Exceptional Evolution of a Squamous Odontogenic Tumor in the Jaw: Molecular Approach
Abstract
1. Introduction
2. Results
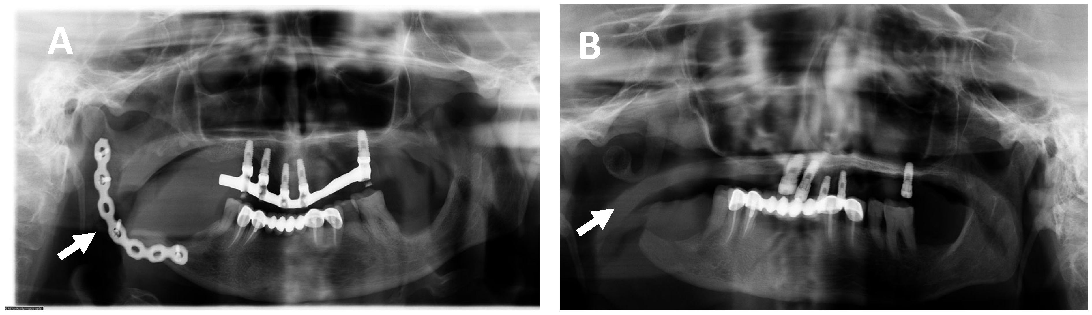
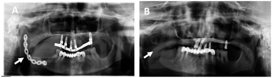
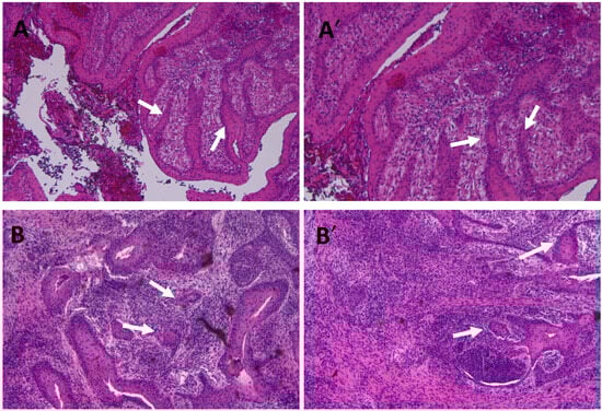
2.1. Clinical and Histological Manifestations of the Tumors
2.2. Genetic Analysis of the Tumors
3. Discussion
4. Materials and Methods
4.1. Human Samples
4.2. Magnetic Resonance Imaging
4.3. Positron Emission Tomography-Computed Tomography
4.4. Histopathological Analysis
4.5. Molecular Analysis: DNA Total Extraction and Sequencing
5. Conclusions
Supplementary Materials
Author Contributions
Funding
Institutional Review Board Statement
Informed Consent Statement
Data Availability Statement
Acknowledgments
Conflicts of Interest
References
- El-Naggar, A.K.; Chan, J.K.C.; Takata, T.; Grandis, J.R.; Slootweg, P.J. The Fourth Edition of the Head and Neck World Health Organization Blue Book: Editors’ Perspectives. Hum. Pathol. 2017, 66, 10–12. [Google Scholar] [CrossRef]
- Reichart, P.; Sciubba, J.J.; Philipsen, H.P. Splitters or Lumpers: The 2017 WHO Classification of Head and Neck Tumours. J. Am. Dent. Assoc. 2018, 149, 567–571. [Google Scholar] [CrossRef] [PubMed]
- Reichart, P.A.; Philipsen, H.P. (Eds.) Odontogenic Tumors and Allied Lesions; Quintessence Publishing Deutschland: Berlin, Germany, 2004; ISBN 978-1-85097-059-0. [Google Scholar]
- Philipsen, H.P.; Reichart, P.A. Squamous Odontogenic Tumor (SOT): A Benign Neoplasm of the Periodontium. J. Clin. Periodontol. 1996, 23, 922–926. [Google Scholar] [CrossRef] [PubMed]
- Baden, E.; Doyle, J.; Mesa, M.; Fabié, M.; Lederman, D.; Eichen, M. Squamous Odontogenic Tumor. Oral Surg. Oral Med. Oral Pathol. 1993, 75, 733–738. [Google Scholar] [CrossRef]
- Chrcanovic, B.R.; Gomez, R.S. Squamous Odontogenic Tumor and Squamous Odontogenic Tumor-like Proliferations in Odontogenic Cysts: An Updated Analysis of 170 Cases Reported in the Literature. J. Cranio-Maxillofac. Surg. 2018, 46, 504–510. [Google Scholar] [CrossRef]
- Upadhyaya, J.D.; Banasser, A.; Cohen, D.M.; Kashtwari, D.; Bhattacharyya, I.; Islam, M.N. Squamous Odontogenic Tumor: Review of the Literature and Report of a New Case. J. Oral Maxillofac. Surg. 2021, 79, 164–176. [Google Scholar] [CrossRef]
- Ruhin, B.; Raoul, G.; Kolb, F.; Casiraghi, O.; Lecomte-Houcke, M.; Ghoul, S.; Auriol, M.; Ferri, J. Aggressive Maxillary Squamous Odontogenic Tumour in a Child: Histological Dilemma and Adaptative Surgical Behaviour. Int. J. Oral Maxillofac. Surg. 2007, 36, 864–866. [Google Scholar] [CrossRef]
- Leider, A.S.; Jonker, L.A.; Cook, H.E. Multicentric Familial Squamous Odontogenic Tumor. Oral Surg. Oral Med. Oral Pathol. 1989, 68, 175–181. [Google Scholar] [CrossRef] [PubMed]
- Croonenborghs, T.M.; Fransen, J.; Hauben, E.; Peeters, H.; Politis, C. The First Parent-Child Diagnosis of a Multifocal Squamous Odontogenic Tumor: A Case Report. J. Stomatol. Oral Maxillofac. Surg. 2021, 122, 612–617. [Google Scholar] [CrossRef]
- Kim, K.; Mintz, S.M.; Stevens, J. Squamous Odontogenic Tumor Causing Erosion of the Lingual Cortical Plate in the Mandible: A Report of 2 Cases. J. Oral Maxillofac. Surg. 2007, 65, 1227–1231. [Google Scholar] [CrossRef]
- Ide, F.; Shimoyama, T.; Horie, N.; Shimizu, S. Intraosseous Squamous Cell Carcinoma Arising in Association with a Squamous Odontogenic Tumour of the Mandible. Oral Oncol. 1999, 35, 431–434. [Google Scholar] [CrossRef]
- Mardones, N.D.R.; Gamba, T.D.O.; Flores, I.L.; de Almeida, S.M.; Lopes, S.L.P.D.C. Squamous Odontogenic Tumor: Literature Review Focusing on the Radiographic Features and Differential Diagnosis. Open Dent. J. 2015, 9, 154–158. [Google Scholar] [CrossRef] [PubMed]
- Tatemoto, Y.; Okada, Y.; Mori, M. Squamous Odontogenic Tumor: Immunohistochemical Identification of Keratins. Oral Surg. Oral Med. Oral Pathol. 1989, 67, 63–67. [Google Scholar] [CrossRef]
- Mohr, B.; Winter, J.; Wahl, G.; Janska, E. Recurrent Squamous Odontogenic Tumor: A Case Report and Review of the Literature. Oncol. Lett. 2015, 10, 2713–2722. [Google Scholar] [CrossRef] [PubMed][Green Version]
- Kristensen, S.; Andersen, J.; Jacobsen, P. Squamous Odontogenic Tumour: Review of the Literature and a New Case. J. Laryngol. Otol. 1985, 99, 919–924. [Google Scholar] [CrossRef] [PubMed]
- Norris, L.H.; Baghael-Rad, M.; Maloney, P.L.; Simpson, G.; Guinta, J. Bilateral Maxillary Squamous Odontogenic Tumors and the Malignant Transformation of a Mandibular Radiolucent Lesion. J. Oral Maxillofac. Surg. 1984, 42, 827–834. [Google Scholar] [CrossRef]
- Agostini, T.; Sacco, R.; Bertolai, R.; Acocella, A.; Colafranceschi, M.; Lazzeri, D. Peri-Implant Squamous Odontogenic Tumor. J. Craniofac. Surg. 2011, 22, 1151–1157. [Google Scholar] [CrossRef]
- Tu, J.; Yin, P.; Yuan, Y.; Chen, J.; Yuan, Y.; Lei, Y. A Squamous Odontogenic Tumor Following an Orthodontic Micro-Screw: A Rare Case Report and Review of the Literature. Oral Oncol. 2018, 77, 49–51. [Google Scholar] [CrossRef] [PubMed]
- Elmuradi, S.; Mair, Y.; Suresh, L.; DeSantis, J.; Neiders, M.; Aguirre, A. Multicentric Squamous Odontogenic Tumor: A Case Report and Review of the Literature. Head Neck Pathol. 2017, 11, 168–174. [Google Scholar] [CrossRef]
- Verhelst, P.-J.; Grosjean, L.; Shaheen, E.; Politis, C. Surgical Management of an Aggressive Multifocal Squamous Odontogenic Tumor. J. Oral Maxillofac. Surg. 2018, 76, 355–362. [Google Scholar] [CrossRef]
- Mills, W.P.; Davila, M.A.; Beuttenmuller, E.A.; Koudelka, B.M. Squamous Odontogenic Tumor: Report of a Case with Lesions in Three Quadrants. Oral Surgery, Oral Med. Oral Pathol. 1986, 61, 557–563. [Google Scholar] [CrossRef] [PubMed]
- Hopper, T.L.; Sadeghi, E.M.; Pricco, D.F. Squamous Odontogenic Tumor. Report of a Case with Multiple Lesions. Oral Surg. Oral Med. Oral Pathol. 1980, 50, 404–410. [Google Scholar] [CrossRef] [PubMed]
- Saxby, M.S.; Rippin, J.W.; Sheron, J.E. Case Report: Squamous Odontogenic Tumor of the Gingiva. J. Periodontol. 1993, 64, 1250–1252. [Google Scholar] [CrossRef] [PubMed]
- Lin, Y.-L.; White, D.K. Squamous Odontogenic Tumor. Oral Maxillofac. Surg. Clin. North Am. 2004, 16, 355–357. [Google Scholar] [CrossRef]
- Barrios, T.J.; Sudol, J.C.; Cleveland, D.B. Squamous Odontogenic Tumor Associated with an Erupting Maxillary Canine: Case Report. J. Oral Maxillofac. Surg. 2004, 62, 742–744. [Google Scholar] [CrossRef]
- Siar, C.; Nakano, K.; Ng, K.; Tomida, M.; Nagatsuka, H.; Kawakami, T. Squamous Odontogenic Tumor of the Mandible: A Case Report Demonstrating Immunoexpression of Notch1, 3, 4, Jagged1 and Delta1. Eur. J. Med. Res. 2010, 15, 180. [Google Scholar] [CrossRef]
- Keinan, D.; Cohen, R.E. The Significance of Epithelial Rests of Malassez in the Periodontal Ligament. J. Endod. 2013, 39, 582–587. [Google Scholar] [CrossRef]
- Swan, R.H.; McDaniel, R.K. Squamous Odontogenic Proliferation with Probable Origin From the Rests of Malassez (Early Squamous Odontogenic Tumor?). J. Periodontol. 1983, 54, 493–496. [Google Scholar] [CrossRef] [PubMed]
- Cataldo, E.; Less, W.C.; Giunta, J.L. Squamous Odontogenic Tumor: A Lesion of the Periodontium. J. Periodontol. 1983, 54, 731–735. [Google Scholar] [CrossRef]
- Zaid, K.W. Immunohistochemical Assessment of E-Cadherin and β-Catenin in the Histological Differentiations of Oral Squamous Cell Carcinoma. Asian Pac. J. Cancer Prev. 2014, 15, 8847–8853. [Google Scholar] [CrossRef]
- Reyes, M.; Rojas-Alcayaga, G.; Maturana, A.; Aitken, J.; Rojas, C.; Ortega, A. Increased Nuclear β-Catenin Expression in Oral Potentially Malignant Lesions: A Marker of Epithelial Dysplasia. Med. Oral Patol. Oral Cirugia Bucal 2015, e540–e546. [Google Scholar] [CrossRef] [PubMed]
- Reyes, M.; Flores, T.; Betancur, D.; Peña-Oyarzún, D.; Torres, V.A. Wnt/β-Catenin Signaling in Oral Carcinogenesis. Int. J. Mol. Sci. 2020, 21, 4682. [Google Scholar] [CrossRef]
- Lebeault, M.; Pinson, S.; Guillaud-Bataille, M.; Gimenez-Roqueplo, A.-P.; Carrie, A.; Barbu, V.; Pigny, P.; Bezieau, S.; Rey, J.-M.; Delvincourt, C.; et al. Nationwide French Study of RET Variants Detected from 2003 to 2013 Suggests a Possible Influence of Polymorphisms as Modifiers. Thyroid 2017, 27, 1511–1522. [Google Scholar] [CrossRef]
- Briggs, S.; Tomlinson, I. Germline and Somatic Polymerase ϵ and δ Mutations Define a New Class of Hypermutated Colorectal and Endometrial Cancers. J. Pathol. 2013, 230, 148–153. [Google Scholar] [CrossRef]
- Hwang, H.S.; Kim, D.; Choi, J. Distinct Mutational Profile and Immune Microenvironment in Microsatellite-Unstable and POLE -Mutated Tumors. J. Immunother. Cancer 2021, 9, e002797. [Google Scholar] [CrossRef]
- Qi, X.-P.; Zhao, J.-Q.; Fang, X.-D.; Lian, B.-J.; Li, F.; Wang, H.-H.; Cao, Z.-L.; Zheng, W.-H.; Cao, J.; Chen, Y. Spectrum of Germline RET Variants Identified by Targeted Sequencing and Associated Multiple Endocrine Neoplasia Type 2 Susceptibility in China. BMC Cancer 2021, 21, 369. [Google Scholar] [CrossRef]
- Lobl, M.B.; Clarey, D.D.; Higgins, S.; Sutton, A.; Wysong, A. Sequencing of Cutaneous Squamous Cell Carcinoma Primary Tumors and Patient-Matched Metastases Reveals ALK as a Potential Driver in Metastases and Low Mutational Concordance in Immunocompromised Patients. JID Innov. 2022, 2, 100122. [Google Scholar] [CrossRef] [PubMed]
- Gualandi, M.; Iorio, M.; Engeler, O.; Serra-Roma, A.; Gasparre, G.; Schulte, J.H.; Hohl, D.; Shakhova, O. Oncogenic ALK F1174L Drives Tumorigenesis in Cutaneous Squamous Cell Carcinoma. Life Sci. Alliance 2020, 3, e201900601. [Google Scholar] [CrossRef]
- Bodian, D.L.; McCutcheon, J.N.; Kothiyal, P.; Huddleston, K.C.; Iyer, R.K.; Vockley, J.G.; Niederhuber, J.E. Germline Variation in Cancer-Susceptibility Genes in a Healthy, Ancestrally Diverse Cohort: Implications for Individual Genome Sequencing. PLoS ONE 2014, 9, e94554. [Google Scholar] [CrossRef] [PubMed]
- Kusama, K.; Kawashima, A.; Nagai, H.; Tajima, M.; Tsuchiya, H.; Yamaguchi, H.; Furuya, M.; Terakado, M.; Sato, H.; Moro, I. Squamous Odontogenic Tumor of the Maxilla: Report of a Case. J. Oral Sci. 1998, 40, 119–122. [Google Scholar] [CrossRef] [PubMed][Green Version]
- Li, H.; Handsaker, B.; Wysoker, A.; Fennell, T.; Ruan, J.; Homer, N.; Marth, G.; Abecasis, G.; Durbin, R. The Sequence Alignment/Map Format and SAMtools. Bioinformatics 2009, 25, 2078–2079. [Google Scholar] [CrossRef] [PubMed]
- Li, H. A Statistical Framework for SNP Calling, Mutation Discovery, Association Mapping and Population Genetical Parameter Estimation from Sequencing Data. Bioinformatics 2011, 27, 2987–2993. [Google Scholar] [CrossRef] [PubMed]






| Gene | Region | HGVSC | Frec. Genotype Alt. | Ref. ID |
|---|---|---|---|---|
| RET * | Exon 13 | NM_020975.4:c.2348A>C, p.Asn783thr | 46% | rs587778656 |
| POLE * | Exon 39 | NM_006231.3:c.5174T>C, p.Val1725Ala | 55% | rs1064796427 |
| BRCA2 | Exon 11 | NM_0000059.3:c.3134insAT, p.Val1045AspfsTer5 | 9.5% | - |
| FGFR3 | Exon 11 | NM_001163213.1:c.1534>A, p.Leu512Met | 2.6% | - |
| Gene | Region | HGVSC | Frec. Genotype Alt. | Ref. ID |
|---|---|---|---|---|
| RET * | Exon 13 | NM_020975.4:c.2348A>C, p.Asn783thr | 46% | rs587778656 |
| POLE * | Exon 39 | NM_006231.3:c.5174T>C, p.Val1725Ala | 55% | rs1064796427 |
| NSD1 | Exon 5 | NM_022455.4c.2846del, p.Pro949LeufsTer2 | 15% | - |
| NSD1 | Exon 20 | NM_022455.4c.6050G>A, p.Arg2017Gln | 15% | rs587784177 |
| Gene | Citoband | Region | Consequence Alteration |
|---|---|---|---|
| ALK | 2p23.2-p23.1 | chr2:29694813-29920685 | DEL:CNV-LOSS |
| CDKN1B | 12p13.1 | chr12:12717778-12719004 | DUP:CNV-GAIN |
| MAP2K1 | 15q22.31 | chr15:66387328-66490677 | DUP:CNV-GAIN |
Disclaimer/Publisher’s Note: The statements, opinions and data contained in all publications are solely those of the individual author(s) and contributor(s) and not of MDPI and/or the editor(s). MDPI and/or the editor(s) disclaim responsibility for any injury to people or property resulting from any ideas, methods, instructions or products referred to in the content. |
© 2024 by the authors. Licensee MDPI, Basel, Switzerland. This article is an open access article distributed under the terms and conditions of the Creative Commons Attribution (CC BY) license (https://creativecommons.org/licenses/by/4.0/).
Share and Cite
Alonso-Juarranz, M.; Sen, O.D.L.; Pérez, P.; González-Corchón, M.A.; Cabezas-Camarero, S.; Saiz-Pardo, M.; Viñas-Lopez, J.; Recio-Poveda, L.; Botella, L.M.; Falahat, F. Exceptional Evolution of a Squamous Odontogenic Tumor in the Jaw: Molecular Approach. Int. J. Mol. Sci. 2024, 25, 9547. https://doi.org/10.3390/ijms25179547
Alonso-Juarranz M, Sen ODL, Pérez P, González-Corchón MA, Cabezas-Camarero S, Saiz-Pardo M, Viñas-Lopez J, Recio-Poveda L, Botella LM, Falahat F. Exceptional Evolution of a Squamous Odontogenic Tumor in the Jaw: Molecular Approach. International Journal of Molecular Sciences. 2024; 25(17):9547. https://doi.org/10.3390/ijms25179547
Chicago/Turabian StyleAlonso-Juarranz, Miguel, Oscar De La Sen, Pablo Pérez, Maria Aranzazu González-Corchón, Santiago Cabezas-Camarero, Melchor Saiz-Pardo, Jesus Viñas-Lopez, Lucia Recio-Poveda, Luisa María Botella, and Farzin Falahat. 2024. "Exceptional Evolution of a Squamous Odontogenic Tumor in the Jaw: Molecular Approach" International Journal of Molecular Sciences 25, no. 17: 9547. https://doi.org/10.3390/ijms25179547
APA StyleAlonso-Juarranz, M., Sen, O. D. L., Pérez, P., González-Corchón, M. A., Cabezas-Camarero, S., Saiz-Pardo, M., Viñas-Lopez, J., Recio-Poveda, L., Botella, L. M., & Falahat, F. (2024). Exceptional Evolution of a Squamous Odontogenic Tumor in the Jaw: Molecular Approach. International Journal of Molecular Sciences, 25(17), 9547. https://doi.org/10.3390/ijms25179547

