Evaluation of the Canonical Wnt Signaling Pathway in the Hearts of Hypertensive Rats of Various Etiologies
Abstract
1. Introduction
2. Results
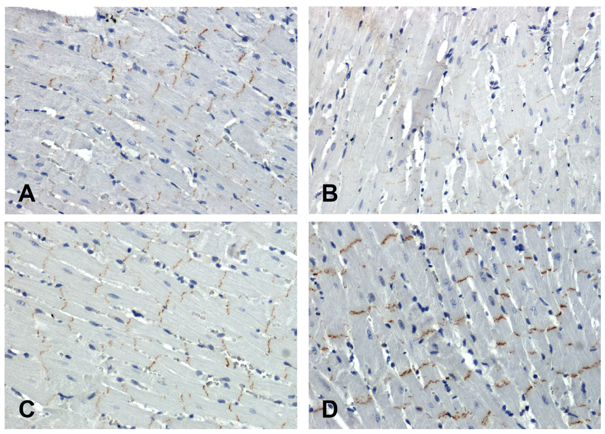
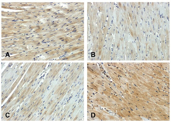
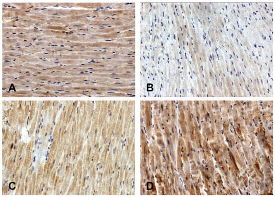
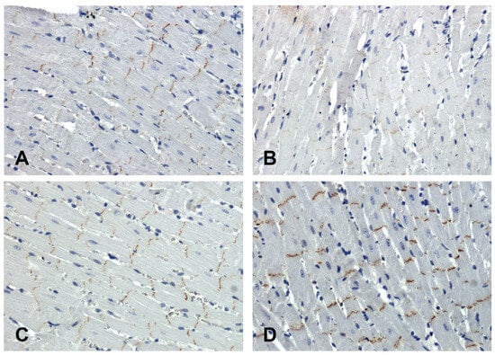
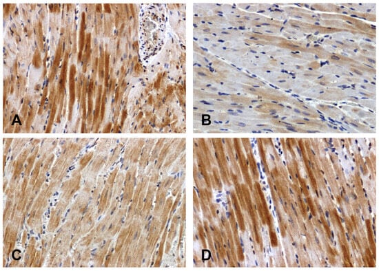
2.1. Immunohistochemistry
2.2. Real-Time PCR
3. Discussion
4. Materials and Methods
- SHRs—seven male rats with genetically determined systemic hypertension from an inbred strain established from Wistar rats selected for high blood pressure.
- WKY—five normotensive male Wistar Kyoto rats as a reference for the SHR group.
- DOCA–salt—seven male Wistar rats that underwent unilateral nephrectomies and were then rendered hypertensive using a salt-rich diet and Deoxycorticosterone Acetate (DOCA) injections.
- UNX—five normotensive male Wistar rats that were only uninephrectomized as a reference for the DOCA–salt-induced hypertensive rats.
4.1. DOCA–Salt Hypertension
4.2. Indirect Blood Pressure Measurement
4.3. Collection and Fixation of Material
4.4. Immunohistochemistry
4.5. Real-Time PCR
4.6. Measurement of the Intensity of the Immunohistochemical Reaction
4.7. Statistical Analysis
Author Contributions
Funding
Institutional Review Board Statement
Informed Consent Statement
Data Availability Statement
Conflicts of Interest
Abbreviations
References
- Oparil, S.; Acelajado, M.C.; Bakris, G.L.; Berlowitz, D.R.; Cífková, R.; Dominiczak, A.F.; Grassi, G.; Jordan, J.; Poulter, N.R.; Rodgers, A.; et al. Hypertension. Nat. Rev. Dis. Primers 2018, 4, 18014. [Google Scholar] [CrossRef] [PubMed]
- Iqbal, A.M.; Jamal, S.F. Essential Hypertension. In StatPearls; StatPearls Publishing: Treasure Island, FL, USA, 2023. [Google Scholar]
- Rossier, B.C.; Bochud, M.; Devuyst, O. The Hypertension Pandemic: An Evolutionary Perspective. Physiology 2017, 32, 112–125. [Google Scholar] [CrossRef] [PubMed]
- Charles, L.; Triscott, J.; Dobbs, B. Secondary Hypertension: Discovering the Underlying Cause. Am. Fam. Physician 2017, 96, 453–461. [Google Scholar] [PubMed]
- Kasacka, I.; Piotrowska, Z.; Lewandowska, A. Alterations of rat stomach endocrine cells under renovascular hypertension. Adv. Med. Sci. 2014, 59, 190–195. [Google Scholar] [CrossRef] [PubMed]
- Nadar, S.K.; Lip, G.Y.H. The heart in hypertension. J. Hum. Hypertens. 2021, 35, 383–386. [Google Scholar] [CrossRef] [PubMed]
- Messerli, F.H.; Rimoldi, S.F.; Bangalore, S. The Transition From Hypertension to Heart Failure: Contemporary Update. JACC Heart Fail. 2017, 5, 543–551. [Google Scholar] [CrossRef] [PubMed]
- Foulquier, S.; Daskalopoulos, E.P.; Lluri, G.; Hermans, K.C.M.; Deb, A.; Blankesteijn, W.M. WNT Signaling in Cardiac and Vascular Disease. Pharmacol. Rev. 2018, 70, 68–141. [Google Scholar] [CrossRef] [PubMed]
- Arnold, A.C.; Robertson, D. Defective Wnt Signaling: A Potential Contributor to Cardiometabolic Disease? Diabetes 2015, 64, 3342–3344. [Google Scholar] [CrossRef] [PubMed]
- Koziński, K.; Dobrzyń, A. Szlak sygnałowy Wnt i jego rola w regulacji metabolizmu komórki. Postepy Hig. Med. Dosw. 2013, 11, 67. [Google Scholar]
- Park, H.B.; Kim, J.W.; Baek, K.H. Regulation of Wnt Signaling through Ubiquitination and Deubiquitination in Cancers. Int. J. Mol. Sci. 2020, 21, 3904. [Google Scholar] [CrossRef]
- MacDonald, B.T.; Tamai, K.; He, X. Wnt/beta-catenin signaling: Components, mechanisms, and diseases. Dev. Cell 2009, 17, 9–26. [Google Scholar] [CrossRef]
- Młynarczyk, M.; Kasacka, I. The role of the Wnt/β-catenin pathway and the functioning of the heart in arterial hypertension—A review. Adv. Med. Sci. 2022, 67, 87–94. [Google Scholar] [CrossRef]
- Nusse, R.; Clevers, H. Wnt/β-Catenin Signaling, Disease, and Emerging Therapeutic Modalities. Cell 2017, 169, 985–999. [Google Scholar] [CrossRef]
- Gessert, S.; Kühl, M. The multiple phases and faces of wnt signaling during cardiac differentiation and development. Circ. Res. 2010, 107, 186–199. [Google Scholar] [CrossRef]
- Pahnke, A.; Conant, G.; Huyer, L.D.; Zhao, Y.; Feric, N.; Radisic, M. The role of Wnt regulation in heart development, cardiac repair and disease: A tissue engineering perspective. Biochem. Biophys. Res. Commun. 2016, 473, 698–703. [Google Scholar] [CrossRef]
- Fu, W.B.; Wang, W.E.; Zeng, C.Y. Wnt signaling pathways in myocardial infarction and the therapeutic effects of Wnt pathway inhibitors. Acta Pharmacol. Sin. 2019, 40, 9–12. [Google Scholar] [CrossRef]
- Ruiz-Villalba, A.; Hoppler, S.; Van den Hoff, M.J. Wnt signaling in the heart fields: Variations on a common theme. Dev. Dyn. 2016, 245, 294–306. [Google Scholar] [CrossRef]
- Ozhan, G.; Weidinger, G. Wnt/β-catenin signaling in heart regeneration. Cell Regen. 2015, 4, 3. [Google Scholar] [CrossRef]
- Umbarkar, P.; Ejantkar, S.; Tousif, S.; Lal, H. Mechanisms of Fibroblast Activation and Myocardial Fibrosis: Lessons Learned from FB-Specific Conditional Mouse Models. Cells 2021, 10, 2412. [Google Scholar] [CrossRef] [PubMed]
- Zheng, X.; Gao, Q.; Liang, S.; Zhu, G.; Wang, D.; Feng, Y. Cardioprotective Properties of Ginkgo Biloba Extract 80 via the Activation of AKT/GSK3β/β-Catenin Signaling Pathway. Front. Mol. Biosci. 2021, 8, 771208. [Google Scholar] [CrossRef]
- Kasacka, I.; Piotrowska, Ż.; Niezgoda, M.; Lewandowska, A.; Łebkowski, W. Ageing-related changes in the levels of β-catenin, CacyBP/SIP, galectin-3 and immunoproteasome subunit LMP7 in the heart of men. PLoS ONE 2020, 15, e0229462. [Google Scholar] [CrossRef]
- Lee, C.Y.; Kuo, W.W.; Baskaran, R.; Day, C.H.; Pai, P.Y.; Lai, C.H.; Chen, Y.-F.; Chen, R.-J.; Padma, V.V.; Huang, C.Y. Increased β-catenin accumulation and nuclear translocation are associated with concentric hypertrophy in cardiomyocytes. Cardiovasc. Pathol. 2017, 31, 9–16. [Google Scholar] [CrossRef]
- Marinou, K.; Christodoulides, C.; Antoniades, C.; Koutsilieris, M. Wnt signaling in cardiovascular physiology. Trends Endocrinol. Metab. 2012, 23, 628–636. [Google Scholar] [CrossRef]
- Duan, J.; Gherghe, C.; Liu, D.; Hamlett, E.; Srikantha, L.; Rodgers, L.; Regan, J.N.; Rojas, M.; Willis, M.; Leask, A.; et al. Wnt1/βcatenin injury response activates the epicardium and cardiac fibroblasts to promote cardiac repair. EMBO J. 2012, 31, 429–442. [Google Scholar] [CrossRef]
- Zhou, L.; Li, Y.; Hao, S.; Zhou, D.; Tan, R.J.; Nie, J.; Hou, F.F.; Kahn, M.; Liu, Y. Multiple genes of the renin-angiotensin system are novel targets of Wnt/β-catenin signaling. J. Am. Soc. Nephrol. 2015, 26, 107–120. [Google Scholar] [CrossRef]
- Fountain, J.H.; Kaur, J.; Lappin, S.L. Physiology, Renin Angiotensin System. In StatPearls [Internet]; StatPearls Publishing: Treasure Island, FL, USA, 2023. [Google Scholar]
- Xiao, L.; Xu, B.; Zhou, L.; Tan, R.J.; Zhou, D.; Fu, H.; Li, A.; Hou, F.F.; Liu, Y. Wnt/β-catenin regulates blood pressure and kidney injury in rats. Biochim. Biophys. Acta Mol. Basis Dis. 2019, 1865, 1313–1322. [Google Scholar] [CrossRef]
- Clozel, J.P.; Müller, R.K.; Roux, S.; Fischli, W.; Baumgartner, H.R. Influence of the status of the renin-angiotensin system on the effect of cilazapril on neointima formation after vascular injury in rats. Circulation 1993, 88, 1222–1227. [Google Scholar] [CrossRef]
- Zheng, Q.; Chen, P.; Xu, Z.; Li, F.; Yi, X.P. Expression and redistribution of β-catenin in the cardiac myocytes of left ventricle of spontaneously hypertensive rat. J. Mol. Histol. 2013, 44, 565–573. [Google Scholar] [CrossRef]
- Wang, X.; Gerdes, A.M. Chronic pressure overload cardiac hypertrophy and failure in guinea pigs: III. Intercalated disc remodeling. J. Mol. Cell. Cardiol. 1999, 31, 333–343. [Google Scholar] [CrossRef]
- Yoshida, M.; Ohkusa, T.; Nakashima, T.; Takanari, H.; Yano, M.; Takemura, G.; Honjo, H.; Kodama, I.; Mizukami, Y.; Matsuzaki, M. Alterations in adhesion junction precede gap junction remodelling during the development of heart failure in cardiomyopathic hamsters. Cardiovasc. Res. 2011, 92, 95–105. [Google Scholar] [CrossRef]
- Hirschy, A.; Croquelois, A.; Perriard, E.; Schoenauer, R.; Agarkova, I.; Hoerstrup, S.P.; Taketo, M.M.; Pedrazzini, T.; Perriard, J.-C.; Ehler, E. Stabilised beta-catenin in postnatal ventricular myocardium leads to dilated cardiomyopathy and premature death. Basic. Res. Cardiol. 2010, 105, 597–608. [Google Scholar] [CrossRef]
- Zelarayán, L.C.; Noack, C.; Sekkali, B.; Kmecova, J.; Gehrke, C.; Renger, A.; Zafiriou, M.-P.; van der Nagel, R.; Dietz, R.; De Windt, L.J.; et al. Beta-Catenin down-regulation attenuates ischemic cardiac remodeling through enhanced resident precursor cell differentiation. Proc. Natl. Acad. Sci. USA 2008, 105, 19762–19767. [Google Scholar] [CrossRef]
- Xiang, F.L.; Fang, M.; Yutzey, K.E. Loss of β-catenin in resident cardiac fibroblasts attenuates fibrosis induced by pressure overload in mice. Nat. Commun. 2017, 8, 712. [Google Scholar] [CrossRef]
- Stubenvoll, A.; Rice, M.; Wietelmann, A.; Wheeler, M.; Braun, T. Attenuation of Wnt/β-catenin activity reverses enhanced generation of cardiomyocytes and cardiac defects caused by the loss of emerin. Hum. Mol. Genet. 2015, 24, 802–813. [Google Scholar] [CrossRef]
- Zhao, Y.; Wang, C.; Wang, C.; Hong, X.; Miao, J.; Liao, Y. An essential role for Wnt/β-catenin signaling in mediating hypertensive heart disease. Sci. Rep. 2018, 8, 8996. [Google Scholar] [CrossRef]
- Kasacka, I.; Piotrowska, Ż.; Weresa, J.; Filipek, A. Comparative evaluation of CacyBP/SIP protein, β-catenin, and immunoproteasome subunit LMP7 in the heart of rats with hypertension of different etiology. Exp. Biol. Med. 2018, 243, 1199–1206. [Google Scholar] [CrossRef]





| Groups of Rats | Intensity of Immunohistochemical Reaction in Heart Scale from 0 (White Pixel) to 255 (Black Pixel) | |||
|---|---|---|---|---|
| Fzd8 | WNT1 | GSK-3β | β-Catenin | |
| WKY | 143.2 ± 4.12 | 157.72 ± 5.99 | 93.67 ± 1.87 | 157.27 ± 1.98 |
| SHRs | 64.52 ± 8.37 *↓ | 72.79 ± 7.35 *↓ | 67.82 ± 2.97 ↓ | 86.29 ± 4.63 *↓ |
| UNX | 110.67 ± 4.51 | 116.84 ± 2.61 | 75.08 ± 5.23 | 162.88 ± 1.75 |
| DOCA–salt | 174.67 ± 5.58 *↑ | 168.09 ± 6.97 *↑ | 136.65 ± 6.45 *↑ | 183.67 ± 1.57 *↑ |
Disclaimer/Publisher’s Note: The statements, opinions and data contained in all publications are solely those of the individual author(s) and contributor(s) and not of MDPI and/or the editor(s). MDPI and/or the editor(s) disclaim responsibility for any injury to people or property resulting from any ideas, methods, instructions or products referred to in the content. |
© 2024 by the authors. Licensee MDPI, Basel, Switzerland. This article is an open access article distributed under the terms and conditions of the Creative Commons Attribution (CC BY) license (https://creativecommons.org/licenses/by/4.0/).
Share and Cite
Młynarczyk, M.A.; Domian, N.; Kasacka, I. Evaluation of the Canonical Wnt Signaling Pathway in the Hearts of Hypertensive Rats of Various Etiologies. Int. J. Mol. Sci. 2024, 25, 6428. https://doi.org/10.3390/ijms25126428
Młynarczyk MA, Domian N, Kasacka I. Evaluation of the Canonical Wnt Signaling Pathway in the Hearts of Hypertensive Rats of Various Etiologies. International Journal of Molecular Sciences. 2024; 25(12):6428. https://doi.org/10.3390/ijms25126428
Chicago/Turabian StyleMłynarczyk, Maryla Anna, Natalia Domian, and Irena Kasacka. 2024. "Evaluation of the Canonical Wnt Signaling Pathway in the Hearts of Hypertensive Rats of Various Etiologies" International Journal of Molecular Sciences 25, no. 12: 6428. https://doi.org/10.3390/ijms25126428
APA StyleMłynarczyk, M. A., Domian, N., & Kasacka, I. (2024). Evaluation of the Canonical Wnt Signaling Pathway in the Hearts of Hypertensive Rats of Various Etiologies. International Journal of Molecular Sciences, 25(12), 6428. https://doi.org/10.3390/ijms25126428

