Ginsenoside Rh2 Alleviates LPS-Induced Inflammatory Responses by Binding to TLR4/MD-2 and Blocking TLR4 Dimerization
Abstract
1. Introduction
2. Results
2.1. Effect of G-Rh2 on the Levels of TNF-α, IL-6 and NO
2.2. Effect of G-Rh2 on the Binding of FITC-LPS to the Cell Membrane
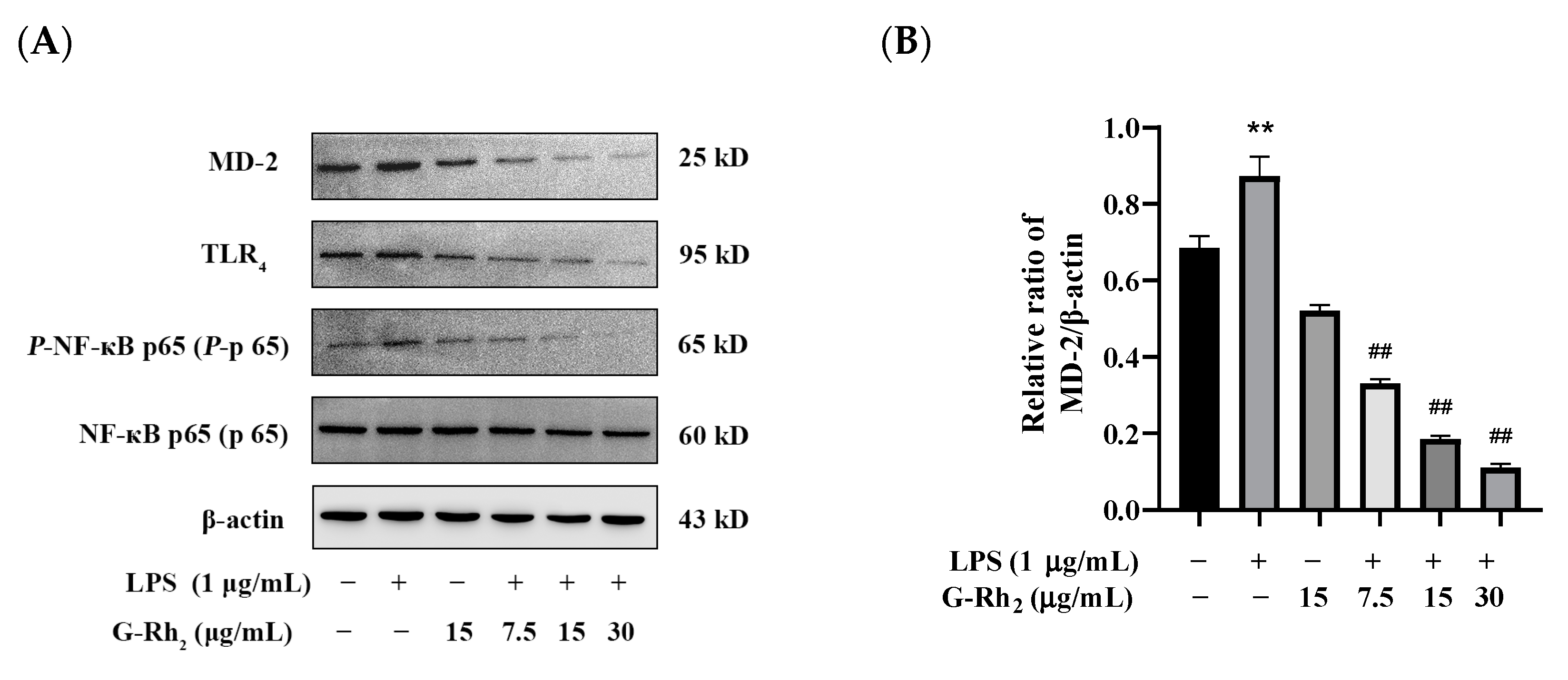
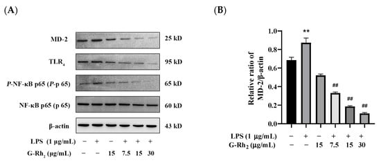
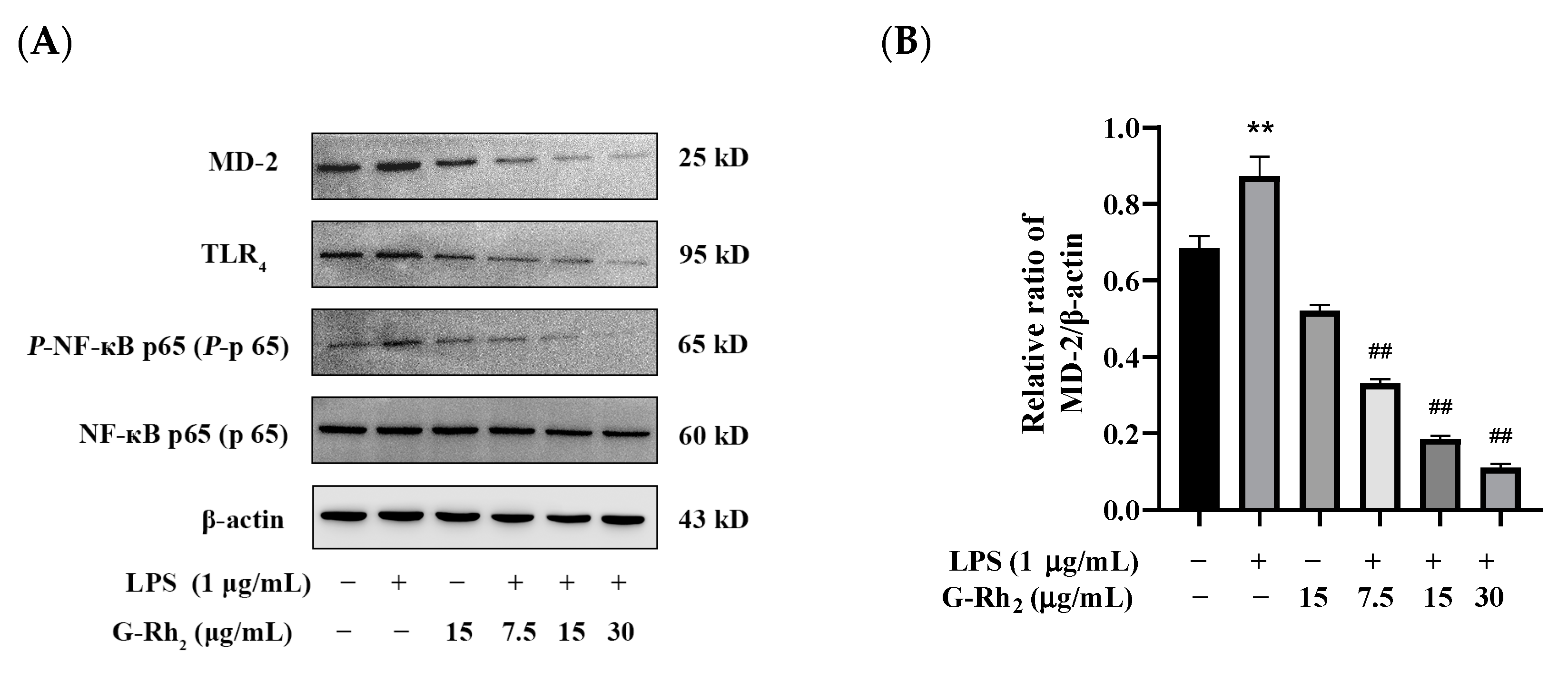
2.3. Effect of G-Rh2 on the Activation of the TLR4/NF-κB Signaling Pathway
2.4. Effect of G-Rh2 on the Dimerization of TLR4 and MD-2
2.5. G-Rh2 Binds to TLR4/MD-2, Blocking the Formation of LPS-TLR4/MD-2 Complexes
3. Discussion
4. Materials and Methods
4.1. Main Chemicals and Reagents
4.2. Cell Culture and Viability Assay
4.3. Detection of Pro-Inflammatory Factors
4.4. Flow Cytometric Analysis of FITC-LPS Binding
4.5. Determination of Membrane Localization of FITC-LPS
4.6. Western Blot Assay
4.7. Co-Immunoprecipitation (Co-IP)
4.8. Molecular Docking Study
4.9. SPR Analysis
4.10. Statistical Analysis
5. Conclusions
Author Contributions
Funding
Institutional Review Board Statement
Informed Consent Statement
Data Availability Statement
Conflicts of Interest
Abbreviations
References
- Zhang, Y.S.; Liang, X.J.; Bao, X.F.; Xiao, W.; Chen, G.L. Toll-like receptor 4 (TLR4) inhibitors: Current research and prospective. Eur. J. Med. Chem. 2022, 235, 114291. [Google Scholar] [CrossRef] [PubMed]
- Wang, Z.; Fang, Y.; Zeng, Y.; Yang, X.; Yu, F.M.; Wang, B. Immunomodulatory peptides from thick-shelled mussel (Mytilus coruscus): Isolation, identification, molecular docking and immunomodulatory effects on RAW 264.7 cells. Food Biosci. 2024, 172, 103874. [Google Scholar] [CrossRef]
- Park, B.S.; Song, D.H.; Kim, H.M.; Choi, B.S.; Lee, H.; Lee, J.O. The structural basis of lipopolysaccharide recognition by the TLR4-MD-2 complex. Nature 2009, 458, 1191–1195. [Google Scholar] [CrossRef]
- Billod, J.M.; Lacetera, A.; Guzmán-Caldentey, J.; Martín-Santamaría, S. Computational Approaches to Toll-like Receptor 4 Modulation. Molecules 2016, 21, 994. [Google Scholar] [CrossRef]
- Takeuchi, O.; Akira, S. Pattern Recognition Receptors and Inflammation. Cell 2010, 140, 805–820. [Google Scholar] [CrossRef]
- O’Neill, L.A.J.; Bowie, A.G. The family of five: TIR-domain-containing adaptors in Toll-like receptor signalling. Nat. Rev. Immunol. 2007, 7, 353–364. [Google Scholar] [CrossRef] [PubMed]
- Gao, H.; Liu, X.; Sun, W.; Kang, N.; Liu, Y.; Yang, S.; Xu, Q.M.; Wang, C.; Chen, X. Total tanshinones exhibits anti-inflammatory effects through blocking TLR4 dimerization via the MyD88 pathway. Cell Death Dis. 2017, 8, e3004. [Google Scholar] [CrossRef] [PubMed]
- Gao, H.; Cui, Y.; Kang, N.; Liu, X.; Liu, Y.; Zou, Y.; Zhang, Z.; Li, X.; Yang, S.; Li, J.; et al. Isoacteoside, a dihydroxyphenylethyl glycoside, exhibits anti-inflammatory effects through blocking toll-like receptor 4 dimerization. Br. J. Pharmacol. 2017, 174, 2880–2896. [Google Scholar] [CrossRef]
- Gao, H.; Kang, N.; Hu, C.; Zhang, Z.; Xu, Q.; Liu, Y.; Yang, S. Ginsenoside Rb1 exerts anti-inflammatory effects in vitro and in vivo by modulating toll-like receptor 4 dimerization and NF-kB/MAPKs signaling pathways. Phytomedicine 2020, 69, 153197. [Google Scholar] [CrossRef]
- Choi, S.; Kim, T.W.; Singh, S.V. Ginsenoside Rh2-mediated G1 phase cell cycle arrest in human breast cancer cells is caused by p15 Ink4B and p27 Kip1-dependent inhibition of cyclin-dependent kinases. Pharm. Res. 2009, 26, 2280–2288. [Google Scholar] [CrossRef]
- Li, L.C.; Piao, H.M.; Zheng, M.Y.; Lin, Z.H.; Choi, Y.H.; Yan, G.H. Ginsenoside Rh2 attenuates allergic airway inflammation by modulating nuclear factor-κB activation in a murine model of asthma. Mol. Med. Rep. 2015, 12, 6946–6954. [Google Scholar] [CrossRef] [PubMed]
- Park, H.M.; Kim, S.J.; Mun, A.R.; Go, H.K.; Kim, G.B.; Kim, S.Z.; Jang, S.I.; Lee, S.J.; Kim, J.S.; Kang, H.S. Korean red ginseng and its primary ginsenosides inhibit ethanol-induced oxidative injury by suppression of the MAPK pathway in TIB-73 cells. J. Ethnopharmacol. 2012, 141, 1071–1076. [Google Scholar] [CrossRef] [PubMed]
- Kim, K.H.; Lee, D.; Lee, H.L.; Kim, C.E.; Jung, K.; Kang, K.S. Beneficial effects of for the treatment and prevention of neurodegenerative diseases: Past findings and future directions. J. Ginseng Res. 2018, 42, 239–247. [Google Scholar] [CrossRef]
- Hwang, J.T.; Kim, S.H.; Lee, M.S.; Kim, S.H.; Yang, H.J.; Kim, M.J.; Kim, H.S.; Ha, J.; Kim, M.S.; Kwon, D.Y. Anti-obesity effects of ginsenoside Rh2 are associated with the activation of AMPK signaling pathway in 3T3-L1 adipocyte. Biochem. Biophys. Res. Commun. 2007, 364, 1002–1008. [Google Scholar] [CrossRef]
- Yamamoto, M.; Takeda, K. Current Views of Toll-like Receptor Signaling Pathways. Gastroenterol. Res. Pract. 2010, 2010, 240365. [Google Scholar] [CrossRef]
- Wang, J.; Chen, Y.M.; Dai, C.X.; Shang, Y.S.; Xie, J. Ginsenoside Rh2 alleviates tumor-associated depression in a mouse model of colorectal carcinoma. Am. J. Transl. Res. 2016, 8, 2189–2195. [Google Scholar] [PubMed]
- Hsieh, Y.H.; Deng, J.S.; Chang, Y.S.; Huang, G.J. Ginsenoside Rh2 Ameliorates Lipopolysaccharide-Induced Acute Lung Injury by Regulating the TLR4/PI3K/Akt/mTOR, Raf-1/MEK/ERK, and Keap1/Nrf2/HO-1 Signaling Pathways in Mice. Nutrients 2018, 10, 1208. [Google Scholar] [CrossRef]
- Chen, X.Q.; Xu, T.T.; Lv, X.Y.; Zhang, J.W.; Liu, S.J. Ginsenoside Rh2 alleviates ulcerative colitis by regulating the STAT3/miR-214 signaling pathway. J. Ethnopharmacol. 2021, 274, 113997. [Google Scholar] [CrossRef]
- Cho, S.Y.; Park, S.J.; Kwon, M.J.; Jeong, T.S.; Bok, S.H. Quercetin suppresses proinflammatory cytokines production through MAP kinases and NF-κB pathway in lipopolysaccharide-stimulated macrophage. Mol. Cell. Biochem. 2003, 243, 153–160. [Google Scholar] [CrossRef]
- Chang, Y.C.; Tsai, M.H.; Sheu, W.H.; Hsieh, S.C.; Chiang, A.N. The therapeutic potential and mechanisms of action of quercetin in relation to lipopolysaccharide-induced sepsis in vitro and in vivo. PLoS ONE 2013, 8, e80744. [Google Scholar] [CrossRef]
- Zhao, Q.L.; Yang, F.; Pu, Q.Y.; Zhao, R.; Jiang, S.; Tang, Y.P. Integrative metabolomics and gut microbiota analyses reveal the protective effects of DHA-enriched phosphatidylserine on bisphenol A-induced intestinal damage. J. Funct. Foods 2024, 117, 106229. [Google Scholar] [CrossRef]
- Triantafilou, M.; Triantafilou, K. Lipopolysaccharide recognition: CD14, TLRs and the LPS-activation cluster. Trends Immunol. 2002, 23, 301–304. [Google Scholar] [CrossRef] [PubMed]
- Zhang, Y.F.; Yi, Z.J.; Zhang, W.F.; Yang, L.; Qi, F.; Yu, T.; Zhu, Z.; Li, M.J.; Cheng, Y.; Zhao, L.; et al. Single-Cell Sequencing Reveals MYOF-Enriched Monocyte/Macrophage Subcluster as a Favorable Prognostic Factor in Sepsis. Adv. Biol. 2024, 8, 2300673. [Google Scholar] [CrossRef] [PubMed]
- Liu, T.; Xing, S.; Du, J.; Wang, M.; Han, J.; Li, Z. Synthesis and evaluation of the anti-inflammatory activity of novel 8-quinolinesulfonamide derivatives as TLR4/MD-2 inhibitors with efficacy in adjuvant-induced arthritis. Bioorg. Chem. 2021, 114, 105037. [Google Scholar] [CrossRef] [PubMed]
- Karunarathne, W.A.H.M.; Lee, K.T.; Choi, Y.H.; Jin, C.Y.; Kim, G.Y. Anthocyanins isolated from Hibiscus syriacus L. attenuate lipopolysaccharide-induced inflammation and endotoxic shock by inhibiting the TLR4/MD2-mediated NF-κB signaling pathway. Phytomedicine 2020, 76, 153237. [Google Scholar] [CrossRef] [PubMed]
- Kawamoto, T.; Ii, M.; Kitazaki, T.; Iizawa, Y.; Kimura, H. TAK-242 selectively suppresses Toll-like receptor 4-signaling mediated by the intracellular domain. Eur. J. Pharmacol. 2008, 584, 40–48. [Google Scholar] [CrossRef]
- Hua, F.; Tang, H.; Wang, J.; Prunty, M.C.; Hua, X.D.; Sayeed, I.; Stein, D.G. TAK-242, an antagonist for Toll-like receptor 4, protects against acute cerebral ischemia/reperfusion injury in mice. J. Cereb. Blood Flow. Metab. 2015, 35, 536–542. [Google Scholar] [CrossRef]
- Jin, M.S.; Lee, J.O. Structures of the toll-like receptor family and its ligand complexes. Immunity 2008, 29, 182–191. [Google Scholar] [CrossRef]
- Matsushima, N.; Miyashita, H.; Enkhbayar, P.; Kretsinger, R.H. Comparative Geometrical Analysis of Leucine-Rich Repeat Structures in the Nod-like and Toll-like Receptors in Vertebrate Innate Immunity. Biomolecules 2015, 5, 1955–1978. [Google Scholar] [CrossRef]
- Wu, M.R.; Jiang, Y.H.; Wang, J.N.; Luo, T.; Yi, Y.; Wang, H.X.; Wang, L.M. The Effect and Mechanism of Corilagin from Salisb Shell on LPS-Induced Inflammation in Raw 264.7 Cells. Foods 2023, 12, 979. [Google Scholar]
- Yan, N.; Wen, D.S.; Zhao, Y.R.; Xu, S.J. Epimedium sagittatum inhibits TLR4/MD-2 mediated NF-kappaB signaling pathway with anti-inflammatory activity. BMC Complement. Altern. Med. 2018, 18, 303. [Google Scholar] [CrossRef] [PubMed]
- Choi, K.; Kim, M.; Ryu, J.; Choi, C. Ginsenosides compound K and Rh2 inhibit tumor necrosis factor-alpha-induced activation of the NF-κB and JNK pathways in human astroglial cells. Neurosci. Lett. 2007, 421, 37–41. [Google Scholar] [CrossRef] [PubMed]
- Yuan, R.Y.K.; Huang, L.T.; Du, L.J.; Feng, J.F.; Li, J.; Luo, Y.Y.; Xu, Q.M.; Yang, S.L.; Gao, H.W.; Feng, Y.L. Dihydrotanshinone exhibits an anti-inflammatory effect and through blocking TLR4 dimerization. Pharmacol. Res. 2019, 142, 102–114. [Google Scholar] [CrossRef] [PubMed]
- Song, Y.; Dou, H.; Gong, W.; Liu, X.; Yu, Z.; Li, E.; Tan, R.; Hou, Y. Bis-N-norgliovictin, a small-molecule compound from marine fungus, inhibits LPS-induced inflammation in macrophages and improves survival in sepsis. Eur. J. Pharmacol. 2013, 705, 49–60. [Google Scholar] [CrossRef] [PubMed]
- Hua, Y.; Wu, J.; Wu, H.; Su, C.; Li, X.; Ao, Q.; Zeng, Q.; Zhu, X.; Zhang, X. Exposure to hydroxyapatite nanoparticles enhances Toll-like receptor 4 signal transduction and overcomes endotoxin tolerance in vitro and in vivo. Acta Biomater. 2021, 135, 650–662. [Google Scholar] [CrossRef]
- Liu, Z.G.; Chen, L.F.; Yu, P.T.; Zhang, Y.L.; Fang, B.; Wu, C.; Luo, W.; Chen, X.X.; Li, C.L.; Liang, G. Discovery of 3-(Indol-5-yl)-indazole Derivatives as Novel Myeloid Differentiation Protein 2/Toll-like Receptor 4 Antagonists for Treatment of Acute Lung Injury. J. Med. Chem. 2019, 62, 5453–5469. [Google Scholar] [CrossRef]
- Yao, T.; Wang, Q.; Han, S.; Lu, Y.; Xu, Y.; Wang, Y. Potential Molecular Mechanisms of Ephedra Herb in the Treatment of Nephrotic Syndrome Based on Network Pharmacology and Molecular Docking. Biomed. Res. Int. 2022, 2022, 9214589. [Google Scholar] [CrossRef]
- Wang, Y.; Shan, X.O.; Chen, G.Z.; Jiang, L.L.; Wang, Z.; Fang, Q.L.; Liu, X.; Wang, J.Y.; Zhang, Y.L.; Wu, W.C.; et al. MD-2 as the target of a novel small molecule, L6H21, in the attenuation of LPS-induced inflammatory response and sepsis. Br. J. Pharmacol. 2015, 172, 4391–4405. [Google Scholar] [CrossRef]








Disclaimer/Publisher’s Note: The statements, opinions and data contained in all publications are solely those of the individual author(s) and contributor(s) and not of MDPI and/or the editor(s). MDPI and/or the editor(s) disclaim responsibility for any injury to people or property resulting from any ideas, methods, instructions or products referred to in the content. |
© 2024 by the authors. Licensee MDPI, Basel, Switzerland. This article is an open access article distributed under the terms and conditions of the Creative Commons Attribution (CC BY) license (https://creativecommons.org/licenses/by/4.0/).
Share and Cite
Pan, S.; Peng, L.; Yi, Q.; Qi, W.; Yang, H.; Wang, H.; Wang, L. Ginsenoside Rh2 Alleviates LPS-Induced Inflammatory Responses by Binding to TLR4/MD-2 and Blocking TLR4 Dimerization. Int. J. Mol. Sci. 2024, 25, 9546. https://doi.org/10.3390/ijms25179546
Pan S, Peng L, Yi Q, Qi W, Yang H, Wang H, Wang L. Ginsenoside Rh2 Alleviates LPS-Induced Inflammatory Responses by Binding to TLR4/MD-2 and Blocking TLR4 Dimerization. International Journal of Molecular Sciences. 2024; 25(17):9546. https://doi.org/10.3390/ijms25179546
Chicago/Turabian StylePan, Shujuan, Luyuan Peng, Qion Yi, Weijin Qi, Hui Yang, Hongying Wang, and Lu Wang. 2024. "Ginsenoside Rh2 Alleviates LPS-Induced Inflammatory Responses by Binding to TLR4/MD-2 and Blocking TLR4 Dimerization" International Journal of Molecular Sciences 25, no. 17: 9546. https://doi.org/10.3390/ijms25179546
APA StylePan, S., Peng, L., Yi, Q., Qi, W., Yang, H., Wang, H., & Wang, L. (2024). Ginsenoside Rh2 Alleviates LPS-Induced Inflammatory Responses by Binding to TLR4/MD-2 and Blocking TLR4 Dimerization. International Journal of Molecular Sciences, 25(17), 9546. https://doi.org/10.3390/ijms25179546
