Transglutaminase 2 Regulates HSF1 Gene Expression in the Acute Phase of Fish Optic Nerve Regeneration
Abstract
1. Introduction
2. Results
2.1. A Rapid Increase in Transglutaminase 2 (TG2) Immediately after ONLs
2.2. A Rapid Increase in Retinoic Acid (RA) Signaling Immediately after ONLs
2.3. TG2 Regulates the Expression of HSF1 after ONLs
2.4. TG2-Specific Inhibitor Suppressed HSF1 Expression in the Retina after ONLs
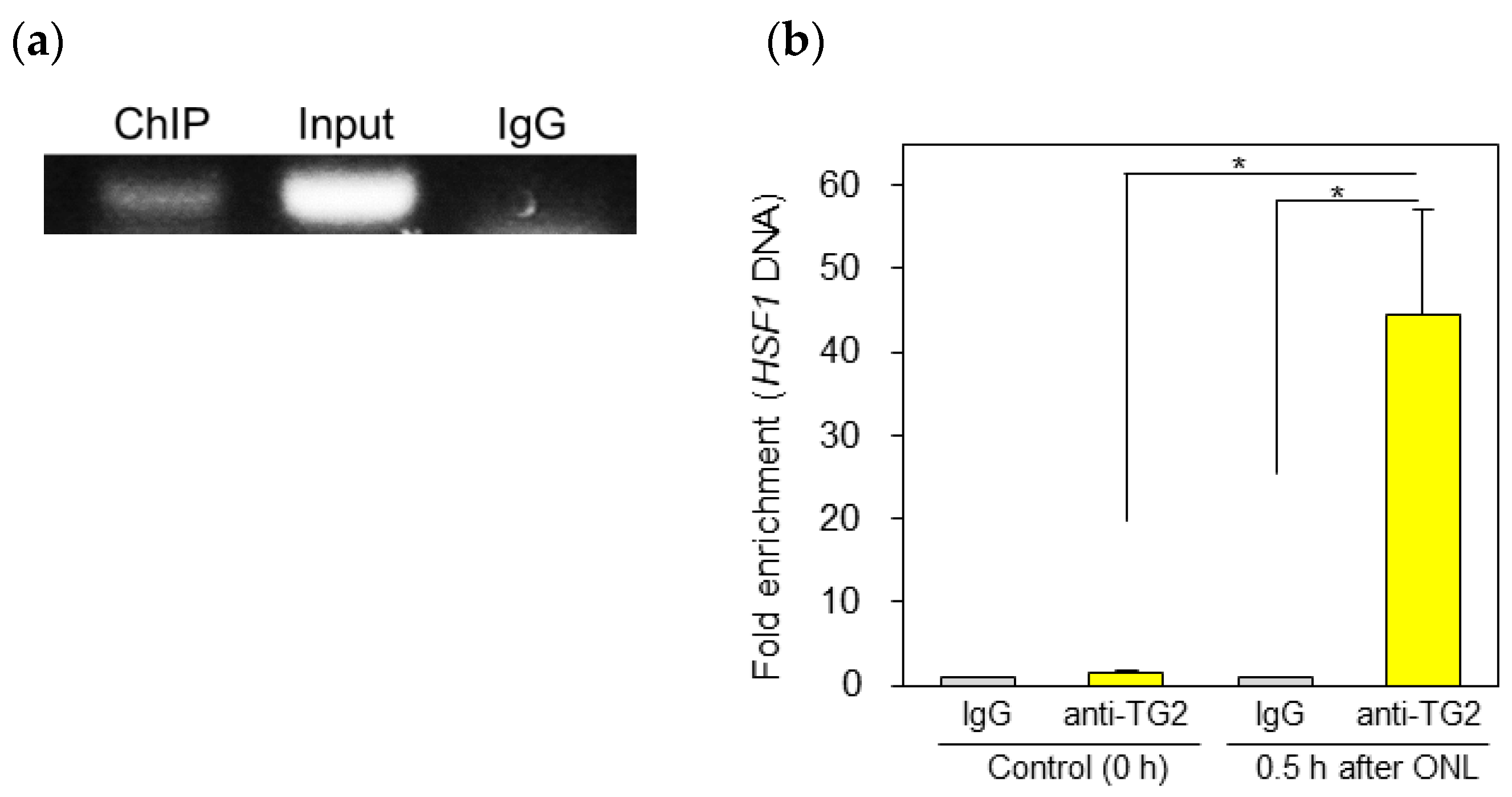
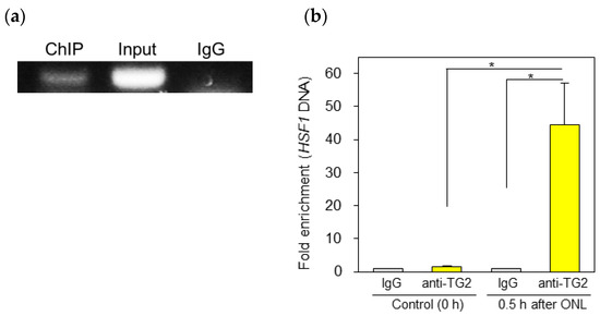
2.5. ChIP Assay for HSF1 in Response to TG2
2.6. Effect of TG2 Morpholino (MO) on Yamanaka Factor Expression after ONLs
2.7. Effect of TG2 Morpholino (MO) on Apoptosis in the Retina after ONLs
3. Discussion
3.1. Rapid Activation of RA Signaling and TG2 Gene Expression in the Zebrafish Retina after ONLs
3.2. TG2-Activated HSF1 in the Zebrafish Retina in the Acute Phase after ONLs
4. Materials and Methods
4.1. Ethics Statement
4.2. Animals
4.3. Tissue Preparation
4.4. Total RNA Extraction for cDNA Synthesis
4.5. Quantitative Real-Time PCR
4.6. Immunohistochemistry
4.7. In Situ Hybridization
4.8. Chromatin Immunoprecipitation
4.9. Intraocular Injection of TG2 or HSF1 Morpholino into Zebrafish Eye
4.10. Intraocular Injection of TG2-Specific Inhibitor into Zebrafish Eye
4.11. In Situ TG Activity Assay with Flat-Mount Retina after Treatment of TG Inhibitor
4.12. Terminal Transferase-Mediated dUTP Nick-End Labeling (TUNEL) Staining
4.13. Statistical Analysis
Supplementary Materials
Author Contributions
Funding
Institutional Review Board Statement
Informed Consent Statement
Data Availability Statement
Acknowledgments
Conflicts of Interest
References
- Attardi, D.G.; Sperry, R.W. Preferential selection of central pathways by regenerating optic fibers. Exp. Neurol. 1963, 7, 46–64. [Google Scholar] [PubMed]
- Sperry, R.W. Patterning of central synapses in regeneration of the optic nerve in teleosts. Physiol. Zool. 1948, 21, 351–361. [Google Scholar] [PubMed]
- Bastmeyer, M.; Bähr, M.; Stuermer, C.A. Fish Optic Nerve Oligodendrocytes Support Axonal Regeneration of Fish and Mammalian Retinal Ganglion Cells. Glia 1993, 8, 1–11. [Google Scholar]
- Becker, T.; Becker, C.G. Axonal regeneration in zebrafish. Curr. Opin. Neurobiol. 2014, 27, 186–191. [Google Scholar]
- Laha, B.; Stafford, B.K.; Huberman, A.D. Regenerating optic pathways from the eye to the brain. Science 2017, 356, 1031–1034. [Google Scholar]
- Williams, P.R.; Benowitz, L.I.; Goldberg, J.L.; He, Z. Axon Regeneration in the Mammalian Optic Nerve. Annu. Rev. Vis. Sci. 2020, 6, 195–213. [Google Scholar]
- Fague, L.; Liu, Y.A.; Marsh-Armstrong, N. The basic science of optic nerve regeneration. Ann. Transl. Med. 2021, 15, 1276. [Google Scholar]
- Lenkowski, J.R.; Raymond, P.A. Müller glia: Stem cells for generation and regeneration of retinal neurons in teleost fish. Prog. Retin. Eye Res. 2014, 40, 94–123. [Google Scholar] [PubMed]
- Goldman, D. Müller glial cell reprogramming and retina regeneration. Nat. Rev. Neurosci. 2014, 15, 431–442. [Google Scholar]
- Marques, I.J.; Lupi, E.; Mercader, N. Model systems for regeneration: Zebrafish. Development 2019, 146, dev167692. [Google Scholar]
- Kato, S.; Devadas, M.; Okada, K.; Shimada, Y.; Ohkawa, M.; Muramoto, K.; Takizawa, N.; Matsukawa, T. Fast and slow recovery phases of goldfish behavior after transection of the optic nerve revealed by a computer image processing system. Neuroscience 1999, 93, 907–914. [Google Scholar]
- Kato, S.; Matsukawa, T.; Koriyama, Y.; Sugitani, K.; Ogai, K. A molecular mechanism of optic nerve regeneration in fish: The retinoid signaling pathway. Prog. Retin. Eye Res. 2013, 37, 13–30. [Google Scholar] [PubMed]
- Matsukawa, T.; Sugitani, K.; Mawatari, K.; Koriyama, Y.; Liu, Z.; Tanaka, M.; Kato, S. Role of purpurin as a retinol-binding protein in goldfish retina during the early stage of optic nerve regeneration: Its priming action on neurite outgrowth. J. Neurosci. 2004, 24, 8346–8353. [Google Scholar]
- Koriyama, Y.; Homma, K.; Sugitani, K.; Higuchi, Y.; Matsukawa, T.; Murayama, D.; Kato, S. Upregulation of IGF-I in the goldfish retinal ganglion cells during the early stage of optic nerve regeneration. Neurochem. Int. 2007, 50, 749–756. [Google Scholar]
- Nagashima, M.; Fujikawa, C.; Mawatari, K.; Mori, Y.; Kato, S. HSP70, the earliest-induced gene in the zebrafish retina during optic nerve regeneration: Its role in cell survival. Neurochem. Int. 2011, 58, 888–895. [Google Scholar] [PubMed]
- Fujikawa, C.; Nagashima, M.; Mawatari, K.; Kato, S. HSP 70 gene expression in the zebrafish retina after optic nerve injury: A comparative study under heat shock stresses. Adv. Exp. Med. Biol. 2012, 723, 663–668. [Google Scholar]
- Tanaka, M.; Murayama, D.; Nagashima, M.; Higashi, T.; Mawatari, K.; Matsukawa, T.; Kato, S. Purpurin Expression in the Zebrafish Retina during Early Development and after Optic Nerve Lesion in Adults. Brain Res. 2007, 1153, 34–42. [Google Scholar]
- Sugitani, K.; Mokuya, T.; Homma, S.; Maeda, M.; Konno, A.; Ogai, K. Specific Activation of Yamanaka Factors via HSF1 Signaling in the Early Stage of Zebrafish Optic Nerve Regeneration. Int. J. Mol. Sci. 2023, 24, 3253. [Google Scholar] [CrossRef]
- Sugitani, K.; Ogai, K.; Hitomi, K.; Nakamura-Yonehara, K.; Shintani, T.; Noda, M.; Koriyama, Y.; Tanii, H.; Matsukawa, T.; Kato, S. A distinct effect of transient and sustained upregulation of cellular factor XIII in the goldfish retina and optic nerve on optic nerve regeneration. Neurochem. Int. 2012, 61, 423–432. [Google Scholar] [PubMed]
- Sugitani, K.; Matsukawa, T.; Koriyama, Y.; Shintani, T.; Nakamura, T.; Noda, M.; Kato, S. Upregulation of retinal transglutaminase during the axonal elongation stage of goldfish optic nerve regeneration. Neuroscience 2006, 142, 1081–1092. [Google Scholar]
- Caminos, E.; Becker, E.; Martín-Zanca, D.; Vecino, E. Neurotrophins and Their Receptors in the Tench Retina during Optic Nerve Regeneration. J. Comp. Neurol. 1999, 404, 321–331. [Google Scholar] [PubMed]
- Van Dyck, A.; Bollaerts, I.; Beckers, A.; Vanhunsel, S.; Glorian, N.; van Houcke, J.; van Ham, T.J.; De Groef, L.; Andries, L.; Moons, L. Müller Glia-Myeloid Cell Crosstalk Accelerates Optic Nerve Regeneration in the Adult Zebrafish. Glia 2021, 69, 1444–1463. [Google Scholar]
- Beckers, A.; Vanhunsel, S.; Van Dyck, A.; Bergmans, S.; Masin, L.; Moons, L. Injury-Induced Autophagy Delays Axonal Regeneration after Optic Nerve Damage in Adult Zebrafish. Neuroscience 2021, 470, 52–69. [Google Scholar]
- Kaneda, M.; Nagashima, M.; Mawatari, K.; Nunome, T.; Muramoto, K.; Sugitani, K.; Kato, S. Growth-Associated Protein43 (GAP43) Is a Biochemical Marker for the Whole Period of Fish Optic Nerve Regeneration. Adv. Exp. Med. Biol. 2010, 664, 97–104. [Google Scholar] [PubMed]
- Takahashi, K.; Yamanaka, S. Induction of pluripotent stem cells from mouse embryonic and adult fibroblast cultures by defined factors. Cell 2006, 126, 663–676. [Google Scholar] [PubMed]
- Takahashi, K.; Tanabe, K.; Ohnuki, M.; Narita, M.; Ichisaka, T.; Tomoda, K.; Yamanaka, S. Induction of pluripotent stem cells from adult human fibroblasts by defined factors. Cell 2007, 131, 861–872. [Google Scholar] [PubMed]
- Hofmann, J.W.; Zhao, X.; De Cecco, M.; Peterson, A.L.; Pagliaroli, L.; Manivannan, J.; Hubbard, G.B.; Ikeno, Y.; Zhang, Y.; Feng, B.; et al. Reduced expression of MYC increases longevity and enhances healthspan. Cell 2015, 160, 477–488. [Google Scholar]
- Nakagawa, M.; Koyanagi, M.; Tanabe, K.; Takahashi, K.; Ichisaka, T.; Aoi, T.; Okita, K.; Mochiduki, Y.; Takizawa, N.; Yamanaka, S. Generation of induced pluripotent stem cells without Myc from mouse and human fibroblasts. Nat. Biotechnol. 2008, 26, 101–106. [Google Scholar]
- Wernig, M.; Meissner, A.; Cassady, J.P.; Jaenisch, R. c-Myc is dispensable for direct reprogramming of mouse fibroblasts. Cell Stem Cell 2008, 2, 10–12. [Google Scholar]
- Nagashima, M.; Sakurai, H.; Mawatari, K.; Koriyama, Y.; Matsukawa, T.; Kato, S. Involvement of Retinoic Acid Signaling in Goldfish Optic Nerve Regeneration. Neurochem. Int. 2009, 54, 229–236. [Google Scholar]
- Caccamo, D.; Condello, S.; Ferlazzo, N.; Currò, M.; Griffin, M.; Ientile, R. Transglutaminase 2 Interaction with Small Heat Shock Proteins Mediate Cell Survival upon Excitotoxic Stress. Amino Acids 2013, 44, 151–159. [Google Scholar] [PubMed]
- Eckert, R.L.; Kaartinen, M.T.; Nurminskaya, M.; Belkin, A.M.; Colak, G.; Johnson, G.V.W.; Mehta, K. Transglutaminase Regulation of Cell Function. Physiol. Rev. 2014, 94, 383–417. [Google Scholar] [PubMed]
- Tatsukawa, H.; Hitomi, K. Role of Transglutaminase 2 in Cell Death, Survival, and Fibrosis. Cells 2021, 10, 1842. [Google Scholar] [CrossRef]
- Wu, J.; Wang, J.; Wang, L.; Huang, Y. Topical Retinoic Acid Induces Corneal Strengthening by Upregulating Transglutaminase 2 in Murine Cornea. Exp. Eye Res. 2022, 214, 108850. [Google Scholar]
- Takano-Kawabe, K.; Izumo, T.; Minamihata, T.M.; Moriyama, M. All-Trans Retinoic Acid Increased Transglutaminase 2 Expressions in BV-2 Cells and Cultured Astrocytes. Curr. Mol. Pharmacol. 2023, 17, e18761429254388. [Google Scholar] [CrossRef]
- Janesick, A.; Wu, S.C.; Blumberg, B. Retinoic Acid Signaling and Neuronal Differentiation. Cell. Mol. Life Sci. CMLS 2015, 72, 1559–1576. [Google Scholar]
- Szymański, Ł.; Skopek, R.; Palusińska, M.; Schenk, T.; Stengel, S.; Lewicki, S.; Kraj, L.; Kamiński, P.; Zelent, A. Retinoic Acid and Its Derivatives in Skin. Cells 2020, 9, 2660. [Google Scholar] [CrossRef]
- Schubert, D.; LaCorbiere, M.; Esch, F. A Chick Neural Retina Adhesion and Survival Molecule Is a Retinol-Binding Protein. J. Cell Biol. 1986, 10, 2295–2301. [Google Scholar]
- Chambon, P. A Decade of Molecular Biology of Retinoic Acid Receptors. FASEB J. 1996, 10, 940–954. [Google Scholar]
- Bastien, J.; Rochette-Egly, C. Nuclear Retinoid Receptors and the Transcription of Retinoid-Target Genes. Gene 2004, 328, 1–16. [Google Scholar]
- Shimada, J.; Suzuki, Y.; Kim, S.J.; Wang, P.C.; Matsumura, M.; Kojima, S. Transactivation via RAR/RXR-Sp1 interaction: Characterization of binding between Sp1 and GC box motif. Mol. Endocrinol. 2001, 15, 1677–1692. [Google Scholar]
- Ritter, S.J.; Davies, P.J.A. Identification of a transforming growth factor-1/bone morphogenetic protein 4 (TGF-1/BMP4) response element within the mouse tissue transglutaminase gene promoter. J. Biol. Chem. 1998, 273, 12798–12806. [Google Scholar] [PubMed]
- Johnson, K.; Hashimoto, S.; Lotz, M.; Pritzker, K.; Terkeltaub, R. Interleukin-1 induces pro-mineralizing activity of cartilage tissue transglutaminase and factor XIIIa. Am. J. Pathol. 2001, 159, 149–163. [Google Scholar]
- Suto, N.; Ikura, K.; Sasaki, R. Expression induced by interleukin-6 of tissue-type transglutaminase in human hepatoblastoma HepG2 cells. J. Biol. Chem. 1993, 268, 7469–7473. [Google Scholar] [PubMed]
- Kuncio, G.S.; Tsyganskaya, M.; Zhu, J.; Liu, S.L.; Nagy, L.; Thomazy, V.; Davies, P.J.A.; Zern, M.A. TNF-α modulates expression of the tissue transglutaminase gene in liver cells. Am. J. Physiol. Gastrointest. Liver Physiol. 1998, 274, G240–G245. [Google Scholar]
- Jang, G.Y.; Jeon, J.H.; Cho, S.Y.; Shin, D.M.; Kim, C.W.; Jeong, E.M.; Bae, H.C.; Kim, T.W.; Lee, S.H.; Choi, Y.; et al. Transglutaminase 2 suppresses apoptosis by modulating caspase 3 and NF-_B activity in hypoxic tumor cells. Oncogene 2010, 29, 356–367. [Google Scholar]
- Antonyak, M.A.; Miller, A.M.; Jansen, J.M.; Boehm, J.E.; Balkman, C.E.; Wakshlag, J.J.; Page, R.L.; Cerione, R.A. Augmentation of tissue transglutaminase expression and activation by epidermal growth factor inhibit doxorubicin-induced apoptosis in human breast cancer cells. J. Biol. Chem. 2004, 279, 41461–41467. [Google Scholar] [PubMed]
- Schubert, D. A Brief History of Adherons: The Discovery of Brain Exosomes. Int. J. Mol. Sci. 2020, 21, 7673. [Google Scholar] [CrossRef]
- Ientile, R.; Caccamo, D.; Griffin, M. Tissue Transglutaminase and the Stress Response. Amino Acids 2007, 33, 385–394. [Google Scholar]
- Tabolacci, C.; De Martino, A.; Mischiati, C.; Feriotto, G.; Beninati, S. The Role of Tissue Transglutaminase in Cancer Cell Initiation, Survival and Progression. Med. Sci. 2019, 7, 19. [Google Scholar] [CrossRef] [PubMed]
- Ientile, R.; Currò, M.; Caccamo, D. Transglutaminase 2 and Neuroinflammation. Amino Acids 2015, 47, 19–26. [Google Scholar]
- Rossin, F.; Villella, V.R.; D’Eletto, M.; Farrace, M.G.; Esposito, S.; Ferrari, E.; Monzani, R.; Occhigrossi, L.; Pagliarini, V.; Sette, C.; et al. TG2 Regulates the Heat-Shock Response by the Post-Translational Modification of HSF1. EMBO Rep. 2018, 19, e45067. [Google Scholar] [PubMed]
- Lu, Y.; Brommer, B.; Tian, X.; Krishnan, A.; Meer, M.; Wang, C.; Vera, D.L.; Zeng, Q.; Yu, D.; Bonkowski, M.S.; et al. Reprogramming to recover youthful epigenetic information and restore vision. Nature 2020, 88, 124–129. [Google Scholar]
- Stainier, D.Y.R.; Raz, E.; Lawson, N.D.; Ekker, S.C.; Burdine, R.D.; Eisen, J.S.; Ingham, P.W.; Schulte-Merker, S.; Yelon, D.; Weinstein, B.M.; et al. Guidelines for Morpholino Use in Zebrafish. PLoS Genet. 2017, 13, e1007000. [Google Scholar]
- Moulton, J.D. Guide for Morpholino Users: Toward Therapeutics. J. Drug Discov. Dev. Deliv. 2016, 3, 1023. [Google Scholar]
- Lee, M.-S.; Jui, J.; Sahu, A.; Goldman, D. Mycb and Mych Stimulate Müller Glial Cell Reprogramming and Proliferation in the Uninjured and Injured Zebrafish Retina. Development 2024, 151, dev203062. [Google Scholar] [CrossRef] [PubMed]
- Hitomi, K.; Kitamura, M.; Sugimura, Y. Preferred Substrate Sequences for Transglutaminase 2: Screening Using a Phage-Displayed Peptide Library. Amino Acids 2009, 36, 619–624. [Google Scholar]







| Gene | Accession No. | 5′ Primer | 3′ Primer | Purpose |
|---|---|---|---|---|
| HSF1 | NM_001313736 | GATCTGCTGGAGCCCAAA | TCGGCAGAACTTCTTTGGAA | real-time PCR |
| GGAGCTCCAGGATGACTCGT | GAACAGGCTGGAAGTTGAGC | ChIP assay | ||
| TG2 (TG2b) | NM_212656 | TCCAGTCCACCAGGAGAATC | TGGATCCGCTCGTCTAGAGT | real-time PCR |
| GCCCGGAACAGCAGATCA | AACATACTCCGCCAGCTCT | in situ hybridization | ||
| Oct4 | NM_131112 | CAACTCCCTCCGCTTCATC | GCTTCCGAACCCATTTCC | real-time PCR |
| Sox2 | NM_213118 | GACCATTCATCGACGAAGCC | CCTCCGGGGTCTGTATTTGT | real-time PCR |
| Klf4 | NM_001113483 | ACCGATGTGAAGCACAAGG | GCAGGTCGCACCTGTAGAC | real-time PCR |
| RALDH2 | NM_131850.1 | ACAGTGCTTACCTTGCTACCC | CTTATCTGCCCATCCAGCGT | real-time PCR |
| CYP26a1 | NM_131146.2 | TCAGGGTGATGGGAGCTGAT | GTCAGAGCCCAGGATGGTTC | real-time PCR |
| RARαa | NM_131406.2 | TGATTAAACCCGCGTCTGTG | AGCTCCGGTTATTTAGTCTCGT | real-time PCR |
| GAPDH | NM_001115114.1 | TCAGTCCACTCACACCAAGTG | CGACCGAATCCGTTAATACC | real-time PCR |
Disclaimer/Publisher’s Note: The statements, opinions and data contained in all publications are solely those of the individual author(s) and contributor(s) and not of MDPI and/or the editor(s). MDPI and/or the editor(s) disclaim responsibility for any injury to people or property resulting from any ideas, methods, instructions or products referred to in the content. |
© 2024 by the authors. Licensee MDPI, Basel, Switzerland. This article is an open access article distributed under the terms and conditions of the Creative Commons Attribution (CC BY) license (https://creativecommons.org/licenses/by/4.0/).
Share and Cite
Sugitani, K.; Mokuya, T.; Kanai, Y.; Takaya, Y.; Omori, Y.; Koriyama, Y. Transglutaminase 2 Regulates HSF1 Gene Expression in the Acute Phase of Fish Optic Nerve Regeneration. Int. J. Mol. Sci. 2024, 25, 9078. https://doi.org/10.3390/ijms25169078
Sugitani K, Mokuya T, Kanai Y, Takaya Y, Omori Y, Koriyama Y. Transglutaminase 2 Regulates HSF1 Gene Expression in the Acute Phase of Fish Optic Nerve Regeneration. International Journal of Molecular Sciences. 2024; 25(16):9078. https://doi.org/10.3390/ijms25169078
Chicago/Turabian StyleSugitani, Kayo, Takumi Mokuya, Yu Kanai, Yurina Takaya, Yuya Omori, and Yoshiki Koriyama. 2024. "Transglutaminase 2 Regulates HSF1 Gene Expression in the Acute Phase of Fish Optic Nerve Regeneration" International Journal of Molecular Sciences 25, no. 16: 9078. https://doi.org/10.3390/ijms25169078
APA StyleSugitani, K., Mokuya, T., Kanai, Y., Takaya, Y., Omori, Y., & Koriyama, Y. (2024). Transglutaminase 2 Regulates HSF1 Gene Expression in the Acute Phase of Fish Optic Nerve Regeneration. International Journal of Molecular Sciences, 25(16), 9078. https://doi.org/10.3390/ijms25169078

