The Impact of Sciatic Nerve Injury on Extracellular Matrix of Lower Limb Muscle and Thoracolumbar Fascia: An Observational Study
Abstract
1. Introduction
2. Results
2.1. Motor Function
2.2. Distribution of HA
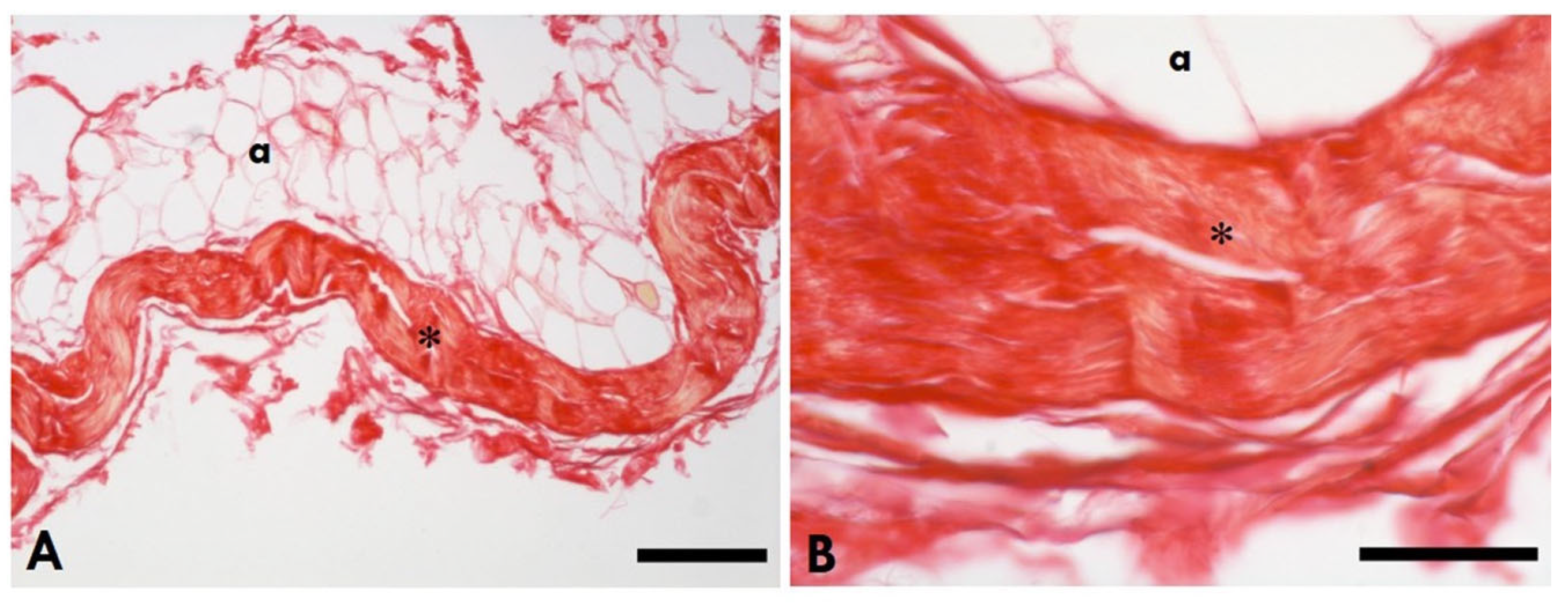
2.3. Distribution of Collagen
2.4. Quantification of HA in the Muscle and TLF
2.5. Quantification of Collagen in the Muscle and TLF
2.6. Area Percentage of Collagen Content in IMCT in the Gastrocnemius Muscle
3. Discussion
Limitations and Further Research
4. Materials and Methods
4.1. Animal Model of PNI
4.2. Behavioural Tests of Motor Function
4.2.1. Sciatic Functional Index
4.2.2. Gait Analysis
4.3. Sample Collection
4.4. Quantification of Hyaluronan
4.5. Quantification of Collagen
4.6. Histological Analysis
4.7. Image Analysis
4.8. Statistical Analysis
5. Conclusions
Supplementary Materials
Author Contributions
Funding
Institutional Review Board Statement
Informed Consent Statement
Data Availability Statement
Acknowledgments
Conflicts of Interest
References
- Aberg, M.; Ljungberg, C.; Edin, E.; Millqvist, H.; Nordh, E.; Theorin, A.; Terenghi, G.; Wiberg, M. Clinical evaluation of a resorbable wrap-around implant as an alternative to nerve repair: A prospective, assessor-blinded, randomised clinical study of sensory, motor and functional recovery after peripheral nerve repair. J. Plast. Reconstr. Aesthet. Surg. 2009, 62, 1503–1509. [Google Scholar] [CrossRef]
- Menorca, R.M.; Fussell, T.S.; Elfar, J.C. Nerve physiology: Mechanisms of injury and recovery. Hand Clin. 2013, 29, 317–330. [Google Scholar] [CrossRef]
- Lopes, B.; Sousa, P.; Alvites, R.; Branquinho, M.; Sousa, A.C.; Mendonça, C.; Atayde, L.M.; Luís, A.L.; Varejão, A.S.P.; Maurício, A.C. Peripheral Nerve Injury Treatments and Advances: One Health Perspective. Int. J. Mol. Sci. 2022, 23, 918. [Google Scholar] [CrossRef]
- Carlson, B.M. The Biology of Long-Term Denervated Skeletal Muscle. Eur. J. Transl. Myol. 2014, 24, 3293. [Google Scholar] [CrossRef] [PubMed]
- Purslow, P.P. The Structure and Role of Intramuscular Connective Tissue in Muscle Function. Front. Physiol. 2020, 11, 495. [Google Scholar] [CrossRef]
- Gillies, A.R.; Lieber, R.L. Structure and function of the skeletal muscle extracellular matrix. Muscle Nerve 2011, 44, 318–331. [Google Scholar] [CrossRef] [PubMed]
- Rebolledo, D.L.; González, D.; Faundez-Contreras, J.; Contreras, O.; Vio, C.P.; Murphy-Ullrich, J.E.; Lipson, K.E.; Brandan, E. Denervation-induced skeletal muscle fibrosis is mediated by CTGF/CCN2 independently of TGF-β. Matrix Biol. 2019, 82, 20–37. [Google Scholar] [CrossRef]
- Ozawa, J.; Kurose, T.; Kawamata, S.; Kaneguchi, A.; Moriyama, H.; Kito, N. Regulation of connective tissue remodeling in the early phase of denervation in a rat skeletal muscle. Biomed. Res. 2013, 34, 251–258. [Google Scholar] [CrossRef]
- Savolainen, J.; Myllylä, V.; Myllylä, R.; Vihko, V.; Väänänen, K.; Takala, T.E. Effects of denervation and immobilization on collagen synthesis in rat skeletal muscle and tendon. Am. J. Physiol. 1988, 254, R897–R902. [Google Scholar] [CrossRef] [PubMed]
- Arruda, E.M.; Mundy, K.; Calve, S.; Baar, K. Denervation does not change the ratio of collagen I and collagen III mRNA in the extracellular matrix of muscle. Am. J. Physiol. Regul. Integr. Comp. Physiol. 2007, 292, R983–R987. [Google Scholar] [CrossRef][Green Version]
- Salonen, V.; Lehto, M.; Kalimo, M.; Penttinen, R.; Aro, H. Changes in intramuscular collagen and fibronectin in denervation atrophy. Muscle Nerve 1985, 8, 125–131. [Google Scholar] [CrossRef] [PubMed]
- Coburn, J.; Gibson, M.; Bandalini, P.A.; Laird, C.; Mao, H.Q.; Moroni, L.; Seliktar, D.; Elisseeff, J. Biomimetics of the Extracellular Matrix: An Integrated Three-Dimensional Fiber-Hydrogel Composite for Cartilage Tissue Engineering. Smart Struct. Syst. 2011, 7, 213–222. [Google Scholar] [CrossRef]
- Fede, C.; Pirri, C.; Fan, C.; Petrelli, L.; Guidolin, D.; De Caro, R.; Stecco, C. A Closer Look at the Cellular and Molecular Components of the Deep/Muscular Fasciae. Int. J. Mol. Sci. 2021, 22, 1411. [Google Scholar] [CrossRef] [PubMed]
- Singla, S.K. Nomenclature of hyaluronic acid. Biochem. J. 1987, 242, 623. [Google Scholar] [CrossRef] [PubMed]
- Stecco, C.; Stern, R.; Porzionato, A.; Macchi, V.; Masiero, S.; Stecco, A.; De Caro, R. Hyaluronan within fascia in the etiology of myofascial pain. Surg. Radiol. Anat. 2011, 33, 891–896. [Google Scholar] [CrossRef] [PubMed]
- McCombe, D.; Brown, T.; Slavin, J.; Morrison, W.A. The histochemical structure of the deep fascia and its structural response to surgery. J. Hand Surg. Br. 2001, 26, 89–97. [Google Scholar] [CrossRef] [PubMed]
- Pratt, R.L. Hyaluronan and the Fascial Frontier. Int. J. Mol. Sci. 2021, 22, 6845. [Google Scholar] [CrossRef]
- Cowman, M.K.; Schmidt, T.A.; Raghavan, P.; Stecco, A. Viscoelastic Properties of Hyaluronan in Physiological Conditions. F1000Research 2015, 4, 622. [Google Scholar] [CrossRef] [PubMed]
- Amir, A.; Kim, S.; Stecco, A.; Jankowski, M.P.; Raghavan, P. Hyaluronan homeostasis and its role in pain and muscle stiffness. PM&R 2022, 14, 1490–1496. [Google Scholar] [CrossRef]
- Okita, M.; Yoshimura, T.; Nakano, J.; Motomura, M.; Eguchi, K. Effects of reduced joint mobility on sarcomere length, collagen fibril arrangement in the endomysium, and hyaluronan in rat soleus muscle. J. Muscle Res. Cell Motil. 2004, 25, 159–166. [Google Scholar] [CrossRef]
- Menon, R.G.; Raghavan, P.; Regatte, R.R. Quantifying muscle glycosaminoglycan levels in patients with post-stroke muscle stiffness using T(1ρ) MRI. Sci. Rep. 2019, 9, 14513. [Google Scholar] [CrossRef]
- Fede, C.; Fan, C.; Pirri, C.; Petrelli, L.; Biz, C.; Porzionato, A.; Macchi, V.; De Caro, R.; Stecco, C. The Effects of Aging on the Intramuscular Connective Tissue. Int. J. Mol. Sci. 2022, 23, 11061. [Google Scholar] [CrossRef] [PubMed]
- Fantoni, I.; Biz, C.; Fan, C.; Pirri, C.; Fede, C.; Petrelli, L.; Ruggieri, P.; De Caro, R.; Stecco, C. Fascia Lata Alterations in Hip Osteoarthritis: An Observational Cross-Sectional Study. Life 2021, 11, 1136. [Google Scholar] [CrossRef]
- Wu, R.; Yan, Y.; Yao, J.; Liu, Y.; Zhao, J.; Liu, M. Calpain 3 Expression Pattern during Gastrocnemius Muscle Atrophy and Regeneration Following Sciatic Nerve Injury in Rats. Int. J. Mol. Sci. 2015, 16, 26927–26935. [Google Scholar] [CrossRef] [PubMed]
- Jazinidorcheh, M.; Fattahian, H.; Aliaghaei, A.; Abdollahifar, M.-A. The study of testosterone and tacrolimus roles on gastrocnemius muscle following experimental sciatic nerve injury in rats. Acta Vet. Brno 2024, 93, 201–208. [Google Scholar] [CrossRef]
- Graham, Z.A.; Harlow, L.; Bauman, W.A.; Cardozo, C.P. Alterations in mitochondrial fission, fusion, and mitophagic protein expression in the gastrocnemius of mice after a sciatic nerve transection. Muscle Nerve 2018, 58, 592–599. [Google Scholar] [CrossRef]
- Kim, J.I.; Choe, M.A. Effects of unilateral sciatic nerve injury on unaffected hindlimb muscles of rats. J. Korean Acad. Nurs. 2009, 39, 393–400. [Google Scholar] [CrossRef] [PubMed]
- Choe, M.A.; Kim, K.H.; An, G.J.; Lee, K.S.; Heitkemper, M. Hindlimb muscle atrophy occurs from peripheral nerve damage in a rat neuropathic pain model. Biol. Res. Nurs. 2011, 13, 44–54. [Google Scholar] [CrossRef]
- Stecco, C. Functional Atlas of the Human Fascial System; Elsevier Health Sciences: Frisco, CO, USA, 2014. [Google Scholar]
- Bain, J.R.; Mackinnon, S.E.; Hunter, D.A. Functional evaluation of complete sciatic, peroneal, and posterior tibial nerve lesions in the rat. Plast. Reconstr. Surg. 1989, 83, 129–138. [Google Scholar] [CrossRef]
- Stocco, E.; Barbon, S.; Faccio, D.; Petrelli, L.; Incendi, D.; Zamuner, A.; De Rose, E.; Confalonieri, M.; Tolomei, F.; Todros, S.; et al. Development and preclinical evaluation of bioactive nerve conduits for peripheral nerve regeneration: A comparative study. Mater. Today Bio 2023, 22, 100761. [Google Scholar] [CrossRef]
- Litwiniuk, M.; Krejner, A.; Speyrer, M.S.; Gauto, A.R.; Grzela, T. Hyaluronic Acid in Inflammation and Tissue Regeneration. Wounds 2016, 28, 78–88. [Google Scholar] [PubMed]
- Jiang, D.; Liang, J.; Noble, P.W. Hyaluronan in tissue injury and repair. Annu. Rev. Cell Dev. Biol. 2007, 23, 435–461. [Google Scholar] [CrossRef] [PubMed]
- Leng, Y.; Abdullah, A.; Wendt, M.K.; Calve, S. Hyaluronic acid, CD44 and RHAMM regulate myoblast behavior during embryogenesis. Matrix Biol. 2019, 78–79, 236–254. [Google Scholar] [CrossRef]
- Nakka, K.; Hachmer, S.; Mokhtari, Z.; Kovac, R.; Bandukwala, H.; Bernard, C.; Li, Y.; Xie, G.; Liu, C.; Fallahi, M.; et al. JMJD3 activated hyaluronan synthesis drives muscle regeneration in an inflammatory environment. Science 2022, 377, 666–669. [Google Scholar] [CrossRef] [PubMed]
- Ricard-Blum, S. The collagen family. Cold Spring Harb. Perspect. Biol. 2011, 3, a004978. [Google Scholar] [CrossRef] [PubMed]
- Tang, V.W. Collagen, stiffness, and adhesion: The evolutionary basis of vertebrate mechanobiology. Mol. Biol. Cell 2020, 31, 1823–1834. [Google Scholar] [CrossRef] [PubMed]
- Zhang, W.; Liu, Y.; Zhang, H. Extracellular matrix: An important regulator of cell functions and skeletal muscle development. Cell Biosci. 2021, 11, 65. [Google Scholar] [CrossRef] [PubMed]
- Liu, J.; Liao, Z.; Wang, J.; Xiang, H.; Zhu, X.; Che, X.; Tang, Y.; Xie, J.; Mao, C.; Zhao, H.; et al. Research on skeletal muscle impact injury using a new rat model from a bioimpact machine. Front. Bioeng. Biotechnol. 2022, 10, 1055668. [Google Scholar] [CrossRef] [PubMed]
- Francis, C.A.; Lenz, A.L.; Lenhart, R.L.; Thelen, D.G. The modulation of forward propulsion, vertical support, and center of pressure by the plantarflexors during human walking. Gait Posture 2013, 38, 993–997. [Google Scholar] [CrossRef]
- Willard, F.H.; Vleeming, A.; Schuenke, M.D.; Danneels, L.; Schleip, R. The thoracolumbar fascia: Anatomy, function and clinical considerations. J. Anat. 2012, 221, 507–536. [Google Scholar] [CrossRef]
- Benetazzo, L.; Bizzego, A.; De Caro, R.; Frigo, G.; Guidolin, D.; Stecco, C. 3D reconstruction of the crural and thoracolumbar fasciae. Surg. Radiol. Anat. 2011, 33, 855–862. [Google Scholar] [CrossRef] [PubMed]
- Tesarz, J.; Hoheisel, U.; Wiedenhöfer, B.; Mense, S. Sensory innervation of the thoracolumbar fascia in rats and humans. Neuroscience 2011, 194, 302–308. [Google Scholar] [CrossRef]
- Chen, B.; Cui, S.; Xu, M.; Zhang, Z.; Liu, C. Effects of Isometric Plantar-Flexion on the Lower Limb Muscle and Lumbar Tissue Stiffness. Front. Bioeng. Biotechnol. 2021, 9, 810250. [Google Scholar] [CrossRef] [PubMed]
- Langevin, H.M.; Fox, J.R.; Koptiuch, C.; Badger, G.J.; Greenan-Naumann, A.C.; Bouffard, N.A.; Konofagou, E.E.; Lee, W.N.; Triano, J.J.; Henry, S.M. Reduced thoracolumbar fascia shear strain in human chronic low back pain. BMC Musculoskelet. Disord. 2011, 12, 203. [Google Scholar] [CrossRef]
- Langevin, H.M. Fascia Mobility, Proprioception, and Myofascial Pain. Life 2021, 11, 668. [Google Scholar] [CrossRef]
- Kodama, Y.; Masuda, S.; Ohmori, T.; Kanamaru, A.; Tanaka, M.; Sakaguchi, T.; Nakagawa, M. Response to Mechanical Properties and Physiological Challenges of Fascia: Diagnosis and Rehabilitative Therapeutic Intervention for Myofascial System Disorders. Bioengineering 2023, 10, 474. [Google Scholar] [CrossRef]
- John, A.; Rossettie, S.; Rafael, J.; Cox, C.; Ducic, I.; Mackay, B. Assessment of Motor Function in Peripheral Nerve Injury and Recovery. Orthop. Rev. 2022, 14, 37578. [Google Scholar] [CrossRef] [PubMed]
- Schiaveto de Souza, A.; da Silva, C.A.; Del Bel, E.A. Methodological evaluation to analyze functional recovery after sciatic nerve injury. J. Neurotrauma 2004, 21, 627–635. [Google Scholar] [CrossRef]
- Monte-Raso, V.V.; Barbieri, C.H.; Mazzer, N.; Yamasita, A.C.; Barbieri, G. Is the Sciatic Functional Index always reliable and reproducible? J. Neurosci. Methods 2008, 170, 255–261. [Google Scholar] [CrossRef]
- Stocco, E.; Barbon, S.; Macchi, V.; Tiengo, C.; Petrelli, L.; Rambaldo, A.; Borean, A.; Capelli, S.; Filippi, A.; Romanato, F.; et al. New bioresorbable wraps based on oxidized polyvinyl alcohol and leukocyte-fibrin-platelet membrane to support peripheral nerve neurorrhaphy: Preclinical comparison versus NeuraWrap. Sci. Rep. 2019, 9, 17193. [Google Scholar] [CrossRef] [PubMed]
- Stocco, E.; Barbon, S.; Lora, L.; Grandi, F.; Sartore, L.; Tiengo, C.; Petrelli, L.; Dalzoppo, D.; Parnigotto, P.P.; Macchi, V.; et al. Partially oxidized polyvinyl alcohol conduitfor peripheral nerve regeneration. Sci. Rep. 2018, 8, 604. [Google Scholar] [CrossRef]
- IJkema-Paassen, J.; Jansen, K.; Gramsbergen, A.; Meek, M.F. Transection of peripheral nerves, bridging strategies and effect evaluation. Biomaterials 2004, 25, 1583–1592. [Google Scholar] [CrossRef] [PubMed]
- Fede, C.; Angelini, A.; Stern, R.; Macchi, V.; Porzionato, A.; Ruggieri, P.; De Caro, R.; Stecco, C. Quantification of hyaluronan in human fasciae: Variations with function and anatomical site. J. Anat. 2018, 233, 552–556. [Google Scholar] [CrossRef] [PubMed]
- Stecco, C.; Fede, C.; Macchi, V.; Porzionato, A.; Petrelli, L.; Biz, C.; Stern, R.; De Caro, R. The fasciacytes: A new cell devoted to fascial gliding regulation. Clin. Anat. 2018, 31, 667–676. [Google Scholar] [CrossRef] [PubMed]
- Fede, C.; Coldebella, L.; Petrelli, L.; Bassetto, F.; Tiengo, C.; Stecco, C. Biochemical and Histological Differences between Longitudinal and Vertical Fibres of Dupuytren’s Palmar Aponeurosis and Innovative Clinical Implications. Int. J. Mol. Sci. 2024, 25, 6865. [Google Scholar] [CrossRef] [PubMed]
- Scott, J.E.; Dorling, J. Differential staining of acid glycosaminoglycans (mucopolysaccharides) by alcian blue in salt solutions. Histochemie 1965, 5, 221–233. [Google Scholar] [CrossRef]
- Schneider, C.A.; Rasband, W.S.; Eliceiri, K.W. NIH Image to ImageJ: 25 years of image analysis. Nat. Methods 2012, 9, 671–675. [Google Scholar] [CrossRef]









| Variable | L (n = 12) | R (n = 12) | Ctrl (n = 6) | p-Value L vs. R | p-Value L vs. Ctrl | p-Value R vs. Ctrl |
|---|---|---|---|---|---|---|
| µg HA/g muscle | 81.19 ± 30.33 | 86.77 ± 31.96 | 127.57 ± 24.90 | 0.893 | 0.013 * | 0.030 * |
| µg HA/g TLF | 66.95 ± 20.08 | 112.66 ± 30.53 | 167.18 ± 31.13 | 0.001 ** | 0.000 *** | 0.001 ** |
| # µg Col/g muscle | 32.92 ± 11.34 | 20.54 ± 7.03 | 12.74 ± 4.83 | 0.01 * | 0.000 *** | 0.022 * |
| µg Col/g TLF | 115.89 ± 28.18 | 90.43 ± 20.83 | 47.51 ± 7.82 | 0.027 * | 0.000 *** | 0.002 ** |
| $ Col area% muscle | 28.01 ± 5.78 (n = 4) | 17.33 ± 6.52% (n = 4) | 5.30 ± 0.82% (n = 4) | 0.021 * | 0.021 * | 0.021 * |
Disclaimer/Publisher’s Note: The statements, opinions and data contained in all publications are solely those of the individual author(s) and contributor(s) and not of MDPI and/or the editor(s). MDPI and/or the editor(s) disclaim responsibility for any injury to people or property resulting from any ideas, methods, instructions or products referred to in the content. |
© 2024 by the authors. Licensee MDPI, Basel, Switzerland. This article is an open access article distributed under the terms and conditions of the Creative Commons Attribution (CC BY) license (https://creativecommons.org/licenses/by/4.0/).
Share and Cite
Zhao, X.; Fede, C.; Petrelli, L.; Pirri, C.; Stocco, E.; Fan, C.; Porzionato, A.; Tiengo, C.; De Caro, R.; Masiero, S.; et al. The Impact of Sciatic Nerve Injury on Extracellular Matrix of Lower Limb Muscle and Thoracolumbar Fascia: An Observational Study. Int. J. Mol. Sci. 2024, 25, 8945. https://doi.org/10.3390/ijms25168945
Zhao X, Fede C, Petrelli L, Pirri C, Stocco E, Fan C, Porzionato A, Tiengo C, De Caro R, Masiero S, et al. The Impact of Sciatic Nerve Injury on Extracellular Matrix of Lower Limb Muscle and Thoracolumbar Fascia: An Observational Study. International Journal of Molecular Sciences. 2024; 25(16):8945. https://doi.org/10.3390/ijms25168945
Chicago/Turabian StyleZhao, Xiaoxiao, Caterina Fede, Lucia Petrelli, Carmelo Pirri, Elena Stocco, Chenglei Fan, Andrea Porzionato, Cesare Tiengo, Raffaele De Caro, Stefano Masiero, and et al. 2024. "The Impact of Sciatic Nerve Injury on Extracellular Matrix of Lower Limb Muscle and Thoracolumbar Fascia: An Observational Study" International Journal of Molecular Sciences 25, no. 16: 8945. https://doi.org/10.3390/ijms25168945
APA StyleZhao, X., Fede, C., Petrelli, L., Pirri, C., Stocco, E., Fan, C., Porzionato, A., Tiengo, C., De Caro, R., Masiero, S., & Stecco, C. (2024). The Impact of Sciatic Nerve Injury on Extracellular Matrix of Lower Limb Muscle and Thoracolumbar Fascia: An Observational Study. International Journal of Molecular Sciences, 25(16), 8945. https://doi.org/10.3390/ijms25168945

