Standardized Computer-Assisted Analysis of 5-hmC Immunoreactivity in Dysplastic Nevi and Superficial Spreading Melanomas
Abstract
:1. Introduction
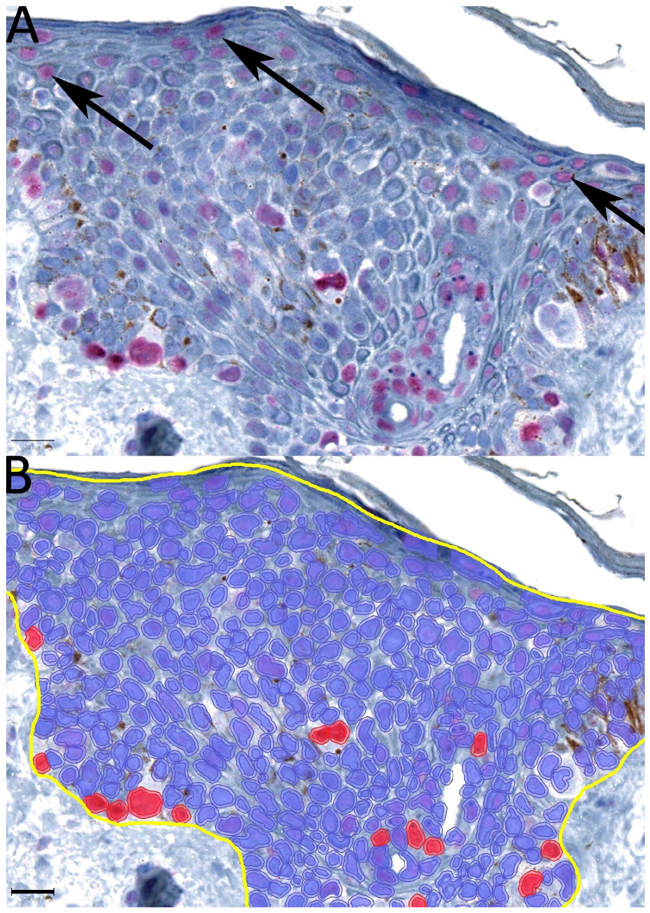
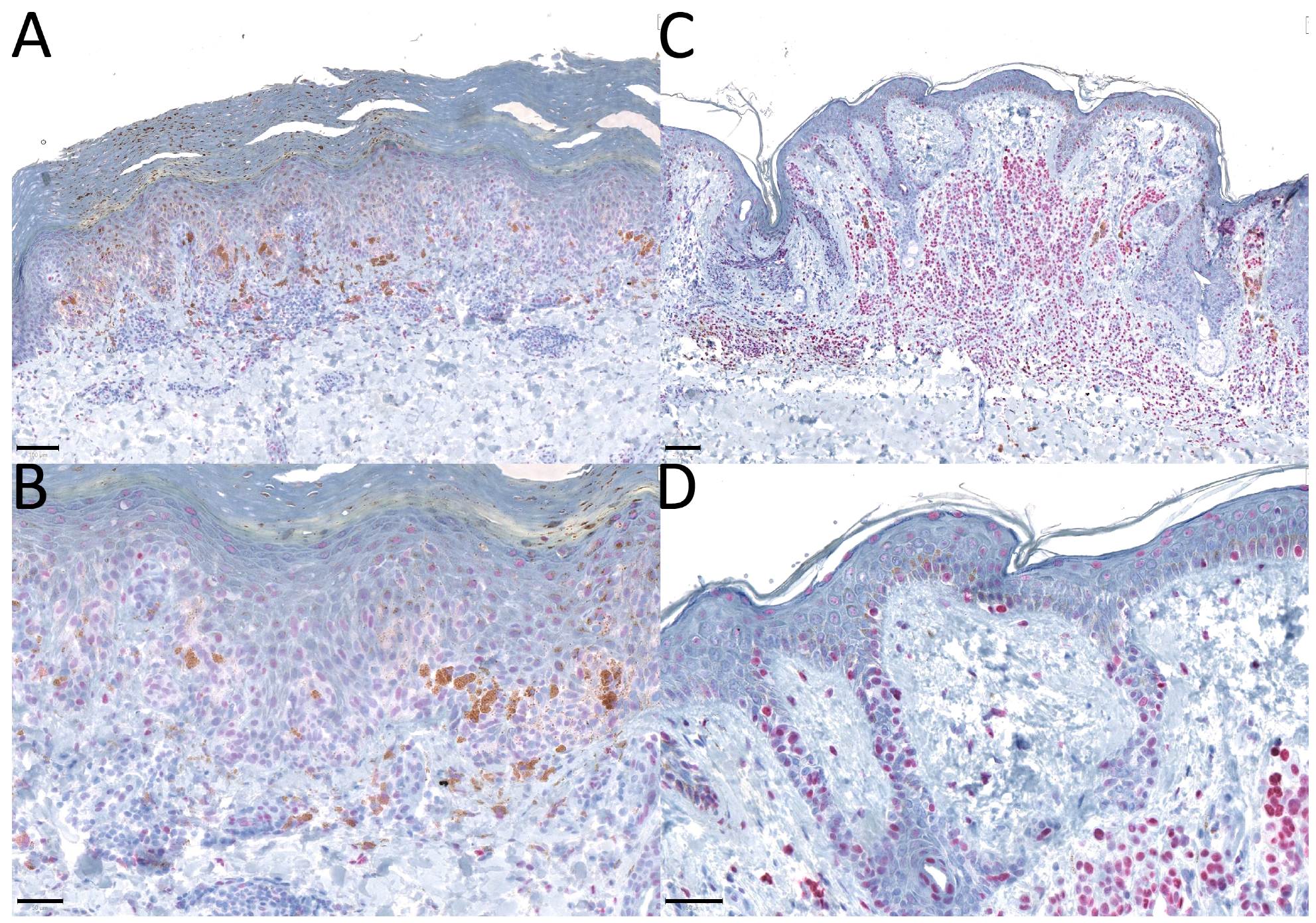
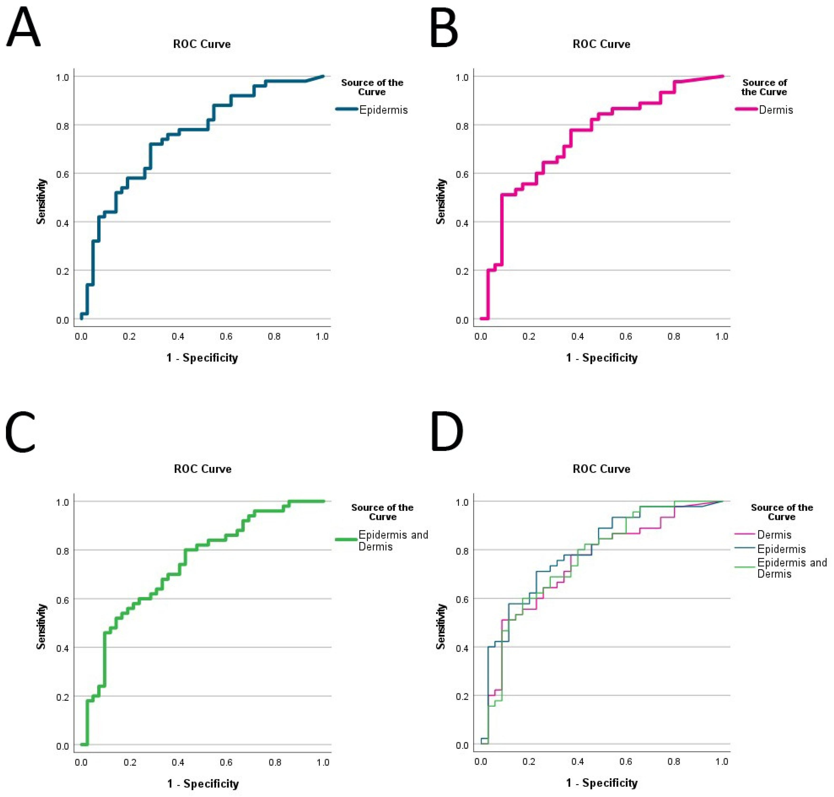
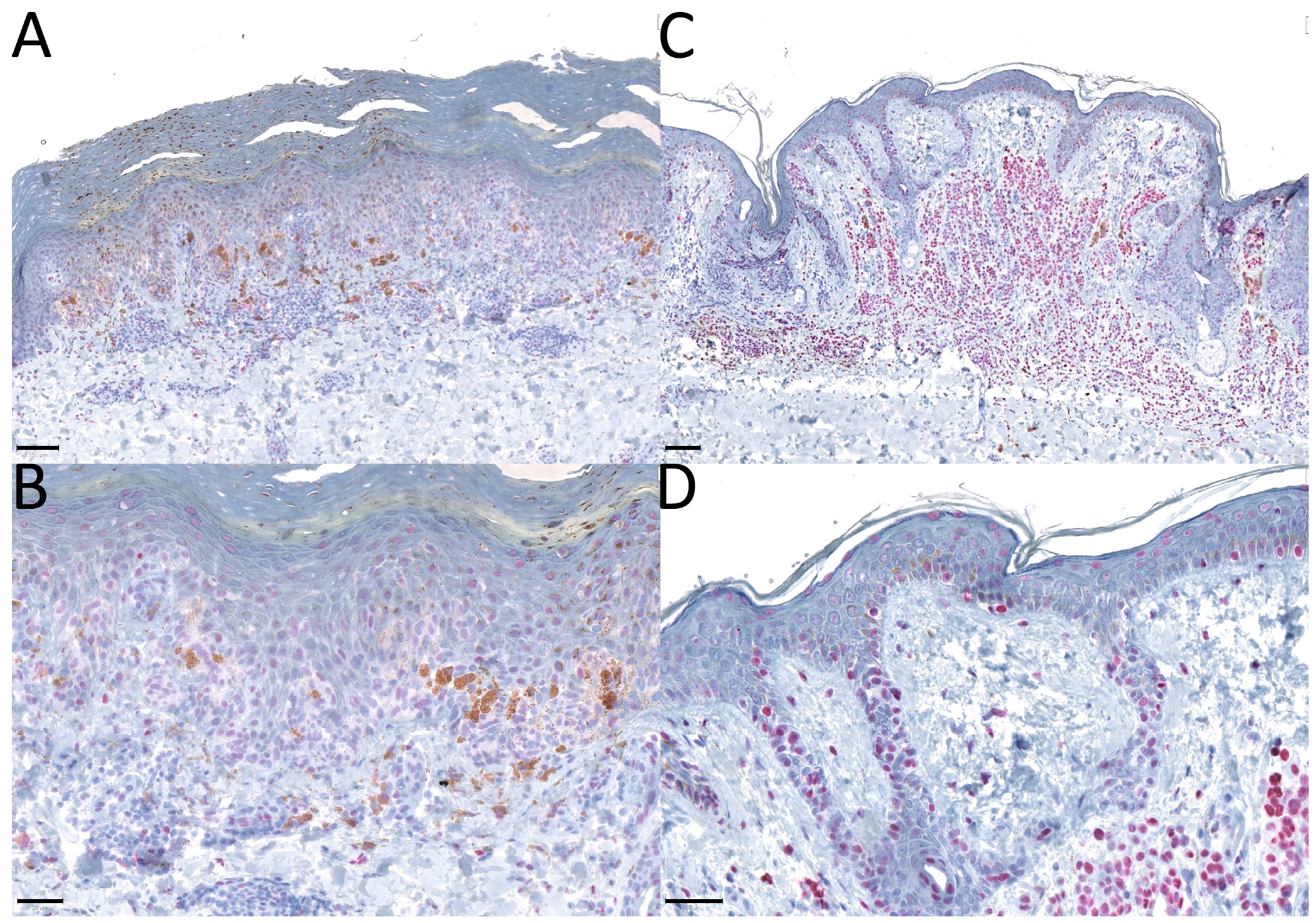
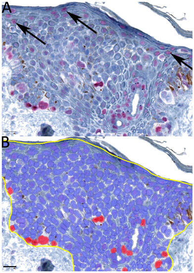
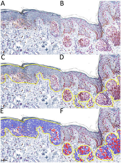
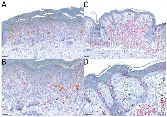
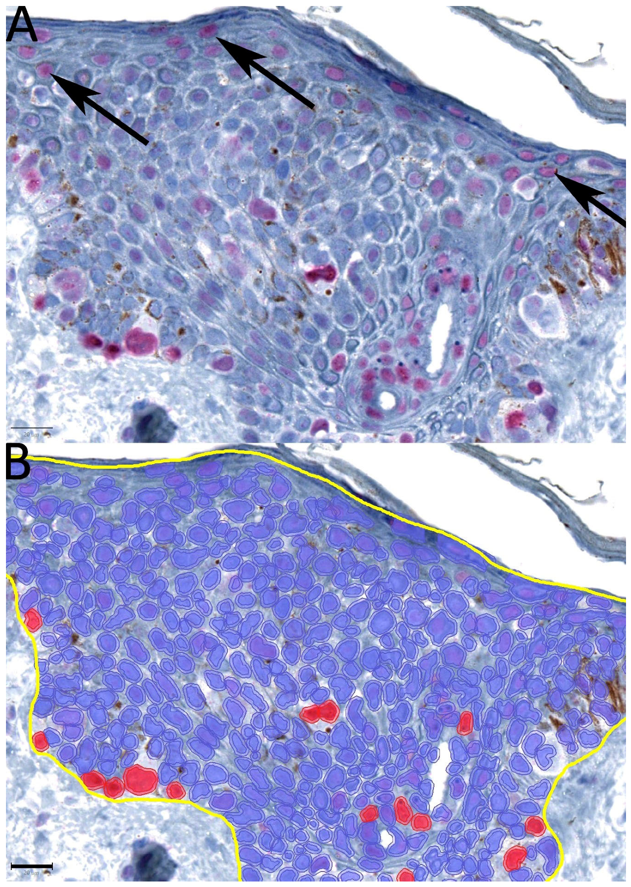
2. Results
3. Discussion
4. Materials and Methods
4.1. Immunohistochemistry
4.2. Image Data Acquisition
4.3. Statistical Analysis
5. Conclusions
Author Contributions
Funding
Institutional Review Board Statement
Informed Consent Statement
Data Availability Statement
Acknowledgments
Conflicts of Interest
References
- Ordonez, N.G. Value of melanocytic-associated immunohistochemical markers in the diagnosis of malignant melanoma: A review and update. Hum. Pathol. 2014, 45, 191–205. [Google Scholar] [CrossRef] [PubMed]
- Botti, G.; Marra, L.; Anniciello, A.; Scognamiglio, G.; Gigantino, V.; Cantile, M. Immune-phenotypical markers for the differential diagnosis of melanocytic lesions. Int. J. Clin. Exp. Pathol. 2015, 8, 9742–9751. [Google Scholar] [PubMed]
- Dinehart, M.S.; Dinehart, S.M.; Sukpraprut-Braaten, S.; High, W.A. Immunohistochemistry utilization in the diagnosis of melanoma. J. Cutan. Pathol. 2020, 47, 446–450. [Google Scholar] [CrossRef] [PubMed]
- Dass, S.E.; Huizenga, T.; Farshchian, M.; Mehregan, D.R. Comparison of SOX-10, HMB-45, and Melan-A in Benign Melanocytic Lesions. Clin. Cosmet. Investig. Dermatol. 2021, 14, 1419–1425. [Google Scholar] [CrossRef] [PubMed]
- Elsensohn, A.; Shiu, J.; Grove, N.; Hosking, A.M.; Barr, R.; de Feraudy, S. Distinguishing Neurofibroma from Desmoplastic Melanoma: The Value of p53. Am. J. Surg. Pathol. 2018, 42, 372–375. [Google Scholar] [CrossRef] [PubMed]
- Koch, E.A.T.; Erdmann, M.; Berking, C.; Kiesewetter, F.; Kramer, R.; Schliep, S.; Heppt, M.V. Standardized Computer-Assisted Analysis of PRAME Immunoreactivity in Dysplastic Nevi and Superficial Spreading Melanomas. Int. J. Mol. Sci. 2023, 24, 6388. [Google Scholar] [CrossRef]
- Rawson, R.V.; Shteinman, E.R.; Ansar, S.; Vergara, I.A.; Thompson, J.F.; Long, G.V.; Scolyer, R.A.; Wilmott, J.S. Diagnostic utility of PRAME, p53 and 5-hmC immunostaining for distinguishing melanomas from naevi, neurofibromas, scars and other histological mimics. Pathology 2022, 54, 863–873. [Google Scholar] [CrossRef]
- Rodic, N.; Zampella, J.; Sharma, R.; Burns, K.H.; Taube, J.M. Diagnostic utility of 5-hydroxymethylcytosine immunohistochemistry in melanocytic proliferations. J. Cutan. Pathol. 2015, 42, 807–814. [Google Scholar] [CrossRef]
- Lee, J.J.; Vilain, R.E.; Granter, S.R.; Hu, N.R.; Bresler, S.C.; Xu, S.; Frank, A.H.; Mihm, M.C., Jr.; Saw, R.P.; Fletcher, C.D.; et al. 5-Hydroxymethylcytosine is a nuclear biomarker to assess biological potential in histologically ambiguous heavily pigmented melanocytic neoplasms. J. Cutan. Pathol. 2017, 44, 249–255. [Google Scholar] [CrossRef]
- Hilliard, N.J.; Krahl, D.; Sellheyer, K. p16 expression differentiates between desmoplastic Spitz nevus and desmoplastic melanoma. J. Cutan. Pathol. 2009, 36, 753–759. [Google Scholar] [CrossRef]
- Zhang, L.Y.; Li, P.L.; Wang, T.Z.; Zhang, X.C. Prognostic values of 5-hmC, 5-mC and TET2 in epithelial ovarian cancer. Arch. Gynecol. Obstet. 2015, 292, 891–897. [Google Scholar] [CrossRef] [PubMed]
- Lian, C.G.; Xu, Y.; Ceol, C.; Wu, F.; Larson, A.; Dresser, K.; Xu, W.; Tan, L.; Hu, Y.; Zhan, Q.; et al. Loss of 5-hydroxymethylcytosine is an epigenetic hallmark of melanoma. Cell 2012, 150, 1135–1146. [Google Scholar] [CrossRef] [PubMed]
- Saldanha, G.; Joshi, K.; Lawes, K.; Bamford, M.; Moosa, F.; Teo, K.W.; Pringle, J.H. 5-Hydroxymethylcytosine is an independent predictor of survival in malignant melanoma. Mod. Pathol. 2017, 30, 60–68. [Google Scholar] [CrossRef] [PubMed]
- Li, F.J.; Li, L.M.; Zhang, R.H.; Xu, C.; Zhou, P.; Long, J.; Hu, G.; Jiang, M.J. The role of 5-hydroxymethylcytosine in melanoma. Melanoma Res. 2017, 27, 175–179. [Google Scholar] [CrossRef] [PubMed]
- Yang, H.; Liu, Y.; Bai, F.; Zhang, J.Y.; Ma, S.H.; Liu, J.; Xu, Z.D.; Zhu, H.G.; Ling, Z.Q.; Ye, D.; et al. Tumor development is associated with decrease of TET gene expression and 5-methylcytosine hydroxylation. Oncogene 2013, 32, 663–669. [Google Scholar] [CrossRef]
- Yang, Q.; Wu, K.; Ji, M.; Jin, W.; He, N.; Shi, B.; Hou, P. Decreased 5-hydroxymethylcytosine (5-hmC) is an independent poor prognostic factor in gastric cancer patients. J. Biomed. Nanotechnol. 2013, 9, 1607–1616. [Google Scholar] [CrossRef]
- Zhang, Y.; Wu, K.; Shao, Y.; Sui, F.; Yang, Q.; Shi, B.; Hou, P.; Ji, M. Decreased 5-Hydroxymethylcytosine (5-hmC) predicts poor prognosis in early-stage laryngeal squamous cell carcinoma. Am. J. Cancer Res. 2016, 6, 1089–1098. [Google Scholar]
- Chapel, D.B.; Husain, A.N.; Krausz, T. Immunohistochemical evaluation of nuclear 5-hydroxymethylcytosine (5-hmC) accurately distinguishes malignant pleural mesothelioma from benign mesothelial proliferations. Mod. Pathol. 2019, 32, 376–386. [Google Scholar] [CrossRef]
- Alsugair, Z.; Kepenekian, V.; Fenouil, T.; Glehen, O.; Villeneuve, L.; Isaac, S.; Hommell-Fontaine, J.; Benzerdjeb, N. 5-hmC loss is another useful tool in addition to BAP1 and MTAP immunostains to distinguish diffuse malignant peritoneal mesothelioma from reactive mesothelial hyperplasia in peritoneal cytology cell-blocks and biopsies. Virchows Arch. 2022, 481, 23–29. [Google Scholar] [CrossRef]
- Wu, A.H.; Yang, D.Y.; Liu, Y.D.; Chen, X.; Chen, X.L.; Lu, S.; Chen, S.L. Expression of TET and 5-HmC in Trophoblast Villi of Women with Normal Pregnancy and with Early Pregnancy Loss. Curr. Med. Sci. 2018, 38, 505–512. [Google Scholar] [CrossRef]
- Bonvin, E.; Radaelli, E.; Bizet, M.; Luciani, F.; Calonne, E.; Putmans, P.; Nittner, D.; Singh, N.K.; Santagostino, S.F.; Petit, V.; et al. TET2-Dependent Hydroxymethylome Plasticity Reduces Melanoma Initiation and Progression. Cancer Res. 2019, 79, 482–494. [Google Scholar] [CrossRef] [PubMed]
- Gong, F.; Guo, Y.; Niu, Y.; Jin, J.; Zhang, X.; Shi, X.; Zhang, L.; Li, R.; Chen, L.; Ma, R.Z. Epigenetic silencing of TET2 and TET3 induces an EMT-like process in melanoma. Oncotarget 2017, 8, 315–328. [Google Scholar] [CrossRef] [PubMed]
- Pavlova, O.; Fraitag, S.; Hohl, D. 5-Hydroxymethylcytosine Expression in Proliferative Nodules Arising within Congenital Nevi Allows Differentiation from Malignant Melanoma. J. Investig. Dermatol. 2016, 136, 2453–2461. [Google Scholar] [CrossRef]
- Stahl, A.; Riggi, N.; Nardou, K.; Nicolas, M.; Kaya, G.; Moulin, A. 5-Hydroxymethylcytosine Loss in Conjunctival Melanoma. Dermatopathology 2021, 8, 176–184. [Google Scholar] [CrossRef]
- Siref, A.B.; Huynh, C.A.T.; Balzer, B.L.; Frishberg, D.P.; Essner, R.; Shon, W. Diagnostic utility of dual 5-hydroxymethylcytosine/Melan-A immunohistochemistry in differentiating nodal nevus from metastatic melanoma: An effective first-line test for the workup of sentinel lymph node specimen. J. Cutan. Pathol. 2019, 46, 261–266. [Google Scholar] [CrossRef] [PubMed]
- Lezcano, C.; Jungbluth, A.A.; Nehal, K.S.; Hollmann, T.J.; Busam, K.J. PRAME Expression in Melanocytic Tumors. Am. J. Surg. Pathol. 2018, 42, 1456–1465. [Google Scholar] [CrossRef] [PubMed]
- Bankhead, P.; Loughrey, M.B.; Fernandez, J.A.; Dombrowski, Y.; McArt, D.G.; Dunne, P.D.; McQuaid, S.; Gray, R.T.; Murray, L.J.; Coleman, H.G.; et al. QuPath: Open source software for digital pathology image analysis. Sci. Rep. 2017, 7, 16878. [Google Scholar] [CrossRef]
- Carter, J.V.; Pan, J.; Rai, S.N.; Galandiuk, S. ROC-ing along: Evaluation and interpretation of receiver operating characteristic curves. Surgery 2016, 159, 1638–1645. [Google Scholar] [CrossRef]





| Evaluation Cohort | Superficial Spreading Melanoma | Dysplastic Compound Nevus |
|---|---|---|
| N (%) | 42 (45.7%) | 50 (54.3%) |
| Vertical tumor thickness | Mean: 0.42 mm | |
| Standard deviation: 0.2 mm | ||
| Location | Head/Neck: 1 (2.4%) | Head/Neck: 5 (10%) |
| Trunk: 21 (50%) | Trunk: 32 (64%) | |
| Upper extremity: 9 (21.4%) | Upper extremity: 7 (14%) | |
| Lower extremity: 11 (26.2%) | Lower extremity: 6 (12%) | |
| Gender | Female: 20 (47.6%) | Female: 30 (60%) |
| Male: 22 (52.4%) | Male: 20 (40%) | |
| Age | Mean: 56 years | Mean: 44.34 years |
| Standard deviation: 17.7 | Standard deviation: 18.1 |
| Test Result Variable(s) | Area | Std. Error | Asymptotic Sig. | 95% Confidence Interval | |
|---|---|---|---|---|---|
| Lower Bound | Upper Bound | ||||
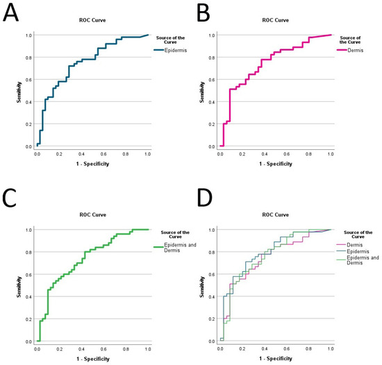
| Epidermis/Junction | 0.79 | 0.051 | <0.001 | 0.69 | 0.89 |
| Dermis | 0.74 | 0.056 | <0.001 | 0.63 | 0.85 |
| Entire lesion | 0.76 | 0.054 | <0.001 | 0.65 | 0.87 |
Disclaimer/Publisher’s Note: The statements, opinions and data contained in all publications are solely those of the individual author(s) and contributor(s) and not of MDPI and/or the editor(s). MDPI and/or the editor(s) disclaim responsibility for any injury to people or property resulting from any ideas, methods, instructions or products referred to in the content. |
© 2023 by the authors. Licensee MDPI, Basel, Switzerland. This article is an open access article distributed under the terms and conditions of the Creative Commons Attribution (CC BY) license (https://creativecommons.org/licenses/by/4.0/).
Share and Cite
Koch, E.A.T.; Berking, C.; Erber, R.; Erdmann, M.; Kiesewetter, F.; Schliep, S.; Heppt, M.V. Standardized Computer-Assisted Analysis of 5-hmC Immunoreactivity in Dysplastic Nevi and Superficial Spreading Melanomas. Int. J. Mol. Sci. 2023, 24, 14711. https://doi.org/10.3390/ijms241914711
Koch EAT, Berking C, Erber R, Erdmann M, Kiesewetter F, Schliep S, Heppt MV. Standardized Computer-Assisted Analysis of 5-hmC Immunoreactivity in Dysplastic Nevi and Superficial Spreading Melanomas. International Journal of Molecular Sciences. 2023; 24(19):14711. https://doi.org/10.3390/ijms241914711
Chicago/Turabian StyleKoch, Elias A. T., Carola Berking, Ramona Erber, Michael Erdmann, Franklin Kiesewetter, Stefan Schliep, and Markus V. Heppt. 2023. "Standardized Computer-Assisted Analysis of 5-hmC Immunoreactivity in Dysplastic Nevi and Superficial Spreading Melanomas" International Journal of Molecular Sciences 24, no. 19: 14711. https://doi.org/10.3390/ijms241914711
APA StyleKoch, E. A. T., Berking, C., Erber, R., Erdmann, M., Kiesewetter, F., Schliep, S., & Heppt, M. V. (2023). Standardized Computer-Assisted Analysis of 5-hmC Immunoreactivity in Dysplastic Nevi and Superficial Spreading Melanomas. International Journal of Molecular Sciences, 24(19), 14711. https://doi.org/10.3390/ijms241914711

