Shedding Light on Viral Shedding: Novel Insights into Nuclear Assembly, Cytoplasmic Transformation and Extracellular Vesicle Release of the BK Virus
Abstract
1. Introduction
2. Results
2.1. Patient Demographics
2.2. BKPyV Replicates in Non-Immortalized Tubular Cell Lines
2.3. Vesicles Enable BKPyV Shedding from Infected Tubular Cells
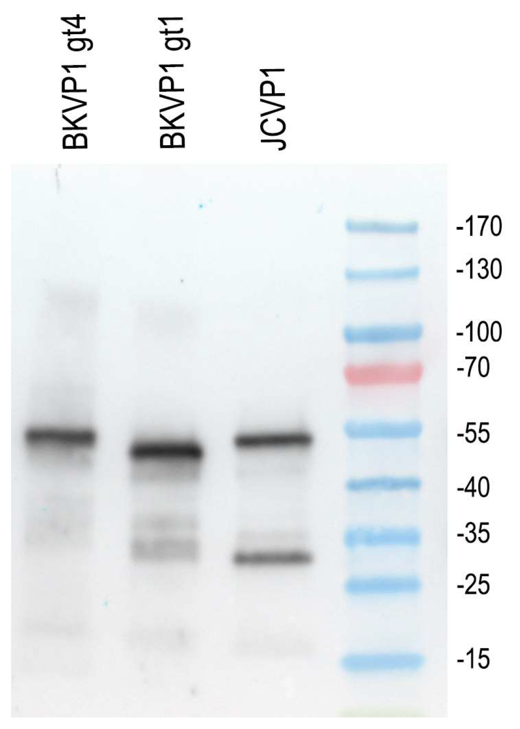
2.4. Decoy Cells Exhibit Truncated Forms of the VP1-Gene Product
2.5. Identification of Possible Translation Products from VP1 mRNAs by In Silico Analysis
2.6. BKPyV DNA Integrates into the Host Cell
3. Discussion
4. Materials and Methods
4.1. Cell Culture and Cell Lines
4.2. BKPyV Copy Number Evaluation
4.3. Obtaining BK Polyoma Virus by Ultracentrifugation
4.4. Cell Line Infecton Using BKPyV-Containing Medium from Decoy Cell Culture
4.5. Immunoreagent
4.6. Immunofluorescence by Confocal Microscopy
4.7. Immunoblotting
4.8. Virus DNA Isolation
4.9. DNA Isolation from Human Cell Lines and Sequencing by Oxford Nanopore Technology
4.10. Bioinformatics Identification of BK Polyoma Virus Integration
4.11. In Silico Analysis of Potential Translation Initiation Sites on the VP1 mRNA
Supplementary Materials
Author Contributions
Funding
Institutional Review Board Statement
Informed Consent Statement
Data Availability Statement
Conflicts of Interest
References
- Egli, A.; Infanti, L.; Dumoulin, A.; Buser, A.; Samaridis, J.; Stebler, C.; Gosert, R.; Hirsch, H.H. Prevalence of polyomavirus BK and JC infection and replication in 400 healthy blood donors. J. Infect. Dis. 2009, 199, 837–846. [Google Scholar] [CrossRef]
- Kean, J.M.; Rao, S.; Wang, M.; Garcea, R.L. Seroepidemiology of human polyomaviruses. PLoS Pathog. 2009, 5, e1000363. [Google Scholar] [CrossRef]
- Kotton, C.N.; Kamar, N.; Wojciechowski, D.; Eder, M.; Hopfer, H.; Randhawa, P.; Sester, M.; Comoli, P.; Tedesco Silva, H.; Knoll, G.; et al. The Second International Consensus Guidelines on the Management of BK Polyomavirus in Kidney Transplantation. Transplantation 2024. online ahead of print. [Google Scholar] [CrossRef] [PubMed]
- Nickeleit, V.; Singh, H.K.; Dadhania, D.; Cornea, V.; El-Husseini, A.; Castellanos, A.; Davis, V.G.; Waid, T.; Seshan, S.V. The 2018 Banff Working Group classification of definitive polyomavirus nephropathy: A multicenter validation study in the modern era. Am. J. Transplant. 2021, 21, 669–680. [Google Scholar] [CrossRef] [PubMed]
- Buck, C.B. Exposing the Molecular Machinery of BK Polyomavirus. Structure 2016, 24, 495. [Google Scholar] [CrossRef] [PubMed]
- Jin, Y.; Zhou, Y.; Deng, W.; Wang, Y.; Lee, R.J.; Liu, Y.; Elias, N.; Hu, Y.; Luo, M.H.; Liu, R.; et al. Genome-wide profiling of BK polyomavirus integration in bladder cancer of kidney transplant recipients reveals mechanisms of the integration at the nucleotide level. Oncogene 2021, 40, 46–54. [Google Scholar] [CrossRef]
- Mbianda, C.; El-Meanawy, A.; Sorokin, A. Mechanisms of BK virus infection of renal cells and therapeutic implications. J. Clin. Virol. 2015, 71, 59–62. [Google Scholar] [CrossRef][Green Version]
- Dalianis, T.; Hirsch, H.H. Human polyomaviruses in disease and cancer. Virology 2013, 437, 63–72. [Google Scholar] [CrossRef]
- Hirsch, H.H.; Steiger, J. Polyomavirus BK. Lancet Infect. Dis. 2003, 3, 611–623. [Google Scholar] [CrossRef]
- An, P.; Sáenz Robles, M.T.; Cantalupo, P.G.; Naik, A.S.; Sealfon, R.; Imperiale, M.J.; Pipas, J.M. Cultured Renal Proximal Tubular Epithelial Cells Resemble a Stressed/Damaged Kidney While Supporting BK Virus Infection. J. Virol. 2023, 97, e0034323. [Google Scholar] [CrossRef]
- An, P.; Cantalupo, P.G.; Zheng, W.; Saenz-Robles, M.T.; Duray, A.M.; Weitz, D.; Pipas, J.M. Single-Cell Transcriptomics Reveals a Heterogeneous Cellular Response to BK Virus Infection. J. Virol. 2021, 95, e02237-20. [Google Scholar] [CrossRef] [PubMed]
- Wang, Y.; Liu, Y.; Deng, W.; Fu, F.; Yan, S.; Yang, H.; Liu, R.; Geng, J.; Xu, J.; Wu, Y.; et al. Viral integration in BK polyomavirus-associated urothelial carcinoma in renal transplant recipients: Multistage carcinogenesis revealed by next-generation virome capture sequencing. Oncogene 2020, 39, 5734–5742. [Google Scholar] [CrossRef] [PubMed]
- Wang, Y.; Yan, S.; Liu, Y.; Yan, Z.; Deng, W.; Geng, J.; Li, Z.; Xia, R.; Zeng, W.; Zhao, T.; et al. Dynamic viral integration patterns actively participate in the progression of BK polyomavirus-associated diseases after renal transplantation. Am. J. Transplant. 2023, 23, 1694–1708. [Google Scholar] [CrossRef] [PubMed]
- Nickeleit, V.; Singh, H.K.; Kenan, D.J.; Mieczkowski, P.A. The two-faced nature of BK polyomavirus: Lytic infection or non-lytic large-T-positive carcinoma. J. Pathol. 2018, 246, 7–11. [Google Scholar] [CrossRef]
- Sekito, T.; Araki, M.; Yoshinaga, K.; Maruyama, Y.; Sadahira, T.; Nishimura, S.; Wada, K.; Watanabe, M.; Watanabe, T.; Tanabe, K.; et al. Presence of decoy cells for 6 months on urine cytology efficiently predicts BK virus nephropathy in renal transplant recipients. Int. J. Urol. 2021, 28, 1240–1246. [Google Scholar] [CrossRef]
- Yan, L.; Guo, H.; Han, L.; Huang, H.; Shen, Y.; He, J.; Liu, J. Sternheimer-Malbin Staining to Detect Decoy Cells in Urine of 213 Kidney Transplant Patients. Transplant. Proc. 2020, 52, 823–828. [Google Scholar] [CrossRef]
- Evans, G.L.; Caller, L.G.; Foster, V.; Crump, C.M. Anion homeostasis is important for non-lytic release of BK polyomavirus from infected cells. Open Biol. 2015, 5, 150041. [Google Scholar] [CrossRef]
- Handala, L.; Blanchard, E.; Raynal, P.-I.; Roingeard, P.; Morel, V.; Descamps, V.; Castelain, S.; Francois, C.; Duverlie, G.; Brochot, E.; et al. BK Polyomavirus Hijacks Extracellular Vesicles for En Bloc Transmission. J. Virol. 2020, 94, e01834-19. [Google Scholar] [CrossRef]
- Morris-Love, J.; O’Hara, B.A.; Gee, G.V.; Dugan, A.S.; O’Rourke, R.S.; Armstead, B.E.; Assetta, B.; Haley, S.A.; Atwood, W.J. Biogenesis of JC polyomavirus associated extracellular vesicles. J. Extracell. Biol. 2022, 1, e43. [Google Scholar] [CrossRef]
- Daniels, R.; Sadowicz, D.; Hebert, D.N. A very late viral protein triggers the lytic release of SV40. PLoS Pathog. 2007, 3, e98. [Google Scholar] [CrossRef]
- Santiana, M.; Altan-Bonnet, N. Insane in the Membrane: Glial Extracellular Vesicles Transmit Polyomaviruses. mBio 2019, 10, e01024-19. [Google Scholar] [CrossRef]
- Giannecchini, S. Evidence of the Mechanism by Which Polyomaviruses Exploit the Extracellular Vesicle Delivery System during Infection. Viruses 2020, 12, 585. [Google Scholar] [CrossRef]
- Kerviel, A.; Zhang, M.; Altan-Bonnet, N. A New Infectious Unit: Extracellular Vesicles Carrying Virus Populations. Annu. Rev. Cell Dev. Biol. 2021, 37, 171–197. [Google Scholar] [CrossRef] [PubMed]
- Morris-Love, J.; Gee, G.V.; O’Hara, B.A.; Assetta, B.; Atkinson, A.L.; Dugan, A.S.; Haley, S.A.; Atwood, W.J. JC Polyomavirus Uses Extracellular Vesicles to Infect Target Cells. mBio 2019, 10, e00379-19. [Google Scholar] [CrossRef] [PubMed]
- Nickeleit, V.; Singh, H.K.; Randhawa, P.; Drachenberg, C.B.; Bhatnagar, R.; Bracamonte, E.; Chang, A.; Chon, W.J.; Dadhania, D.; Davis, V.G.; et al. The Banff Working Group Classification of Definitive Polyomavirus Nephropathy: Morphologic Definitions and Clinical Correlations. J. Am. Soc. Nephrol. 2018, 29, 680–693. [Google Scholar] [CrossRef] [PubMed]
- Pajenda, S.; Hevesi, Z.; Eder, M.; Gerges, D.; Aiad, M.; Koldyka, O.; Winnicki, W.; Wagner, L.; Eskandary, F.; Schmidt, A. Lessons from Polyomavirus Immunofluorescence Staining of Urinary Decoy Cells. Life 2023, 13, 1526. [Google Scholar] [CrossRef] [PubMed]
- Henriksen, S.; Hansen, T.; Bruun, J.A.; Rinaldo, C.H. The Presumed Polyomavirus Viroporin VP4 of Simian Virus 40 or Human BK Polyomavirus Is Not Required for Viral Progeny Release. J. Virol. 2016, 90, 10398–10413. [Google Scholar] [CrossRef] [PubMed]
- An, P.; Saenz Robles, M.T.; Duray, A.M.; Cantalupo, P.G.; Pipas, J.M. Human polyomavirus BKV infection of endothelial cells results in interferon pathway induction and persistence. PLoS Pathog. 2019, 15, e1007505. [Google Scholar] [CrossRef]
- Zhao, L.; Imperiale, M.J. A Cell Culture Model of BK Polyomavirus Persistence, Genome Recombination, and Reactivation. MBio 2021, 12, e0235621. [Google Scholar] [CrossRef]
- Bach, C.; Knaup, K.X.; Herrmann, M.; Krumbiegel, M.; Pfister, F.; Buttner-Herold, M.; Steffen, M.; Zecher, D.; Lopau, K.; Schneider, K.; et al. A noninvasive diagnostic approach to retrospective donor HLA typing in kidney transplant patients using urine. Transpl. Int. 2021, 34, 1226–1238. [Google Scholar] [CrossRef]
- Knafl, D.; Winnicki, W.; Mazal, P.; Wagner, L. Urinary nephrospheres indicate recovery from acute kidney injury in renal allograft recipients—A pilot study. BMC Nephrol. 2019, 20, 251. [Google Scholar] [CrossRef] [PubMed]
- Gerges, D.; Hevesi, Z.; Schmidt, S.H.; Kapps, S.; Pajenda, S.; Geist, B.; Schmidt, A.; Wagner, L.; Winnicki, W. Tubular epithelial progenitors are excreted in urine during recovery from severe acute kidney injury and are able to expand and differentiate in vitro. PeerJ 2022, 10, e14110. [Google Scholar] [CrossRef] [PubMed]
- Helle, F.; Handala, L.; Bentz, M.; Duverlie, G.; Brochot, E. Intercellular Transmission of Naked Viruses through Extracellular Vesicles: Focus on Polyomaviruses. Viruses 2020, 12, 1086. [Google Scholar] [CrossRef] [PubMed]
- Sin, J.; McIntyre, L.; Stotland, A.; Feuer, R.; Gottlieb, R.A. Coxsackievirus B Escapes the Infected Cell in Ejected Mitophagosomes. J. Virol. 2017, 91, e01347-17. [Google Scholar] [CrossRef] [PubMed]
- Santiana, M.; Ghosh, S.; Ho, B.A.; Rajasekaran, V.; Du, W.L.; Mutsafi, Y.; De Jésus-Diaz, D.A.; Sosnovtsev, S.V.; Levenson, E.A.; Parra, G.I.; et al. Vesicle-Cloaked Virus Clusters Are Optimal Units for Inter-organismal Viral Transmission. Cell Host Microbe 2018, 24, 208–220.e8. [Google Scholar] [CrossRef] [PubMed]
- Jia, X.; Yin, Y.; Chen, Y.; Mao, L. The Role of Viral Proteins in the Regulation of Exosomes Biogenesis. Front. Cell Infect. Microbiol. 2021, 11. [Google Scholar] [CrossRef] [PubMed]
- Suzuki, T.; Orba, Y.; Okada, Y.; Sunden, Y.; Kimura, T.; Tanaka, S.; Nagashima, K.; Hall, W.W.; Sawa, H. The human polyoma JC virus agnoprotein acts as a viroporin. PLoS Pathog. 2010, 6, e1000801. [Google Scholar] [CrossRef] [PubMed]
- Raghava, S.; Giorda, K.M.; Romano, F.B.; Heuck, A.P.; Hebert, D.N. The SV40 late protein VP4 is a viroporin that forms pores to disrupt membranes for viral release. PLoS Pathog. 2011, 7, e1002116. [Google Scholar] [CrossRef] [PubMed]
- Giorda, K.M.; Raghava, S.; Zhang, M.W.; Hebert, D.N. The viroporin activity of the minor structural proteins VP2 and VP3 is required for SV40 propagation. J. Biol. Chem. 2013, 288, 2510–2520. [Google Scholar] [CrossRef] [PubMed]
- Pajenda, S.; Gerges, D.A.; Freire, R.; Wagner, L.; Hevesi, Z.; Aiad, M.; Eder, M.; Schmidt, A.; Winnicki, W.; Eskandary, F.A. Acute Kidney Injury and BK Polyomavirus in Urine Sediment Cells. Int. J. Mol. Sci. 2023, 24, 17511. [Google Scholar] [CrossRef] [PubMed]











| Characteristics | All Patients (n = 9) |
|---|---|
| Age, y | 58 (36–58) |
| Male | 7 (77.8) |
| First KTX | 7 (77.8) |
| Second KTX | 2 (22.2) |
| Duration after last KTX, mo | 10 (9–15) |
| Plasma BKPyV load, copies per mL | 11,566 (11,459–11,674) |
| Urine BKPyV load, copies per mL | 7.02 × 109 (5.65 × 109–8.38 × 109) |
| Immunosuppression | |
| TAC | 8 (88.9) |
| MMF | 7 (77.8) |
| Azathioprine | 1 (11.1) |
| Belatacept | 1 (11.1) |
| Prednisolone | 9 (100) |
| BKPyVAN [25] | |
| PVN class 1 | 5 (55.6) |
| PVN class 2 | 1 (11.1) |
| PVN class 3 | 3 (33.3) |
| SV40 | |
| Positive | 1 (11.1) |
| Negative | 5 (55.6) |
| Not performed | 3 (33.3) |
| ID | Age (y) | Sex | # of KTX | Duration (mo) | TAC | MMF | HE (%) | uBKPyV (Copies/mL) | pBKPyV (Copies/mL) | SV40 | PVN Class |
|---|---|---|---|---|---|---|---|---|---|---|---|
| 1 | 52 | m | 1 | 13 | Y | Y | 93 | 8.7 × 105 | 1.4 × 102 | - | 1 |
| 2 | 55 | f | 2 | 75 | Y | Y | 0 | 5.8 × 106 | 2.0 × 103 | - | 3 |
| 3 | 27 | m | 1 | 15 | Y | Y | 30 | 1.7 × 107 | 1.5 × 104 | NA | 1 |
| 4 | 72 | m | 1 | 10 | Y | Y | 10 | 4.3 × 109 | 3.6 × 104 | - | 3 |
| 5 | 60 | f | 2 | 24 | Y | Y | 0 | 5.2 × 108 | 8.3 × 103 | NA | 2 |
| 6 | 78 | m | 1 | 9 | Y | Y | 50 | 3.0 × 1010 | 2.0 × 104 | + | 3 |
| 7 | 56 | m | 1 | 8 | N | N | 0 | 7.0 × 104 | 2.2 × 102 | NA | 1 |
| 8 | 63 | m | 1 | 10 | Y | N | 30 | 1.8 × 109 | 4.5 × 103 | - | 1 |
| 9 | 58 | m | 1 | 8 | Y | Y | 30 | 1.9 × 109 | 1.6 × 104 | - | 1 |
| ID | Integration | RantiVP1 | mAb 4942 | KRT13 | TMEM27 | Infectivity | Senescence |
|---|---|---|---|---|---|---|---|
| 1 | NP | + | - | - | + | NP | 3 |
| 2 | NI | + | - | - | +/- | NP | 3 |
| 3 | NI | + | - | - | + | NP | 3 |
| 4 | NI | + | - | - | +/- | + | 5 |
| 5 | NI | - | - | - | + | ++ | 15 |
| 6 | Chr 3,4,7 | + | ++ | - | + | Infected | 5 |
| 7 | NA | + | ++ | - | +/- | Infected | 4 |
| 8 | NP | - | - | - | + | + | 14 |
| 9 | NP | +/- | - | - | +/- | + | 5 |
| Chromosome | Location | Genetic Relation | Host Genes | Supporting Reads |
|---|---|---|---|---|
| 3 | 68666797 | Intragenic | TAFA1 | 2123 |
| 4 | 122666278 | Intergenic | QRFPR-ANXA5 | 171 |
| 7 | 110766605 | Intragenic | IMMP2L | 58 |
Disclaimer/Publisher’s Note: The statements, opinions and data contained in all publications are solely those of the individual author(s) and contributor(s) and not of MDPI and/or the editor(s). MDPI and/or the editor(s) disclaim responsibility for any injury to people or property resulting from any ideas, methods, instructions or products referred to in the content. |
© 2024 by the authors. Licensee MDPI, Basel, Switzerland. This article is an open access article distributed under the terms and conditions of the Creative Commons Attribution (CC BY) license (https://creativecommons.org/licenses/by/4.0/).
Share and Cite
Gerges, D.; Abd El-Ghany, K.; Hevesi, Z.; Aiad, M.; Omic, H.; Baumgartner, C.; Winnicki, W.; Eder, M.; Schmidt, A.; Eskandary, F.; et al. Shedding Light on Viral Shedding: Novel Insights into Nuclear Assembly, Cytoplasmic Transformation and Extracellular Vesicle Release of the BK Virus. Int. J. Mol. Sci. 2024, 25, 9130. https://doi.org/10.3390/ijms25169130
Gerges D, Abd El-Ghany K, Hevesi Z, Aiad M, Omic H, Baumgartner C, Winnicki W, Eder M, Schmidt A, Eskandary F, et al. Shedding Light on Viral Shedding: Novel Insights into Nuclear Assembly, Cytoplasmic Transformation and Extracellular Vesicle Release of the BK Virus. International Journal of Molecular Sciences. 2024; 25(16):9130. https://doi.org/10.3390/ijms25169130
Chicago/Turabian StyleGerges, Daniela, Karim Abd El-Ghany, Zsofia Hevesi, Monika Aiad, Haris Omic, Clemens Baumgartner, Wolfgang Winnicki, Michael Eder, Alice Schmidt, Farsad Eskandary, and et al. 2024. "Shedding Light on Viral Shedding: Novel Insights into Nuclear Assembly, Cytoplasmic Transformation and Extracellular Vesicle Release of the BK Virus" International Journal of Molecular Sciences 25, no. 16: 9130. https://doi.org/10.3390/ijms25169130
APA StyleGerges, D., Abd El-Ghany, K., Hevesi, Z., Aiad, M., Omic, H., Baumgartner, C., Winnicki, W., Eder, M., Schmidt, A., Eskandary, F., & Wagner, L. (2024). Shedding Light on Viral Shedding: Novel Insights into Nuclear Assembly, Cytoplasmic Transformation and Extracellular Vesicle Release of the BK Virus. International Journal of Molecular Sciences, 25(16), 9130. https://doi.org/10.3390/ijms25169130

