Submandibular Gland Pathogenesis Following SARS-CoV-2 Infection and Implications for Xerostomia
Abstract
1. Introduction
2. Results
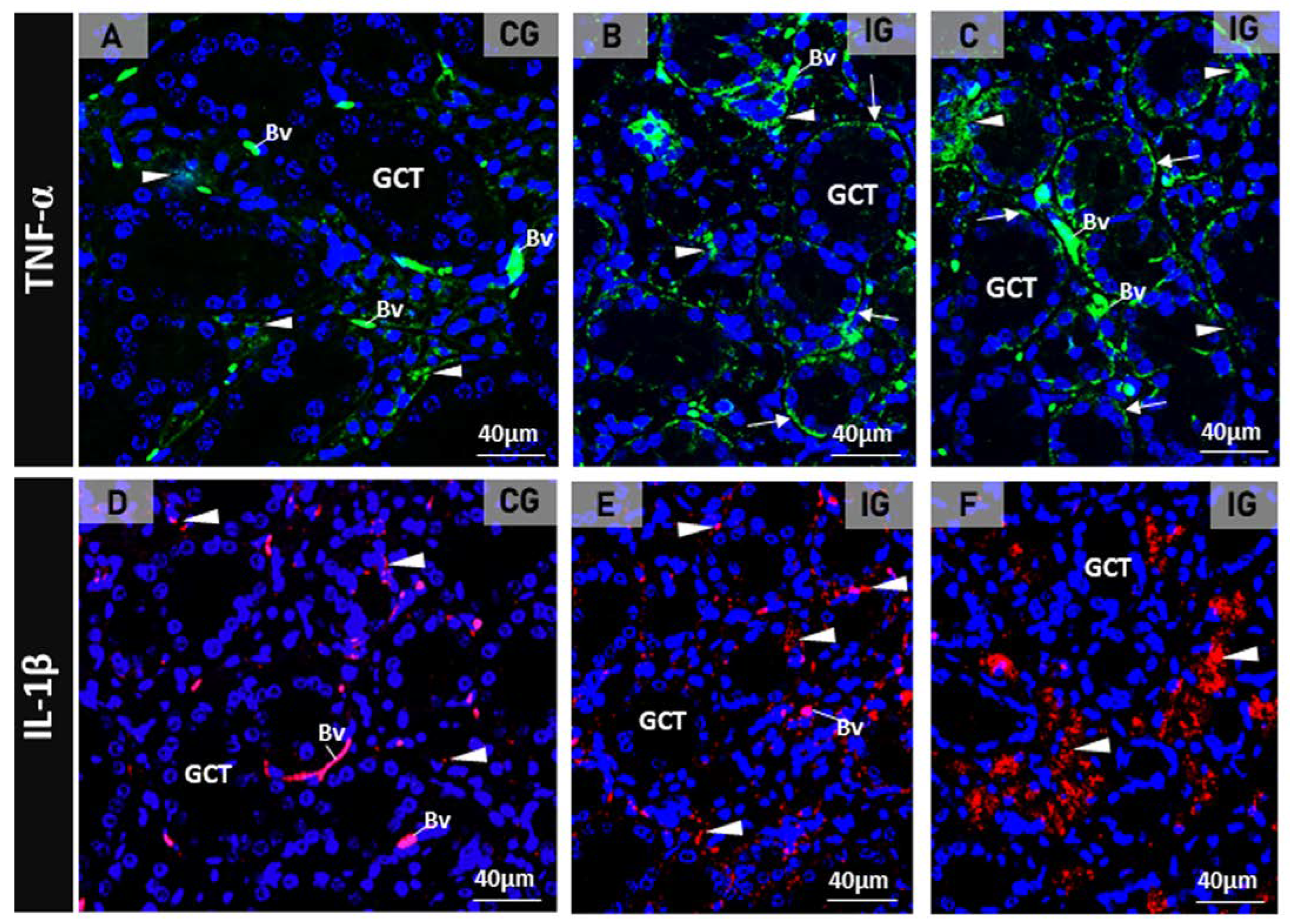
2.1. hACE2, Spike, Nucleocapsid and Pro-Inflammatory Cytokines in the Infected SMGs
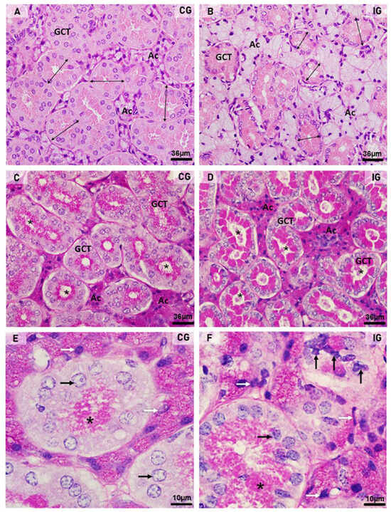
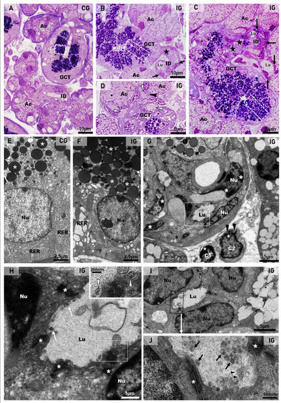
2.2. SARS-CoV-2 Induces Acinar Hypertrophy, GCTs Atrophy and Muc5b and Egfr Upregulation
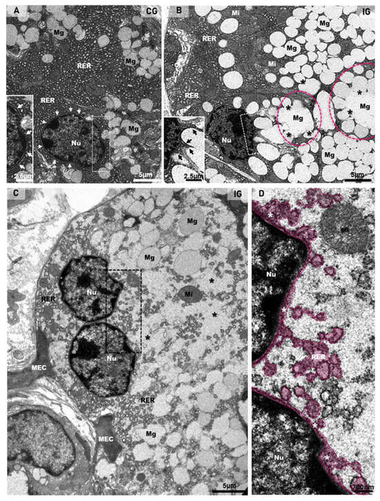
2.3. Ultrastructural Features Confirm Infection, Acinar Hypertrophy and GCT Compression
2.4. Viral Particles in Telocytes, MECs and Endotheliocytes
3. Discussion
3.1. Submandibular Gland Cells Express hACE2 and Are Infected by SARS-CoV-2
3.2. A Possible Role of the Nucleus in Viral Replication
3.3. Viral Infection Induces Cytokine Production in Acinar Cells and Mucin Hypersecretion
3.4. SARS-CoV-2 Induces MECs Death and Acinar Hypertrophy: A Sialadenosis-like Feature
3.5. Telocyte as Possible SARS-CoV-2 Target and Viral Transmitter in SMGs
4. Conclusions
5. Material and Methods
5.1. Preparation of SARS-CoV-2 Samples
5.2. K18-hACE2 Mice and SARS-CoV-2 Infection
5.3. Histological Procedures for Light Microscope
5.4. Morphometric Analyses
5.5. Volume Density of Acini and Ducts
5.6. GCTs Diameter and Area of PAS+ Secretion
5.7. Histochemical Methods: AB and Silver Impregnation
5.8. Immunofluorescence Reactions
5.9. Spike and Actin Double Immunofluorescence
5.10. Analysis of Immunofluorescent Areas
5.11. Transmission Electron Microscopy (TEM)
5.12. Reverse Transcription and Real-Time Polymerase Chain Reaction (RT-qPCR)
5.13. Statistical Analysis
Author Contributions
Funding
Institutional Review Board Statement
Data Availability Statement
Acknowledgments
Conflicts of Interest
References
- Zhang, R.; Li, Y.; Zhang, A.L.; Wang, Y.; Molina, M.J. Identifying airborne transmission as the dominant route for the spread of COVID-19. Proc. Natl. Acad. Sci. USA 2020, 117, 25942–25943. [Google Scholar]
- Han, P.; Ivanovski, S. Saliva-friend and foe in the COVID-19 Outbreak. Diagnostics 2020, 10, 290. [Google Scholar] [CrossRef]
- Matuck, B.F.; Dolhnikoff, M.; Duarte-Neto, A.N.; Maia, G.; Gomes, S.C.; Sendyk, D.I.; Zarpellon, A.; de Andrade, N.P.; Monteiro, R.A.; Pinho, J.R.R.; et al. Salivary glands are a target for SARS-CoV-2: A source for saliva contamination. J. Pathol. 2021, 254, 239–243. [Google Scholar] [CrossRef]
- Huang, N.; Pérez, P.; Kato, T.; Mikami, Y.; Okuda, K.; Gilmore, R.C.; Conde, C.D.; Gasmi, B.; Stein, S.; Beach, M.; et al. SARS-CoV-2 infection of the oral cavity and saliva. Nat. Med. 2021, 27, 892–903. [Google Scholar] [CrossRef] [PubMed]
- Wang, C.; Wu, H.; Ding, X.; Ji, H.; Jiao, P.; Song, H.; Li, S.; Du, H. Does infection of 2019 novel coronavirus cause acute and/or chronic sialadenitis? Med. Hypotheses 2020, 140, 109789. [Google Scholar] [CrossRef] [PubMed]
- To, K.K.; Tsang, O.T.; Leung, W.S.; Tam, A.R.; Wu, T.C.; Lung, D.C.; Yip, C.C.; Cai, J.P.; Chan, J.M.; Chik, T.S.; et al. Temporal profiles of viral load in posterior oropharyngeal saliva samples and serum antibody responses during infection by SARS-CoV-2: An observational cohort study. Lancet Infect. Dis. 2020, 20, 565–574. [Google Scholar] [CrossRef]
- Wyllie, A.L.; Fournier, J.; Casanovas-Massana, A.; Campbell, M.; Tokuyama, M.; Vijayakumar, P.; Geng, B.; Muenker, M.C.; Moore, A.J.; Vogels, C.B.; et al. Saliva is more sensitive for SARS-CoV-2 detection in COVID-19 patients than nasopharyngeal swabs. N. Engl. J. Med. 2020, 383, 1283–1286. [Google Scholar] [CrossRef]
- Xu, J.; Li, Y.; Gan, F.; Du, Y.; Yao, Y. Salivary glands: Potential reservoirs for COVID-19 asymptomatic infection. J. Dent. Res. 2020, 99, 989. [Google Scholar] [CrossRef]
- Lynge Pedersen, A.M.; Belstrøm, D. The role of natural salivary defences in maintaining a healthy oral microbiota. J. Dent. 2019, 80, S3–S12. [Google Scholar] [CrossRef]
- van Putten, J.P.M.; Strijbis, K. Transmembrane Mucins: Signaling Receptors at the Intersection of Inflammation and Cancer. J. Innate Immun. 2017, 9, 281–299. [Google Scholar] [CrossRef]
- Mori, M.; Miyako, N.; Yasunori, M.; Shinichiro, S.; Yoshiaki, T.; Michio, S. Endothelin expression in salivary gland. Int. J. Oral Sci. 2011, 8, 7–10. [Google Scholar] [CrossRef]
- Manzato, M.C.; de Santi, F.; da Silva, A.A.S.; Beltrame, F.L.; Cerri, P.S.; Sasso-Cerri, E. Cimetidine-induced androgenic failure causes cell death and changes in actin, EGF and V-ATPase immunoexpression in rat submandibular glands. J. Anat. 2021, 239, 136–150. [Google Scholar] [CrossRef]
- Lindsey, S.; Langhans, S.A. Epidermal growth factor signaling in transformed cells. Int. Rev. Cell Mol. Biol. 2015, 314, 1–41. [Google Scholar] [CrossRef]
- Nordlund, L.; Hormia, M.; Saxén, L.; Thesleff, I. Immunohistochemical localization of epidermal growth factor receptors in human gingival epithelia. J. Periodontal Res. 1991, 26, 333–338. [Google Scholar]
- Franke, T.F.; Hornik, C.P.; Segev, L.; Shostak, G.A.; Sugimoto, C. PI3K/Akt and apoptosis: Size matters. Oncogene 2003, 22, 8983–8998. [Google Scholar] [CrossRef]
- Nakamura, H.; Kawakami, A.; Ida, H.; Koji, T.; Eguchi, K. Epidermal growth factor inhibits Fas-mediated apoptosis in salivary epithelial cells of patients with primary Sjögren’s syndrome. Clin. Exp. Rheumatol. 2007, 25, 831–837. [Google Scholar]
- Sisto, M.; Lorusso, L.; Ingravallo, G.; Tamma, R.; Nico, B.; Ribatti, D.; Ruggieri, S.; Lisi, S. Reduced myofilament component in primary Sjögren’s syndrome salivary gland myoepithelial cells. J. Mol. Histol. 2018, 49, 111–121. [Google Scholar] [CrossRef]
- Pringle, S.; Wang, X.; Bootsma, H.; Spijkervet, F.K.L.; Vissink, A.; Kroese, F.G.M. Small-molecule inhibitors and the salivary gland epithelium in Sjögren’s syndrome. Expert Opin. Investig. Drugs 2019, 28, 605–616. [Google Scholar] [CrossRef]
- Ihrler, S.; Rath, C.; Zengel, P.; Kirchner, T.; Harrison, J.D.; Weiler, C. Pathogenesis of sialadenosis: Possible role of functionally deficient myoepithelial cells. Oral Surg. Oral Med. Oral Pathol. Oral Radiol. Endodontol. 2010, 110, 218–223. [Google Scholar] [CrossRef]
- Popescu, L.M.; Faussone-Pellegrini, M.S. TELOCYTES—A case of serendipity: The winding way from Interstitial Cells of Cajal (ICC), via Interstitial Cajal-Like Cells (ICLC) to TELOCYTES. J. Cell. Mol. Med. 2010, 14, 729–740. [Google Scholar] [CrossRef]
- Popescu, L.M.; Gherghiceanu, M.; Suciu, L.C.; Manole, C.G.; Hinescu, M.E. Telocytes and putative stem cells in the lungs: Electron microscopy, electron tomography and laser scanning microscopy. Cell Tissue Res. 2011, 345, 391–403. [Google Scholar] [CrossRef]
- Sanches, B.D.A.; Maldarine, J.S.; Zani, B.C.; Tamarindo, G.H.; Biancardi, M.F.; Santos, F.C.A.; Rahal, P.; Góes, R.M.; Felisbino, S.L.; Vilamaior, P.S.L.; et al. Telocytes play a key role in prostate tissue organisation during the gland morphogenesis. J. Cell. Mol. Med. 2017, 21, 3309–3321. [Google Scholar] [CrossRef]
- Nicolescu, M.I.; Bucur, A.; Dinca, O.; Rusu, M.C.; Popescu, L.M. Telocytes in parotid glands. Anat. Rec. 2012, 295, 378–385. [Google Scholar] [CrossRef]
- Nicolescu, M.I. Telocytes in Exocrine Glands Stroma. Adv. Exp. Med. Biol. 2016, 913, 163–176. [Google Scholar] [CrossRef]
- Alunno, A.; Ibba-Manneschi, L.; Bistoni, O.; Rosa, I.; Caterbi, S.; Gerli, R.; Manetti, M. Telocytes in minor salivary glands of primary Sjögren’s syndrome: Association with the extent of inflammation and ectopic lymphoid neogenesis. J. Cell. Mol. Med. 2015, 19, 1689–1696. [Google Scholar] [CrossRef]
- Cretoiu, S.M.; Popescu, L.M. Telocytes revisited. Biomol. Concepts. 2014, 5, 353–369. [Google Scholar] [CrossRef]
- Cretoiu, D.; Xu, J.; Xiao, J.; Cretoiu, S.M. Telocytes and their extracellular vesicles-evidence and hypotheses. Int. J. Mol. Sci. 2016, 17, 1322. [Google Scholar] [CrossRef]
- Kato, T.; Asakura, T.; Edwards, C.E.; Dang, H.; Mikami, Y.; Okuda, K.; Chen, G.; Sun, L.; Gilmore, R.C.; Hawkins, P.; et al. Prevalence and mechanisms of mucus accumulation in COVID-19 lung disease. Am. J. Respir. Crit. Care Med. 2022, 206, 1336–1352. [Google Scholar] [CrossRef]
- Takahashi, T.; Makiguchi, Y.; Hinoda, Y.; Kakiuchi, H.; Nakagawa, N.; Imai, K.; Yachi, A. Expression of MUC1 on myeloma cells and induction of HLA-unrestricted CTL against MUC1 from a multiple myeloma patient. J. Immunol. 1994, 153, 2102–2109. [Google Scholar] [CrossRef]
- Takeyama, K.; Dabbagh, K.; Lee, H.M.; Agustí, C.; Lausier, J.A.; Ueki, I.F.; Grattan, K.M.; Nadel, J.A. Epidermal growth factor system regulates mucin production in airways. Proc. Natl. Acad. Sci. USA. 1999, 96, 3081–3086. [Google Scholar] [CrossRef]
- Lai, K.M.; Lee, W.L. The roles of epidermal growth factor receptor in viral infections. Growth Factors 2022, 40, 46–72. [Google Scholar] [CrossRef]
- Mohd Zawawi, Z.; Kalyanasundram, J.; Mohd Zain, R.; Thayan, R.; Basri, D.F.; Yap, W.B. Prospective Roles of Tumor Necrosis Factor-Alpha (TNF-α) in COVID-19: Prognosis, Therapeutic and Management. Int. J. Mol. Sci. 2023, 24, 6142. [Google Scholar] [CrossRef]
- Khan, M.A.; Khan, Z.A.; Charles, M.; Pratap, P.; Naeem, A.; Siddiqui, Z.; Naqvi, N.; Srivastava, S. Cytokine storm and mucus hypersecretion in COVID-19: Review of mechanisms. J. Inflamm. Res. 2021, 14, 175–189. [Google Scholar] [CrossRef]
- Edgar, M.; Dawes, C.; Saliva, D.O. Saliva and Oral Health an Essential Overview for the Health Professional, 4th ed.; Stephen Hancocks Limited: Duns Tew, UK, 2012. [Google Scholar]
- Tsuchiya, H. Characterization and pathogenic speculation of xerostomia associated with COVID-19: A narrative review. Dent. J. 2021, 9, 130. [Google Scholar] [CrossRef]
- Fathi, Y.; Hoseini, E.G.; Atoof, F.; Mottaghi, R. Xerostomia (dry mouth) in patients with COVID-19: A case series. Future Virol. 2021, 16, 315–319. [Google Scholar] [CrossRef]
- Tsuchiya, H. COVID-19 Oral sequelae: Persistent gustatory and saliva secretory dysfunctions after recovery from COVID-19. Med. Princ. Pract. 2023, 32, 166–177. [Google Scholar] [CrossRef]
- Li, Y.; Tang, X.X. Abnormal airway mucus secretion induced by virus infection. Front. Immunol. 2021, 12, 701443. [Google Scholar] [CrossRef]
- Zhu, F.; Zhong, Y.; Ji, H.; Ge, R.; Guo, L.; Song, H.; Wu, H.; Jiao, P.; Li, S.; Wang, C.; et al. ACE2 and TMPRSS2 in human saliva can adsorb to the oral mucosal epithelium. J. Anat. 2022, 240, 398–409. [Google Scholar] [CrossRef]
- Sawa, Y.; Ibaragi, S.; Okui, T.; Yamashita, J.; Ikebe, T.; Harada, H. Expression of SARS-CoV-2 entry factors in human oral tissue. J. Anat. 2021, 238, 1341–1354. [Google Scholar] [CrossRef]
- Schurink, B.; Roos, E.; Radonic, T.; Barbe, E.; Bouman, C.S.C.; de Boer, H.H.; de Bree, G.J.; Bulle, E.B.; Aronica, E.M.; Florquin, S.; et al. Viral presence and immunopathology in patients with lethal COVID-19: A prospective autopsy cohort study. Lancet Microbe 2020, 1, e290–e299. [Google Scholar] [CrossRef]
- Hopfer, H.; Herzig, M.C.; Gosert, R.; Menter, T.; Hench, J.; Tzankov, A.; Hirsch, H.H.; Miller, S.E. Hunting coronavirus by transmission electron microscopy—A guide to SARS-CoV-2-associated ultrastructural pathology in COVID-19 tissues. Histopathology 2021, 78, 358–370. [Google Scholar] [CrossRef]
- Bullock, H.A.; Goldsmith, C.S.; Miller, S.E. Best practices for correctly identifying coronavirus by transmission electron microscopy. Kidney Int. 2021, 99, 824–827. [Google Scholar] [CrossRef]
- Roingeard, P.; Eymieux, S.; Burlaud-Gaillard, J.; Hourioux, C.; Patient, R.; Blanchard, E. The double-membrane vesicle (DMV): A virus-induced organelle dedicated to the replication of SARS-CoV-2 and other positive-sense single-stranded RNA viruses. Cell. Mol. Life Sci. 2022, 79, 425. [Google Scholar] [CrossRef]
- Stertz, S.; Reichelt, M.; Spiegel, M.; Kuri, T.; Martínez-Sobrido, L.; García-Sastre, A.; Weber, F.; Kochs, G. The intracellular sites of early replication and budding of SARS-coronavirus. Virology 2007, 361, 304–315. [Google Scholar] [CrossRef]
- Chen, M.; Ma, Y.; Chang, W. SARS-CoV-2 and the nucleus. Int. J. Biol. Sci. 2022, 18, 4731–4743. [Google Scholar] [CrossRef]
- Tanda, N.; Ohyama, H.; Yamakawa, M.; Ericsson, M.; Tsuji, T.; McBride, J.; Elovic, A.; Wong, D.T.; Login, G.R. IL-1 beta and IL-6 in mouse parotid acinar cells: Characterization of synthesis, storage, and release. Am. J. Physiol. 1998, 274, G147–G156. [Google Scholar] [CrossRef]
- Cauli, A.; Yanni, G.; Pitzalis, C.; Challacombe, S.; Panayi, G.S. Cytokine and adhesion molecule expression in the minor salivary glands of patients with Sjögren’s syndrome and chronic sialoadenitis. Ann. Rheum. Dis. 1995, 54, 209–215. [Google Scholar] [CrossRef]
- Prasher, P.; Sharma, M. Targeting mucin hypersecretion in COVID-19 therapy. Future Med. Chem. 2022, 14, 681–684. [Google Scholar] [CrossRef]
- He, J.; Cai, S.; Feng, H.; Cai, B.; Lin, L.; Mai, Y.; Fan, Y.; Zhu, A.; Huang, H.; Shi, J.; et al. Single-cell analysis reveals bronchoalveolar epithelial dysfunction in COVID-19 patients. Protein Cell 2020, 11, 680–687. [Google Scholar] [CrossRef]
- Guzman, K.; Randell, S.H.; Nettesheim, P. Epidermal growth factor regulates expression of the mucous phenotype of rat tracheal epithelial cells. Biochem. Biophys. Res. Commun. 1995, 217, 412–418. [Google Scholar] [CrossRef]
- Thai, P.; Loukoianov, A.; Wachi, S.; Wu, R. Regulation of airway mucin gene expression. Annu. Rev. Physiol. 2008, 70, 405–429. [Google Scholar] [CrossRef]
- Piludu, M.; Lantini, M.S.; Isola, M.; Lecca, F.; Cossu, M. Ultrastructural localization of epidermal growth factor receptor in human parotid gland. Eur. J. Morphol. 2002, 40, 213–217. [Google Scholar] [CrossRef]
- Drozdzik, A.; Drozdzik, M. Oral pathology in COVID-19 and SARS-CoV-2 infection-molecular aspects. Int. J. Mol. Sci. 2022, 23, 1431. [Google Scholar] [CrossRef]
- Gherlone, E.F.; Polizzi, E.; Tetè, G.; De Lorenzo, R.; Magnaghi, C.; Rovere Querini, P.; Ciceri, F. Frequent and persistent salivary gland ectasia and oral disease after COVID-19. J. Dent. Res. 2021, 100, 464–471. [Google Scholar] [CrossRef]
- Brehm, R.; Narayanam, L.; Chon, G. COVID-19-Associated parotitis in a 10-week-old male. Cureus 2022, 14, e31054. [Google Scholar] [CrossRef]
- Chern, A.; Famuyide, A.O.; Moonis, G.; Lalwani, A.K. Sialadenitis: A possible early manifestation of COVID-19. Laryngoscope 2020, 130, 2595–2597. [Google Scholar] [CrossRef]
- Donath, K.; Seifert, G. Ultrastructural studies of the parotid glands in sialadenosis. Virchows Arch. A Pathol. Anat. Histol. 1975, 365, 119–135. [Google Scholar] [CrossRef]
- Shen, Y.; Voigt, A.; Goranova, L.; Abed, M.; Kleiner, D.E.; Maldonado, J.O.; Beach, M.; Pelayo, E.; Chiorini, J.A.; Craft, W.F.; et al. Evidence of a Sjögren’s disease-like phenotype following COVID-19. medRxiv 2022. [Google Scholar] [CrossRef]
- Castro, I.; Albornoz, N.; Aguilera, S.; Barrera, M.J.; González, S.; Núñez, M.; Carvajal, P.; Jara, D.; Lagos, C.; Molina, C.; et al. Aberrant MUC1 accumulation in salivary glands of Sjögren’s syndrome patients is reversed by TUDCA in vitro. Rheumatology 2020, 59, 742–753. [Google Scholar] [CrossRef]
- Garrett, J.R.; Emmelin, N. Activities of salivary myoepithelial cells: A review. Med. Biol. 1979, 57, 1–28. [Google Scholar]
- Kloc, M.; Uosef, A.; Wosik, J.; Kubiak, J.Z.; Ghobrial, R.M. Virus interactions with the actin cytoskeleton-what we know and do not know about SARS-CoV-2. Arch. Virol. 2022, 167, 737–749. [Google Scholar] [CrossRef]
- Wen, Z.; Zhang, Y.; Lin, Z.; Shi, K.; Jiu, Y. Cytoskeleton-a crucial key in host cell for coronavirus infection. J. Mol. Cell Biol. 2020, 12, 968–979. [Google Scholar] [CrossRef] [PubMed]
- Rodrigues, P.B.; Gomes, G.F.; Angelim, M.K.S.C.; Souza, G.F.; Muraro, S.P.; Toledo-Teixeira, D.A.; Rattis, B.A.C.; Passos, A.S.; Pral, L.P.; de Rezende Rodovalho, V.; et al. Impact of microbiota depletion by antibiotics on SARS-CoV-2 infection of K18-hACE2 Mice. Cells 2022, 11, 2572. [Google Scholar] [CrossRef]
- Cerri, P.S.; Sasso-Cerri, E. Staining methods applied to glycol methacrylate embedded tissue sections. Micron 2003, 34, 365–372. [Google Scholar] [CrossRef]
- Sasso-Cerri, E.; de Faria, F.P.; Freymüller, E.; Miraglia, S.M. Testicular morphological changes during the seasonal reproductive cycle in the bullfrog Rana catesbeiana. J. Exp. Zool. Part A Comp. Exp. Biol. 2004, 301, 249–260. [Google Scholar] [CrossRef]
- Beltrame, F.L.; Cerri, P.S.; Sasso-Cerri, E. Cimetidine-induced Leydig cell apoptosis and reduced EG-VEGF (PK-1) immunoexpression in rats: Evidence for the testicular vasculature atrophy. Reprod. Toxicol. 2015, 57, 50–58. [Google Scholar] [CrossRef]
- Untergasser, A.; Cutcutache, I.; Koressaar, T.; Ye, J.; Faircloth, B.C.; Remm, M.; Rozen, S.G. Primer3—New capabilities and interfaces. Nucleic Acids Res. 2012, 40, e115. [Google Scholar] [CrossRef]












| Gene | NCBI Access No: | Length (bp) | Oligonucleotides Sequences (5′-3′) | Tm |
|---|---|---|---|---|
| Muc5b (Exxtend, Brazil) | NM_028801.2 | 20 20 | F: GTGTCGGGCAGAGAACTACC R: GGGCTTGTCTACTCACCAGG | 60.0° 60.0° |
| Egfr (Exxtend, Brazil) | NM_207655.2 | 20 20 | F: TTTAGTCCCTCCTCCTCCCG R: CTAGCCCAGTCTCCCTTCCT | 60.0° 60.0° |
| β-Actin (Exxtend, Brazil) | NM_007393.5 | 18 20 | F: CTGCGCTTCCTTTGTCCC R: GACAATTGAGAAAGGGCGTG | 57.0° 55.0° |
Disclaimer/Publisher’s Note: The statements, opinions and data contained in all publications are solely those of the individual author(s) and contributor(s) and not of MDPI and/or the editor(s). MDPI and/or the editor(s) disclaim responsibility for any injury to people or property resulting from any ideas, methods, instructions or products referred to in the content. |
© 2024 by the authors. Licensee MDPI, Basel, Switzerland. This article is an open access article distributed under the terms and conditions of the Creative Commons Attribution (CC BY) license (https://creativecommons.org/licenses/by/4.0/).
Share and Cite
Sasso-Cerri, E.; Martinelli, V.D.; de Oliveira, S.A.; da Silva, A.A.S.; de Moraes, J.C.G.; Cerri, P.S. Submandibular Gland Pathogenesis Following SARS-CoV-2 Infection and Implications for Xerostomia. Int. J. Mol. Sci. 2024, 25, 6820. https://doi.org/10.3390/ijms25136820
Sasso-Cerri E, Martinelli VD, de Oliveira SA, da Silva AAS, de Moraes JCG, Cerri PS. Submandibular Gland Pathogenesis Following SARS-CoV-2 Infection and Implications for Xerostomia. International Journal of Molecular Sciences. 2024; 25(13):6820. https://doi.org/10.3390/ijms25136820
Chicago/Turabian StyleSasso-Cerri, Estela, Vitor Dallacqua Martinelli, Salmo Azambuja de Oliveira, André Acácio Souza da Silva, Juliana Cerini Grassi de Moraes, and Paulo Sérgio Cerri. 2024. "Submandibular Gland Pathogenesis Following SARS-CoV-2 Infection and Implications for Xerostomia" International Journal of Molecular Sciences 25, no. 13: 6820. https://doi.org/10.3390/ijms25136820
APA StyleSasso-Cerri, E., Martinelli, V. D., de Oliveira, S. A., da Silva, A. A. S., de Moraes, J. C. G., & Cerri, P. S. (2024). Submandibular Gland Pathogenesis Following SARS-CoV-2 Infection and Implications for Xerostomia. International Journal of Molecular Sciences, 25(13), 6820. https://doi.org/10.3390/ijms25136820

