A Novel Application of Virus Like Particles in the Hemagglutination Inhibition Assay
Abstract
1. Introduction
2. Results
2.1. Gene Sequence Optimization and Generation of Recombinant Baculoviruses for H5N1 VLP Expression
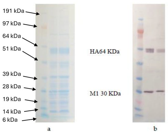
2.2. VLP Production and Characterization
2.3. Hemagglutination Inhibition (HI) Assay and Mutation Analysis Results
3. Discussion
4. Materials and Methods
4.1. Optimization and Biochemical Synthesis of HA, NA, and M1 Genes
4.2. Generation of Recombinant Baculoviruses
4.3. Protein Expression, Purification, and Characterization of VLPs
4.4. Preparation of Anti-VLP Serum
4.5. Evaluation of the VLPs as a Homologous Antigen Using the HI Assay
4.6. Evaluation of the VLPs as a Heterologous Antigen Using the HI Assay
4.7. Mutation and Statistical Analysis
5. Conclusions
Author Contributions
Funding
Institutional Review Board Statement
Data Availability Statement
Acknowledgments
Conflicts of Interest
References
- Krammer, F.; Smith, G.J.D.; Fouchier, R.A.M.; Peiris, M.; Kedzierska, K.; Doherty, P.C.; Palese, P.; Shaw, M.L.; Treanor, J.; Webster, R.G.; et al. Influenza. Nature reviews. Dis. Primers 2018, 4, 3. [Google Scholar] [CrossRef] [PubMed]
- Horimoto, T.; Kawaoka, Y. Pandemic threat posed by avian influenza A virus. Clin. Microbiol. Rev. 2001, 14, 129–149. [Google Scholar] [CrossRef] [PubMed]
- Palese, P.; Schulman, J.L. Mapping of the influenza virus genome: Identification of the hemagglutinin and the neuraminidase genes. Proc. Natl. Acad. Sci. USA 1976, 73, 2142–2146. [Google Scholar] [CrossRef] [PubMed]
- Palese, P.; Shaw, M.L. Orthomyxoviridae: The Viruses and Their Replication. In Fields’ Virology, 5th ed.; Fields, B.N., Knipe, D.M., Howley, P.M., Eds.; Wolters Kluwer Health/Lippincott Williams & Wilkins: Philadelphia, PA, USA, 2007; Volume 2. [Google Scholar]
- Wise, H.M.; Foeglein, A.; Sun, J.; Dalton, R.M.; Patel, S.; Howard, W.; Anderson, E.C.; Barclay, W.S.; Digard, P. A complicated message: Identification of a novel PB1-related protein translated from influenza A virus segment 2 mRNA. J. Virol. 2009, 83, 8021–8031. [Google Scholar] [CrossRef]
- Ducatez, M.F.; Bahl, J.; Griffin, Y.; Stigger-Rosser, E.; Franks, J.; Barman, S.; Vijaykrishna, D.; Webb, A.; Guan, Y.; Webster, R.G.; et al. Feasibility of reconstructed ancestral H5N1 influenza viruses for cross-clade protective vaccine development. Proc. Natl. Acad. Sci. USA 2011, 108, 349–354. [Google Scholar] [CrossRef]
- Ekiert, D.C.; Wilson, I.A. Broadly neutralizing antibodies against influenza virus and prospects for universal therapies. Curr. Opin. Virol. 2012, 2, 134–141. [Google Scholar] [CrossRef] [PubMed]
- Webster, R.G.; Cox, N.; Stöhr, K. WHO Manual on Animal Influenza Diagnosis and Surveillance. 2002. Available online: https://apps.who.int/iris/bitstream/handle/10665/68026/WHO_CDS?sequence=1 (accessed on 15 January 2023).
- Beard, C.W. Hemagglutination inhibition. In Isolation and Identification of Avian Pathogens; Hitcher, S.B., Domermuth, C.H., Purchase, H.G., Williams, J.E., Eds.; American Association of Avian Pathologists: Kennett Square, PA, USA, 1980; pp. 331–336. [Google Scholar]
- Spackman, E. Preface. In Animal Influenza Virus; Methods in Molecular Biology; Springer: New York, NY, USA, 2014; Volume 1161. [Google Scholar] [PubMed]
- Kaufmann, L.; Syedbasha, M.; Vogt, D.; Hollenstein, Y.; Hartmann, J.; Linnik, J.E.; Egli, A. An Optimized Hemagglutination Inhibition (HI) Assay to Quantify Influenza-specific Antibody Titers. J. Vis. Exp. JoVE 2017, e55833. [Google Scholar] [CrossRef]
- FAO Animal Production and Health Manuel. 2006. Available online: https://www.fao.org/4/a0632e/a0632e.pdf (accessed on 25 July 2024).
- Jonges, M.; Liu, W.M.; van der Vries, E.; Jacobi, R.; Pronk, I.; Boog, C.; Koopmans, M.; Meijer, A.; Soethout, E. Influenza virus inactivation for studies of antigenicity and phenotypic neuraminidase inhibitor resistance profiling. J. Clin. Microbiol. 2010, 48, 928–940. [Google Scholar] [CrossRef]
- Pawar, S.D.; Murtadak, V.B.; Kale, S.D.; Shinde, P.V.; Parkhi, S.S. Evaluation of different inactivation methods for high and low pathogenic avian influenza viruses in egg-fluids for antigen preparation. J. Virol. Methods 2015, 222, 28–33. [Google Scholar] [CrossRef]
- Pushko, P.; Tumpey, T.M.; Bu, F.; Knell, J.; Robinson, R.; Smith, G. Influenza virus-like particles comprised of the HA, NA, and M1 proteins of H9N2 influenza virus induce protective immune responses in BALB/c mice. Vaccine 2005, 23, 5751–5759. [Google Scholar] [CrossRef]
- Jadhao, S.J.; Lee, C.W.; Sylte, M.; Suarez, D.L. Comparative efficacy of North American and antigenically matched reverse genetics derived H5N9 DIVA marker vaccines against highly pathogenic Asian H5N1 avian influenza viruses in chickens. Vaccine 2009, 27, 6247–6260. [Google Scholar] [CrossRef] [PubMed]
- Ellis, T.M.; Leung, C.Y.; Chow, M.K.; Bissett, L.A.; Wong, W.; Guan, Y.; Malik Peiris, J.S. Vaccination of chickens against H5N1 avian influenza in the face of an outbreak interrupts virus transmission. Avian Pathol. Off. J. WVPA 2004, 33, 405–412. [Google Scholar] [CrossRef] [PubMed]
- Liu, M.; Wood, J.M.; Ellis, T.; Krauss, S.; Seiler, P.; Johnson, C.; Hoffmann, E.; Humberd, J.; Hulse, D.; Zhang, Y.; et al. Preparation of a standardized, efficacious agricultural H5N3 vaccine by reverse genetics. Virology 2003, 314, 580–590. [Google Scholar] [CrossRef] [PubMed][Green Version]
- Swayne, D.E.; Lee, C.W.; Spackman, E. Inactivated North American and European H5N2 avian influenza virus vaccines protect chickens from Asian H5N1 high pathogenicity avian influenza virus. Avian Pathol. Off. J. WVPA 2006, 35, 141–146. [Google Scholar] [CrossRef] [PubMed]
- Meulemans, G.; Carlier, M.C.; Gonze, M.; Petit, P. Comparison of hemagglutination-inhibition, agar gel precipitin, and enzyme-linked immunosorbent assay for measuring antibodies against influenza viruses in chickens. Avian Dis. 1987, 31, 560–563. [Google Scholar] [CrossRef]
- Martins, T.B. Development of internal controls for the Luminex instrument as part of a multiplex seven-analyte viral respiratory antibody profile. Clin. Diagn. Lab. Immunol. 2002, 9, 41–45. [Google Scholar] [CrossRef] [PubMed]
- Mittelholzer, C.M.; Brokstad, K.A.; Pauksens, K.; Jonsson, R.; Brytting, M.; Linde, A. Human cell lines used in a micro neutralization test for measuring influenza-neutralizing antibodies. Scand. J. Immunol. 2006, 63, 257–263. [Google Scholar] [CrossRef] [PubMed]
- Hobson, D.; Curry, R.L.; Beare, A.S.; Ward-Gardner, A. The role of serum haemagglutination -inhibiting antibody in protection against challenge infection with influenza A2 and B viruses. J. Hyg. 1972, 70, 767–777. [Google Scholar] [CrossRef] [PubMed]
- Zhang, L.; Xu, W.; Ma, X.; Sun, X.; Fan, J.; Wang, Y. Virus-like Particles as Antiviral Vaccine: Mechanism, Design, and Application. Biotechnol. Bioprocess Eng. BBE 2023, 28, 1–16. [Google Scholar] [CrossRef]
- Ikwuagwu, B.; Tullman-Ercek, D. Virus-like particles for drug delivery: A review of methods and applications. Curr. Opin. Biotechnol. 2022, 78, 102785. [Google Scholar] [CrossRef]
- Nooraei, S.; Bahrulolum, H.; Hoseini, Z.S.; Katalani, C.; Hajizade, A.; Easton, A.J.; Ahmadian, G. Virus-like particles: Preparation, immunogenicity and their roles as nanovaccines and drug nanocarriers. J. Nanobiotechnology 2021, 19, 59. [Google Scholar] [CrossRef] [PubMed]
- Kayali, G.; Kandeil, A.; El-Shesheny, R.; Kayed, A.S.; Maatouq, A.M.; Cai, Z.; McKenzie, P.P.; Webby, R.J.; El Refaey, S.; Kandeel, A.; et al. Avian Influenza A(H5N1) Virus in Egypt. Emerg. Infect. Dis. 2016, 22, 379–388. [Google Scholar] [CrossRef] [PubMed]
- Spackman, E.; Swayne, D.E.; Pantin-Jackwood, M.J.; Wan, X.F.; Torchetti, M.K.; Hassan, M.; Suarez, D.L.; Sá e Silva, M. Variation in protection of four divergent avian influenza virus vaccine seed strains against eight clades 2.2.1 and 2.2.1.1. Egyptian H5N1 high pathogenicity variants in poultry. Influenza Other Respir. Viruses 2014, 8, 654–662. [Google Scholar] [CrossRef] [PubMed]
- Quan, F.S.; Huang, C.; Compans, R.W.; Kang, S.M. Virus-like particle vaccine induces protective immunity against homologous and heterologous strains of influenza virus. J. Virol. 2007, 81, 3514–3524. [Google Scholar] [CrossRef] [PubMed]
- Tretyakova, I.; Hidajat, R.; Hamilton, G.; Horn, N.; Nickols, B.; Prather, R.O.; Tumpey, T.M.; Pushko, P. Preparation of quadri-subtype influenza virus-like particles using bovine immunodeficiency virus gag protein. Virology 2016, 487, 163–171. [Google Scholar] [CrossRef] [PubMed]
- Luo, Y.; Mohan, T.; Zhu, W.; Wang, C.; Deng, L.; Wang, B.Z. Sequential Immunizations with heterosubtypic virus-like particles elicit cross protection against divergent influenza A virus in mice. Sci. Rep. 2018, 8, 4577. [Google Scholar] [CrossRef] [PubMed]
- El-Husseiny, M.H.; Hagag, N.M.; Pushko, P.; Tretyakova, I.; Naguib, M.M.; Arafa, A.S. Evaluation of Protective Efficacy of Influenza Virus Like Particles Prepared from H5N1 Virus of Clade 2.2.1.2 in Chickens. Vaccines 2021, 9, 715. [Google Scholar] [CrossRef]
- Makarkov, A.I.; Golizeh, M.; Ruiz-Lancheros, E.; Gopal, A.A.; Costas-Cancelas, I.N.; Chierzi, S.; Pillet, S.; Charland, N.; Landry, N.; Rouiller, I.; et al. Plant-derived virus-like particle vaccines drive cross-presentation of influenza A hemagglutinin peptide by human monocyte-derived macrophages. NPJ Vaccines 2019, 4, 17. [Google Scholar] [CrossRef] [PubMed]
- Awad, E.T.; Gouda, E.; El-Husseiny, M.H.; Aly, M.M.; Pushko, P.; Tretyakova, I.; Arafa, A.S.M. Biochemical and immunogenicity studies on hemagglutinin protein rescued from H5N1 avian influenza virus like particles. J. Am. Sci. 2015, 11, 1–8. [Google Scholar]
- WOAH. Manual of Diagnostic Tests and Vaccines for Terrestrial Animals. Section 3.3, Chapter 3.3.4. 2022. Available online: https://www.woah.org/fileadmin/Home/eng/Health_standards/tahm/A_summry.htm (accessed on 15 January 2023).
- Hall, T.A. Bio Edit: A User-Friendly Bio-Logical Sequence Alignment Editor and Analysis Program for Windows 95/98/NT; Nucleic acids Symposium Series; Information Retrieval Ltd.: London, UK, 1999; Volume 41, pp. 95–98. [Google Scholar]







| No. | Vaccine Seed | Accession No. | HI Antigen | HI Mean Titer, log2 ± Std. Deviation | p Value | Identity% between Vaccine Seed and HI Antigen | * The HI Mean Titer Difference between Homologous and Heterologous Antigen |
|---|---|---|---|---|---|---|---|
| 1 | A/chicken/Egypt/18H/2009(H5N1) | CY062601.1 | A/chicken/Egypt/18-H/2009(H5N1) | 28 ±1.49 | 0.002 | 100% | 22.1 |
| A/chicken/Egypt/121/2012(H5N1) (VLP seed) | 25.9 ±0.994 | 92% | |||||
| 2 | A/goose/Guangdong/1/1996(H5N) (Re1 seed) | NC_007362.1 | A/goose/Guangdong/1/1996(H5N1) (Re1 seed) | 28.1 ±1.523 | 0.018 | 100% | 21.6 |
| A/chicken/Egypt/121/2012(H5N1) (VLP seed) | 26.5 ±0.527 | 92% | |||||
| 3 | A/chicken/Mexico/232/94(H5N2) | AY497096 | A/chicken/Mexico/232/94(H5N2) | 27.8 ±1.75 | 0.000 | 100% | 24.7 |
| A/chicken/Egypt/121/2012(H5N1) (VLP seed) | 23.1 ±0.875 | 82% | |||||
| 4 | A/chicken/Egypt/121/2012(H5N1) (VLP seed) | JQ858483.1 | A/chicken/Egypt/121/2012(H5N1) (VLP seed) | 26.9 ±0.994 | 0.000 | 100% | 22.6 |
| A/chicken/Egypt/18-H/2009(H5N1) | 24.3 ±0.948 | 92% |
| Amino Acid No. * | A/Chicken/Egypt/121/2012(H5N1) (VLP) | A/Goose/Guangdong/1/1996(H5N1) | A/Chicken/Mexico/232/94(H5N2) | A/Chicken/Egypt/18-H/2009(H5N1) |
|---|---|---|---|---|
| 40 | K | K | R | K |
| 43 C | N | D | S | D |
| 115 | Q | Q | Q | Q |
| 120 | D | S | S | S |
| 123 | S | S | S | S |
| 124 | D | N | N | N |
| 126 | E | D | D | E |
| 129 A | DEL | S | S | L |
| 138 A | Q | H | N | H |
| 140 A | R | R | R | R |
| 141 A | A | S | S | T |
| 151 B | T | I | I | I |
| 155 B | D | S | D | N |
| 156 B | A | A | V | T |
| 159 | T | T | T | I |
| 162 | K | R | R | E |
| 174 | V | V | I | V |
| 184 B | A | A | A | E |
| 185 B | A | A | A | E |
| 188 B | T | T | I | T |
| 189 B | R | K | K | R |
| 190 B | L | L | L | I |
| 217 D | S | P | P | S |
| 238 D | A | A | A | T |
| 272 C | S | G | G | G |
| 275 C | N | N | D | S |
| 276 C | T | T | A | T |
| No. of mutations to VLPs | 13 | 18 | 17 |
Disclaimer/Publisher’s Note: The statements, opinions and data contained in all publications are solely those of the individual author(s) and contributor(s) and not of MDPI and/or the editor(s). MDPI and/or the editor(s) disclaim responsibility for any injury to people or property resulting from any ideas, methods, instructions or products referred to in the content. |
© 2024 by the authors. Licensee MDPI, Basel, Switzerland. This article is an open access article distributed under the terms and conditions of the Creative Commons Attribution (CC BY) license (https://creativecommons.org/licenses/by/4.0/).
Share and Cite
El-Husseiny, M.H.; Pushko, P.; Tretyakova, I.; Hagag, N.M.; Abdel-Mawgod, S.; Shabaan, A.; Bakry, N.R.; Arafa, A.S. A Novel Application of Virus Like Particles in the Hemagglutination Inhibition Assay. Int. J. Mol. Sci. 2024, 25, 8746. https://doi.org/10.3390/ijms25168746
El-Husseiny MH, Pushko P, Tretyakova I, Hagag NM, Abdel-Mawgod S, Shabaan A, Bakry NR, Arafa AS. A Novel Application of Virus Like Particles in the Hemagglutination Inhibition Assay. International Journal of Molecular Sciences. 2024; 25(16):8746. https://doi.org/10.3390/ijms25168746
Chicago/Turabian StyleEl-Husseiny, Mohamed H., Peter Pushko, Irina Tretyakova, Naglaa M. Hagag, Sara Abdel-Mawgod, Ahmed Shabaan, Neveen R. Bakry, and Abdel Satar Arafa. 2024. "A Novel Application of Virus Like Particles in the Hemagglutination Inhibition Assay" International Journal of Molecular Sciences 25, no. 16: 8746. https://doi.org/10.3390/ijms25168746
APA StyleEl-Husseiny, M. H., Pushko, P., Tretyakova, I., Hagag, N. M., Abdel-Mawgod, S., Shabaan, A., Bakry, N. R., & Arafa, A. S. (2024). A Novel Application of Virus Like Particles in the Hemagglutination Inhibition Assay. International Journal of Molecular Sciences, 25(16), 8746. https://doi.org/10.3390/ijms25168746

