Integrated Analysis of Phagocytic and Immunomodulatory Markers in Cervical Cancer Reveals Constellations of Potential Prognostic Relevance
Abstract
1. Introduction
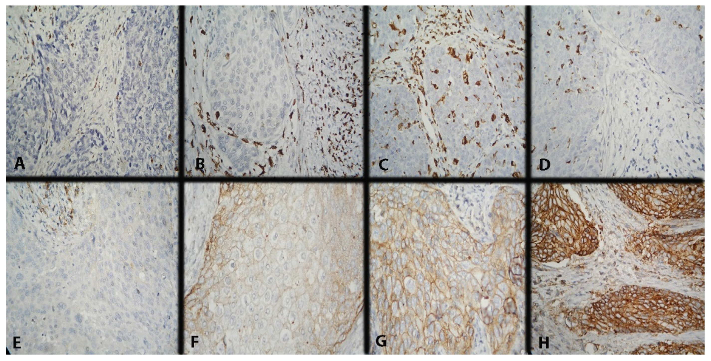
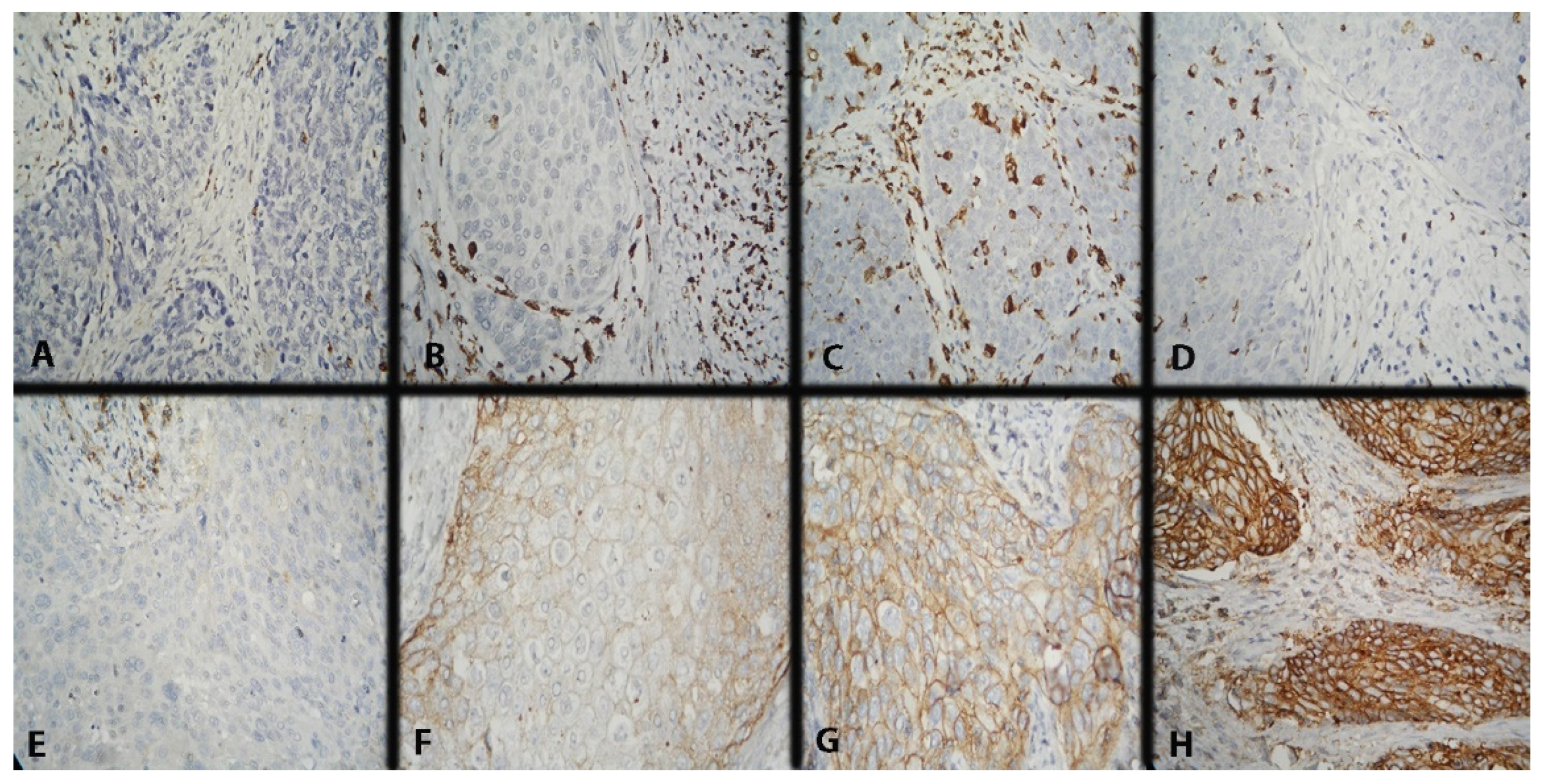
2. Results
3. Discussion
4. Materials and Methods
4.1. Patients Characteristics
4.2. Immunohistochemical Examination
4.3. Statistical Analyses
5. Conclusions
Author Contributions
Funding
Institutional Review Board Statement
Informed Consent Statement
Data Availability Statement
Conflicts of Interest
References
- Arbyn, M.; Weiderpass, E.; Bruni, L.; de Sanjosé, S.; Saraiya, M.; Ferlay, J.; Bray, F. Estimates of incidence and mortality of cervical cancer in 2018: A worldwide analysis. Lancet Glob. Health 2020, 8, e191–e203. [Google Scholar] [CrossRef] [PubMed]
- Cancer Today. Available online: https://gco.iarc.fr/today/fact-sheets-cancers (accessed on 20 May 2024).
- Rs, J. The Immune Microenvironment in Human Papilloma Virus-Induced Cervical Lesions-Evidence for Estrogen as an Immunomodulator. Front. Cell. Infect. Microbiol. 2021, 11, 649815. [Google Scholar]
- Zhang, J.; Li, S.; Liu, F.; Yang, K. Role of CD68 in tumor immunity and prognosis prediction in pan-cancer. Sci. Rep. 2022, 12, 7844. [Google Scholar] [CrossRef] [PubMed]
- Huang, C.-Y.; Ye, Z.-H.; Huang, M.-Y.; Lu, J.-J. Regulation of CD47 expression in cancer cells. Transl. Oncol. 2020, 13, 100862. [Google Scholar] [CrossRef]
- Zhang, W.; Huang, Q.; Xiao, W.; Zhao, Y.; Pi, J.; Xu, H.; Zhao, H.; Xu, J.; Evans, C.E.; Jin, H. Advances in Anti-Tumor Treatments Targeting the CD47/SIRPα Axis. Front. Immunol. 2020, 11, 18. [Google Scholar] [CrossRef]
- Quail, D.F.; Joyce, J.A. Microenvironmental regulation of tumor progression and metastasis. Nat. Med. 2013, 19, 1423–1437. [Google Scholar] [CrossRef]
- Joyce, J.A.; Pollard, J.W. Microenvironmental regulation of metastasis. Nat. Rev. Cancer 2009, 9, 239–252. [Google Scholar] [CrossRef]
- Nelson, D.; Fisher, S.; Robinson, B. The “Trojan Horse” approach to tumour immunotherapy: Targeting the tumour microenvironment. J. Immunol. Res. 2014, 2014, 789069. [Google Scholar] [CrossRef]
- Wang, T.; Liu, G.; Wang, R. The intercellular metabolic interplay between tumour and immune cells. Front. Immunol. 2014, 5, 358. [Google Scholar] [CrossRef]
- Goubran, H.A.; Kotb, R.R.; Stakiw, J.; Emara, M.E.; Burnouf, T. Regulation of tumour growth and metastasis: The role of tumour microenvironment. Cancer Growth Metastasis 2014, 7, 9–18. [Google Scholar] [CrossRef]
- Alkhazraji, A.; Elgamal, M.; Ang, S.H.; Shivarov, V. All cancer hallmarks lead to diversity. Int. J. Clin. Exp. Med. 2019, 12, 132–157. [Google Scholar]
- Gu, M.; He, T.; Yuan, Y.; Duan, S.; Li, X.; Shen, C. Single-Cell RNA Sequencing Reveals Multiple Pathways and the Tumor Microenvironment Could Lead to Chemotherapy Resistance in Cervical Cancer. Front. Oncol. 2021, 11, 753386. [Google Scholar] [CrossRef] [PubMed]
- Qian, B.-Z.; Pollard, J.W. Macrophage Diversity Enhances Tumor Progression and Metastasis. Cell 2010, 141, 39–51. [Google Scholar] [CrossRef]
- Liu, Y.; Li, L.; Li, Y.; Zhao, X. Research Progress on Tumor-Associated Macrophages and Inflammation in Cervical Cancer. BioMed Res. Int. 2020, 2020, 6842963. [Google Scholar] [CrossRef] [PubMed]
- Galdiero, M.R.; Mantovani, A. Chapter 6—Macrophage Plasticity and Polarization: Relevance to Biomaterials. In Host Response to Biomaterials; Badylak, S.F., Ed.; Academic Press: Oxford, UK, 2015; pp. 117–130. [Google Scholar]
- Hu, W.; Li, X.; Zhang, C.; Yang, Y.; Jiang, J.; Wu, C. Tumor-associated macrophages in cancers. Clin. Transl. Oncol. 2016, 18, 251–258. [Google Scholar] [CrossRef]
- Beatty, G.L.; Gladney, W.L. Immune Escape Mechanisms as a Guide for Cancer Immunotherapy Tailoring Cancer Immunotherapy. Clin. Cancer Res. 2015, 21, 687–692. [Google Scholar] [CrossRef]
- Zhao, H.; Wang, J.; Kong, X.; Li, E.; Liu, Y.; Du, X.; Kang, Z.; Tang, Y.; Kuang, Y.; Yang, Z.; et al. CD47 Promotes Tumor Invasion and Metastasis in Non-small Cell Lung Cancer. Sci. Rep. 2016, 6, 29719. [Google Scholar] [CrossRef]
- Cioffi, M.; Trabulo, S.; Hidalgo, M.; Costello, E.; Greenhalf, W.; Erkan, M.; Kleeff, J.; Sainz, B.; Heeschen, C. Inhibition of CD47 Effectively Targets Pancreatic Cancer Stem Cells via Dual Mechanisms. Clin. Cancer Res. 2015, 21, 2325–2337. [Google Scholar] [CrossRef]
- Yuan, J.; Shi, X.; Chen, C.; He, H.; Liu, L.; Wu, J.; Yan, H. High Expression of CD47 in Triple Negative Breast Cancer Is Associated with Epithelial-Mesenchymal Transition and Poor Prognosis. Oncol. Lett. 2019, 18, 3249–3255. [Google Scholar] [CrossRef] [PubMed]
- Choi, Y.; Lee, D.; Kim, N.Y.; Seo, I.; Park, N.J.-Y.; Chong, G.O. Role of Tumor-Associated Macrophages in Cervical Cancer: Integrating Classical Perspectives with Recent Technological Advances. Life 2024, 14, 443. [Google Scholar] [CrossRef]
- Xu, T.; Yu, S.; Zhang, J.; Wu, S. Dysregulated Tumor-Associated Macrophages in Carcinogenesis, Progression and Targeted Therapy of Gynecological and Breast Cancers. J. Hematol. Oncol. 2021, 14, 181. [Google Scholar] [CrossRef] [PubMed]
- Malekghasemi, S.; Majidi, J.; Baghbanzadeh, A.; Abdolalizadeh, J.; Baradaran, B.; Aghebati-Maleki, L. Tumor-Associated Macrophages: Protumoral Macrophages in Inflammatory Tumor Microenvironment. Adv. Pharm. Bull. 2020, 10, 556–565. [Google Scholar] [CrossRef]
- Utrera-Barillas, D.; Castro-Manrreza, M.; Castellanos, E.; Gutiérrez-Rodríguez, M.; Arciniega-Ruíz de Esparza, O.; García-Cebada, J.; Velazquez, J.R.; Flores-Reséndiz, D.; Hernández-Hernández, D.; Benítez-Bribiesca, L. The Role of Macrophages and Mast Cells in Lymphangiogenesis and Angiogenesis in Cervical Carcinogenesis. Exp. Mol. Pathol. 2010, 89, 190–196. [Google Scholar] [CrossRef]
- Steinberger, K.J.; Eubank, T.D. The Underexplored Landscape of Hypoxia-Inducible Factor 2 Alpha and Potential Roles in Tumor Macrophages: A Review. Oxygen 2023, 3, 45–76. [Google Scholar] [CrossRef]
- Henze, A.; Mazzone, M.; Henze, A.; Mazzone, M. The Impact of Hypoxia on Tumor-Associated Macrophages Find the Latest Version: The Impact of Hypoxia on Tumor-Associated Macrophages. J. Clin. Investig. 2016, 126, 3672–3679. [Google Scholar] [CrossRef]
- Bai, R.; Li, Y.; Jian, L.; Yang, Y.; Zhao, L.; Wei, M. The Hypoxia-Driven Crosstalk between Tumor and Tumor-Associated Macrophages: Mechanisms and Clinical Treatment Strategies. Mol. Cancer 2022, 21, 177. [Google Scholar] [CrossRef]
- Pan, Y.; Yu, Y.; Wang, X.; Zhang, T. Tumor-Associated Macrophages in Tumor Immunity. Front. Immunol. 2020, 11, 583084. [Google Scholar] [CrossRef] [PubMed]
- Mazibrada, J.; Rittà, M.; Mondini, M.; De Andrea, M.; Azzimonti, B.; Borgogna, C.; Ciotti, M.; Orlando, A.; Surico, N.; Chiusa, L.; et al. Interaction between Inflammation and Angiogenesis during Different Stages of Cervical Carcinogenesis. Gynecol. Oncol. 2008, 108, 112–120. [Google Scholar] [CrossRef] [PubMed]
- Schoppmann, S.F.; Birner, P.; Stöckl, J.; Kalt, R.; Ullrich, R.; Caucig, C.; Nagy, K.; Alitalo, K.; Kerjaschki, D. Tumor-Associated Macrophages Express Lymphatic Endothelial Growth Factors and Are Related to Peritumoral Lymphangiogenesis. Am. J. Pathol. 2002, 161, 947–956. [Google Scholar] [CrossRef]
- Chen, X.J.; Wei, W.F.; Wang, Z.C.; Wang, N.; Guo, C.H.; Zhou, C.F.; Liang, L.J.; Wu, S.; Liang, L.; Wang, W. A Novel Lymphatic Pattern Promotes Metastasis of Cervical Cancer in a Hypoxic Tumour-Associated Macrophage-Dependent Manner. Angiogenesis 2021, 24, 549–565. [Google Scholar] [CrossRef]
- Aras, S.; Raza Zaidi, M. TAMeless Traitors: Macrophages in Cancer Progression and Metastasis. Br. J. Cancer 2017, 117, 1583–1591. [Google Scholar] [CrossRef] [PubMed]
- Cao, L.; Sun, P.L.; He, Y.; Yao, M.; Gao, H. Immune Stromal Features in Cervical Squamous Cell Carcinoma Are Prognostic Factors for Distant Metastasis: A Retrospective Study. Pathol. Res. Pract. 2020, 216, 152751. [Google Scholar] [CrossRef] [PubMed]
- Chen, X.J.; Deng, Y.R.; Wang, Z.C.; Wei, W.F.; Zhou, C.F.; Zhang, Y.M.; Yan, R.M.; Liang, L.J.; Zhong, M.; Liang, L.; et al. Hypoxia-Induced ZEB1 Promotes Cervical Cancer Progression via CCL8-Dependent Tumour-Associated Macrophage Recruitment. Cell Death Dis. 2019, 10, 508. [Google Scholar] [CrossRef] [PubMed]
- Ring, K.L.; Yemelyanova, A.V.; Soliman, P.T.; Frumovitz, M.M.; Jazaeri, A.A. Potential Immunotherapy Targets in Recurrent Cervical Cancer. Gynecol. Oncol. 2017, 145, 462–468. [Google Scholar] [CrossRef]
- Cortés-Morales, V.A.; Chávez-Sánchez, L.; Rocha-Zavaleta, L.; Espíndola-Garibay, S.; Monroy-García, A.; Castro-Manrreza, M.E.; Fajardo-Orduña, G.R.; Apresa-García, T.; Gutiérrez-de la Barrera, M.; Mayani, H.; et al. Mesenchymal Stem/Stromal Cells Derived from Cervical Cancer Promote M2 Macrophage Polarization. Cells 2023, 12, 1047. [Google Scholar] [CrossRef]
- Sainz, B.; Carron, E.; Vallespinós, M.; Machado, H.L. Cancer Stem Cells and Macrophages: Implications in Tumor Biology and Therapeutic Strategies. Mediat. Inflamm. 2016, 2016, 9012369. [Google Scholar] [CrossRef]
- Radharani, N.N.V.; Yadav, A.S.; Nimma, R.; Kumar, T.V.S.; Bulbule, A.; Chanukuppa, V.; Kumar, D.; Patnaik, S.; Rapole, S.; Kundu, G.C. Tumor-Associated Macrophage Derived IL-6 Enriches Cancer Stem Cell Population and Promotes Breast Tumor Progression via Stat-3 Pathway. Cancer Cell Int. 2022, 22, 122. [Google Scholar] [CrossRef]
- Hammes, L.S.; Tekmal, R.R.; Naud, P.; Edelweiss, M.I.; Kirma, N.; Valente, P.T.; Syrjänen, K.J.; Cunha-Filho, J.S. Macrophages, Inflammation and Risk of Cervical Intraepithelial Neoplasia (CIN) Progression-Clinicopathological Correlation. Gynecol. Oncol. 2007, 105, 157–165. [Google Scholar] [CrossRef]
- Guo, F.; Kong, W.; Zhao, G.; Cheng, Z.; Ai, L.; Lv, J.; Feng, Y.; Ma, X. The Correlation between Tumor-Associated Macrophage Infiltration and Progression in Cervical Carcinoma. Biosci. Rep. 2021, 41, BSR20203145. [Google Scholar] [CrossRef]
- Yordanov, A.; Shivarov, V.; Kostov, S.; Ivanova, Y.; Dimitrova, P.; Popovska, S.; Tsoneva, E.; Vasileva-Slaveva, M. Prognostic Utility of CD47 in Cancer of the Uterine Cervix and the Sensitivity of Immunohistochemical Scores. Diagnostics 2023, 13, 52. [Google Scholar] [CrossRef]
- Chen, Y.; Klingen, T.A.; Aas, H.; Wik, E.; Akslen, L.A. CD47 and CD68 expression in breast cancer is associated with tumor-infiltrating lymphocytes, blood vessel invasion, detection mode, and prognosis. J. Pathol. Clin. Res. 2023, 9, 151–164. [Google Scholar] [CrossRef]
- Yuan, J.; He, H.; Chen, C.; Wu, J.; Rao, J.; Yan, H. Combined high expression of CD47 and CD68 is a novel prognostic factor for breast cancer patients. Cancer Cell Int. 2019, 19, 238. [Google Scholar] [CrossRef]
- Fu, F.; Zhang, Y.; Gao, Z.; Zhao, Y.; Wen, Z.; Han, H.; Li, Y.; Hu, H.; Chen, H. Combination of CD47 and CD68 expression predicts survival in eastern-Asian patients with non-small cell lung cancer. J. Cancer Res. Clin. Oncol. 2021, 147, 739–747. [Google Scholar] [CrossRef] [PubMed]
- Semiz, H.S.; Küçük, Ü.; Kısa, E.; Keskinkılıç, M.; Süyün, D.E.; Arayıcı, M.E.; Atağ, E.; Karaoglu, A. CD47 (don’t eat me signal) expression levels and its relationship with clinicopathologic features in early-stage prostate carcinoma. Prostate 2022, 82, 1564–1571. [Google Scholar] [CrossRef]
- Dimitrova, P.; Vasileva-Slaveva, M.; Shivarov, V.; Hasan, I.; Yordanov, A. Infiltration by Intratumor and Stromal CD8 and CD68 in Cervical Cancer. Medicina 2023, 59, 728. [Google Scholar] [CrossRef] [PubMed]





| CD68IT | CD68ST | CD47 | ||||||||||||
|---|---|---|---|---|---|---|---|---|---|---|---|---|---|---|
| 0 | 1 | 2 | p-value | 1 | 2 | p-value | 0 | 1 | 2 | p-value | ||||
| T stage | Total | Total | Total | |||||||||||
| T1a | 1 | 114 | 37 | 152 | 0.6806 | 75 | 77 | 152 | 0.7251 | 10 | 65 | 77 | 152 | 1.70 × 10−6 |
| T2a | 0 | 14 | 5 | 19 | 11 | 8 | 19 | 8 | 8 | 3 | 19 | |||
| T2b | 0 | 13 | 7 | 20 | 9 | 11 | 20 | 8 | 8 | 4 | 20 | |||
| Total | 1 | 141 | 49 | 191 | 95 | 96 | 191 | 26 | 81 | 84 | 191 | |||
| N stage | ||||||||||||||
| N0 | 0 | 99 | 37 | 136 | 0.2716 | 68 | 68 | 136 | 1 | 14 | 58 | 64 | 136 | 0.09195 |
| N1 | 1 | 42 | 12 | 55 | 27 | 28 | 55 | 12 | 23 | 20 | 55 | |||
| Total | 1 | 141 | 49 | 191 | 95 | 96 | 191 | 26 | 81 | 84 | 191 | |||
| FIGO stage | ||||||||||||||
| FIGO I | 0 | 87 | 31 | 118 | 0.4435 | 58 | 60 | 118 | 0.9047 | 8 | 49 | 61 | 118 | 0.0012 |
| FIGO II | 0 | 12 | 6 | 18 | 10 | 8 | 18 | 6 | 9 | 3 | 18 | |||
| FIGO III | 1 | 42 | 12 | 55 | 27 | 28 | 55 | 12 | 23 | 20 | 55 | |||
| Total | 1 | 141 | 49 | 191 | 95 | 96 | 191 | 26 | 81 | 84 | 191 | |||
| Histology | ||||||||||||||
| AC | 0 | 26 | 0 | 26 | 3.41 × 10−5 | 17 | 9 | 26 | 0.2297 | 2 | 14 | 10 | 26 | 0.514 |
| ASC | 0 | 14 | 0 | 14 | 7 | 7 | 14 | 1 | 8 | 5 | 14 | |||
| SCC | 1 | 101 | 49 | 151 | 71 | 80 | 151 | 23 | 59 | 69 | 151 | |||
| Total | 1 | 141 | 49 | 191 | 95 | 96 | 191 | 26 | 81 | 84 | 191 | |||
| Age | ||||||||||||||
| ≤50 years | 1 | 71 | 22 | 94 | 0.5631 | 49 | 45 | 94 | 0.5638 | 11 | 39 | 44 | 94 | 0.6619 |
| >50 years | 0 | 70 | 27 | 97 | 46 | 51 | 97 | 15 | 42 | 40 | 97 | |||
| Total | 1 | 141 | 49 | 191 | 95 | 96 | 191 | 26 | 81 | 84 | 191 | |||
| CD68IT | ||||||||||||||
| 0 | 1 | 0 | 0 | 1 | NA | 1 | 0 | 1 | 0.1851 | 0 | 0 | 1 | 1 | 0.005581 |
| 1 | 0 | 141 | 0 | 141 | 74 | 67 | 141 | 20 | 69 | 52 | 141 | |||
| 2 | 0 | 0 | 49 | 49 | 20 | 29 | 49 | 6 | 12 | 31 | 49 | |||
| Total | 1 | 141 | 49 | 191 | 95 | 96 | 191 | 26 | 81 | 84 | 191 | |||
| CD68ST | ||||||||||||||
| 1 | 1 | 74 | 20 | 95 | 0.1851 | 95 | 0 | 95 | NA | 16 | 44 | 35 | 95 | 0.1246 |
| 2 | 0 | 67 | 29 | 96 | 0 | 96 | 96 | 10 | 37 | 49 | 96 | |||
| Total | 1 | 141 | 49 | 191 | 95 | 96 | 191 | 26 | 81 | 84 | 191 | |||
| SD47 H score | ||||||||||||||
| 0 | 0 | 20 | 6 | 26 | 0.005581 | 16 | 10 | 26 | 0.1246 | 26 | 0 | 0 | 26 | NA |
| 1 | 0 | 69 | 12 | 81 | 44 | 37 | 81 | 0 | 81 | 0 | 81 | |||
| 2 | 1 | 52 | 31 | 84 | 35 | 49 | 84 | 0 | 0 | 84 | 84 | |||
| Total | 1 | 141 | 49 | 191 | 95 | 96 | 191 | 26 | 81 | 84 | 191 |
| Patients’ Characteristics | N | (%) |
|---|---|---|
| FIGO I | 118 | 61.8 |
| FIGO II | 18 | 9.4 |
| FIGO III | 55 | 28.8 |
| T1b * | 152 | 79.6 |
| T2a | 19 | 9.9 |
| T2b | 20 | 10.5 |
| N0 | 136 | 71.2 |
| N1 | 55 | 28.8 |
| squamous-cell carcinoma | 151 | 79.1 |
| adenocarcinoma | 26 | 13.6 |
| adenosquamous carcinoma | 14 | 7.3 |
| Total | 191 | 100 |
| Levels of Positive Cells | Intratumoral TAMs, CD68+ | Stromal TAMs, CD68+ | CD47 |
|---|---|---|---|
| 0 | missing CD68 positive cells | missing CD68 positive cells | negative result (H-score = 0) |
| 1 | low concentration with a mean number of CD68 positive cells < 13 | low concentration with a mean number of CD68 positive cells < 25 | low score (H-score ≤ 74) |
| 2 | high concentration with a mean number of IT CD68 positive cells ≥ 13 | high concentration, with a mean number of ST CD68 positive cells ≥ 25 | high score (H-score > 74) |
Disclaimer/Publisher’s Note: The statements, opinions and data contained in all publications are solely those of the individual author(s) and contributor(s) and not of MDPI and/or the editor(s). MDPI and/or the editor(s) disclaim responsibility for any injury to people or property resulting from any ideas, methods, instructions or products referred to in the content. |
© 2024 by the authors. Licensee MDPI, Basel, Switzerland. This article is an open access article distributed under the terms and conditions of the Creative Commons Attribution (CC BY) license (https://creativecommons.org/licenses/by/4.0/).
Share and Cite
Yordanov, A.; Damyanova, P.; Vasileva-Slaveva, M.; Hasan, I.; Kostov, S.; Shivarov, V. Integrated Analysis of Phagocytic and Immunomodulatory Markers in Cervical Cancer Reveals Constellations of Potential Prognostic Relevance. Int. J. Mol. Sci. 2024, 25, 9117. https://doi.org/10.3390/ijms25169117
Yordanov A, Damyanova P, Vasileva-Slaveva M, Hasan I, Kostov S, Shivarov V. Integrated Analysis of Phagocytic and Immunomodulatory Markers in Cervical Cancer Reveals Constellations of Potential Prognostic Relevance. International Journal of Molecular Sciences. 2024; 25(16):9117. https://doi.org/10.3390/ijms25169117
Chicago/Turabian StyleYordanov, Angel, Polina Damyanova, Mariela Vasileva-Slaveva, Ihsan Hasan, Stoyan Kostov, and Velizar Shivarov. 2024. "Integrated Analysis of Phagocytic and Immunomodulatory Markers in Cervical Cancer Reveals Constellations of Potential Prognostic Relevance" International Journal of Molecular Sciences 25, no. 16: 9117. https://doi.org/10.3390/ijms25169117
APA StyleYordanov, A., Damyanova, P., Vasileva-Slaveva, M., Hasan, I., Kostov, S., & Shivarov, V. (2024). Integrated Analysis of Phagocytic and Immunomodulatory Markers in Cervical Cancer Reveals Constellations of Potential Prognostic Relevance. International Journal of Molecular Sciences, 25(16), 9117. https://doi.org/10.3390/ijms25169117

