Enzymatic Methoxycarbonylation of Tyrosol and Hydroxytyrosol
Abstract
1. Introduction
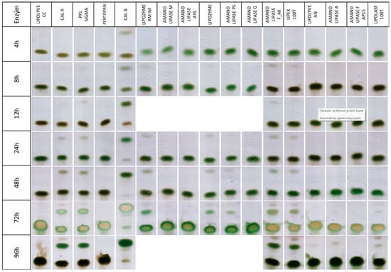
2. Results and Discussion
3. Materials and Methods
3.1. Apparatus
3.2. Enzymes and Chemicals
3.3. Synthesis of Hydroxytyrosol and Standards of Tyrosol Methyl Carbonate and Hydroxytyrosol Methyl Carbonate
3.4. Enzymatic Reactions
3.4.1. Screening of Enzymes for Methoxycabonylations of Tyrosol
3.4.2. Screening of Reaction Conditions for Methoxycabonylations of Tyrosol and Hydroxytyrosol
3.4.3. Preparation of Tyrosol Methyl Carbonate and Hydroxytyrosol Methyl Carbonate
3.4.4. Enzymatic Hydrolysis of Tyrosol Methyl Carbonate 3
3.5. NMR Data of Products
3.5.1. Tyrosol Methyl Carbonate (4-Hydroxyphenethyl Methyl Carbonate, 3)
3.5.2. Hydroxytyrosol Methyl Carbonate (3,4-Dihydroxyphenethyl Methyl Carbonate, 4)
4. Conclusions
Supplementary Materials
Author Contributions
Funding
Institutional Review Board Statement
Informed Consent Statement
Data Availability Statement
Acknowledgments
Conflicts of Interest
References
- Wu, L.; Georgiev, M.I.; Cao, H.; Nahar, L.; El-Seedi, H.R.; Sarker, S.D.; Xiao, J.; Lu, B. Therapeutic potential of phenylethanoid glycosides: A systematic review. Med. Res. Rev. 2020, 40, 2605–2649. [Google Scholar] [CrossRef] [PubMed]
- Xue, Z.; Yang, B. Phenylethanoid glycosides: Research advances in their phytochemistry, pharmacological activity and pharmacokinetics. Molecules 2016, 21, 991. [Google Scholar] [CrossRef] [PubMed]
- Tian, X.Y.; Li, M.X.; Lin, T.; Qiu, Y.; Zhu, Y.T.; Li, X.L.; Tao, W.D.; Wang, P.; Ren, X.X.; Chen, L.P. A review on the structure and pharmacological activity of phenylethanoid glycosides. Eur. J. Med. Chem. 2021, 209, 112563. [Google Scholar] [CrossRef]
- Bernini, R.; Merendino, N.; Romani, A.; Velotti, F. Naturally Occurring Hydroxytyrosol: Synthesis and Anticancer Potential. Curr. Med. Chem. 2013, 20, 655–670. [Google Scholar] [CrossRef]
- Cornwell, D.G.; Ma, J. Nutritional benefit of olive oil: The biological effects of hydroxytyrosol and its arylating quinone adducts. J. Agric. Food Chem. 2008, 56, 8774–8786. [Google Scholar] [CrossRef] [PubMed]
- Giovannini, C.; Straface, E.; Modesti, D.; Coni, E.; Cantafora, A.; De Vincenzi, M.; Malorni, W.; Masella, R. Tyrosol, the major olive oil biophenol, protects against oxidized-LDL- induced injury in Caco-2 cells. J. Nutr. 1999, 129, 1269–1277. [Google Scholar] [CrossRef] [PubMed]
- Di Benedetto, R.; Varì, R.; Scazzocchio, B.; Filesi, C.; Santangelo, C.; Giovannini, C.; Matarrese, P.; D’Archivio, M.; Masella, R. Tyrosol, the major extra virgin olive oil compound, restored intracellular antioxidant defences in spite of its weak antioxidative effectiveness. Nutr. Metab. Cardiovasc. Dis. 2007, 17, 535–545. [Google Scholar] [CrossRef]
- Lanigan, R.S.; Yamarik, T.A. Final Report on the Safety Assessment of BHT. Int. J. Toxicol. 2002, 21, 19–94. [Google Scholar] [CrossRef]
- Hafner, M.d.F.S.; Rodrigues, A.C.; Lazzarini, R. Allergic contact dermatitis to cosmetics: Retrospective analysis of a population subjected to patch tests between 2004 and 2017. An. Bras. Dermatol. 2020, 95, 696–701. [Google Scholar] [CrossRef]
- Bernini, R.; Crisante, F.; Barontini, M.; Tofani, D.; Balducci, V.; Gambacorta, A. Synthesis and structure/antioxidant activity relationship of novel catecholic antioxidant structural analogues to hydroxytyrosol and its lipophilic esters. J. Agric. Food Chem. 2012, 60, 7408–7416. [Google Scholar] [CrossRef]
- Mateos, R.; Trujillo, M.; Pereira-Caro, G.; Madrona, A.; Cert, A.; Espartero, J.L. New lipophilic tyrosyl esters. Comparative antioxidant evaluation with hydroxytyrosyl esters. J. Agric. Food Chem. 2008, 56, 10960–10966. [Google Scholar] [CrossRef] [PubMed]
- Fernandez-Pastor, I.; Fernandez-Hernandez, A.; Rivas, F.; Martinez, A.; Garcia-Granados, A.; Parra, A. Synthesis and Antioxidant Activity of Hydroxytyrosol Alkyl-Carbonate Derivatives. J. Nat. Prod. 2016, 79, 1737–1745. [Google Scholar] [CrossRef] [PubMed]
- Madrona, A.; Pereira-Caro, G.; Mateos, R.; Rodríguez, G.; Trujillo, M.; Fernández-Bolaños, J.; Espartero, J.L. Synthesis of hydroxytyrosyl alkyl ethers from olive oil waste waters. Molecules 2009, 14, 1762–1772. [Google Scholar] [CrossRef]
- Bernini, R.; Cacchi, S.; Fabrizi, G.; Filisti, E. 2-Arylhydroxytyrosol Derivatives via Suzuki—Miyaura Cross-Coupling. Org. Lett. 2008, 10, 3457–3460. [Google Scholar] [CrossRef]
- Medina, I.; Lois, S.; Alcantara, D.; Lucas, R.; Morales, J.C. Effect of lipophilization of hydroxytyrosol on its antioxidant activity in fish oils and fish oil-in-water emulsions. J. Agric. Food Chem. 2009, 57, 9773–9779. [Google Scholar] [CrossRef]
- Laszlo, J.A.; Cermak, S.C.; Evans, K.O.; Compton, D.L.; Evangelista, R.; Berhow, M.A. Medium-chain alkyl esters of tyrosol and hydroxytyrosol antioxidants by cuphea oil transesterification. Eur. J. Lipid Sci. Technol. 2013, 115, 363–371. [Google Scholar] [CrossRef]
- Grasso, S.; Siracusa, L.; Spatafora, C.; Renis, M.; Tringali, C. Hydroxytyrosol lipophilic analogues: Enzymatic synthesis, radical scavenging activity and DNA oxidative damage protection. Bioorg. Chem. 2007, 35, 137–152. [Google Scholar] [CrossRef]
- Fuggetta, M.P.; Cottarelli, A.; Lanzilli, G.; Tricarico, M.; Bernini, R. In Vitro Antitumor Activity of Olive Oil Tyrosol and Hydroxytyrosol and their Methyl Carbonate Derivatives. Med. Aromat. Plant Sci. Biotechnol. 2012, 6, 25–30. [Google Scholar]
- Vicinanza, S.; Annunziata, F.; Pecora, D.; Pinto, A.; Tamborini, L. Lipase-mediated flow synthesis of nature-inspired phenolic carbonates. RSC Adv. 2023, 13, 22901–22904. [Google Scholar] [CrossRef]
- Abramowicz, D.A.; Keese, C.R. Enzymatic transesterifications of carbonates in water-restricted environments. Biotechnol. Bioeng. 1989, 33, 149–156. [Google Scholar] [CrossRef]
- Tudorache, M.; Protesescu, L.; Coman, S.; Parvulescu, V.I. Efficient bio-conversion of glycerol to glycerol carbonate catalyzed by lipase extracted from Aspergillus niger. Green Chem. 2012, 14, 478–482. [Google Scholar] [CrossRef]
- Tudorache, M.; Negoi, A.; Tudora, B.; Parvulescu, V.I. Environmental-friendly strategy for biocatalytic conversion of waste glycerol to glycerol carbonate. Appl. Catal. B Environ. 2014, 146, 274–278. [Google Scholar] [CrossRef]
- Gotor-Fernández, V.; Fernández-Torres, P.; Gotor, V. Chemoenzymatic preparation of optically active secondary amines: A new efficient route to enantiomerically pure indolines. Tetrahedron Asymmetry 2006, 17, 2558–2564. [Google Scholar] [CrossRef]
- Lee, K.H.; Park, C.H.; Lee, E.Y. Biosynthesis of glycerol carbonate from glycerol by lipase in dimethyl carbonate as the solvent. Bioprocess Biosyst. Eng. 2010, 33, 1059–1065. [Google Scholar] [CrossRef] [PubMed]
- Haluz, P.; Mastihubová, M.; Karnišová Potocká, E.; Pančík, F.; Mastihuba, V. Robinobiosylation of tyrosol by seed meal from Rhamnus cathartica. Chem. Pap. 2023, 77, 7993–7998. [Google Scholar] [CrossRef]
- Haluz, P.; Kis, P.; Cvečko, M.; Mastihubová, M.; Mastihuba, V. Acuminosylation of Tyrosol by a Commercial Diglycosidase. Int. J. Mol. Sci. 2023, 24, 5943. [Google Scholar] [CrossRef]
- Wang, H.H.; Zhang, Q.; Yu, X.; Liang, J.; Zhang, Y.; Jiang, Y.; Su, W. Application of Lipase B from Candida antarctica in the Pharmaceutical Industry. Ind. Eng. Chem. Res. 2023, 62, 15733–15751. [Google Scholar] [CrossRef]
- Ortiz, C.; Ferreira, M.L.; Barbosa, O.; dos Santos, J.C.S.; Rodrigues, R.C.; Berenguer-Murcia, Á.; Briand, L.E.; Fernandez-Lafuente, R. Novozym 435: The “perfect” lipase immobilized biocatalyst? Catal. Sci. Technol. 2019, 9, 2380–2420. [Google Scholar] [CrossRef]
- Gonçalves, M.C.P.; Romanelli, J.P.; Guimarães, J.R.; Vieira, A.C.; de Azevedo, B.P.; Tardioli, P.W. Reviewing research on the synthesis of CALB-catalyzed sugar esters incorporating systematic mapping principles. Crit. Rev. Biotechnol. 2021, 41, 865–878. [Google Scholar] [CrossRef]
- Tasaki, H.; Toshima, K.; Matsumura, S. Enzymatic Synthesis and Polymerization of Cyclic Trimethylene Carbonate Monomer with/without Methyl Substituent. Macromol. Biosci. 2003, 3, 436–441. [Google Scholar] [CrossRef]
- Zhang, Z.; Xiao, B.; Chen, Q.; Lian, X.Y. Synthesis and biological evaluation of caffeic acid 3,4-dihydroxyphenethyl ester. J. Nat. Prod. 2010, 73, 252–254. [Google Scholar] [CrossRef] [PubMed]







| Lipase | Origin | Specificity/Application |
|---|---|---|
| Lipase A | Aspergillus niger | DMC [21,22] |
| Lipolyve AN | Aspergillus niger | DMC [21,22] |
| Lipase G | Penicillium camemberti | SCEs 1 |
| Lipase F-AP15 | Rhizopus oryzae | Sn-1,3 |
| Lipozyme RM-IM | Rhizomucor miehei | SCEs 1 |
| Lipase M | Mucor javanicus | Sn-1,3 |
| Lipex 100T | Thermomyces lanuginosus | Sn-1,3 |
| Lipolase 100T | Thermomyces lanuginosus | Sn-1,3 |
| Lipozyme TL-IM | Thermomyces lanuginosus | Sn-1,3 |
| Pentopan 500 BG | Thermomyces lanuginosus | Sn-1,3 |
| Lipase AYS | Candida rugosa (cylindracea) | Diphenyl carbonate [20] |
| Lipolyve CC | Candida rugosa (cylindracea) | Diphenyl carbonate [20] |
| Novozym 735 | Candida antarctica lipase A | Various carbonates [24] |
| Novozym 435 | Candida antarctica lipase B | Various carbonates [19,23,24] |
| Lipase F-AK | Pseudomonas fluorescens | Non-specific, SCEs 1 |
| Lipase PS | Burkholderia cepacia | DMC [24] |
| PPL | Pig pancreas | Sn-1,3 |
Disclaimer/Publisher’s Note: The statements, opinions and data contained in all publications are solely those of the individual author(s) and contributor(s) and not of MDPI and/or the editor(s). MDPI and/or the editor(s) disclaim responsibility for any injury to people or property resulting from any ideas, methods, instructions or products referred to in the content. |
© 2024 by the authors. Licensee MDPI, Basel, Switzerland. This article is an open access article distributed under the terms and conditions of the Creative Commons Attribution (CC BY) license (https://creativecommons.org/licenses/by/4.0/).
Share and Cite
Černáková, L.; Macková, M.; Klempová, T.; Haluz, P.; Mastihuba, V.; Mastihubová, M. Enzymatic Methoxycarbonylation of Tyrosol and Hydroxytyrosol. Int. J. Mol. Sci. 2024, 25, 10057. https://doi.org/10.3390/ijms251810057
Černáková L, Macková M, Klempová T, Haluz P, Mastihuba V, Mastihubová M. Enzymatic Methoxycarbonylation of Tyrosol and Hydroxytyrosol. International Journal of Molecular Sciences. 2024; 25(18):10057. https://doi.org/10.3390/ijms251810057
Chicago/Turabian StyleČernáková, Lucia, Michaela Macková, Tatiana Klempová, Peter Haluz, Vladimír Mastihuba, and Mária Mastihubová. 2024. "Enzymatic Methoxycarbonylation of Tyrosol and Hydroxytyrosol" International Journal of Molecular Sciences 25, no. 18: 10057. https://doi.org/10.3390/ijms251810057
APA StyleČernáková, L., Macková, M., Klempová, T., Haluz, P., Mastihuba, V., & Mastihubová, M. (2024). Enzymatic Methoxycarbonylation of Tyrosol and Hydroxytyrosol. International Journal of Molecular Sciences, 25(18), 10057. https://doi.org/10.3390/ijms251810057

