Histological Correlation between Tonsillar and Glomerular Lesions in Patients with IgA Nephropathy Justifying Tonsillectomy: A Retrospective Cohort Study
Abstract
1. Introduction
2. Results
2.1. Pathological Differences between TON-A and TON-C
2.2. T-Nodule Scores in the SPT- and Tonsillectomy-Preceding TON-A and TON-C Groups
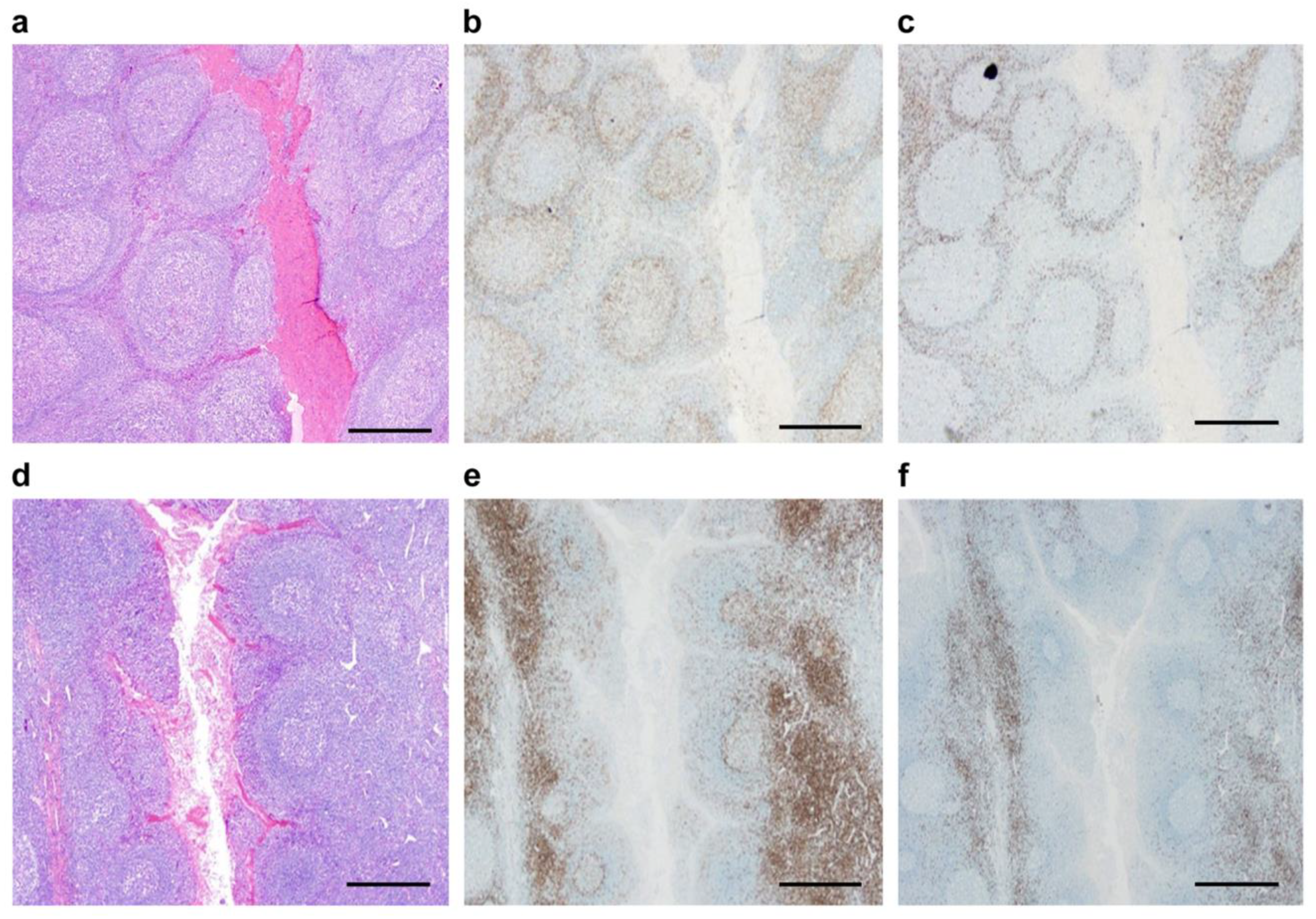
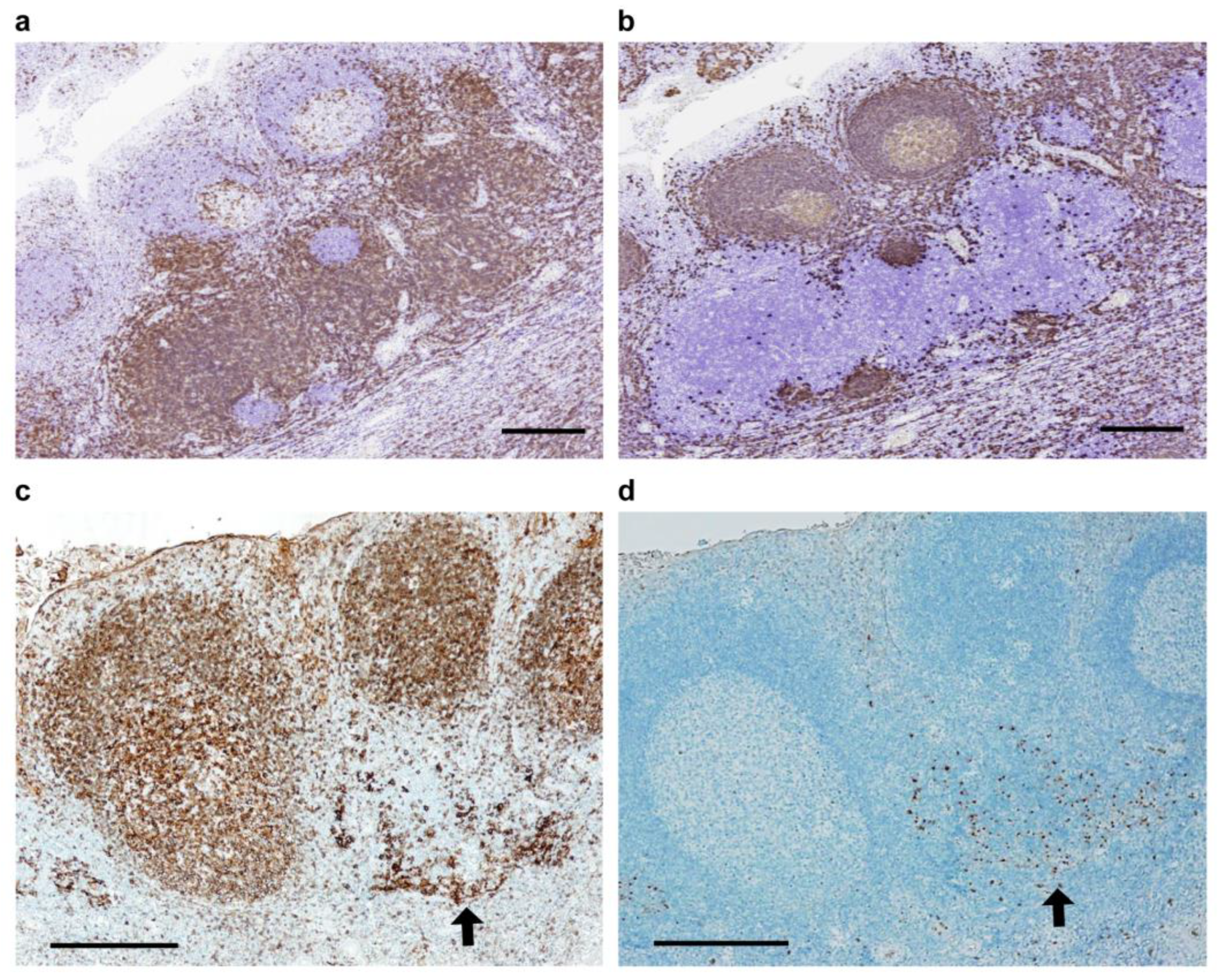
2.3. Staining of Tonsil Tissue from the SPT-Preceding and Tonsillectomy-Preceding Groups with Anti-HLA-DP, DQ, and DR Antibodies
2.4. ILES Scores in the SPT-Preceding and Tonsillectomy-Preceding TON-A and TON-C Groups
2.5. Correlation between ILES and T-Nodule Scores in the SPT- and Tonsillectomy-Preceding TON-A and TON-C Groups
3. Discussion
4. Materials and Methods
4.1. Patients
4.2. Study Approval
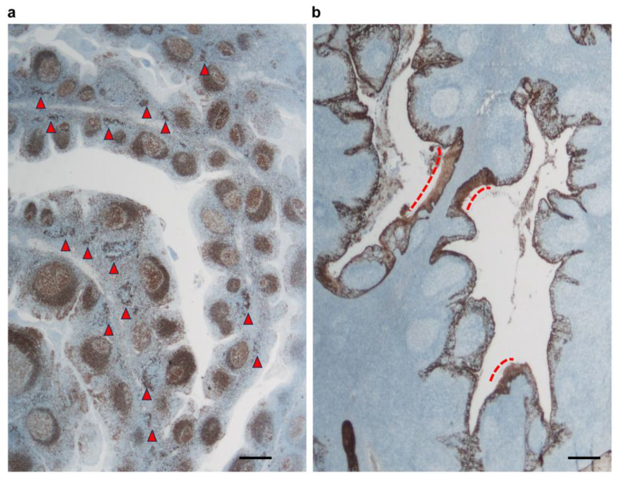
4.3. Immunohistochemical Staining of Palatine Tonsils
4.4. Quantitative Analysis of Palatine Tonsils
4.5. T-Nodule Score
4.6. Involution of Lymphoepithelial Symbiosis (ILES) Score
4.7. Pathological Analysis of Kidneys
4.8. Statistical Analyses
5. Conclusions
Supplementary Materials
Author Contributions
Funding
Institutional Review Board Statement
Informed Consent Statement
Data Availability Statement
Conflicts of Interest
References
- Gleeson, P.J.; O’Shaughnessy, M.M.; Barratt, J. IgA nephropathy in adults-treatment standard Nephrol. Dial. Transplant. 2023, 38, 2464–2473. [Google Scholar] [CrossRef] [PubMed]
- Hirano, K.; Matsuzaki, K.; Yasuda, T.; Nishikawa, M.; Yasuda, Y.; Koike, K.; Maruyama, S.; Yokoo, T.; Matsuo, S.; Kawamura, T.; et al. Association Between Tonsillectomy and Outcomes in Patients With Immunoglobulin A Nephropathy. JAMA Netw. Open 2019, 2, e194772. [Google Scholar] [CrossRef]
- Hotta, O.; Miyazaki, M.; Furuta, T.; Tomioka, S.; Chiba, S.; Horigome, I.; Abe, K.; Taguma, Y. Tonsillectomy and steroid pulse therapy significantly impact on clinical remission in patients with IgA nephropathy. Am. J. Kidney Dis. 2001, 38, 736–743. [Google Scholar] [CrossRef] [PubMed]
- Moriyama, T.; Nitta, K. Tonsillectomy and steroid pulse therapy for IgA nephropathy. Tohoku J. Exp. Med. 2011, 224, 243–250. [Google Scholar] [CrossRef] [PubMed]
- Kawamura, T.; Hirano, K.; Koike, K.; Nishikawa, M.; Shimizu, A.; Joh, K.; Katafuchi, R.; Hashiguchi, A.; Matsuzaki, K.; Maruyama, S.; et al. Associations of corticosteroid therapy and tonsillectomy with kidney survival in a multicenter prospective study for IgA nephropathy. Sci. Rep. 2023, 13, 18455. [Google Scholar] [CrossRef] [PubMed]
- Hoshino, J.; Fujii, T.; Usui, J.; Fujii, T.; Ohashi, K.; Takaichi, K.; Suzuki, S.; Ubara, Y.; Yamagata, K. Renal outcome after tonsillectomy plus corticosteroid pulse therapy in patients with immunoglobulin A nephropathy: Results of a multicenter cohort study. Clin. Exp. Nephrol. 2016, 20, 618–627. [Google Scholar] [CrossRef] [PubMed]
- Kumon, S.; Moriyama, T.; Kamiyama, T.; Karasawa, K.; Nitta, K. The impact of tonsillectomy combined with steroid pulse therapy in patients with advanced IgA nephropathy and impaired renal function. Clin. Exp. Nephrol. 2020, 24, 295–306. [Google Scholar] [CrossRef] [PubMed]
- Matsuzaki, K.; Suzuki, Y.; Nakata, J.; Sakamoto, N.; Horikoshi, S.; Kawamura, T.; Matsuo, S.; Yomino, Y. Nationalwide survey on current treatments for IgA nephropathy in Japan. Clin. Exp. Nephrol. 2013, 17, 827–833. [Google Scholar] [CrossRef] [PubMed][Green Version]
- Hotta, O. Tonsillectomy combined with steroid pulse therapy: A curative therapy for IgA nephropathy. Acta Otolaryngol. Suppl. 2004, 555, 43–48. [Google Scholar] [CrossRef]
- Imai, H.; Miura, N. A treatment dilemma in adult immunoglobulin A nephropathy: What is the appropriate target, preservation of kidney function or induction of clinical remission? Clin. Exp. Nephrol. 2012, 16, 195–201. [Google Scholar] [CrossRef]
- Hotta, O. Tonsillectomy with steroid pulse: A curative therapy for IgA nephropathy. Adv. Otorhinolaryngol. 2011, 72, 37–39. [Google Scholar] [PubMed]
- Hotta, O.; Ieiri, N.; Nagai, M.; Tanaka, A.; Harabuchi, Y. Role of palatine Tonsil and epipharyngeal Lymphoid Tissue in the Development of Glomerular Active Lesions (Glomerular vasculitis) in immunoglobulin A Nephropathy. Int. J. Mol. Sci. 2022, 23, 727. [Google Scholar] [CrossRef] [PubMed]
- Harabuchi, Y.; Takahara, M. Recent advances in the immunological understanding of association between tonsil and immunoglobulin A nephropathy as a tonsil-induced autoimmune/inflammatory syndrome. Immun. Inflamm. Dis. 2019, 7, 86–93. [Google Scholar] [CrossRef] [PubMed]
- Huang, H.; Sun, W.; Liang, Y.; Peng, Y.; Long, X.D.; Liu, Z.; Wen, X.; Jia, M.; Tian, R.; Bai, C.; et al. CD4 (+)CD 25 (+)Treg cells and IgA nephropathy patients with tonsillectomy: A clinical and pathological study. Int. Urol. Nephrol. 2014, 46, 2361–2369. [Google Scholar] [CrossRef] [PubMed]
- de Saint-Vis, B.; Vincent, J.; Vandenabeele, S.; Vanbervliet, B.; Pin, J.J.; Aït-Yahia, S.; Patel, S.; Mattei, M.G.; Banchereau, J.; Zurawski, S.; et al. A novel lysosome-associated membrane glycoprotein, DC-LAMP, induced upon DC maturation, is transiently expressed in MHC class II compartment. Immunity 1998, 9, 325–336. [Google Scholar] [CrossRef] [PubMed]
- Kawaguchi, M.; Sakai, T.; Sakamaki, A.; Ishizawa, S.; Baba, Y.; Masuda, Y.; Koizumi, F. Expanded primary T nodules in the palatine tonsils from patients with IgA nephropathy. Acta Otolaryngol. Suppl. 1993, 508, 36–42. [Google Scholar] [CrossRef] [PubMed]
- Takechi, H.; Oda, T.; Hotta, O.; Yamamoto, K.; Oshima, N.; Matsunobu, T.; Shiotani, A.; Nagura, H.; Shimazaki, H.; Tamai, S.; et al. Clinical and immunological implications of increase in CD208+ dendritic cells in tonsils of patients with immunoglobulin A nephropathy. Nephrol. Dial. Transplant. 2013, 28, 3004–3013. [Google Scholar] [CrossRef] [PubMed]
- Brandtzaeg, P. Immunobiology of the tonsils and adenoids. Mucosal Immunol. 2015, 2, 1985–2016. [Google Scholar]
- Sato, Y.; Hotta, O.; Taguma, Y.; Takasaka, T.; Nose, M. IgA nephropathy with poorly developed lymphoepithelial symbiosis of the palatine tonsils. Nephron 1996, 74, 301–308. [Google Scholar] [CrossRef]
- Perry, M.E. The specialised structure of crypt epithelium in the human palatine tonsil and its functional significance. J. Anat. 1994, 185, 111–127. [Google Scholar]
- Lindenmeyer, M.; Noessner, E.; Nelson, P.J.; Segerer, S. Dendritic cells in experimental renal inflammation–Part I. Nephron Exp. Nephrol. 2011, 119, e83–e90. [Google Scholar] [CrossRef]
- Auffray, C.; Fogg, D.; Garfa, M.; Elain, G.; Join-Lambert, O.; Kayal, S.; Sarnacki, S.; Cumano, A.; Lauvau, G.; Geissmann, F. Monitoring of blood vessels and tissues by a population of monocytes with patrolling behavior. Science 2007, 317, 666–670. [Google Scholar] [CrossRef]
- Cox, S.N.; Sallustio, F.; Serino, G.; Loverre, A.; Pesce, F.; Gigante, M.; Zaza, G.; Stifanelli, P.F.; Ancona, N.; Schena, F.P. Activated innate immunity and the involvement of CX3CR1-fractalkine in promoting hematuria in patients with IgA nephropathy. Kidney Int. 2012, 82, 548–560. [Google Scholar] [CrossRef] [PubMed]
- Otaka, R.; Takahara, M.; Ueda, S.; Nagato, T.; Kishibe, K.; Nomura, K.; Katada, A.; Hayashi, T.; Harabuchi, Y. Up-regulation of CX3CR1 on tonsillar CD8-positive cells in patients with IgA nephropathy. Hum. Immunol. 2017, 78, 375–383. [Google Scholar] [CrossRef] [PubMed]
- Audemard-Verger, A. Recruitment of CXCR3+ T cells into injured tissues in adult IgA vasculitis. Science 2019, 99, 73–80. [Google Scholar]
- Bene, M.C.; Faure, G.; Hurault de Ligny, B.; Kessler, M.; Duheille, J. Immunoglobulin A nephropathy. Quantitative histomorphometry of the tonsillar plasma cells evidences an inversion of the immunoglobulin A versus immunoglobulin G secreting cell balance. J. Clin. Investig. 1983, 71, 1342–1347. [Google Scholar] [CrossRef]
- Egido, J.; Blasco, R.; Lozano, L.; Sancho, J.; Garcia-Hoyo, R. Immunological abnormalities in the tonsils of patients with IgA nephropathy: Inversion in the ratio of IgA: IgG bearing lymphocytes and increased polymeric IgA synthesis. Clin. Exp. Immunol. 1984, 57, 101–106. [Google Scholar] [PubMed]
- Cheung, C.K.; Barratt, J.; Liew, A.; Zhang, H.; Tesar, V.; Lafayette, R. The role of BAFF and APRIL in IgA nephropathy: Pathogenic mechanisms and targeted therapies. Front. Nephrol. 2024, 3, 1346769. [Google Scholar] [CrossRef]
- Takahara, M.; Nagato, T.; Nozaki, Y.; Kumai, T.; Katada, A.; Hayashi, T.; Harabuchi, Y. A proliferation-inducing ligand (APRIL) induced hyper-production of IgA from tonsillar mononuclear cells in patients with IgA nephropathy. Cell Immunol. 2019, 341, 103925. [Google Scholar] [CrossRef]
- Ochi, A.; Moriyama, T.; Takei, T.; Uchida, K.; Nitta, K. Comparison between steroid pulse therapy alone and in combination with tonsillectomy for IgA nephropathy. Int. Urol. Nephrol. 2013, 45, 469–476. [Google Scholar] [CrossRef]
- Yamatani, S.; Kono, K.; Fujii, H.; Hirabayashi, K.; Shimizu, M.; Watanabe, K.; Goto, S.; Nishi, S. Comparison of two protocols for steroid pulse therapy in patients with IgA nephropathy: A retrospective observational study. BMC Nephrol. 2022, 23, 153. [Google Scholar] [CrossRef] [PubMed]
- Takada, D.; Hoshino, J.; Fujii, T.; Usui, J.; Fujii, T.; Ohashi, K.; Takaichi, K.; Suzuki, S.; Yamagata, K.; Ubara, Y. Association between renal outcome and the number of steroid pulse therapies after tonsillectomy in patients with IgA nephropathy. Clin. Exp. Nephrol. 2019, 23, 335–341. [Google Scholar] [CrossRef] [PubMed]
- Feehally, J.; Coppo, R.; Troyanov, S.; Bellur, S.S.; Cattran, D.; Cook, T.; Roberts, I.S.; Verhave, J.C.; Camilla, R.; Vergano, L.; et al. Tonsillectomy in a European cohort of 1,147 patients with IgA nephropathy. Nephron 2016, 132, 15–24. [Google Scholar] [CrossRef] [PubMed]
- Ohya, M.; Otani, H.; Minami, Y.; Yamanaka, S.; Mima, T.; Negi, S.; Yukawa, S.; Shigematsu, T. Tonsillectomy with steroid pulse therapy has more effect on the relapse rate than steroid pulse monotherapy in IgA nephropathy patients. Clin. Nephrol. 2013, 80, 47–52. [Google Scholar] [CrossRef] [PubMed]
- Nave, H.; Gebert, A.; Pabst, R. Morphology and immunology of the human palatine tonsil. Anat. Embryol. 2001, 204, 367–373. [Google Scholar] [CrossRef]
- Working Group of the International IgA Nephropathy Network and the Renal Pathology Society; Cattran, D.C.; Coppo, R.; Cook, H.T.; Feehally, J.; Roberts, I.S.; Troyanov, S.; Alpers, C.E.; Amore, A.; Barratt, J.; et al. The Oxford classification of IgA nephropathy: Rationale, clinicopathological correlations, and classification. Kidney Int. 2009, 76, 534–545. [Google Scholar] [CrossRef]








| Variable | Probability | 95% Confidential Interval | |
|---|---|---|---|
| Lower Limit | Upper Limit | ||
| Mesangial hypercellularity | 0.97 | −0.01 | 0.01 | 
| Cellular crescent | 0.02 | 0.01 | 0.15 | 
| Global sclerosis | 0.12 | 0 | 0.03 | 
| Segmental sclerosis | 0.11 | −0.05 | 0 | 
| Fibrous crescent | 0.43 | −0.04 | 0.02 | 
| Interstitial fibrosis | 0.87 | −0.02 | 0.02 | 
| Variable | Probability | 95% Confidential Interval | |
|---|---|---|---|
| Lower Limit | Upper Limit | ||
| Mesangial hypercellularity | 0.14 | 0 | 0.02 | 
| Cellular crescent | 0.75 | −0.1 | 0.07 | 
| Global sclerosis | 0.61 | −0.02 | 0.03 | 
| Segmental sclerosis | 0.02 | 0 | 0.07 | 
| Fibrous crescent | 0.69 | −0.03 | 0.04 | 
| Interstitial fibrosis | 0.65 | −0.03 | 0.02 | 
| Disclaimer/Publisher’s Note: The statements, opinions and data contained in all publications are solely those of the individual author(s) and contributor(s) and not of MDPI and/or the editor(s). MDPI and/or the editor(s) disclaim responsibility for any injury to people or property resulting from any ideas, methods, instructions or products referred to in the content. | 
© 2024 by the authors. Licensee MDPI, Basel, Switzerland. This article is an open access article distributed under the terms and conditions of the Creative Commons Attribution (CC BY) license (https://creativecommons.org/licenses/by/4.0/).
Share and Cite
Joh, K.; Ueda, H.; Katayama, K.; Kitamura, H.; Watanabe, K.; Hotta, O. Histological Correlation between Tonsillar and Glomerular Lesions in Patients with IgA Nephropathy Justifying Tonsillectomy: A Retrospective Cohort Study. Int. J. Mol. Sci. 2024, 25, 5298. https://doi.org/10.3390/ijms25105298
Joh K, Ueda H, Katayama K, Kitamura H, Watanabe K, Hotta O. Histological Correlation between Tonsillar and Glomerular Lesions in Patients with IgA Nephropathy Justifying Tonsillectomy: A Retrospective Cohort Study. International Journal of Molecular Sciences. 2024; 25(10):5298. https://doi.org/10.3390/ijms25105298
Chicago/Turabian StyleJoh, Kensuke, Hiroyuki Ueda, Kan Katayama, Hiroshi Kitamura, Kenichi Watanabe, and Osamu Hotta. 2024. "Histological Correlation between Tonsillar and Glomerular Lesions in Patients with IgA Nephropathy Justifying Tonsillectomy: A Retrospective Cohort Study" International Journal of Molecular Sciences 25, no. 10: 5298. https://doi.org/10.3390/ijms25105298
APA StyleJoh, K., Ueda, H., Katayama, K., Kitamura, H., Watanabe, K., & Hotta, O. (2024). Histological Correlation between Tonsillar and Glomerular Lesions in Patients with IgA Nephropathy Justifying Tonsillectomy: A Retrospective Cohort Study. International Journal of Molecular Sciences, 25(10), 5298. https://doi.org/10.3390/ijms25105298
 
        


 
                         
       