Semliki Forest Virus (SFV) Self-Amplifying RNA Delivered to J774A.1 Macrophage Lineage by Its Association with a Purified Recombinant SFV Capsid Protein
Abstract
1. Introduction
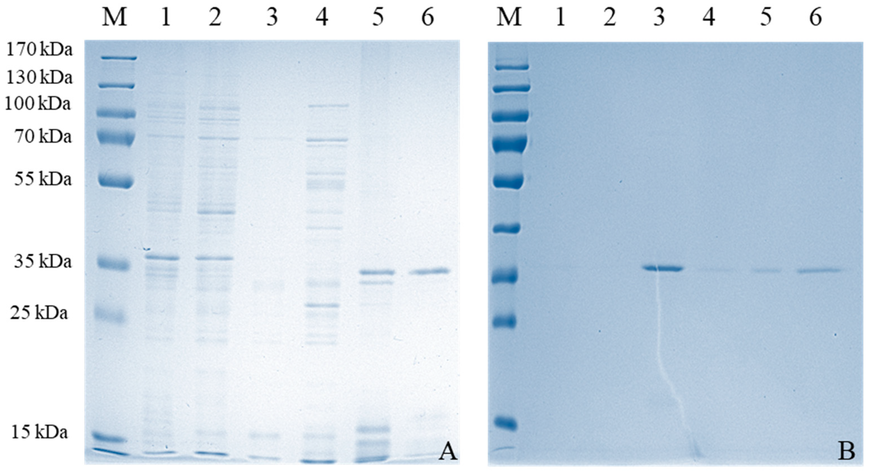
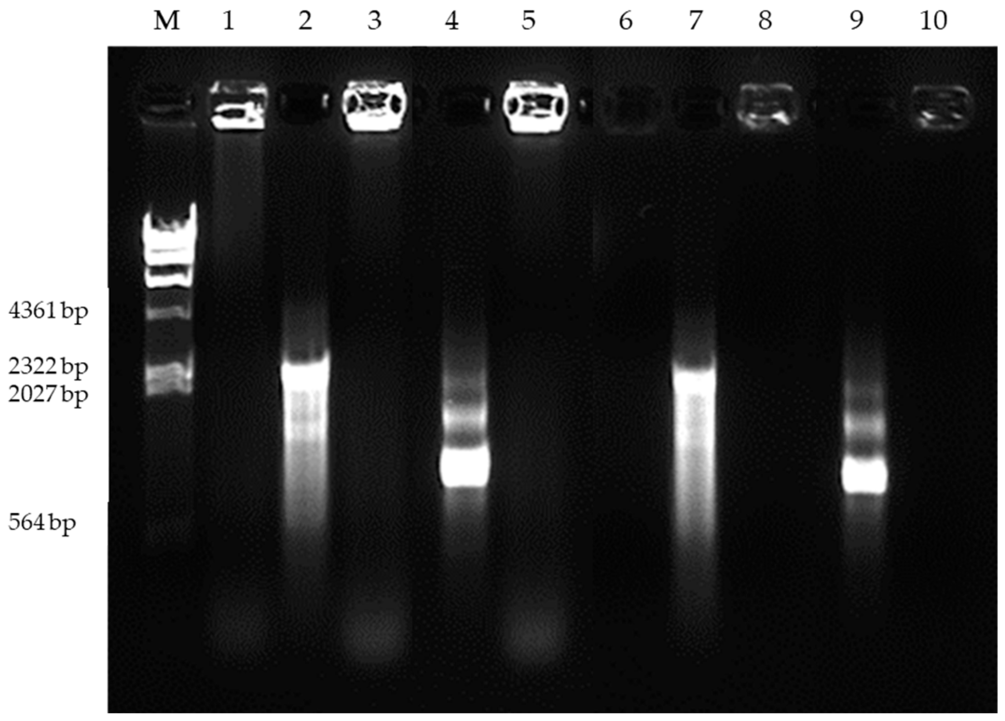
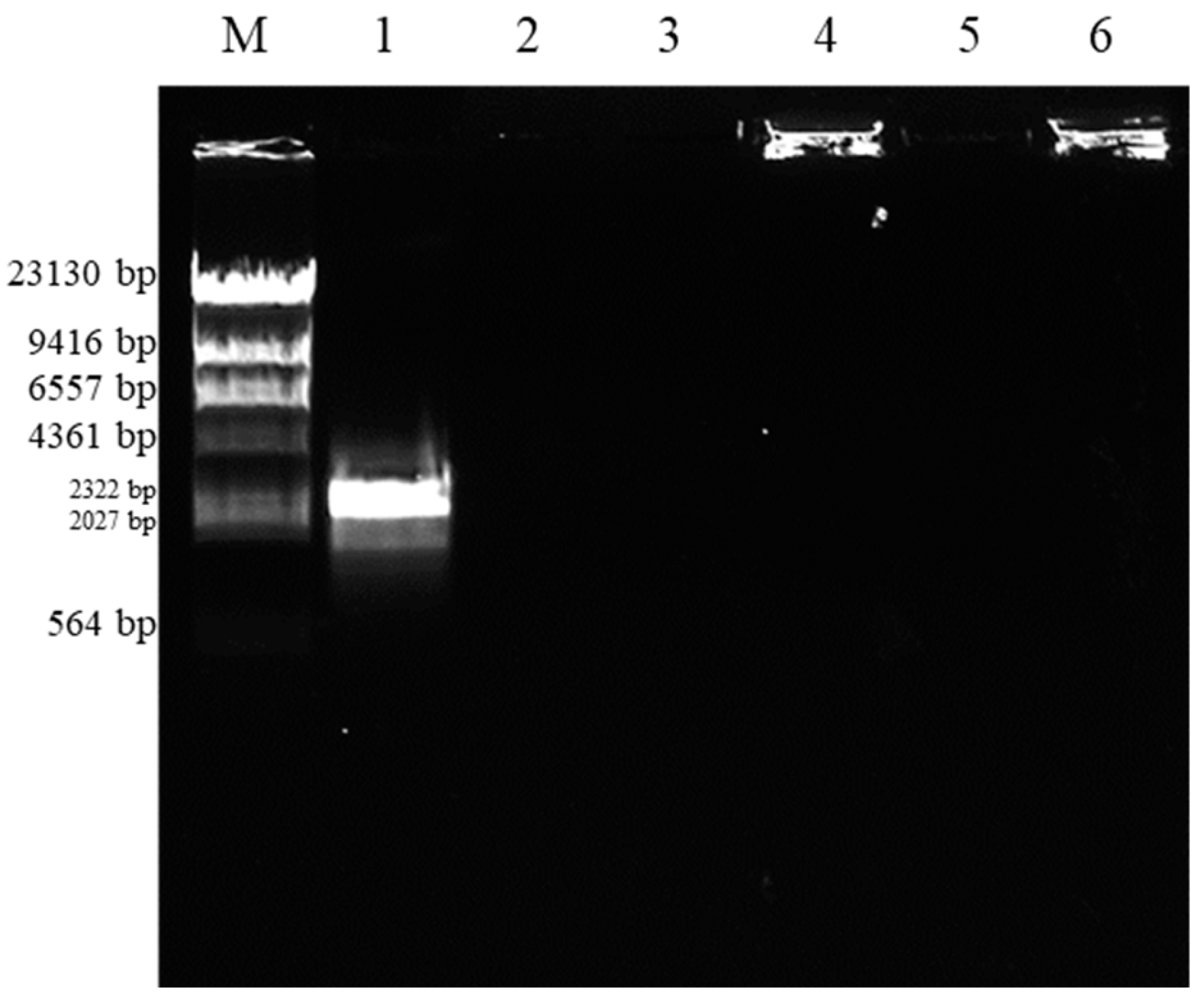
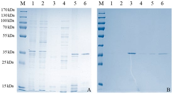
2. Results
3. Discussion
4. Materials and Methods
4.1. Cells, Culture Medium and Reagents
4.2. Plasmid Construction
4.3. SDS-PAGE and Western Blotting
4.4. Protein Expression and Purification
4.5. In Vitro RNA Transcription
4.6. Association between C Protein and RNA
4.7. Delivery of Protein C/RNA to Mammalian Cells
Supplementary Materials
Author Contributions
Funding
Institutional Review Board Statement
Informed Consent Statement
Data Availability Statement
Acknowledgments
Conflicts of Interest
References
- Ulmer, J.B.; Mason, P.W.; Geall, A.; Mandl, C.W. RNA-based vaccines. Vaccine 2012, 30, 4414–4418. [Google Scholar] [CrossRef] [PubMed]
- Løvås, T.-O.; Bruusgaard, J.C.; Øynebråten, I.; Gundersen, K.; Bogen, B. DNA vaccines: MHC II-targeted vaccine protein produced by transfected muscle fibres induces a local inflammatory cell infiltrate in mice. PLoS ONE 2014, 9, e108069. [Google Scholar] [CrossRef]
- Saxena, S.; Dahiya, S.S.; Sonwane, A.A.; Patel, C.L.; Saini, M.; Rai, A.; Gupta, P.K. A sindbis virus replicon-based DNA vaccine encoding the rabies virus glycoprotein elicits immune responses and complete protection in mice from lethal challenge. Vaccine 2008, 26, 6592–6601. [Google Scholar] [CrossRef]
- Haas, E.J.; Angulo, F.J.; McLaughlin, J.M.; Anis, E.; Singer, S.R.; Khan, F.; Brooks, N.; Smaja, M.; Mircus, G.; Pan, K.; et al. Impact and effectiveness of mRNA BNT162b2 vaccine against SARS-CoV-2 infections and COVID-19 cases, hospitalisations, and deaths following a nationwide vaccination campaign in Israel: An observational study using national surveillance data. Lancet 2021, 397, 1819–1829. [Google Scholar] [CrossRef]
- Geall, A.J.; Mandl, C.W.; Ulmer, J.B. RNA: The new revolution in nucleic acid vaccines. Semin. Immunol. 2013, 25, 152–159. [Google Scholar] [CrossRef]
- Oda, Y.; Kumagai, Y.; Kanai, M.; Iwama, Y.; Okura, I.; Minamida, T.; Yagi, Y.; Kurosawa, T.; Greener, B.; Zhang, Y.; et al. Immunogenicity and safety of a booster dose of a self-amplifying RNA COVID-19 vaccine (ARCT-154) versus BNT162b2 mRNA COVID-19 vaccine: A double-blind, multicentre, randomised, controlled, phase 3, non-inferiority trial. Lancet Infect. Dis. 2024, 24, 351–360. [Google Scholar] [CrossRef] [PubMed]
- Koseki, T.; Teramachi, M.; Koga, M.; Ko, M.S.H.; Amano, T.; Yu, H.; Amano, M.; Leyder, E.; Badiola, M.; Ray, P.; et al. A Phase I/II Clinical Trial of Intradermal, Controllable Self-Replicating Ribonucleic Acid Vaccine EXG-5003 against SARS-CoV-2. Vaccines 2023, 11, 1767. [Google Scholar] [CrossRef] [PubMed]
- Benmaamar, R.; Astray, R.M.; Wagner, R.; Pereira, C.A. High-level expression of rabies virus glycoprotein with the RNA-based Semliki Forest Virus expression vector. J. Biotechnol. 2009, 139, 283–290. [Google Scholar] [CrossRef]
- Comes, J.D.G.; Pijlman, G.P.; Hick, T.A.H. Rise of the RNA machines—Self-amplification in mRNA vaccine design. Trends Biotechnol. 2023, 41, 1417–1429. [Google Scholar] [CrossRef]
- Lundstrom, K. Alphavirus-Based Vaccines. Methods Mol. Biol. 2017, 1581, 225–242. [Google Scholar] [CrossRef]
- Johnson, D.M.; Jokinen, J.D.; Wang, M.; Pfeffer, T.; Tretyakova, I.; Carrion, R., Jr.; Griffiths, A.; Pushko, P.; Lukashevich, I.S. Bivalent Junin & Machupo experimental vaccine based on alphavirus RNA replicon vector. Vaccine 2020, 38, 2949–2959. [Google Scholar] [CrossRef] [PubMed] [PubMed Central]
- Beissert, T.; Perkovic, M.; Vogel, A.; Erbar, S.; Walzer, K.C.; Hempel, T.; Brill, S.; Haefner, E.; Becker, R.; Türeci, Ö.; et al. A Trans-amplifying RNA Vaccine Strategy for Induction of Potent Protective Immunity. Mol Ther. 2020, 28, 119–128. [Google Scholar] [CrossRef] [PubMed] [PubMed Central]
- Magini, D.; Giovani, C.; Mangiavacchi, S.; Maccari, S.; Cecchi, R.; Ulmer, J.B.; De Gregorio, E.; Geall, A.J.; Brazzoli, M.; Bertholet, S. Self-Amplifying mRNA Vaccines Expressing Multiple Conserved Influenza Antigens Confer Protection against Homologous and Heterosubtypic Viral Challenge. PLoS ONE 2016, 11, e0161193. [Google Scholar] [CrossRef] [PubMed] [PubMed Central]
- Mobasher, M.; Ansari, R.; Castejon, A.M.; Barar, J.; Omidi, Y. Advanced nanoscale delivery systems for mRNA-based vaccines. Biochim. Biophys. Acta Gen. Subj. 2024, 1868, 130558. [Google Scholar] [CrossRef] [PubMed]
- Elgizoli, M.; Dai, Y.; Kempf, C.; Koblet, H.; Michel, M.R. Semliki Forest virus capsid protein acts as a pleiotropic regulator of host cellular protein synthesis. J. Virol. 1989, 63, 2921–2928. [Google Scholar] [CrossRef]
- Tellinghuisen, T.L.; Hamburger, A.E.; Fisher, B.R.; Ostendorp, R.; Kuhn, R.J. In vitro assembly of alphavirus cores by using nucleocapsid protein expressed in Escherichia coli. J. Virol. 1999, 73, 5309–5319. [Google Scholar] [CrossRef] [PubMed]
- Perera, R.; Owen, K.E.; Tellinghuisen, T.L.; Gorbalenya, A.E.; Kuhn, R.J. Alphavirus nucleocapsid protein contains a putative coiled coil alpha-helix important for core assembly. J. Virol. 2001, 75, 1–10. [Google Scholar] [CrossRef]
- Linger, B.R.; Kunovska, L.; Kuhn, R.J.; Golden, B.L. Sindbis virus nucleocapsid assembly: RNA folding promotes capsid protein dimerization. RNA 2004, 10, 128–138. [Google Scholar] [CrossRef]
- Brown, R.S.; Anastasakis, D.G.; Hafner, M.; Kielian, M. Multiple capsid protein binding sites mediate selective packaging of the alphavirus genomic RNA. Nat. Commun. 2020, 11, 4693. [Google Scholar] [CrossRef]
- Butterfield, G.L.; Lajoie, M.J.; Gustafson, H.H.; Sellers, D.L.; Nattermann, U.; Ellis, D.; Bale, J.B.; Ke, S.; Lenz, G.H.; Yehdego, A.; et al. Evolution of a designed protein assembly encapsulating its own RNA genome. Nature 2017, 552, 415–420. [Google Scholar] [CrossRef]
- Brown, R.S.; Kim, L.; Kielian, M. Specific Recognition of a Stem-Loop RNA Structure by the Alphavirus Capsid Protein. Viruses 2021, 13, 1517. [Google Scholar] [CrossRef] [PubMed]
- Wengler, G.; Wengler, G.; Boege, U.; Wahn, K. Establishment and analysis of a system which allows assembly and disassembly of alphavirus core-like particles under physiological conditions in vitro. Virology 1984, 132, 401–412. [Google Scholar] [CrossRef] [PubMed]
- Button, J.M.; Mukhopadhyay, S. Removing the Polyanionic Cargo Requirement for Assembly of Alphavirus Core-Like Particles to Make an Empty Alphavirus Core. Viruses 2020, 12, 846. [Google Scholar] [CrossRef] [PubMed]
- Tellinghuisen, T.L.; Kuhn, R.J. Nucleic acid-dependent cross-linking of the nucleocapsid protein of Sindbis virus. J. Virol. 2000, 74, 4302–4309. [Google Scholar] [CrossRef][Green Version]
- Mendes, A.; Kuhn, R.J. Alphavirus Nucleocapsid Packaging and Assembly. Viruses 2018, 10, 138. [Google Scholar] [CrossRef] [PubMed]
- Beal, J.; Wagner, T.E.; Kitada, T.; Azizgolshani, O.; Parker, J.M.; Densmore, D.; Weiss, R. Model-driven engineering of gene expression from RNA replicons. ACS Synth. Biol. 2015, 4, 48–56. [Google Scholar] [CrossRef]
- Puglia, A.L.P.; Rezende, A.G.; Jorge, S.A.C.; Wagner, R.; Pereira, C.A.; Astray, R.M. Quantitative RT-PCR for titration of replication-defective recombinant Semliki Forest virus. J. Virol. Methods 2013, 193, 647–652. [Google Scholar] [CrossRef]







Disclaimer/Publisher’s Note: The statements, opinions and data contained in all publications are solely those of the individual author(s) and contributor(s) and not of MDPI and/or the editor(s). MDPI and/or the editor(s) disclaim responsibility for any injury to people or property resulting from any ideas, methods, instructions or products referred to in the content. |
© 2024 by the authors. Licensee MDPI, Basel, Switzerland. This article is an open access article distributed under the terms and conditions of the Creative Commons Attribution (CC BY) license (https://creativecommons.org/licenses/by/4.0/).
Share and Cite
Gomes, R.P.; Barbosa, F.F.; Toledo, M.A.S.; Jorge, S.A.C.; Astray, R.M. Semliki Forest Virus (SFV) Self-Amplifying RNA Delivered to J774A.1 Macrophage Lineage by Its Association with a Purified Recombinant SFV Capsid Protein. Int. J. Mol. Sci. 2024, 25, 7859. https://doi.org/10.3390/ijms25147859
Gomes RP, Barbosa FF, Toledo MAS, Jorge SAC, Astray RM. Semliki Forest Virus (SFV) Self-Amplifying RNA Delivered to J774A.1 Macrophage Lineage by Its Association with a Purified Recombinant SFV Capsid Protein. International Journal of Molecular Sciences. 2024; 25(14):7859. https://doi.org/10.3390/ijms25147859
Chicago/Turabian StyleGomes, Roselane P., Flavia F. Barbosa, Marcelo A. S. Toledo, Soraia A. C. Jorge, and Renato M. Astray. 2024. "Semliki Forest Virus (SFV) Self-Amplifying RNA Delivered to J774A.1 Macrophage Lineage by Its Association with a Purified Recombinant SFV Capsid Protein" International Journal of Molecular Sciences 25, no. 14: 7859. https://doi.org/10.3390/ijms25147859
APA StyleGomes, R. P., Barbosa, F. F., Toledo, M. A. S., Jorge, S. A. C., & Astray, R. M. (2024). Semliki Forest Virus (SFV) Self-Amplifying RNA Delivered to J774A.1 Macrophage Lineage by Its Association with a Purified Recombinant SFV Capsid Protein. International Journal of Molecular Sciences, 25(14), 7859. https://doi.org/10.3390/ijms25147859

