Anisomeles indica Extracts and Their Constituents Suppress the Protein Expression of ACE2 and TMPRSS2 In Vivo and In Vitro
Abstract
:1. Introduction
2. Results
2.1. Determination of EEAI Constituents Using HPLC
2.2. Evaluating the Impact of EEAI on the Proliferation of HepG2 and HEK 293T Cell Lines
2.3. Investigating the Impact of EEAI on ACE2 and TMPRSS2 Expression Levels in HepG2 and HEK 293T Cell Lines
2.4. Evaluating the Impact of A. indica Constituents on the Proliferation of HepG2 and HEK 293T Cell Lines
2.5. Investigating the Impact of A. indica Constituents on ACE2 and TMPRSS2 Expression Levels in HepG2 and HEK 293T Cell Lines
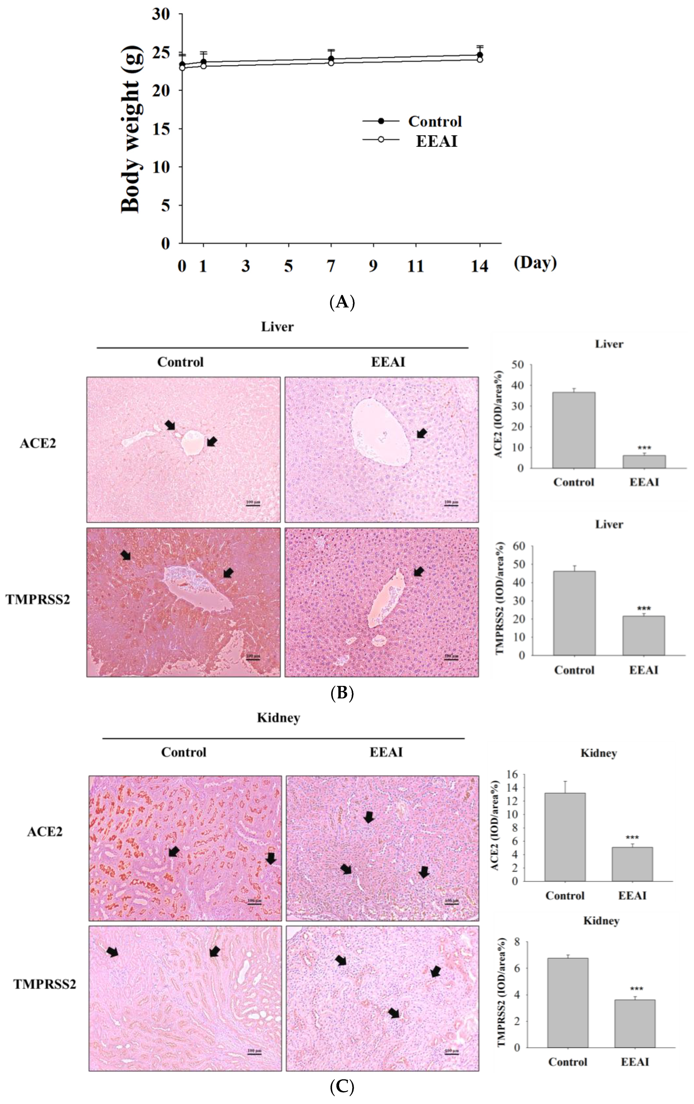
2.6. Evaluating the Impact of EEAI in Animal Testing
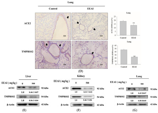
2.7. Evaluation of In Vivo ACE2 and TMPRSS2 Expression through Immunohistochemical (IHC) Analysis
2.8. Investigating ACE2 and TMPRSS2 Protein Expression Levels In Vivo
3. Discussion
4. Materials and Methods
4.1. Materials
4.2. Quantification of EEAI Components via HPLC
4.3. Cultivation and Treatment of Cells
4.4. 3-(4,5-Dimethylthiazol-2-yl)-2,5-diphenyltetrazolium Bromide (MTT) Assay
4.5. Western Blotting
4.6. Animal Model
4.7. Histopathological Examination
4.8. Immunohistochemistry (IHC) Analysis
4.9. Statistical Analysis
5. Conclusions
Supplementary Materials
Author Contributions
Funding
Institutional Review Board Statement
Informed Consent Statement
Data Availability Statement
Acknowledgments
Conflicts of Interest
References
- Hui, D.S.; Azhar, E.I.; Madani, T.A.; Ntoumi, F.; Kock, R.; Dar, O.; Ippolito, G.; McHugh, T.D.; Memish, Z.A.; Drosten, C.; et al. The continuing 2019-nCoV epidemic threat of novel coronaviruses to global health—The latest 2019 novel coronavirus outbreak in Wuhan, China. Int. J. Infect. Dis. 2020, 91, 264–266. [Google Scholar] [CrossRef] [PubMed]
- Li, L.-Q.; Huang, T.; Wang, Y.-Q.; Wang, Z.-P.; Liang, Y.; Huang, T.-B.; Zhang, H.-Y.; Sun, W.; Wang, Y. COVID-19 patients’ clinical characteristics, discharge rate, and fatality rate of meta-analysis. J. Med. Virol. 2020, 92, 577–583. [Google Scholar] [CrossRef]
- Zhu, N.; Zhang, D.; Wang, W.; Li, X.; Yang, B.; Song, J.; Zhao, X.; Huang, B.; Shi, W.; Lu, R.; et al. A Novel Coronavirus from Patients with Pneumonia in China, 2019. N. Engl. J. Med. 2020, 382, 727–733. [Google Scholar] [CrossRef] [PubMed]
- Pustake, M.; Tambolkar, I.; Giri, P.; Gandhi, C. SARS, MERS and COVID-19: An overview and comparison of clinical, laboratory and radiological features. J. Fam. Med. Prim. Care 2022, 11, 10–17. [Google Scholar] [CrossRef] [PubMed]
- Bourouiba, L. Turbulent Gas Clouds and Respiratory Pathogen Emissions: Potential Implications for Reducing Transmission of COVID-19. JAMA 2020, 323, 1837–1838. [Google Scholar] [CrossRef] [PubMed]
- Lamers, M.M.; Haagmans, B.L. SARS-CoV-2 pathogenesis. Nat. Rev. Microbiol. 2022, 20, 270–284. [Google Scholar] [CrossRef] [PubMed]
- Chien, L.-H.; Deng, J.-S.; Jiang, W.-P.; Chen, C.-C.; Chou, Y.-N.; Lin, J.-G.; Huang, G.-J. Study on the potential of Sanghuangporus sanghuang and its components as COVID-19 spike protein receptor binding domain inhibitors. Biomed. Pharmacother. 2022, 153, 113434. [Google Scholar] [CrossRef]
- Grant, M.C.; Geoghegan, L.; Arbyn, M.; Mohammed, Z.; McGuinness, L.; Clarke, E.L.; Wade, R.G. The prevalence of symptoms in 24,410 adults infected by the novel coronavirus (SARS-CoV-2; COVID-19): A systematic review and meta-analysis of 148 studies from 9 countries. PLoS ONE 2020, 15, e0234765. [Google Scholar] [CrossRef]
- Beacon, T.H.; Delcuve, G.P.; Davie, J.R. Epigenetic regulation of ACE2, the receptor of the SARS-CoV-2 virus. Genome 2021, 64, 386–399. [Google Scholar] [CrossRef]
- ACE2 binding. In SARS-CoV-2 Assays; National Center for Advancing Translational Sciences (NCATS): Bethesda, MD, USA, 2020.
- Glowacka, I.; Bertram, S.; Müller Marcel, A.; Allen, P.; Soilleux, E.; Pfefferle, S.; Steffen, I.; Tsegaye Theodros, S.; He, Y.; Gnirss, K.; et al. Evidence that TMPRSS2 Activates the Severe Acute Respiratory Syndrome Coronavirus Spike Protein for Membrane Fusion and Reduces Viral Control by the Humoral Immune Response. J. Virol. 2011, 85, 4122–4134. [Google Scholar] [CrossRef]
- Tirelli, C.; De Amici, M.; Albrici, C.; Mira, S.; Nalesso, G.; Re, B.; Corsico, A.G.; Mondoni, M.; Centanni, S. Exploring the Role of Immune System and Inflammatory Cytokines in SARS-CoV-2 Induced Lung Disease: A Narrative Review. Biology 2023, 12, 177. [Google Scholar] [CrossRef] [PubMed]
- Verdecchia, P.; Cavallini, C.; Spanevello, A.; Angeli, F. The pivotal link between ACE2 deficiency and SARS-CoV-2 infection. Eur. J. Intern. Med. 2020, 76, 14–20. [Google Scholar] [CrossRef] [PubMed]
- Heurich, A.; Hofmann-Winkler, H.; Gierer, S.; Liepold, T.; Jahn, O.; Pöhlmann, S. TMPRSS2 and ADAM17 Cleave ACE2 Differentially and Only Proteolysis by TMPRSS2 Augments Entry Driven by the Severe Acute Respiratory Syndrome Coronavirus Spike Protein. J. Virol. 2014, 88, 1293–1307. [Google Scholar] [CrossRef]
- Shahidul Alam, M.; Quader, M.A.; Rashid, M.A. HIV-inhibitory diterpenoid from Anisomeles indica. Fitoterapia 2000, 71, 574–576. [Google Scholar] [CrossRef]
- Wang, Y.-C.; Huang, T.-L. Screening of anti-Helicobacter pylori herbs deriving from Taiwanese folk medicinal plants. FEMS Immunol. Med. Microbiol. 2005, 43, 295–300. [Google Scholar] [CrossRef]
- Huang, H.-C.; Lien, H.-M.; Ke, H.-J.; Chang, L.-L.; Chen, C.-C.; Chang, T.-M. Antioxidative Characteristics of Anisomeles indica Extract and Inhibitory Effect of Ovatodiolide on Melanogenesis. Int. J. Mol. Sci. 2012, 13, 6220–6235. [Google Scholar] [CrossRef]
- Bamodu, O.A.; Huang, W.-C.; Tzeng, D.T.W.; Wu, A.; Wang, L.S.; Yeh, C.-T.; Chao, T.-Y. Ovatodiolide sensitizes aggressive breast cancer cells to doxorubicin, eliminates their cancer stem cell-like phenotype, and reduces doxorubicin-associated toxicity. Cancer Lett. 2015, 364, 125–134. [Google Scholar] [CrossRef] [PubMed]
- Ou, J.; Meng, F.; Liu, J.; Li, D.; Cao, H.; Sun, B. Ovatodiolide exerts anticancer effects on human cervical cancer cells via mitotic catastrophe, apoptosis and inhibition of NF-kB pathway. J. Buon 2020, 25, 87–92. [Google Scholar]
- Yu, H.-X.; Zheng, N.; Yeh, C.-T.; Lee, C.-M.; Zhang, Q.; Zheng, W.-L.; Chang, Q.; Li, Y.-H.; Li, Y.-J.; Wu, G.-Z.; et al. Identification and semisynthesis of (−)-anisomelic acid as oral agent against SARS-CoV-2 in mice. Natl. Sci. Rev. 2022, 9, nwac176. [Google Scholar] [CrossRef]
- Hsieh, S.-C.; Fang, S.-H.; Rao, Y.K.; Tzeng, Y.-M. Inhibition of pro-inflammatory mediators and tumor cell proliferation by Anisomeles indica extracts. J. Ethnopharmacol. 2008, 118, 65–70. [Google Scholar] [CrossRef]
- Liao, Y.F.; Rao, Y.K.; Tzeng, Y.M. Aqueous extract of Anisomeles indica and its purified compound exerts anti-metastatic activity through inhibition of NF-kappaB/AP-1-dependent MMP-9 activation in human breast cancer MCF-7 cells. Food Chem. Toxicol. 2012, 50, 2930–2936. [Google Scholar] [CrossRef]
- Yu, C.Y.; Jerry Teng, C.L.; Hung, P.S.; Cheng, C.C.; Hsu, S.L.; Hwang, G.Y.; Tzeng, Y.M. Ovatodiolide isolated from Anisomeles indica induces cell cycle G2/M arrest and apoptosis via a ROS-dependent ATM/ATR signaling pathways. Eur. J. Pharmacol. 2018, 819, 16–29. [Google Scholar] [CrossRef] [PubMed]
- Samuel, R.; Pathalam, G.; Babu, V.; Kamaraj, R.; Subramanian, M.; Antony, S.; Sanmugapriya, N.K.; Palaniswamy, S.; Savarimuthu, I. Biocontrol efficacy of apigenin isolated from Anisomeles indica (L.) Kuntze against immature stages of Culex quinquefasciatus (Say, 1823) and its in silico studies. Biocatal. Agric. Biotechnol. 2023, 48, 102637. [Google Scholar] [CrossRef]
- Chiou, W.C.; Huang, G.J.; Chang, T.Y.; Hsia, T.L.; Yu, H.Y.; Lo, J.M.; Fu, P.K.; Huang, C. Ovatodiolide inhibits SARS-CoV-2 replication and ameliorates pulmonary fibrosis through suppression of the TGF-beta/TbetaRs signaling pathway. Biomed. Pharmacother. 2023, 161, 114481. [Google Scholar] [CrossRef] [PubMed]
- Chatterjee, S.; Pyne, N.; Paul, S. In silico screening of flavonoids unearthed Apigenin and Epigallocatechin Gallate, possessing antiviral potentiality against Delta and Omicron variants of SARS-CoV-2. Nucleus 2023. [Google Scholar] [CrossRef]
- Wan, Y.; Shang, J.; Graham, R.; Baric Ralph, S.; Li, F. Receptor Recognition by the Novel Coronavirus from Wuhan: An Analysis Based on Decade-Long Structural Studies of SARS Coronavirus. J. Virol. 2020, 94, 00127-20. [Google Scholar] [CrossRef] [PubMed]
- Umakanthan, S.; Sahu, P.; Ranade, A.V.; Bukelo, M.M.; Rao, J.S.; Abrahao-Machado, L.F.; Dahal, S.; Kumar, H.; Kv, D. Origin, transmission, diagnosis and management of coronavirus disease 2019 (COVID-19). Postgrad. Med. J. 2020, 96, 753–758. [Google Scholar]
- World Health Organization (WHO). COVID-19 Weekly Epidemiological Update, Edition 134, 16 March 2023; World Health Organization: Geneva, Switzerland, 2023. [Google Scholar]
- Peerapornratana, S.; Manrique-Caballero, C.L.; Gómez, H.; Kellum, J.A. Acute kidney injury from sepsis: Current concepts, epidemiology, pathophysiology, prevention and treatment. Kidney Int. 2019, 96, 1083–1099. [Google Scholar] [CrossRef] [PubMed]
- Chasco, E.E.; Dukes, K.; Jones, D.; Comellas, A.P.; Hoffman, R.M.; Garg, A. Brain Fog and Fatigue following COVID-19 Infection: An Exploratory Study of Patient Experiences of Long COVID. Int. J. Environ. Res. Public Health 2022, 19, 15499. [Google Scholar] [CrossRef] [PubMed]
- Gabarre, P.; Dumas, G.; Dupont, T.; Darmon, M.; Azoulay, E.; Zafrani, L. Acute kidney injury in critically ill patients with COVID-19. Intensive Care Med. 2020, 46, 1339–1348. [Google Scholar] [CrossRef] [PubMed]
- Parker, A.M.; Brigham, E.; Connolly, B.; McPeake, J.; Agranovich, A.V.; Kenes, M.T.; Casey, K.; Reynolds, C.; Schmidt, K.F.R.; Kim, S.Y.; et al. Addressing the post-acute sequelae of SARS-CoV-2 infection: A multidisciplinary model of care. Lancet Respir. Med. 2021, 9, 1328–1341. [Google Scholar] [CrossRef] [PubMed]
- Walls, A.C.; Park, Y.-J.; Tortorici, M.A.; Wall, A.; McGuire, A.T.; Veesler, D. Structure, Function, and Antigenicity of the SARS-CoV-2 Spike Glycoprotein. Cell 2020, 181, 281–292.e6. [Google Scholar] [CrossRef] [PubMed]
- Dong, M.; Zhang, J.; Ma, X.; Tan, J.; Chen, L.; Liu, S.; Xin, Y.; Zhuang, L. ACE2, TMPRSS2 distribution and extrapulmonary organ injury in patients with COVID-19. Biomed. Pharmacother. 2020, 131, 110678. [Google Scholar] [CrossRef] [PubMed]
- Yang, X.-H.; Deng, W.; Tong, Z.; Liu, Y.-X.; Zhang, L.-F.; Zhu, H.; Gao, H.; Huang, L.; Liu, Y.-L.; Ma, C.-M.; et al. Mice Transgenic for Human Angiotensin-converting Enzyme 2 Provide a Model for SARS Coronavirus Infection. Comp. Med. 2007, 57, 450–459. [Google Scholar] [PubMed]
- Vergara, A.; Jacobs-Cacha, C.; Molina-Van den Bosch, M.; Dominguez-Baez, P.; Benito, B.; Garcia-Carro, C.; Seron, D.; Soler, M.J. Effect of ramipril on kidney, lung and heart ACE2 in a diabetic mice model. Mol. Cell Endocrinol. 2021, 529, 111263. [Google Scholar] [CrossRef]
- Sassa, S.; Sugita, O.; Galbraith, R.A.; Kappas, A. Drug metabolism by the human hepatoma cell, Hep G2. Biochem. Biophys. Res. Commun. 1987, 143, 52–57. [Google Scholar] [CrossRef]
- Schoonen, W.G.E.J.; de Roos, J.A.D.M.; Westerink, W.M.A.; Débiton, E. Cytotoxic effects of 110 reference compounds on HepG2 cells and for 60 compounds on HeLa, ECC-1 and CHO cells.: II Mechanistic assays on NAD(P)H, ATP and DNA contents. Toxicol. Vitr. 2005, 19, 491–503. [Google Scholar] [CrossRef]
- Clemedson, C.; Barile, F.; Chesne, C.; Cottin, M.; Curren, R.; Ekwall, B.; Ferro, M.; Gomez-Lechon, M.; Imai, K.; Janus, J. MEIC evaluation of acute systemic toxicity. Part VII. Prediction of human toxicity by results from testing of the first 30 reference chemicals with 27 further in vitro assays. ATLA 2000, 28, 161–200. [Google Scholar]
- Sun, Y.; Hu, M.; Wang, F.; Tan, H.; Hu, J.; Wang, X.; Wang, B.; Hu, J.; Li, Y. Quantification of 2-NBDG, a probe for glucose uptake, in GLUT1 overexpression in HEK293T cells by LC–MS/MS. Anal. Biochem. 2021, 631, 114357. [Google Scholar] [CrossRef]
- Yang, Q.; Hughes, T.A.; Kelkar, A.; Yu, X.; Cheng, K.; Park, S.; Huang, W.-C.; Lovell, J.F.; Neelamegham, S. Inhibition of SARS-CoV-2 viral entry upon blocking N- and O-glycan elaboration. eLife 2020, 9, e61552. [Google Scholar] [CrossRef]
- Borodušķe, A.; Balode, M.; Nakurte, I.; Berga, M.; Jēkabsons, K.; Muceniece, R.; Rischer, H. Sambucus nigra L. cell cultures produce main species-specific phytochemicals with anti-inflammatory properties and in vitro ACE2 binding inhibition to SARS-CoV2. Ind. Crops Prod. 2022, 186, 115236. [Google Scholar] [CrossRef]
- He, M.F.; Liang, J.H.; Shen, Y.N.; Zhang, J.W.; Liu, Y.; Yang, K.Y.; Liu, L.C.; Wang, J.; Xie, Q.; Hu, C.; et al. Glycyrrhizin Inhibits SARS-CoV-2 Entry into Cells by Targeting ACE2. Life 2022, 12, 1706. [Google Scholar] [CrossRef]
- Sun, T.K.; Huang, W.C.; Sun, Y.W.; Deng, J.S.; Chien, L.H.; Chou, Y.N.; Jiang, W.P.; Lin, J.G.; Huang, G.J. Schizophyllum commune Reduces Expression of the SARS-CoV-2 Receptors ACE2 and TMPRSS2. Int. J. Mol. Sci. 2022, 23, 14766. [Google Scholar] [CrossRef] [PubMed]
- Nasrin, S.; Islam, M.N.; Tayab, M.A.; Nasrin, M.S.; Siddique, M.A.B.; Emran, T.B.; Reza, A.S.M.A. Chemical profiles and pharmacological insights of Anisomeles indica Kuntze: An experimental chemico-biological interaction. Biomed. Pharmacother. 2022, 149, 112842. [Google Scholar] [CrossRef] [PubMed]
- Senthilkumar, R.; Brusentsev, Y.; Paul, P.; Marimuthu, P.; Cheng, F.; Eklund, P.C.; Eriksson, J.E. Synthesis and Evaluation of Anisomelic acid-like Compounds for the Treatment of HPV-Mediated Carcinomas. Sci. Rep. 2019, 9, 20295. [Google Scholar] [CrossRef]
- Salehi, B.; Venditti, A.; Sharifi-Rad, M.; Kręgiel, D.; Sharifi-Rad, J.; Durazzo, A.; Lucarini, M.; Santini, A.; Souto, E.B.; Novellino, E.; et al. The Therapeutic Potential of Apigenin. Int. J. Mol. Sci. 2019, 20, 1305. [Google Scholar] [CrossRef] [PubMed]
- Lien, H.M.; Wang, C.Y.; Chang, H.Y.; Huang, C.L.; Peng, M.T.; Sing, Y.T.; Chen, C.C.; Lai, C.H. Bioevaluation of Anisomeles indica extracts and their inhibitory effects on Helicobacter pylori-mediated inflammation. J. Ethnopharmacol. 2013, 145, 397–401. [Google Scholar] [CrossRef] [PubMed]







Disclaimer/Publisher’s Note: The statements, opinions and data contained in all publications are solely those of the individual author(s) and contributor(s) and not of MDPI and/or the editor(s). MDPI and/or the editor(s) disclaim responsibility for any injury to people or property resulting from any ideas, methods, instructions or products referred to in the content. |
© 2023 by the authors. Licensee MDPI, Basel, Switzerland. This article is an open access article distributed under the terms and conditions of the Creative Commons Attribution (CC BY) license (https://creativecommons.org/licenses/by/4.0/).
Share and Cite
Chen, Y.-R.; Jiang, W.-P.; Deng, J.-S.; Chou, Y.-N.; Wu, Y.-B.; Liang, H.-J.; Lin, J.-G.; Huang, G.-J. Anisomeles indica Extracts and Their Constituents Suppress the Protein Expression of ACE2 and TMPRSS2 In Vivo and In Vitro. Int. J. Mol. Sci. 2023, 24, 15062. https://doi.org/10.3390/ijms242015062
Chen Y-R, Jiang W-P, Deng J-S, Chou Y-N, Wu Y-B, Liang H-J, Lin J-G, Huang G-J. Anisomeles indica Extracts and Their Constituents Suppress the Protein Expression of ACE2 and TMPRSS2 In Vivo and In Vitro. International Journal of Molecular Sciences. 2023; 24(20):15062. https://doi.org/10.3390/ijms242015062
Chicago/Turabian StyleChen, Yu-Ru, Wen-Ping Jiang, Jeng-Shyan Deng, Ya-Ni Chou, Yeh-Bin Wu, Hui-Ju Liang, Jaung-Geng Lin, and Guan-Jhong Huang. 2023. "Anisomeles indica Extracts and Their Constituents Suppress the Protein Expression of ACE2 and TMPRSS2 In Vivo and In Vitro" International Journal of Molecular Sciences 24, no. 20: 15062. https://doi.org/10.3390/ijms242015062
APA StyleChen, Y.-R., Jiang, W.-P., Deng, J.-S., Chou, Y.-N., Wu, Y.-B., Liang, H.-J., Lin, J.-G., & Huang, G.-J. (2023). Anisomeles indica Extracts and Their Constituents Suppress the Protein Expression of ACE2 and TMPRSS2 In Vivo and In Vitro. International Journal of Molecular Sciences, 24(20), 15062. https://doi.org/10.3390/ijms242015062

