Phenotypic and Genotypic Features of the FAN1 Mutation-Related Disease in a Large Hungarian Family
Abstract
1. Introduction
2. Results
2.1. Clinical Findings in FAN1-Related Disease (Table 1)
| Patient | A | B | C | D | E |
|---|---|---|---|---|---|
| Gender and age (y) at year of admission | M, 40 (2008) | F, 39 (2015) | M, 47 (2003) | M, 42 (1999) | M, 44 (2003) |
| eGFR (mL/min/1.73 m2) | 15 | 20 | 10 | 9 | 9 |
| Urinalysis | HU+, PU+, GU+ | HU neg, PU+, GU+ | HU++, PU++, GU++ | Data n.a. | Data n.a. |
| Kidney size on US (cm, right–left) | 7.8–8.5 | 7.5–7.5 | 6.7–6.9 | 5.4–5.4 | 7.5–7.4 |
| Hemoglobin (g/L) | 104 | 105 | 130 | 95 | 109 |
| AST/ALT/GGT (U/L) | 26/34/112 | 48/72/816 | 37/32/419 | 70/106/665 | 51/79/538 |
| Total bilirubin (µmol/L) | 8.1/- | 7.4/norm | 12.6/norm | 8.2/norm | 10.6/norm |
| ALP (U/L) | 167 | 480 | 565 | 2005 | 851 |
| Serum total protein (g/L)/albumin (g/L) | 77/50 | 75/44 | 78/43 | 77/47 | 70/43 |
| HAV/HBsAg/HCV serology | Negative | Negative | Negative | Negative | Negative |
| Large bile ducts on US | Normal | Normal | Normal | Normal | Normal |
| Year to ESRD | 1.5 | 0.5 | 0 | 0 | 0 |
| Renal replacement therapy | Tx (2010) | PD, HD, PD | HD | HD | HD, Tx (2008), HD |
| HLA status | A2, B39, DR12, DQ6 | Not evaluated | Not evaluated | Not evaluated | A2, B51, Cw2 DR15, DQ5 |
| Years with ESRD | 8 | 5 | 9 | 4 | 11 |
| Liver biopsy | Not performed | Not performed | Hemosiderosis (2005) | Not performed | Hemosiderosis (2009) |
| High blood pressure | Yes | No | No | Yes | Yes |
| Type 2 diabetes | No | No | No | Yes | No |
| Cause of death | Pulmonary aspergillosis (2017) | Sepsis (2020) | Cardiorespiratory insufficiency (2012) | Passed at home (2003) | Sepsis (2014) |
| Karyomegaly | End-stage kidney, lung, pancreas, leptomeninx | End-stage kidney, pancreas, portal tracts, soft tissues, heart | End-stage kidney, lung | Not autopsied | End-stage kidney, lung, pericardium, peripheral nerve |
| Liver | Passive hyperemia | Passive hyperemia, centrilobular fibrosis focally | Passive hyperemia, focal centrilobular necrosis (terminal) | - | Passive hyperemia |
| Transplanted kidney | No signs of rejection; no karyomegaly | - | - | - | Signs of chronic rejection; acute pyelonephritis; no karyomegaly |
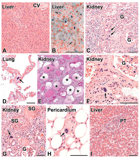
2.2. The Autopsy Diagnosis of KIN and Systemic Karyomegaly
2.3. Results of Genotyping in Patients with KIN and Systemic Karyomegaly and the Pedigree Chart of the Family
3. Discussion
3.1. Overview of the Clinical Presentation, Morphological and Genetic Characteristics of FAN1 Mutation-Related Disorder
3.2. Results of Genotyping of the FAN1 Gene in Our Patients
3.3. The Conventional Clinical Manifestations of FAN1-Related Disorder in Our Patients
3.4. The Unconventional Clinical Manifestations of FAN1-Related Disorder in Our Patients
4. Materials and Methods
4.1. Evaluation of Liver Biopsy and Autopsy Tissue Samples
4.2. Genetic Analysis
5. Conclusions
Author Contributions
Funding
Institutional Review Board Statement
Informed Consent Statement
Data Availability Statement
Acknowledgments
Conflicts of Interest
References
- Zhou, W.; Otto, E.A.; Cluckey, A.; Airik, R.; Hurd, T.W.; Chaki, M.; Diaz, K.; Lach, F.P.; Bennett, G.R.; Gee, H.Y.; et al. FAN1 mutations cause karyomegalic interstitial nephritis, linking chronic kidney failure to defective DNA damage repair. Nat. Genet. 2012, 44, 910–915. [Google Scholar] [CrossRef] [PubMed]
- Bhandari, S.; Kalowski, S.; Collett, P.; Cooke, B.E.; Kerr, P.; Newland, R.; Dowling, J.; Horvath, J. Karyomegalic nephropathy: Un uncommon cause of progressive renal failure. Nephrol. Dial. Transplant. 2002, 17, 1914–1920. [Google Scholar] [CrossRef] [PubMed]
- Murray, S.L.; Connaughton, D.M.; Fenelly, N.K.; Kay, E.W.; Dorman, A.; Doyle, B.; Conlon, P.J. Karyomegalic interstitial nephritis: Cancer risk following transplantation. Nephron 2020, 144, 49–54. [Google Scholar] [CrossRef] [PubMed]
- Dash, J.; Saudan, P.; Paolini-Giacobino, A.; Moll, S.; de Seigneux, S. Case report: A 58-year-old man with small kidneys and elevated liver enzymes. BMC Nephrol. 2020, 21, 107. [Google Scholar] [CrossRef] [PubMed]
- Mihatsch, M.J.; Gudat, F.; Zollinger, H.U.; Heierli, C.; Thölen, H.; Reutter, F.W. Systemic karyomegaly associated with chronic interstitial nephritis. A new disease entity? Clin. Nephrol. 1979, 12, 54–62. [Google Scholar] [PubMed]
- Burry, A.F. Extreme dysplasia in renal epithelium of a young woman dying from hepatocarcinoma. J. Path. 1974, 113, 147–150. [Google Scholar] [CrossRef] [PubMed]
- Sclare, G. A case of unexplained karyomegaly. Beitr. Path. Bd. 1976, 157, 301–306. [Google Scholar] [CrossRef] [PubMed]
- Moch, H.; Spöndlin, M.; Schmassmann, A.; Mihatsch, M.J. Systemische Karyomegalie mit chronischer interstitieller nephritis. Pathologe 1994, 15, 44–48. [Google Scholar] [CrossRef]
- Spoendlin, M.; Moch, H.; Brunner, F.; Brunner, W.; Burger, H.R.; Kiss, D.; Wegmann, W.; Dalquen, P.; Oberholzer, M.; Thiel, G.; et al. Karyomegalic interstitial nephritis: Further support for a distinct entity and evidence for a genetic defect. Am. J. Kidney Dis. 1995, 25, 242–252. [Google Scholar] [CrossRef]
- Godin, M.; Francois, A.; Le Roy, F.; Morin, J.-P.; Creppy, E.; Hemet, J.; Fillastre, J.-P. Karyomegalic interstitial nephritis. Letter to the Editor. Am. J. Kidney Dis. 1996, 27, 166. [Google Scholar] [CrossRef]
- Vadiaka, M.; Sotsiou, F.; Koufos, C. A case of systemic karyomegaly with interstitial nephritis. Ann. Med. Interne. 1998, 149, 291–294. [Google Scholar]
- Hassen, W.; Abid-Essafi, S.; Achour, A.; Guezzah, N.; Zakhama, A.; Ellouz, F.; Creppy, E.E.; Bacha, H. Karyomegaly of tubular kidney cells in human chronic interstitial nephropathy in Tunisia: Respective role of Ochratoxin A and possible genetic predisposition. Hum. Exp. Toxicol. 2004, 23, 339–346. [Google Scholar] [CrossRef]
- Rossini, M.; Coventry, S.; Duff, D.R.; Fogo, A.B. Chronic renal failure and abnormal tubular cells in 2 siblings. Am. J. Kidney Dis. 2005, 46, 982–987. [Google Scholar] [CrossRef]
- Baba, F.; Nanovic, L.; Jaffery, J.B.; Friedl, A. Karyomegalic tubulointerstitial nephritis—A case report. Path. Res. Pract. 2006, 202, 555–559. [Google Scholar] [CrossRef]
- Monga, G.; Banfi, G.; Salvadore, M.; Amatruda, O.; Bozzola, C.; Mazzucco, G. Karyomegalic interstitial nephritis: Report of 3 new cases and review of the literature. Clin. Nephrol. 2006, 65, 349–355. [Google Scholar] [CrossRef]
- Tagliente, D.J.; Voss CT, J.S.; Peters, S.G.; Aubry, M.C.; Cornell, L.D.; Maleszewski, J.J. Systemic karyomegaly with primary pulmonary hypertension. Hum. Pathol. 2014, 45, 180–184. [Google Scholar] [CrossRef]
- Isnard, P.; Rabant, M.; Labaye, J.; Antignac, C.; Knebelmann, B.; Zaidan, M. Karyomegalic interstitial nephritis. A case report and review of the literature. Medicine 2016, 95, e3349. [Google Scholar] [CrossRef]
- Rejeb, I.; Jerbi, M.; Jilani, H.; Gaied, H.; Elaribi, Y.; Hizem, S.; Aoudia, R.; Hedri, H.; Zaied, C.; Abid, S.; et al. New famililal cases of karyomegalic interstitial nephritis with mutations in the FAN1 gene. BMC Med. Genom. 2021, 14, 160. [Google Scholar] [CrossRef]
- Stiborová, M.; Arit, V.M.; Schmeiser, H.H. Balkan endemic nephropathy: An update on its etiology. Arch. Toxicol. 2016, 90, 2595–2615. [Google Scholar] [CrossRef]
- Ravindran, A.; Cortese, C.; Larsen, C.P.; Wadel, H.M.; Gandhi, M.J.; Cosio, F.G.; Sethi, S. Karyomegalic interstitial nephritis in a renal allograft. Am. J. Transplant. 2019, 19, 285–290. [Google Scholar] [CrossRef]
- Palmer, D.; Lallu, S.; Matheson, P.; Bethwaite, P.; Tompson, K. Karyomegalic interstitial nephritis: A pitfall in urine cytology. Diagn. Cytopathol. 2007, 35, 179–182. [Google Scholar] [CrossRef]
- FAN1. Available online: https://www.ncbi.nlm.nih.gov (accessed on 22 April 2024).
- Airik, R.; Schueler, M.; Airik, M.; Cho, J.; Porath, J.D.; Mukherjee, E.; Sims-Lucas, S.; Hildebrandt, F. A FANCD2/FANCl-associated nuclease 1-knockout model develops karyomegalic interstitial nephritis. J. Am. Soc. Nephrol. 2016, 27, 3552–3559. [Google Scholar] [CrossRef]
- 24 Airik, M.; Phua, Y.L.; Huynh, A.B.; McCourt, B.T.; Rush, B.M.; Tan, R.J.; Vockley, J.; Murray, S.L.; Dorman, A.; Conlon, P.J.; et al. Persistent DNA damage underlies tubular cell polyploidization and progression to chronic kidney disease in kidneys deficient in the DNA repair protein FAN1. Kidney Int. 2022, 102, 1042–1056. [Google Scholar] [CrossRef]
- Airik, M.; Arbore, H.; Childs, E.; Huynh, A.B.; Phua, Y.L.; Chen, C.W.; Aird, K.; Bharathi, S.; Zhang, B.; Conlon, P.; et al. Mitochondrial ROS triggers KIN pathogenesis in FAN1-deficient kidneys. Antioxidants 2023, 12, 900. [Google Scholar] [CrossRef]
- Do, H.; Dobrovic, A. Sequence artifacts in DNA from formalin-fixed tissues: Causes and strategies for minimization. Clin. Chem. 2015, 61, 64–71. [Google Scholar] [CrossRef]
- El-Husseiny Moustafa, F.; Nagy, E.; Mahmoud Elwasif, S.; Sobh, M. Karyomegalic interstitial nephritis as a rare cause of kidney allograft dysfunction: Case report and review of literature. BMC Nephrol. 2023, 24, 137. [Google Scholar] [CrossRef]
- Sivakumar, M.; Gaspar, B.L.; Narasimhan, B. Karyomegalic interstitial nephritis: Diagnosed only when suspected. Surg. Exp. Pathol. 2021, 4, 8. [Google Scholar] [CrossRef]
- Gueguen, L.; Delaval, R.; Blanluet, M.; Sartelet, H.; Leou, S.; Dubois d’Enghien, C.; Golmard, L.; Stoppa-Lyonnet, D.; Testevuide, P.; Faguer, S. Recurrent FAN1 pW707X pathogenic variant originating before AD 1800 underlies high frequency of karyomegalic interstitial nephritis in South Pacific Islands. Kidney Int. Rep. 2021, 6, 2207. [Google Scholar] [CrossRef]



| Patient | A | B | C | D | E |
|---|---|---|---|---|---|
| Stature | Normal | Short | Short | Short | Short |
| Emaciation (BMI, kg/m2) | No (27.0) | Yes (19.1) | Yes (19.2) | Yes (20.6) | Yes (20.0) |
| Skin color | White | Café au lait | Café au lait | Café au lait | Café au lait |
| Hair color | Blonde | Brown | Brown | Brown | Brown |
| Facial freckles | No | Yes | Yes | Yes | Yes |
| Nose | Nothing special | Hawk-like | Hawk-like | Hawk-like | Hawk-like |
| Mental capacity | Average | Below average | Illiterate | Just average | Just average |
| ESRD | Yes | Yes | Yes | Yes | Yes |
| Elevated liver enzymes | Yes | Yes | Yes | Yes | Yes |
| Chronic lung disease | No | Emphysema | Lung fibrosis | No | No |
| Recurrent URTI | No | No | No | No | No |
| Malignancy | No | No | No | No | No |
| KIN/systemic KM | Yes | Yes | Yes | Autopsy not performed | Yes |
| FAN1 status | Homozygous | Homozygous | Heterozygous | Not available | Homozygous |
Disclaimer/Publisher’s Note: The statements, opinions and data contained in all publications are solely those of the individual author(s) and contributor(s) and not of MDPI and/or the editor(s). MDPI and/or the editor(s) disclaim responsibility for any injury to people or property resulting from any ideas, methods, instructions or products referred to in the content. |
© 2024 by the authors. Licensee MDPI, Basel, Switzerland. This article is an open access article distributed under the terms and conditions of the Creative Commons Attribution (CC BY) license (https://creativecommons.org/licenses/by/4.0/).
Share and Cite
Császár, I.; Kalmár, T.; Maróti, Z.; Ávéd, J.; Szederkényi, E.; Zombori, J.; Pankotai-Bodó, G.; Turkevi-Nagy, S.; Iványi, B. Phenotypic and Genotypic Features of the FAN1 Mutation-Related Disease in a Large Hungarian Family. Int. J. Mol. Sci. 2024, 25, 5907. https://doi.org/10.3390/ijms25115907
Császár I, Kalmár T, Maróti Z, Ávéd J, Szederkényi E, Zombori J, Pankotai-Bodó G, Turkevi-Nagy S, Iványi B. Phenotypic and Genotypic Features of the FAN1 Mutation-Related Disease in a Large Hungarian Family. International Journal of Molecular Sciences. 2024; 25(11):5907. https://doi.org/10.3390/ijms25115907
Chicago/Turabian StyleCsászár, Ildikó, Tibor Kalmár, Zoltán Maróti, János Ávéd, Edit Szederkényi, János Zombori, Gabriella Pankotai-Bodó, Sándor Turkevi-Nagy, and Béla Iványi. 2024. "Phenotypic and Genotypic Features of the FAN1 Mutation-Related Disease in a Large Hungarian Family" International Journal of Molecular Sciences 25, no. 11: 5907. https://doi.org/10.3390/ijms25115907
APA StyleCsászár, I., Kalmár, T., Maróti, Z., Ávéd, J., Szederkényi, E., Zombori, J., Pankotai-Bodó, G., Turkevi-Nagy, S., & Iványi, B. (2024). Phenotypic and Genotypic Features of the FAN1 Mutation-Related Disease in a Large Hungarian Family. International Journal of Molecular Sciences, 25(11), 5907. https://doi.org/10.3390/ijms25115907

