Purification of PaTx-II from the Venom of the Australian King Brown Snake and Characterization of Its Antimicrobial and Wound Healing Activities
Abstract
1. Introduction
2. Results
2.1. Purification of PLA2s from the Venom of P. australis
2.2. Antimicrobial Properties of PaTx-II
2.3. Effect of PaTx-II on Human Cell Lines
2.4. Wound Healing by PaTx-II PLA2
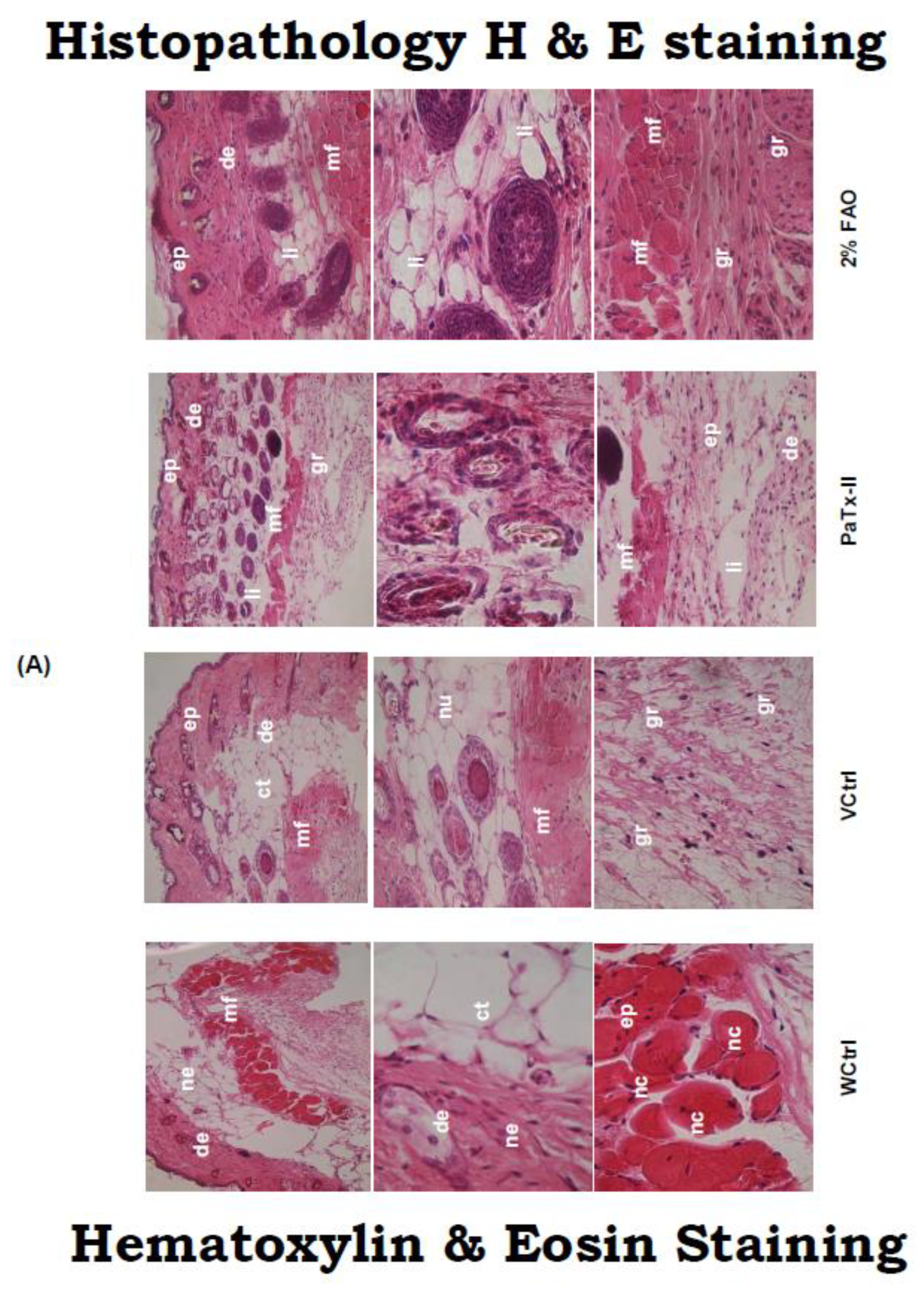
2.5. Clinicopathological Examination of Wound Tissue
2.6. Biological Functions of PaTx-II
Masson’s Trichrome (MT) Staining for Collagen Expression
2.7. Clearance of Bacteria
2.8. Estimation of Collagen by ELISA
2.9. Western Blots of PaTx-II for Wound Healing
2.10. Proinflammatory Cytokines in Wound Healing
3. Discussion
4. Materials and Methods
4.1. Venom
4.2. Protein Assay
4.3. Isolation of PaTx-II from Venom
4.4. MALDI-TOF Spectrometry
4.5. PLA2 Enzyme Activity
4.6. In Vitro Antimicrobial Assays
4.7. Cytotoxic Effect of PaTx-II on Human Cells
4.7.1. Cell Culture
4.7.2. Cell Viability by MTT Assay
4.8. Ethics Approval
4.9. Mouse Model of Skin Infection
4.10. Bacterial Count Wound Assay
4.11. Histological Examination
4.12. Masson’s Trichrome (MT) Stain for Collagen
4.13. Immunofluorescence Staining
4.14. Western Blot Analysis of PaTx-II for Wound Healing
4.15. Biochemical Analysis of Collagen (Type I)
4.16. Measurement of Proinflammatory Cytokines in Wound Healing
4.17. Statistical Analysis
Author Contributions
Funding
Institutional Review Board Statement
Informed Consent Statement
Data Availability Statement
Acknowledgments
Conflicts of Interest
Abbreviations
| AVA | Agri-Food and Veterinary Authority of Singapore |
| CFU | Colony forming units |
| COX-2 | Cyclooxygenase-2 |
| DAPI | 4′-6-diamiinol-2-phenylindole |
| FAO | Fusidic acid ointment |
| ELISA | Enzyme-linked immunosorbent assay |
| IL-1β | Interleukin-1beta |
| IACUC | Institutional Animal Care and Use Committee |
| MRSA | Methicillin-resistant Staphylococcus aureus |
| MT | Masson’s trichome staining |
| MMPs | Metalloproteases |
| MAP | Mitogen-activated protein kinases |
| NACLAR | National Advisory Committee for laboratory Animal Research |
| PaTx-II | Pseudechis australis toxin-II |
| RP-HPLC | Reverse-phase high-pressure liquid chromatography |
| svPLA2 | Snake venoms phospholipases A2 |
| sPLA2 | Secretary phospholipases A2 |
| SAP | Serum amyloid protein |
| Tris-HCL | Tris-hydrochloric acid buffer |
| TFA | Trifluoroacetic acid |
| TNF-α | Tumor necrosis factor-alpha |
| TE | Tissue extraction lysis buffer |
| VCtrl | Vehicle control |
| WCtrl | Wound control |
| NV | Neovascularization |
References
- Grundmann, H.; de Sousa, M.A.; Boyce, J.; Tiemersma, E. Emergence and resurgence of methicillin-resistant Staphylococcus aureus as a public-health threat. Lancet 2006, 368, 874–885. [Google Scholar] [CrossRef] [PubMed]
- Kourtis, A.P.; Hatfield, K.; Baggs, J.; Mu, Y.; See, I.; Epson, E.; Nadle, J.; Kainer, M.A.; Dumyati, G.; Petit, S.; et al. Vital Signs: Epidemiology and Recent Trends in Methicillin-Resistant and in Methicillin-Susceptible Staphylococcus aureus Bloodstream Infections—United States. Morb. Mortal. Wkly. Rep. 2019, 68, 214–219. [Google Scholar] [CrossRef] [PubMed]
- Fuda, C.C.S.; Fisher, J.F.; Mobashery, S. Beta-lactam resistance in Staphylococcus aureus: The adaptive resistance of a plastic genome. Cell. Mol. Life Sci. 2005, 62, 2617–2633. [Google Scholar] [CrossRef] [PubMed]
- O’Reilly, D.; O’Connor, C.; McCallion, N.; Drew, R.J. A retrospective study (2001–2017) of acute and chronic morbidity and mortality associated with Staphylococcus aureus bacteraemia in a tertiary neonatal intensive care unit. Ir. J. Med. Sci. 2019, 188, 1297–1301. [Google Scholar] [CrossRef]
- Hsu, L.Y.; Tan, T.Y.; Jureen, R.; Koh, T.H.; Krishnan, P.; Lin, R.T.P.; Tee, N.W.S.; Tambyah, P.A. Antimicrobial drug resistance in Singapore hospitals. Emerg. Infect. Dis. 2007, 13, 1944–1947. [Google Scholar] [CrossRef]
- Blair, J.M.; Webber, M.A.; Baylay, A.J.; Ogbolu, D.O.; Piddock, L.J. Molecular mechanisms of antibiotic resistance. Nat. Rev. Microbiol. 2015, 13, 42–51. [Google Scholar] [CrossRef]
- Foster, T.J. Antibiotic resistance in Staphylococcus aureus. Current status and future prospects. FEMS Microbiol. Rev. 2017, 41, 430–449. [Google Scholar] [CrossRef]
- CDC Centers for Disease Control and Prevention. Antibiotic Resistance Threats in the United States. 2019. Available online: http://www.cdc.gov/drugresistance/threat-report-2019 (accessed on 8 July 2022).
- Nicholas, G.; Kate, A.H.; David, P.; Michael, W. The economic rationale for infection control in Australian hospitals. Healthc. Infect. 2009, 14, 81–88. [Google Scholar]
- Turtiainen, J.; Saimanen, E.; Partio, T.; Kiviniemi, V.K.; Mäkinen, K.; Mäkinen, K.; Hakala, T. Surgical wound infections after vascular surgery: Prospective multicenter observational study. Scand. J. Surg. 2010, 99, 167–172. [Google Scholar] [CrossRef]
- Pinchuk, I.V.; Beswick, E.J.; Reyes, V.E. Staphylococcal Enterotoxins. Toxins 2010, 2, 2177–2197. [Google Scholar] [CrossRef]
- Nestle, F.O.; Kaplan, D.H.; Barker, J. Mechanism of Disease Psoriasis. N. Engl. J. Med. 2009, 361, 496–509. [Google Scholar] [CrossRef]
- Foster, T.J. The Staphylococcus aureus ‘superbug. J. Clin. Investig. 2004, 114, 1693–1696. [Google Scholar] [CrossRef]
- Wynn, T.A. Cellular and molecular mechanisms of fibrosis. J. Pathol. 2008, 214, 199–210. [Google Scholar] [CrossRef]
- Demindova-Rice, T.N.; Hamblin, M.R.; Herman, I.M. Acute and Impaired Wound Healing: Pathophysiology and Current Methods for Drug Delivery, Part 1: Normal and Chronic Wounds: Biology, Causes, and Approaches to Care. Adv. Ski. Wound Care 2012, 2597, 304–314. [Google Scholar] [CrossRef]
- Zhang, X.; Mosser, D.M. Macrophage activation by endogenous danger signals. J. Pathol. 2008, 214, 161–178. [Google Scholar] [CrossRef]
- Pasparakis, M. Regulation of tissue homeostasis by NF-κB signalling: Implications for inflammatory diseases. Nat. Rev. Immunol. 2009, 9, 778–788. [Google Scholar] [CrossRef]
- Ramirez, H.; Patel, S.B.; Pastar, I. The Role of TGFβ Signaling in Wound Epithelialization. Adv. Wound Care 2014, 3, 482–491. [Google Scholar] [CrossRef]
- Cooper, M.A.; Shlaes, D. Fix the antibiotics pipeline. Nature 2011, 472, 32–33. [Google Scholar] [CrossRef]
- Almeida, J.R.; Palacios, A.L.V.; Patino, R.S.P.; Mendes, B.; Teixeira, C.A.S.; da Silva, S.L. Harnessing snake venom phospholipases A2 to novel approaches for overcoming antibiotic resistance. Br. J. Pharmacol. 2019, 80, 68–85. [Google Scholar]
- Perez-Peinado, C.; Dias, S.A.; Domingues, M.M.; Benfield, A.H.; Freire, J.M.; Radis-Baptista, G.; Gaspar, D.; Castanho, M.A.R.B.; Craik, D.J.; Henriques, S.T.; et al. Mechanisms of bacterial membrane permeabilization by crotalicidin (Ctn) and its fragment Ctn(15-34), antimicrobial peptides from rattlesnake venom. J. Biol. Chem. 2018, 293, 1536–1549. [Google Scholar] [CrossRef]
- Zasloff, M. Antimicrobial peptides in health and disease. N. Engl. J. Med. 2002, 347, 1199–1200. [Google Scholar] [CrossRef] [PubMed]
- Mangoni, M.L.; McDermott, A.M.; Zasloff, M. Antimicrobial Peptides and Wound Healing: Biological and Therapeutic Considerations. Exp. Dermatol. 2016, 25, 167–173. [Google Scholar] [CrossRef]
- Fellermann, K.; Wehkamp, J.; Stange, E.F. Antimicrobial peptides in the skin. N. Engl. J. Med. 2003, 348, 361–363. [Google Scholar]
- Harder, J.; Schroder, J.M. Psoriatic scales: A promising source for the isolation of human skin-derived antimicrobial proteins. J. Leukoc. Biol. 2005, 77, 476–486. [Google Scholar] [CrossRef] [PubMed]
- Moretta, A.; Scieuzo, C.; Petrone, A.M.; Salvia, R.; Manniello, M.D.; Franco, A.; Lucchetti, D.; Vassallo, A.; Vogel, H.; Sgambato, A.; et al. Antimicrobial peptides: A new hope in biomedical and pharmaceutical fields. Front. Cell. Infect. Microbiol. 2021, 11, 668632. [Google Scholar] [CrossRef] [PubMed]
- Calvete, J.J.; Juarez, P.; Sanz, L. Snake venomics. Strategy and applications. J. Mass Spectrum. 2007, 42, 1405–1414. [Google Scholar] [CrossRef]
- Takacs, Z. Toxins to Drugs-Biochemistry and Pharmacology. In Handbook of Venoms and Toxins of Reptiles, 2nd ed.; Mackessy, S.P., Ed.; CRC Press: Boca Raton, FL, USA, 2016; pp. 635–652. [Google Scholar]
- Soares, A.M.; Guerra-Sá, R.; Borja-Oliveira, C.R.; Rodrigues, V.M.; Rodrigues-Simioni, L.; Rodrigues, V.; Fontes, M.R.; Lomonte, B.; Gutiérrez, J.M.; Giglio, J.R. Structural and functional characterization of BnSP-7, a lysine-49 myotoxic phospholipase A2 homologue from Bothrops neuwiedi pauloensis venom. Arch. Biochem. Biophys. 2000, 378, 201–209. [Google Scholar] [CrossRef]
- Lomonte, B.; Angulo, J.; Calderon, L. An overview of lysine-49 phospholipase A2 myotoxins from crotalid snake venoms and their structural determinants of myotoxic action. Toxicon 2003, 42, 885–901. [Google Scholar] [CrossRef]
- Tasoulis, T.; Isbister, G.K. A review and database of snake venom proteomes. Toxins 2017, 9, 290. [Google Scholar] [CrossRef]
- Bocian, A.; Hus, K.K. Antibacterial properties of snake venom components. Chem. Pap. 2019, 74, 407–419. [Google Scholar] [CrossRef]
- Sharma, A.; Khanna, S.; Kaur, G.; Singh, I. Medicinal plants and their components for wound healing applications. Future J. Pharm. Sci. 2021, 7, 53. [Google Scholar] [CrossRef]
- Samy, R.P.; Gopalakrishnakone, P.; Stiles, B.G.; Girish, K.S.; Swamy, S.N.; Hemshekhar, M.; Tan, K.S.; Rowan, E.G.; Sethi, G.; Chow, V.T.K. Snake venom phospholipases A2: A novel tool against bacterial diseases. Curr. Med. Chem. 2012, 19, 6150–6162. [Google Scholar] [CrossRef]
- Samy, R.P.; Sethi, G.; Lim, L.H. A brief update on potential molecular mechanisms underlying antimicrobial and wound-healing potency of snake venom molecules. Biochem. Pharmacol. 2016, 115, 1–9. [Google Scholar] [CrossRef]
- Mladic, M.; Slagboom, J.; Kool, J.; Vonk, F.J.; van Wezel, G.P.; Richardson, M.K. Detection and identification of antibacterial proteins in snake venoms using at-line nanofractionation coupled to LC-MS. Toxicon 2018, 155, 66–74. [Google Scholar] [CrossRef]
- Salama, W.H.; Ibrahim, N.M.; El Hakim, A.E.; Bassuiny, R.I.; Mohamed, M.M.; Mousa, F.M.; Ali, M.M. L-Amino acid oxidase from Cerastes vipera snake venom: Isolation, characterization and biological effects on bacteria and tumor cell lines. Toxicon 2018, 150, 270–279. [Google Scholar] [CrossRef]
- Almeida, J.R.; Mendes, B.; Lancellotti, M.; Marangoni, S.; Vale, N.; Passos, Ó.; Ramos, M.J.; Fernandes, P.A.; Gomes, P.; Da Silva, S.L. A novel synthetic peptide inspired on Lys49 phospholipase A2 from Crotalus oreganus abyssus snake venom active against multidrug-resistant clinical isolates. Eur. J. Med. Chem. 2018, 149, 248–256. [Google Scholar] [CrossRef]
- Sala, A.; Cabassi, C.S.; Santospirito, D.; Polverini, E.; Flisi, S.; Cavirani, S.; Taddei, S. Novel Naja atra cardiotoxin 1 (CTX-1) derived antimicrobial peptides with broad spectrum activity. PLoS ONE 2018, 13, e0190778. [Google Scholar] [CrossRef]
- Samy, R.P.; Manikandan, J.; Sethi, G.; Franco, O.L.; Okonkwo, J.C.; Stiles, B.G.; Chow, V.T.K.; Gopalakrishnakone, P.; Qahtani, M.A. Snake venom proteins: Development into antimicrobial and wound healing agents. Mini Rev. Org. Chem. 2014, 11, 4–14. [Google Scholar] [CrossRef]
- Samy, R.P.; Kandasamy, M.; Gopalakrishnakone, P.; Stiles, B.G.; Rowan, E.G.; Becker, D.; Shanmugam, M.K.; Sethi, G.; Chow, V.T.K. Wound healing activity and mechanisms of action of an antibacterial protein from the venom of the eastern diamondback rattlesnake (Crotalus adamanteus). PLoS ONE 2014, 9, e80199. [Google Scholar] [CrossRef]
- Lin, A.; Hokugo, A.; Choi, J.; Nishimura, I. Small Cytoskeleton-Associated Molecule, Fibroblast Growth Factor Receptor 1 Oncogene Partner 2/Wound Inducible Transcript-3.0 (FGFR1OP2/wit3.0), Facilitates Fibroblast-Driven Wound Closure. Am. J. Pathol. 2010, 176, 108–121. [Google Scholar] [CrossRef]
- Yang, L.; Chan, T.; Demare, J.; Iwashina, T.; Ghahary, A.; Scott, P.G.; Tredget, E.E. Healing of burn wounds in transgenic mice overexpressing transforming growth factor-beta 1 in the epidermis. Am. J. Pathol. 2001, 159, 2147–2157. [Google Scholar] [CrossRef] [PubMed]
- Muller, S.P.; Silva, V.A.O.; Silvestrini, A.V.P.; Macedo, L.H.; Caetano, G.F.; Reis, R.M.; Mazzi, M.V. Crotoxin from Crotalus durissus terrificus venom: In vitro cytotoxic activity of a heterodimeric phospholipase A2 on human cancer-derived cell lines. Toxicon 2018, 156, 13–22. [Google Scholar] [CrossRef] [PubMed]
- Blaylock, R.S. Antibacterial properties of KwaZulu natal snake venoms. Toxicon 2000, 38, 1529–1534. [Google Scholar] [CrossRef] [PubMed]
- Samy, R.P.; Gopalakrishnakone, P.; Thwin, M.M.; Chow, T.K.; Bow, H.; Yap, E.H.; Thong, T.W.J. Antibacterial activity of snake, scorpion and bee venoms: A comparison with purified venom phospholipase A2 enzymes. J. Appl. Microbiol. 2007, 102, 650–659. [Google Scholar] [CrossRef]
- Stiles, B.G.; Sexton, F.W.; Weinstein, S.A. Antibacterial effects of different snake venoms: Purification and characterization of antibacterial proteins from Pseudechis australis (Australian king brown or mulga snake) venom. Toxicon 1991, 29, 1129–1141. [Google Scholar] [CrossRef]
- Kuch, U.; Keogh, J.S.; Weigel, J.; Smith, L.A.; Mebs, D. Phylogeography of Australia’s king brown snake (Pseudechis australis) reveals Pliocene divergence and Pleistocene dispersal of a top predator. Naturwissenschaften 2005, 92, 121–127. [Google Scholar] [CrossRef]
- Shibl, A.M. Influence of subinhibitory concentrations of antibiotics on virulence of Staphylococci. Clin. Infect. Dis. 1987, 9, 704–712. [Google Scholar] [CrossRef]
- Shimoda, M.; Ohki, K.; Shimamoto, Y.; Kohashi, O. Morphology of defensin treated Staphylococcus aureus. Infect. Immun. 1995, 63, 2886–2891. [Google Scholar] [CrossRef]
- Santhosh, M.S.; Hemshekhar, M.; Sunitha, K.; Thushara, R.M.; Jnaneshwari, S.; Kemparaju, K.; Girish, K.S. Snake venom induced local toxicities: Plant secondary metabolites as an auxiliary therapy. Mini Rev. Med. Chem. 2013, 13, 106–123. [Google Scholar] [CrossRef]
- Singer, A.J.; Clark, R.A. Cutaneous wound healing. N. Engl. J. Med. 1999, 341, 738–746. [Google Scholar] [CrossRef]
- Hashimoto, K. Regulation of keratinocyte functions by growth factors. J. Dermatol. Sci. 2000, 24, 46–50. [Google Scholar] [CrossRef]
- Eming, S.A.; Krieg, T.; Davidson, J.M. Inflammation in wound repair: Molecular and cellular mechanisms. J. Investig. Dermatol. 2007, 127, 514–525. [Google Scholar] [CrossRef]
- Dang, C.; Ting, K.; Soo, C.; Longaker, M.T.; Lorenz, H.P. Fetal wound healing current perspectives. Clin. Plast. Surg. 2002, 30, 13–23. [Google Scholar] [CrossRef]
- Gawronska-Kozak, B. Scarless skin wound healing in FOXN1 deficient (nude) mice is associated with distinctinve matrix metalloproteinase expression. Matrix Biol. 2011, 30, 290–300. [Google Scholar] [CrossRef]
- Armendariz-Borunda, J.; Katayama, K.; Seyer, J.M. Transcriptional mechanisms of type I collagen gene expression are differentially regulated by interleukin-1 beta, tumor necrosis factor alpha, and transforming growth factor beta in Ito cells. J. Biol. Chem. 1992, 67, 14316–14321. [Google Scholar] [CrossRef]
- Roberts, A.B.; Russo, A.; Felici, A.; Flanders, K.C.; Flanders, K.C. Smad3: A key player in pathogenetic mechanisms dependent on TGF-beta. Ann. NY Acad. Sci. 2003, 995, 1–10. [Google Scholar] [CrossRef]
- Gabbiani, G. The myofibroblast in wound healing and fibrocontractive diseases. J. Pathol. 2003, 200, 500–503. [Google Scholar] [CrossRef]
- Diegelmann, R.F.; Evans, M.C. Wound healing: An overview of acute, fibrotic and delayed healing. Front. Biosci. 2004, 1, 283–289. [Google Scholar] [CrossRef]
- Sato, Y.; Ohshima, T. The expression of mRNA of proinflammatory cytokines during skin wound healing in mice: A preliminary study for forensic wound age estimation (II). Int. J. Leg. Med. 2000, 113, 140–145. [Google Scholar] [CrossRef]
- Dehne, M.G.; Sablotzki, A.; Hoffmann, A.; Muhling, J.; Dietrich, F.E.; Hempelmann, G. Alterations of acute phase reaction and cytokine production in patients following severe burn injury. Burns 2002, 28, 535–546. [Google Scholar] [CrossRef]
- Sauder, D.N.; Semple, J.; Truscott, D.; George, B.; Clowes, G.H. Stimulation of muscle protein degradation by murine and human epidermal cytokines: Relationship to thermal injury. J. Investig. Dermatol. 1986, 87, 711–714. [Google Scholar] [CrossRef] [PubMed]
- Granstein, R.D.; Margolis, R.; Mizel, S.B.; Sauder, D.N. In vivo inflammatory activity of epidermal cell-derived thymocyte activating factor and recombinant interleukin 1 in the mouse. J. Clin. Investig. 1986, 77, 1020–1027. [Google Scholar] [CrossRef] [PubMed]
- Havemose-Poulsen, A.; Holmstrup, P. Factors affecting IL-1-mediated collagen metabolism by fibroblasts and the pathogenesis of periodontal disease: A review of the literature. Crit. Rev. Oral Biol. Med. 1997, 8, 217–236. [Google Scholar] [CrossRef] [PubMed]
- Matsushima, K.; Bano, M.; Kidwell, W.R.; Oppenheim, J.J. Interleukin 1 increases collagen type IV production by murine mammary epithelial cells. J. Immunol. 1985, 134, 904–909. [Google Scholar] [CrossRef] [PubMed]
- Postlethwaite, A.E.; Lachman, L.B.; Kang, A.H. Induction of fibroblast proliferation by interleukin-1 derived from human monocytic leukemia cells. Arthritis Rheumatol. 1984, 27, 995–1001. [Google Scholar] [CrossRef]
- Tripp, C.S.; Blomme, E.A.; Chinn, K.S.; Hardy, M.M.; LaCelle, P.; Pentland, A.P. Epidermal COX-2 induction following ultraviolet irradiation: Suggested mechanism for the role of COX-2 inhibition in photoprotection. J. Investig. Dermatol. 2003, 121, 853–861. [Google Scholar] [CrossRef]
- Gallucci, R.M.; Simeonova, P.P.; Matheson, J.M.; Kommineni, C.; Curie, J.L.; Sugawara, T.; Luster, M.I. Impaired cutaneous wound healing in interleukin-6-deficient and immunosuppressed mice. FASEB J. 2000, 14, 2525–2531. [Google Scholar] [CrossRef]
- Boilly, B.; Vercoutter-Edouart, A.S.; Hondermarck, H.; Nurcombe, V.; Le Bourhis, X. FGF signals for cell proliferation and migration through different pathways. Cytokine Growth Factor Rev. 2000, 11, 295–302. [Google Scholar] [CrossRef]
- Xu, W.; Jia, S.; Xie, P.; Zhong, A.; Galiano, R.D.; Mustoe, T.A.; Hong, S.J. The expression of proinflammatory genes in epidermal keratinocytes is regulated by hydration status. J. Investig. Dermatol. 2014, 134, 1044–1055. [Google Scholar] [CrossRef]
- Gillian, S.; Jeong, A.M.-J.; Ashworth, A.J.; Hardman, M.; Jin, W.; Moutsopoulos, N.; Wild, T.; McCartney-Francis, N.; Sim, D.; McGrady, G.; et al. TNF-α is a therapeutic target for impaired cutaneous wound healing. Wound Repair Regen. 2012, 20, 38–49. [Google Scholar]
- Bradford, M.M. A rapid and sensitive method for the quantitation of microgram quantities of protein utilizing the principle of protein-dye binding. Anal. Biochem. 1976, 72, 248–254. [Google Scholar] [CrossRef]
- Samy, R.P.; Thwin, M.M.; Stiles, B.G.; Satyanarayana-Jois, S.; Chinnathambi, A.; Zayed, M.E.; Alharbi, S.A.; Siveen, K.S.; Sikka, S.; Kumar, A.P.; et al. Novel phospholipase A2 inhibitors from python serum are potent peptide antibiotics. Biochimie 2015, 111, 30–44. [Google Scholar] [CrossRef]
- Reynolds, L.J.; Hughes, L.L.; Dennis, E.A. Analysis of human synovial fluid phospholipase A2 on short chain phosphatidylcholine-mixed micelles: Development of a spectrophotometric assay suitable for a microtiter plate reader. Anal. Biochem. 1992, 204, 190–197. [Google Scholar] [CrossRef]
- Samy, R.P.; Gopalakrishnakone, P.; Ho, B.; Chow, V.T.K. Purification, characterization and bactericidal activities of basic phospholipase A2 from the venom of Agkistrodon halys (Chinese pallas). Biochimie 2008, 90, 1372–1388. [Google Scholar] [CrossRef]
- Approved Standard M7-A4; Methods for Dilution Antimicrobial Susceptibility Tests for Bacteria that Grow Aerobically. National Committee for Clinical Standards, National Committee for Clinical Laboratory Standards: Wayne, PA, USA, 1997.
- Oliveira, J.C.R.; de Oca, H.M.; Duarte, M.M.; Diniz, C.R.; Fortes-Dias, C.L. Toxicity of South American snake venoms measured by an in vitro cell culture assay. Toxicon 2002, 40, 321–325. [Google Scholar] [CrossRef]
- Ong, P.Y.; Ohtake, T.; Brandt, C.; Strickland, I.; Boguniewicz, M.; Ganz, T.; Gallo, R.L.; Leung, D.Y. Endogenous antimicrobial peptides and skin infections in atopic dermatitis. N. Engl. J. Med. 2002, 347, 1151–1160. [Google Scholar] [CrossRef]
- Kugelberg, E.; Norstrom, T.; Petersen, T.K.; Duvold, T.; Andersson, D.I.; Hughes, D. Establishment of a superficial skin infection model in mice by using Staphylococcus aureus and Streptococcus pyogenes. Antimicrob. Agents Chemother. 2005, 49, 3435–3441. [Google Scholar] [CrossRef]
- Godin, B.; Touitou, E.; Rubinstein, E.; Athamna, A.; Athamna, M. A new approach for treatment of deep skin infections by an ethosomal antibiotic preparation: An in vivo study. J. Antimicrob. Chemother. 2005, 55, 989–994. [Google Scholar] [CrossRef]
- Rodrigues, V.M.; Soares, A.M.; Andriao-Escarso, S.H.; Franceschi, A.M.; Rucavado, A.; Gutierrez, J.M.; Giglio, J.R. Pathological alterations induced by neuwiedase, a metalloproteinase isolated from Bothrops neuwiedi snake venom. Biochimie 2001, 83, 471–479. [Google Scholar] [CrossRef]
- D’Suzea, G.; Salazarb, V.; Dıaza, P.; Sevcik, C.; Azpurua, H.; Bracho, N. Histophatological changes and inflammatory response induced by Tityus discrepans scorpion venom in rams. Toxicon 2004, 44, 851–860. [Google Scholar]
- Pache, M.; Meyer, P. Morphological changes of the retrobulbar optic nerve and its meningeal sheaths in glaucoma. Opthalmologica 2006, 220, 393–396. [Google Scholar] [CrossRef] [PubMed]
- Ashcroft, G.S.; Mills, S.J.; Lei, K.; Gibbons, L.; Jeong, M.J.; Taniguchi, M.; Burow, M.; Horan, M.A.; Wahl, S.M.; Nakayama, T. Estrogen modulates cutaneous wound healing by downregulating macrophage migration inhibitory factor. J. Clin. Investig. 2003, 111, 1309–1318. [Google Scholar] [CrossRef] [PubMed]
- Laemmli, U.K. Cleavage of structural proteins during the assembly of the head of bacteriophage. Nature 1970, 227, 680–685. [Google Scholar] [CrossRef] [PubMed]
- Clore, J.N.; Cohen, I.K.; Diegelmann, R.F. Quantitation of collagen types I and III during wound healing in rat skin. Exp. Biol. Med. 1979, 161, 337–340. [Google Scholar] [CrossRef] [PubMed]











| Fraction | Protein (mg) | PLA2 Activity (nmoles/Unit of Enzyme) | S. aureus | E. aerogenes | P. vulgaris | P. mirabilis | E. coli | P. aeruginosa |
|---|---|---|---|---|---|---|---|---|
| Pa-crude venom | 2000 | 1028 | +++ | ++ | + | + | - | - |
| Superdex G-75 | ||||||||
| Pa1 | 149.5 | 1.3 | - | - | - | - | - | - |
| Pa2 | 312 | 177.8 | + | + | - | - | - | - |
| Pa3 | 213 | 121 | + | + | - | - | - | - |
| Pa4 | 962 | 1134 | +++ | +++ | + | + | - | - |
| Pa5 | 112 | 18.9 | - | - | - | - | - | - |
| Pa6 | 202 | 11.2 | - | - | - | - | - | - |
| Sepharose C18 | ||||||||
| Pa–F1 | 728 | 268.2 | + | + | - | - | - | - |
| Pa–F2 | 821 | 1225 | ++++ | +++ | + | + | - | - |
| Pa–F3 | 12.9 | 124.9 | - | - | - | - | - | - |
| Pa–F4 | 104 | 128.1 | - | - | - | - | - | - |
| Pa–F5 | 5.3 | 174.1 | - | - | - | - | - | - |
| Pa–F6 | 6.6 | 142.0 | - | - | - | - | - | - |
| Sepharose C8 | ||||||||
| PaTx-I | 325 | 289.1 | + | - | - | - | - | - |
| PaTx-II | 996.3 | 1283.1 | ++++ | +++ | ++ | ++ | - | - |
| Chloramphenicol | - | - | ++++ | +++ | +++ | +++ | ++ | ++ |
| Fusidic acid | - | - | ++++ | +++ | ++ | ++ | ++ | ++ |
Disclaimer/Publisher’s Note: The statements, opinions and data contained in all publications are solely those of the individual author(s) and contributor(s) and not of MDPI and/or the editor(s). MDPI and/or the editor(s) disclaim responsibility for any injury to people or property resulting from any ideas, methods, instructions or products referred to in the content. |
© 2023 by the authors. Licensee MDPI, Basel, Switzerland. This article is an open access article distributed under the terms and conditions of the Creative Commons Attribution (CC BY) license (https://creativecommons.org/licenses/by/4.0/).
Share and Cite
Samy, R.P.; Mackessy, S.P.; Jeyasankar, A.; Ponraj, M.R.; Franco, O.L.; Cooper, M.A.; Kandasamy, M.; Mohanta, T.K.; Bhagavathsingh, J.; Vaiyapuri, S. Purification of PaTx-II from the Venom of the Australian King Brown Snake and Characterization of Its Antimicrobial and Wound Healing Activities. Int. J. Mol. Sci. 2023, 24, 4359. https://doi.org/10.3390/ijms24054359
Samy RP, Mackessy SP, Jeyasankar A, Ponraj MR, Franco OL, Cooper MA, Kandasamy M, Mohanta TK, Bhagavathsingh J, Vaiyapuri S. Purification of PaTx-II from the Venom of the Australian King Brown Snake and Characterization of Its Antimicrobial and Wound Healing Activities. International Journal of Molecular Sciences. 2023; 24(5):4359. https://doi.org/10.3390/ijms24054359
Chicago/Turabian StyleSamy, Ramar Perumal, Stephen P. Mackessy, Alagarmalai Jeyasankar, Mano Ranjana Ponraj, Octavio Luiz Franco, Matthew A. Cooper, Matheswaran Kandasamy, Tapan Kumar Mohanta, Jebasingh Bhagavathsingh, and Sakthivel Vaiyapuri. 2023. "Purification of PaTx-II from the Venom of the Australian King Brown Snake and Characterization of Its Antimicrobial and Wound Healing Activities" International Journal of Molecular Sciences 24, no. 5: 4359. https://doi.org/10.3390/ijms24054359
APA StyleSamy, R. P., Mackessy, S. P., Jeyasankar, A., Ponraj, M. R., Franco, O. L., Cooper, M. A., Kandasamy, M., Mohanta, T. K., Bhagavathsingh, J., & Vaiyapuri, S. (2023). Purification of PaTx-II from the Venom of the Australian King Brown Snake and Characterization of Its Antimicrobial and Wound Healing Activities. International Journal of Molecular Sciences, 24(5), 4359. https://doi.org/10.3390/ijms24054359

