Cardioprotective and Antifibrotic Effects of Low-Dose Renin–Angiotensin–Aldosterone System Inhibitors in Type 1 Diabetic Rat Model
Abstract
1. Introduction
2. Results
2.1. Mean Arterial Pressure, Heart Rate, and Heart-to-Body Weight Ratio Were Unaffected by RAASi Treatment
2.2. RAASis Mitigated Diabetic Macrovascular Impairment
2.3. RAASis Normalized the Levels of Specific Biomarkers of Myocardial Injury
2.4. Eplerenone Decreased Fibrosis in the Media of the Aorta in Diabetic Rats
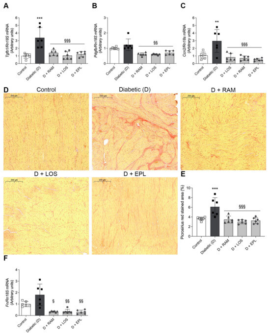
2.5. RAASis Halted the Progression of T1DM-Induced Myocardial Fibrosis
3. Discussion
4. Materials and Methods
4.1. Ethical Approval
4.2. Materials
4.3. Experimental Design
4.4. Measurement of Arterial Blood Pressure and PWV
4.5. Metabolic Parameters
4.6. ELISA
4.7. Histology
4.8. Lyophilization and Product Processing
4.9. Western Blot
4.10. Quantitative Reverse Transcription Polymerase Chain Reaction (RT-qPCR)
4.11. Statistical Analysis
5. Conclusions
6. Study Limitations
Author Contributions
Funding
Institutional Review Board Statement
Informed Consent Statement
Data Availability Statement
Acknowledgments
Conflicts of Interest
References
- Jia, G.H.; Hill, M.A.; Sowers, J.R. Diabetic Cardiomyopathy: An Update of Mechanisms Contributing to This Clinical Entity. Circ. Res. 2018, 122, 624–638. [Google Scholar] [CrossRef] [PubMed]
- Rosengren, A.; Dikaiou, P. Cardiovascular outcomes in type 1 and type 2 diabetes. Diabetologia 2023, 66, 425–437. [Google Scholar] [CrossRef] [PubMed]
- Lind, M.; Bounias, I.; Olsson, M.; Gudbjornsdottir, S.; Svensson, A.M.; Rosengren, A. Glycaemic control and incidence of heart failure in 20,985 patients with type 1 diabetes: An observational study. Lancet 2011, 378, 140–146. [Google Scholar] [CrossRef] [PubMed]
- Ames, M.K.; Atkins, C.E.; Pitt, B. The renin-angiotensin-aldosterone system and its suppression. J. Vet. Intern. Med. 2019, 33, 363–382. [Google Scholar] [CrossRef] [PubMed]
- Batista, J.P.T.; Faria, A.O.V.; Ribeiro, T.F.S.; Simoes, E.S.A.C. The Role of Renin-Angiotensin System in Diabetic Cardiomyopathy: A Narrative Review. Life 2023, 13, 1598. [Google Scholar] [CrossRef] [PubMed]
- Kurdi, M.; Booz, G.W. New take on the role of angiotensin II in cardiac hypertrophy and fibrosis. Hypertension 2011, 57, 1034–1038. [Google Scholar] [CrossRef]
- Ge, W.; Hou, C.; Zhang, W.; Guo, X.; Gao, P.; Song, X.; Gao, R.; Liu, Y.; Guo, W.; Li, B.; et al. Mep1a contributes to Ang II-induced cardiac remodeling by promoting cardiac hypertrophy, fibrosis and inflammation. J. Mol. Cell Cardiol. 2021, 152, 52–68. [Google Scholar] [CrossRef]
- Townsend, R.R.; Wilkinson, I.B.; Schiffrin, E.L.; Avolio, A.P.; Chirinos, J.A.; Cockcroft, J.R.; Heffernan, K.S.; Lakatta, E.G.; McEniery, C.M.; Mitchell, G.F.; et al. Recommendations for Improving and Standardizing Vascular Research on Arterial Stiffness: A Scientific Statement From the American Heart Association. Hypertension 2015, 66, 698–722. [Google Scholar] [CrossRef]
- Simova, I. Intima-media thickness: Appropriate evaluation and proper measurement. e-J. Cardiol. Pract. 2015, 13, 21. [Google Scholar]
- Rangaswami, J.; Bhalla, V.; Blair, J.E.A.; Chang, T.I.; Costa, S.; Lentine, K.L.; Lerma, E.V.; Mezue, K.; Molitch, M.; Mullens, W.; et al. Cardiorenal Syndrome: Classification, Pathophysiology, Diagnosis, and Treatment Strategies: A Scientific Statement From the American Heart Association. Circulation 2019, 139, e840–e878. [Google Scholar] [CrossRef]
- De Boer, I.H.; Khunti, K.; Sadusky, T.; Tuttle, K.R.; Neumiller, J.J.; Rhee, C.M.; Rosas, S.E.; Rossing, P.; Bakris, G. Diabetes Management in Chronic Kidney Disease: A Consensus Report by the American Diabetes Association (ADA) and Kidney Disease: Improving Global Outcomes (KDIGO). Diabetes Care 2022, 45, 3075–3090. [Google Scholar] [CrossRef] [PubMed]
- Authors/Task Force, M.; McDonagh, T.A.; Metra, M.; Adamo, M.; Gardner, R.S.; Baumbach, A.; Bohm, M.; Burri, H.; Butler, J.; Celutkiene, J.; et al. 2021 ESC Guidelines for the diagnosis and treatment of acute and chronic heart failure: Developed by the Task Force for the diagnosis and treatment of acute and chronic heart failure of the European Society of Cardiology (ESC). with the special contribution of the Heart Failure Association (HFA) of the ESC. Eur. J. Heart Fail. 2022, 24, 4–131. [Google Scholar] [CrossRef]
- Virani, S.S.; Ramsey, D.J.; Westerman, D.; Kuebeler, M.K.; Chen, L.; Akeroyd, J.M.; Gobbel, G.T.; Ballantyne, C.M.; Petersen, L.A.; Turchin, A.; et al. Cluster Randomized Trial of a Personalized Clinical Decision Support Intervention to Improve Statin Prescribing in Patients With Atherosclerotic Cardiovascular Disease. Circulation 2023, 147, 1411–1413. [Google Scholar] [CrossRef] [PubMed]
- Koszegi, S.; Molnar, A.; Lenart, L.; Hodrea, J.; Balogh, D.B.; Lakat, T.; Szkibinszkij, E.; Hosszu, A.; Sparding, N.; Genovese, F.; et al. RAAS inhibitors directly reduce diabetes-induced renal fibrosis via growth factor inhibition. J. Physiol. 2019, 597, 193–209. [Google Scholar] [CrossRef] [PubMed]
- Schaan, B.D.; Maeda, C.Y.; Timm, H.B.; Medeiros, S.; Moraes, R.S.; Ferlin, E.; Fernandes, T.G.; Ribeiro, J.P.; Schmid, H.; Irigoyen, M.C. Time course of changes in heart rate and blood pressure variability in streptozotocin-induced diabetic rats treated with insulin. Braz. J. Med. Biol. Res. 1997, 30, 1081–1086. [Google Scholar] [CrossRef] [PubMed]
- Hicks, K.K.; Seifen, E.; Stimers, J.R.; Kennedy, R.H. Effects of streptozotocin-induced diabetes on heart rate, blood pressure and cardiac autonomic nervous control. J. Auton. Nerv. Syst. 1998, 69, 21–30. [Google Scholar] [CrossRef] [PubMed]
- Hodrea, J.; Saeed, A.; Molnar, A.; Fintha, A.; Barczi, A.; Wagner, L.J.; Szabo, A.J.; Fekete, A.; Balogh, D.B. SGLT2 inhibitor dapagliflozin prevents atherosclerotic and cardiac complications in experimental type 1 diabetes. PLoS ONE 2022, 17, e0263285. [Google Scholar] [CrossRef] [PubMed]
- Gow, M.L.; Varley, B.J.; Nasir, R.F.; Skilton, M.R.; Craig, M.E. Aortic intima media thickness in children and adolescents with type 1 diabetes: A systematic review. Pediatr. Diabetes 2022, 23, 489–498. [Google Scholar] [CrossRef]
- Beckman, J.A.; Creager, M.A. Vascular Complications of Diabetes. Circ. Res. 2016, 118, 1771–1785. [Google Scholar] [CrossRef]
- Franco, O.H.; Steyerberg, E.W.; Hu, F.B.; Mackenbach, J.; Nusselder, W. Associations of diabetes mellitus with total life expectancy and life expectancy with and without cardiovascular disease. Arch. Intern. Med. 2007, 167, 1145–1151. [Google Scholar] [CrossRef]
- Emerging Risk Factors, C.; Di Angelantonio, E.; Kaptoge, S.; Wormser, D.; Willeit, P.; Butterworth, A.S.; Bansal, N.; O’Keeffe, L.M.; Gao, P.; Wood, A.M.; et al. Association of Cardiometabolic Multimorbidity with Mortality. JAMA 2015, 314, 52–60. [Google Scholar] [CrossRef]
- O’Rourke, M.F.; Pauca, A.; Jiang, X.J. Pulse wave analysis. Br. J. Clin. Pharmacol. 2001, 51, 507–522. [Google Scholar] [CrossRef]
- Shah, A.S.; Wadwa, R.P.; Dabelea, D.; Hamman, R.F.; D’Agostino, R.; Marcovina, S.; Daniels, S.R.; Dolan, L.M.; Fino, N.F.; Urbina, E.M. Arterial stiffness in adolescents and young adults with and without type 1 diabetes: The SEARCH CVD study. Pediatr. Diabetes 2015, 16, 367–374. [Google Scholar] [CrossRef]
- Prince, C.T.; Secrest, A.M.; Mackey, R.H.; Arena, V.C.; Kingsley, L.A.; Orchard, T.J. Cardiovascular Autonomic Neuropathy, HDL Cholesterol, and Smoking Correlate with Arterial Stiffness Markers Determined 18 Years Later in Type 1 Diabetes. Diabetes Care 2010, 33, 652–657. [Google Scholar] [CrossRef]
- Vastagh, I.; Horváth, T.; Nagy, G.; Varga, T.; Juhász, E.; Juhász, V.; Kollai, M.; Bereczki, D.; Somogyi, A. Evolution and predictors of morphological and functional arterial changes in the course of type 1 diabetes mellitus. Diabetes-Metab. Res. 2010, 26, 646–655. [Google Scholar] [CrossRef]
- Tougaard, N.H.; Theilade, S.; Winther, S.A.; Tofte, N.; Ahluwalia, T.S.; Hansen, T.W.; Rossing, P.; Frimodt-Moller, M. Carotid-Femoral Pulse Wave Velocity as a Risk Marker for Development of Complications in Type 1 Diabetes Mellitus. J. Am. Heart Assoc. 2020, 9, e017165. [Google Scholar] [CrossRef]
- Ameer, O.Z.; Salman, I.M.; Alwadi, A.Y.; Ouban, A.; Abu-Owaimer, F.M.; AlSharari, S.D.; Bukhari, I.A. Regional functional and structural abnormalities within the aorta as a potential driver of vascular disease in metabolic syndrome. Exp. Physiol. 2021, 106, 771–788. [Google Scholar] [CrossRef]
- Masuda, S.; Tamura, K.; Wakui, H.; Kanaoka, T.; Ohsawa, M.; Maeda, A.; Dejima, T.; Yanagi, M.; Azuma, K.; Umemura, S. Effects of angiotensin II type 1 receptor blocker on ambulatory blood pressure variability in hypertensive patients with overt diabetic nephropathy. Hypertens. Res. 2009, 32, 950–955. [Google Scholar] [CrossRef]
- Gismondi, R.A.; Oigman, W.; Bedirian, R.; Pozzobon, C.R.; Ladeira, M.C.; Neves, M.F. Comparison of benazepril and losartan on endothelial function and vascular stiffness in patients with Type 2 diabetes mellitus and hypertension: A randomized controlled trial. J. Renin Angiotensin Aldosterone Syst. 2015, 16, 967–974. [Google Scholar] [CrossRef]
- Rahman, S.; Ismail, A.A.; Ismail, S.B.; Naing, N.N.; Abdul Rahman, A.R. Effect of rosiglitazone/ramipril on preclinical vasculopathy in newly diagnosed, untreated diabetes and IGT patients: 1-year randomised, double-blind, placebo-controlled study. Eur. J. Clin. Pharmacol. 2007, 63, 733–741. [Google Scholar] [CrossRef]
- Sonoda, M.; Aoyagi, T.; Takenaka, K.; Uno, K.; Nagai, R. A one-year study of the antiatherosclerotic effect of the angiotensin-II receptor blocker losartan in hypertensive patients. A comparison with angiotension-converting enzyme inhibitors. Int. Heart J. 2008, 49, 95–103. [Google Scholar] [CrossRef]
- Lonn, E. Modifying the natural history of atherosclerosis: The SECURE trial. Int. J. Clin. Pract. Suppl. 2001, 13–18. Available online: https://pubmed.ncbi.nlm.nih.gov/11715353/ (accessed on 27 November 2023).
- Christen, A.I.; Armentano, R.L.; Miranda, A.; Graf, S.; Santana, D.B.; Zocalo, Y.; Baglivo, H.P.; Sanchez, R.A. Arterial wall structure and dynamics in type 2 diabetes mellitus methodological aspects and pathophysiological findings. Curr. Diabetes Rev. 2010, 6, 367–377. [Google Scholar] [CrossRef]
- Ellmers, L.J.; Knowles, J.W.; Kim, H.S.; Smithies, O.; Maeda, N.; Cameron, V.A. Ventricular expression of natriuretic peptides in Npr1(-/-) mice with cardiac hypertrophy and fibrosis. Am. J. Physiol. Heart Circ. Physiol. 2002, 283, H707–H714. [Google Scholar] [CrossRef]
- Wolsk, E.; Claggett, B.; Pfeffer, M.A.; Diaz, R.; Dickstein, K.; Gerstein, H.C.; Lawson, F.C.; Lewis, E.F.; Maggioni, A.P.; McMurray, J.J.V.; et al. Role of B-Type Natriuretic Peptide and N-Terminal Prohormone BNP as Predictors of Cardiovascular Morbidity and Mortality in Patients with a Recent Coronary Event and Type 2 Diabetes Mellitus. J. Am. Heart Assoc. 2017, 6, e004743. [Google Scholar] [CrossRef]
- Apple, F.S.; Collinson, P.O.; IFCC Task Force on Clinical Applications of Cardiac Biomarkers. Analytical characteristics of high-sensitivity cardiac troponin assays. Clin. Chem. 2012, 58, 54–61. [Google Scholar] [CrossRef]
- Segre, C.A.; Hueb, W.; Garcia, R.M.; Rezende, P.C.; Favarato, D.; Strunz, C.M.; Sprandel Mda, C.; Roggerio, A.; Carvalho, A.L.; Maranhao, R.C.; et al. Troponin in diabetic patients with and without chronic coronary artery disease. BMC Cardiovasc. Disord. 2015, 15, 72. [Google Scholar] [CrossRef]
- Poret, J.M.; Battle, C.; Mouton, A.J.; Gaudet, D.A.; Souza-Smith, F.; Gardner, J.D.; Braymer, H.D.; Harrison-Bernard, L.; Primeaux, S.D. The prevalence of cardio-metabolic risk factors is differentially elevated in obesity-prone Osborne-Mendel and obesity-resistant S5B/Pl rats. Life Sci. 2019, 223, 95–101. [Google Scholar] [CrossRef]
- Candido, R.; Forbes, J.M.; Thomas, M.C.; Thallas, V.; Dean, R.G.; Burns, W.C.; Tikellis, C.; Ritchie, R.H.; Twigg, S.M.; Cooper, M.E.; et al. A breaker of advanced glycation end products attenuates diabetes-induced myocardial structural changes. Circ. Res. 2003, 92, 785–792. [Google Scholar] [CrossRef]
- Al-Kouh, A.; Babiker, F.; Al-Bader, M. Renin-Angiotensin System Antagonism Protects the Diabetic Heart from Ischemia/Reperfusion Injury in Variable Hyperglycemia Duration Settings by a Glucose Transporter Type 4-Mediated Pathway. Pharmaceuticals 2023, 16, 238. [Google Scholar] [CrossRef]
- He, D.H.; Zhang, L.M.; Lin, L.M.; Ning, R.B.; Wang, H.J.; Xu, C.S.; Lin, J.X. Effects of Losartan and Amlodipine on Left Ventricular Remodeling and Function in Young Stroke-Prone Spontaneously Hypertensive Rats. Acta Cardiol. Sin. 2014, 30, 316–324. [Google Scholar]
- Yoshiyama, M.; Omura, T.; Yoshikawa, J. Additive improvement of left ventricular remodeling by aldosterone receptor blockade with eplerenone and angiotensin II type 1 receptor antagonist in rats with myocardial infarction. Nihon Yakurigaku Zasshi 2004, 124, 83–89. [Google Scholar] [CrossRef][Green Version]
- Bayir, Y.; Cadirci, E.; Suleyman, H.; Halici, Z.; Keles, M.S. Effects of Lacidipine, Ramipril and Valsartan on Serum BNP Levels in Acute and Chronic Periods Following Isoproterenol-Induced Myocardial Infarction in Rats. Eurasian J. Med. 2009, 41, 44–48. [Google Scholar]
- Brandt-Jacobsen, N.H.; Lav Madsen, P.; Johansen, M.L.; Rasmussen, J.J.; Forman, J.L.; Holm, M.R.; Rye Jorgensen, N.; Faber, J.; Rossignol, P.; Schou, M.; et al. Mineralocorticoid Receptor Antagonist Improves Cardiac Structure in Type 2 Diabetes: Data From the MIRAD Trial. JACC Heart Fail. 2021, 9, 550–558. [Google Scholar] [CrossRef]
- Armstrong, A.C.; Ambale-Venkatesh, B.; Turkbey, E.; Donekal, S.; Chamera, E.; Backlund, J.Y.; Cleary, P.; Lachin, J.; Bluemke, D.A.; Lima, J.A.; et al. Association of Cardiovascular Risk Factors and Myocardial Fibrosis with Early Cardiac Dysfunction in Type 1 Diabetes: The Diabetes Control and Complications Trial/Epidemiology of Diabetes Interventions and Complications Study. Diabetes Care 2017, 40, 405–411. [Google Scholar] [CrossRef]
- Asbun, J.; Villarreal, F.J. The pathogenesis of myocardial fibrosis in the setting of diabetic cardiomyopathy. J. Am. Coll. Cardiol. 2006, 47, 693–700. [Google Scholar] [CrossRef]
- Fiordaliso, F.; Li, B.; Latini, R.; Sonnenblick, E.H.; Anversa, P.; Leri, A.; Kajstura, J. Myocyte death in streptozotocin-induced diabetes in rats in angiotensin II- dependent. Lab. Investig. 2000, 80, 513–527. [Google Scholar] [CrossRef]
- Candido, R.; Allen, T.J.; Lassila, M.; Cao, Z.; Thallas, V.; Cooper, M.E.; Jandeleit-Dahm, K.A. Irbesartan but not amlodipine suppresses diabetes-associated atherosclerosis. Circulation 2004, 109, 1536–1542. [Google Scholar] [CrossRef]
- Fiordaliso, F.; Cuccovillo, I.; Bianchi, R.; Bai, A.; Doni, M.; Salio, M.; De Angelis, N.; Ghezzi, P.; Latini, R.; Masson, S. Cardiovascular oxidative stress is reduced by an ACE inhibitor in a rat model of streptozotocin-induced diabetes. Life Sci. 2006, 79, 121–129. [Google Scholar] [CrossRef]
- Liu, W.J.; Gong, W.; He, M.; Liu, Y.M.; Yang, Y.P.; Wang, M.; Wu, M.; Guo, S.Z.; Yu, Y.F.; Wang, X.C.; et al. Spironolactone Protects against Diabetic Cardiomyopathy in Streptozotocin-Induced Diabetic Rats. J. Diabetes Res. 2018, 2018, 9232065. [Google Scholar] [CrossRef]
- Singh, V.P.; Le, B.; Khode, R.; Baker, K.M.; Kumar, R. Intracellular Angiotensin II Production in Diabetic Rats Is Correlated With Cardiomyocyte Apoptosis, Oxidative Stress, and Cardiac Fibrosis. Diabetes 2008, 57, 3297–3306. [Google Scholar] [CrossRef]
- Tsutsui, H.; Matsushima, S.; Kinugawa, S.; Ide, T.; Inoue, N.; Ohta, Y.; Yokota, T.; Hamaguchi, S.; Sunagawa, K. Angiotensin II type 1 receptor blocker attenuates myocardial remodeling and preserves diastolic function in diabetic heart. Hypertens. Res. 2007, 30, 439–449. [Google Scholar] [CrossRef] [PubMed]
- Wang, L.; Li, J.; Li, D. Losartan reduces myocardial interstitial fibrosis in diabetic cardiomyopathy rats by inhibiting JAK/STAT signaling pathway. Int. J. Clin. Exp. Pathol. 2015, 8, 466–473. [Google Scholar] [PubMed]
- Castoldi, G.; di Gioia, C.R.; Bombardi, C.; Perego, C.; Perego, L.; Mancini, M.; Leopizzi, M.; Corradi, B.; Perlini, S.; Zerbini, G.; et al. Prevention of myocardial fibrosis by N-acetyl-seryl-aspartyl-lysyl-proline in diabetic rats. Clin. Sci. 2009, 118, 211–220. [Google Scholar] [CrossRef] [PubMed]
- Castoldi, G.; Carletti, R.; Ippolito, S.; Stella, A.; Zerbini, G.; Pelucchi, S.; Zatti, G.; di Gioia, C.R.T. Angiotensin Type 2 and Mas Receptor Activation Prevents Myocardial Fibrosis and Hypertrophy through the Reduction of Inflammatory Cell Infiltration and Local Sympathetic Activity in Angiotensin II-Dependent Hypertension. Int. J. Mol. Sci. 2021, 22, 13678. [Google Scholar] [CrossRef] [PubMed]
- Cleland, J.G.F.; Ferreira, J.P.; Mariottoni, B.; Pellicori, P.; Cuthbert, J.; Verdonschot, J.A.J.; Petutschnigg, J.; Ahmed, F.Z.; Cosmi, F.; La Rocca, H.P.B.; et al. The effect of spironolactone on cardiovascular function and markers of fibrosis in people at increased risk of developing heart failure: The heart ‘OMics’ in AGEing (HOMAGE) randomized clinical trial. Eur. Heart J. 2021, 42, 684–696. [Google Scholar] [CrossRef] [PubMed]
- Fidelis, H.G.; Mageski, J.G.A.; Goes, S.C.E.; Botelho, T.; Marques, V.B.; Avila, R.A.; Dos Santos, L. Blockade of angiotensin AT(1) receptors prevents arterial remodelling and stiffening in iron-overloaded rats. Br. J. Pharmacol. 2020, 177, 1119–1130. [Google Scholar] [CrossRef]
- Gellai, R.; Hodrea, J.; Lenart, L.; Hosszu, A.; Koszegi, S.; Balogh, D.; Ver, A.; Banki, N.F.; Fulop, N.; Molnar, A.; et al. Role of O-linked N-acetylglucosamine modification in diabetic nephropathy. Am. J. Physiol.-Renal 2016, 311, F1172–F1181. [Google Scholar] [CrossRef]
- Guo, Y.; Zhuang, X.; Huang, Z.; Zou, J.; Yang, D.; Hu, X.; Du, Z.; Wang, L.; Liao, X. Klotho protects the heart from hyperglycemia-induced injury by inactivating ROS and NF-kappaB-mediated inflammation both in vitro and in vivo. Biochim. Biophys. Acta Mol. Basis Dis. 2018, 1864, 238–251. [Google Scholar] [CrossRef]
- Li, X.; Li, Z.; Li, B.; Zhu, X.; Lai, X. Klotho improves diabetic cardiomyopathy by suppressing the NLRP3 inflammasome pathway. Life Sci. 2019, 234, 116773. [Google Scholar] [CrossRef]
- Navarro-Garcia, J.A.; Gonzalez-Lafuente, L.; Fernandez-Velasco, M.; Ruilope, L.M.; Ruiz-Hurtado, G. Fibroblast Growth Factor-23-Klotho Axis in Cardiorenal Syndrome: Mediators and Potential Therapeutic Targets. Front. Physiol. 2021, 12, 775029. [Google Scholar] [CrossRef]
- Keles, N.; Dogan, B.; Kalcik, M.; Caliskan, M.; Keles, N.N.; Aksu, F.; Bulut, M.; Kostek, O.; Isbilen, B.; Yilmaz, Y.; et al. Is serum Klotho protective against atherosclerosis in patients with type 1 diabetes mellitus? J. Diabetes Complicat. 2016, 30, 126–132. [Google Scholar] [CrossRef] [PubMed]
- Faul, C.; Amaral, A.P.; Oskouei, B.; Hu, M.C.; Sloan, A.; Isakova, T.; Gutierrez, O.M.; Aguillon-Prada, R.; Lincoln, J.; Hare, J.M.; et al. FGF23 induces left ventricular hypertrophy. J. Clin. Investig. 2011, 121, 4393–4408. [Google Scholar] [CrossRef] [PubMed]
- Chen, K.; Zhou, X.; Sun, Z. Haplodeficiency of Klotho Gene Causes Arterial Stiffening via Upregulation of Scleraxis Expression and Induction of Autophagy. Hypertension 2015, 66, 1006–1013. [Google Scholar] [CrossRef] [PubMed]
- Prud’homme, G.J.; Glinka, Y.; Kurt, M.; Liu, W.J.; Wang, Q.H. The anti-aging protein Klotho is induced by GABA therapy and exerts protective and stimulatory effects on pancreatic beta cells. Biochem. Biophys. Res. Commun. 2017, 493, 1542–1547. [Google Scholar] [CrossRef]
- Lin, Y.; Sun, Z. In vivo pancreatic beta-cell-specific expression of antiaging gene Klotho: A novel approach for preserving beta-cells in type 2 diabetes. Diabetes 2015, 64, 1444–1458. [Google Scholar] [CrossRef]
- Lai, L.Y.; Cheng, P.; Yan, M.H.; Gu, Y.; Xue, J. Aldosterone induces renal fibrosis by promoting HDAC1 expression, deacetylating H3K9 and inhibiting klotho transcription. Mol. Med. Rep. 2019, 19, 1803–1808. [Google Scholar] [CrossRef]
- Agarwal, R.; Filippatos, G.; Pitt, B.; Anker, S.D.; Rossing, P.; Joseph, A.; Kolkhof, P.; Nowack, C.; Gebel, M.; Ruilope, L.M.; et al. Cardiovascular and kidney outcomes with finerenone in patients with type 2 diabetes and chronic kidney disease: The FIDELITY pooled analysis. Eur. Heart J. 2022, 43, 474–484. [Google Scholar] [CrossRef]
- Salvi, P. Pulse Wave Velocity and Pulse Wave Analysis in Experimental Animals. In Pulse Waves; Springer International Publishing: Milano, Italy; Cham, Switzerland, 2016; pp. 211–219. [Google Scholar] [CrossRef]





| Control | Diabetic (D) | D + RAM | D + LOS | D + EPL | |
|---|---|---|---|---|---|
| Non-fasting serum glucose (mmol/L) | 12.8 ± 1.68 | 37.5 ± 7.36 *** | 40.9 ± 3.36 *** | 41.9 ± 6.45 *** | 33.2 ± 2.45 *** |
| Body weight (g) | 327 ± 19.7 | 262 ± 35.4 *** | 258 ± 13.3 | 247 ± 29.4 | 257 ± 38.8 |
| Mean arterial pressure (mmHg) | 77.4 ± 11.9 | 76.2 ± 6.86 | 76.5 ± 11.8 | 74.5 ± 17.2 | 77.7 ± 17.1 |
| Heart rate (bpm) | 479 ± 58.6 | 371 ± 23.9 *** | 375 ± 22.9 *** | 375 ± 12.9 *** | 329 ± 22.0 *** |
| Heart weight (g) | 1.10 ± 0.06 | 1.05 ± 0.14 | 1.1 ± 0.13 | 0.97 ± 0.10 | 1.05 ± 0.10 |
| Heart-to-body weight ratio (%) | 0.34 ± 0.03 | 0.40 ± 0.02 * | 0.43 ± 0.04 * | 0.39 ± 0.05 | 0.41 ± 0.05 * |
| Gene | NCBI ID | Primer Pairs | Product Length | |
|---|---|---|---|---|
| Nppb | NM_031545.1 | Forward: | 5′-CAG CTC TCA AAG GAC CAA GG 3′ | 192 bp |
| Reverse: | 5′-CTA AAA CAA CCT CAG CCC GT 3′ | |||
| Tgfb1 | NM_021578.2 | Forward: | 5′-GCACCGGAGAGCCCTGGATACC 3′ | 222 bp |
| Reverse: | 5′-CCCGGGTTGTGTTGGTTGTAGAGG 3′ | |||
| Pdgfb | NM_031524.1 | Forward: | 5′-TCGATCGCACCAATGCCAACTTCC 3′ | 236 bp |
| Reverse: | 5′-CACGGGCCGAGGGGTCACTACTGT 3′ | |||
| Ccn2 | NM_022266.2 | Forward: | 5′-TCCACCCGGGTTACCAATGACAATAC 3′ | 195 bp |
| Reverse: | 5′-CTTAGCCCGGTAGGTCTTCACACTGG 3′ | |||
| Fn | NM_019143.2 | Forward: | 5′-GGATCCCCTCCCAGAGAAGT 3′ | 188 bp |
| Reverse: | 5′-GGGTGTGGAAGGGTAACCAG 3′ | |||
| Rn18s | NR_046237.1 | Forward: | 5′-GCG GTC GGC GTC CCC CAA CTT CTT-3′ | 105 bp |
| Reverse: | 5′-GCG CGT GCA GCC CCG GAC ATC TA-3′ | |||
Disclaimer/Publisher’s Note: The statements, opinions and data contained in all publications are solely those of the individual author(s) and contributor(s) and not of MDPI and/or the editor(s). MDPI and/or the editor(s) disclaim responsibility for any injury to people or property resulting from any ideas, methods, instructions or products referred to in the content. |
© 2023 by the authors. Licensee MDPI, Basel, Switzerland. This article is an open access article distributed under the terms and conditions of the Creative Commons Attribution (CC BY) license (https://creativecommons.org/licenses/by/4.0/).
Share and Cite
Balogh, D.B.; Molnar, A.; Degi, A.; Toth, A.; Lenart, L.; Saeed, A.; Barczi, A.; Szabo, A.J.; Wagner, L.J.; Reusz, G.; et al. Cardioprotective and Antifibrotic Effects of Low-Dose Renin–Angiotensin–Aldosterone System Inhibitors in Type 1 Diabetic Rat Model. Int. J. Mol. Sci. 2023, 24, 17043. https://doi.org/10.3390/ijms242317043
Balogh DB, Molnar A, Degi A, Toth A, Lenart L, Saeed A, Barczi A, Szabo AJ, Wagner LJ, Reusz G, et al. Cardioprotective and Antifibrotic Effects of Low-Dose Renin–Angiotensin–Aldosterone System Inhibitors in Type 1 Diabetic Rat Model. International Journal of Molecular Sciences. 2023; 24(23):17043. https://doi.org/10.3390/ijms242317043
Chicago/Turabian StyleBalogh, Dora B., Agnes Molnar, Arianna Degi, Akos Toth, Lilla Lenart, Adar Saeed, Adrienn Barczi, Attila J. Szabo, Laszlo J. Wagner, Gyorgy Reusz, and et al. 2023. "Cardioprotective and Antifibrotic Effects of Low-Dose Renin–Angiotensin–Aldosterone System Inhibitors in Type 1 Diabetic Rat Model" International Journal of Molecular Sciences 24, no. 23: 17043. https://doi.org/10.3390/ijms242317043
APA StyleBalogh, D. B., Molnar, A., Degi, A., Toth, A., Lenart, L., Saeed, A., Barczi, A., Szabo, A. J., Wagner, L. J., Reusz, G., & Fekete, A. (2023). Cardioprotective and Antifibrotic Effects of Low-Dose Renin–Angiotensin–Aldosterone System Inhibitors in Type 1 Diabetic Rat Model. International Journal of Molecular Sciences, 24(23), 17043. https://doi.org/10.3390/ijms242317043

