Identification of One O-Methyltransferase Gene Involved in Methylated Flavonoid Biosynthesis Related to the UV-B Irradiation Response in Euphorbia lathyris
Abstract
1. Introduction
2. Results and Discussion
2.1. RNA Sequence Analysis
2.2. Phylogeny of MlOMT Candidates
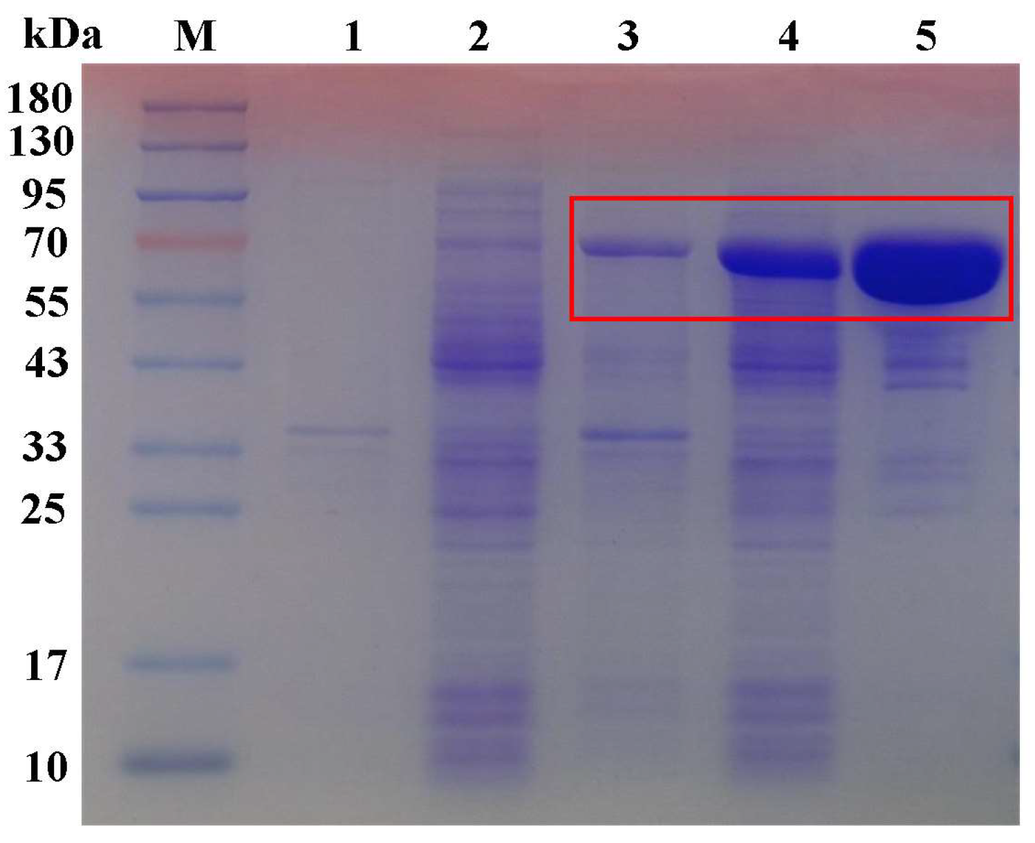
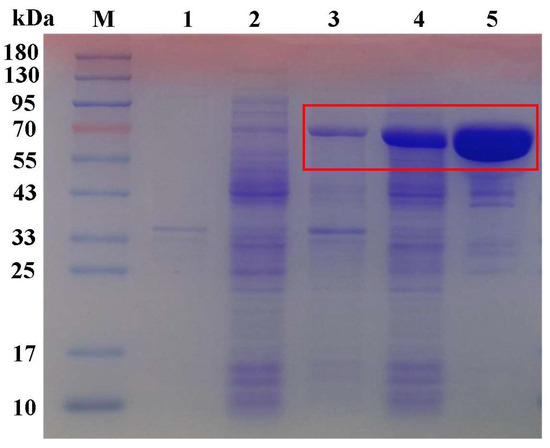
2.3. In Vitro Characterization of Recombinant ElOMT1
3. Materials and Methods
3.1. Plant Materials and UV-B Treatments
3.2. RNA-Seq
3.3. Recombinant Protein Expression in E. coli
3.4. Product Analysis
Supplementary Materials
Author Contributions
Funding
Institutional Review Board Statement
Informed Consent Statement
Data Availability Statement
Conflicts of Interest
References
- Zeng, X.; Yuan, H.; Dong, X.; Peng, M.; Jing, X.; Xu, Q.; Tang, T.; Wang, Y.; Zha, S.; Gao, M.; et al. Genome-wide Dissection of Co-selected UV-B Responsive Pathways in the UV-B Adaptation of Qingke. Mol. Plant 2020, 13, 112–127. [Google Scholar] [CrossRef] [PubMed]
- Somaletha Chandran, K.; Humphries, J.; Goodger, J.Q.D.; Woodrow, I.E. Molecular Characterisation of Flavanone O-methylation in Eucalyptus. Int. J. Mol. Sci. 2022, 23, 3190. [Google Scholar] [CrossRef] [PubMed]
- Shamala, L.F.; Zhou, H.C.; Han, Z.X.; Wei, S. UV-B Induces Distinct Transcriptional Re-programing in UVR8-Signal Transduction, Flavonoid, and Terpenoids Pathways in Camellia sinensis. Front. Plant Sci. 2020, 11, 234. [Google Scholar] [CrossRef] [PubMed]
- Xie, L.; Guo, Y.; Ren, C.; Cao, Y.; Li, J.; Lin, J.; Grierson, D.; Zhao, X.; Zhang, B.; Sun, C.; et al. Unravelling the consecutive glycosylation and methylation of flavonols in peach in response to UV-B irradiation. Plant Cell Environ. 2022, 45, 2158–2175. [Google Scholar] [CrossRef] [PubMed]
- Tungmunnithum, D.; Thongboonyou, A.; Pholboon, A.; Yangsabai, A. Flavonoids and Other Phenolic Compounds from Medicinal Plants for Pharmaceutical and Medical Aspects: An Overview. Medicines 2018, 5, 93. [Google Scholar] [CrossRef]
- Liu, X.; Zhao, C.; Gong, Q.; Wang, Y.; Cao, J.; Li, X.; Grierson, D.; Sun, C. Characterization of a caffeoyl-CoA O-methyltransferase-like enzyme involved in biosynthesis of polymethoxylated flavones in Citrus reticulata. J. Exp. Bot. 2020, 71, 3066–3079. [Google Scholar] [CrossRef]
- Wang, J.; Liao, N.; Liu, G.; Li, Y.; Xu, F.; Shi, J. Diversity and regioselectivity of O-methyltransferases catalyzing the formation of O-methylated flavonoids. Crit. Rev. Biotechnol. 2023, 1–23. [Google Scholar] [CrossRef]
- Wen, L.; Jiang, Y.; Yang, J.; Zhao, Y.; Tian, M.; Yang, B. Structure, bioactivity, and synthesis of methylated flavonoids. Ann. N. Y. Acad. Sci. 2017, 1398, 120–129. [Google Scholar] [CrossRef]
- Cui, M.Y.; Lu, A.R.; Li, J.X.; Liu, J.; Fang, Y.M.; Pei, T.L.; Zhong, X.; Wei, Y.K.; Kong, Y.; Qiu, W.Q.; et al. Two types of O-methyltransferase are involved in biosynthesis of anticancer methoxylated 4′-deoxyflavones in Scutellaria baicalensis Georgi. Plant Biotechnol. J. 2022, 20, 129–142. [Google Scholar] [CrossRef]
- Förster, C.; Handrick, V.; Ding, Y.; Nakamura, Y.; Paetz, C.; Schneider, B.; Castro-Falcón, G.; Hughes, C.C.; Luck, K.; Poosapati, S.; et al. Biosynthesis and antifungal activity of fungus-induced O-methylated flavonoids in maize. Plant Physiol. 2022, 188, 167–190. [Google Scholar] [CrossRef]
- Mashiguchi, K.; Seto, Y.; Onozuka, Y.; Suzuki, S.; Takemoto, K.; Wang, Y.; Dong, L.; Asami, K.; Noda, R.; Kisugi, T.; et al. A carlactonoic acid methyltransferase that contributes to the inhibition of shoot branching in Arabidopsis. Proc. Natl. Acad. Sci. USA 2022, 119, e21115651192022. [Google Scholar] [CrossRef] [PubMed]
- Yin, Q.; Wu, T.; Gao, R.; Wu, L.; Shi, Y.; Wang, X.; Wang, M.; Xu, Z.; Zhao, Y.; Su, X.; et al. Multi-omics reveal key enzymes involved in the formation of phenylpropanoid glucosides in Artemisia annua. Plant Physiol. Biochem. PPB 2023, 201, 107795. [Google Scholar] [CrossRef] [PubMed]
- Zhao, W.; Shen, C.; Zhu, J.; Ou, C.; Liu, M.; Dai, W.; Liu, X.; Liu, J. Identification and characterization of methyltransferases involved in benzylisoquinoline alkaloids biosynthesis from Stephania intermedia. Biotechnol. Lett. 2020, 42, 461–469. [Google Scholar] [CrossRef] [PubMed]
- Yu, Y.; Liu, Y.; Dong, G.; Jiang, J.; Leng, L.; Liu, X.; Zhang, J.; Liu, A.; Chen, S. Functional characterization and key residues engineering of a regiopromiscuity O-methyltransferase involved in benzylisoquinoline alkaloid biosynthesis in Nelumbo nucifera. Hortic. Res. 2023, 10, uhac276. [Google Scholar] [CrossRef]
- Tan, Y.; Yang, J.; Jiang, Y.; Sun, S.; Wei, X.; Wang, R.; Bu, J.; Li, D.; Kang, L.; Chen, T.; et al. Identification and characterization of two Isatis indigotica O-methyltransferases methylating C-glycosylflavonoids. Hortic. Res. 2022, 9, uhac140. [Google Scholar] [CrossRef] [PubMed]
- Li, J.; Li, C.; Gou, J.; Zhang, Y. Molecular Cloning and Functional Characterization of a Novel Isoflavone 3′-O-methyltransferase from Pueraria lobata. Front. Plant Sci. 2016, 7, 793. [Google Scholar] [CrossRef]
- Zhao, W.; Peng, J.; Wang, F.; Tian, M.; Li, P.; Feng, B.; Yin, M.; Xu, Y.; Xue, J.-Y.; Xue, J.; et al. Integrating metabolomics and transcriptomics to unveil the spatiotemporal distribution of macrocyclic diterpenoids and candidate genes involved in ingenol biosynthesis in the medicinal plant Euphorbia lathyris L. Ind. Crops Prod. 2022, 184, 115096. [Google Scholar] [CrossRef]
- Zhu, A.; Zhang, T.; Wang, Q. The phytochemistry, pharmacokinetics, pharmacology and toxicity of Euphorbia semen. J. Ethnopharmacol. 2018, 227, 41–55. [Google Scholar] [CrossRef]
- Rahaiee, S.; Assadpour, E.; Faridi Esfanjani, A.; Silva, A.S.; Jafari, S.M. Application of nano/microencapsulated phenolic compounds against cancer. Adv. Colloid. Interface Sci. 2020, 279, 102153. [Google Scholar] [CrossRef]
- Kováč, J.; Slobodníková, L.; Trajčíková, E.; Rendeková, K.; Mučaji, P.; Sychrová, A.; Bittner Fialová, S. Therapeutic Potential of Flavonoids and Tannins in Management of Oral Infectious Diseases—A Review. Molecules 2022, 28, 158. [Google Scholar] [CrossRef]
- Isah, T. Stress and defense responses in plant secondary metabolites production. Biol. Res. 2019, 52, 39. [Google Scholar] [CrossRef] [PubMed]
- Sharma, D.; Shree, B.; Kumar, S.; Kumar, V.; Sharma, S.; Sharma, S. Stress induced production of plant secondary metabolites in vegetables: Functional approach for designing next generation super foods. Plant Physiol. Biochem. PPB 2022, 192, 252–272. [Google Scholar] [CrossRef] [PubMed]
- Xiao, S.; Li, D.; Tang, Z.; Wei, H.; Zhang, Y.; Yang, J.; Zhao, C.; Liu, Y.; Wang, W. Supplementary UV-B Radiation Effects on Photosynthetic Characteristics and Important Secondary Metabolites in Eucommia ulmoides Leaves. Int. J. Mol. Sci. 2023, 24, 8168. [Google Scholar] [CrossRef] [PubMed]
- Petrussa, E.; Braidot, E.; Zancani, M.; Peresson, C.; Bertolini, A.; Patui, S.; Vianello, A. Plant flavonoids--biosynthesis, transport and involvement in stress responses. Int. J. Mol. Sci. 2013, 14, 14950–14973. [Google Scholar] [CrossRef] [PubMed]
- Bai, Y.; Gu, Y.; Liu, S.; Jiang, L.; Han, M.; Geng, D. Flavonoids metabolism and physiological response to ultraviolet treatments in Tetrastigma hemsleyanum Diels et Gilg. Front. Plant Sci. 2022, 13, 926197. [Google Scholar] [CrossRef] [PubMed]
- Mosadegh, H.; Trivellini, A.; Lucchesini, M.; Ferrante, A.; Maggini, R.; Vernieri, P.; Sodi, A.M. UV-B Physiological Changes Under Conditions of Distress and Eustress in Sweet Basil. Plants 2019, 8, 396. [Google Scholar] [CrossRef]
- Liu, S.; Gu, X.; Jiang, Y.; Wang, L.; Xiao, N.; Chen, Y.; Jin, B.; Wang, L.; Li, W. UV-B promotes flavonoid biosynthesis in Ginkgo biloba by inducing the GbHY5-GbMYB1-GbFLS module. Hortic. Res. 2023, 10, uhad118. [Google Scholar] [CrossRef]
- Qian, M.; Rosenqvist, E.; Prinsen, E.; Pescheck, F.; Flygare, A.M.; Kalbina, I.; Jansen, M.A.K.; Strid, Å. Downsizing in plants-UV light induces pronounced morphological changes in the absence of stress. Plant Physiol. 2021, 187, 378–395. [Google Scholar] [CrossRef]
- Gill, S.S.; Tuteja, N. Reactive oxygen species and antioxidant machinery in abiotic stress tolerance in crop plants. Plant Physiol. Biochem. PPB 2010, 48, 909–930. [Google Scholar] [CrossRef]
- Shen, N.; Wang, T.; Gan, Q.; Liu, S.; Wang, L.; Jin, B. Plant flavonoids: Classification, distribution, biosynthesis, and antioxidant activity. Food Chem. 2022, 383, 132531. [Google Scholar] [CrossRef]
- Grabherr, M.G.; Haas, B.J.; Yassour, M.; Levin, J.Z.; Thompson, D.A.; Amit, I.; Adiconis, X.; Fan, L.; Raychowdhury, R.; Zeng, Q.; et al. Full-length transcriptome assembly from RNA-Seq data without a reference genome. Nat. Biotechnol. 2011, 29, 644–652. [Google Scholar] [CrossRef] [PubMed]
- Pertea, G.; Huang, X.; Liang, F.; Antonescu, V.; Sultana, R.; Karamycheva, S.; Lee, Y.; White, J.; Cheung, F.; Parvizi, B.; et al. TIGR Gene Indices clustering tools (TGICL): A software system for fast clustering of large EST datasets. Bioinformatics 2003, 19, 651–652. [Google Scholar] [CrossRef] [PubMed]







Disclaimer/Publisher’s Note: The statements, opinions and data contained in all publications are solely those of the individual author(s) and contributor(s) and not of MDPI and/or the editor(s). MDPI and/or the editor(s) disclaim responsibility for any injury to people or property resulting from any ideas, methods, instructions or products referred to in the content. |
© 2024 by the authors. Licensee MDPI, Basel, Switzerland. This article is an open access article distributed under the terms and conditions of the Creative Commons Attribution (CC BY) license (https://creativecommons.org/licenses/by/4.0/).
Share and Cite
Zhao, W.; Huang, L.; Xu, S.; Wu, J.; Wang, F.; Li, P.; Li, L.; Tian, M.; Feng, X.; Chen, Y. Identification of One O-Methyltransferase Gene Involved in Methylated Flavonoid Biosynthesis Related to the UV-B Irradiation Response in Euphorbia lathyris. Int. J. Mol. Sci. 2024, 25, 782. https://doi.org/10.3390/ijms25020782
Zhao W, Huang L, Xu S, Wu J, Wang F, Li P, Li L, Tian M, Feng X, Chen Y. Identification of One O-Methyltransferase Gene Involved in Methylated Flavonoid Biosynthesis Related to the UV-B Irradiation Response in Euphorbia lathyris. International Journal of Molecular Sciences. 2024; 25(2):782. https://doi.org/10.3390/ijms25020782
Chicago/Turabian StyleZhao, Wanli, Long Huang, Shu Xu, Junzhi Wu, Fan Wang, Pirui Li, Linwei Li, Mei Tian, Xu Feng, and Yu Chen. 2024. "Identification of One O-Methyltransferase Gene Involved in Methylated Flavonoid Biosynthesis Related to the UV-B Irradiation Response in Euphorbia lathyris" International Journal of Molecular Sciences 25, no. 2: 782. https://doi.org/10.3390/ijms25020782
APA StyleZhao, W., Huang, L., Xu, S., Wu, J., Wang, F., Li, P., Li, L., Tian, M., Feng, X., & Chen, Y. (2024). Identification of One O-Methyltransferase Gene Involved in Methylated Flavonoid Biosynthesis Related to the UV-B Irradiation Response in Euphorbia lathyris. International Journal of Molecular Sciences, 25(2), 782. https://doi.org/10.3390/ijms25020782

