Ethyl Pyruvate Decreases Collagen Synthesis and Upregulates MMP Activity in Keloid Fibroblasts and Keloid Spheroids
Abstract
1. Introduction
2. Results
2.1. Ethyl Pyruvate Reduces Translocation of Nuclear HMGB1
2.2. Ethyl Pyruvate Reduces Proliferation of TGF-β1 Induced HDFs and KFs
2.3. Effect of Ethyl Pyruvate on mRNA Expression of Collagen I and Collagen III in HDFs and KFs
2.4. Ethyl Pyruvate Suppressed the Collagen Type I, Collagen Type III, TGF-β1, and pSmad2/3 Complex in KFs
2.5. Treatment of Ethyl Pyruvate Affects MMP-1 and MMP-3 mRNA Expression in HDFs and KFs
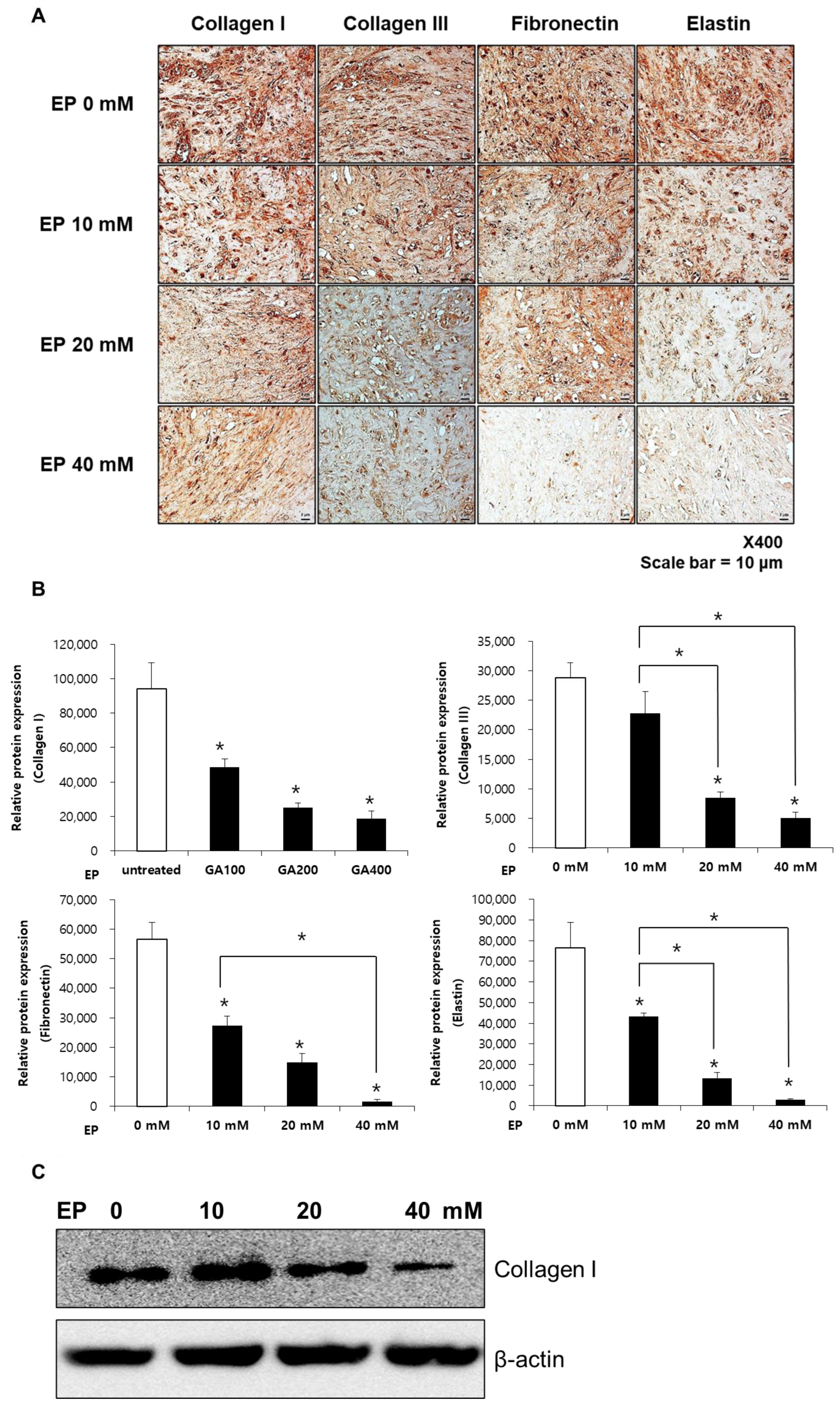
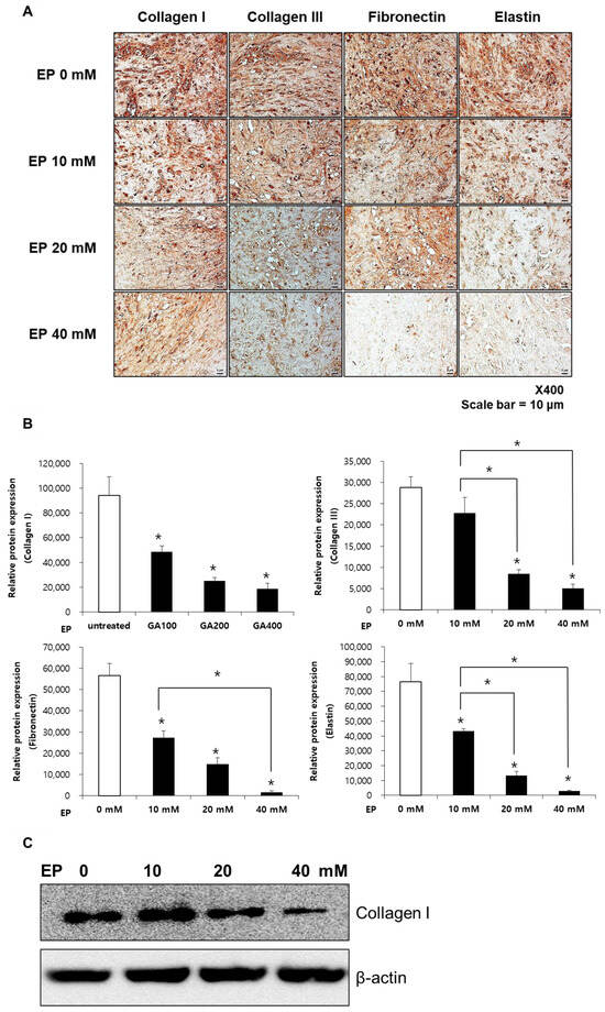
2.6. Ethyl Pyruvate Suppresses Collagen I and III, Fibronectin, and Elastin in Keloid Spheroids
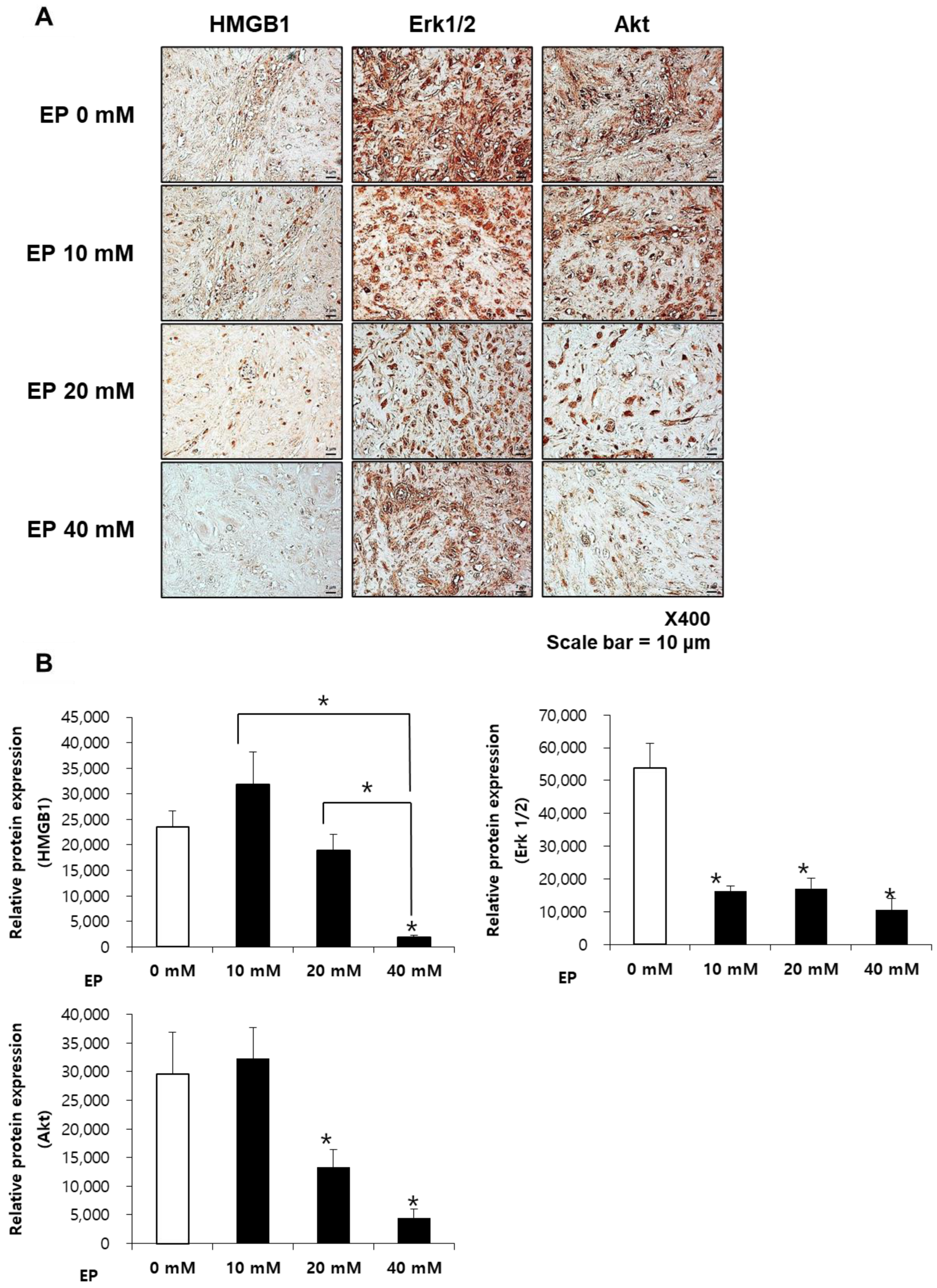
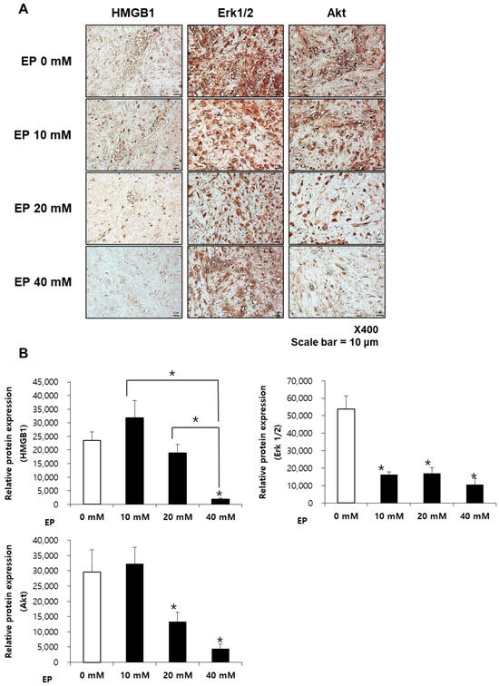
2.7. Ethyl Pyruvate Suppresses HMGB1, ERK1/2, and AKT Expression in Keloid Spheroids
3. Discussion
4. Materials and Methods
4.1. Preparation of Cells
4.2. Preparation of Keloid Spheroids
4.3. Methyl Thiazolyl-Diphenyl-Tetrazolium Bromide (MTT) Assay
4.4. Western Blotting Analysis for Collagen Markers and Profibrotic Markers
4.5. Enzyme-Linked Immunosorbent Assay (ELISA)
4.6. Quantitative Real-Time Polymerase Chain Reaction (qPCR)
4.7. Histology and Immunohistochemistry (IHC) of Keloid Spheroids
4.8. Statistical Analysis
5. Conclusions
Author Contributions
Funding
Institutional Review Board Statement
Informed Consent Statement
Data Availability Statement
Conflicts of Interest
References
- Abergel, R.P.; Pizzurro, D.; Meeker, C.A.; Lask, G.; Matsuoka, L.Y.; Minor, R.R.; Chu, M.-L.; Uitto, J. Biochemical composition of the connective tissue in keloids and analysis of collagen metabolism in keloid fibroblast cultures. J. Investig. Dermatol. 1985, 84, 384–390. [Google Scholar] [CrossRef]
- Yun, I.S.; Lee, M.H.; Rah, D.K.; Lew, D.H.; Park, J.-C.; Lee, W.J. Heat shock protein 90 inhibitor (17-AAG) induces apoptosis and decreases cell migration/motility of keloid fibroblasts. Plast. Reconstr. Surg. 2015, 136, 44e–53e. [Google Scholar] [CrossRef]
- Shin, J.U.; Lee, W.J.; Tran, T.-N.; Jung, I.; Lee, J.H. Hsp70 knockdown by siRNA decreased collagen production in keloid fibroblasts. Yonsei Med. J. 2015, 56, 1619–1626. [Google Scholar] [CrossRef]
- Lee, J.H.; Shin, J.U.; Jung, I.; Lee, H.; Rah, D.K.; Jung, J.Y.; Lee, W.J. Proteomic profiling reveals upregulated protein expression of hsp70 in keloids. BioMed Res. Int. 2013, 2013, 621538. [Google Scholar] [CrossRef]
- Al-Attar, A.; Mess, S.; Thomassen, J.M.; Kauffman, C.L.; Davison, S.P. Keloid pathogenesis and treatment. Plast. Reconstr. Surg. 2006, 117, 286–300. [Google Scholar] [CrossRef]
- Bran, G.M.; Goessler, U.R.; Hormann, K.; Riedel, F.; Sadick, H. Keloids: Current concepts of pathogenesis (review). Int. J. Mol. Med. 2009, 24, 283–293. [Google Scholar] [CrossRef]
- Robles, D.T.; Moore, E.; Draznin, M.; Berg, D. Keloids: Pathophysiology and management. Dermatol. Online J. 2007, 13, 9. [Google Scholar] [CrossRef]
- Russell, S.B.; Trupin, K.M.; Rodríguez-Eaton, S.; Russell, J.D.; Trupin, J.S. Reduced growth-factor requirement of keloid-derived fibroblasts may account for tumor growth. Proc. Natl. Acad. Sci. USA 1988, 85, 587–591. [Google Scholar] [CrossRef]
- Harper, R.A. Keloid fibroblasts in culture: Abnormal growth behaviour and altered response to the epidermal growth factor. Cell Biol. Int. Rep. 1989, 13, 325–335. [Google Scholar] [CrossRef] [PubMed]
- Tuan, T.-L.; Nichter, L.S. The molecular basis of keloid and hypertrophic scar formation. Mol. Med. Today 1998, 4, 19–24. [Google Scholar] [CrossRef] [PubMed]
- Yang, R.; Zhu, S.; Tonnessen, T.I. Ethyl pyruvate is a novel anti-inflammatory agent to treat multiple inflammatory organ injuries. J. Inflamm. 2016, 13, 37. [Google Scholar] [CrossRef] [PubMed]
- Liu, M.; Wang, M.; Liu, J.; Luo, Z.; Shi, L.; Feng, Y.; Li, L.; Xu, L.; Wan, J. Impact of ethyl pyruvate on Adriamycin-induced cardiomyopathy in rats. Exp. Ther. Med. 2016, 12, 3201–3208. [Google Scholar] [CrossRef] [PubMed]
- Zhang, M.; Hu, X.; Li, S.; Lu, C.; Li, J.; Zong, Y.; Qi, W.; Yang, H. Hepatoprotective effects of ethyl pyruvate against CCl4-induced hepatic fibrosis via inhibition of TLR4/NF-κB signaling and up-regulation of MMPs/TIMPs ratio. Clin. Res. Hepatol. Gastroenterol. 2018, 42, 72–81. [Google Scholar] [CrossRef] [PubMed]
- Hamada, N.; Maeyama, T.; Kawaguchi, T.; Yoshimi, M.; Fukumoto, J.; Yamada, M.; Yamada, S.; Kuwano, K.; Nakanishi, Y. The role of high mobility group box1 in pulmonary fibrosis. Am. J. Respir. Cell Mol. Biol. 2008, 39, 440–447. [Google Scholar] [CrossRef] [PubMed]
- Ogawa, R. Keloid and Hypertrophic Scars Are the Result of Chronic Inflammation in the Reticular Dermis. Int. J. Mol. Sci. 2017, 18, 606. [Google Scholar] [CrossRef] [PubMed]
- Lee, W.J.; Song, S.Y.; Roh, H.; Ahn, H.M.; Na, Y.; Kim, J.; Lee, J.H.; Yun, C.O. Profibrogenic effect of high-mobility group box protein-1 in human dermal fibroblasts and its excess in keloid tissues. Sci. Rep. 2018, 8, 8434. [Google Scholar] [CrossRef] [PubMed]
- Kang, R.; Chen, R.; Zhang, Q.; Hou, W.; Wu, S.; Cao, L.; Huang, J.; Yu, Y.; Fan, X.-G.; Yan, Z. HMGB1 in health and disease. Mol. Asp. Med. 2014, 40, 1–116. [Google Scholar]
- Tang, D.; Loze, M.T.; Zeh, I.; Herbert, J.; Kang, R. The redox protein HMGB1 regulates cell death and survival in cancer treatment. Autophagy 2010, 6, 1181–1183. [Google Scholar] [CrossRef] [PubMed]
- Livesey, K.M.; Kang, R.; Vernon, P.; Buchser, W.; Loughran, P.; Watkins, S.C.; Zhang, L.; Manfredi, J.J.; Zeh, H.J.; Li, L. p53/HMGB1 complexes regulate autophagy and apoptosis. Cancer Res. 2012, 72, 1996–2005. [Google Scholar] [CrossRef]
- Li, L.C.; Gao, J.; Li, J. Emerging role of HMGB 1 in fibrotic diseases. J. Cell. Mol. Med. 2014, 18, 2331–2339. [Google Scholar] [CrossRef]
- Gnanasekar, M.; Kalyanasundaram, R.; Zheng, G.; Chen, A.; Bosland, M.C.; Kajdacsy-Balla, A. HMGB1: A promising therapeutic target for prostate cancer. Prostate Cancer 2013, 2013, 157103. [Google Scholar] [CrossRef] [PubMed]
- Lee, W.J.; Ahn, H.M.; Na, Y.; Wadhwa, R.; Hong, J.; Yun, C.O. Mortalin deficiency suppresses fibrosis and induces apoptosis in keloid spheroids. Sci. Rep. 2017, 7, 12957. [Google Scholar] [CrossRef] [PubMed]
- Jeon, Y.R.; Roh, H.; Jung, J.H.; Ahn, H.M.; Lee, J.H.; Yun, C.O.; Lee, W.J. Antifibrotic Effects of High-Mobility Group Box 1 Protein Inhibitor (Glycyrrhizin) on Keloid Fibroblasts and Keloid Spheroids through Reduction of Autophagy and Induction of Apoptosis. Int. J. Mol. Sci. 2019, 20, 4134. [Google Scholar] [CrossRef] [PubMed]
- Liang, X.; Shen, Y.; Zhang, X.; He, G.; Tan, G. Ethyl pyruvate ameliorate inflammatory response of sinonasal mucosa by inhibiting HMGB1 in rats with acute rhinosinusitis. Sci. Rep. 2021, 11, 6206. [Google Scholar] [CrossRef] [PubMed]
- Olcum, M.; Tufekci, K.U.; Durur, D.Y.; Tastan, B.; Gokbayrak, I.N.; Genc, K.; Genc, S. Ethyl Pyruvate Attenuates Microglial NLRP3 Inflammasome Activation via Inhibition of HMGB1/NF-κB/miR-223 Signaling. Antioxidants 2021, 10, 745. [Google Scholar] [CrossRef] [PubMed]
- Zhu, X.; Messer, J.S.; Wang, Y.; Lin, F.; Cham, C.M.; Chang, J.; Billiar, T.R.; Lotze, M.T.; Boone, D.L.; Chang, E.B. Cytosolic HMGB1 controls the cellular autophagy/apoptosis checkpoint during inflammation. J. Clin. Investig. 2015, 125, 1098–1110. [Google Scholar] [CrossRef]
- Ulloa, L.; Ochani, M.; Yang, H.; Tanovic, M.; Halperin, D.; Yang, R.; Czura, C.J.; Fink, M.P.; Tracey, K.J. Ethyl pyruvate prevents lethality in mice with established lethal sepsis and systemic inflammation. Proc. Natl. Acad. Sci. USA 2002, 99, 12351–12356. [Google Scholar] [CrossRef] [PubMed]
- Kim, J.; Park, J.C.; Lee, M.H.; Yang, C.E.; Lee, J.H.; Lee, W.J. High-Mobility Group Box 1 Mediates Fibroblast Activity via RAGE-MAPK and NF-κB Signaling in Keloid Scar Formation. Int. J. Mol. Sci. 2017, 19, 76. [Google Scholar] [CrossRef] [PubMed]
- Ghaffari, A.; Kilani, R.T.; Ghahary, A. Keratinocyte-conditioned media regulate collagen expression in dermal fibroblasts. J. Investig. Dermatol. 2009, 129, 340–347. [Google Scholar] [CrossRef]
- Das, U.N. Pyruvate is an endogenous anti-inflammatory and anti-oxidant molecule. Med. Sci. Monit. 2006, 12, Ra79–Ra84. [Google Scholar]
- Lu, C.; Wang, C.; Xiao, H.; Chen, M.; Yang, Z.; Liang, Z.; Wang, H.; Liu, Y.; Yang, Y.; Wang, Q. Ethyl pyruvate: A newly discovered compound against ischemia-reperfusion injury in multiple organs. Pharmacol. Res. 2021, 171, 105757. [Google Scholar] [CrossRef]
- Chen, B.; Na, F.; Yang, H.; Li, R.; Li, M.; Sun, X.; Hu, B.; Huang, G.; Lan, J.; Xu, H.; et al. Ethyl pyruvate alleviates radiation-induced lung injury in mice. Biomed Pharmacother. 2017, 92, 468–478. [Google Scholar] [CrossRef] [PubMed]
- Harvey, S.A.; Guerriero, E.; Charukamnoetkanok, N.; Piluek, J.; Schuman, J.S.; Sundarraj, N. Responses of cultured human keratocytes and myofibroblasts to ethyl pyruvate: A microarray analysis of gene expression. Investig. Ophthalmol. Vis. Sci. 2010, 51, 2917–2927. [Google Scholar] [CrossRef] [PubMed]
- Santibanez, J.F.; Obradović, H.; Kukolj, T.; Krstić, J. Transforming growth factor-β, matrix metalloproteinases, and urokinase-type plasminogen activator interaction in the cancer epithelial to mesenchymal transition. Dev. Dyn. 2018, 247, 382–395. [Google Scholar] [CrossRef]
- Liang, C.-J.; Yen, Y.-H.; Hung, L.-Y.; Wang, S.-H.; Pu, C.-M.; Chien, H.-F.; Tsai, J.-S.; Lee, C.-W.; Yen, F.-L.; Chen, Y.-L. Thalidomide inhibits fibronectin production in TGF-β1-treated normal and keloid fibroblasts via inhibition of the p38/Smad3 pathway. Biochem. Pharmacol. 2013, 85, 1594–1602. [Google Scholar] [CrossRef] [PubMed]
- Tang, M.; Bian, W.; Cheng, L.; Zhang, L.; Jin, R.; Wang, W.; Zhang, Y. Ginsenoside Rg3 inhibits keloid fibroblast proliferation, angiogenesis and collagen synthesis in vitro via the TGF-β/Smad and ERK signaling pathways. Int. J. Mol. Med. 2018, 41, 1487–1499. [Google Scholar] [CrossRef]
- Dang, C.M.; Beanes, S.R.; Lee, H.; Zhang, X.; Soo, C.; Ting, K. Scarless fetal wounds are associated with an increased matrix metalloproteinase-to-tissue-derived inhibitor of metalloproteinase ratio. Plast. Reconstr. Surg. 2003, 111, 2273–2285. [Google Scholar] [CrossRef]
- Wu, R.-N.; Yu, T.-Y.; Zhou, J.-C.; Li, M.; Gao, H.-K.; Zhao, C.; Dong, R.-Q.; Peng, D.; Hu, Z.-W.; Zhang, X.-W. Targeting HMGB1 ameliorates cardiac fibrosis through restoring TLR2-mediated autophagy suppression in myocardial fibroblasts. Int. J. Cardiol. 2018, 267, 156–162. [Google Scholar] [CrossRef] [PubMed]
- Albayrak, A.; Uyanik, M.H.; Cerrah, S.; Altas, S.; Dursun, H.; Demir, M.; Uslu, H. Is HMGB1 a new indirect marker for revealing fibrosis in chronic hepatitis and a new therapeutic target in treatment? Viral Immunol. 2010, 23, 633–638. [Google Scholar] [CrossRef]
- Wang, W.; Qu, M.; Xu, L.; Wu, X.; Gao, Z.; Gu, T.; Zhang, W.; Ding, X.; Liu, W.; Chen, Y.-L. Sorafenib exerts an anti-keloid activity by antagonizing TGF-β/Smad and MAPK/ERK signaling pathways. J. Mol. Med. 2016, 94, 1181–1194. [Google Scholar] [CrossRef]
- Li, Y.; Liu, H.; Liang, Y.; Peng, P.; Ma, X.; Zhang, X. DKK3 regulates cell proliferation, apoptosis and collagen synthesis in keloid fibroblasts via TGF-β1/Smad signaling pathway. Biomed. Pharmacother. 2017, 91, 174–180. [Google Scholar] [CrossRef] [PubMed]







| Sex | Race | Age (Years) | Location | Types | |
| 1 | F | Korean | 48 | Earlobe | Pedunculated |
| 2 | M | Korean | 22 | Earlobe | Pedunculated |
| 3 | F | Korean | 35 | Shoulder | Sessile |
Disclaimer/Publisher’s Note: The statements, opinions and data contained in all publications are solely those of the individual author(s) and contributor(s) and not of MDPI and/or the editor(s). MDPI and/or the editor(s) disclaim responsibility for any injury to people or property resulting from any ideas, methods, instructions or products referred to in the content. |
© 2024 by the authors. Licensee MDPI, Basel, Switzerland. This article is an open access article distributed under the terms and conditions of the Creative Commons Attribution (CC BY) license (https://creativecommons.org/licenses/by/4.0/).
Share and Cite
Baek, W.; Park, S.; Lee, Y.; Roh, H.; Yun, C.-O.; Roh, T.S.; Lee, W.J. Ethyl Pyruvate Decreases Collagen Synthesis and Upregulates MMP Activity in Keloid Fibroblasts and Keloid Spheroids. Int. J. Mol. Sci. 2024, 25, 5844. https://doi.org/10.3390/ijms25115844
Baek W, Park S, Lee Y, Roh H, Yun C-O, Roh TS, Lee WJ. Ethyl Pyruvate Decreases Collagen Synthesis and Upregulates MMP Activity in Keloid Fibroblasts and Keloid Spheroids. International Journal of Molecular Sciences. 2024; 25(11):5844. https://doi.org/10.3390/ijms25115844
Chicago/Turabian StyleBaek, Wooyeol, Seonghyuk Park, Youngdae Lee, Hyun Roh, Chae-Ok Yun, Tai Suk Roh, and Won Jai Lee. 2024. "Ethyl Pyruvate Decreases Collagen Synthesis and Upregulates MMP Activity in Keloid Fibroblasts and Keloid Spheroids" International Journal of Molecular Sciences 25, no. 11: 5844. https://doi.org/10.3390/ijms25115844
APA StyleBaek, W., Park, S., Lee, Y., Roh, H., Yun, C.-O., Roh, T. S., & Lee, W. J. (2024). Ethyl Pyruvate Decreases Collagen Synthesis and Upregulates MMP Activity in Keloid Fibroblasts and Keloid Spheroids. International Journal of Molecular Sciences, 25(11), 5844. https://doi.org/10.3390/ijms25115844

