OncoTherad® (MRB-CFI-1) Nanoimmunotherapy: A Promising Strategy to Treat Bacillus Calmette–Guérin-Unresponsive Non-Muscle-Invasive Bladder Cancer: Crosstalk among T-Cell CX3CR1, Immune Checkpoints, and the Toll-Like Receptor 4 Signaling Pathway
Abstract
1. Introduction
2. Results
2.1. OncoTherad® (MRB-CFI-1) Nanoimmunotherapy Primarily Activated Toll-Like Receptor 4 (TLR4)
2.2. Patients’ Baseline Demographics and General Features
2.3. OncoTherad® (MRB-CFI-1) Nanoimmunotherapy Has Shown High Pathological Complete Response (pCR) Rates, as Well as Increased Relapse-Free Survival (RFS) and Response Duration (RD), within a 24-Month Follow-Up
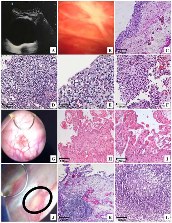
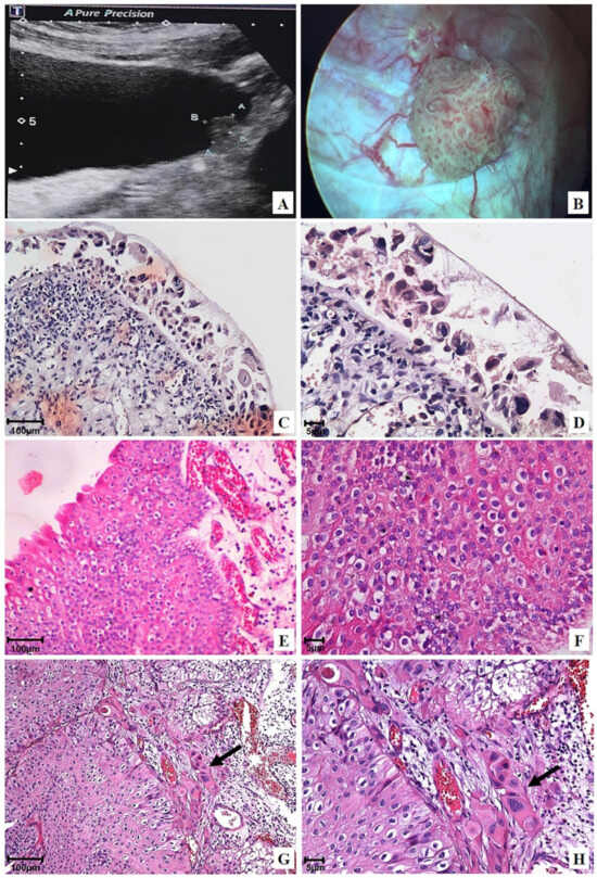
2.4. OncoTherad® (MRB-CFI-1) Nanoimmunotherapy Promoted Non-Neoplastic Cystoscopic and Tissue Changes in Patients’ Urinary Bladder at the End of the 24-Month Follow-Up
2.5. OncoTherad® (MRB-CFI-1) Nanoimmunotherapy Induced Mild-to-Moderate Side Effects during the 24-Month Follow-Up
2.6. OncoTherad® (MRB-CFI-1) Nanoimmunotherapy Triggered Innate Immune System Activation through TLR4-Mediated Mechanisms and Led to Interferon Signaling Pathway Augmentation, which Was Followed by CD8+ T Cell Activation
2.7. OncoTherad® (MRB-CFI-1) Nanoimmunotherapy Reduced the Immunosuppression State, as Well as the Immune Checkpoint Immunoreactivity, within the Tumor Microenvironment
3. Discussion
4. Materials and Methods
4.1. Assessing Toll-like Receptor (TLR) Ligands in Human Cells: OncoTherad® (MRB-CFI-1) and Its Components (CFI-1 and P14-16 Protein)
- TLR2: Heat-killed Listeria monocytogenes (HKLM). Concentration: 108 cells/mL.
- TLR3: Poly(I:C). Concentration: 1 µg/mL.
- TLR4: Escherichia coli K12 lipopolysaccharide (E. coli K12 LPS). Concentration: 100 ng/mL.
- TLR5: Salmonella Typhimurium flagellin (S. Typhimurium flagellin). Concentration: 100 ng/mL.
- TLR7: CL097. Concentration: 1 µg/mL.
- TLR8: CL075. Concentration: µg/mL.
- TLR9: CpG ODN 2006. Concentration: 1 µg/mL.
- NF-κB control cells: TNF-α. Concentration: 100 ng/mL.
4.2. Pharmacological Treatment Delivered to NMIBC Patients: OncoTherad® (MRB-CFI-1) Nanoimmunotherapy
- (a)
- Induction Phase: Intravesical (at concentration of 120 mg/mL, intravesically retained for 1 h, while patients were asked to rotate positions to maximise bladder surface exposure) and intramuscular (at concentration of 25 mg/mL) OncoTherad® (MRB-CFI-1) administrations on a weekly basis for six consecutive weeks.
- (b)
- Maintenance Phase: Biweekly OncoTherad® (MRB-CFI-1) administrations (both intravesical and intramuscular) for three months, followed by monthly administrations (both intravesical and intramuscular) for additional nine months, totaling one year of treatment. Subsequently, quarterly OncoTherad® (MRB-CFI-1) administrations (both intravesical and intramuscular) were maintained for another year.
4.3. Assessing the Therapeutic Effectiveness of OncoTherad® (MRB-CFI-1) Nanoimmunotherapy
4.4. Inclusion and Exclusion Criteria
4.4.1. Inclusion Criteria
- Aged ≥18 years
- Histologically confirmed diagnosis of NMIBC (Ta, T1, and/or carcinoma in situ—CIS) with urothelial carcinoma—predominant histology.
- Presence of multiple tumors (>2 lesions) and/or recurrent and/or large tumors (>3 cm) classified as TaG1-2.
- Diagnosis of grade 3 urothelial bladder carcinoma.
- Completed ≥1 adequate course of BCG induction therapy for the treatment of NMIBC.
- Persistent or recurrent high-risk NMIBC after adequate induction therapy.
- Patients who were refractory or intolerant to BCG treatment.
- Patients who were recurrent or refractory to first and second-line chemotherapy since they are at higher risk of disease progression to invasive and/or metastatic cancer.
- Willingness to provide informed consent.
- Clinical ineligibility for radical cystectomy.
- Patients who declined radical cystectomy.
- Adequate organ function.
4.4.2. Exclusion Criteria
- Diagnosis of muscle-invasive bladder tumors.
- Metastatic bladder tumors.
- Histological types other than urothelial carcinoma, including adenocarcinoma and squamous cell carcinoma.
- Patients with cardiac function classified as higher than class III since it indicates the need of cardiac procedures or treatments.
- Presence of comorbidities, such as demyelinating diseases of the central nervous system (e.g., multiple sclerosis, optic neuritis), congestive heart failure class II or higher, chronic obstructive pulmonary disease, interstitial lung diseases (including pulmonary fibrosis), tuberculosis (any form), chronic kidney failure stage II or higher, liver cirrhosis of any cause, chronic viral hepatitis, HIV infection (with or without AIDS), leprosy, systemic lupus erythematosus, rheumatoid arthritis, scleroderma, any glomerular kidney disease, bullous skin diseases, chronic fungal infections, chronic parasitic diseases, or being a transplant recipient on immunosuppressants.
- Current or prior diagnosis of any other malignant neoplasm (except for non-melanoma skin cancer) unrelated to the inclusion tumor.
- Having access to any antineoplastic immunotherapy approved to treat their respective tumor.
4.5. Histopathological Analysis
4.6. Toxicological Analyses of OncoTherad® (MRB-CFI-1) Nanoimmunotherapy
- Complete blood count, including hemoglobin and white blood cell counts.
- Thrombogram.
- Serum glucose, aspartate transaminase (AST), alanine transaminase (ALT), gamma-glutamyl transferase (GGT), urea, and creatinine levels.
4.7. Immunohistochemical Analyses Applied to TLR4, TRIF, TBK1, IRF3, IFN-γ, CX3CR1, FOXP3, PD-L1, CTLA4, and iNOS in Bladder Biopsies, Both before and after OncoTherad® (MRB-CFI-1) Treatment Application
4.8. Western Blotting Analysis Applied to CX3CR1 in Patients’ Peripheral Blood, Both before and after OncoTherad® (MRB-CFI-1) Treatment Application
4.9. Statistical Analyses
5. Conclusions
6. Patents
Supplementary Materials
Author Contributions
Funding
Institutional Review Board Statement
Informed Consent Statement
Data Availability Statement
Acknowledgments
Conflicts of Interest
References
- Faguet, G.B. A brief history of cancer: Age-old milestones underlying our current knowledge database. Int. J. Cancer 2015, 136, 2022–2036. [Google Scholar] [CrossRef]
- Celada Luis, G.; Albers Acosta, E.; de la Fuente, H.; Velasco Balanza, C.; Arroyo Correas, M.; Romero-Laorden, N.; Alfranca, A.; Olivier Gómez, C. A Comprehensive Analysis of Immune Response in Patients with Non-Muscle-Invasive Bladder Cancer. Cancers 2023, 15, 1364. [Google Scholar] [CrossRef]
- Bray, F.; Ferlay, J.; Soerjomataram, I.; Siegel, R.L.; Torre, L.A.; Jemal, A. Global cancer statistics 2018: GLOBOCAN estimates of incidence and mortality worldwide for 36 cancers in 185 countries. CA Cancer J. Clin. 2018, 68, 394–424. [Google Scholar] [CrossRef]
- Allard, P.; Bernard, P.; Fradet, Y.; Têtu, B. The early clinical course of primary Ta and T1 bladder cancer: A proposed prognostic index. Br. J. Urol. 1998, 81, 692–698. [Google Scholar] [CrossRef] [PubMed]
- Askeland, E.J.; Newton, M.R.; O’Donnell, M.A.; Luo, Y. Bladder cancer immunotherapy: BCG and beyond. Adv. Urol. 2012, 2012, 181987. [Google Scholar] [CrossRef]
- Lamm, D.; Persad, R.; Brausi, M.; Buckley, R.; Witjes, J.A.; Palou, J.; Böhle, A.; Kamat, A.M.; Colombel, M.; Soloway, M. Defining progression in nonmuscle invasive bladder cancer: It is time for a new, standard definition. J. Urol. 2014, 191, 20–27. [Google Scholar] [CrossRef] [PubMed]
- Babjuk, M.; Burger, M.; Capoun, O.; Cohen, D.; Compérat, E.M.; Dominguez Escrig, J.L.; Gontero, P.; Liedberg, F.; Masson-Lecomte, A.; Mostafid, A.H.; et al. European Association of Urology Guidelines on Non-Muscle-Invasive Bladder Cancer (Ta, T1, and Carcinoma in situ). Eur. Urol. 2022, 81, 75–94. [Google Scholar] [CrossRef] [PubMed]
- Sylvester, R.J.; van der Meijden, A.P.; Oosterlinck, W.; Witjes, J.A.; Bouffioux, C.; Denis, L.; Newling, D.W.; Kurth, K. Predicting recurrence and progression in individual patients with stage Ta T1 bladder cancer using EORTC risk tables: A combined analysis of 2596 patients from seven EORTC trials. Eur. Urol. 2006, 49, 466–477. [Google Scholar] [CrossRef] [PubMed]
- Van Rhijn, B.W.; Burger, M.; Lotan, Y.; Solsona, E.; Stief, C.G.; Sylvester, R.J.; Witjes, J.A.; Zlotta, A.R. Recurrence and progression of disease in non-muscle-invasive bladder cancer: From epidemiology to treatment strategy. Eur. Urol. 2009, 56, 430–442. [Google Scholar] [CrossRef] [PubMed]
- Lobo, N.; Martini, A.; Kamat, A.M. Evolution of immunotherapy in the treatment of non-muscle-invasive bladder cancer. Expert Rev. Anticancer Ther. 2022, 22, 361–370. [Google Scholar] [CrossRef]
- De Jong, F.C.; Laajala, T.D.; Hoedemaeker, R.F.; Jordan, K.R.; van der Made, A.C.J.; Boevé, E.R.; van der Schoot, D.K.E.; Nieuwkamer, B.; Janssen, E.A.M.; Mahmoudi, T.; et al. Non-muscle-invasive bladder cancer molecular subtypes predict differential response to intravesical Bacillus Calmette-Guérin. Sci. Transl. Med. 2023, 15, eabn4118. [Google Scholar] [CrossRef] [PubMed]
- Kamat, A.M.; Lerner, S.P.; O’Donnell, M.; Georgieva, M.V.; Yang, M.; Inman, B.A.; Kassouf, W.; Boorjian, S.A.; Tyson, M.D.; Kulkarni, G.S.; et al. Evidence-Based Assessment of Current and Emerging Bladder-Sparing Therapies for Non-Muscle-Invasive Bladder Cancer after Bacillus Calmette-Guerin Therapy: A Systematic Review and Meta-Analysis. Eur. Urol. Oncol. 2020, 3, 318–340. [Google Scholar] [CrossRef]
- De Jong, F.C.; Hoedemaeker, R.F.; Kvikstad, V.; Mensink, J.T.M.; de Jong, J.J.; Boevé, E.R.; van der Schoot, D.K.E.; Zwarthoff, E.C.; Boormans, J.L.; Zuiverloon, T.C.M. T1 Substaging of Nonmuscle Invasive Bladder Cancer is Associated with Bacillus Calmette-Guérin Failure and Improves Patient Stratification at Diagnosis. J. Urol. 2021, 205, 701–708. [Google Scholar] [CrossRef] [PubMed]
- Klaassen, Z.; Kamat, A.M.; Kassouf, W.; Gontero, P.; Villavicencio, H.; Bellmunt, J.; van Rhijn, B.W.G.; Hartmann, A.; Catto, J.W.F.; Kulkarni, G.S. Treatment Strategy for Newly Diagnosed T1 High-Grade Bladder Urothelial Carcinoma: New Insights and Updated Recommendations. Eur. Urol. 2018, 74, 597–608. [Google Scholar] [CrossRef]
- Mostafid, A.H.; Palou Redorta, J.; Sylvester, R.; Witjes, J.A. Therapeutic options in high-risk non-muscle-invasive bladder cancer during the current worldwide shortage of bacille Calmette-Guérin. Eur. Urol. 2015, 67, 359–360. [Google Scholar] [CrossRef] [PubMed]
- Yang, Y.; Feng, R.; Wang, Y.Z.; Sun, H.W.; Zou, Q.M.; Li, H.B. Toll-like receptors: Triggers of regulated cell death and promising targets for cancer therapy. Immunol. Lett. 2020, 223, 1–9. [Google Scholar] [CrossRef] [PubMed]
- Bourquin, C.; Pommier, A.; Hotz, C. Harnessing the immune system to fight cancer with Toll-like receptor and RIG-I-like receptor agonists. Pharmacol. Res. 2020, 154, 104192. [Google Scholar] [CrossRef]
- Yamauchi, T.; Hoki, T.; Oba, T.; Jain, V.; Chen, H.; Attwood, K.; Battaglia, S.; George, S.; Chatta, G.; Puzanov, I.; et al. T-cell CX3CR1 expression as a dynamic blood-based biomarker of response to immune checkpoint inhibitors. Nat. Commun. 2021, 12, 1402. [Google Scholar] [CrossRef]
- Takeda, K.; Akira, S. TLR signaling pathways. Semin. Immunol. 2004, 16, 3–9. [Google Scholar] [CrossRef]
- Satoh, T.; Akira, S. Toll-like receptor signaling and its inducible proteins. Microbiol. Spectr. 2016, 4, 10–1128. [Google Scholar] [CrossRef]
- Fávaro, W.J.; Durán-Caballero, N.E. Process of Obtaining a Nanostructured Complex (CFI-1), Associated to Nanostructured CFI-1 with a Protein (MRB-CFI-1) and Its Use. Brazil Patent PIBR10.2017.012768.0, 23 August 2023. [Google Scholar]
- Böckelmann, P.K.; Tizziani, S.H.S.; Durán, N.; Fávaro, W.J. New therapeutic perspective for bladder cancer in dogs: Toxicological and clinical effects of oncotherad nanostructured immunotherapy. J. Phys. Conf. Ser. 2019, 1323, 012022. [Google Scholar] [CrossRef]
- Durán, N.; Dias, Q.C.; Fávaro, W.J. OncoTherad: A new nanobiological response modifier, its toxicological and anticancer activities. J. Phys. Conf. Ser. 2019, 1323, 012018. [Google Scholar] [CrossRef]
- Fávaro, W.J.; Iantas, S.R.; Gonçalves, J.M.; Socca, E.A.R.; Durán, N.; Billis, A.; Alonso, J.C.C. Single-arm phase I/II study of the safety and efficacy of OncoTherad immunomodulator in patients BCG-refractory or relapsed non-muscle invasive bladder cancer. J. Clin. Oncol. 2019, 37 (Suppl. S15), e16000. [Google Scholar] [CrossRef]
- Fávaro, W.J.; Iantas, S.R.; Gonçalves, J.M.; Dias, Q.C.; Reis, I.B.; Billis, A.; Durán, N.; Alonso, J.C.C. Role of OncoTherad immunotherapy in the regulation of toll-like receptors-mediated immune system and RANK/RANKL signaling: New therapeutic perspective for non-muscle invasive bladder cancer. J. Clin. Oncol. 2019, 37 (Suppl. S15), e16004. [Google Scholar] [CrossRef]
- Reis, I.B.; Tibo, L.H.S.; Socca, E.A.R.; de Souza, B.R.; Durán, N.; Fávaro, W.J. OncoTherad® (MRB-CFI-1) nano-immunotherapy reduced tumoral progression in non-muscle invasive bladder cancer through activation of Toll-like signaling pathway. Tissue Cell 2022, 76, 101762. [Google Scholar] [CrossRef] [PubMed]
- Fávaro, W.J.; Alonso, J.C.C.; de Souza, B.R.; Reis, I.B.; Gonçalves, J.M.; Deckmann, A.C.; Oliveira, G.; Dias, Q.C.; Durán, N. New synthetic nano-immunotherapy (OncoTherad®) for non-muscle invasive bladder cancer: Its synthesis, characterization and anticancer property. Tissue Cell 2023, 80, 101988. [Google Scholar] [CrossRef] [PubMed]
- Reis, I.B.; Tibo, L.H.S.; de Souza, B.R.; Durán, N.; Fávaro, W.J. OncoTherad® is an immunomodulator of biological response that downregulate RANK/RANKL signaling pathway and PD-1/PD-L1 immune checkpoint in non-muscle invasive bladder cancer. J. Cancer Res. Clin. Oncol. 2023, 149, 5025–5036. [Google Scholar] [CrossRef]
- Fávaro, W.J.; Durán-Caballero, N.E. Method for Producing a Nanostructured Complex (CFI-1), a Protein-Associated Nanostructured Complex (MRB-CFI-1) and Use. U.S. Patent 16/617,493, 10 May 2021. [Google Scholar]
- Fávaro, W.J.; Durán-Caballero, N.E. Method for Producing a Nanostructured Complex (CFI-1), a Protein-Associated Nanostructured Complex (MRB-CFI-1) and Use. U.S. Patent 17/236,839, 11 April 2023. [Google Scholar]
- Fávaro, W.J.; Durán-Caballero, N.E. Method for Producing a Nanostructured Complex (CFI-1), a Protein-Associated Nanostructured Complex (MRB-CFI-1) and Use. U.S. Patent 17/236,848, 2 July 2023. [Google Scholar]
- Fávaro, W.J.; Durán-Caballero, N.E. Method for Producing a Nanostructured Complex (CFI-1), a Protein-Associated Nanostructured Complex (MRB-CFI-1) and Use. U.S. Patent 17/236,861, 5 February 2023. [Google Scholar]
- Fonseca-Alves, C.E.; Ferreira, Ê.; de Oliveira Massoco, C.; Strauss, B.E.; Fávaro, W.J.; Durán, N.; da Cruz, N.O.; dos Santos Cunha, S.C.; Castro, J.L.C.; Mor, M.M.; et al. Current Status of Canine Melanoma Diagnosis and Therapy: Report from a Colloquium on Canine Melanoma Organized by ABROVET (Brazilian Association of Veterinary Oncology). Front. Vet. Sci. 2021, 8, 707025. [Google Scholar] [CrossRef]
- Name, J.J.; Vasconcelos, A.R.; Souza, A.C.R.; Fávaro, W.J. Vitamin D, zinc and glutamine: Synergistic action with OncoTherad immunomodulator in interferon signaling and COVID-19 (Review). Int. J. Mol. Med. 2021, 47, 11. [Google Scholar] [CrossRef]
- Reis, S.K.; Socca, E.A.R.; de Souza, B.R.; Genaro, S.C.; Durán, N.; Fávaro, W.J. Effects of combined OncoTherad immunotherapy and probiotic supplementation on modulating the chronic inflammatory process in colorectal carcinogenesis. Tissue Cell 2022, 75, 101747. [Google Scholar] [CrossRef]
- Ribeiro de Souza, B.; Brum Reis, I.; Cardoso de Arruda Camargo, G.; Oliveira, G.; Cristina Dias, Q.; Durán, N.; José Fávaro, W. A novel therapeutic strategy for non-muscle invasive bladder cancer: OncoTherad® immunotherapy associated with platelet-rich plasma. Int. Immunopharmacol. 2023, 123, 110723. [Google Scholar] [CrossRef] [PubMed]
- Souza-Sasaki, B.R.; Reis, I.B.; Oliveira, G.; Duran, N.; Fávaro, W.J. Modulation of the RANK/RANKL/OPG system and FOXP3+ regulatory T cells in the tumor microenvironment of noninvasive bladder cancer after intravesical oncotherad immunotherapy associated with platelet-rich plasma. J. Clin. Oncol. 2021, 39 (Suppl. S6), 462. [Google Scholar] [CrossRef]
- Babjuk, M.; Burger, M.; Compérat, E.M.; Gontero, P.; Mostafid, A.H.; Palou, J.; van Rhijn, B.W.G.; Rouprêt, M.; Shariat, S.F.; Sylvester, R.; et al. European Association of Urology Guidelines on Non-Muscle-Invasive Bladder Cancer (TaT1 and Carcinoma In Situ)—2019 Update. Eur. Urol. 2019, 76, 639–657. [Google Scholar] [CrossRef] [PubMed]
- Flaig, T.W.; Spiess, P.E.; Agarwal, N.; Bangs, R.; Boorjian, S.A.; Buyyounouski, M.K.; Chang, S.; Downs, T.M.; Efstathiou, J.A.; Friedlander, T.; et al. Bladder Cancer, Version 3.2020, NCCN Clinical Practice Guidelines in Oncology. J. Natl. Compr. Cancer Netw. 2020, 18, 329–354. [Google Scholar] [CrossRef] [PubMed]
- Shore, N.D.; Palou Redorta, J.; Robert, G.; Hutson, T.E.; Cesari, R.; Hariharan, S.; Rodríguez Faba, Ó.; Briganti, A.; Steinberg, G.D. Non-muscle-invasive bladder cancer: An overview of potential new treatment options. Urol. Oncol. 2021, 39, 642–663. [Google Scholar] [CrossRef] [PubMed]
- Van den Bosch, S.; Witjes, A.J. Long-term cancer-specific survival in patients with high-risk, non-muscle-invasive bladder cancer and tumour progression: A systematic review. Eur. Urol. 2011, 60, 493–500. [Google Scholar] [CrossRef]
- Jäger, W.; Thomas, C.; Haag, S.; Hampel, C.; Salzer, A.; Thuroff, J.W.; Wiesner, C. Early vs. delayed radical cystectomy for ‘high-risk’ carcinoma not invading bladder muscle: Delay of cystectomy reduces cancer-specific survival. BJU Int. 2011, 108, E284–E288. [Google Scholar] [CrossRef]
- Haas, C.R.; Barlow, L.J.; Badalato, G.M.; De Castro, G.J.; Benson, M.C.; McKiernan, J.M. The timing of radical cystectomy for bacillus Calmette-Guérin failure: Comparison of outcomes and risk factors for prognosis. J. Urol. 2016, 195, 1704–1709. [Google Scholar] [CrossRef]
- Guallar-Garrido, S.; Julián, E. Bacillus Calmette-Guérin (BCG) Therapy for Bladder Cancer: An Update. Immunotargets Ther. 2020, 9, 1–11. [Google Scholar] [CrossRef]
- Grimm, M.O.; van der Heijden, A.G.; Colombel, M.; Muilwijk, T.; Martínez-Piñeiro, L.; Babjuk, M.M.; Türkeri, L.N.; Palou, J.; Patel, A.; Bjartell, A.S.; et al. Treatment of High-Grade Non-Muscle-Invasive Bladder Carcinoma by Standard Number and Dose of BCG Instillations versus Reduced Number and Standard Dose of BCG Instillations: Results of the European Association of Urology Research Foundation Randomised Phase III Clinical Trial “NIMBUS”. Eur. Urol. 2020, 78, 690–698. [Google Scholar]
- Ourfali, S.; Ohannessian, R.; Fassi-Fehri, H.; Pages, A.; Badet, L.; Colombel, M. Recurrence Rate and Cost Consequence of the Shortage of Bacillus Calmette-Guérin Connaught Strain for Bladder Cancer Patients. Eur. Urol. Focus 2021, 7, 111–116. [Google Scholar] [CrossRef]
- US Food and Drug Administration. Highlights of Prescribing Information: Keytruda (Pembrolizumab). 2020. Available online: https://www.accessdata.fda.gov/drugsatfda_docs/label/2020/125514s066lbl.pdf (accessed on 27 October 2020).
- US Food and Drug Administration. Highlights of Prescribing Information: Valstar (Valrubicin). 2020. Available online: https://www.accessdata.fda.gov/drugsatfda_docs/label/2016/020892s019lbl.pdf (accessed on 3 November 2020).
- Kamat, A.M.; Sylvester, R.J.; Böhle, A.; Palou, J.; Lamm, D.L.; Brausi, M.; Soloway, M.; Persad, R.; Buckley, R.; Colombel, M.; et al. Definitions, End Points, and Clinical Trial Designs for Non-Muscle-Invasive Bladder Cancer: Recommendations from the International Bladder Cancer Group. J. Clin. Oncol. 2016, 34, 1935–1944. [Google Scholar] [CrossRef]
- Kamat, A.M.; Colombel, M.; Sundi, D.; Lamm, D.; Boehle, A.; Brausi, M.; Buckley, R.; Persad, R.; Palou, J.; Soloway, M.; et al. BCG-unresponsive non-muscle-invasive bladder cancer: Recommendations from the IBCG. Nat. Rev. Urol. 2017, 4, 244–255. [Google Scholar] [CrossRef] [PubMed]
- US Food and Drug Administration. Available online: https://www.fda.gov/media/101468/download (accessed on 27 February 2018).
- Messing, E.M. Bladder sparing therapy for BCG failures-I—Intravesical immunotherapy. Bladder Cancer 2017, 3, 313–314. [Google Scholar] [CrossRef] [PubMed]
- Steinberg, G.; Bahnson, R.; Brosman, S.; Middlenton, R.; Wajsman, Z.; Wehle, M. Efficacy and safety of valrubicin for the treatment of Bacillus Calmette-Guerin refractory carcinoma in situ of the bladder. The Valrubicin Study Group. J. Urol. 2000, 163, 761–767. [Google Scholar] [CrossRef] [PubMed]
- Williams, R.; Gleason, D.; Smith, A.Y. Pilot study of intravesical alfa-2b interferon for treatment of bladder carcinoma in situ following BCG failure [abstract]. J. Urol. 1996, 155, 494. [Google Scholar]
- O’Donnell, M.A.; Lilli, K.; Leopold, C.; National Bacillus Calmette-Guerin/Interferon Phase 2 Investigator Group. Interim results from a national multicenter phase II trial of combination bacillus Calmette-Guerin plus interferon alfa-2b for superficial bladder cancer. J. Urol. 2004, 172, 888–893. [Google Scholar] [CrossRef]
- Dalbagni, G.; Russo, P.; Bochner, B.; Ben-Porat, L.; Sheinfeld, J.; Sogani, P.; Donat, M.S.; Herr, H.W.; Bajorin, D. Phase II trial of intravesical gemcitabine in bacille Calmette-Guérin-refractory transitional cell carcinoma of the bladder. J. Clin. Oncol. 2006, 24, 2729–2734. [Google Scholar] [CrossRef]
- Malmström, P.U.; Wijkström, H.; Lundholm, C.; Wester, K.; Busch, C.; Nirlen, B.J. 5-year followup of a randomized prospective study comparing mitomycin C and bacillus Calmette-Guerin in patients with superficial bladder carcinoma. J. Urol. 1999, 161, 1124–1127. [Google Scholar] [CrossRef]
- Balar, A.V.; Kamat, A.M.; Kulkarni, G.S.; Uchio, E.M.; Boormans, J.L.; Bajorin, D.F.; Roumiguié, M.; Singer, E.A.; Krieger, L.E.M.; Grivas, P.; et al. Pembrolizumab (pembro) for the treatment of patients with bacillus Calmette-Guérin (BCG) unresponsive, high-risk (HR) non–muscle-invasive bladder cancer (NMIBC): Over two years follow-up of KEYNOTE-057. J. Clin. Oncol. 2020, 38, 5041. [Google Scholar] [CrossRef]
- Black, P.C.; Tangen, C.; Singh, P.; McConkey, D.J.; Lucia, S.; Lowrance, W.T.; Koshkin, V.S.; Stratton, K.L.; Bivalacqua, T.; Sharon, E.; et al. Phase II trial of atezolizumab in BCG-unresponsive non-muscle invasive bladder cancer: SWOG S1605 (NCT #02844816). J. Clin. Oncol. 2020, 38, 5022. [Google Scholar]
- Chamie, K.; Lee, J.H.; Rock, A.; Rhode, P.R.; Soon-Shiong, P. Preliminary phase 2 clinical results of IL-15RαFc superagonist N-803 with BCG in BCG-unresponsive non-muscle invasive bladder cancer (NMIBC) patients. J. Clin. Oncol. 2019, 37, 4561. [Google Scholar] [CrossRef]
- Dickstein, R.W.N.; Cowan, B.; Dunshee, C.; Franks, M.; Wolk, F.; Belkoff, L.; Castellucci, S.; Holzbeierlein, J.; Kulkarni, G.; Weizer, A.; et al. VISTA, phase 3 trial of vicinium, an EpCAM-targeted pseudomonas exotoxin, in BCG-unresponsive non-muscle invasive bladder cancer. In Proceedings of the Global Congress on Bladder Cancer 2018, Madrid, Spain, 20–21 September 2018. [Google Scholar]
- Sesen Bio. Sesen Bio Reports Positive, Preliminary Data Update from Phase 3 VISTA Trial for High-Risk Non-Muscle Invasive Bladder Cancer [Press Release]. Available online: https://ir.sesenbio.com/news-releases/news-release-details/sesen-bio-reports-positive-preliminary-data-update-phase-3-vista (accessed on 27 October 2019).
- Shore, N.; O’Donnell, M.; Keane, T.; Jewett, M.A.S.; Kulkarni, G.S.; Dickstein, R.; Wolk, F.; Dunshee, C.; Belkoff, L.; Dillon, R.L.; et al. PD03-02Phase 3 results of vicinium in BCG-unresponsive non-muscle invasive bladder cancer. J. Urol. 2020, 203, e72. [Google Scholar]
- Boorjian, S.A.; Dinney, C.P.N. SUO Clinical Trials Consortium. Safety and efficacy of intravesical nadofaragene firadenovec for patients with high-grade, BCG unresponsive nonmuscle invasive bladder cancer (NMIBC): Results from a phase III trial. J. Clin. Oncol. 2020, 38, 442. [Google Scholar] [CrossRef]
- Tizziani, S.H.S. Nova Perspectiva Terapêutico Para o Carcinoma Urotelial de Bexiga em Cães: Efeitos Toxicológicos e Clínicos da Imunoterapia Com Oncotherad (MRB-CFI-1). Mestrado Dissertação, Universidade Estadual de Campinas, Sao Paulo, Brazil, 2019. [Google Scholar]
- Van der Meijden, A.P.M.; Sylvester, R.J.; Oosterlinck, W.; Hoeltl, W.; Bono, A.V. Maintenance Bacillus Calmette-Guerin for Ta T1 bladder tumors is not associated with increased toxicity: Results from a European Organization for Research and Treatment of Cancer Genito-Urinary Group Phase III Trial. Eur. Urol. 2003, 44, 429–434. [Google Scholar] [CrossRef] [PubMed]
- O’Donnell, M.A.; Böhle, A. Treatment options for BCG failures. World J. Urol. 2006, 24, 481–487. [Google Scholar] [CrossRef] [PubMed]
- Hall, M.C.; Chang, S.S.; Dalbagni, G.; Pruthi, R.S.; Seigne, J.D.; Skinner, E.C.; Wolf, J.S.; Schellhammer, P.F. Guideline for the management of non-muscle invasive bladder cancer (stages Ta, T1, and Tis): 2007 update. J. Urol. 2007, 178, 2314–2330. [Google Scholar] [CrossRef]
- Böhle, A.; Brandau, S. Immune mechanisms in Bacillus Calmette-Guerin immunotherapy for superficial bladder cancer. J. Urol. 2003, 170, 964–969. [Google Scholar] [CrossRef]
- Balar, A.V.; Kulkarni, G.S.; Uchio, E.M.; Boormans, J.; Mourey, L.; Krieger, L.E.M.; Singer, E.A.; Bajorin, D.F.; Kamat, A.M.; Grivas, P.; et al. Keynote 057: Phase II trial of Pembrolizumab (pembro) for patients (pts) with high-risk (HR) nonmuscle invasive bladder cancer (NMIBC) unresponsive to bacillus calmette-guérin (BCG). J. Clin. Oncol. 2019, 37 (Suppl. S7), 350. [Google Scholar] [CrossRef]
- Ohadian Moghadam, S.; Nowroozi, M.R. Toll-like receptors: The role in bladder cancer development, progression and immunotherapy. Scand. J. Immunol. 2019, 90, e12818. [Google Scholar] [CrossRef]
- Ingersoll, M.A.; Albert, M.L. From infection to immunotherapy: Host immune responses to bacteria at the bladder mucosa. Mucosal Immunol. 2013, 6, 1041–1053. [Google Scholar] [CrossRef] [PubMed]
- Loskog, A.; Ninalga, C.; Paul-Wetterberg, G.; de la Torre, M.; Malmström, P.-U.; Tötterman, T.H. Human bladder carcinoma is dominated by T-regulatory cells and Th1 inhibitory cytokines. J. Urol. 2007, 177, 353–358. [Google Scholar] [CrossRef] [PubMed]
- Smith, S.G.; Zaharoff, D.A. Future directions in bladder cancer immunotherapy: Towards adaptive immunity. Immunotherapy 2016, 8, 351–365. [Google Scholar] [CrossRef] [PubMed]
- Shankaran, V.; Iked, H.; Bruce, A.T.; White, J.M.; Swanson, P.E.; Old, L.J.; Schreiber, R.D. IFN gamma and Lymphocytes Prevent Primary Tumour Development and Shape Tumour Immunogenicity. Nature 2001, 410, 1107–1111. [Google Scholar] [CrossRef] [PubMed]
- Luo, J.L.; Maeda, S.; Hsu, L.C.; Yagita, H.; Karin, M. Inhibition of NF-kappaB in cancer cells converts inflammation- induced tumor growth mediated by TNFalpha to TRAIL-mediated tumor regression. Cancer Cell 2004, 6, 297–305. [Google Scholar] [CrossRef] [PubMed]
- Lu, J.L.; Xia, Q.D.; Sun, Y.; Xun, Y.; Hu, H.L.; Liu, C.Q.; Sun, J.X.; Xu, J.Z.; Hu, J.; Wang, S.G. Toll-Like Receptor 4 as a Favorable Prognostic Marker in Bladder Cancer: A Multi-Omics Analysis. Front. Cell. Dev. Biol. 2021, 9, 651560. [Google Scholar] [CrossRef]
- Martini, M.; Testi, M.G.; Pasetto, M.; Picchio, M.C.; Innamorati, G.; Mazzocco, M. IFN-gamma-mediated upmodulation of MHC class I expression activates tumor-specific immune response in a mouse model of prostate cancer. Vaccine 2010, 28, 3548–3557. [Google Scholar] [CrossRef]
- Alshaker, H.A.; Matalka, K.Z. IFN-γ, IL-17 and TGF-β involvement in shaping the tumor microenvironment: The significance of modulating such cytokines in treating malignant solid tumors. Cancer Cell Int. 2011, 11, 33. [Google Scholar] [CrossRef] [PubMed]
- Tate, D.J., Jr.; Patterson, J.R.; Velasco-Gonzalez, C.; Carroll, E.N.; Trinh, J.; Edwards, D.; Aiyar, A.; Finkel-Jimenez, B.; Zea, A.H. Interferon-gamma-induced nitric oxide inhibits the proliferation of murine renal cell carcinoma cells. Int. J. Biol. Sci. 2012, 8, 1109–1120. [Google Scholar] [CrossRef]
- Woo, S.R.; Fuertes, M.B.; Corrales, L.; Spranger, S.; Furdyna, M.J.; Leun, M.Y.; Duggan, R.; Wang, Y.; Barber, G.N.; Fitzgerald, K.A.; et al. STING-dependent cytosolic DNA sensing mediates innate immune recognition of immunogenic tumors. Immunity 2014, 41, 830–842. [Google Scholar] [CrossRef]
- Deshane, J.; Chaplin, D.D. Follicular dendritic cell makes environmental sense. Immunity 2010, 33, 2–4. [Google Scholar] [CrossRef] [PubMed][Green Version]
- Manicassamy, S.; Pulendran, B. Modulation of adaptive immunity with Toll-like receptors. Semin. Immunol. 2009, 21, 185–193. [Google Scholar] [CrossRef] [PubMed]
- Epstein, J.I.; Amin, M.B.; Reuter, V.R.; Mostofi, F.K. The World Health Organization/International Society of Urologic Pathology consensus classification of urothelial (transitional) neoplasms of the urinary bladder. Am. J. Surg. Pathol. 1998, 22, 1435–1448. [Google Scholar] [CrossRef] [PubMed]
- National Cancer Institute. Available online: https://ctep.cancer.gov/protocoldevelopment/electronic_applications/docs/CTCAE_v5_Quick_Reference_8.5×11.pdf (accessed on 27 October 2020).








| Characteristics | No. (%) |
|---|---|
| Age, median (years) (Minimum–Maximum) | 65 (34–96) |
| Sex | |
| Male | 30 (68.2%) |
| Female | 14 (31.8%) |
| Race | |
| White | 41 (93.2%) |
| Black or African-American | 01 (2.3%) |
| Asian | 02 (4.5%) |
| Smoking | |
| Never | 06 (13.6%) |
| Former | 23 (52.3%) |
| Actual | 14 (31.8%) |
| Chronic exposure to aniline | 01 (2.3%) |
| Prior BCG cycles | |
| 1 | 07 (15.9%) |
| 2 | 37 (84.1%) |
| Intravesical chemotherapy | 09 (20.4%) |
| BCG failure | |
| BCG refractory | 26 (59.1%) |
| BCG relapsing | 14 (31.8%) |
| BCG intolerant | 04 (9.1%) |
| Histological grade after BCG and/or intravesical chemotherapy | |
| High-grade pT1 | 14 (32.4%) |
| High-grade pTa | 25 (56.8%) |
| pTis | 05 (10.8%) |
| Tumor Focality after BCG and/or intravesical chemotherapy | |
| Multifocal | 28 (63.6%) |
| Single | 16 (36.4%) |
| Tumor size after BCG and/or intravesical chemotherapy | |
| <3 cm | 08 (18.2%) |
| >3 cm | 36 (81.8%) |
| Number of Relapses after BCG and/or intravesical chemotherapy | |
| 1 | 04 (9.1%) |
| 2 | 29 (65.9%) |
| 3 | 09 (20.5%) |
| 4 | 02 (4.5%) |
| Mean (Standard deviation) | 2.2 (0.67) |
| Parameters | N | % | Mean | Standard Deviation |
|---|---|---|---|---|
| Number of Relapses | ||||
| 1-to-6-month follow-up | 0 | 0 | 0 | 0 |
| 7-to-9-month follow-up | 01 | 8.3 | 0.02 | 0.15 |
| 10-to-12-month follow-up | 05 | 41.7 | 0.11 | 0.32 |
| 13-to-18-month follow-up | 04 | 33.3 | 0.09 | 0.29 |
| 19-to-24-month follow-up | 02 | 16.7 | 0.04 | 0.21 |
| Absence Frequency = 32 | ||||
| Total | 12 | 27.3 | 0.27 | 0.46 |
| Relapse-Free Survival (RFS) | 44 | 100 | 21.4 | 4.8 |
| Response Duration (RD) | 12 | 27.3 | 14.3 | 4.1 |
| Histological grade | ||||
| pTis | 02 | 16.7 | ||
| High-grade pT1 | 02 | 16.7 | ||
| High-grade pTa | 01 | 8.3 | ||
| Low-grade pTa | 07 | 58.3 | ||
| Absence Frequency = 32 | ||||
| Pathological Complete Response (pCR) | 32 | 72.7 |
| BCG and/or Intravesical Chemotherapy | OncoTherad® (MRB-CFI-1) | p-Value | |||
|---|---|---|---|---|---|
| Parameters | N | % | N | % | |
| Histological Grade | |||||
| High-grade | 44 | 100 | 04 | 33.3 * | 0.0055 (Fisher) |
| Low-grade | 0 | 0 | 08 | 66.7 * | |
| Absence Frequency = 32 | |||||
| Tumor Size | 0.0055 (Fisher) | ||||
| <3 cm | 08 | 18.2 | 08 | 66.7 * | |
| >3 cm | 36 | 81.8 | 04 | 33.3 * | |
| Absence Frequency = 32 | |||||
| Tumor Focality | 0.0055 (Fisher) | ||||
| Multifocal | 28 | 63.6 | 04 | 33.3 * | |
| Single | 16 | 36.4 | 08 | 66.7 * | |
| Absence Frequency = 32 | |||||
| Mean Number of Relapses | 2.2 | 100 | 0.27 | 27.3 * | 0.0055 (Fisher) |
| Absence Frequency = 32 | |||||
| Adverse Reactions | OncoTherad® (MRB-CFI-1) n = 44 | |
|---|---|---|
| Grade 1–2 N (%) | Grade 3–4 N (%) | |
| General Reactions | ||
| Fatigue | 14 (31.8%) | 0 |
| Peripheral edema | 05 (11.4%) | 0 |
| Pyrexia | 09 (20.4%) | 0 |
| Gastrointestinal Reactions | ||
| Diarrhea | 03 (6.8%) | 02 (4.5%) |
| Nausea | 06 (13.6%) | 0 |
| Vomiting | 03 (6.8%) | 01 (2.3%) |
| Constipation | 04 (9.1%) | 0 |
| Abdominal pain | 07 (15.9%) | 01 (2.3%) |
| Urinary Tract Reactions | ||
| Dysuria | 23 (52.3%) | 0 |
| Cystitis | 19 (43.2%) | 0 |
| Musculoskeletal and Connective Tissue Reactions | ||
| Arthralgia | 15 (34.1%) | 0 |
| Skin and Subcutaneous Tissue Reactions | ||
| Pruritus | 22 (50.0%) | 0 |
| Rash | 12 (27.3%) | 03 (6.8%) |
| Respiratory, Thoracic, and Mediastinal Reactions | ||
| Cough | 07 (15.9%) | 02 (4.5%) |
| Dyspnea | 03 (6.8%) | 02 (4.5%) |
| Groups (n = 10 Fields/Group) | ||
|---|---|---|
| Antigens | Before OncoTherad® Treatment | After OncoTherad® Treatment |
| TLR4 | 50.33 ± 5.0 a | 95.83 ± 6.6 b |
| TRIF | 47.96 ± 6.9 a | 91.24 ± 4.0 b |
| TBK1 | 53.92 ± 5.8 a | 91.01 ± 3.4 b |
| IRF3 | 42.36 ± 6.2 a | 90.32 ± 4.5 b |
| IFN-γ | 33.32 ± 3.2 a | 82.99 ± 3.7 b |
| CX3CR1 | 20.00 ± 5.7 a | 93.20 ± 3.3 b |
| iNOS | 31.49 ± 3.7 a | 94.94 ± 4.3 b |
| FOXP3 | 91.28 ± 6.1 a | 34.86 ± 9.8 b |
| PD-L1 | 56.78 ± 7.3 a | 56.43 ± 4.7 a |
| CTLA4 | 92.10 ± 5.0 a | 31.98 ± 2.8 b |
Disclaimer/Publisher’s Note: The statements, opinions and data contained in all publications are solely those of the individual author(s) and contributor(s) and not of MDPI and/or the editor(s). MDPI and/or the editor(s) disclaim responsibility for any injury to people or property resulting from any ideas, methods, instructions or products referred to in the content. |
© 2023 by the authors. Licensee MDPI, Basel, Switzerland. This article is an open access article distributed under the terms and conditions of the Creative Commons Attribution (CC BY) license (https://creativecommons.org/licenses/by/4.0/).
Share and Cite
Alonso, J.C.C.; de Souza, B.R.; Reis, I.B.; de Arruda Camargo, G.C.; de Oliveira, G.; de Barros Frazão Salmazo, M.I.; Gonçalves, J.M.; de Castro Roston, J.R.; Caria, P.H.F.; da Silva Santos, A.; et al. OncoTherad® (MRB-CFI-1) Nanoimmunotherapy: A Promising Strategy to Treat Bacillus Calmette–Guérin-Unresponsive Non-Muscle-Invasive Bladder Cancer: Crosstalk among T-Cell CX3CR1, Immune Checkpoints, and the Toll-Like Receptor 4 Signaling Pathway. Int. J. Mol. Sci. 2023, 24, 17535. https://doi.org/10.3390/ijms242417535
Alonso JCC, de Souza BR, Reis IB, de Arruda Camargo GC, de Oliveira G, de Barros Frazão Salmazo MI, Gonçalves JM, de Castro Roston JR, Caria PHF, da Silva Santos A, et al. OncoTherad® (MRB-CFI-1) Nanoimmunotherapy: A Promising Strategy to Treat Bacillus Calmette–Guérin-Unresponsive Non-Muscle-Invasive Bladder Cancer: Crosstalk among T-Cell CX3CR1, Immune Checkpoints, and the Toll-Like Receptor 4 Signaling Pathway. International Journal of Molecular Sciences. 2023; 24(24):17535. https://doi.org/10.3390/ijms242417535
Chicago/Turabian StyleAlonso, João Carlos Cardoso, Bianca Ribeiro de Souza, Ianny Brum Reis, Gabriela Cardoso de Arruda Camargo, Gabriela de Oliveira, Maria Izabel de Barros Frazão Salmazo, Juliana Mattoso Gonçalves, José Ronaldo de Castro Roston, Paulo Henrique Ferreira Caria, André da Silva Santos, and et al. 2023. "OncoTherad® (MRB-CFI-1) Nanoimmunotherapy: A Promising Strategy to Treat Bacillus Calmette–Guérin-Unresponsive Non-Muscle-Invasive Bladder Cancer: Crosstalk among T-Cell CX3CR1, Immune Checkpoints, and the Toll-Like Receptor 4 Signaling Pathway" International Journal of Molecular Sciences 24, no. 24: 17535. https://doi.org/10.3390/ijms242417535
APA StyleAlonso, J. C. C., de Souza, B. R., Reis, I. B., de Arruda Camargo, G. C., de Oliveira, G., de Barros Frazão Salmazo, M. I., Gonçalves, J. M., de Castro Roston, J. R., Caria, P. H. F., da Silva Santos, A., de Freitas, L. L. L., Billis, A., Durán, N., & Fávaro, W. J. (2023). OncoTherad® (MRB-CFI-1) Nanoimmunotherapy: A Promising Strategy to Treat Bacillus Calmette–Guérin-Unresponsive Non-Muscle-Invasive Bladder Cancer: Crosstalk among T-Cell CX3CR1, Immune Checkpoints, and the Toll-Like Receptor 4 Signaling Pathway. International Journal of Molecular Sciences, 24(24), 17535. https://doi.org/10.3390/ijms242417535

