Nerve Structure-Function: Unusual Structural Details and Unmasking of Sulfhydryl Groups by Electrical Stimulation or Asphyxia in Axon Membranes and Gap Junctions
Abstract
:1. Introduction
2. Structural Details of Crayfish Axons
2.1. Fenestrated Septa
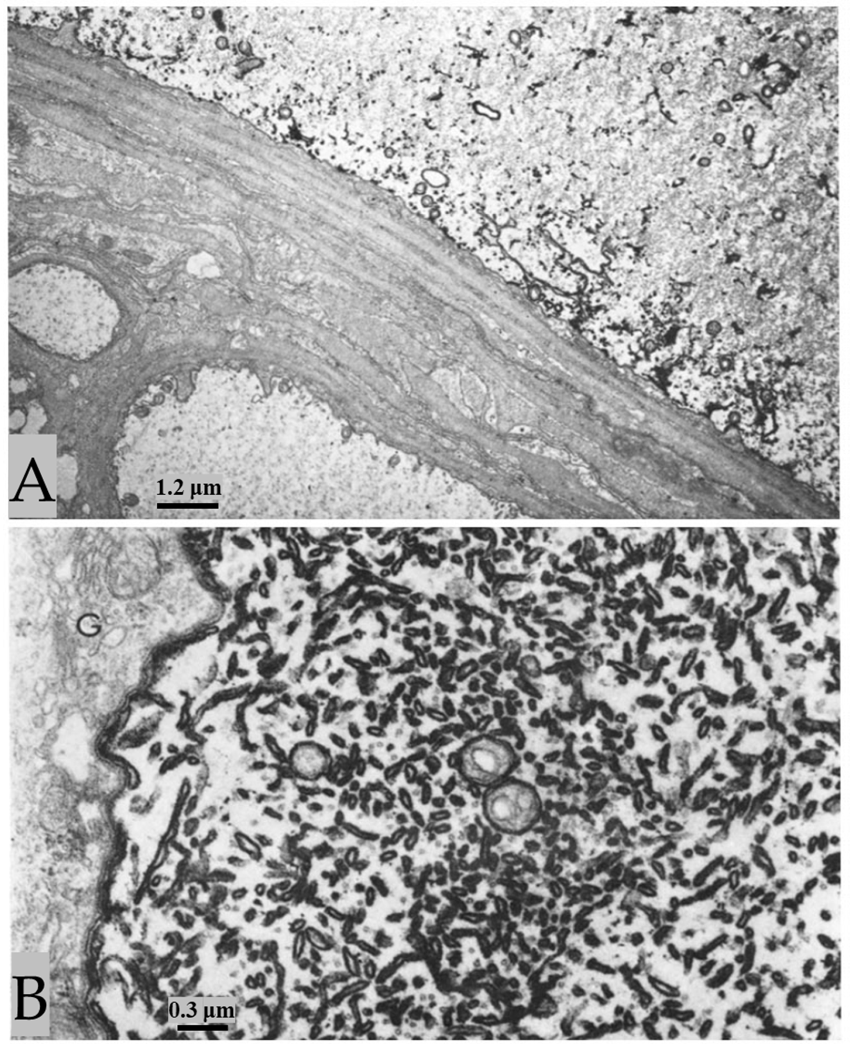
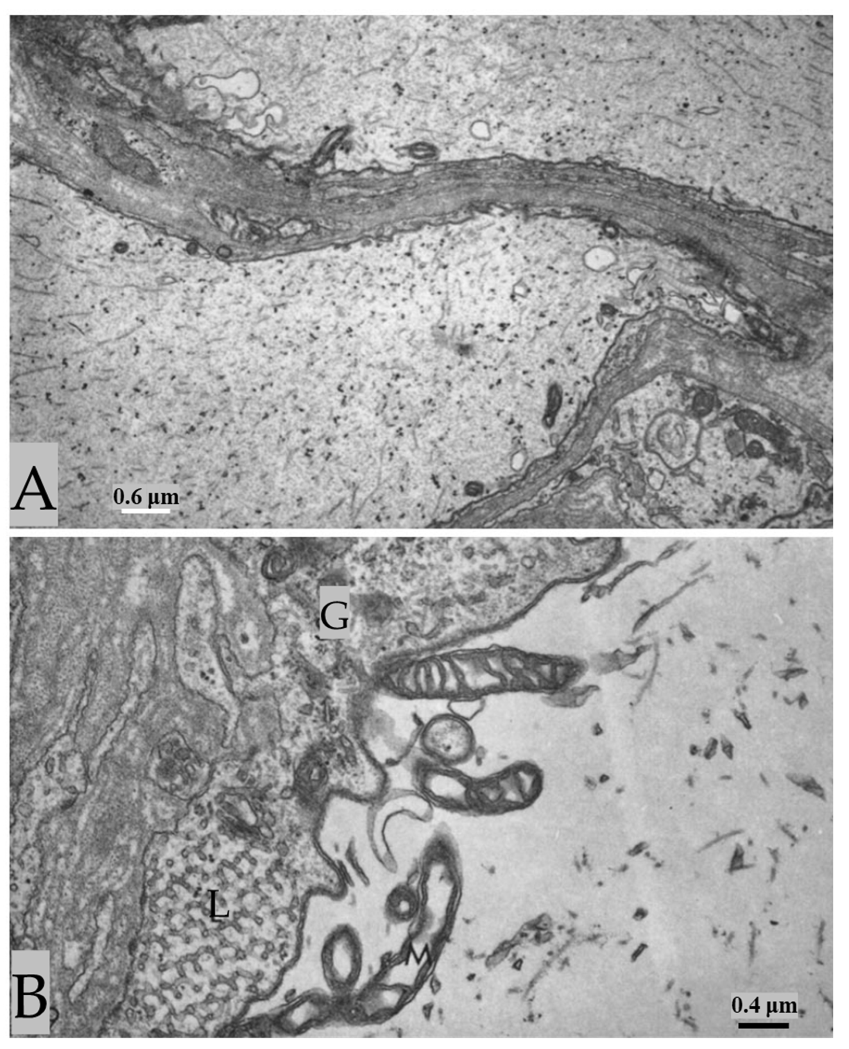
2.2. Structural Interaction between Axons and Sheath Glial Cells
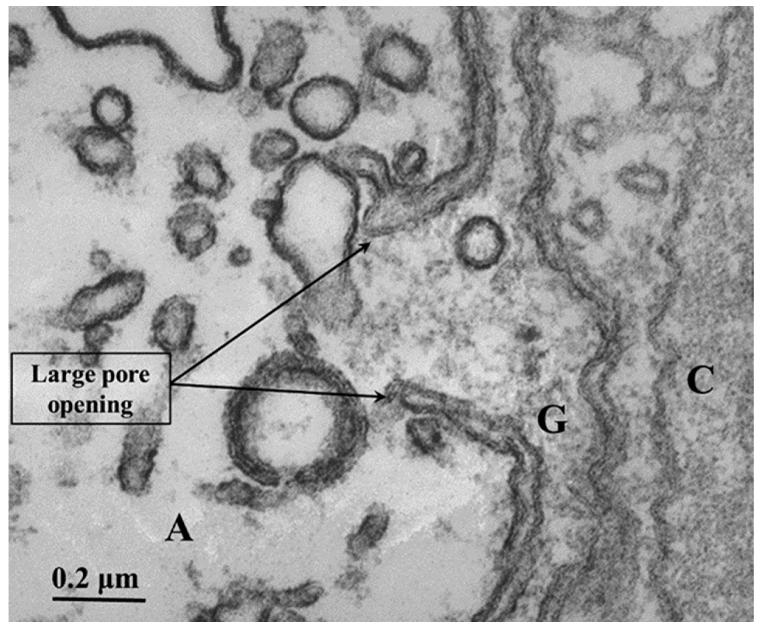
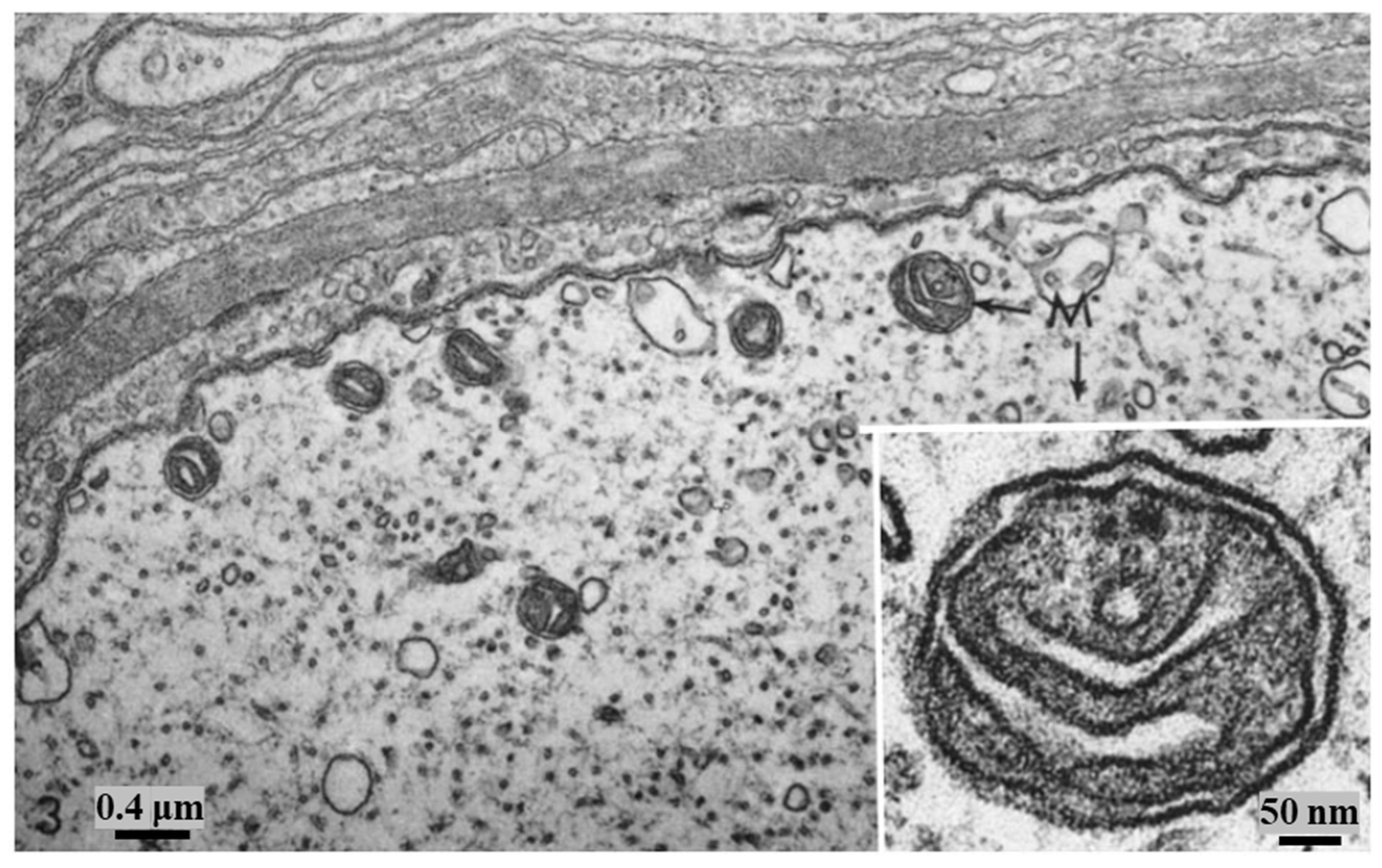
2.3. Membranous Pores Joining Axons to Sheath Glial Cells
3. Structural Changes in Electrically Stimulated Axons
3.1. Historical Background
3.2. Increased Electron Density (Osmiophilia) in Membranes of Electrically Stimulated Axons
3.3. Increased Electron Density (Osmiophilia) in Membranes of Asphyxiated Axons
3.4. Increased Electron Opacity (Osmiophilia) in Membranes of Axons Treated with Sulfhydryl (-SH) Reagents
4. Why Does Membrane’s Osmiophilia Increase in Electrically Stimulated Axons?
5. Conclusions
Funding
Conflicts of Interest
References
- Peracchia, C. A system of parallel septa in crayfish nerve fibers. J. Cell Biol. 1970, 44, 125–133. [Google Scholar] [CrossRef] [PubMed]
- Peracchia, C.; Robertson, J.D. Increase in osmiophilia of axonal membranes of crayfish as a result of electrical stimulation, asphyxia, or treatment with reducing agents. J. Cell Biol. 1971, 51, 223–239. [Google Scholar] [CrossRef]
- Peracchia, C. Excitable membrane ultrastructure. I. Freeze fracture of crayfish axons. J. Cell Biol. 1974, 61, 107–122. [Google Scholar] [CrossRef]
- Peracchia, C. Direct communication between axons and sheath glial cells in crayfish. Nature 1981, 290, 597–598. [Google Scholar] [CrossRef] [PubMed]
- Peracchia, C. Potential Role of Fenestrated Septa in Axonal Transport of Golgi Cisternae and Gap Junction Formation/Function. Int. J. Mol. Sci. 2023, 24, 5385. [Google Scholar] [CrossRef]
- Okada, Y.; Sato-Yoshitake, R.; Hirokawa, N. The activation of protein kinase A pathway selectively inhibits anterograde axonal transport of vesicles but not mitochondria transport or retrograde transport in vivo. J. Neurosci. 1995, 15, 3053–3064. [Google Scholar] [CrossRef] [PubMed]
- Eugenin, E.; Camporesi, E.; Peracchia, C. Direct Cell-Cell Communication via Membrane Pores, Gap Junction Channels, and Tunneling Nanotubes: Medical Relevance of Mitochondrial Exchange. Int. J. Mol. Sci. 2022, 23, 6133. [Google Scholar] [CrossRef]
- Lasek, R.; Gainer, H.; Barker, J. Cell-to-cell transfer of glial proteins to the squid giant axon: The glia-neuron protein transfer hypothesis. J. Cell Biol. 1977, 74, 501–523. [Google Scholar] [CrossRef]
- Lasek, R.J.; Gainer, H.; Przybylski, R.J. Transfer of Newly Synthesized Proteins from Schwann Cells to the Squid Giant Axon. Proc. Natl. Acad. Sci. USA 1974, 71, 1188–1192. [Google Scholar] [CrossRef]
- Singer, M.; Green, M.R. Autoradiographic studies of uridine incorporation in peripheral nerve of the newt, Triturus. J. Morphol. 1968, 124, 321–343. [Google Scholar] [CrossRef]
- Singer, M.; Salpeter, M.M. The transport of 3H-l-histidine through the Schwann and myelin sheath into the axon, including a reevaluation of myelin function. J. Morphol. 1966, 120, 281–315. [Google Scholar] [CrossRef] [PubMed]
- Viancour, T.A.; Bittner, G.D.; Ballinger, M.L. Selective transfer of Lucifer yellow CH from axoplasm to adaxonal glia. Nature 1981, 293, 65–67. [Google Scholar] [CrossRef]
- Hodgkin, A.L.; Huxley, A.F. Propagation of electrical signals along giant nerve fibers. Proc. R. Soc. Lond. B Biol. Sci. 1952, 140, 177–183. [Google Scholar]
- Hodgkin, A.L.; Huxley, A.F. Currents carried by sodium and potassium ions through the membrane of the giant axon of Loligo. J. Physiol. 1952, 116, 449–472. [Google Scholar] [CrossRef]
- Hodgkin, A.L.; Huxley, A.F.; Katz, B. Measurement of current-voltage relations in the membrane of the giant axon of Loligo. J. Physiol. 1952, 116, 424–448. [Google Scholar] [CrossRef]
- Hodgkin, A.L.; Huxley, A.F.; Katz, B. Ionic currents underlying activity in the giant axon of the squid. Arch. Sci. Physiol. 1949, 3, 129–150. [Google Scholar]
- Hodgkin, A.L.; Katz, B. The effect of sodium ions on the electrical activity of the giant axon of the squid. J. Physiol. 1949, 108, 37–77. [Google Scholar] [CrossRef]
- Young, J.Z. The Functioning of the Giant Nerve Fibres of the Squid1. J. Exp. Biol. 1938, 15, 170–185. [Google Scholar] [CrossRef]
- Cole, K.S. Dynamic electrical characteristics of the squid axon membrane. Arch. Sci. Physiol. 1949, 3, 253–258. [Google Scholar]
- Hille, B. Ion Channels of Excitable Membranes, 2nd ed.; Sinauer Associates, Inc.: Sunderland, MA, USA, 1992. [Google Scholar]
- Peyrard, M. How is information transmitted in a nerve? J. Biol. Phys. 2020, 46, 327–341. [Google Scholar] [CrossRef] [PubMed]
- Drukarch, B.; Holland, H.A.; Velichkov, M.; Geurts, J.J.; Voorn, P.; Glas, G.; de Regt, H.W. Thinking about the nerve impulse: A critical analysis of the electricity-centered conception of nerve excitability. Prog. Neurobiol. 2018, 169, 172–185. [Google Scholar] [CrossRef] [PubMed]
- Fillafer, C.; Mussel, M.; Muchowski, J.; Schneider, M.F. Cell Surface Deformation during an Action Potential. Biophys. J. 2018, 114, 410–418. [Google Scholar] [CrossRef]
- Bethe, A. Allgemeine Anatomie und Physiologie des Nervensystems; V. G. Thieme: Leipzig, Germany, 1903. [Google Scholar] [CrossRef]
- Klinke, J. Über die Bedingungen für das Auftreten eines färberischen Polarisationsbildes am Nerven. Pflug. Arch. 1931, 227, 715–726. [Google Scholar] [CrossRef]
- Hill, D.K.; Keynes, R.D. Opacity changes in stimulated nerve. J. Physiol. 1949, 108, 278–281. [Google Scholar] [CrossRef]
- Hill, D.K. The volume change resulting from stimulation of a giant nerve fibre. J. Physiol. 1950, 111, 304–327. [Google Scholar] [CrossRef]
- Hill, D.K. The effect of stimulation on the opacity of a crustacean nerve trunk and its relation to fibre diameter. J. Physiol. 1950, 111, 283–303. [Google Scholar] [CrossRef] [PubMed]
- Tobias, J.M. Qualitative observations on visible changes in single frog, squid and other axones subjected to electrical polarization; implications for excitation and conduction. J. Cell Comp. Physiol. 1951, 37, 91–105. [Google Scholar] [CrossRef]
- Solomon, S.; Tobias, J.M. Thixotropy of axoplasm and effect of activity on light emerging from an internally lighted giant axon. J. Cell. Comp. Physiol. 1960, 55, 159–166. [Google Scholar] [CrossRef]
- Cohen, L.B.; Keynes, R.D.; Hille, B. Light Scattering and Birefringence Changes during Nerve Activity. Nature 1968, 218, 438–441. [Google Scholar] [CrossRef]
- Cohen, L.B.; Keynes, R.D. Evidence for structural changes during the action potential in nerves from the walking legs of Maia squinado. J. Physiol. 1968, 194, 85-6P. [Google Scholar]
- Tasaki, I.; Watanabe, A.; Sandlin, R.; Carnay, L. Changes in fluorescence, turbidity, and birefringence associated with nerve excitation. Proc. Natl. Acad. Sci. USA 1968, 61, 883–888. [Google Scholar] [CrossRef]
- Weber, G.; Laurence, D.J. Fluorescent indicators of adsorption in aqueous solution and on the solid phase. Biochem. J. 1954, 56, xxxi. [Google Scholar]
- Duke, J.A.; McKay, R.; Botts, J. Conformational change accompanying modification of myosin ATPase. Biochim. Biophys. Acta (BBA)-Biophys. Incl. Photosynth. 1966, 126, 600–603. [Google Scholar] [CrossRef]
- Tasaki, I.I.; Carnay, L.; Watanabe, A. Transient changes in extrinsic fluorescence of nerve produced by electric stimulation. Proc. Natl. Acad. Sci. USA 1969, 64, 1362–1368. [Google Scholar] [CrossRef]
- Howarth, J.V.; Keynes, R.D.; Ritchie, J.M. The origin of the initial heat associated with a single impulse in mammalian non-myelinated nerve fibres. J. Physiol. 1968, 194, 745–793. [Google Scholar] [CrossRef]
- Iwasa, K.; Tasaki, I. Mechanical changes in squid giant axons associated with production of action potentials. Biochem. Biophys. Res. Commun. 1980, 95, 1328–1331. [Google Scholar] [CrossRef]
- Iwasa, K.; Tasaki, I.; Gibbons, R.C. Swelling of Nerve Fibers Associated with Action Potentials. Science 1980, 210, 338–339. [Google Scholar] [CrossRef]
- Tamm, K.; Engelbrecht, J.; Peets, T. Temperature changes accompanying signal propagation in axons. J. Non-Equilib. Thermodyn. 2019, 44, 277–284. [Google Scholar] [CrossRef]
- Heimburg, T. The important consequences of the reversible heat production in nerves and the adiabaticity of the action potential. Prog. Biophys. Mol. Biol. 2021, 162, 26–40. [Google Scholar] [CrossRef]
- Engelbrecht, J.; Tamm, K.; Peets, T. Modelling of processes in nerve fibres at the interface of physiology and mathematics. Biomech. Model. Mechanobiol. 2020, 19, 2491–2498. [Google Scholar] [CrossRef]
- Tasaki, I.; Iwasa, K.; Gibbons, R.C. Mechanical changes in crab nerve fibers during action potentials. Jpn. J. Physiol. 1980, 30, 897–905. [Google Scholar] [CrossRef]
- Tasaki, I.; Iwasa, K. Rapid pressure changes and surface displacements in the squid giant axon associated with production of action potentials. Jpn. J. Physiol. 1982, 32, 69–81. [Google Scholar] [CrossRef]
- Tasaki, I.; Iwasa, K. Further studies of rapid mechanical changes in squid giant axon associated with action potential production. Jpn. J. Physiol. 1982, 32, 505–518. [Google Scholar] [CrossRef]
- Tasaki, I.; Byrne, P.M. Heat Production Associated with a Propagated Impulse in Bullfrog Myelinated Nerve Fibers. Jpn. J. Physiol. 1992, 42, 805–813. [Google Scholar] [CrossRef]
- Tasaki, I.; Kusano, K.; Byrne, P. Rapid mechanical and thermal changes in the garfish olfactory nerve associated with a propagated impulse. Biophys. J. 1989, 55, 1033–1040. [Google Scholar] [CrossRef]
- Tasaki, I.; Byrne, P. Volume expansion of nonmyelinated nerve fibers during impulse conduction. Biophys. J. 1990, 57, 633–635. [Google Scholar] [CrossRef]
- Tasaki, I.; Byrne, P.M. Rapid structural changes in nerve fibers evoked by electric current pulses. Biochem. Biophys. Res. Commun. 1992, 188, 559–564. [Google Scholar] [CrossRef] [PubMed]
- Peracchia, C. Low resistance junctions in crayfish. I. Two arrays of globules in junctional membranes. J. Cell Biol. 1973, 57, 66–76. [Google Scholar] [CrossRef] [PubMed]
- Peracchia, C.; Mittler, B.S. Fixation by means of glutaraldehyde-hydrogen peroxide reaction products. J. Cell Biol. 1972, 53, 234–238. [Google Scholar] [CrossRef]
- Riemersma, J. Osmium tetroxide fixation of lipids for electron microscopy a possible reaction mechanism. Biochim. Biophys. Acta 1968, 152, 718–727. [Google Scholar] [CrossRef] [PubMed]
- Bahr, G. Osmium tetroxide and ruthenium tetroxide and their reactions with biologically important substances: Electron stains III. Exp. Cell Res. 1954, 7, 457–479. [Google Scholar] [CrossRef] [PubMed]
- Hanker, J.S.; Seaman, A.R.; Weiss, L.P.; Ueno, H.; Bergman, R.A.; Seligman, A.M. Osmiophilic Reagents: New Cytochemical Principle for Light and Electron Microscopy. Science 1964, 146, 1039–1043. [Google Scholar] [CrossRef] [PubMed]
- Hanker, J.S.; Kasler, F.; Bloom, M.G.; Copeland, J.S.; Seligman, A.M. Coordination Polymers of Osmium: The Nature of Osmium Black. Science 1967, 156, 1737–1738. [Google Scholar] [CrossRef]
- Gilloteaux, J.; Naud, J. The zinc iodide-osmium tetroxide staining-fixative of Maillet. Nature of the precipitate studied by X-ray microanalysis and detection of Ca2+-affinity subcellular sites in a tonic smooth muscle. Histochemistry 1979, 63, 227–243. [Google Scholar] [CrossRef]
- Frankenhaeuser, B. The effect of calcium on the myelinated nerve fibre. J. Physiol. 1957, 137, 245–260. [Google Scholar] [CrossRef] [PubMed]
- Caliandro, M.F.; Schmalbein, F.; Todesca, L.M.; Morgelin, M.; Rezaei, M.; Meissner, J.; Siepe, I.; Grosche, J.; Schwab, A.; Eble, J.A. A redox-dependent thiol-switch and a Ca(2+) binding site within the hinge region hierarchically depend on each other in alpha7beta1 integrin regulation. Free Radic. Biol. Med. 2022, 187, 38–49. [Google Scholar] [CrossRef] [PubMed]
- Iversen, R.; Mysling, S.; Hnida, K.; Jørgensen, T.J.D.; Sollid, L.M. Activity-regulating structural changes and autoantibody epitopes in transglutaminase 2 assessed by hydrogen/deuterium exchange. Proc. Natl. Acad. Sci. USA 2014, 111, 17146–17151. [Google Scholar] [CrossRef]
- Chiamvimonvat, N.; O’rourke, B.; Kamp, T.J.; Kallen, R.G.; Hofmann, F.; Flockerzi, V.; Marban, E. Functional Consequences of Sulfhydryl Modification in the Pore-Forming Subunits of Cardiovascular Ca2+ and Na+ Channels. Circ. Res. 1995, 76, 325–334. [Google Scholar] [CrossRef]
- Welzel, G.; Schuster, S. Long-term potentiation in an innexin-based electrical synapse. Sci. Rep. 2018, 8, 12579. [Google Scholar] [CrossRef]
- Marquis, J.K.; Mautner, H.G. The effect of electrical stimulation on the action of sulfhydryl reagents in the giant axon of squid; Suggested mechanisms for the role of thiol and disulfide groups in electrically-induced conformational changes. J. Membr. Biol. 1974, 15, 249–260. [Google Scholar] [CrossRef]
- Smith, H.M. Effects of sulfhydryl blockade on axonal function. J. Cell Comp. Physiol. 1958, 51, 161–171. [Google Scholar] [CrossRef] [PubMed]
- Huneeus-Cox, F.; Fernandez, H.; Smith, B. Effects of Redox and Sulfhydryl Reagents on the Bioelectric Properties of the Giant Axon of the Squid. Biophys. J. 1966, 6, 675–689. [Google Scholar] [CrossRef] [PubMed]
- Abramson, J.J.; Salama, G. Critical sulfhydryls regulate calcium release from sarcoplasmic reticulum. J. Bioenerg. Biomembr. 1989, 21, 283–294. [Google Scholar] [CrossRef]
- Oba, T.; Hotta, K. Silver ion-induced tension development and membrane depolarization in frog skeletal muscle fibres. Pflug. Arch. 1985, 405, 354–359. [Google Scholar] [CrossRef]
- Palade, P. Drug-induced Ca2+ release from isolated sarcoplasmic reticulum. III. Block of Ca2+-induced Ca2+ release by organic polyamines. J. Biol. Chem. 1987, 262, 6149–6154. [Google Scholar] [CrossRef] [PubMed]
- Brunder, D.G.; Dettbarn, C.; Palade, P. Heavy metal-induced Ca2+ release from sarcoplasmic reticulum. J. Biol. Chem. 1988, 263, 18785–18792. [Google Scholar] [CrossRef]
- Zuazaga, C.; del Castillo, J. Generation of calcium action potentials in crustacean muscle fibers following exposure to sulfhydryl reagents. Comp. Biochem. Physiol. C Comp. Pharmacol. Toxicol. 1985, 82, 409–416. [Google Scholar] [CrossRef]
- Zuazaga, C.; Steinacker, A.; del Castillo, J. The role of sulfhydryl and disulfide groups of membrane proteins in electrical conduction. Puerto Rico Health Sci. J. 1984, 3, 125–139. [Google Scholar]
- Kirsten, E.B.; Kuperman, A.S. Effects of sulphydryl inhibitors on frog sartorius muscle: N-ethylmaleimide. Br. J. Pharmacol. 1970, 40, 827–835. [Google Scholar] [CrossRef]
- Baumgold, J.; Matsumoto, G.; Tasaki, I. Biochemical studies of nerve excitability: The use of protein modifying reagents for characterizing sites involved in nerve excitation. J. Neurochem. 1978, 30, 91–100. [Google Scholar] [CrossRef]
- Marinov, B. Ion channel redox model. J. Mol. Cell Cardiol. 1991, 23 (Suppl. 1), 53–60. [Google Scholar] [CrossRef]
- Hasselbach, W.; Elfvin, L.-G. Structural and chemical asymmetry of the calcium-transporting membranes of the sarcotubular system as revealed by electron microscopy. J. Ultrastruct. Res. 1967, 17, 598–622. [Google Scholar] [CrossRef]
- Lin, S.; Ayala, G.F. Effect of sulfhydryl group reagents on the crayfish stretch receptor neuron. Comp. Biochem. Physiol. Part C Comp. Pharmacol. 1983, 75, 231–237. [Google Scholar] [CrossRef]
- Tolberg, A.B.; Macey, R.I. The release of membrane-bound calcium by radiation and sulfhydryl reagents. J. Cell Physiol. 1972, 79, 43–51. [Google Scholar] [CrossRef]
- Palmer, R.F.; Posey, V.A. Calcium and Adenosine Triphosphate Binding to Renal Membranes. J. Gen. Physiol. 1970, 55, 89–103. [Google Scholar] [CrossRef]
- Treherne, J.E. The Effect of Ouabain on the Efflux of Sodium Ions in the Nerve Cords of Two Insect Species (Periplaneta americana and Carausius morosus). J. Exp. Biol. 1966, 44, 355–362. [Google Scholar] [CrossRef]
- Perkins, M.S.; Wright, E.B. The crustacean axon. I. Metabolic properties: ATPase activity, calcium binding, and bioelectric correlations. J. Neurophysiol. 1969, 32, 930–947. [Google Scholar] [CrossRef]













Disclaimer/Publisher’s Note: The statements, opinions and data contained in all publications are solely those of the individual author(s) and contributor(s) and not of MDPI and/or the editor(s). MDPI and/or the editor(s) disclaim responsibility for any injury to people or property resulting from any ideas, methods, instructions or products referred to in the content. |
© 2023 by the author. Licensee MDPI, Basel, Switzerland. This article is an open access article distributed under the terms and conditions of the Creative Commons Attribution (CC BY) license (https://creativecommons.org/licenses/by/4.0/).
Share and Cite
Peracchia, C. Nerve Structure-Function: Unusual Structural Details and Unmasking of Sulfhydryl Groups by Electrical Stimulation or Asphyxia in Axon Membranes and Gap Junctions. Int. J. Mol. Sci. 2023, 24, 13565. https://doi.org/10.3390/ijms241713565
Peracchia C. Nerve Structure-Function: Unusual Structural Details and Unmasking of Sulfhydryl Groups by Electrical Stimulation or Asphyxia in Axon Membranes and Gap Junctions. International Journal of Molecular Sciences. 2023; 24(17):13565. https://doi.org/10.3390/ijms241713565
Chicago/Turabian StylePeracchia, Camillo. 2023. "Nerve Structure-Function: Unusual Structural Details and Unmasking of Sulfhydryl Groups by Electrical Stimulation or Asphyxia in Axon Membranes and Gap Junctions" International Journal of Molecular Sciences 24, no. 17: 13565. https://doi.org/10.3390/ijms241713565
APA StylePeracchia, C. (2023). Nerve Structure-Function: Unusual Structural Details and Unmasking of Sulfhydryl Groups by Electrical Stimulation or Asphyxia in Axon Membranes and Gap Junctions. International Journal of Molecular Sciences, 24(17), 13565. https://doi.org/10.3390/ijms241713565

