A Prognostic Activity of Glutaredoxin 1 Protein (Grx1) in Colon Cancer
Abstract
1. Introduction
2. Results
2.1. A Description of the Studied Group
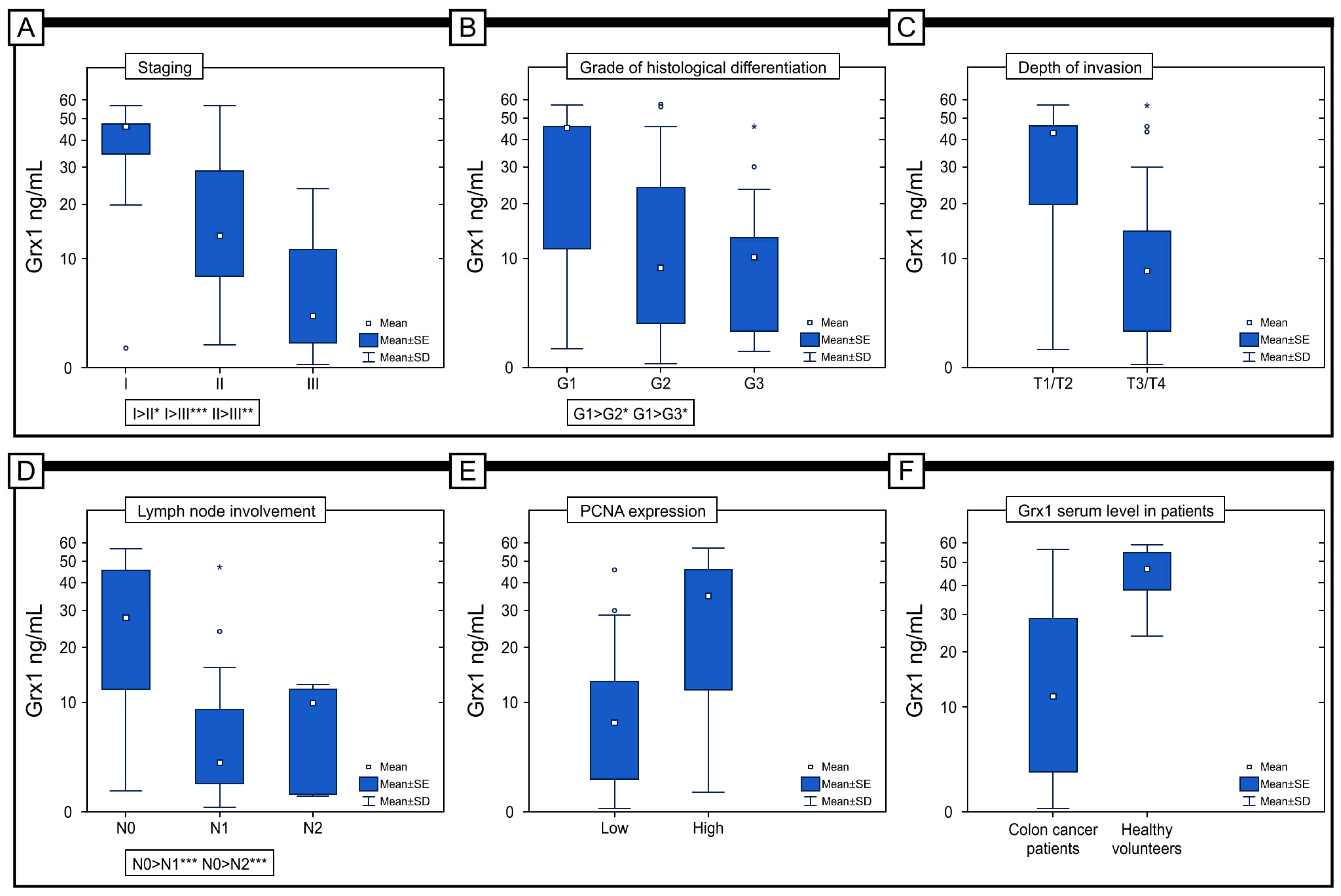
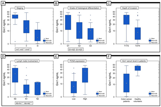
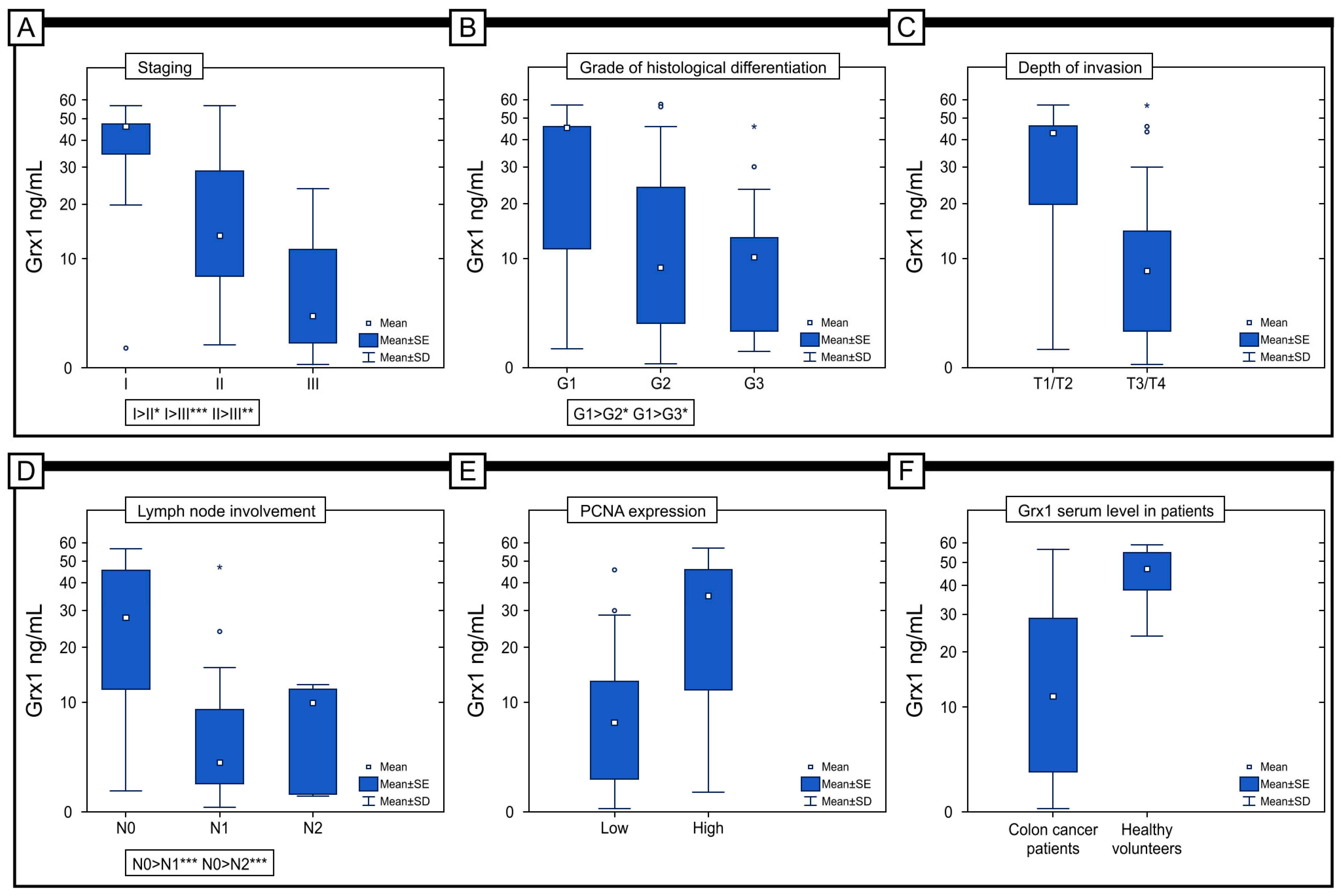
2.2. Clinically Relevant Parameters (as Independent Variables) Correlated with Grx1 Immunohistochemical Expression
2.3. Prognostic Role of Grx1protein Expression in Colon Adenocarcinoma
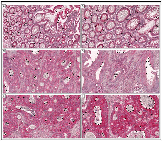
2.4. Immunofluorescence Staining
2.5. Intracellular Localization of Grx1 Protein Using the Method of Immunogold Labeling with the Use of Transmission Electron Microscopy (TEM)
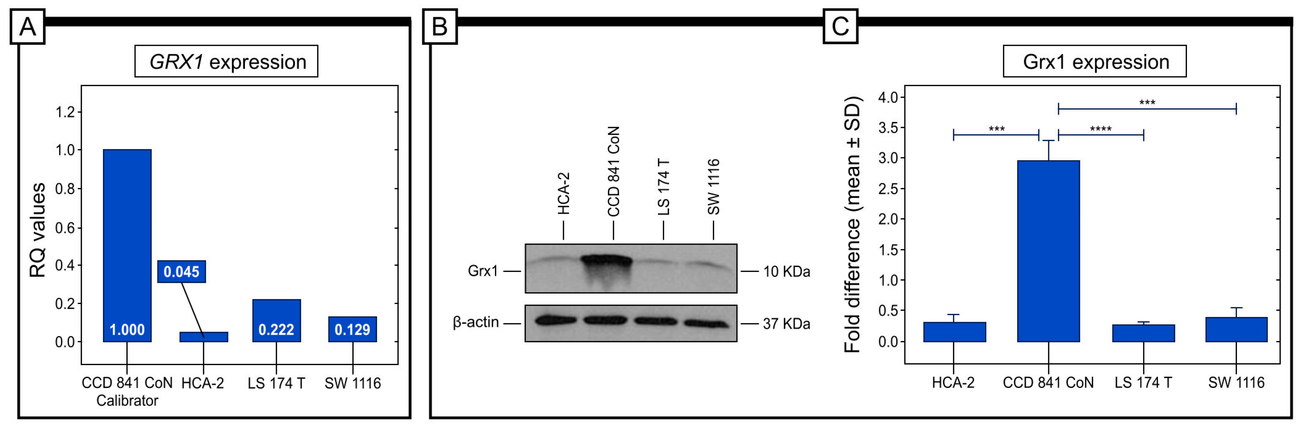
2.6. GRX1 Gene Expression in Colorectal Cancer Cell Lines
2.7. Serum Level of Grx1 in Patients
3. Discussion
4. Conclusions and Limitations of the Study
5. Materials and Methods
5.1. Samples from Tumors and Patients
5.2. Immunohistochemical and Immunofluorescence Staining
5.3. Immunogold Electron Microscopy
5.4. Colorectal Cancer Cell Lines
5.5. GRX1gene Expression in Colorectal Cancer Cell Lines
5.6. Serum Level of Grx1 in Colon Adenocarcinoma Patients
5.7. Statistical Analysis
Author Contributions
Funding
Institutional Review Board Statement
Informed Consent Statement
Data Availability Statement
Conflicts of Interest
References
- Bray, F.; Ferlay, J.; Soerjomataram, I.; Siegel, R.L.; Torre, L.A.; Jemal, A. Global cancer statistics 2018: GLOBOCAN estimates of incidence and mortality worldwide for 36 cancers in 185 countries. CA Cancer J. Clin. 2018, 68, 394–424. [Google Scholar] [CrossRef] [PubMed]
- Siegel, R.L.; Miller, K.D.; Goding Sauer, A.; Fedewa, S.A.; Butterly, L.F.; Anderson, J.C.; Cercek, A.; Smith, R.A.; Jemal, A. Colorectal cancer statistics, 2020. CA Cancer J. Clin. 2020, 70, 145–164. [Google Scholar] [CrossRef]
- Connell, L.C.; Mota, J.M.; Braghiroli, M.I.; Hoff, P.M. The Rising Incidence of Younger Patients With Colorectal Cancer: Questions About Screening, Biology, and Treatment. Curr. Treat. Options Oncol. 2017, 18, 23. [Google Scholar] [CrossRef] [PubMed]
- Akimoto, N.; Ugai, T.; Zhong, R.; Hamada, T.; Fujiyoshi, K.; Giannakis, M.; Wu, K.; Cao, Y.; Ng, K.; Ogino, S. Rising incidence of early-onset colorectal cancer—A call to action. Nat. Rev. Clin. Oncol. 2021, 18, 230–243. [Google Scholar] [CrossRef] [PubMed]
- Kennedy, L.; Sandhu, J.K.; Harper, M.E.; Cuperlovic-Culf, M. Role of Glutathione in Cancer: From Mechanisms to Therapies. Biomolecules 2020, 10, 1429. [Google Scholar] [CrossRef] [PubMed]
- Pool-Zobel, B.; Veeriah, S.; Böhmer, F.D. Modulation of xenobiotic metabolising enzymes by anticarcinogens—Focus on glutathione S-transferases and their role as targets of dietary chemoprevention in colorectal carcinogenesis. Mutat. Res. 2005, 591, 74–92. [Google Scholar] [CrossRef] [PubMed]
- Hanschmann, E.M.; Godoy, J.R.; Berndt, C.; Hudemann, C.; Lillig, C.H. Thioredoxins, glutaredoxins, and peroxiredoxins--molecular mechanisms and health significance: From cofactors to antioxidants to redox signaling. Antioxid. Redox Signal 2013, 19, 1539–1605. [Google Scholar] [CrossRef]
- Francisco, A.; Ronchi, J.A.; Navarro, C.D.C.; Figueira, T.R.; Castilho, R.F. Nicotinamide nucleotide transhydrogenase is required for brain mitochondrial redox balance under hampered energy substrate metabolism and high-fat diet. J. Neurochem. 2018, 147, 663–677. [Google Scholar] [CrossRef]
- Castellano, I.; Merlino, A. γ-Glutamyltranspeptidases: Sequence, structure, biochemical properties, and biotechnological applications. Cell. Mol. Life Sci. 2012, 69, 3381–3394. [Google Scholar] [CrossRef]
- Mitrić, A.; Castellano, I. Targeting gamma-glutamyl transpeptidase: A pleiotropic enzyme involved in glutathione metabolism and in the control of redox homeostasis. Free Radic. Biol. Med. 2023, 208, 672–683. [Google Scholar] [CrossRef]
- Hanigan, M.H. Gamma-glutamyl transpeptidase: Redox regulation and drug resistance. Adv. Cancer Res. 2014, 122, 103–141. [Google Scholar] [CrossRef] [PubMed]
- Hanigan, M.H.; Frierson, H.F.; Brown, J.E., Jr.; Lovell, M.A.; Taylor, P.T. Human ovarian tumors express gamma-glutamyl transpeptidase. Cancer Res. 1994, 54, 286–290. [Google Scholar]
- Murata, J.; Ricciardi-Castagnoli, P.; Dessous L’Eglise Mange, P.; Martin, F.; Juillerat-Jeanneret, L. Microglial cells induce cytotoxic effects toward colon carcinoma cells: Measurement of tumor cytotoxicity with a gamma-glutamyl transpeptidase assay. Int. J. Cancer 1997, 70, 169–174. [Google Scholar] [CrossRef]
- Tsutsumi, M.; Sakamuro, D.; Takada, A.; Zang, S.C.; Furukawa, T.; Taniguchi, N. Detection of a unique gamma-glutamyl transpeptidase messenger RNA species closely related to the development of hepatocellular carcinoma in humans: A new candidate for early diagnosis of hepatocellular carcinoma. Hepatology 1996, 23, 1093–1097. [Google Scholar] [CrossRef]
- Supino, R.; Mapelli, E.; Sanfilippo, O.; Silvestro, L. Biological and enzymatic features of human melanoma clones with different invasive potential. Melanoma Res. 1992, 2, 377–384. [Google Scholar] [CrossRef]
- Täger, M.; Ittenson, A.; Franke, A.; Frey, A.; Gassen, H.G.; Ansorge, S. gamma-Glutamyl transpeptidase-cellular expression in populations of normal human mononuclear cells and patients suffering from leukemias. Ann. Hematol. 1995, 70, 237–242. [Google Scholar] [CrossRef] [PubMed]
- Prezioso, J.A.; Wang, N.; Duty, L.; Bloomer, W.D.; Gorelik, E. Enhancement of pulmonary metastasis formation and gamma-glutamyltranspeptidase activity in B16 melanoma induced by differentiation in vitro. Clin. Exp. Metastasis 1993, 11, 263–274. [Google Scholar] [CrossRef] [PubMed]
- Obrador, E.; Carretero, J.; Ortega, A.; Medina, I.; Rodilla, V.; Pellicer, J.A.; Estrela, J.M. gamma-Glutamyl transpeptidase overexpression increases metastatic growth of B16 melanoma cells in the mouse liver. Hepatology 2002, 35, 74–81. [Google Scholar] [CrossRef]
- Bard, S.; Noël, P.; Chauvin, F.; Quash, G. gamma-Glutamyltranspeptidase activity in human breast lesions: An unfavourable prognostic sign. Br. J. Cancer 1986, 53, 637–642. [Google Scholar] [CrossRef]
- Traverso, N.; Ricciarelli, R.; Nitti, M.; Marengo, B.; Furfaro, A.L.; Pronzato, M.A.; Marinari, U.M.; Domenicotti, C. Role of glutathione in cancer progression and chemoresistance. Oxid. Med. Cell. Longev. 2013, 2013, 972913. [Google Scholar] [CrossRef]
- Guo, L.; Chen, S.; Liu, Q.; Ren, H.; Li, Y.; Pan, J.; Luo, Y.; Cai, T.; Liu, R.; Chen, J.; et al. Glutaredoxin 1 regulates macrophage polarization through mediating glutathionylation of STAT1. Thorac. Cancer 2020, 11, 2966–2974. [Google Scholar] [CrossRef] [PubMed]
- Xiong, Y.; Uys, J.D.; Tew, K.D.; Townsend, D.M. S-glutathionylation: From molecular mechanisms to health outcomes. Antioxid. Redox Signal 2011, 15, 233–270. [Google Scholar] [CrossRef] [PubMed]
- Chai, Y.C.; Mieyal, J.J. Glutathione and Glutaredoxin-Key Players in Cellular Redox Homeostasis and Signaling. Antioxidants 2023, 12, 1553. [Google Scholar] [CrossRef] [PubMed]
- Garg, R.; Benedetti, L.G.; Abera, M.B.; Wang, H.; Abba, M.; Kazanietz, M.G. Protein kinase C and cancer: What we know and what we do not. Oncogene 2014, 33, 5225–5237. [Google Scholar] [CrossRef] [PubMed]
- Steinberg, S.F. Mechanisms for redox-regulation of protein kinase C. Front. Pharmacol. 2015, 6, 128. [Google Scholar] [CrossRef] [PubMed]
- Velu, C.S.; Niture, S.K.; Doneanu, C.E.; Pattabiraman, N.; Srivenugopal, K.S. Human p53 is inhibited by glutathionylation of cysteines present in the proximal DNA-binding domain during oxidative stress. Biochemistry 2007, 46, 7765–7780. [Google Scholar] [CrossRef]
- Zamaraev, A.V.; Kopeina, G.S.; Prokhorova, E.A.; Zhivotovsky, B.; Lavrik, I.N. Post-translational Modification of Caspases: The Other Side of Apoptosis Regulation. Trends Cell Biol. 2017, 27, 322–339. [Google Scholar] [CrossRef]
- Mieyal, J.J.; Chock, P.B. Posttranslational modification of cysteine in redox signaling and oxidative stress: Focus on s-glutathionylation. Antioxid. Redox Signal 2012, 16, 471–475. [Google Scholar] [CrossRef]
- Matsui, R.; Ferran, B.; Oh, A.; Croteau, D.; Shao, D.; Han, J.; Pimentel, D.R.; Bachschmid, M.M. Redox Regulation via Glutaredoxin-1 and Protein S-Glutathionylation. Antioxid. Redox Signal 2020, 32, 677–700. [Google Scholar] [CrossRef]
- Gallogly, M.M.; Starke, D.W.; Mieyal, J.J. Mechanistic and kinetic details of catalysis of thiol-disulfide exchange by glutaredoxins and potential mechanisms of regulation. Antioxid. Redox Signal 2009, 11, 1059–1081. [Google Scholar] [CrossRef]
- Bandyopadhyay, S.; Starke, D.W.; Mieyal, J.J.; Gronostajski, R.M. Thioltransferase (glutaredoxin) reactivates the DNA-binding activity of oxidation-inactivated nuclear factor I. J. Biol. Chem. 1998, 273, 392–397. [Google Scholar] [CrossRef] [PubMed]
- Pimentel, D.R.; Adachi, T.; Ido, Y.; Heibeck, T.; Jiang, B.; Lee, Y.; Melendez, J.A.; Cohen, R.A.; Colucci, W.S. Strain-stimulated hypertrophy in cardiac myocytes is mediated by reactive oxygen species-dependent Ras S-glutathiolation. J. Mol. Cell. Cardiol. 2006, 41, 613–622. [Google Scholar] [CrossRef] [PubMed]
- Wang, J.; Boja, E.S.; Tan, W.; Tekle, E.; Fales, H.M.; English, S.; Mieyal, J.J.; Chock, P.B. Reversible glutathionylation regulates actin polymerization in A431 cells. J. Biol. Chem. 2001, 276, 47763–47766. [Google Scholar] [CrossRef] [PubMed]
- Murata, H.; Ihara, Y.; Nakamura, H.; Yodoi, J.; Sumikawa, K.; Kondo, T. Glutaredoxin exerts an antiapoptotic effect by regulating the redox state of Akt. J. Biol. Chem. 2003, 278, 50226–50233. [Google Scholar] [CrossRef] [PubMed]
- Klatt, P.; Lamas, S. c-Jun regulation by S-glutathionylation. Methods Enzymol. 2002, 348, 157–174. [Google Scholar] [CrossRef] [PubMed]
- Frithiof, H.; Welinder, C.; Larsson, A.M.; Rydén, L.; Aaltonen, K. A novel method for downstream characterization of breast cancer circulating tumor cells following CellSearch isolation. J. Transl. Med. 2015, 13, 126. [Google Scholar] [CrossRef] [PubMed]
- Brzozowa-Zasada, M.; Piecuch, A.; Michalski, M.; Matysiak, N.; Kucharzewski, M.; Łos, M.J. The Clinical Application of Immunohistochemical Expression of Notch4 Protein in Patients with Colon Adenocarcinoma. Int. J. Mol. Sci. 2023, 24, 7502. [Google Scholar] [CrossRef]
- Brzozowa-Zasada, M.; Ianaro, A.; Piecuch, A.; Michalski, M.; Matysiak, N.; Stęplewska, K. Immunohistochemical Expression of Glutathione Peroxidase-2 (Gpx-2) and Its Clinical Relevance in Colon Adenocarcinoma Patients. Int. J. Mol. Sci. 2023, 24, 14650. [Google Scholar] [CrossRef]
- Xiong, Y.; Xiao, C.; Li, Z.; Yang, X. Engineering nanomedicine for glutathione depletion-augmented cancer therapy. Chem. Soc. Rev. 2021, 50, 6013–6041. [Google Scholar] [CrossRef]
- Lv, H.; Zhen, C.; Liu, J.; Yang, P.; Hu, L.; Shang, P. Unraveling the Potential Role of Glutathione in Multiple Forms of Cell Death in Cancer Therapy. Oxid. Med. Cell Longev. 2019, 2019, 3150145. [Google Scholar] [CrossRef]
- Chiang, F.F.; Huang, S.C.; Yu, P.T.; Chao, T.H.; Huang, Y.C. Oxidative Stress Induced by Chemotherapy: Evaluation of Glutathione and Its Related Antioxidant Enzyme Dynamics in Patients with Colorectal Cancer. Nutrients 2023, 15, 5104. [Google Scholar] [CrossRef] [PubMed]
- Estrela, J.M.; Ortega, A.; Obrador, E. Glutathione in cancer biology and therapy. Crit. Rev. Clin. Lab. Sci. 2006, 43, 143–181. [Google Scholar] [CrossRef] [PubMed]
- O’Brien, M.L.; Tew, K.D. Glutathione and related enzymes in multidrug resistance. Eur. J. Cancer 1996, 32, 967–978. [Google Scholar] [CrossRef] [PubMed]
- Piecuch, A.; Kurek, J.; Kucharzewski, M.; Wyrobiec, G.; Jasiński, D.; Brzozowa-Zasada, M. Catalase immunoexpression in colorectal lesions. Prz. Gastroenterol. 2020, 15, 330–337. [Google Scholar] [CrossRef] [PubMed]
- Piecuch, A.; Brzozowa-Zasada, M.; Dziewit, B.; Segiet, O.; Kurek, J.; Kowalczyk-Ziomek, G.; Wojnicz, R.; Helewski, K. Immunohistochemical assessment of mitochondrial superoxide dismutase (MnSOD) in colorectal premalignant and malignant lesions. Prz. Gastroenterol. 2016, 11, 239–246. [Google Scholar] [CrossRef]
- Nozoe, T.; Honda, M.; Inutsuka, S.; Yasuda, M.; Korenaga, D. Significance of immunohistochemical expression of manganese superoxide dismutase as a marker of malignant potential in colorectal carcinoma. Oncol. Rep. 2003, 10, 39–43. [Google Scholar] [CrossRef] [PubMed]
- Robbins, D.; Zhao, Y. Manganese superoxide dismutase in cancer prevention. Antioxid. Redox Signal 2014, 20, 1628–1645. [Google Scholar] [CrossRef]
- Zińczuk, J.; Maciejczyk, M.; Zaręba, K.; Romaniuk, W.; Markowski, A.; Kędra, B.; Zalewska, A.; Pryczynicz, A.; Matowicka-Karna, J.; Guzińska-Ustymowicz, K. Antioxidant Barrier, Redox Status, and Oxidative Damage to Biomolecules in Patients with Colorectal Cancer. Can Malondialdehyde and Catalase Be Markers of Colorectal Cancer Advancement? Biomolecules 2019, 9, 637. [Google Scholar] [CrossRef]
- Gaya-Bover, A.; Hernández-López, R.; Alorda-Clara, M.; Ibarra de la Rosa, J.M.; Falcó, E.; Fernández, T.; Company, M.M.; Torrens-Mas, M.; Roca, P.; Oliver, J.; et al. Antioxidant enzymes change in different non-metastatic stages in tumoral and peritumoral tissues of colorectal cancer. Int. J. Biochem. Cell. Biol. 2020, 120, 105698. [Google Scholar] [CrossRef]
- Brzozowa-Zasada, M.; Piecuch, A.; Bajdak-Rusinek, K.; Janelt, K.; Michalski, M.; Klymenko, O.; Matysiak, N. Immunohistochemical Expression of Glutathione Peroxidase 1 (Gpx-1) as an Independent Prognostic Factor in Colon Adenocarcinoma Patients. Pharmaceuticals 2023, 16, 740. [Google Scholar] [CrossRef]
- Acevedo-León, D.; Monzó-Beltrán, L.; Gómez-Abril, S.Á.; Estañ-Capell, N.; Camarasa-Lillo, N.; Pérez-Ebri, M.L.; Escandón-Álvarez, J.; Alonso-Iglesias, E.; Santaolaria-Ayora, M.L.; Carbonell-Moncho, A.; et al. The Effectiveness of Glutathione Redox Status as a Possible Tumor Marker in Colorectal Cancer. Int. J. Mol. Sci. 2021, 22, 6183. [Google Scholar] [CrossRef]
- Moghadamyeghaneh, Z.; Hanna, M.H.; Carmichael, J.C.; Mills, S.D.; Pigazzi, A.; Stamos, M.J. Preoperative leukocytosis in colorectal cancer patients. J. Am. Coll. Surg. 2015, 221, 207–214. [Google Scholar] [CrossRef] [PubMed]
- Zeng, J.; Tang, Z.H.; Liu, S.; Guo, S.S. Clinicopathological significance of overexpression of interleukin-6 in colorectal cancer. World J. Gastroenterol. 2017, 23, 1780–1786. [Google Scholar] [CrossRef]
- Jagust, P.; Alcalá, S.; Sainz Jr, B.; Heeschen, C.; Sancho, P. Glutathione metabolism is essential for self-renewal and chemoresistance of pancreatic cancer stem cells. World J. Stem Cells. 2020, 12, 1410–1428. [Google Scholar] [CrossRef]
- Abdel Hadi, N.; Reyes-Castellanos, G.; Carrier, A. Targeting Redox Metabolism in Pancreatic Cancer. Int. J. Mol. Sci. 2021, 22, 1534. [Google Scholar] [CrossRef] [PubMed]
- Nishizawa, S.; Araki, H.; Ishikawa, Y.; Kitazawa, S.; Hata, A.; Soga, T.; Hara, T. Low tumor glutathione level as a sensitivity marker for glutamate-cysteine ligase inhibitors. Oncol. Lett. 2018, 15, 8735–8743. [Google Scholar] [CrossRef] [PubMed]
- Kim, A.D.; Zhang, R.; Han, X.; Kang, K.A.; Piao, M.J.; Maeng, Y.H.; Chang, W.Y.; Hyun, J.W. Involvement of glutathione and glutathione metabolizing enzymes in human colorectal cancer cell lines and tissues. Mol. Med. Rep. 2015, 12, 4314–4319. [Google Scholar] [CrossRef]
- Oppong, D.; Schiff, W.; Shivamadhu, M.C.; Ahn, Y.H. Chemistry and biology of enzymes in protein glutathionylation. Curr. Opin. Chem. Biol. 2023, 75, 102326. [Google Scholar] [CrossRef]
- Shi, T.; Dansen, T.B. Reactive Oxygen Species Induced p53 Activation: DNA Damage, Redox Signaling, or Both? Antioxid. Redox Signal 2020, 33, 839–859. [Google Scholar] [CrossRef]
- Hafsi, H.; Hainaut, P. Redox control and interplay between p53 isoforms: Roles in the regulation of basal p53 levels, cell fate, and senescence. Antioxid. Redox Signal 2011, 15, 1655–1667. [Google Scholar] [CrossRef]
- Chen, X.; Lv, Q.; Hong, Y.; Chen, X.; Cheng, B.; Wu, T. IL-1β maintains the redox balance by regulating glutaredoxin 1 expression during oral carcinogenesis. J. Oral. Pathol. Med. 2017, 46, 332–339. [Google Scholar] [CrossRef]
- Hashemy, S.I.; Johansson, C.; Berndt, C.; Lillig, C.H.; Holmgren, A. Oxidation and S-nitrosylation of cysteines in human cytosolic and mitochondrial glutaredoxins: Effects on structure and activity. J. Biol. Chem. 2007, 282, 14428–14436. [Google Scholar] [CrossRef] [PubMed]
- Ukuwela, A.A.; Bush, A.I.; Wedd, A.G.; Xiao, Z. Reduction potentials of protein disulfides and catalysis of glutathionylation and deglutathionylation by glutaredoxin enzymes. Biochem. J. 2017, 474, 3799–3815. [Google Scholar] [CrossRef] [PubMed]
- Ogata, F.T.; Branco, V.; Vale, F.F.; Coppo, L. Glutaredoxin: Discovery, redox defense and much more. Redox Biol. 2021, 43, 101975. [Google Scholar] [CrossRef]
- Jung, C.H.; Thomas, J.A. S-glutathiolated hepatocyte proteins and insulin disulfides as substrates for reduction by glutaredoxin, thioredoxin, protein disulfide isomerase, and glutathione. Arch. Biochem. Biophys. 1996, 335, 61–72. [Google Scholar] [CrossRef]
- Ho, Y.S.; Xiong, Y.; Ho, D.S.; Gao, J.; Chua, B.H.; Pai, H.; Mieyal, J.J. Targeted disruption of the glutaredoxin 1 gene does not sensitize adult mice to tissue injury induced by ischemia/reperfusion and hyperoxia. Free Radic. Biol. Med. 2007, 43, 1299–1312. [Google Scholar] [CrossRef] [PubMed]
- Yura, Y.; Chong, B.S.H.; Johnson, R.D.; Watanabe, Y.; Tsukahara, Y.; Ferran, B.; Murdoch, C.E.; Behring, J.B.; McComb, M.E.; Costello, C.E.; et al. Endothelial cell-specific redox gene modulation inhibits angiogenesis but promotes B16F0 tumor growth in mice. FASEB J. 2019, 33, 14147–14158. [Google Scholar] [CrossRef]
- Bansal, A.; Simon, M.C. Glutathione metabolism in cancer progression and treatment resistance. J. Cell Biol. 2018, 217, 2291–2298. [Google Scholar] [CrossRef]
- Peltoniemi, M.; Kaarteenaho-Wiik, R.; Säily, M.; Sormunen, R.; Pääkkö, P.; Holmgren, A.; Soini, Y.; Kinnula, V.L. Expression of glutaredoxin is highly cell specific in human lung and is decreased by transforming growth factor-beta in vitro and in interstitial lung diseases in vivo. Hum. Pathol. 2004, 35, 1000–1007. [Google Scholar] [CrossRef]
- Reynaert, N.L.; Wouters, E.F.; Janssen-Heininger, Y.M. Modulation of glutaredoxin-1 expression in a mouse model of allergic airway disease. Am. J. Respir. Cell Mol. Biol. 2007, 36, 147–151. [Google Scholar] [CrossRef]
- Fernandes, A.P.; Capitanio, A.; Selenius, M.; Brodin, O.; Rundlöf, A.K.; Björnstedt, M. Expression profiles of thioredoxin family proteins in human lung cancer tissue: Correlation with proliferation and differentiation. Histopathology 2009, 55, 313–320. [Google Scholar] [CrossRef]
- Cha, M.K.; Kim, I.H. Preferential overexpression of glutaredoxin3 in human colon and lung carcinoma. Cancer Epidemiol. 2009, 33, 281–287. [Google Scholar] [CrossRef] [PubMed]
- Nakamura, H.; Bai, J.; Nishinaka, Y.; Ueda, S.; Sasada, T.; Ohshio, G.; Imamura, M.; Takabayashi, A.; Yamaoka, Y.; Yodoi, J. Expression of thioredoxin and glutaredoxin, redox-regulating proteins, in pancreatic cancer. Cancer Detect. Prev. 2000, 24, 53–60. [Google Scholar] [PubMed]
- Abdel-Hamid, N.M.; Mahmoud, T.K.; Abass, S.A.; El-Shishtawy, M.M. Expression of thioredoxin and glutaredoxin in experimental hepatocellular carcinoma-Relevance for prognostic and diagnostic evaluation. Pathophysiology 2018, 25, 433–438. [Google Scholar] [CrossRef] [PubMed]
- Peña, C.A.; González, R.; López-Grueso, M.J.; Antonio Bárcena, J. Redox Regulation Of Metabolic And Signaling Pathways By Thioredoxin and Glutaredoxin in Nitric Oxide Treated Hepatoblastoma Cells. Redox Biol. 2015, 5, 418. [Google Scholar] [CrossRef] [PubMed]
- González, R.; López-Grueso, M.J.; Muntané, J.; Bárcena, J.A.; Padilla, C.A. Redox regulation of metabolic and signaling pathways by thioredoxin and glutaredoxin in NOS-3 overexpressing hepatoblastoma cells. Redox Biol. 2015, 6, 122–134. [Google Scholar] [CrossRef]
- Brancaccio, M.; Russo, M.; Masullo, M.; Palumbo, A.; Russo, G.L.; Castellano, I. Sulfur-containing histidine compounds inhibit γ-glutamyl transpeptidase activity in human cancer cells. J. Biol. Chem. 2019, 294, 14603–14614. [Google Scholar] [CrossRef]
- Fortea-Sanchis, C.; Martínez-Ramos, D.; Escrig-Sos, J. The lymph node status as a prognostic factor in colon cancer: Comparative population study of classifications using the logarithm of the ratio between metastatic and nonmetastatic nodes (LODDS) versus the pN-TNM classification and ganglion ratio systems. BMC Cancer 2018, 18, 1208. [Google Scholar] [CrossRef]
- Remmele, W.; Stegner, H.E. Vorschlag zur einheitlichen Definition eines Immunreaktiven Score (IRS) für den immunhistochemischen Ostrogenrezeptor-Nachweis (ER-ICA) im Mammakarzinomgewebe [Recommendation for uniform definition of an immunoreactive score (IRS) for immunohistochemical oestrogen receptor detection (ER-ICA) in breast cancer tissue]. Pathologe 1987, 8, 138–140. [Google Scholar]
- Alnuaimi, A.R.; Bottner, J.; Nair, V.A.; Ali, N.; Alnakhli, R.; Dreyer, E.; Talaat, I.M.; Busch, H.; Perner, S.; Kirfel, J.; et al. Immunohistochemical Expression Analysis of Caldesmon Isoforms in Colorectal Carcinoma Reveals Interesting Correlations with Tumor Characteristics. Int. J. Mol. Sci. 2023, 24, 2275. [Google Scholar] [CrossRef]









| N (Number of Cases) | % | ||
|---|---|---|---|
| Gender | Females | 70 | 51.85 |
| Males | 65 | 48.15 | |
| Age [years] | ≤60 years | 54 | 40.00 |
| 61–75 years | 43 | 31.85 | |
| >75 years | 38 | 28.15 | |
| M ± SD | 64.10 ± 13.47 | ||
| Me [Q1–Q3] | 64 [Age range: 55–77] | ||
| Min–Max | 33–89 | ||
| Grade of histological differentiation | G1 | 21 | 15.55 |
| G2 | 72 | 53.33 | |
| G3 | 42 | 31.11 | |
| Depth of invasion | T1 | 14 | 10.37 |
| T2 | 21 | 15.56 | |
| T3 | 79 | 58.52 | |
| T4 | 21 | 15.56 | |
| Regional lymph node involvement | N0 | 57 | 42.22 |
| N1 | 45 | 33.33 | |
| N2 | 33 | 24.45 | |
| Location of tumor | Proximal | 72 | 53.33 |
| Distal | 63 | 46.67 | |
| Angioinvasion | No | 29 | 21.48 |
| Yes | 106 | 78.52 | |
| PCNA immunohistochemical expression | Low | 42 | 31.11 |
| High | 93 | 68.89 | |
| Staging | I | 24 | 17.78 |
| II | 36 | 26.67 | |
| III | 75 | 55.55 | |
| The Immunoexpression Level of Grx1 | ||||||
|---|---|---|---|---|---|---|
| Low | High | p-Value | ||||
| Age [Years] | ≤60 years | 39 | (72.22%) | 15 | (27.78%) | p = 0.764 |
| 61–75 years | 32 | (74.42%) | 11 | (25.58%) | ||
| >75 years | 30 | (78.95%) | 8 | (21.05%) | ||
| Gender | Females | 52 | (74.29%) | 18 | (25.71%) | p = 0.883 |
| Males | 49 | (75.38%) | 16 | (24.62%) | ||
| Grade of histological differentiation | G1 | 8 | (38.1%) | 13 | (61.9%) | p < 0.001 |
| G2 | 56 | (77.78%) | 16 | (22.22%) | ||
| G3 | 37 | (88.1%) | 5 | (11.9%) | ||
| Depth of invasion | T1/T2 | 13 | (37.14%) | 22 | (62.86%) | p < 0.001 |
| T3/T4 | 88 | (88,00%) | 12 | (12,00%) | ||
| Regional lymph node involvement | N0 | 26 | (45.61%) | 31 | (54.39%) | p < 0.001 |
| N1/N2 | 75 | (96.15%) | 3 | (3.85%) | ||
| Location of tumor | Proximal | 52 | (72.22%) | 20 | (27.78%) | p = 0.458 |
| Distal | 49 | (77.78%) | 14 | (22.22%) | ||
| Angioinvasion | No | 16 | (55.17%) | 13 | (44.83%) | p = 0.012 |
| Yes | 85 | (80.19%) | 21 | (19.81%) | ||
| PCNA immunohistochemical expression | Low | 21 | (50,00%) | 21 | (50,00%) | p < 0.001 |
| High | 80 | (86.02%) | 13 | (13.98%) | ||
| Staging | I | 3 | (12.5%) | 21 | (87.5%) | p < 0.001 |
| II | 24 | (66.67%) | 12 | (33.33%) | ||
| III | 74 | (98.67%) | 1 | (1.33%) | ||
| The Immunoexpression Level of Grx1 | p-Value | |||||
|---|---|---|---|---|---|---|
| Low | HIGH | |||||
| PCNA expression | Low | 21 | (15.56%) | 21 | (15.56%) | p = 0.230 |
| High | 80 | (59.26%) | 13 | (9.63%) | p < 0.001 | |
| Prognostic Parameter | Univariate Analysis | Multivariate Analysis | ||||
|---|---|---|---|---|---|---|
| HR | 95% CI | p-Value | HR | 95% CI | p-Value | |
| Gender: male (ref: female) | 1.033 | 0.715–1.491 | 0.864 | – | – | – |
| Age | 0.998 | 0.984–1.012 | 0.816 | – | – | – |
| Age: 61–75 (ref: <60) | 0.923 | 0.598–1.427 | 0.719 | – | – | – |
| Age: >75 (ref: <60) | 0.974 | 0.617–1.536 | 0.910 | – | – | – |
| Staging: II (ref: I) | 3.503 | 1.757–6.986 | <0.001 | 9.864 | 3.195–30.460 | <0.001 |
| Staging: III (ref: I) | 5.484 | 2.855–10.535 | <0.001 | 15.279 | 2.094–111.483 | 0.007 |
| G2 (ref: G1) | 3.094 | 1.622–5.902 | 0.001 | 1.837 | 0.697–4.838 | 0.218 |
| G3 (ref: G1) | 2.766 | 1.409–5.430 | 0.003 | 1.281 | 0.461–3.561 | 0.635 |
| T3/T4 (ref: T1/T2) | 2.429 | 1.500–3.932 | <0.001 | 0.368 | 0.174–0.778 | 0.009 |
| N1 (ref: N0) | 2.094 | 1.351–3.245 | 0.001 | 0.809 | 0.179–3.651 | 0.783 |
| N2 (re: N0) | 2.596 | 1.588–4.246 | <0.001 | 1.018 | 0.209–4.964 | 0.982 |
| Proximal (ref: distal) | 0.984 | 0.680–1.423 | 0.931 | – | – | – |
| Grx1 expression high (ref: low) | 0.373 | 0.234–0.595 | <0.001 | 1.316 | 0.666–2.598 | 0.429 |
| Angioinvasion YES (ref: NO) | 2.076 | 1.235–3.491 | 0.006 | 0.811 | 0.367–1.793 | 0.605 |
| PCNA expression: high (ref: low) | 2.806 | 1.740–4.527 | <0.001 | 2.064 | 1.189–3.583 | 0.010 |
| Grx1 Serum Level in Colon Adenocarcinoma Patients | |||||||||
|---|---|---|---|---|---|---|---|---|---|
| N | % | M | Me | Min | Max | Q1 | Q3 | SD | |
| x ≤ Q1 | 19 | 26.03 | 1.56 | 1.46 | 0.23 | 2.88 | 1.00 | 2.35 | 0.68 |
| Q1 < x < Q3 | 35 | 47.94 | 12.02 | 11.61 | 3.21 | 27.76 | 7.62 | 14.35 | 6.39 |
| x ≥ Q3 | 19 | 26.03 | 44.14 | 45.66 | 28.73 | 56.99 | 34.79 | 46.97 | 8.82 |
Disclaimer/Publisher’s Note: The statements, opinions and data contained in all publications are solely those of the individual author(s) and contributor(s) and not of MDPI and/or the editor(s). MDPI and/or the editor(s) disclaim responsibility for any injury to people or property resulting from any ideas, methods, instructions or products referred to in the content. |
© 2024 by the authors. Licensee MDPI, Basel, Switzerland. This article is an open access article distributed under the terms and conditions of the Creative Commons Attribution (CC BY) license (https://creativecommons.org/licenses/by/4.0/).
Share and Cite
Brzozowa-Zasada, M.; Piecuch, A.; Bajdak-Rusinek, K.; Gołąbek, K.; Michalski, M.; Matysiak, N.; Czuba, Z. A Prognostic Activity of Glutaredoxin 1 Protein (Grx1) in Colon Cancer. Int. J. Mol. Sci. 2024, 25, 1007. https://doi.org/10.3390/ijms25021007
Brzozowa-Zasada M, Piecuch A, Bajdak-Rusinek K, Gołąbek K, Michalski M, Matysiak N, Czuba Z. A Prognostic Activity of Glutaredoxin 1 Protein (Grx1) in Colon Cancer. International Journal of Molecular Sciences. 2024; 25(2):1007. https://doi.org/10.3390/ijms25021007
Chicago/Turabian StyleBrzozowa-Zasada, Marlena, Adam Piecuch, Karolina Bajdak-Rusinek, Karolina Gołąbek, Marek Michalski, Natalia Matysiak, and Zenon Czuba. 2024. "A Prognostic Activity of Glutaredoxin 1 Protein (Grx1) in Colon Cancer" International Journal of Molecular Sciences 25, no. 2: 1007. https://doi.org/10.3390/ijms25021007
APA StyleBrzozowa-Zasada, M., Piecuch, A., Bajdak-Rusinek, K., Gołąbek, K., Michalski, M., Matysiak, N., & Czuba, Z. (2024). A Prognostic Activity of Glutaredoxin 1 Protein (Grx1) in Colon Cancer. International Journal of Molecular Sciences, 25(2), 1007. https://doi.org/10.3390/ijms25021007

