Distribution of Cleaved SNAP-25 in the Rat Brain, following Unilateral Injection of Botulinum Neurotoxin-A into the Striatum
Abstract
1. Introduction
2. Results
2.1. Verification of Successful BoNT-A Injection—Botulinum Neurotoxin-A-Induced Varicosities
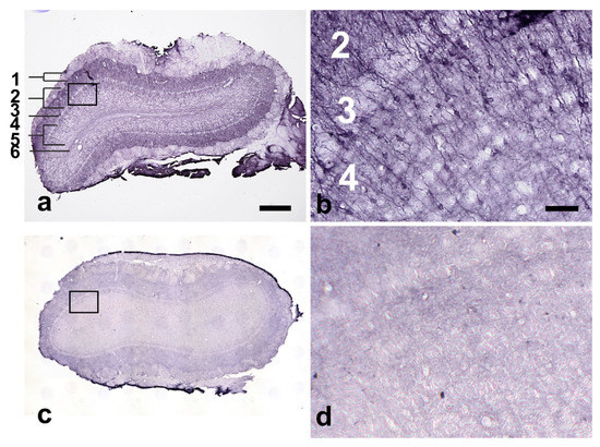
2.2. General Findings and Qualitative Evaluation
Olfactory Bulb
2.3. Comparison of the Optical Densities of Investigated Brain Areas between Treated and Untreated Hemisphere
2.3.1. Caudate-Putamen Complex (CPu)
2.3.2. Globus Pallidus (GP)
2.3.3. Entopeduncular Nucleus (EP)
2.3.4. Substantia Nigra (SN)
2.3.5. Medial Thalamic Nuclei (MThal)
2.3.6. Ventral Thalamic Nuclei (VThal)
2.3.7. Motor Cortex (MC)
2.3.8. Accumbens Nucleus (Acb)
2.3.9. Pons (Pn)
2.3.10. Ventral Tegmental Area (VTA)
2.3.11. Habenular Nuclei (Hb)
2.3.12. Piriform Cortex (Pir)
2.3.13. Basolateral Amygdala Nuclei (BLAm)
2.4. Temporal Dynamics of the Optical Densities (OD) of the Investigated Brain Parts
2.4.1. Caudate-Putamen Complex
2.4.2. Globus Pallidus
2.4.3. Entopeduncular Nucleus
2.4.4. Substantia Nigra
2.4.5. Medial Thalamic Nuclei
2.4.6. Ventral Thalamic Nuclei
2.4.7. Motor Cortex
2.4.8. Accumbens Nucleus
2.4.9. Pons
2.4.10. Ventral Tegmental Area
2.4.11. Habenular Nuclei
2.4.12. Piriform Cortex
2.4.13. Basolateral Amygdala Nuclei
2.5. Comparison of Treated Animals with Control Animals
2.5.1. Caudate-Putamen Complex
2.5.2. Globus Pallidus
2.5.3. Entopeduncular Nucleus
2.5.4. Substantia Nigra
2.5.5. Accumbens Nucleus
2.5.6. Brain Regions with No Differences Compared to Sham-Treated Animals after 12 Months
2.6. Correlation of the Optical Densities with the Distance from the Injection Site to the Gravitational Centers of the Examined Brain Areas
2.7. Correlation of the Maximal Optical Density of the Examined Brain Areas with the Density of Their Connections to the Injection Site
2.8. Temporal Changes in the Ranking of the OD of the Brain Areas
3. Discussion
3.1. Cleaved SNAP-25 and Experimental Concept
3.2. Caudate-Putamen Complex
3.3. Olfactory Bulb
3.4. Temporal Dynamics of the OD
3.5. Evaluation of Possible Consequences of Intrastriatal BoNT-A Injection
3.6. Implications for Future Experiments
4. Materials and Methods
4.1. Animals
4.2. Stereotactic Injection of BoNT-A into the CPu
4.3. Experimental Groups and Examination Times
4.4. Tissue Preparation and Histochemistry
4.5. Examined Brain Areas
- Caudate-Putamen complex (CPu)
- Globus pallidus (GP)
- Entopeduncular nucleus (EP)
- Substantia nigra (SN)
- Medial thalamic nuclei (MThal)
- Ventral thalamic nuclei (VThal)
- Motor cortex (MC)
- Accumbens nucleus (Acb)
- Pons (Pn)
- Ventral tegmental area (VTA)
- Habenular nuclei (Hb)
- Piriform cortex (Pir)
- Basolateral amygdala nuclei (BLAm)
4.6. Densitometry
4.7. Comparison and Correlation of the Obtained Data with Findings from Connectome Research Using the NeuroVIISAS
4.8. Statistics
5. Conclusions
Supplementary Materials
Author Contributions
Funding
Institutional Review Board Statement
Informed Consent Statement
Data Availability Statement
Acknowledgments
Conflicts of Interest
Abbreviations
| 6-OHDA | 6-hydroxydopamine |
| Acb | Accumbens nucleus |
| BiVs | Botulinum neurotoxin-induced varicosities |
| BoNT-A | Botulinum neurotoxin-A |
| ChAT | Choline acetyltransferase |
| cleaved SNAP-25 | Fission product of BoNT-A/Synaptosomal-Associated Protein-25 kDa cleaved/truncated by BoNT-A |
| CPu | Caudate-Putamen complex/striatum |
| EP | Entopeduncular nucleus |
| GP | Globus pallidus |
| IHC | Immunohistochemistry |
| L-DOPA | L-3,4-dihydroxyphenylalanine |
| MC | Motor cortex |
| MThal | Medial thalamic nuclei |
| OB | Olfactory bulb |
| OD | Optical density |
| PD | Parkinson’s disease |
| Pn | Pons |
| PPN | Pedunculopontine nucleus |
| SNAP-25 | Synaptosomal-Associated Protein-25 kDa |
| SN | Substantia nigra |
| SNARE | soluble N-ethylmaleimide-sensitive-factor attachment receptor |
| SNpc | Substantia nigra pars compacta |
| SV2 | Synaptic vesicle glycoprotein 2 |
| TH | Tyrosine hydroxylase |
| VTA | Ventral tegmental area |
| VThal | Ventral thalamic nuclei |
References
- Balestrino, R.; Schapira, A.H.V. Parkinson Disease. Eur. J. Neurol. 2020, 27, 27–42. [Google Scholar] [CrossRef] [PubMed]
- Kalia, L.V.; Lang, A.E. Parkinson’s Disease. Lancet 2015, 386, 896–912. [Google Scholar] [CrossRef]
- Reich, S.G.; Savitt, J.M. Parkinson’s Disease. Med. Clin. N. Am. 2019, 103, 337–350. [Google Scholar] [CrossRef] [PubMed]
- Obeso, J.A.; Stamelou, M.; Goetz, C.G.; Poewe, W.; Lang, A.E.; Weintraub, D.; Burn, D.; Halliday, G.M.; Bezard, E.; Przedborski, S.; et al. Past, Present, and Future of Parkinson’s Disease: A Special Essay on the 200th Anniversary of the Shaking Palsy. Mov. Disord. 2017, 32, 1264–1310. [Google Scholar] [CrossRef] [PubMed]
- Rizzi, G.; Tan, K.R. Dopamine and Acetylcholine, a Circuit Point of View in Parkinson’s Disease. Front. Neural Circuits 2017, 11, 110. [Google Scholar] [CrossRef]
- CARLSSON, A.; LINDQVIST, M.; MAGNUSSON, T. 3,4-Dihydroxyphenylalanine and 5-Hydroxytryptophan as Reserpine Antagonists. Nature 1957, 180, 1200. [Google Scholar] [CrossRef]
- Connolly, B.S.; Lang, A. Pharmacological Treatment of Parkinson Disease. JAMA 2014, 311, 1670. [Google Scholar] [CrossRef]
- Olanow, C.W.; Obeso, J. a Levodopa Toxicity and Parkinson Disease: Still a Need for Equipoise. Neurology 2011, 77, 1416–1417. [Google Scholar] [CrossRef]
- Lane, E.L. L-DOPA for Parkinson’s Disease-a Bittersweet Pill. Eur. J. Neurosci. 2019, 49, 384–398. [Google Scholar] [CrossRef]
- Fox, S.H.; Katzenschlager, R.; Lim, S.Y.; Barton, B.; de Bie, R.M.A.; Seppi, K.; Coelho, M.; Sampaio, C. International Parkinson and Movement Disorder Society Evidence-Based Medicine Review: Update on Treatments for the Motor Symptoms of Parkinson’s Disease. Mov. Disord. 2018, 33, 1248–1266. [Google Scholar] [CrossRef]
- Fowler, J.S.; Volkow, N.D.; Wang, G.-J.; Pappas, N.; Logan, J.; Shea, C.; Alexoff, D.; MacGregor, R.R.; Schlyer, D.J.; Zezulkova, I.; et al. Brain Monoamine Oxidase A Inhibition in Cigarette Smokers. Proc. Natl. Acad. Sci. USA 1996, 93, 14065–14069. [Google Scholar] [CrossRef]
- Riederer, P.; Müller, T. Monoamine Oxidase-B Inhibitors in the Treatment of Parkinson’s Disease: Clinical–Pharmacological Aspects. J. Neural Transm. 2018, 125, 1751–1757. [Google Scholar] [CrossRef] [PubMed]
- Youdim, M.B.H.; Bakhle, Y.S. Monoamine Oxidase: Isoforms and Inhibitors in Parkinson’s Disease and Depressive Illness. Br. J. Pharmacol. 2006, 147, S287–S296. [Google Scholar] [CrossRef] [PubMed]
- Clarke, C.E. MEDICAL MANAGEMENT OF PARKINSON’S DISEASE. J. Neurol. Neurosurg. Psychiatry 2002, 72, i22–i272002. [Google Scholar] [CrossRef]
- Duvoisin, R.C. Cholinergic-Anticholinergic Antagonism in Parkinsonism. Arch. Neurol. 1967, 17, 124–136. [Google Scholar] [CrossRef]
- Kaplan, H.A.; Machover, S.; Rabiner, A. A Study of the Effectiveness of Drug Therapy in Parkinsonism. J. Nerv. Ment. Dis. 1954, 119, 398–411. [Google Scholar] [CrossRef]
- Jankovic, J. Treatment of Dystonia. Lancet Neurol. 2006, 5, 864–872. [Google Scholar] [CrossRef] [PubMed]
- Quik, M.; Boyd, J.T.; Bordia, T.; Perez, X. Potential Therapeutic Application for Nicotinic Receptor Drugs in Movement Disorders. Nicotine Tob. Res. Off. J. Soc. Res. Nicotine Tob. 2019, 21, 357–369. [Google Scholar] [CrossRef] [PubMed]
- Aarsland, D.; Creese, B.; Politis, M.; Chaudhuri, K.R.; Ffytche, D.H.; Weintraub, D.; Ballard, C. Cognitive Decline in Parkinson Disease. Nat. Rev. Neurol. 2017, 13, 217–231. [Google Scholar] [CrossRef]
- Bohnen, N.I.; Albin, R.L. The Cholinergic System and Parkinson Disease. Behav. Brain Res. 2011, 221, 564–573. [Google Scholar] [CrossRef]
- Calabresi, P.; Picconi, B.; Parnetti, L.; Di Filippo, M. A Convergent Model for Cognitive Dysfunctions in Parkinson’s Disease: The Critical Dopamine-Acetylcholine Synaptic Balance. Lancet. Neurol. 2006, 5, 974–983. [Google Scholar] [CrossRef] [PubMed]
- French, I.T.; Muthusamy, K.A. A Review of the Pedunculopontine Nucleus in Parkinson’s Disease. Front. Aging Neurosci. 2018, 10, 99. [Google Scholar] [CrossRef] [PubMed]
- Katzenschlager, R.; Sampaio, C.; Costa, J.; Lees, A. Anticholinergics for symptomatic management of Parkinson´s disease. Cochrane Database Syst. Rev. 2002, 2010, CD003735. [Google Scholar] [CrossRef] [PubMed]
- Lim, S.A.O.; Kang, U.J.; McGehee, D.S. Striatal Cholinergic Interneuron Regulation and Circuit Effects. Front. Synaptic Neurosci. 2014, 6, 22. [Google Scholar] [CrossRef]
- Liu, A.K.L.; Chang, R.C.C.; Pearce, R.K.B.; Gentleman, S.M. Nucleus Basalis of Meynert Revisited: Anatomy, History and Differential Involvement in Alzheimer’s and Parkinson’s Disease. Acta Neuropathol. 2015, 129, 527–540. [Google Scholar] [CrossRef]
- Ray, N.J.; Bradburn, S.; Murgatroyd, C.; Toseeb, U.; Mir, P.; Kountouriotis, G.K.; Teipel, S.J.; Grothe, M.J. In Vivo Cholinergic Basal Forebrain Atrophy Predicts Cognitive Decline in de Novo Parkinson’s Disease. Brain 2018, 141, 165–176. [Google Scholar] [CrossRef]
- Whitney, C.M. Medications for Parkinson’s Disease. Neurologist 2007, 13, 387–388. [Google Scholar] [CrossRef] [PubMed]
- Yarnall, A.; Rochester, L.; Burn, D.J. The Interplay of Cholinergic Function, Attention, and Falls in Parkinson’s Disease. Mov. Disord. Off. J. Mov. Disord. Soc. 2011, 26, 2496–2503. [Google Scholar] [CrossRef]
- Antipova, V.; Holzmann, C.; Hawlitschka, A.; Wree, A. Botulinum Neurotoxin-A Injected Intrastriatally into Hemiparkinsonian Rats Improves the Initiation Time for Left and Right Forelimbs in Both Forehand and Backhand Directions. Int. J. Mol. Sci. 2019, 20, 992. [Google Scholar] [CrossRef]
- Hawlitschka, A.; Wree, A. Experimental Intrastriatal Applications of Botulinum Neurotoxin-a: A Review. Int. J. Mol. Sci. 2018, 19, 1392. [Google Scholar] [CrossRef]
- Hawlitschka, A.; Berg, C.; Schmitt, O.; Holzmann, C. Repeated intrastriatal application of botulinum neurotoxin-A did not influence choline acetyltransferase-immunoreactive interneurons in hemiparkinsonian rat brain—A histological, stereological and correlational analysis. Brain Res. 2020, 1742, 146877. [Google Scholar] [CrossRef] [PubMed]
- Holzmann, C.; Drager, D.; Mix, E.; Hawlitschka, A.; Antipova, V.; Benecke, R.; Wree, A. Effects of Intrastriatal Botulinum Neurotoxin A on the Behavior of Wistar Rats. Behav. Brain Res. 2012, 234, 107–116. [Google Scholar] [CrossRef]
- Wree, A.; Mix, E.; Hawlitschka, A.; Antipova, V.; Witt, M.; Schmitt, O.; Benecke, R. Intrastriatal Botulinum Toxin Abolishes Pathologic Rotational Behaviour and Induces Axonal Varicosities in the 6-OHDA Rat Model of Parkinson’s Disease. Neurobiol. Dis. 2011, 41, 291–298. [Google Scholar] [CrossRef] [PubMed]
- Dong, M. SV2 Is the Protein Receptor for Botulinum Neurotoxin A. Science 2006, 312, 592–596. [Google Scholar] [CrossRef] [PubMed]
- Dong, M.; Masuyer, G.; Stenmark, P. Botulinum and Tetanus Neurotoxins. Annu. Rev. Biochem. 2018, 88, 811. [Google Scholar] [CrossRef]
- Pirazzini, M.; Rossetto, O.; Eleopra, R.; Montecucco, C. Botulinum Neurotoxins: Biology, Pharmacology, and Toxicology. Pharmacol. Rev. 2017, 69, 200–235. [Google Scholar] [CrossRef]
- Carle, S.; Pirazzini, M.; Rossetto, O.; Barth, H.; Montecucco, C. High Conservation of Tetanus and Botulinum Neurotoxins Cleavage Sites on Human SNARE Proteins Suggests That These Pathogens Exerted Little or No Evolutionary Pressure on Humans. Toxins 2017, 9, 404. [Google Scholar] [CrossRef]
- Rossetto, O.; Pirazzini, M.; Montecucco, C. Botulinum Neurotoxins: Genetic, Structural and Mechanistic Insights. Nat. Rev. Micro. 2014, 12, 535–549. [Google Scholar] [CrossRef]
- Rossetto, O.; Montecucco, C. Tables of Toxicity of Botulinum and Tetanus Neurotoxins. Toxins 2019, 11, 686. [Google Scholar] [CrossRef]
- Verderio, C.; Rossetto, O.; Grumelli, C.; Frassoni, C.; Montecucco, C.; Matteoli, M. Entering Neurons: Botulinum Toxins and Synaptic Vesicle Recycling. EMBO Rep. 2006, 7, 995–999. [Google Scholar] [CrossRef]
- Blandini, F.; Armentero, M.-T. Animal Models of Parkinson’s Disease. FEBS J. 2012, 279, 1156–1166. [Google Scholar] [CrossRef] [PubMed]
- Deumens, R.; Blokland, A.; Prickaerts, J. Modeling Parkinson’s disease in rats: An evaluation of 6-OHDA lesions of the nigrostriatal pathway. Exp. Neurol. 2002, 175, 303–317. [Google Scholar] [CrossRef] [PubMed]
- Meissner, W.G.; Frasier, M.; Gasser, T.; Goetz, C.G.; Lozano, A.; Piccini, P.; Obeso, J.A.; Rascol, O.; Schapira, A.; Voon, V.; et al. Priorities in Parkinson’s Disease Research. Nat. Rev. Drug Discov. 2011, 10, 377–393. [Google Scholar] [CrossRef]
- Meredith, G.E.; Baldo, B.A.; Andrezjewski, M.E.; Kelley, A.E. The structural basis for mapping behavior onto the ventral striatum and its subdivisions. Anat. Embryol. 2008, 213, 17–27. [Google Scholar] [CrossRef]
- Schwarting, R.K.; Huston, J.P. The unilateral 6-hydroxydopamine lesion model in behavioral brain research. Analysis of functional deficits, recovery and treatments. Prog. Neurobiol. 1996, 50, 275–331. [Google Scholar] [CrossRef]
- Ungerstedt, U.; Ljungberg, T.; Steg, G. Behavioral, Physiological, and Neurochemical Changes after 6-Hydroxydopamine-Induced Degeneration of the Nigro-Striatal Dopamine Neurons. Adv. Neurol. 1974, 5, 421–426. [Google Scholar]
- Cadet, J.L.; Zhu, S.M. The Intrastriatal 6-Hydroxydopamine Model of Hemiparkinsonism: Quantitative Receptor Autoradiographic Evidence of Correlation between Circling Behavior and Presynaptic as Well as Postsynatic Nigrostriatal Markers in the Rat. Brain Res. 1992, 595, 316–326. [Google Scholar] [CrossRef] [PubMed]
- Cannazza, G.; Carrozzo, M.M.; Cazzato, A.S.; Bretis, I.M.; Troisi, L.; Parenti, C.; Braghiroli, D.; Guiducci, S.; Zoli, M. Simultaneous Measurement of Adenosine, Dopamine, Acetylcholine and 5-Hydroxytryptamine in Cerebral Mice Microdialysis Samples by LC-ESI-MS/MS. J. Pharm. Biomed. Anal. 2012, 71, 183–186. [Google Scholar] [CrossRef]
- Herman, J.P.; Rouge-Pont, F.; Le Moal, M.; Abrous, D.N. Mechanisms of Amphetamine-Induced Rotation in Rats with Unilateral Intrastriatal Grafts of Embryonic Dopaminergic Neurons: A Pharmacological and Biochemical Analysis. Neuroscience 1993, 53, 1083–1095. [Google Scholar] [CrossRef] [PubMed]
- Herrera-Marschitz, M.; Arbuthnott, G.; Ungerstedt, U. The Rotational Model and Microdialysis: Significance for Dopamine Signalling, Clinical Studies, and Beyond. Prog. Neurobiol. 2010, 90, 176–189. [Google Scholar] [CrossRef]
- Lam, H.A.; Wu, N.; Cely, I.; Kelly, R.L.; Hean, S.; Richter, F.; Magen, I.; Cepeda, C.; Ackerson, L.C.; Walwyn, W.; et al. Elevated Tonic Extracellular Dopamine Concentration and Altered Dopamine Modulation of Synaptic Activity Precede Dopamine Loss in the Striatum of Mice Overexpressing Human α-Synuclein. J. Neurosci. Res. 2011, 89, 1091–1102. [Google Scholar] [CrossRef] [PubMed]
- Sulzer, D.; Sonders, M.S.; Poulsen, N.W.; Galli, A. Mechanisms of Neurotransmitter Release by Amphetamines: A Review. Prog. Neurobiol. 2005, 75, 406–433. [Google Scholar] [CrossRef]
- Schallert, T.; Fleming, S.M.; Leasure, J.L.; Tillerson, J.L.; Bland, S.T. CNS Plasticity and Assessment of Forelimb Sensorimotor Outcome in Unilateral Rat Models of Stroke, Cortical Ablation, Parkinsonism and Spinal Cord Injury. Neuropharmacology 2000, 39, 777–787. [Google Scholar] [CrossRef] [PubMed]
- Kirik, D.; Winkler, C.; Björklund, A. Growth and Functional Efficacy of Intrastriatal Nigral Transplants Depend on the Extent of Nigrostriatal Degeneration. J. Neurosci. 2001, 21, 2889–2896. [Google Scholar] [CrossRef] [PubMed]
- Grealish, S.; Mattsson, B.; Draxler, P.; Björklund, A. Characterisation of Behavioural and Neurodegenerative Changes Induced by Intranigral 6-Hydroxydopamine Lesions in a Mouse Model of Parkinson’s Disease. Eur. J. Neurosci. 2010, 31, 2266–2278. [Google Scholar] [CrossRef]
- Antipova, V.A.; Holzmann, C.; Schmitt, O.; Wree, A.; Hawlitschka, A. Botulinum Neurotoxin A Injected Ipsilaterally or Contralaterally into the Striatum in the Rat 6-OHDA Model of Unilateral Parkinson’s Disease Differently Affects Behavior. Front. Behav. Neurosci. 2017, 11, 119. [Google Scholar] [CrossRef]
- Antipova, V.; Hawlitschka, A.; Mix, E.; Schmitt, O.; Dräger, D.; Benecke, R.; Wree, A. Behavioral and Structural Effects of Unilateral Intrastriatal Injections of Botulinum Neurotoxin a in the Rat Model of Parkinson’s Disease. J. Neurosci. Res. 2013, 91, 838–847. [Google Scholar] [CrossRef] [PubMed]
- Antonucci, F.; Rossi, C.; Gianfranceschi, L.; Rossetto, O.; Caleo, M. Long-Distance Retrograde Effects of Botulinum Neurotoxin A. J. Neurosci. Off. J. Soc. Neurosci. 2008, 28, 3689–3696. [Google Scholar] [CrossRef]
- Restani, L.; Antonucci, F.; Gianfranceschi, L.; Rossi, C.; Rossetto, O.; Caleo, M. Evidence for Anterograde Transport and Transcytosis of Botulinum Neurotoxin A (BoNT/A). J. Neurosci. Off. J. Soc. Neurosci. 2011, 31, 15650–15659. [Google Scholar] [CrossRef]
- Restani, L.; Novelli, E.; Bottari, D.; Leone, P.; Barone, I.; Galli-Resta, L.; Strettoi, E.; Caleo, M. Botulinum Neurotoxin A Impairs Neurotransmission Following Retrograde Transynaptic Transport. Traffic 2012, 13, 1083–1089. [Google Scholar] [CrossRef]
- Tsang, A.R.; Rajakumar, N.; Jog, M.S. Botulinum Toxin A Injection into the Entopeduncular Nucleus Improves Dynamic Locomotory Parameters in Hemiparkinsonian Rats. PLoS ONE 2019, 14, e0223450. [Google Scholar] [CrossRef] [PubMed]
- Tsang, A.R.; Rajakumar, N.; Jog, M.S. Intrapallidal Injection of Botulinum Toxin A Recovers Gait Deficits in a Parkinsonian Rodent Model. Acta Physiol. 2019, 226, e13230. [Google Scholar] [CrossRef] [PubMed]
- Mehlan, J.; Brosig, H.; Schmitt, O.; Mix, E.; Wree, A.; Hawlitschka, A. Intrastriatal Injection of Botulinum Neurotoxin-A Is Not Cytotoxic in Rat Brain—A Histological and Stereological Analysis. Brain Res. 2015, 1630, 18–24. [Google Scholar] [CrossRef] [PubMed]
- Schmitt, O.; Eipert, P.; Kettlitz, R.; Leßmann, F.; Wree, A. The Connectome of the Basal Ganglia; Springer: Berlin/Heidelberg, Germany, 2016; Volume 221, ISBN 0042901409360. [Google Scholar]
- Schmitt, O.; Eipert, P. NeuroVIISAS: Approaching Multiscale Simulation of the Rat Connectome. Neuroinformatics 2012, 10, 243–267. [Google Scholar] [CrossRef]
- Schmitt, O.; Eipert, P.; Schwanke, S.; Lessmann, F.; Meinhardt, J.; Beier, J.; Kadir, K.; Karnitzki, A.; Sellner, L.; Klünker, A.-C.; et al. Connectome Verification: Inter-Rater and Connection Reliability of Tract-Tracing-Based Intrinsic Hypothalamic Connectivity. Brief. Bioinform. 2019, 20, 1944–1955. [Google Scholar] [CrossRef] [PubMed]
- Hawlitschka, A.; Holzmann, C.; Witt, S.; Spiewok, J.; Neumann, A.M.; Schmitt, O.; Wree, A.; Antipova, V. Intrastriatally Injected Botulinum Neurotoxin-A Differently Effects Cholinergic and Dopaminergic Fibers in C57BL/6 Mice. Brain Res. 2017, 1676, 46–56. [Google Scholar] [CrossRef]
- Restani, L.; Giribaldi, F.; Manich, M.; Bercsenyi, K.; Menendez, G.; Rossetto, O.; Caleo, M.; Schiavo, G. Botulinum Neurotoxins A and E Undergo Retrograde Axonal Transport in Primary Motor Neurons. PLoS Pathog. 2012, 8, e1003087. [Google Scholar] [CrossRef]
- Foran, P.G.; Mohammed, N.; Lisk, G.O.; Nagwaney, S.; Lawrence, G.W.; Johnson, E.; Smith, L.; Aoki, K.R.; Dolly, J.O. Evaluation of the Therapeutic Usefulness of Botulinum Neurotoxin B, C1, E, and F Compared with the Long Lasting Type A. Basis for Distinct Durations of Inhibition of Exocytosis in Central Neurons. J. Biol. Chem. 2003, 278, 1363–1371. [Google Scholar] [CrossRef]
- Shiff, G.; Morel, N. Association of Syntaxin with SNAP-25 and VAMP (Synaptobrevin) during Axonal Transport. J. Neurosci. Res. 1997, 48, 313–323. [Google Scholar] [CrossRef]
- Cai, B.B.; Francis, J.; Brin, M.F.; Broide, R.S. Botulinum Neurotoxin Type A-Cleaved SNAP25 Is Confined to Primary Motor Neurons and Localized on the Plasma Membrane Following Intramuscular Toxin Injection. Neuroscience 2017, 352, 155–169. [Google Scholar] [CrossRef]
- Harper, C.B.; Papadopulos, A.; Martin, S.; Matthews, D.R.; Morgan, G.P.; Nguyen, T.H.; Wang, T.; Nair, D.; Choquet, D.; Meunier, F. a Botulinum Neurotoxin Type-A Enters a Non-Recycling Pool of Synaptic Vesicles. Sci. Rep. 2016, 6, 19654. [Google Scholar] [CrossRef] [PubMed]
- Matak, I.; Riederer, P.; Lacković, Z. Botulinum Toxin’s Axonal Transport from Periphery to the Spinal Cord. Neurochem. Int. 2012, 61, 236–239. [Google Scholar] [CrossRef] [PubMed]
- Mazzocchio, R.; Caleo, M. More than at the Neuromuscular Synapse: Actions of Botulinum Neurotoxin A in the Central Nervous System. Neuroscientist 2014, 21, 44–61. [Google Scholar] [CrossRef]
- Surana, S.; Tosolini, A.P.; Meyer, I.F.; Fellows, A.D.; Novoselov, S.S.; Schiavo, G. The travel diaries of tetanus and botulinum neurotoxins. Toxicon 2017, 147, 58–67. [Google Scholar] [CrossRef]
- Akaike, N.; Shin, M.-C.; Wakita, M.; Torii, Y.; Harakawa, T.; Ginnaga, A.; Kato, K.; Kaji, R.; Kozaki, S. Transsynaptic Inhibition of Spinal Transmission by A2 Botulinum Toxin. J. Physiol. 2013, 591, 1031–1043. [Google Scholar] [CrossRef]
- Illig, K.R.; Eudy, J.D. Contralateral Projections of the Rat Anterior Olfactory Nucleus. J. Comp. Neurol. 2009, 512, 115–123. [Google Scholar] [CrossRef]
- Shipley, M.T.; Ennis, M. Functional Organization of Olfactory System. J. Neurobiol. 1996, 30, 123–176. [Google Scholar] [CrossRef]
- Bomba-Warczak, E.; Vevea, J.D.; Brittain, J.M.; Figueroa-Bernier, A.; Tepp, W.H.; Johnson, E.A.; Yeh, F.L.; Chapman, E.R. Interneuronal Transfer and Distal Action of Tetanus Toxin and Botulinum Neurotoxins A and D in Central Neurons. Cell Rep. 2016, 16, 1974–1987. [Google Scholar] [CrossRef]
- Gasior, M.; Tang, R.; Rogawski, M.A. Long-Lasting Attenuation of Amygdala-Kindled Seizures after Convection- Enhanced Delivery of Botulinum Neurotoxins A and B into the Amygdala in Rats. J. Pharmacol. Exp. Ther. 2013, 20892, 1–29. [Google Scholar] [CrossRef]
- Itakura, M.; Kohda, T.; Kubo, T.; Semi, Y.; Azuma, Y.-T.; Nakajima, H.; Kozaki, S.; Takeuchi, T. Botulinum Neurotoxin A Subtype 2 Reduces Pathological Behaviors More Effectively than Subtype 1 in a Rat Parkinson’s Disease Model. Biochem. Biophys. Res. Commun. 2014, 447, 311–314. [Google Scholar] [CrossRef]
- Itakura, M.; Kohda, T.; Kubo, T.; Semi, Y.; Nishiyama, K.; Azuma, Y.T.; Nakajima, H.; Kozaki, S.; Takeuchi, T. Botulinum Neurotoxin Type A Subtype 2 Confers Greater Safety than Subtype in a Rat Parkinson’s Disease Model. J. Vet. Med. Sci. 2014, 76, 1189–1193. [Google Scholar] [CrossRef] [PubMed]
- Bach-Rojecky, L.; Lacković, Z. Central Origin of the Antinociceptive Action of Botulinum Toxin Type A. Pharmacol. Biochem. Behav. 2009, 94, 234–238. [Google Scholar] [CrossRef] [PubMed]
- Lawrence, G.W.; Ovsepian, S.V.; Wang, J.; Aoki, K.R.; Dolly, J.O. Extravesicular Intraneuronal Migration of Internalized Botulinum Neurotoxins without Detectable Inhibition of Distal Neurotransmission. Biochem. J. 2011, 441, 443–452. [Google Scholar] [CrossRef] [PubMed]
- Belluzzi, O.; Puopolo, M.; Benedusi, M.; Kratskin, I. Selective Neuroinhibitory Effects of Taurine in Slices of Rat Main Olfactory Bulb. Neuroscience 2004, 124, 929–944. [Google Scholar] [CrossRef] [PubMed]
- Cansler, H.L.; in ’t Zandt, E.E.; Carlson, K.S.; Khan, W.T.; Ma, M.; Wesson, D.W. Organization and Engagement of a Prefrontal-Olfactory Network during Olfactory Selective Attention. Cereb. Cortex 2022. Online ahead of print . [Google Scholar] [CrossRef]
- Blazing, R.M.; Franks, K.M. Odor Coding in Piriform Cortex: Mechanistic Insights into Distributed Coding. Curr. Opin. Neurobiol. 2020, 64, 96–102. [Google Scholar] [CrossRef]
- East, B.S.; Fleming, G.; Vervoordt, S.; Shah, P.; Sullivan, R.M.; Wilson, D.A. Basolateral Amygdala to Posterior Piriform Cortex Connectivity Ensures Precision in Learned Odor Threat. Sci. Rep. 2021, 11, 21746. [Google Scholar] [CrossRef]
- Linster, C.; Smith, B.H. Generalization between Binary Odor Mixtures and Their Components in the Rat. Physiol. Behav. 1999, 66, 701–707. [Google Scholar] [CrossRef]
- Fletcher, M.L.; Wilson, D.A. Experience modifies olfactory acuity: Acetylcholine-dependent learning decreases behavioral generalization between similar odorants. J. Neurosci. 2002, 22, RC201. [Google Scholar] [CrossRef]
- Alberts, T.; Antipova, V.; Holzmann, C.; Hawlitschka, A.; Schmitt, O.; Kurth, J.; Stenzel, J.; Lindner, T.; Krause, B.J.; Wree, A.; et al. Olfactory Bulb D2/D3 Receptor Availability after Intrastriatal Botulinum Neurotoxin-A Injection in a Unilateral 6-OHDA Rat Model of Parkinson’s Disease. Toxins 2022, 14, 94. [Google Scholar] [CrossRef]
- Hawlitschka, A.; Holzmann, C.; Wree, A.; Antipova, V. Repeated Intrastriatal Botulinum Neurotoxin-A Injection in Hemiparkinsonian Rats Increased the Beneficial Effect on Rotational Behavior. Toxins 2018, 10, 368. [Google Scholar] [CrossRef] [PubMed]
- Braak, H.; Del Tredici, K. Neuropathological Staging of Brain Pathology in Sporadic Parkinson’s Disease: Separating the Wheat from the Chaff. J. Park. Dis. 2017, 7, S71–S85. [Google Scholar] [CrossRef] [PubMed]
- Braak, H.; Ghebremedhin, E.; Rüb, U.; Bratzke, H.; Del Tredici, K. Stages in the Development of Parkinson’s Disease-Related Pathology. Cell Tissue Res. 2004, 318, 121–134. [Google Scholar] [CrossRef]
- Hawkes, C.H.; Del Tredici, K.; Braak, H. Parkinson’s Disease: The Dual Hit Theory Revisited. Ann. N. Y. Acad. Sci. 2009, 1170, 615–622. [Google Scholar] [CrossRef] [PubMed]
- Ztaou, S.; Maurice, N.; Camon, J.; Guiraudie-Capraz, G.; Kerkerian-Le Goff, L.; Beurrier, C.; Liberge, M.; Amalric, M. Involvement of Striatal Cholinergic Interneurons and M1 and M4 Muscarinic Receptors in Motor Symptoms of Parkinson’s Disease. J. Neurosci. 2016, 36, 9161–9172. [Google Scholar] [CrossRef] [PubMed]
- Ashton, A.C.; Dolly, J.O. Characterization of the Inhibitory Action of Botulinum Neurotoxin Type A on the Release of Several Transmitters from Rat Cerebrocortical Synaptosomes. J. Neurochem. 1988, 50, 1808–1816. [Google Scholar] [CrossRef]
- Bigalke, H.; Dreyer, F.; Bergey, G. Botulinum a Neurotoxin Inhibits Non-Cholinergic Synaptic Transmission in Mouse Spinal Cord Neurons in Culture. Brain Res. 1985, 360, 318–324. [Google Scholar] [CrossRef]
- Bigalke, H.; Heller, I.; Bizzini, B.; Habermann, E. Tetanus Toxin and Botulinum A Toxin Inhibit Release and Uptake of Various Transmitters, as Studied with Particulate Preparations from Rat Brain and Spinal Cord. Naunyn-Schmiedeberg’s Arch. Pharmacol. 1981, 316, 244–251. [Google Scholar] [CrossRef]
- Bozzi, Y.; Costantin, L.; Antonucci, F.; Caleo, M. Action of Botulinum Neurotoxins in the Central Nervous System: Antiepileptic Effects. Neurotox. Res. 2006, 9, 197–203. [Google Scholar] [CrossRef]
- Dardou, D.; Dassesse, D.; Cuvelier, L.; Deprez, T.; De Ryck, M.; Schiffmann, S.N. Distribution of SV2C MRNA and Protein Expression in the Mouse Brain with a Particular Emphasis on the Basal Ganglia System. Brain Res. 2011, 1367, 130–145. [Google Scholar] [CrossRef] [PubMed]
- Hakamata, Y.; Mizukami, S.; Izawa, S.; Moriguchi, Y.; Hori, H.; Kim, Y.; Hanakawa, T.; Inoue, Y.; Tagaya, H. Basolateral Amygdala Connectivity With Subgenual Anterior Cingulate Cortex Represents Enhanced Fear-Related Memory Encoding in Anxious Humans. Biol. Psychiatry Cogn. Neurosci. Neuroimaging 2020, 5, 301–310. [Google Scholar] [CrossRef] [PubMed]
- Sharp, B.M. Basolateral amygdala, nicotinic cholinergic receptors, and nicotine: Pharmacological effects and addiction in animal models and humans. Eur. J. Neurosci. 2018, 50, 2247–2254. [Google Scholar] [CrossRef] [PubMed]
- Pidoplichko, V.I.; Prager, E.M.; Aroniadou-Anderjaska, V.; Braga, M.F.M. A7-Containing Nicotinic Acetylcholine Receptors on Interneurons of the Basolateral Amygdala and Their Role in the Regulation of the Network Excitability. J. Neurophysiol. 2013, 110, 2358–2369. [Google Scholar] [CrossRef]
- Prager, E.M.; Bergstrom, H.C.; Wynn, G.H.; Braga, M.F.M. The Basolateral Amygdala GABAergic System in Health and Disease. J. Neurosci. Res. 2016, 94, 548. [Google Scholar] [CrossRef]
- Unal, C.T.; Pare, D.; Zaborszky, L. Impact of Basal Forebrain Cholinergic Inputs on Basolateral Amygdala Neurons. J. Neurosci. 2015, 35, 853–863. [Google Scholar] [CrossRef]
- Bensaid, M.; Michel, P.P.; Clark, S.D.; Hirsch, E.C.; François, C. Role of Pedunculopontine Cholinergic Neurons in the Vulnerability of Nigral Dopaminergic Neurons in Parkinson’s Disease. Exp. Neurol. 2016, 275, 209–219. [Google Scholar] [CrossRef] [PubMed]
- Karachi, C.; Grabli, D.; Bernard, F.A.; Tandé, D.; Wattiez, N.; Belaid, H.; Bardinet, E.; Prigent, A.; Nothacker, H.-P.; Hunot, S.; et al. Cholinergic Mesencephalic Neurons Are Involved in Gait and Postural Disorders in Parkinson Disease. J. Clin. Investig. 2010, 120, 2745–2754. [Google Scholar] [CrossRef] [PubMed]
- Obeso, J.A.; Rodríguez-Oroz, M.C.; Benitez-Temino, B.; Blesa, F.J.; Guridi, J.; Marin, C.; Rodriguez, M. Functional Organization of the Basal Ganglia: Therapeutic Implications for Parkinson’s Disease. Mov. Disord. Off. J. Mov. Disord. Soc. 2008, 23 (Suppl. 3), S548–S559. [Google Scholar] [CrossRef]
- Oorschot, D.E. Total Number of Neurons in the Neostriatal, Pallidal, Subthalamic, and Substantia Nigral Nuclei of the Rat Basal Ganglia: A Stereological Study Using the Cavalieri and Optical Disector Methods. J. Comp. Neurol. 1996, 366, 580–599. [Google Scholar] [CrossRef]
- Creed, R.B.; Goldberg, M.S. New Developments in Genetic Rat Models of Parkinson’s Disease: Developments in Genetic Rat Models of PD. Mov. Disord. 2018, 33, 717–729. [Google Scholar] [CrossRef]
- The Rat Brain in Stereotaxic Coordinates, 6th ed.; Academic Press: Amsterdam, The Netherlands; Elsevier: Boston, MA, USA, 2007; ISBN 978-0-12-547612-6.
- Paxinos, G.; Watson, C. The Rat Brain in Stereotaxic Coordinates, 7th ed.; Elsevier Science: San Diego, CA, USA, 2018; ISBN 978-0-12-814550-0. [Google Scholar]
- Ferrari, A. Pharmacological Differences and Clinical Implications of Various Botulinum Toxin Preparations: A Critical Appraisal. Funct. Neurol. 2018, 33, 7. [Google Scholar] [CrossRef] [PubMed]
- Field, M.; Splevins, A.; Picaut, P.; van der Schans, M.; Langenberg, J.; Noort, D.; Foster, K. AbobotulinumtoxinA (Dysport®), OnabotulinumtoxinA (Botox®), and IncobotulinumtoxinA (Xeomin®) Neurotoxin Content and Potential Implications for Duration of Response in Patients. Toxins 2018, 10, 535. [Google Scholar] [CrossRef] [PubMed]














| Group | CPu ips | CPu con | GP ips | GP con | EP ips | EP con |
|---|---|---|---|---|---|---|
| 2w | 17.713 | 6.750 | 20.814 | 7.734 | 18.725 | 6.512 |
| 1m | 17.708 | 7.061 | 19.325 | 8.212 | 20.130 | 6.730 |
| 3m | 19.672 | 6.897 | 22.187 | 8.357 | 21.359 | 6.554 |
| 6m | 17.964 | 8.327 | 19.395 | 7.092 | 19.657 | 7.039 |
| 9m | 13.875 | 6.893 | 15.297 | 7.867 | 13.649 | 6.020 |
| 12m | 9.589 | 3.857 | 10.286 | 3.770 | 8.195 | 3.193 |
| group | SN ips | SN con | MThal ips | MThal con | VThal ips | VThal con |
| 2w | 26.734 | 15.226 | 16.732 | 8.965 | 12.740 | 7.057 |
| 1m | 23.953 | 12.880 | 17.387 | 9.512 | 14.319 | 8.090 |
| 3m | 29.532 | 12.723 | 17.072 | 9.580 | 15.531 | 7.750 |
| 6m | 25.204 | 14.904 | 18.693 | 12.166 | 15.027 | 9.129 |
| 9m | 22.641 | 10.771 | 11.743 | 9.621 | 12.350 | 8.386 |
| 12m | 12.235 | 5.174 | 7.156 | 4.519 | 6.449 | 3.764 |
| group | MC ips | MC con | Acb ips | Acb con | Pn ips | Pn con |
| 2w | 15.391 | 11.646 | 18.234 | 5.767 | 16.666 | 15.841 |
| 1m | 14.310 | 9.175 | 16.651 | 6.432 | 15.819 | 15.055 |
| 3m | 12.223 | 10.011 | 19.791 | 7.041 | 14.573 | 13.842 |
| 6m | 16.504 | 12.446 | 17.469 | 9.007 | 16.997 | 16.568 |
| 9m | 13.338 | 10.615 | 12.145 | 6.628 | 13.988 | 13.337 |
| 12m | 7.674 | 5.992 | 10.244 | 3.852 | 10.425 | 10.134 |
| group | VTA ips | VTA con | Hb ips | Hb con | Pir ips | Pir con |
| 2w | 15.534 | 10.107 | 17.441 | 16.774 | 23.368 | 7.645 |
| 1m | 11.112 | 7.518 | 17.012 | 16.520 | 19.556 | 9.526 |
| 3m | 13.558 | 8.811 | 17.899 | 16.228 | 26.510 | 10.257 |
| 6m | 13.302 | 9.911 | 20.092 | 18.696 | 19.335 | 10.399 |
| 9m | 9.453 | 6.965 | 15.935 | 14.901 | 14.983 | 9.204 |
| 12m | 4.969 | 4.170 | 9.655 | 9.238 | 10.880 | 5.923 |
| group | BLAm ips | BLAm con | ||||
| 2w | 17.311 | 11.152 | ||||
| 1m | 16.893 | 11.099 | ||||
| 3m | 20.142 | 9.220 | ||||
| 6m | 18.744 | 12.288 | ||||
| 9m | 15.441 | 10.180 | ||||
| 12m | 8.299 | 5.799 |
| Structure | Interpolated Maximal OD (%) | Interpolated Time Point of Maximal OD | Distance to Treated CPu (mm) | Density of Connections to Treated CPu | Density of Connections in Words |
|---|---|---|---|---|---|
| BLAm | 20.662 | 3.67241 | 5.3 | 1 | light/low |
| MC | 16.669 | 6.44828 | 3.9 | 2 | moderate/dense |
| GP | 22.65 | 3.67241 | 0.5 | 2.9 | strong |
| Acb | 20.461 | 3.67241 | 3.1 | 2 | moderate/dense |
| EP | 21.422 | 2.48276 | 2.5 | 2.8 | strong |
| Hb | 20.105 | 5.65517 | 4 | 2 | moderate/dense |
| Pir | 27.446 | 3.67241 | 2 | 2 | moderate/dense |
| Pn | 17.005 | 6.05172 | 10.3 | 2 | moderate/dense |
| SN | 30.397 | 3.67241 | 4.2 | 3.5 | very strong |
| CPu | 19.872 | 3.67241 | 0 | 2.9 | strong |
| MThal | 18.801 | 5.65517 | 3.5 | 1.8 | moderate/dense |
| VTA | 15.18 | 4.06897 | 7.1 | 2.8 | strong |
| VThal | 15.624 | 2.48276 | 2.745 | 3 | strong |
| BLAm | 12.475 | 6.44828 | 10.2 | - | not present |
| MC | 12.444 | 6.05172 | 7.2 | 3 | strong |
| GP | 8.569 | 2.08621 | 6 | 2 | moderate/dense |
| Acb | 9.012 | 6.05172 | 6.1 | - | not present |
| EP | 7.041 | 6.05172 | 6.8 | 2 | moderate/dense |
| Hb | 18.697 | 6.05172 | 4.9 | - | not present |
| Pir | 10.402 | 6.05172 | 7.6 | - | not present |
| Pn | 16.577 | 6.05172 | 11.7 | - | not present |
| SN | 14.967 | 5.65517 | 6.8 | 2 | strong |
| CPu | 8.368 | 6.44828 | 7 | - | not present |
| MThal | 12.223 | 6.44828 | 6.3 | 1 | light/low |
| VTA | 10.365 | 4.86207 | 7.8 | 2 | moderate/dense |
| VThal | 9.357 | 6.84483 | 6.2 | - | not present |
Disclaimer/Publisher’s Note: The statements, opinions and data contained in all publications are solely those of the individual author(s) and contributor(s) and not of MDPI and/or the editor(s). MDPI and/or the editor(s) disclaim responsibility for any injury to people or property resulting from any ideas, methods, instructions or products referred to in the content. |
© 2023 by the authors. Licensee MDPI, Basel, Switzerland. This article is an open access article distributed under the terms and conditions of the Creative Commons Attribution (CC BY) license (https://creativecommons.org/licenses/by/4.0/).
Share and Cite
Schümann, F.; Schmitt, O.; Wree, A.; Hawlitschka, A. Distribution of Cleaved SNAP-25 in the Rat Brain, following Unilateral Injection of Botulinum Neurotoxin-A into the Striatum. Int. J. Mol. Sci. 2023, 24, 1685. https://doi.org/10.3390/ijms24021685
Schümann F, Schmitt O, Wree A, Hawlitschka A. Distribution of Cleaved SNAP-25 in the Rat Brain, following Unilateral Injection of Botulinum Neurotoxin-A into the Striatum. International Journal of Molecular Sciences. 2023; 24(2):1685. https://doi.org/10.3390/ijms24021685
Chicago/Turabian StyleSchümann, Friederike, Oliver Schmitt, Andreas Wree, and Alexander Hawlitschka. 2023. "Distribution of Cleaved SNAP-25 in the Rat Brain, following Unilateral Injection of Botulinum Neurotoxin-A into the Striatum" International Journal of Molecular Sciences 24, no. 2: 1685. https://doi.org/10.3390/ijms24021685
APA StyleSchümann, F., Schmitt, O., Wree, A., & Hawlitschka, A. (2023). Distribution of Cleaved SNAP-25 in the Rat Brain, following Unilateral Injection of Botulinum Neurotoxin-A into the Striatum. International Journal of Molecular Sciences, 24(2), 1685. https://doi.org/10.3390/ijms24021685

