Non-Specific Lipid Transfer Protein Amb a 6 Is a Source-Specific Important Allergenic Molecule in Ragweed Pollen
Abstract
1. Introduction
2. Results
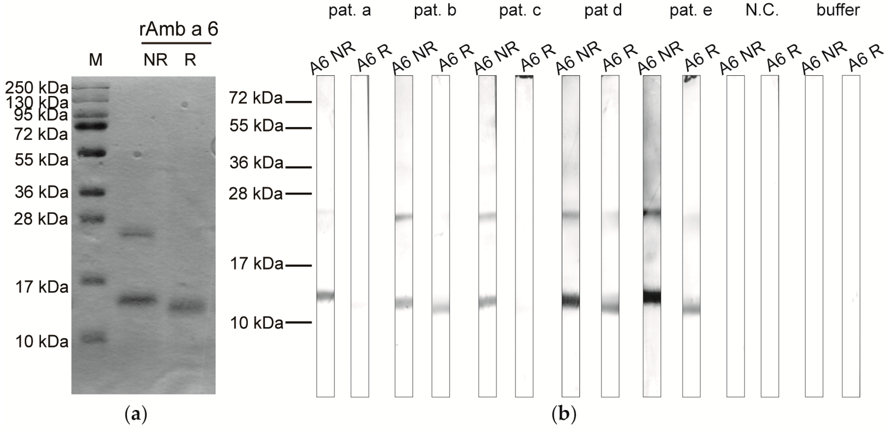
2.1. Recombinant Expression, Purification, and Biochemical Characterization of Amb a 6
2.2. IgE Reactivity towards rAmb a 6
2.3. Rabbit Antibodies Obtained by Immunization with rAmb a 6 Inhibit Patients’ IgE Binding to rAmb a 6
2.4. Allergenic Activity of rAmb a 6 and the nsLTP from Parietaria judaica Pollen, Par j 2, and Association of Amb a 6 Sensitization with Clinical Features
3. Discussion
4. Materials and Methods
4.1. Serum from Ragweed-Allergic Patients
4.2. Recombinant Allergen Production and IgE Immunoblotting
4.3. Physicochemical Characterization
4.4. IgE Reactivity towards rAmb a 6
4.5. Induction of rAmb a 6-Specific Antibodies in Rabbits
4.6. Inhibition of Human IgE Binding to rAmb a 6 with Rabbit Amb a 6-Specific Serum and Detection of Potential Cross-Reactive Allergens
4.7. Allergenic Activity of rAmb a 6
4.8. Association with Clinical Symptoms and Statistical Analysis
5. Conclusions
Supplementary Materials
Author Contributions
Funding
Institutional Review Board Statement
Informed Consent Statement
Data Availability Statement
Acknowledgments
Conflicts of Interest
References
- Arbes, S.J., Jr.; Gergen, P.J.; Elliott, L.; Zeldin, D.C. Prevalences of Positive Skin Test Responses to 10 Common Allergens in the US Population: Results from the Third National Health and Nutrition Examination Survey. J. Allergy Clin. Immunol. 2005, 116, 377–383. [Google Scholar] [CrossRef]
- Lake, I.R.; Jones, N.R.; Agnew, M.; Goodess, C.M.; Giorgi, F.; Hamaoui-Laguel, L.; Semenov, M.A.; Solmon, F.; Storkey, J.; Vautard, R.; et al. Climate Change and Future Pollen Allergy in Europe. Environ. Health Perspect. 2017, 125, 385–391. [Google Scholar] [CrossRef]
- Schaffner, U.; Steinbach, S.; Sun, Y.; Skjøth, C.A.; de Weger, L.A.; Lommen, S.T.; Augustinus, B.A.; Bonini, M.; Karrer, G.; Šikoparija, B. Biological Weed Control to Relieve Millions from Ambrosia Allergies in Europe. Nat. Commun. 2020, 11, 1745. [Google Scholar] [CrossRef] [PubMed]
- Thibaudon, M.; Hamberger, C.; Guilloux, L.; Massot, R. Ragweed Pollen in France: Origin, Diffusion, Exposure. Eur. Ann. Allergy Clin. Immunol. 2010, 43, 209. [Google Scholar]
- Makra, L.; Juhász, M.; Béczi, R.; Borsos, E. The History and Impacts of Airborne Ambrosia (Asteraceae) Pollen in Hungary. Grana 2005, 44, 57–64. [Google Scholar] [CrossRef]
- Cecchi, L.; D’Amato, G.; Ayres, J.G.; Galan, C.; Forastiere, F.; Forsberg, B.; Gerritsen, J.; Nunes, C.; Behrendt, H.; Akdis, C.; et al. Projections of the Effects of Climate Change on Allergic Asthma: The Contribution of Aerobiology. Allergy Eur. J. Allergy Clin. Immunol. 2010, 65, 1073–1081. [Google Scholar] [CrossRef] [PubMed]
- Ozaslan, C.; Onen, H.; Farooq, S.; Gunal, H.; Akyol, N. Common Ragweed: An Emerging Threat for Sunflower Production and Human Health in Turkey. Weed Biol. Manag. 2016, 16, 42–55. [Google Scholar] [CrossRef]
- Bullock, J.; Chapman, D.; Schaffer, S.; Roy, D.; Girardello, M.; Haynes, T.; Beal, S.; Wheeler, B.; Dickie, I.; Phang, Z.; et al. Assessing and Controlling the Spread and the Effects of Common Ragweed in Europe; Report ENV.B2/ETU/2010/0037; Natural Environment Research Council: Swindon, UK, 2010; pp. 1–456. [Google Scholar]
- Leru, P.M.; Matei, D.; Ianovici, N. Health Impact of Ambrosia artemisiifolia Reflected By Allergists Practice in Romania. A Questionnaire—Based Survey. Ann. West Univ. Timişoara Ser. Biol. 2015, 18, 43–54. [Google Scholar]
- Leru, P.M.; Eftimie, A.M.; Anton, V.F.; Thibaudon, M. Five-Year Data on Pollen Monitoring, Distribution and Health Impact of Allergenic Plants in Bucharest and the Southeastern Region of Romania. Medicina 2019, 55, 140. [Google Scholar] [CrossRef]
- Leru, P.M.; Anton, V.F.; Eftimie, A.M.; Stefanut, S. Biologic Pollution Due to Ambrosia (Ragweed) Pollen in Urban Environment of Bucharest. Int. J. Environ. Res. Public Health 2022, 19, 10613. [Google Scholar] [CrossRef]
- Gaudeul, M.; Giraud, T.; Kiss, L.; Shykoff, J.A. Nuclear and Chloroplast Microsatellites Show Multiple Introductions in the Worldwide Invasion History of Common Ragweed, Ambrosia artemisiifolia. PLoS ONE 2011, 6, e17658. [Google Scholar] [CrossRef] [PubMed]
- Newhouse, C.P.; Levetin, E. Correlation of Environmental Factors with Asthma and Rhinitis Symptoms in Tulsa, OK. Ann. Allergy Asthma Immunol. 2004, 92, 356–366. [Google Scholar] [CrossRef] [PubMed]
- Ziska, L.H.; George, K.; Frenz, D.A. Establishment and Persistence of Common Ragweed (Ambrosia Artemisiifolia L.) in Disturbed Soil as a Function of an Urban-Rural Macro-Environment. Glob. Chang. Biol. 2007, 13, 266–274. [Google Scholar] [CrossRef]
- El Kelish, A.; Zhao, F.; Heller, W.; Durner, J.; Winkler, J.B.; Behrendt, H.; Traidl-Hoffmann, C.; Horres, R.; Pfeifer, M.; Frank, U.; et al. Ragweed (Ambrosia artemisiifolia) Pollen Allergenicity: SuperSAGE Transcriptomic Analysis upon Elevated CO2 and Drought Stress. BMC Plant Biol. 2014, 14, 176. [Google Scholar] [CrossRef] [PubMed]
- Chen, K.-W.; Marusciac, L.; Tamas, P.T.; Valenta, R.; Panaitescu, C. Ragweed Pollen Allergy: Burden, Characteristics, and Management of an Imported Allergen Source in Europe. Int. Arch. Allergy Immunol. 2018, 176, 163–180. [Google Scholar] [CrossRef] [PubMed]
- Tamaș, T.P.; Buzan, M.R.; Zbîrcea, L.E.; Cotarcă, M.D.; Grijincu, M.; Păunescu, V.; Panaitescu, C.; Chen, K.W. Ragweed Major Allergen Amb a 11 Recombinant Production and Clinical Implications. Biomolecules 2023, 13, 182. [Google Scholar] [CrossRef] [PubMed]
- Buzan, M.R.; Zbîrcea, L.E.; Gattinger, P.; Babaev, E.; Stolz, F.; Valenta, R.; Păunescu, V.; Panaitescu, C.; Chen, K.W. Complex IgE Sensitization Patterns in Ragweed Allergic Patients: Implications for Diagnosis and Specific Immunotherapy. Clin. Transl. Allergy 2022, 12, e12179. [Google Scholar] [CrossRef] [PubMed]
- Zbîrcea, L.E.; Buzan, M.R.; Grijincu, M.; Babaev, E.; Stolz, F.; Valenta, R.; Păunescu, V.; Panaitescu, C.; Chen, K.W. Relationship between IgE Levels Specific for Ragweed Pollen Extract, Amb a 1 and Cross-Reactive Allergen Molecules. Int. J. Mol. Sci. 2023, 24, 4040. [Google Scholar] [CrossRef] [PubMed]
- Caraballo, L.; Valenta, R.; Puerta, L.; Pomés, A.; Zakzuk, J.; Fernandez-Caldas, E.; Acevedo, N.; Sanchez-Borges, M.; Ansotegui, I.; Zhang, L.; et al. The Allergenic Activity and Clinical Impact of Individual IgE-Antibody Binding Molecules from Indoor Allergen Sources. World Allergy Organ. J. 2020, 13, 100118. [Google Scholar] [CrossRef]
- Caraballo, L.; Valenta, R.; Acevedo, N.; Zakzuk, J. Are the Terms Major and Minor Allergens Useful for Precision Allergology? Front. Immunol. 2021, 12, 10–13. [Google Scholar] [CrossRef]
- Trifonova, D.; Curin, M.; Riabova, K.; Karsonova, A.; Keller, W.; Grönlund, H.; Käck, U.; Konradsen, J.R.; van Hage, M.; Karaulov, A.; et al. Allergenic Activity of Individual Cat Allergen Molecules. Int. J. Mol. Sci. 2023, 24, 16729. [Google Scholar] [CrossRef]
- Edqvist, J.; Blomqvist, K.; Nieuwland, J.; Salminen, T.A. Plant Lipid Transfer Proteins: Are We Finally Closing in on the Roles of These Enigmatic Proteins? J. Lipid Res. 2018, 59, 1374–1382. [Google Scholar] [CrossRef]
- Palacin, A.; Varela, J.; Quirce, S.; Del Pozo, V.; Tordesillas, L.; Barranco, P.; Fernandez-Nieto, M.; Sastre, J.; Diaz-Perales, A.; Salcedo, G. Recombinant Lipid Transfer Protein Tri a 14: A Novel Heat and Proteolytic Resistant Tool for the Diagnosis of Baker’s Asthma. Clin. Exp. Allergy 2009, 39, 1267–1276. [Google Scholar] [CrossRef]
- Pastorello, E.A.; Robino, A.M. Clinical Role of Lipid Transfer Proteins in Food Allergy. Mol. Nutr. Food Res. 2004, 48, 356–362. [Google Scholar] [CrossRef]
- Asero, R.; Mistrello, G.; Amato, S. The Nature of Melon Allergy in Ragweed-Allergic Subjects: A Study of 1000 Patients. Allergy Asthma Proc. 2011, 32, 64–67. [Google Scholar] [CrossRef] [PubMed]
- Fernández-Rivas, M.; González-Mancebo, E.; Rodríguez-Pérez, R.; Benito, C.; Sánchez-Monge, R.; Salcedo, G.; Alonso, M.D.; Rosado, A.; Tejedor, M.A.; Vila, C. Clinically Relevant Peach Allergy Is Related to Peach Lipid Transfer Protein, Pru p 3, in the Spanish Population. J. Allergy Clin. Immunol. 2003, 112, 789–795. [Google Scholar] [CrossRef] [PubMed]
- Sala-Cunill, A.; Bartra, J.; Dalmau, G.; Tella, R.; Botey, E.; Raga, E.; Valero, A. Prevalence of Asthma and Severity of Allergic Rhinitis Comparing 2 Perennial Allergens: House Dust Mites and Parietaria Judaica Pollen. J. Investig. Allergol. Clin. Immunol. 2013, 23, 145–151. [Google Scholar] [PubMed]
- Ridolo, E.; Barone, A.; Ottoni, M.; Peveri, S.; Montagni, M.; Nicoletta, F. Factors and Co-Factors Influencing Clinical Manifestations in NsLTPs Allergy: Between the Good and the Bad. Front. Allergy 2023, 4, 1253304. [Google Scholar] [CrossRef]
- Lombardero, M.; García-Sellés, F.J.; Polo, F.; Jimeno, L.; Chamorro, M.J.; García-Casado, G.; Sánchez-Monge, R.; Díaz-Perales, A.; Salcedo, G.; Barber, D. Prevalence of Sensitization to Artemisia Allergens Art v 1, Art v 3 and Art v 60 KDa. Cross-Reactivity among Art v 3 and Other Relevant Lipid-Transfer Protein Allergens. Clin. Exp. Allergy 2004, 34, 1415–1421. [Google Scholar] [CrossRef]
- Asero, R.; Brusca, I.; Cecchi, L.; Pignatti, P.; Pravettoni, V.; Scala, E.; Uasuf, C.G.; Villalta, D. Why Lipid Transfer Protein Allergy Is Not a Pollen-Food Syndrome: Novel Data and Literature Review. Eur. Ann. Allergy Clin. Immunol. 2022, 54, 198–206. [Google Scholar] [CrossRef]
- Zhao, L.; Fu, W.; Gao, B.; Liu, Y.; Wu, S.; Chen, Z.; Zhang, X.; Wang, H.; Feng, Y.; Wang, X.; et al. Variation in IgE Binding Potencies of Seven Artemisia Species Depending on Content of Major Allergens. Clin. Transl. Allergy 2020, 10, 50. [Google Scholar] [CrossRef] [PubMed]
- Roebber, M.; Hussain, R.; Klapper, D.G.; Marsh, D.G. Isolation and Properties of a New Short Ragweed Pollen Allergen, Ra6. J. Immunol. 1983, 131, 706–711. [Google Scholar] [CrossRef] [PubMed]
- Marsh, D.G.; Freidhoff, L.R.; Ehrlich-kautzky, E.; Bias, W.B.; Roebber, M. Immune Responsiveness to Ambrosia artemisiifolia (Short Ragweed) Pollen Allergen Amb a VI (Ra6) Is Associated with HLA-DR5 in Allergic Humans. Immunogenetics 1987, 26, 230–236. [Google Scholar] [CrossRef] [PubMed]
- Curin, M.; Garib, V.; Valenta, R. Single Recombinant and Purified Major Allergens and Peptides: How They Are Made and How They Change Allergy Diagnosis and Treatment. Ann. Allergy Asthma Immunol. 2017, 119, 201–209. [Google Scholar] [CrossRef] [PubMed]
- Hiller, K.M.; Lubahn, B.C.; Klapper, D.G. Cloning and Expression of Ragweed Allergen Amb a 6. Scand. J. Immunol. 1998, 48, 26–36. [Google Scholar] [CrossRef] [PubMed]
- Salminen, T.A.; Blomqvist, K.; Edqvist, J. Lipid Transfer Proteins: Classification, Nomenclature, Structure, and Function. Planta 2016, 244, 971–997. [Google Scholar] [CrossRef] [PubMed]
- Missaoui, K.; Gonzalez-Klein, Z.; Pazos-Castro, D.; Hernandez-Ramirez, G.; Garrido-Arandia, M.; Brini, F.; Diaz-Perales, A.; Tome-Amat, J. Plant Non-Specific Lipid Transfer Proteins: An Overview. Plant Physiol. Biochem. 2022, 171, 115–127. [Google Scholar] [CrossRef] [PubMed]
- ProtParam Tool. Available online: https://web.expasy.org/protparam/ (accessed on 1 July 2020).
- SWISS-MODEL Online Tool. Available online: https://swissmodel.expasy.org/ (accessed on 1 August 2021).
- Database of Protein Domains, Families and Functional Sites. Available online: https://prosite.expasy.org/ (accessed on 15 July 2021).
- Dorofeeva, Y.; Colombo, P.; Blanca, M.; Mari, A.; Khanferyan, R.; Valenta, R.; Focke-Tejkl, M. Expression and Characterization of Recombinant Par j 1 and Par j 2 Resembling the Allergenic Epitopes of Parietaria Judaica Pollen. Sci. Rep. 2019, 9, 15043. [Google Scholar] [CrossRef] [PubMed]
- Pokoj, S.; Lauer, I.; Fötisch, K.; Himly, M.; Mari, A.; Enrique, E.; Miguel-Moncin, M.D.M.S.; Lidholm, J.; Vieths, S.; Scheurer, S. Pichia Pastoris Is Superior to E. coli for the Production of Recombinant Allergenic Non-Specific Lipid-Transfer Proteins. Protein Expr. Purif. 2010, 69, 68–75. [Google Scholar] [CrossRef]
- Martín-Pedraza, L.; Wangorsch, A.; Bueno-Diaz, C.; de las Heras, M.; Scheurer, S.; Cuesta-Herranz, J.; Villalba, M. 2S Albumins and NsLTP Are Involved in Anaphylaxis to Pizza Sauce: IgE Recognition before and after Allergen Processing. Food Chem. 2020, 321, 126679. [Google Scholar] [CrossRef]
- Barber, D.; De La Torre, F.; Feo, F.; Florido, F.; Guardia, P.; Moreno, C.; Quiralte, J.; Lombardero, M.; Villalba, M.; Salcedo, G.; et al. Understanding Patient Sensitization Profiles in Complex Pollen Areas: A Molecular Epidemiological Study. Allergy Eur. J. Allergy Clin. Immunol. 2008, 63, 1550–1558. [Google Scholar] [CrossRef] [PubMed]
- Aalberse, R.C. Structural Biology of Allergens. J. Allergy Clin. Immunol. 2000, 106, 228–238. [Google Scholar] [CrossRef] [PubMed]
- Skypala, I.J.; Cecchi, L.; Shamji, M.H.; Scala, E.; Till, S. Lipid Transfer Protein Allergy in the United Kingdom: Characterization and Comparison with a Matched Italian Cohort. Allergy 2019, 74, 1340–1351. [Google Scholar] [CrossRef] [PubMed]
- Westman, M.; Asarnoj, A.; Ballardini, N.; Andersson, N.; Kiewiet, M.B.G.; Borres, M.P.; Apostolovic, D.; Kull, I.; Bergström, A.; Melén, E.; et al. Alpha-Gal Sensitization among Young Adults Is Associated with Male Sex and Polysensitization. J. Allergy Clin. Immunol. Pract. 2022, 10, 333–335.e2. [Google Scholar] [CrossRef] [PubMed]
- WHO/IUIS Allergen Nomenclature SubCommittee. Allergen Nomenclature. IUIS Database. Available online: https://allergen.org/ (accessed on 1 June 2020).
- NIH Basic Local Alignment Search Tool. Available online: https://blast.ncbi.nlm.nih.gov (accessed on 1 July 2020).
- Tamura, K.; Stecher, G.; Kumar, S. MEGA11: Molecular evolutionary genetics analysis version 11. Mol. Biol. Evol. 2021, 38, 3022–3027. [Google Scholar] [CrossRef] [PubMed]
- Grijincu, M.; Hutu, I.; Weber, M.; Babaev, E.; Stolz, F.; Valenta, R.; Paunescu, V.; Panaitescu, C.; Chen, K.-W. Physicochemical and Immunological Characterization of Amb a 12, a Novel Ragweed (Ambrosia artemisiifolia) Pollen Allergen. Mol. Immunol. 2023, 157, 18–29. [Google Scholar] [CrossRef] [PubMed]
- Campana, R.; Vrtala, S.; Maderegger, B.; Dall’Antonia, Y.; Zafred, D.; Blatt, K.; Herrmann, H.; Focke-Tejkl, M.; Swoboda, I.; Scheiblhofer, S.; et al. Altered IgE Epitope Presentation: A Model for Hypoallergenic Activity Revealed for Bet v 1 Trimer. Mol. Immunol. 2011, 48, 431–441. [Google Scholar] [CrossRef] [PubMed]
- Sreerama, N.; Woody, R.W. Estimation of Protein Secondary Structure from Circular Dichroism Spectra: Comparison of CONTIN, SELCON, and CDSSTR Methods with an Expanded Reference Set. Anal. Biochem. 2000, 287, 252–260. [Google Scholar] [CrossRef] [PubMed]
- Lungu, B.; Georgescu, O.; Tudor, B.; Buzan, R.; Grijincu, M.; Cotarca, M.; Panaitescu, C.; Chen, K.-W.; Torda, I.; Mircu, C. Study of Some Factors Associated with Polyclonal Antibody Production in Rabbit. Eximia 2022, 4, 14–18. [Google Scholar]
- Nakamura, R.; Uchida, Y.; Higuchi, M.; Nakamura, R.; Tsuge, I.; Urisu, A.; Teshima, R. A Convenient and Sensitive Allergy Test: IgE Crosslinking-Induced Luciferase Expression in Cultured Mast Cells. Allergy Eur. J. Allergy Clin. Immunol. 2010, 65, 1266–1273. [Google Scholar] [CrossRef]
- Takagi, K.; Nakamura, R.; Teshima, R.; Sawada, J.I. Application of Human FcεRI α-Chain-Transfected RBL-2H3 Cells for Estimation of Active Serum IgE. Biol. Pharm. Bull. 2003, 26, 252–255. [Google Scholar] [CrossRef] [PubMed]
- Gieras, A.; Focke-Tejkl, M.; Ball, T.; Verdino, P.; Hartl, A.; Thalhamer, J.; Valenta, R. Molecular Determinants of Allergen-Induced Effector Cell Degranulation. J. Allergy Clin. Immunol. 2007, 119, 384–390. [Google Scholar] [CrossRef] [PubMed]






| Patient Number | Coating Using rAmb a 6 | |||||
|---|---|---|---|---|---|---|
| rAmb a 6 | Inhib. (%) | rAmb a 4 | Inhib. (%) | |||
| Pre-Imm * | Imm * | Pre-Imm * | Imm * | |||
| 29 | 0.353 | 0.082 | 76.8% | 0.352 | 0.350 | 0.5% |
| 55 | 0.328 | 0.055 | 83.2% | 0.318 | 0.312 | 2.0% |
| 59 | 1.311 | 0.130 | 90.1% | 1.212 | 1.161 | 4.2% |
| 68 | 0.143 | 0.089 | 37.4% | 0.139 | 0.136 | 1.9% |
| 82 | 1.903 | 0.087 | 95.4% | 1.836 | 1.786 | 2.8% |
| 85 | 0.273 | 0.074 | 73.1% | 0.258 | 0.252 | 2.1% |
| 103 | 3.536 | 0.175 | 95.1% | 3.308 | 3.251 | 1.7% |
| 105 | 2.175 | 0.114 | 94.8% | 1.988 | 1.887 | 5.1% |
| 114 | 0.359 | 0.104 | 71.1% | 0.334 | 0.351 | 0% |
| 128 | 0.149 | 0.082 | 44.9% | 0.144 | 0.146 | 0% |
| 129 | 0.536 | 0.109 | 79.7% | 0.529 | 0.547 | 0% |
| 148 | 0.116 | 0.058 | 49.9% | 0.120 | 0.117 | 2.9% |
| Mean | 74.3% | 1.9% | ||||
Disclaimer/Publisher’s Note: The statements, opinions and data contained in all publications are solely those of the individual author(s) and contributor(s) and not of MDPI and/or the editor(s). MDPI and/or the editor(s) disclaim responsibility for any injury to people or property resulting from any ideas, methods, instructions or products referred to in the content. |
© 2024 by the authors. Licensee MDPI, Basel, Switzerland. This article is an open access article distributed under the terms and conditions of the Creative Commons Attribution (CC BY) license (https://creativecommons.org/licenses/by/4.0/).
Share and Cite
Grijincu, M.; Tănasie, G.; Zbîrcea, L.-E.; Buzan, M.-R.; Tamaș, T.-P.; Cotarcă, M.-D.; Huțu, I.; Babaev, E.; Stolz, F.; Dorofeeva, Y.; et al. Non-Specific Lipid Transfer Protein Amb a 6 Is a Source-Specific Important Allergenic Molecule in Ragweed Pollen. Int. J. Mol. Sci. 2024, 25, 6513. https://doi.org/10.3390/ijms25126513
Grijincu M, Tănasie G, Zbîrcea L-E, Buzan M-R, Tamaș T-P, Cotarcă M-D, Huțu I, Babaev E, Stolz F, Dorofeeva Y, et al. Non-Specific Lipid Transfer Protein Amb a 6 Is a Source-Specific Important Allergenic Molecule in Ragweed Pollen. International Journal of Molecular Sciences. 2024; 25(12):6513. https://doi.org/10.3390/ijms25126513
Chicago/Turabian StyleGrijincu, Manuela, Gabriela Tănasie, Lauriana-Eunice Zbîrcea, Maria-Roxana Buzan, Tudor-Paul Tamaș, Monica-Daniela Cotarcă, Ioan Huțu, Elijahu Babaev, Frank Stolz, Yulia Dorofeeva, and et al. 2024. "Non-Specific Lipid Transfer Protein Amb a 6 Is a Source-Specific Important Allergenic Molecule in Ragweed Pollen" International Journal of Molecular Sciences 25, no. 12: 6513. https://doi.org/10.3390/ijms25126513
APA StyleGrijincu, M., Tănasie, G., Zbîrcea, L.-E., Buzan, M.-R., Tamaș, T.-P., Cotarcă, M.-D., Huțu, I., Babaev, E., Stolz, F., Dorofeeva, Y., Valenta, R., Păunescu, V., Panaitescu, C., & Chen, K.-W. (2024). Non-Specific Lipid Transfer Protein Amb a 6 Is a Source-Specific Important Allergenic Molecule in Ragweed Pollen. International Journal of Molecular Sciences, 25(12), 6513. https://doi.org/10.3390/ijms25126513

