Combined Exogenous Activation of Bovine Oocytes: Effects on Maturation-Promoting Factor, Mitogen-Activated Protein Kinases, and Embryonic Competence
Abstract
1. Introduction
2. Results
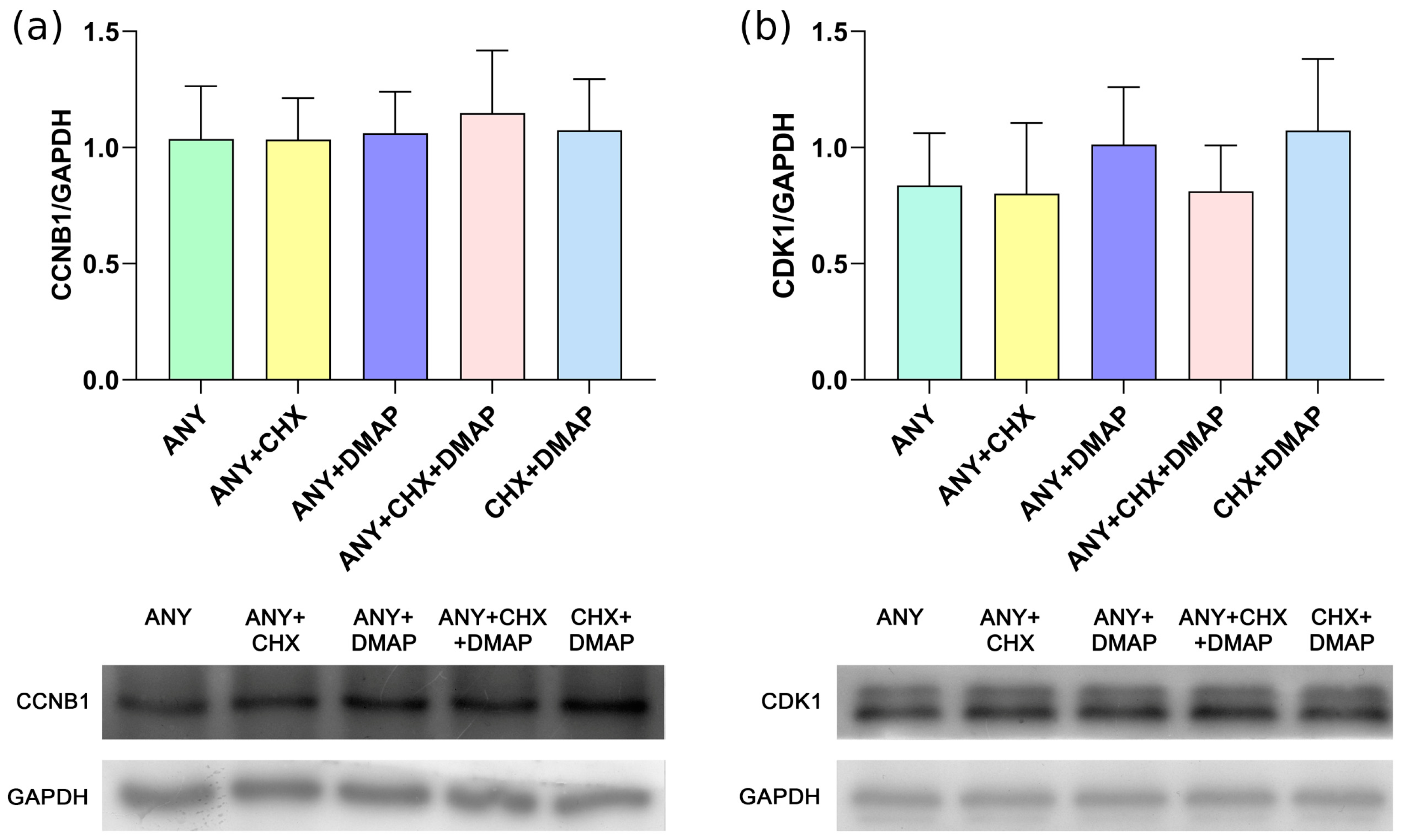
2.1. The Expression Level of CCNB1 and Profile of CDK1 Phosphorylation
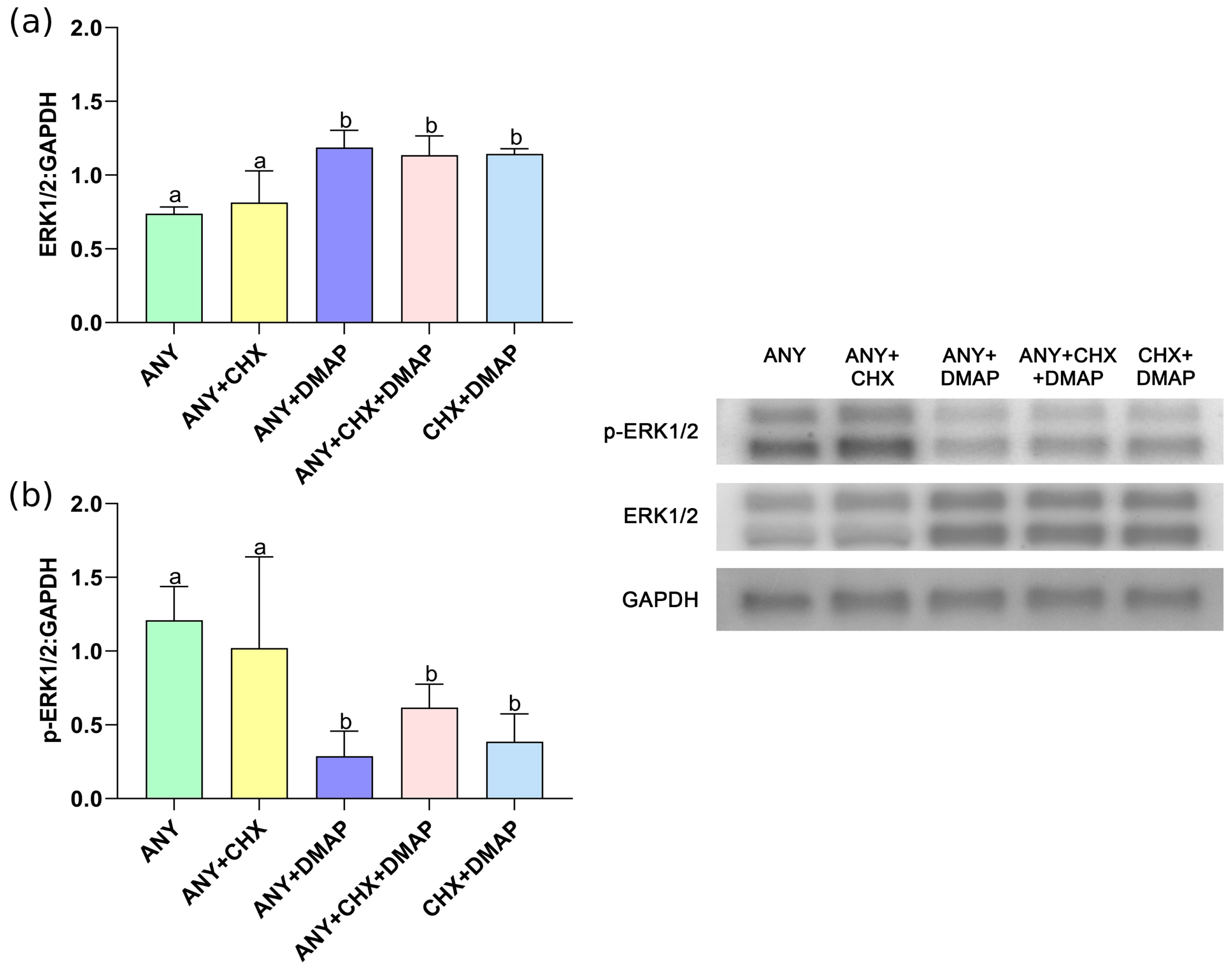
2.2. Effect of Parthenogenetic Activation Using Protein Synthesis and Phosphorylation Inhibitors on Main MAP Kinase Proteins
2.3. In Vitro Development and Quality of Parthenogenetic Embryos Produced by Combinations of Protein Synthesis and Phosphorylation Inhibitors
2.4. Effect of the Parthenogenetic Activation on the Expression of Genes Associated with Embryonic Quality
3. Discussion
4. Materials and Methods
4.1. Collection of Ovaries, Selection, and Maturation In Vitro
4.2. Oocyte Activation and Embryo Culture
4.3. Western Blotting
4.4. Total Number of Cells, Cell Allocation, and TUNEL Staining
4.5. RNA Extraction, Reverse Transcription, and Gene Expression Analysis
4.6. Statistical Analysis
5. Conclusions
Supplementary Materials
Author Contributions
Funding
Institutional Review Board Statement
Informed Consent Statement
Data Availability Statement
Acknowledgments
Conflicts of Interest
References
- Colas, P.; Launay, C.; van Loon, A.E.; Guerrier, P. Protein synthesis controls cyclin stability in metaphase I-arrested oocytes of Patella vulgata. Exp. Cell Res. 1993, 208, 518–521. [Google Scholar] [CrossRef]
- Suttner, R.; Zakhartchenko, V.; Stojkovic, P.; Müller, S.; Alberio, R.; Medjugorac, I.; Brem, G.; Wolf, E.; Stojkovic, M. Intracytoplasmic sperm injection in bovine: Effects of oocyte activation, sperm pretreatment and injection technique. Theriogenology 2000, 54, 935–948. [Google Scholar] [CrossRef]
- Bhak, J.S.; Lee, S.L.; Ock, S.A.; Mohana Kumar, B.; Choe, S.Y.; Rho, G.J. Developmental rate and ploidy of embryos produced by nuclear transfer with different activation treatments in cattle. Anim. Reprod. Sci. 2006, 92, 37–49. [Google Scholar] [CrossRef] [PubMed]
- Pennarossa, G.; Gandolfi, F.; Brevini, T.A.L. Biomechanical Signaling in Oocytes and Parthenogenetic Cells. Front. Cell Dev. Biol. 2021, 9, 646945. [Google Scholar] [CrossRef]
- Bos-Mikich, A.; Bressan, F.F.; Ruggeri, R.R.; Watanabe, Y.; Meirelles, F.V. Parthenogenesis and Human Assisted Reproduction. Stem Cells Int. 2016, 2016, 1970843. [Google Scholar] [CrossRef] [PubMed]
- Pashaiasl, M.; Khodadadi, K.; Holland, M.K.; Verma, P.J. The efficient generation of cell lines from bovine parthenotes. Cell. Reprogram. 2010, 12, 571–579. [Google Scholar] [CrossRef] [PubMed]
- Sritanaudomchai, H.; Ma, H.; Clepper, L.; Gokhale, S.; Bogan, R.; Hennebold, J.; Wolf, D.; Mitalipov, S. Discovery of a novel imprinted gene by transcriptional analysis of parthenogenetic embryonic stem cells. Hum. Reprod. 2010, 25, 1927–1941. [Google Scholar] [CrossRef]
- Galli, C.; Crotti, G.; Notari, C.; Lazzari, G. High rate of activation and fertilisation following intracytoplasmatic sperm injection (ICSI) in cattle. Theriogenology 1999, 51, 355. [Google Scholar] [CrossRef]
- Abdalla, H.; Shimoda, M.; Hirabayashi, M.; Hochi, S. A combined treatment of ionomycin with ethanol improves blastocyst development of bovine oocytes harvested from stored ovaries and microinjected with spermatozoa. Theriogenology 2009, 72, 453–460. [Google Scholar] [CrossRef]
- Galli, C.; Vassiliev, I.; Lagutina, I.; Galli, A.; Lazzari, G. Bovine embryo development following ICSI: Effect of activation, sperm capacitation and pre-treatment with dithiothreitol. Theriogenology 2003, 60, 1467–1480. [Google Scholar] [CrossRef]
- Horiuch, T.; Emuta, C.; Yamauchi, Y.; Oikawa, T.; Numabe, T.; Yanagimachi, R. Birth of normal calves after intracytoplasmic sperm injection of bovine oocytes: A methodological approach. Theriogenology 2002, 57, 1013–1024. [Google Scholar] [CrossRef]
- Chung, J.T.; Keefer, C.L.; Downey, B.R. Activation of bovine oocytes following intracytoplasmic sperm injection (ICSI). Theriogenology 2000, 53, 1273–1284. [Google Scholar] [CrossRef] [PubMed]
- Rho, G.-J.; Kawarsky, S.; Johnson, W.H.; Kochhar, K.; Betteridge, K.J. Sperm and Oocyte Treatments to Improve the Formation of Male and Female Pronuclei and Subsequent Development Following Intracytoplasmic Sperm Injection into Bovine Oocytes1. Biol. Reprod. 1998, 59, 918–924. [Google Scholar] [CrossRef] [PubMed][Green Version]
- Goto, K.; Kinoshita, A.; Takuma, Y.; Ogawa, K. Fertilisation of bovine oocytes by the injection of immobilised, killed spermatozoa. Vet. Rec. 1990, 127, 517–520. [Google Scholar]
- Pan, B.; Li, J. The art of oocyte meiotic arrest regulation. Reprod. Biol. Endocrinol. 2019, 17, 8. [Google Scholar] [CrossRef] [PubMed]
- Sharma, A.; Tiwari, M.; Gupta, A.; Pandey, A.N.; Yadav, P.K.; Chaube, S.K. Journey of oocyte from metaphase-I to metaphase-II stage in mammals. J. Cell. Physiol. 2018, 233, 5530–5536. [Google Scholar] [CrossRef]
- Gautier, J.; Minshull, J.; Lohka, M.; Glotzer, M.; Hunt, T.; Maller, J.L. Cyclin is a component of maturation-promoting factor from Xenopus. Cell 1990, 60, 487–494. [Google Scholar] [CrossRef]
- Alberio, R.; Zakhartchenko, V.; Motlik, J.; Wolf, E. Mammalian oocyte activation: Lessons from the sperm and implications for nuclear transfer. Int. J. Dev. Biol. 2001, 45, 797–809. [Google Scholar]
- Valencia, C.; Pérez, F.A.; Matus, C.; Felmer, R.; Arias, M.E. Activation of bovine oocytes by protein synthesis inhibitors: New findings on the role of MPF/MAPKs †. Biol. Reprod. 2021, 104, 1126–1138. [Google Scholar] [CrossRef]
- Ajduk, A.; Ciemerych, M.A.; Nixon, V.; Swann, K.; Maleszewski, M. Fertilization differently affects the levels of cyclin B1 and M-phase promoting factor activity in maturing and metaphase II mouse oocytes. Reproduction 2008, 136, 741–752. [Google Scholar] [CrossRef]
- Nixon, V.L.; Levasseur, M.; McDougall, A.; Jones, K.T. Ca(2+) oscillations promote APC/C-dependent cyclin B1 degradation during metaphase arrest and completion of meiosis in fertilizing mouse eggs. Curr. Biol. 2002, 12, 746–750. [Google Scholar] [CrossRef]
- Alberio, R.; Kubelka, M.; Zakhartchenko, V.; Hajdúch, M.; Wolf, E.; Motlik, J. Activation of bovine oocytes by specific inhibition of cyclin-dependent kinases. Mol. Reprod. Dev. 2000, 55, 422–432. [Google Scholar] [CrossRef]
- Yoo, J.-G.; Choe, S.-Y.; Rho, G.-J. Efficient Production of Cloned Bovine Embryos Using cdc2 kinase Inhibitor. Reprod. Domest. Anim. 2003, 38, 444–450. [Google Scholar] [CrossRef] [PubMed]
- Solomon, M.J.; Lee, T.; Kirschner, M.W. Role of phosphorylation in p34cdc2 activation: Identification of an activating kinase. Mol. Biol. Cell 1992, 3, 13–27. [Google Scholar] [CrossRef] [PubMed]
- Krek, W.; Nigg, E.A. Differential phosphorylation of vertebrate p34cdc2 kinase at the G1/S and G2/M transitions of the cell cycle: Identification of major phosphorylation sites. Embo J. 1991, 10, 305–316. [Google Scholar] [CrossRef]
- De Smedt, V.; Poulhe, R.; Cayla, X.; Dessauge, F.; Karaiskou, A.; Jessus, C.; Ozon, R. Thr-161 phosphorylation of monomeric Cdc2. Regulation by protein phosphatase 2C in Xenopus oocytes. J. Biol. Chem. 2002, 277, 28592–28600. [Google Scholar] [CrossRef] [PubMed]
- Beckhelling, C.; Chang, P.; Chevalier, S.; Ford, C.; Houliston, E. Pre-M phase-promoting factor associates with annulate lamellae in Xenopus oocytes and egg extracts. Mol. Biol. Cell 2003, 14, 1125–1137. [Google Scholar] [CrossRef] [PubMed]
- Inoue, M.; Naito, K.; Nakayama, T.; Sato, E. Mitogen-activated protein kinase activity and microtubule organisation are altered by protein synthesis inhibition in maturing porcine oocytes. Zygote 1996, 4, 191–198. [Google Scholar] [CrossRef] [PubMed]
- Colledge, W.H.; Carlton, M.B.; Udy, G.B.; Evans, M.J. Disruption of c-mos causes parthenogenetic development of unfertilized mouse eggs. Nature 1994, 370, 65–68. [Google Scholar] [CrossRef]
- Hashimoto, N.; Watanabe, N.; Furuta, Y.; Tamemoto, H.; Sagata, N.; Yokoyama, M.; Okazaki, K.; Nagayoshi, M.; Takeda, N.; Ikawa, Y.; et al. Parthenogenetic activation of oocytes in c-mos-deficient mice. Nature 1994, 370, 68–71. [Google Scholar] [CrossRef]
- Verlhac, M.H.; Kubiak, J.Z.; Clarke, H.J.; Maro, B. Microtubule and chromatin behavior follow MAP kinase activity but not MPF activity during meiosis in mouse oocytes. Development 1994, 120, 1017–1025. [Google Scholar] [CrossRef] [PubMed]
- Gordo, A.C.; He, C.L.; Smith, S.; Fissore, R.A. Mitogen activated protein kinase plays a significant role in metaphase II arrest, spindle morphology, and maintenance of maturation promoting factor activity in bovine oocytes. Mol. Reprod. Dev. 2001, 59, 106–114. [Google Scholar] [CrossRef] [PubMed]
- Tong, C.; Fan, H.Y.; Chen, D.Y.; Song, X.F.; Schatten, H.; Sun, Q.Y. Effects of MEK inhibitor U0126 on meiotic progression in mouse oocytes: Microtuble organization, asymmetric division and metaphase II arrest. Cell Res. 2003, 13, 375–383. [Google Scholar] [CrossRef]
- Phillips, K.P.; Petrunewich, M.A.; Collins, J.L.; Booth, R.A.; Liu, X.J.; Baltz, J.M. Inhibition of MEK or cdc2 kinase parthenogenetically activates mouse eggs and yields the same phenotypes as Mos(−/−) parthenogenotes. Dev. Biol. 2002, 247, 210–223. [Google Scholar] [CrossRef]
- Tatemoto, H.; Muto, N. Mitogen-activated protein kinase regulates normal transition from metaphase to interphase following parthenogenetic activation in porcine oocytes. Zygote 2001, 9, 15–23. [Google Scholar] [CrossRef] [PubMed]
- Verlhac, M.H.; Lefebvre, C.; Kubiak, J.Z.; Umbhauer, M.; Rassinier, P.; Colledge, W.; Maro, B. Mos activates MAP kinase in mouse oocytes through two opposite pathways. Embo J. 2000, 19, 6065–6074. [Google Scholar] [CrossRef] [PubMed]
- Choi, T.; Fukasawa, K.; Zhou, R.; Tessarollo, L.; Borror, K.; Resau, J.; Vande Woude, G.F. The Mos/mitogen-activated protein kinase (MAPK) pathway regulates the size and degradation of the first polar body in maturing mouse oocytes. Proc. Natl. Acad. Sci. USA 1996, 93, 7032–7035. [Google Scholar] [CrossRef] [PubMed]
- Liu, L.; Yang, X. Interplay of maturation-promoting factor and mitogen-activated protein kinase inactivation during metaphase-to-interphase transition of activated bovine oocytes. Biol. Reprod. 1999, 61, 1–7. [Google Scholar] [CrossRef] [PubMed]
- Susko-Parrish, J.L.; Leibfried-Rutledge, M.L.; Northey, D.L.; Schutzkus, V.; First, N.L. Inhibition of protein kinases after an induced calcium transient causes transition of bovine oocytes to embryonic cycles without meiotic completion. Dev. Biol. 1994, 166, 729–739. [Google Scholar] [CrossRef]
- Fulka, J., Jr.; Leibfried-Rutledge, M.L.; First, N.L. Effect of 6-dimethylaminopurine on germinal vesicle breakdown of bovine oocytes. Mol. Reprod. Dev. 1991, 29, 379–384. [Google Scholar] [CrossRef]
- Suvá, M.; Canel, N.G.; Salamone, D.F. Effect of single and combined treatments with MPF or MAPK inhibitors on parthenogenetic haploid activation of bovine oocytes. Reprod. Biol. 2019, 19, 386–393. [Google Scholar] [CrossRef]
- Presicce, G.A.; Yang, X. Parthenogenetic development of bovine oocytes matured in vitro for 24 hr and activated by ethanol and cycloheximide. Mol. Reprod. Dev. 1994, 38, 380–385. [Google Scholar] [CrossRef]
- Arias, M.E.; Sánchez, R.; Felmer, R. Effect of anisomycin, a protein synthesis inhibitor, on the in vitro developmental potential, ploidy and embryo quality of bovine ICSI embryos. Zygote 2016, 24, 724–732. [Google Scholar] [CrossRef]
- Felmer, R.; Arias, M.E. Activation treatment of recipient oocytes affects the subsequent development and ploidy of bovine parthenogenetic and somatic cell nuclear transfer (SCNT) embryos. Mol. Reprod. Dev. 2015, 82, 441–449. [Google Scholar] [CrossRef]
- Zhang, Y.C.; Jin, L.; Zhu, H.Y.; Guo, Q.; Li, X.C.; Zhang, G.L.; Xing, X.X.; Xuan, M.F.; Luo, Q.R.; Luo, Z.B.; et al. The developmental competence of oocytes parthenogenetically activated by an electric pulse and anisomycin treatment. Biotechnol. Lett. 2017, 39, 189–196. [Google Scholar] [CrossRef]
- Galli, C.; Lagutina, I.; Duchi, R.; Colleoni, S.; Lazzari, G. Somatic cell nuclear transfer in horses. Reprod. Domest. Anim. 2008, 43 (Suppl. S2), 331–337. [Google Scholar] [CrossRef] [PubMed]
- Lagutina, I.; Lazzari, G.; Duchi, R.; Colleoni, S.; Ponderato, N.; Turini, P.; Crotti, G.; Galli, C. Somatic cell nuclear transfer in horses: Effect of oocyte morphology, embryo reconstruction method and donor cell type. Reproduction 2005, 130, 559–567. [Google Scholar] [CrossRef]
- Galli, C.; Lagutina, I.; Crotti, G.; Colleoni, S.; Turini, P.; Ponderato, N.; Duchi, R.; Lazzari, G. Pregnancy: A cloned horse born to its dam twin. Nature 2003, 424, 635. [Google Scholar] [CrossRef] [PubMed]
- Liu, S.; Cui, K.; Li, H.L.; Sun, J.M.; Lu, X.R.; Shen, K.Y.; Liu, Q.Y.; Shi, D.S. Comparison of chemical, electrical, and combined activation methods for in vitro matured porcine oocytes. Vitr. Cell. Dev. Biol. Anim. 2015, 51, 103–112. [Google Scholar] [CrossRef] [PubMed]
- Yi, Y.J.; Park, C.S. Parthenogenetic development of porcine oocytes treated by ethanol, cycloheximide, cytochalasin B and 6-dimethylaminopurine. Anim. Reprod. Sci. 2005, 86, 297–304. [Google Scholar] [CrossRef]
- Mishra, V.; Misra, A.K.; Sharma, R. A comparative study of parthenogenic activation and in vitro fertilization of bubaline oocytes. Anim. Reprod. Sci. 2008, 103, 249–259. [Google Scholar] [CrossRef] [PubMed]
- Bori, J.; Munmi, M.; Bori, B. Developmental potency of goat embryos produced by intra cytoplasmic sperm injection and in vitro fertilization. J. Chem. Educ. Res. Pract. 2022, 6, 447–454. [Google Scholar] [CrossRef]
- Zhang, S.; Xiang, S.; Yang, J.; Shi, J.; Guan, X.; Jiang, J.; Wei, Y.; Luo, C.; Shi, D.; Lu, F. Optimization of parthenogenetic activation of rabbit oocytes and development of rabbit embryo by somatic cell nuclear transfer. Reprod. Domest. Anim. 2019, 54, 258–269. [Google Scholar] [CrossRef] [PubMed]
- Hirabayashi, M.; Kato, M.; Kitada, K.; Ohnami, N.; Hirao, M.; Hochi, S. Activation regimens for full-term development of rabbit oocytes injected with round spermatids. Mol. Reprod. Dev. 2009, 76, 573–579. [Google Scholar] [CrossRef] [PubMed]
- Yoo, J.-G.; Rho, G.-J. Effect of oocyte activation regimens on ploidy of nuclear transfer embryos reconstructed with fetal fibroblasts in rabbit. Asian-Australas. J. Anim. Sci. 2007, 20, 718–724. [Google Scholar] [CrossRef]
- Arias, M.E.; Risopatrón, J.; Sánchez, R.; Felmer, R. Intracytoplasmic sperm injection affects embryo developmental potential and gene expression in cattle. Reprod. Biol. 2015, 15, 34–41. [Google Scholar] [CrossRef]
- Liu, L.; Ju, J.C.; Yang, X. Differential inactivation of maturation-promoting factor and mitogen-activated protein kinase following parthenogenetic activation of bovine oocytes. Biol. Reprod. 1998, 59, 537–545. [Google Scholar] [CrossRef]
- Bodart, J.F.; Rodeau, J.L.; Vilain, J.P.; Flament, S. c-Mos Proteolysis Is Independent of the Ca2+ Rise Induced by 6-DMAP in Xenopus Oocytes. Exp. Cell Res. 2001, 266, 187–192. [Google Scholar] [CrossRef]
- Jessus, C.; Rime, H.; Haccard, O.; Van Lint, J.; Goris, J.; Merlevede, W.; Ozon, R. Tyrosine phosphorylation of p34cdc2 and p42 during meiotic maturation of Xenopus oocyte. Antagonistic action of okadaic acid and 6-DMAP. Development 1991, 111, 813–820. [Google Scholar] [CrossRef]
- Gómez, E.; Gutiérrez-Adán, A.; Díez, C.; Bermejo-Alvarez, P.; Muñoz, M.; Rodriguez, A.; Otero, J.; Alvarez-Viejo, M.; Martín, D.; Carrocera, S.; et al. Biological differences between in vitro produced bovine embryos and parthenotes. Reproduction 2009, 137, 285–295. [Google Scholar] [CrossRef]
- Aguila, L.; Osycka-Salut, C.; Treulen, F.; Felmer, R. Pluripotent Core in Bovine Embryos: A Review. Animals 2022, 12, 1010. [Google Scholar] [CrossRef]
- Goissis, M.D.; Cibelli, J.B. Functional characterization of CDX2 during bovine preimplantation development in vitro. Mol. Reprod. Dev. 2014, 81, 962–970. [Google Scholar] [CrossRef]
- Berg, D.K.; Smith, C.S.; Pearton, D.J.; Wells, D.N.; Broadhurst, R.; Donnison, M.; Pfeffer, P.L. Trophectoderm lineage determination in cattle. Dev. Cell 2011, 20, 244–255. [Google Scholar] [CrossRef]
- Ashry, M.; Yang, C.; Rajput, S.K.; Folger, J.K.; Knott, J.G.; Smith, G.W. Follistatin supplementation induces changes in CDX2 CpG methylation and improves in vitro development of bovine SCNT preimplantation embryos. Reprod. Biol. Endocrinol. 2021, 19, 141. [Google Scholar] [CrossRef]
- Ashry, M.; Rajput, S.K.; Folger, J.K.; Yang, C.; Knott, J.G.; Smith, G.W. Follistatin treatment modifies DNA methylation of the CDX2 gene in bovine preimplantation embryos. Mol. Reprod. Dev. 2020, 87, 998–1008. [Google Scholar] [CrossRef] [PubMed]
- El-Sayed, A.; Hoelker, M.; Rings, F.; Salilew, D.; Jennen, D.; Tholen, E.; Sirard, M.A.; Schellander, K.; Tesfaye, D. Large-scale transcriptional analysis of bovine embryo biopsies in relation to pregnancy success after transfer to recipients. Physiol. Genom. 2006, 28, 84–96. [Google Scholar] [CrossRef]
- Nganvongpanit, K.; Müller, H.; Rings, F.; Hoelker, M.; Jennen, D.; Tholen, E.; Havlicek, V.; Besenfelder, U.; Schellander, K.; Tesfaye, D. Selective degradation of maternal and embryonic transcripts in in vitro produced bovine oocytes and embryos using sequence specific double-stranded RNA. Reproduction 2006, 131, 861–874. [Google Scholar] [CrossRef][Green Version]
- Daigneault, B.W.; Rajput, S.; Smith, G.W.; Ross, P.J. Embryonic POU5F1 is Required for Expanded Bovine Blastocyst Formation. Sci. Rep. 2018, 8, 7753. [Google Scholar] [CrossRef]
- Sakurai, N.; Takahashi, K.; Emura, N.; Fujii, T.; Hirayama, H.; Kageyama, S.; Hashizume, T.; Sawai, K. The Necessity of OCT-4 and CDX2 for Early Development and Gene Expression Involved in Differentiation of Inner Cell Mass and Trophectoderm Lineages in Bovine Embryos. Cell. Reprogram. 2016, 18, 309–318. [Google Scholar] [CrossRef] [PubMed]
- Li, H.J.; Liu, D.J.; Cang, M.; Wang, L.M.; Jin, M.Z.; Ma, Y.Z.; Shorgan, B. Early apoptosis is associated with improved developmental potential in bovine oocytes. Anim. Reprod. Sci. 2009, 114, 89–98. [Google Scholar] [CrossRef] [PubMed]
- Yang, M.Y.; Rajamahendran, R. Expression of Bcl-2 and Bax proteins in relation to quality of bovine oocytes and embryos produced in vitro. Anim. Reprod. Sci. 2002, 70, 159–169. [Google Scholar] [CrossRef] [PubMed]
- Duan, X.X.; Ou, J.S.; Li, Y.; Su, J.J.; Ou, C.; Yang, C.; Yue, H.F.; Ban, K.C. Dynamic expression of apoptosis-related genes during development of laboratory hepatocellular carcinoma and its relation to apoptosis. World J. Gastroenterol. 2005, 11, 4740–4744. [Google Scholar] [CrossRef]
- Jeong, Y.J.; Cui, X.S.; Kim, B.K.; Kim, I.H.; Kim, T.; Chung, Y.B.; Kim, N.H. Haploidy influences Bak and Bcl-xL mRNA expression and increases incidence of apoptosis in porcine embryos. Zygote 2005, 13, 17–21. [Google Scholar] [CrossRef] [PubMed]
- Henery, C.C.; Kaufman, M.H. Cleavage rate of haploid and diploid parthenogenetic mouse embryos during the preimplantation period. Mol. Reprod. Dev. 1992, 31, 258–263. [Google Scholar] [CrossRef] [PubMed]
- Felmer, R.N.; Arias, M.E.; Muñoz, G.A.; Rio, J.H. Effect of different sequential and two-step culture systems on the development, quality, and RNA expression profile of bovine blastocysts produced in vitro. Mol. Reprod. Dev. 2011, 78, 403–414. [Google Scholar] [CrossRef]
- Sampaio, R.V.; Sangalli, J.R.; De Bem, T.H.C.; Ambrizi, D.R.; Del Collado, M.; Bridi, A.; de Ávila, A.; Macabelli, C.H.; de Jesus Oliveira, L.; da Silveira, J.C.; et al. Catalytic inhibition of H3K9me2 writers disturbs epigenetic marks during bovine nuclear reprogramming. Sci. Rep. 2020, 10, 11493. [Google Scholar] [CrossRef]
- Livak, K.J.; Schmittgen, T.D. Analysis of relative gene expression data using real-time quantitative PCR and the 2(-Delta Delta C(T)) Method. Methods 2001, 25, 402–408. [Google Scholar] [CrossRef]






| Blastocysts | |||||||||||
|---|---|---|---|---|---|---|---|---|---|---|---|
| Treatments | Oocytes (n) | Cleavage (%) | n | Percentage per Cultured Embryo | Early Blastocysts (%) † | Expanded Blastocysts (%) † | Hatched Blastocysts (%) † | ||||
| ANY | 111 | 102 | (91.9) | 48 | (43.2 ± 3.0) | 22 | (45.8) | 21 | (43.8) | 5 | (10.4) |
| ANY + CHX | 107 | 98 | (91.6) | 40 | (37.4 ± 3.3) | 16 | (40.0) | 22 | (55.0) | 2 | (5.0) |
| ANY + DMAP | 111 | 109 | (98.2) | 56 | (50.5 ± 11.0) | 25 | (44.6) | 25 | (44.6) | 6 | (10.7) |
| ANY + CHX + DMAP | 139 | 137 | (98.6) | 69 | (49.6 ± 14.5) | 35 | (50.7) | 30 | (43.5) | 4 | (5.8) |
| CHX + DMAP | 114 | 109 | (95.6) | 58 | (50.9 ± 14.7) | 30 | (51.7) | 26 | (44.8) | 2 | (3.4) |
| Treatments | Mean Cell Number (±SD) | TUNEL Staining | |||
|---|---|---|---|---|---|
| Total | TE | ICM | ICM: Total (%) | TUNEL-Positive Cells: Total Cells (%) | |
| ANY | 100.9 ± 43.0 | 70.7 ± 25.3 | 27.9 ± 14.3 | 26.7 ± 9.7 | 3.9 ± 2.8 |
| ANY + CHX | 118.0 ± 28.9 | 71.0 ± 21.1 | 38.3 ± 13.5 | 34.4 ± 8.7 | 3.6 ± 1.9 |
| ANY + DMAP | 118.1 ± 34.2 | 96.0 ± 28.0 | 49.0 ± 17.0 | 33.6 ± 9.5 | 2.4 ± 1.9 |
| ANY + CHX + DMAP | 130.0 ± 38.7 | 92.8 ± 22.3 | 31.2 ± 16.4 | 24.3 ± 8.3 | 3.5 ± 1.9 |
| CHX + DMAP | 129.8 ± 28.5 | 108.6 ± 20.7 | 39.9 ± 7.5 | 27.2 ± 5.6 | 4.2 ± 2.1 |
Disclaimer/Publisher’s Note: The statements, opinions and data contained in all publications are solely those of the individual author(s) and contributor(s) and not of MDPI and/or the editor(s). MDPI and/or the editor(s) disclaim responsibility for any injury to people or property resulting from any ideas, methods, instructions or products referred to in the content. |
© 2023 by the authors. Licensee MDPI, Basel, Switzerland. This article is an open access article distributed under the terms and conditions of the Creative Commons Attribution (CC BY) license (https://creativecommons.org/licenses/by/4.0/).
Share and Cite
Valencia, C.; Pérez-García, F.; Aguila, L.; Felmer, R.; Arias, M.E. Combined Exogenous Activation of Bovine Oocytes: Effects on Maturation-Promoting Factor, Mitogen-Activated Protein Kinases, and Embryonic Competence. Int. J. Mol. Sci. 2023, 24, 15794. https://doi.org/10.3390/ijms242115794
Valencia C, Pérez-García F, Aguila L, Felmer R, Arias ME. Combined Exogenous Activation of Bovine Oocytes: Effects on Maturation-Promoting Factor, Mitogen-Activated Protein Kinases, and Embryonic Competence. International Journal of Molecular Sciences. 2023; 24(21):15794. https://doi.org/10.3390/ijms242115794
Chicago/Turabian StyleValencia, Cecilia, Felipe Pérez-García, Luis Aguila, Ricardo Felmer, and María Elena Arias. 2023. "Combined Exogenous Activation of Bovine Oocytes: Effects on Maturation-Promoting Factor, Mitogen-Activated Protein Kinases, and Embryonic Competence" International Journal of Molecular Sciences 24, no. 21: 15794. https://doi.org/10.3390/ijms242115794
APA StyleValencia, C., Pérez-García, F., Aguila, L., Felmer, R., & Arias, M. E. (2023). Combined Exogenous Activation of Bovine Oocytes: Effects on Maturation-Promoting Factor, Mitogen-Activated Protein Kinases, and Embryonic Competence. International Journal of Molecular Sciences, 24(21), 15794. https://doi.org/10.3390/ijms242115794

