Anti-Apoptotic Effect of Chrysophanol Isolated from Cassia tora Seed Extract on Blue-Light-Induced A2E-Loaded Human Retinal Pigment Epithelial Cells
Abstract
1. Introduction
2. Results
2.1. Structure Determination of Anti-Apoptotic Effect Compound Isolation from C. tora Extraction
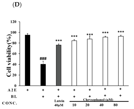
2.2. Protective Effect of C. Tora Seed Extract, Its Fractionations, and Chrysophanol on Blue-Light-Induced Cell Death in A2E-Loaded ARPE-19 Cells
2.3. Anti-Apoptotic Effect of C. tora Seed Extract, n-Hexane Fraction, Rufbrofusarin, and Chrysophanol on Expression of Major Apoptosis Factors in Blue-Light-Induced A2E-Loaded ARPE-19 Cells
3. Discussion
4. Materials and Methods
4.1. Materials
4.2. Extraction, Fractionation, and Identification
4.3. A2E-Loaded ARPE-19 Cell Culture and Irradiation of Blue Light
4.4. Cell Cytotoxicity Assay
4.5. RNA Extraction and Real-Time Polymerase Chain Reaction (RT-PCR)
4.6. Statistical Analysis
Author Contributions
Funding
Institutional Review Board Statement
Informed Consent Statement
Data Availability Statement
Conflicts of Interest
References
- Masland, R.H. The neuronal organization of the retina. Neuron 2012, 76, 266–280. [Google Scholar] [CrossRef] [PubMed]
- Dowling, J.E.; Boycott, B.B. Neural connections of the retina: Fine structure of the inner plexiform layer. Cold Spring Harb. Symp. Quant. Biol. 1965, 30, 393–402. [Google Scholar] [CrossRef] [PubMed]
- Simo, R.; Villarroel, M.; Corraliza, L.; Hernandez, C.; Garcia-Ramirez, M. The retinal pigment epithelium: Something more than a constituent of the blood-retinal barrier--implications for the pathogenesis of diabetic retinopathy. J. Biomed. Biotechnol. 2010, 2010, 190724. [Google Scholar] [CrossRef]
- Datta, S.; Cano, M.; Ebrahimi, K.; Wang, L.; Handa, J.T. The impact of oxidative stress and inflammation on rpe degeneration in non-neovascular amd. Prog. Retin. Eye Res. 2017, 60, 201–218. [Google Scholar] [CrossRef] [PubMed]
- Kauppinen, A.; Paterno, J.J.; Blasiak, J.; Salminen, A.; Kaarniranta, K. Inflammation and its role in age-related macular degeneration. Cell. Mol. Life Sci. 2016, 73, 1765–1786. [Google Scholar] [CrossRef]
- Hanus, J.; Anderson, C.; Wang, S. Rpe necroptosis in response to oxidative stress and in amd. Ageing Res. Rev. 2015, 24, 286–298. [Google Scholar] [CrossRef]
- Alaimo, A.; Linares, G.G.; Bujjamer, J.M.; Gorojod, R.M.; Alcon, S.P.; Martinez, J.H.; Baldessari, A.; Grecco, H.E.; Kotler, M.L. Toxicity of blue led light and a2e is associated to mitochondrial dynamics impairment in arpe-19 cells: Implications for age-related macular degeneration. Arch. Toxicol. 2019, 93, 1401–1415. [Google Scholar] [CrossRef]
- Ma, H.; Yang, F.; Ding, X.Q. Inhibition of thyroid hormone signaling protects retinal pigment epithelium and photoreceptors from cell death in a mouse model of age-related macular degeneration. Cell. Death Dis. 2020, 11, 24. [Google Scholar] [CrossRef]
- Jafari, Z.; Kolb, B.E.; Mohajerani, M.H. Age-related hearing loss and tinnitus, dementia risk, and auditory amplification outcomes. Ageing Res. Rev. 2019, 56, 100963. [Google Scholar] [CrossRef]
- Lim, S.S.; Carnahan, E.; Danaei, G.; Vos, T.; Lopez, A.D.; Murray, C.J.; Ezzatti, M. Annual deaths attributable to physical inactivity: Whither the missing 2 million?—Authors’ reply. Lancet 2013, 381, 993. [Google Scholar] [CrossRef]
- Ko, E.; Um, M.Y.; Han, T.; Shin, S.; Choi, M. Emodin and rhein in Cassia tora ameliorates activity of mitochondrial enzymes involved in oxidative phosphorylation in the retina of diabetic mice. Appl. Biol. Chem. 2021, 64, 39. [Google Scholar] [CrossRef]
- Ben-Shabat, S.; Parish, C.A.; Hashimoto, M.; Liu, J.; Nakanishi, K.; Sparrow, J.R. Fluorescent pigments of the retinal pigment epithelium and age-related macular degeneration. Bioorg. Med. Chem. Lett. 2001, 11, 1533–1540. [Google Scholar] [CrossRef]
- Bent, S. Herbal medicine in the United States: Review of efficacy, safety, and regulation: Grand rounds at university of California, San Francisco medical center. J. Gen. Intern. Med. 2008, 23, 854–859. [Google Scholar] [CrossRef]
- Goldman, P. Herbal medicines today and the roots of modern pharmacology. Ann. Intern. Med. 2001, 135, 594–600. [Google Scholar] [CrossRef]
- Rejiya, C.S.; Cibin, T.R.; Abraham, A. Leaves of Cassia tora as a novel cancer therapeutic--an in vitro study. Toxicol. Vitr. 2009, 23, 1034–1038. [Google Scholar] [CrossRef]
- Jang, D.S.; Lee, G.Y.; Kim, Y.S.; Lee, Y.M.; Kim, C.S.; Yoo, J.L.; Kim, J.S. Anthraquinones from the seeds of Cassia tora with inhibitory activity on protein glycation and aldose reductase. Biol. Pharm. Bull. 2007, 30, 2207–2210. [Google Scholar] [CrossRef]
- Kim, Y.M.; Lee, C.H.; Kim, H.G.; Lee, H.S. Anthraquinones isolated from Cassia tora (leguminosae) seed show an antifungal property against phytopathogenic fungi. J. Agric. Food Chem. 2004, 52, 6096–6100. [Google Scholar] [CrossRef]
- Patil, U.K.; Saraf, S.; Dixit, V.K. Hypolipidemic activity of seeds of Cassia tora linn. J. Ethnopharmacol. 2004, 90, 249–252. [Google Scholar] [CrossRef]
- Kwon, H.C.; Kim, T.Y.; Lee, C.M.; Lee, K.S.; Lee, K.K. Active compound chrysophanol of Cassia tora seeds suppresses heat-induced lipogenesis via inactivation of jnk/p38 mapk signaling in human sebocytes. Lipids Health Dis. 2019, 18, 135. [Google Scholar] [CrossRef]
- Zhang, C.; Wang, R.; Liu, B.; Tu, G. Structure elucidation of a sodium salified anthraquinone from the seeds of cassia obtusifolia by nmr technique assisted with acid-alkali titration. Magn. Reson. Chem. 2011, 49, 529–532. [Google Scholar] [CrossRef]
- Sparrow, J.R.; Nakanishi, K.; Parish, C.A. The lipofuscin fluorophore a2e mediates blue light-induced damage to retinal pigmented epithelial cells. Investig. Ophthalmol. Vis. Sci. 2000, 41, 1981–1989. [Google Scholar]
- Gaillard, E.R.; Zheng, L.; Merriam, J.C.; Dillon, J. Age-related changes in the absorption characteristics of the primate lens. Investig. Ophthalmol. Vis. Sci. 2000, 41, 1454–1459. [Google Scholar]
- Seo, D.Y.; Heo, J.W.; Ko, J.R.; Kwak, H.B. Exercise and neuroinflammation in health and disease. Int. Neurourol. J. 2019, 23, S82–S92. [Google Scholar] [CrossRef] [PubMed]
- Lamb, L.E.; Simon, J.D. A2e: A component of ocular lipofuscin. Photochem. Photobiol. 2004, 79, 127–136. [Google Scholar] [CrossRef] [PubMed]
- Lee, B.L.; Kang, J.H.; Kim, H.M.; Jeong, S.H.; Jang, D.S.; Jang, Y.P.; Choung, S.Y. Polyphenol-enriched vaccinium uliginosum l. Fractions reduce retinal damage induced by blue light in a2e-laden arpe19 cell cultures and mice. Nutr. Res. 2016, 36, 1402–1414. [Google Scholar] [CrossRef]
- Bian, Q.; Gao, S.; Zhou, J.; Qin, J.; Taylor, A.; Johnson, E.J.; Tang, G.; Sparrow, J.R.; Gierhart, D.; Shang, F. Lutein and zeaxanthin supplementation reduces photooxidative damage and modulates the expression of inflammation-related genes in retinal pigment epithelial cells. Free Radic. Biol. Med. 2012, 53, 1298–1307. [Google Scholar] [CrossRef]
- Kim, T.W.; Park, S.S.; Shin, M.S.; Park, H.S.; Baek, S.S. Treadmill exercise ameliorates social isolation-induced memory impairment by enhancing silent information regulator-1 expression in rats. J. Exerc. Rehabil. 2020, 16, 227–233. [Google Scholar] [CrossRef]
- Park, S.S.; Park, H.S.; Jeong, H.; Kwak, H.B.; No, M.H.; Heo, J.W.; Yoo, S.Z.; Kim, T.W. Treadmill exercise ameliorates chemotherapy-induced muscle weakness and central fatigue by enhancing mitochondrial function and inhibiting apoptosis. Int. Neurourol. J. 2019, 23, S32–S39. [Google Scholar] [CrossRef]
- Stigger, F.; Barbosa, S.; Marques, M.R.; Segabinazi, E.; Augustin, O.A.; Achaval, M.; Marcuzzo, S. Synaptophysin and caspase-3 expression on lumbar segments of spinal cord after sensorimotor restriction during early postnatal period and treadmill training. J. Exerc. Rehabil. 2018, 14, 489–496. [Google Scholar] [CrossRef]
- Cong, F.; Goff, S.P. C-abl-induced apoptosis, but not cell cycle arrest, requires mitogen-activated protein kinase kinase 6 activation. Proc. Natl. Acad. Sci. USA 1999, 96, 13819–13824. [Google Scholar] [CrossRef]
- Sionov, R.V.; Coen, S.; Goldberg, Z.; Berger, M.; Bercovich, B.; Ben-Neriah, Y.; Ciechanover, A.; Haupt, Y. C-abl regulates p53 levels under normal and stress conditions by preventing its nuclear export and ubiquitination. Mol. Cell. Biol. 2001, 21, 5869–5878. [Google Scholar] [CrossRef]
- Zhang, S.; Shi, L.; Ma, H.; Li, H.; Li, Y.; Lu, Y.; Wang, Q.; Li, W. Dihydroartemisinin induces apoptosis in human gastric cancer cell line bgc-823 through activation of jnk1/2 and p38 mapk signaling pathways. J. Recept Signal. Transduct. Res. 2017, 37, 174–180. [Google Scholar] [CrossRef]
- Lai, S.; Wei, Y.; Wu, Q.; Zhou, K.; Liu, T.; Zhang, Y.; Jiang, N.; Xiao, W.; Chen, J.; Liu, Q.; et al. Liposomes for effective drug delivery to the ocular posterior chamber. J. Nanobiotechnol. 2019, 17, 64. [Google Scholar] [CrossRef]
- Zhao, Y.; Huang, Y.; Fang, Y.; Zhao, H.; Shi, W.; Li, J.; Duan, Y.; Sun, Y.; Gao, L.; Luo, Y. Chrysophanol attenuates nitrosative/oxidative stress injury in a mouse model of focal cerebral ischemia/reperfusion. J. Pharmacol. Sci. 2018, 138, 16–22. [Google Scholar] [CrossRef]
- Kim, S.J.; Kim, M.C.; Lee, B.J.; Park, D.H.; Hong, S.H.; Um, J.Y. Anti-inflammatory activity of chrysophanol through the suppression of nf-kappab/caspase-1 activation in vitro and in vivo. Molecules 2010, 15, 6436–6451. [Google Scholar] [CrossRef]
- Cubeddu, R.; Taroni, P.; Hu, D.N.; Sakai, N.; Nakanishi, K.; Roberts, J.E. Photophysical studies of a2-e, putative precursor of lipofuscin, in human retinal pigment epithelial cells. Photochem. Photobiol. 1999, 70, 172–175. [Google Scholar] [CrossRef]
- Yoo, S.Y.; Yoo, J.Y.; Kim, H.B.; Baik, T.K.; Lee, J.H.; Woo, R.S. Neuregulin-1 protects neuronal cells against damage due to cocl2-induced hypoxia by suppressing hypoxia-inducible factor-1alpha and p53 in sh-sy5y cells. Int. Neurourol. J. 2019, 23, S111–S118. [Google Scholar] [CrossRef]









| Genes | Forward (5′–3′) | Reverse (5′–3′) |
|---|---|---|
| ABL1 | CGGGTCTTAGGCTATAATCAC | CCCTCCCTTCGTATCTCA |
| TP53 | GCAGTCAGAGCCTAGCG | CGCTAGGATCTGACTGC |
| MAPK8 | CTGCCCCCGTATAACTC | CTGCCCCCGTATAACTC |
| MAPK9 | CCTGGGTATGGGCTAC | CGCAGAGCTTCGTCTA |
| MAPK14 | CTCGTTGGAACCCCAG | CATGTGCAAGGGCTTG |
| GAPDH | CTGAGCTGAACGGGAAG | GGGTGTCGCTGTTGAA |
Disclaimer/Publisher’s Note: The statements, opinions and data contained in all publications are solely those of the individual author(s) and contributor(s) and not of MDPI and/or the editor(s). MDPI and/or the editor(s) disclaim responsibility for any injury to people or property resulting from any ideas, methods, instructions or products referred to in the content. |
© 2023 by the authors. Licensee MDPI, Basel, Switzerland. This article is an open access article distributed under the terms and conditions of the Creative Commons Attribution (CC BY) license (https://creativecommons.org/licenses/by/4.0/).
Share and Cite
Kim, S.-K.; Ban, J.-Y.; Kang, H.; Park, S.-i. Anti-Apoptotic Effect of Chrysophanol Isolated from Cassia tora Seed Extract on Blue-Light-Induced A2E-Loaded Human Retinal Pigment Epithelial Cells. Int. J. Mol. Sci. 2023, 24, 6676. https://doi.org/10.3390/ijms24076676
Kim S-K, Ban J-Y, Kang H, Park S-i. Anti-Apoptotic Effect of Chrysophanol Isolated from Cassia tora Seed Extract on Blue-Light-Induced A2E-Loaded Human Retinal Pigment Epithelial Cells. International Journal of Molecular Sciences. 2023; 24(7):6676. https://doi.org/10.3390/ijms24076676
Chicago/Turabian StyleKim, Su-Kang, Ju-Yeon Ban, Hyungoo Kang, and Sang-il Park. 2023. "Anti-Apoptotic Effect of Chrysophanol Isolated from Cassia tora Seed Extract on Blue-Light-Induced A2E-Loaded Human Retinal Pigment Epithelial Cells" International Journal of Molecular Sciences 24, no. 7: 6676. https://doi.org/10.3390/ijms24076676
APA StyleKim, S.-K., Ban, J.-Y., Kang, H., & Park, S.-i. (2023). Anti-Apoptotic Effect of Chrysophanol Isolated from Cassia tora Seed Extract on Blue-Light-Induced A2E-Loaded Human Retinal Pigment Epithelial Cells. International Journal of Molecular Sciences, 24(7), 6676. https://doi.org/10.3390/ijms24076676

