Kallikrein-Related Peptidase 12 (KLK12) in Breast Cancer as a Favorable Prognostic Marker
Abstract
1. Introduction
2. Results
2.1. Expression Profile of KLK Genes in the Breast Carcinoma
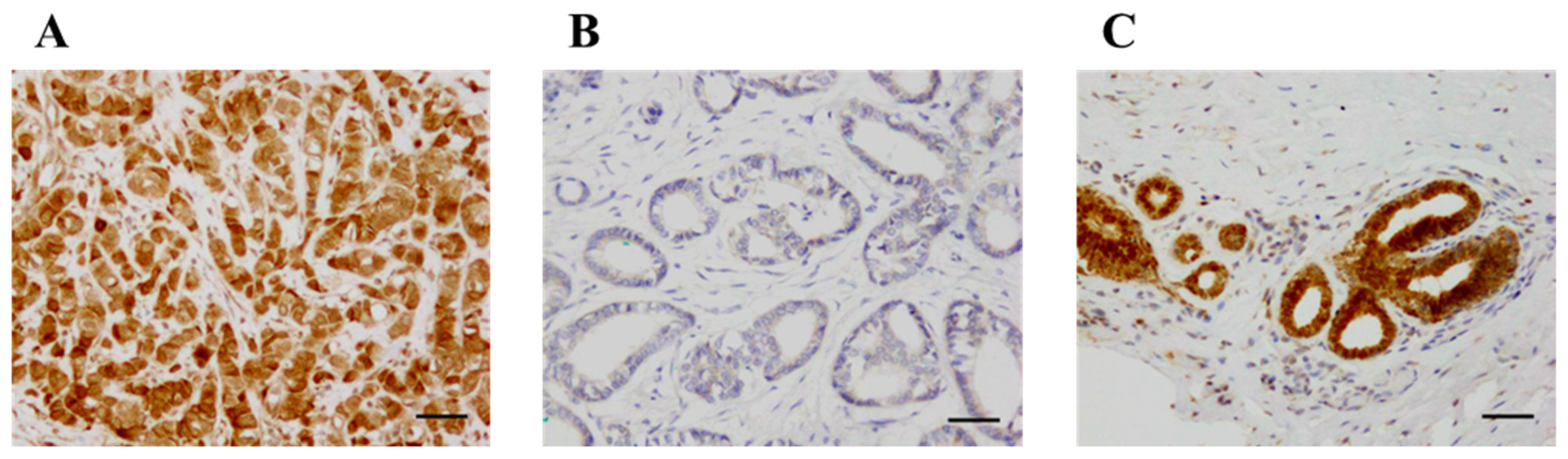
2.2. KLK12 Immunolocalization in Human Breast Carcinoma
2.3. Association between KLK12 and Clinical Outcome of Breast Cancer Patients
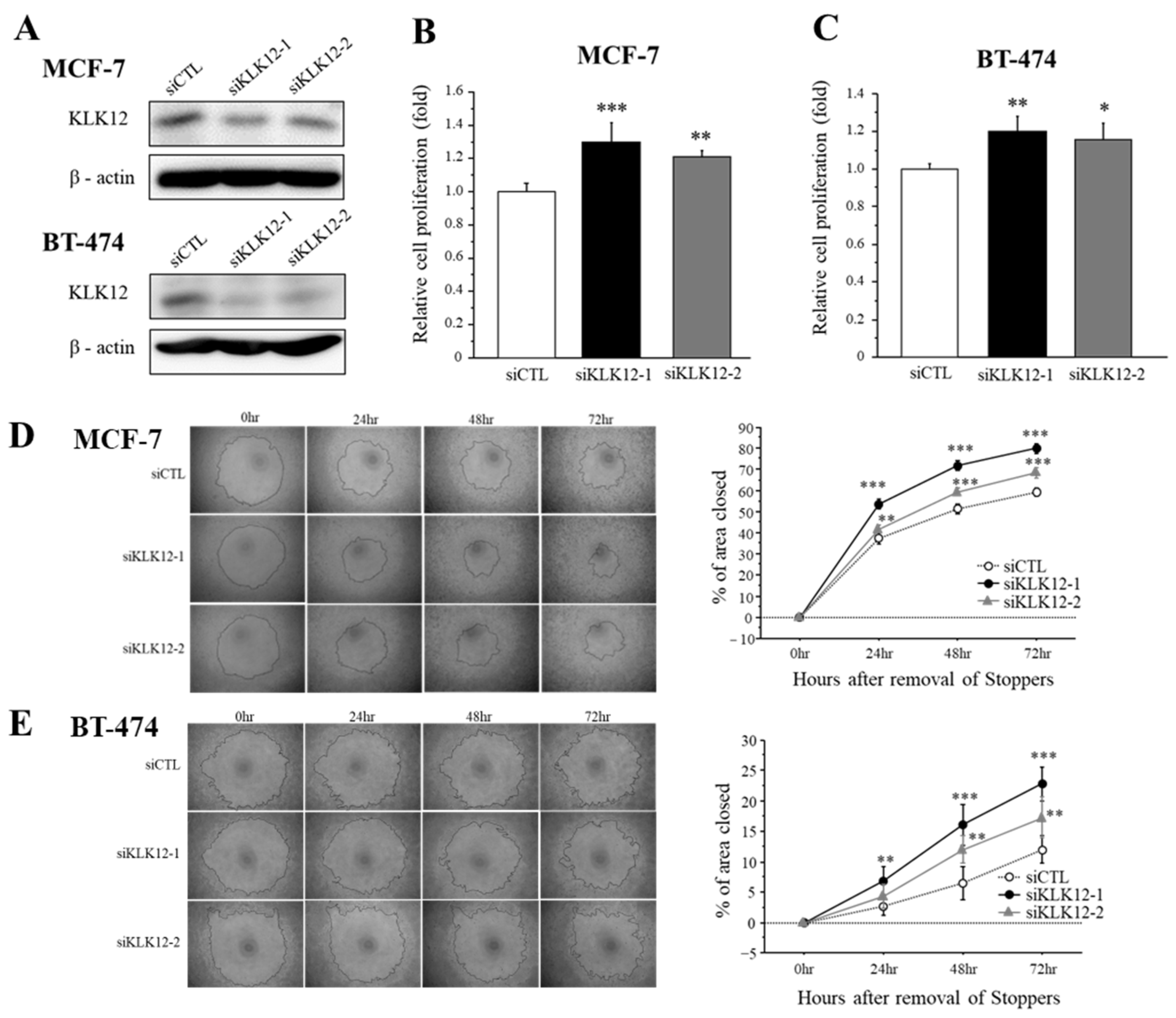
2.4. Effects of KLK12 on Proliferation and Migration of Breast Carcinoma Cells
3. Discussion
4. Materials and Methods
4.1. Microarray Analysis
4.2. Patients and Tissues
4.3. Immunohistochemistry
4.4. Scoring of Immunohistochemistry
4.5. Cell Lines
4.6. Small Interfering RNA (siRNA) Transfection
4.7. Plasmid Transfection
4.8. RT-PCR
4.9. Immunoblotting
4.10. Cell Proliferation and Wound Healing Assay
4.11. Statistical Analysis
Supplementary Materials
Author Contributions
Funding
Institutional Review Board Statement
Informed Consent Statement
Data Availability Statement
Conflicts of Interest
Abbreviations
| KLK | kallikrein-related peptide |
| LI | labeling index |
| PR | progesterone receptor |
| pT | pathological T factor |
References
- Sung, H.; Ferlay, J.; Siegel, R.L.; Laversanne, M.; Soerjomataram, I.; Jemal, A.; Bray, F. Global cancer statistics 2020: GLOBOCAN estimates of incidence and mortality worldwide for 36 cancers in 185 countries. CA Cancer J. Clin. 2021, 71, 209–249. [Google Scholar] [CrossRef] [PubMed]
- Patsis, C.; Yiotakis, I.; Scorilas, A. Diagnostic and prognostic significance of human kallikrein 11 (KLK11) mRNA expression levels in patients with laryngeal cancer. Clin. Biochem. 2012, 45, 623–630. [Google Scholar] [CrossRef] [PubMed]
- Papachristopoulou, G.; Tsapralis, N.; Michaelidou, K.; Ardavanis-Loukeris, G.; Griniatsos, I.; Scorilas, A.; Talieri, M. Human kallikrein-related peptidase 12 (KLK12) splice variants discriminate benign from cancerous breast tumors. Clin. Biochem. 2018, 58, 78–85. [Google Scholar] [CrossRef] [PubMed]
- Cox, J.; Khan, Z.; Jackson-Boeters, L.; Armstrong, J.; Darling, M. Human Tissue Kallikreins in Polymorphous Adenocarcinoma: A Polymerase Chain Reaction and Immunohistochemical Study. Head Neck Pathol. 2020, 15, 169–178. [Google Scholar] [CrossRef]
- Lawrence, M.G.; Lai, J.; Clements, J. Kallikreins on Steroids: Structure, Function, and Hormonal Regulation of Prostate-Specific Antigen and the Extended Kallikrein Locus. Endocr. Rev. 2010, 31, 407–446. [Google Scholar] [CrossRef]
- Holzscheiter, L.; Biermann, J.C.; Kotzsch, M.; Prezas, P.; Farthmann, J.; Baretton, G.; Luther, T.; Tjan-Heijnen, V.C.; Talieri, M.; Schmitt, M.; et al. Quantitative Reverse Transcription-PCR Assay for Detection of mRNA Encoding Full-Length Human Tissue Kallikrein 7: Prognostic Relevance of KLK7 mRNA Expression in Breast Cancer 3. Clin. Chem. 2006, 52, 1070–1079. [Google Scholar] [CrossRef]
- Yousef, G.M.; Scorilas, A.; Nakamura, T.; Ellatif, M.A.; Ponzone, R.; Biglia, N.; Maggiorotto, F.; Roagna, R.; Sismondi, P.; Diamandis, E.P. The Prognostic Value of the Human Kallikrein Gene 9 (KLK9) in Breast Cancer. Breast Cancer Res. Treat. 2003, 78, 149–158. [Google Scholar] [CrossRef]
- Chang, A.; Yousef, G.M.; Scorilas, A.; Grass, L.; Sismondi, P.; Ponzone, R.; Diamandis, E.P. Human kallikrein gene 13 (KLK13) expression by quantitative RT–PCR: An independent indicator of favourable prognosis in breast cancer. Br. J. Cancer 2002, 86, 1457–1464. [Google Scholar] [CrossRef]
- Yousef, G.M.; Scorilas, A.; Magklara, A.; Memari, N.; Ponzone, R.; Sismondi, P.; Biglia, N.; Ellatif, M.A.; Diamandis, E.P. The androgen-regulated gene human kallikrein 15 (KLK15) is an independent and favourable prognostic marker for breast cancer. Br. J. Cancer 2002, 87, 1294–1300. [Google Scholar] [CrossRef]
- Talieri, M.; Devetzi, M.; Scorilas, A.; Prezas, P.; Ardavanis, A.; Apostolaki, A.; Karameris, A. Evaluation of kallikrein-related peptidase 5 expression and its significance for breast cancer patients: Association with kallikrein-related peptidase 7 expression. Anticancer Res. 2011, 31, 3093–3100. [Google Scholar]
- Michaelidou, K.; Ardavanis, A.; Scorilas, A. Clinical relevance of the deregulated kallikrein-related peptidase 8 mRNA expression in breast cancer: A novel independent indicator of disease-free survival. Breast Cancer Res. Treat. 2015, 152, 323–336. [Google Scholar] [CrossRef] [PubMed]
- Yousef, G.M.; Borgoño, C.; Scorilas, A.; Ponzone, R.; Biglia, N.; Iskander, L.; Polymeris, M.-E.; Roagna, R.; Sismondi, P.; Diamandis, E.P. Quantitative analysis of human kallikrein gene 14 expression in breast tumours indicates association with poor prognosis. Br. J. Cancer 2002, 87, 1287–1293. [Google Scholar] [CrossRef] [PubMed]
- Gong, W.; Liu, Y.; Preis, S.; Geng, X.; Petit-Courty, A.; Kiechle, M.; Muckenhuber, A.; Dreyer, T.; Dorn, J.; Courty, Y.; et al. Prognostic value of kallikrein-related peptidase 12 (KLK12) mRNA expression in triple-negative breast cancer patients. Mol. Med. 2020, 26, 19. [Google Scholar] [CrossRef] [PubMed]
- Mayama, A.; Takagi, K.; Suzuki, H.; Sato, A.; Onodera, Y.; Miki, Y.; Sakurai, M.; Watanabe, T.; Sakamoto, K.; Yoshida, R.; et al. OLFM4, LY6D and S100A7 as potent markers for distant metastasis in estrogen receptor-positive breast carcinoma. Cancer Sci. 2018, 109, 3350–3359. [Google Scholar] [CrossRef]
- Kryza, T.; Silva, M.L.; Loessner, D.; Heuzé-Vourc’H, N.; Clements, J.A. The kallikrein-related peptidase family: Dysregulation and functions during cancer progression. Biochimie 2016, 122, 283–299. [Google Scholar] [CrossRef]
- Scorilas, A.; Borgoño, C.A.; Harbeck, N.; Dorn, J.; Schmalfeldt, B.; Schmitt, M.; Diamandis, E.P. Human Kallikrein 13 Protein in Ovarian Cancer Cytosols: A New Favorable Prognostic Marker. J. Clin. Oncol. 2004, 22, 678–685. [Google Scholar] [CrossRef]
- Bakaeean, B.; Gholamin, M.; Yazdi, S.A.T.; Forghani, M.N. Novel Biomarkers Aim at Detecting Metastatic Sentinel Lymph Nodes in Breast Cancer. Iran. Biomed. J. 2020, 24, 183–191. [Google Scholar] [CrossRef]
- Memari, N.; Jiang, W.; Diamandis, E.P.; Luo, L.-Y. Enzymatic properties of human kallikrein-related peptidase 12 (KLK12). Biol. Chem. 2007, 388, 427–435. [Google Scholar] [CrossRef]
- Yousef, G.M.; Magklara, A.; Diamandis, E.P. KLK12 Is a Novel Serine Protease and a New Member of the Human Kallikrein Gene Family—Differential Expression in Breast Cancer. Genomics 2000, 69, 331–341. [Google Scholar] [CrossRef]
- Yousef, G.M.; Yacoub, G.M.; Polymeris, M.-E.; Popalis, C.; Soosaipillai, A.; Diamandis, E.P. Kallikrein gene downregulation in breast cancer. Br. J. Cancer 2004, 90, 167–172. [Google Scholar] [CrossRef]
- Bourdeau, V.; Deschênes, J.; Laperrière, D.; Aid, M.; White, J.; Mader, S. Mechanisms of primary and secondary estrogen target gene regulation in breast cancer cells. Nucleic Acids Res. 2007, 36, 76–93. [Google Scholar] [CrossRef] [PubMed]
- Ebata, A.; Suzuki, T.; Takagi, K.; Miki, Y.; Onodera, Y.; Nakamura, Y.; Fujishima, F.; Ishida, K.; Watanabe, M.; Tamaki, K.; et al. Oestrogen-induced genes in ductal carcinoma in situ: Their comparison with invasive ductal carcinoma. Endocr. Relat. Cancer 2012, 19, 485–496. [Google Scholar] [CrossRef] [PubMed]
- Pampalakis, G.; Obasuyi, O.; Papadodima, O.; Chatziioannou, A.; Zoumpourlis, V.; Sotiropoulou, G. The KLK5 protease suppresses breast cancer by repressing the mevalonate pathway. Oncotarget 2013, 5, 2390–2403. [Google Scholar] [CrossRef] [PubMed]
- Sidiropoulos, K.G.; White, N.M.; Bui, A.; Ding, Q.; Boulos, P.; Pampalakis, G.; Khella, H.; Samuel, J.N.; Sotiropoulou, G.; Yousef, G.M. Kallikrein-related peptidase 5 induces miRNA-mediated anti-oncogenic pathways in breast cancer. Oncoscience 2014, 1, 709–724. [Google Scholar] [CrossRef]
- Xiaab, Y.; Tangd, G.; Guob, M.; Xub, T.; Chenb, H.; Linb, Z.; Lib, Y.; Chenb, Y.; Zhub, B.; Liuc, H.; et al. Silencing KLK12 expression via RGDfC-decorated selenium nanoparticles for the treatment of colorectal cancer in vitro and in vivo. Mater. Sci. Eng. C 2020, 110, 110594. [Google Scholar] [CrossRef]
- Yamaguchi, M.; Takagi, K.; Sato, A.; Miki, Y.; Miyashita, M.; Sasano, H.; Suzuki, T. Rac1 activation in human breast carcinoma as a prognostic factor associated with therapeutic resistance. Breast Cancer 2020, 27, 919–928. [Google Scholar] [CrossRef] [PubMed]
- Hammond, M.E.; Hayes, D.F.; Dowsett, M.; Allred, D.C.; Hagerty, K.L.; Badve, S.; Fitzgibbons, P.L.; Francis, G.; Goldstein, N.S.; Hayes, M.; et al. American Society of Clinical Oncology/College of American Pathologists guideline recommendations for immunohistochemical testing of estrogen and progesterone receptors in breast cancer (unabridged version). Arch. Pathol. Lab. Med. 2010, 134, e48–e72. [Google Scholar] [CrossRef]
- Minemura, H.; Takagi, K.; Sato, A.; Yamaguchi, M.; Hayashi, C.; Miki, Y.; Harada-Shoji, N.; Miyashita, M.; Sasano, H.; Suzuki, T. Isoforms of IDH in breast carcinoma: IDH2 as a potent prognostic factor associated with proliferation in estrogen-receptor positive cases. Breast Cancer 2021, 28, 915–926. [Google Scholar] [CrossRef]
- Hayashi, C.; Takagi, K.; Sato, A.; Yamaguchi, M.; Minemura, H.; Miki, Y.; Harada-Shoji, N.; Miyashita, M.; Sasano, H.; Suzuki, T. D-2-hydroxyglutarate dehydrogenase in breast carcinoma as a potent prognostic marker associated with proliferation. Histol. Histopathol. 2021, 36, 1053–1062. [Google Scholar] [CrossRef]
- Goldhirsch, A.; Wood, W.C.; Coates, A.S.; Gelber, R.D.; Thürlimann, B.; Senn, H.-J.; Panel members. Strategies for subtypes—Dealing with the diversity of breast cancer: Highlights of the St Gallen International Expert Consensus on the Primary Therapy of Early Breast Cancer 2011. Ann. Oncol. 2011, 22, 1736–1747. [Google Scholar] [CrossRef]




| KLK12 Status | p Value | ||
|---|---|---|---|
| Positive (n = 72) | Negative (n = 68) | ||
| Age † (years) | 56.1 ± 1.4 | 56.6 ± 1.6 | 0.84 |
| Menopausal status | |||
| Premenopausal | 27 | 24 | |
| Postmenopausal | 45 | 44 | 0.79 |
| Stage | |||
| I | 44 | 22 | |
| II–IV | 28 | 46 | 0.0007 |
| Pathological T factor (pT) | |||
| pT1 | 52 | 28 | |
| pT2-4 | 20 | 40 | 0.0002 |
| Lymph node metastasis | |||
| Positive | 24 | 35 | |
| Negative | 48 | 33 | 0.030 |
| Distant metastasis | |||
| Positive | 9 | 18 | |
| Negative | 63 | 50 | 0.035 |
| Histological grade | |||
| 1–2 | 55 | 54 | |
| 3 | 17 | 14 | 0.67 |
| ER status | |||
| Positive | 63 | 50 | |
| Negative | 9 | 18 | 0.036 |
| PR status | |||
| Positive | 56 | 38 | |
| Negative | 16 | 30 | 0.0058 |
| HER2 status | |||
| Positive | 10 | 13 | |
| Negative | 62 | 55 | 0.40 |
| Ki-67 LI † (%) | 14.7 ± 1.7 | 18.2 ± 2.3 | 0.21 |
| Intrinsic subtype | |||
| Luminal A | 43 | 30 | |
| Luminal B | 20 | 22 | |
| HER2 positive | 3 | 7 | |
| Triple negative | 6 | 9 | 0.21 |
| Univariate | Multivariate | ||
|---|---|---|---|
| Variable | p Value | p Value | Relative Risk (95% CI) |
| pT | |||
| (pT2-4/pT1) | 0.0002 † | 0.097 | 3.87 (0.78–19.15) |
| Lymph node metastasis | |||
| (positive/negative) | 0.0003 † | 0.30 | 2.24 (0.49–10.20) |
| Ki-67 status | |||
| (≥20%/<20%) | 0.0015 † | 0.058 | 3.35 (0.96–11.63) |
| KLK12 status | |||
| (positive / negative) | 0.0024 † | 0.0038 | 0.13 (0.03–0.52) |
| Histological grade | |||
| (3/1-2) | 0.0085 † | 0.54 | 1.49 (0.42–5.31) |
| ER status | |||
| (positive/negative) | 0.019 † | 0.95 | 1.04 (0.30–3.66) |
| HER2 status | |||
| (positive/negative) | 0.63 |
| Univariate | Multivariate | ||
|---|---|---|---|
| Variable | p Value | p Value | Relative Risk (95% CI) |
| Lymph node metastasis | |||
| (positive/negative) | 0.011 † | 0.13 | 7.42 (0.55–101.06) |
| Histological grade | |||
| (3/1-2) | 0.018 † | 0.32 | 2.32 (0.43–12.44) |
| pT | |||
| (pT2-4/pT1) | 0.020 † | 0.85 | 1.22 (0.16–9.54) |
| KLK12 status | |||
| (positive/negative) | 0.038 † | 0.043 | 0.09 (0.01–0.93) |
| ER status | |||
| (positive/negative) | 0.046 † | 0.73 | 0.73 (0.12–4.38) |
| Ki-67 status | |||
| (≧20%/<20%) | 0.060 † | 0.47 | 2.10 (0.28–15.48) |
| HER2 status | |||
| (positive/negative) | 0.76 |
Disclaimer/Publisher’s Note: The statements, opinions and data contained in all publications are solely those of the individual author(s) and contributor(s) and not of MDPI and/or the editor(s). MDPI and/or the editor(s) disclaim responsibility for any injury to people or property resulting from any ideas, methods, instructions or products referred to in the content. |
© 2023 by the authors. Licensee MDPI, Basel, Switzerland. This article is an open access article distributed under the terms and conditions of the Creative Commons Attribution (CC BY) license (https://creativecommons.org/licenses/by/4.0/).
Share and Cite
Sato, A.; Takagi, K.; Yoshimura, A.; Tsukamoto, W.; Yamaguchi-Tanaka, M.; Miki, Y.; Ebata, A.; Miyashita, M.; Suzuki, T. Kallikrein-Related Peptidase 12 (KLK12) in Breast Cancer as a Favorable Prognostic Marker. Int. J. Mol. Sci. 2023, 24, 8419. https://doi.org/10.3390/ijms24098419
Sato A, Takagi K, Yoshimura A, Tsukamoto W, Yamaguchi-Tanaka M, Miki Y, Ebata A, Miyashita M, Suzuki T. Kallikrein-Related Peptidase 12 (KLK12) in Breast Cancer as a Favorable Prognostic Marker. International Journal of Molecular Sciences. 2023; 24(9):8419. https://doi.org/10.3390/ijms24098419
Chicago/Turabian StyleSato, Ai, Kiyoshi Takagi, Ayano Yoshimura, Wakana Tsukamoto, Mio Yamaguchi-Tanaka, Yasuhiro Miki, Akiko Ebata, Minoru Miyashita, and Takashi Suzuki. 2023. "Kallikrein-Related Peptidase 12 (KLK12) in Breast Cancer as a Favorable Prognostic Marker" International Journal of Molecular Sciences 24, no. 9: 8419. https://doi.org/10.3390/ijms24098419
APA StyleSato, A., Takagi, K., Yoshimura, A., Tsukamoto, W., Yamaguchi-Tanaka, M., Miki, Y., Ebata, A., Miyashita, M., & Suzuki, T. (2023). Kallikrein-Related Peptidase 12 (KLK12) in Breast Cancer as a Favorable Prognostic Marker. International Journal of Molecular Sciences, 24(9), 8419. https://doi.org/10.3390/ijms24098419

