.; Blissard, G.W.; Kanost, M.R.; Jiang, H. Sequence conservation, phylogenetic relationships, and expression profiles of nondigestive serine proteases and serine protease homologs in Manduca sexta. Insect Biochem. Mol. Biol. 2015, 62, 51–63. [Google Scholar] [PubMed]
- Gao, L.; Wang, H.; Liu, Z.; Liu, S.; Zhao, G.; Xu, B.; Guo, X. The initial analysis of a serine proteinase gene (AccSp10) from Apis cerana cerana: Possible involvement in pupal development, innate immunity and abiotic stress responses. Cell Stress Chaperones 2017, 22, 867–877. [Google Scholar]
- Abraham, E.G.; Pinto, S.B.; Ghosh, A.; Vanlandingham, D.L.; Budd, A.; Higgs, S.; Kafatos, F.C.; Jacobs-Lorena, M.; Michel, K. An immune-responsive serpin, SRPN6, mediates mosquito defense against malaria parasites. Proc. Natl. Acad. Sci. USA 2005, 102, 16327–16332. [Google Scholar] [CrossRef] [PubMed]
- Meekins, D.A.; Kanost, M.R.; Michel, K. Serpins in arthropod biology. Semin. Cell Dev. Biol. 2017, 62, 105–119. [Google Scholar] [PubMed]
- Lee, M.K.; Miles, P.; Chen, J.-S. Brush border membrane binding properties of Bacillus thuringiensis Vip3A toxin to Heliothis virescens and Helicoverpa zea midguts. Biochem. Biophys. Res. Commun. 2006, 339, 1043–1047. [Google Scholar]
- Rukmini, V.; Reddy, C.Y.; Venkateswerlu, G. Bacillus thuringiensis crystal delta-endotoxin: Role of proteases in the conversion of protoxin to toxin. Biochimie 2000, 82, 109–116. [Google Scholar]
- Caccia, S.; Chakroun, M.; Vinokurov, K.; Ferré, J. Proteolytic processing of Bacillus thuringiensis Vip3A proteins by two Spodoptera species. J. Insect Physiol. 2014, 67, 76–84. [Google Scholar]
- Adang, M.J.; Crickmore, N.; Jurat-Fuentes, J.L. Diversity of Bacillus thuringiensis crystal toxins and mechanism of action. Adv. Insect Physiol. 2014, 47, 39–87. [Google Scholar]
- Bretschneider, A.; Heckel, D.G.; Pauchet, Y. Three toxins, two receptors, one mechanism: Mode of action of Cry1A toxins from Bacillus thuringiensis in Heliothis virescens. Insect Biochem. Mol. Biol. 2016, 76, 109–117. [Google Scholar]
- Liu, M.; Huang, R.; Weisman, A.; Yu, X.; Lee, S.-H.; Chen, Y.; Huang, C.; Hu, S.; Chen, X.; Tan, W.; et al. Synthetic Polymer Affinity Ligand for Bacillus thuringiensis (Bt) Cry1Ab/Ac Protein: The Use of Biomimicry Based on the Bt Protein–Insect Receptor Binding Mechanism. J. Am. Chem. Soc. 2018, 140, 6853–6864. [Google Scholar]
- Pigott, C.R.; Ellar, D.J. Role of Receptors in Bacillus thuringiensis Crystal Toxin Activity. Microbiol. Mol. Biol. Rev. 2007, 71, 255–281. [Google Scholar] [CrossRef] [PubMed]
- Fabrick, J.A.; Mathew, L.G.; LeRoy, D.M.; Hull, J.J.; Unnithan, G.C.; Yelich, A.J.; Carrière, Y.; Li, X.; Tabashnik, B.E. Reduced cadherin expression associated with resistance to Bt toxin Cry1Ac in pink bollworm. Pest Manag. Sci. 2019, 76, 67–74. [Google Scholar] [CrossRef] [PubMed]
- Naing, Z.L.; Soe, E.T.; Zhang, C.; Niu, L.; Tang, J.; Ding, Z.; Yu, S.; Lu, J.; Fang, F.; Liang, G. Cadherin Is a Binding Protein but Not a Functional Receptor of Bacillus thuringiensis Cry2Ab in Helicoverpa armigera. Appl. Environ. Microbiol. 2023, 89, e0062523. [Google Scholar] [CrossRef] [PubMed]
- Zhu, Y.; Liu, X.; Maddur, A.; Oppert, B.; Chen, M. Cloning and characterization of chymotrypsin- and trypsin-like cDNAs from the gut of the Hessian fly [Mayetiola destructor (Say)]. Insect Biochem. Mol. Biol. 2005, 35, 23–32. [Google Scholar] [CrossRef]
- Fernandez-Luna, M.T.; Lanz-Mendoza, H.; Gill, S.S.; Bravo, A.; Soberon, M.; Miranda-Rios, J. An α-amylase is a novel receptor for Bacillus thuringiensis ssp. israelensis Cry4Ba and Cry11Aa toxins in the malaria vector mosquito Anopheles albimanus (Diptera: Culicidae). Environ. Microbiol. 2010, 12, 746–757. [Google Scholar] [CrossRef]
- Wu, C.; Chakrabarty, S.; Jin, M.; Liu, K.; Xiao, Y. Insect ATP-Binding Cassette (ABC) Transporters: Roles in Xenobiotic Detoxification and Bt Insecticidal Activity. Int. J. Mol. Sci. 2019, 20, 2829. [Google Scholar] [CrossRef]
- Xia, J.; Guo, Z.; Yang, Z.; Zhu, X.; Kang, S.; Yang, X.; Yang, F.; Wu, Q.; Wang, S.; Xie, W.; et al. Proteomics-based identification of midgut proteins correlated with Cry1Ac resistance in Plutella xylostella (L.). Pestic. Biochem. Physiol. 2016, 132, 108–117. [Google Scholar] [CrossRef]
- Ben Hamadou-Charfi, D.; Boukedi, H.; Abdelkefi-Mesrati, L.; Tounsi, S.; Jaoua, S. Agrotis segetum midgut putative receptor of Bacillus thuringiensis vegetative insecticidal protein Vip3Aa16 differs from that of Cry1Ac toxin. J. Invertebr. Pathol. 2013, 114, 139–143. [Google Scholar] [CrossRef]
- Abdelkefi-Mesrati, L.; Boukedi, H.; Chakroun, M.; Kamoun, F.; Azzouz, H.; Tounsi, S.; Rouis, S.; Jaoua, S. Investigation of the steps involved in the difference of susceptibility of Ephestia kuehniella and Spodoptera littoralis to the Bacillus thuringiensis Vip3Aa16 toxin. J. Invertebr. Pathol. 2011, 107, 198–201. [Google Scholar] [CrossRef]
- Schneider, D.S.; Jiang, K.; Hou, X.-Y.; Tan, T.-T.; Cao, Z.-L.; Mei, S.-Q.; Yan, B.; Chang, J.; Han, L.; Zhao, D.; et al. Scavenger receptor-C acts as a receptor for Bacillus thuringiensis vegetative insecticidal protein Vip3Aa and mediates the internalization of Vip3Aa via endocytosis. PLOS Pathog. 2018, 14, e1007347. [Google Scholar]
- Zhang, Q.; Hua, G.; Bayyareddy, K.; Adang, M.J. Analyses of α-amylase and α-glucosidase in the malaria vector mosquito, Anopheles gambiae, as receptors of Cry11Ba toxin of Bacillus thuringiensis subsp. jegathesan. Insect Biochem. Mol. Biol. 2013, 43, 907–915. [Google Scholar] [CrossRef] [PubMed]
- Zhang, J.; Li, H.; Tan, J.; Wei, P.; Yu, S.; Liu, R.; Gao, J. Transcriptome profiling analysis of the intoxication response in midgut tissue of Agrotis ipsilon larvae to Bacillus thuringiensis Vip3Aa protoxin. Pestic. Biochem. Physiol. 2019, 160, 20–29. [Google Scholar] [CrossRef]
- David, J.-P.; Ismail, H.M.; Chandor-Proust, A.; Paine, M.J.I. Role of cytochrome P450s in insecticide resistance: Impact on the control of mosquito-borne diseases and use of insecticides on Earth. Philos. Trans. R. Soc. B Biol. Sci. 2013, 368, 20120429. [Google Scholar] [CrossRef] [PubMed]
- Hu, B.; Zhang, S.H.; Ren, M.M.; Tian, X.R.; Wei, Q.; Mburu, D.K.; Su, J.Y. The expression of Spodoptera exigua P450 and UGT genes: Tissue specificity and response to insecticides. Insect Sci. 2019, 26, 199–216. [Google Scholar] [CrossRef] [PubMed]
- Li, X.; Schuler, M.A.; Berenbaum, M.R. Molecular Mechanisms of Metabolic Resistance to Synthetic and Natural Xenobiotics. Annu. Rev. Entomol. 2007, 52, 231–253. [Google Scholar] [CrossRef]
- Li, X.; Shi, H.; Gao, X.; Liang, P. Characterization of UDP-glucuronosyltransferase genes and their possible roles in multi-insecticide resistance in Plutella xylostella (L.). Pest Manag. Sci. 2018, 74, 695–704. [Google Scholar] [CrossRef]
- Shang, Y.; Wang, Y.; Deng, J.; Liu, X.; Fang, Y.; Rao, Q.; Wu, H. Comparative Transcriptome Analysis Reveals the Mechanism Related to Fluazinam Stress of Panonychus citri (Acarina: Tetranychidae). Insects 2020, 11, 730. [Google Scholar] [CrossRef]
- Kinareikina, A.; Silivanova, E. Impact of Insecticides at Sublethal Concentrations on the Enzyme Activities in Adult Musca domestica L. Toxics 2023, 11, 47. [Google Scholar] [CrossRef]
- Guo, J.; Wu, G.; Wan, F. Temporal allocation of metabolic tolerance to transgenic Bt cotton in beet armyworm, Spodoptera exigua (Hübner). Sci. China Life Sci. 2011, 54, 152–158. [Google Scholar] [CrossRef][Green Version]
- Shi, M.J.; Ling Lu, P.; Li Shi, X.; Yang, Y.Z. Effect of insect-resistant transgenic maize on growth and development, utilization of nutrients and in vivo activity of the detoxification enzymes of the Asian corn borer, Ostrinia furnacalis (Lepidoptera: Pyralidae). Eur. J. Entomol. 2011, 108, 547–552. [Google Scholar] [CrossRef]
- Nauen, R.; Zimmer, C.T.; Vontas, J. Heterologous expression of insect P450 enzymes that metabolize xenobiotics. Curr. Opin. Insect Sci. 2021, 43, 78–84. [Google Scholar]
- Li, S.; Li, X.; Zhou, Y. Ribosomal protein L18 is an essential factor that promote rice stripe virus accumulation in small brown planthopper. Virus Res. 2018, 247, 15–20. [Google Scholar] [PubMed]
- He, J.; Sun, H.; Zhang, D.; Sun, Y.; Ma, L.; Chen, L.; Liu, Z.; Xiong, C.; Yan, G.; Zhu, C. Cloning and characterization of 60S ribosomal protein L22 (RPL22) from Culex pipiens pallens. Comp. Biochem. Physiol. Part B Biochem. Mol. Biol. 2009, 153, 216–222. [Google Scholar]
- Li, X.; Zhu, B.; Gao, X.; Liang, P. Over-expression of UDP-glycosyltransferase gene UGT2B17 is involved in chlorantraniliprole resistance in Plutella xylostella (L.). Pest Manag. Sci. 2017, 73, 1402–1409. [Google Scholar] [CrossRef] [PubMed]
- Yan, M.-W.; Xing, X.-R.; Wu, F.-A.; Wang, J.; Sheng, S. UDP-glycosyltransferases contribute to the tolerance of parasitoid wasps towards insecticides. Pestic. Biochem. Physiol. 2021, 179, 104967. [Google Scholar]
- Zeng, X.; Pan, Y.; Tian, F.; Li, J.; Xu, H.; Liu, X.; Chen, X.; Gao, X.; Peng, T.; Bi, R.; et al. Functional validation of key cytochrome P450 monooxygenase and UDP-glycosyltransferase genes conferring cyantraniliprole resistance in Aphis gossypii Glover. Pestic. Biochem. Physiol. 2021, 176, 104879. [Google Scholar]
- Tian, F.; Wang, Z.; Li, C.; Liu, J.; Zeng, X. UDP-Glycosyltransferases are involved in imidacloprid resistance in the Asian citrus psyllid, Diaphorina citri (Hemiptera: Lividae). Pestic. Biochem. Physiol. 2019, 154, 23–31. [Google Scholar] [CrossRef]
- Fan, C.; Cui, Z.; Yang, T.; Sun, L.; Cao, C. UDP-glucuronosyltransferase is involved in susceptibility of Chironomus kiiensis Tokunaga, 1936 (Diptera: Chironomidae) to insecticides. Ecotoxicol. Environ. Saf. 2023, 263, 115353. [Google Scholar]
- Israni, B.; Wouters, F.C.; Luck, K.; Seibel, E.; Ahn, S.-J.; Paetz, C.; Reinert, M.; Vogel, H.; Erb, M.; Heckel, D.G.; et al. The Fall Armyworm Spodoptera frugiperda Utilizes Specific UDP-Glycosyltransferases to Inactivate Maize Defensive Benzoxazinoids. Front. Physiol. 2020, 11, 604754. [Google Scholar] [CrossRef]
- Liu, Z.-X.; Xing, X.-R.; Liang, X.-H.; Ding, J.-H.; Li, Y.-J.; Shao, Y.; Wu, F.-A.; Wang, J.; Sheng, S. The role of Glutathione-S-transferases in phoxim and chlorfenapyr tolerance in a major mulberry pest, Glyphodes pyloalis walker (Lepidoptera: Pyralidae). Pestic. Biochem. Physiol. 2022, 181, 105004. [Google Scholar]
- Meng, X.; Wu, Z.; Jiang, C.; Guan, D.; Zhang, N.; Jiang, H.; Shen, Q.; Qian, K.; Wang, J. Identification and characterization of glutathione S-transferases and their potential roles in detoxification of abamectin in the rice stem borer, Chilo suppressalis. Pestic. Biochem. Physiol. 2022, 182, 105050. [Google Scholar] [CrossRef] [PubMed]
- Pavlidi, N.; Vontas, J.; Van Leeuwen, T. The role of glutathione S-transferases (GSTs) in insecticide resistance in crop pests and disease vectors. Curr. Opin. Insect Sci. 2018, 27, 97–102. [Google Scholar] [PubMed]
- Zhang, T.; Coates, B.S.; Wang, Y.; Wang, Y.; Bai, S.; Wang, Z.; He, K. Down-regulation of aminopeptidase N and ABC transporter subfamily G transcripts in Cry1Ab and Cry1Ac resistant Asian corn borer, Ostrinia furnacalis (Lepidoptera: Crambidae). Int. J. Biol. Sci. 2017, 13, 835–851. [Google Scholar] [PubMed]
- Mauricio, R.; Gahan, L.J.; Pauchet, Y.; Vogel, H.; Heckel, D.G. An ABC Transporter Mutation Is Correlated with Insect Resistance to Bacillus thuringiensis Cry1Ac Toxin. PLoS Genet. 2010, 6, e1001248. [Google Scholar]
- Sato, R.; Adegawa, S.; Li, X.; Tanaka, S.; Endo, H. Function and Role of ATP-Binding Cassette Transporters as Receptors for 3D-Cry Toxins. Toxins 2019, 11, 124. [Google Scholar] [CrossRef]
- Atsumi, S.; Miyamoto, K.; Yamamoto, K.; Narukawa, J.; Kawai, S.; Sezutsu, H.; Kobayashi, I.; Uchino, K.; Tamura, T.; Mita, K.; et al. Single amino acid mutation in an ATP-binding cassette transporter gene causes resistance to Bt toxin Cry1Ab in the silkworm, Bombyx mori. Proc. Natl. Acad. Sci. USA 2012, 109, E1591–E1598. [Google Scholar]
- Liu, Z.; Fu, S.; Ma, X.; Baxter, S.W.; Vasseur, L.; Xiong, L.; Huang, Y.; Yang, G.; You, S.; You, M. Resistance to Bacillus thuringiensis Cry1Ac toxin requires mutations in two Plutella xylostella ATP-binding cassette transporter paralogs. PLOS Pathog. 2020, 16, e1008697. [Google Scholar]
- García-Gómez, B.I.; Cano, S.N.; Zagal, E.E.; Dantán-Gonzalez, E.; Bravo, A.; Soberón, M. Insect Hsp90 Chaperone Assists Bacillus thuringiensis Cry Toxicity by Enhancing Protoxin Binding to the Receptor and by Protecting Protoxin from Gut Protease Degradation. MBio 2019, 10, e02775-19. [Google Scholar] [CrossRef]
- Vontas, J.; Cancino-Rodezno, A.; Lozano, L.; Oppert, C.; Castro, J.I.; Lanz-Mendoza, H.; Encarnación, S.; Evans, A.E.; Gill, S.S.; Soberón, M.; et al. Comparative Proteomic Analysis of Aedes aegypti Larval Midgut after Intoxication with Cry11Aa Toxin from Bacillus thuringiensis. PLoS ONE 2012, 7, e37034. [Google Scholar]
- Kuo, W.S.; Chak, K.F. Identification of novel cry-type genes from Bacillus thuringiensis strains on the basis of restriction fragment length polymorphism of the PCR-amplified DNA. Appl. Environ. Microbiol. 1996, 62, 1369–1377. [Google Scholar]
- Seifinejad, A.; Jouzani, G.R.S.; Hosseinzadeh, A.; Abdmishani, C. Characterization of Lepidoptera-active cry and vip genes in Iranian Bacillus thuringiensis strain collection. Biol. Control 2008, 44, 216–226. [Google Scholar] [CrossRef]
- Bolger, A.M.; Lohse, M.; Usadel, B. Trimmomatic: A flexible trimmer for Illumina sequence data. Bioinformatics 2014, 30, 2114–2120. [Google Scholar] [CrossRef] [PubMed]
- Haas, B.J.; Papanicolaou, A.; Yassour, M.; Grabherr, M.; Blood, P.D.; Bowden, J.; Couger, M.B.; Eccles, D.; Li, B.; Lieber, M.; et al. De novo transcript sequence reconstruction from RNA-seq using the Trinity platform for reference generation and analysis. Nat. Protoc. 2013, 8, 1494–1512. [Google Scholar] [CrossRef]
- Langmead, B.; Salzberg, S.L. Fast gapped-read alignment with Bowtie 2. Nat. Methods 2012, 9, 357–359. [Google Scholar] [CrossRef] [PubMed]
- Wang, L.; Wang, S.; Li, W. RSeQC: Quality control of RNA-seq experiments. Bioinformatics 2012, 28, 2184–2185. [Google Scholar] [CrossRef]
- Altschul, S.F.; Madden, T.L.; Schäffer, A.A.; Zhang, J.; Zhang, Z.; Miller, W.; Lipman, D.J. Gapped BLAST and PSI-BLAST: A new generation of protein database search programs. Nucleic Acids Res. 1997, 25, 3389–3402. [Google Scholar] [CrossRef]
- Moriya, Y.; Itoh, M.; Okuda, S.; Yoshizawa, A.C.; Kanehisa, M. KAAS: An automatic genome annotation and pathway reconstruction server. Nucleic Acids Res. 2007, 35, W182–W185. [Google Scholar] [CrossRef]
- Patro, R.; Duggal, G.; Love, M.I.; Irizarry, R.A.; Kingsford, C. Salmon provides fast and bias-aware quantification of transcript expression. Nat. Methods 2017, 14, 417–419. [Google Scholar] [CrossRef]
- Love, M.I.; Huber, W.; Anders, S. Moderated estimation of fold change and dispersion for RNA-seq data with DESeq2. Genome Biol. 2014, 15, 550. [Google Scholar] [CrossRef]
- Yu, G.; Wang, L.G.; Han, Y.; He, Q.Y. clusterProfiler: An R package for comparing biological themes among gene clusters. Omics J. Integr. Biol. 2012, 16, 284–287. [Google Scholar] [CrossRef]
- Chen, C.; Chen, H.; Zhang, Y.; Thomas, H.R.; Frank, M.H.; He, Y.; Xia, R. TBtools: An integrative toolkit developed for interactive analyses of big biological data. Mol. Plant 2020, 13, 1194–1202. [Google Scholar] [CrossRef] [PubMed]
- DeLano, W.L. Pymol: An open-source molecular graphics tool. CCP4 Newsl. Protein Crystallogr. 2002, 40, 82–92. [Google Scholar]











Disclaimer/Publisher’s Note: The statements, opinions and data contained in all publications are solely those of the individual author(s) and contributor(s) and not of MDPI and/or the editor(s). MDPI and/or the editor(s) disclaim responsibility for any injury to people or property resulting from any ideas, methods, instructions or products referred to in the content. |
© 2024 by the authors. Licensee MDPI, Basel, Switzerland. This article is an open access article distributed under the terms and conditions of the Creative Commons Attribution (CC BY) license (https://creativecommons.org/licenses/by/4.0/).
Share and Cite
Chen, R.; Zhuang, Y.; Wang, M.; Yu, J.; Chi, D. Transcriptomic Analysis of the Response of the Dioryctria abietella Larva Midgut to Bacillus thuringiensis 2913 Infection. Int. J. Mol. Sci. 2024, 25, 10921. https://doi.org/10.3390/ijms252010921
Chen R, Zhuang Y, Wang M, Yu J, Chi D. Transcriptomic Analysis of the Response of the Dioryctria abietella Larva Midgut to Bacillus thuringiensis 2913 Infection. International Journal of Molecular Sciences. 2024; 25(20):10921. https://doi.org/10.3390/ijms252010921
Chicago/Turabian StyleChen, Ruting, Yutong Zhuang, Meiling Wang, Jia Yu, and Defu Chi. 2024. "Transcriptomic Analysis of the Response of the Dioryctria abietella Larva Midgut to Bacillus thuringiensis 2913 Infection" International Journal of Molecular Sciences 25, no. 20: 10921. https://doi.org/10.3390/ijms252010921
APA StyleChen, R., Zhuang, Y., Wang, M., Yu, J., & Chi, D. (2024). Transcriptomic Analysis of the Response of the Dioryctria abietella Larva Midgut to Bacillus thuringiensis 2913 Infection. International Journal of Molecular Sciences, 25(20), 10921. https://doi.org/10.3390/ijms252010921

