Positive Effects of the Nutraceutical Association of Lycopene and Selenium in Experimental Varicocele
Abstract
:1. Introduction
2. Results
2.1. Influence of Lycopene and Se Alone and Their Association on Testis Weight
2.2. Influence of Lycopene and Se Alone and Their Association on Testosterone Levels
2.3. Influence of Lycopene and Se Alone and Their Association on Malondialdehyde (MDA) Levels
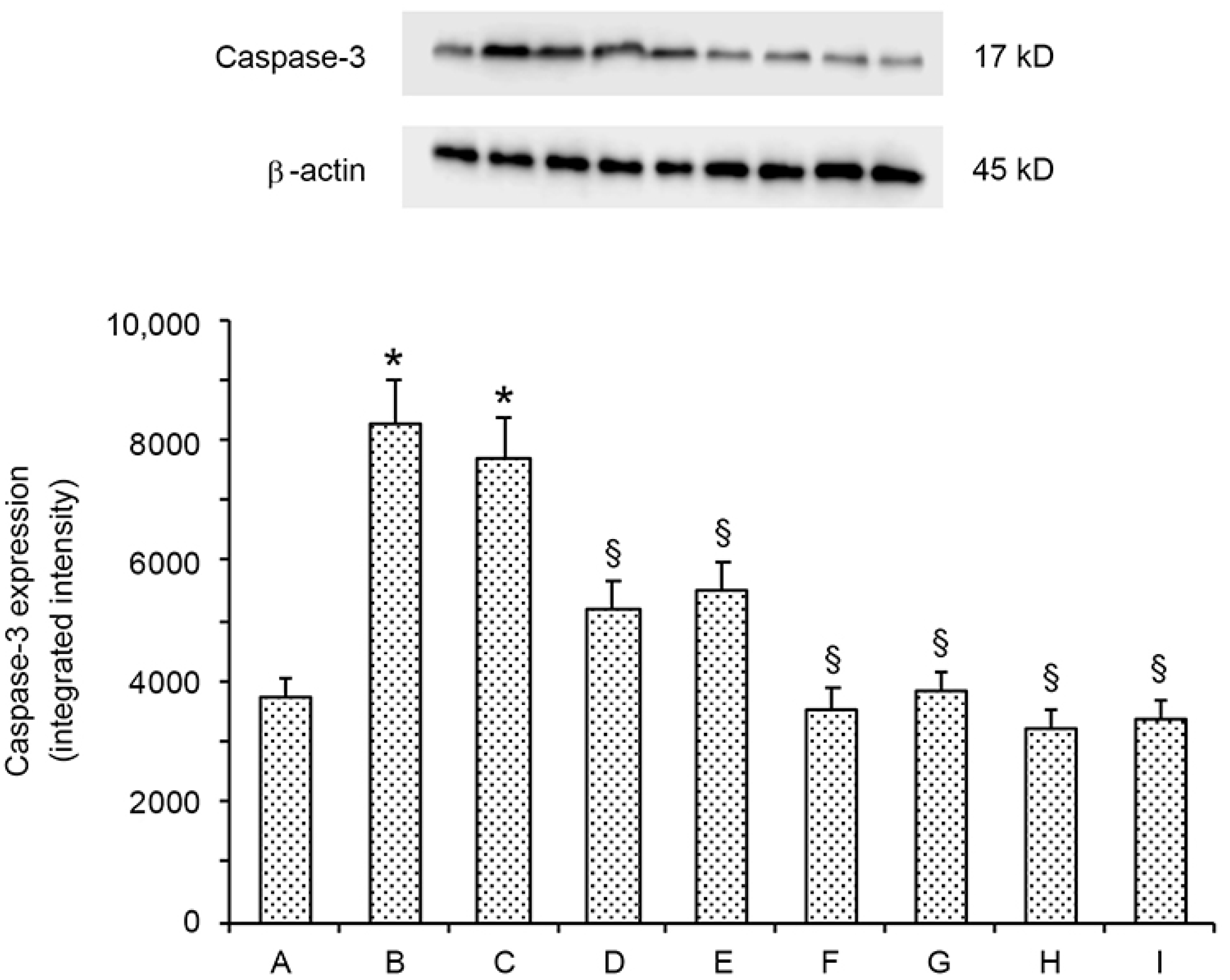
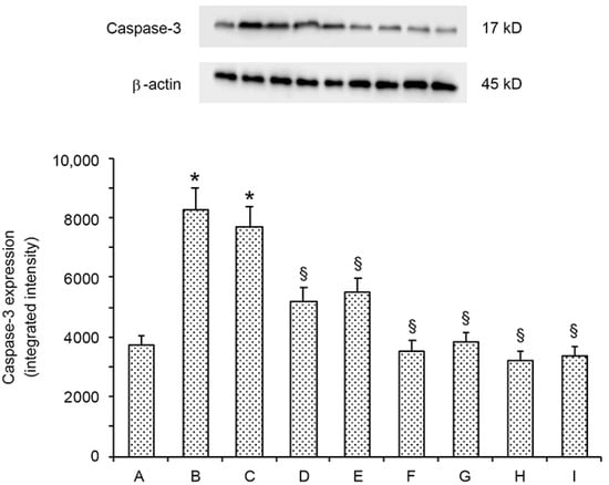
2.4. Influence of Lycopene and Se Alone and Their Association on Caspase-3 Expression
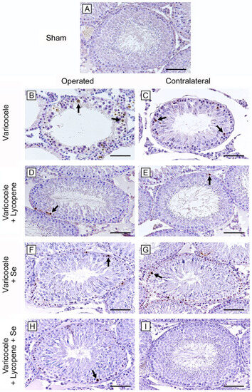
2.5. Administration of Lycopene and Se Alone and Their Association Counteracts Testes Changes
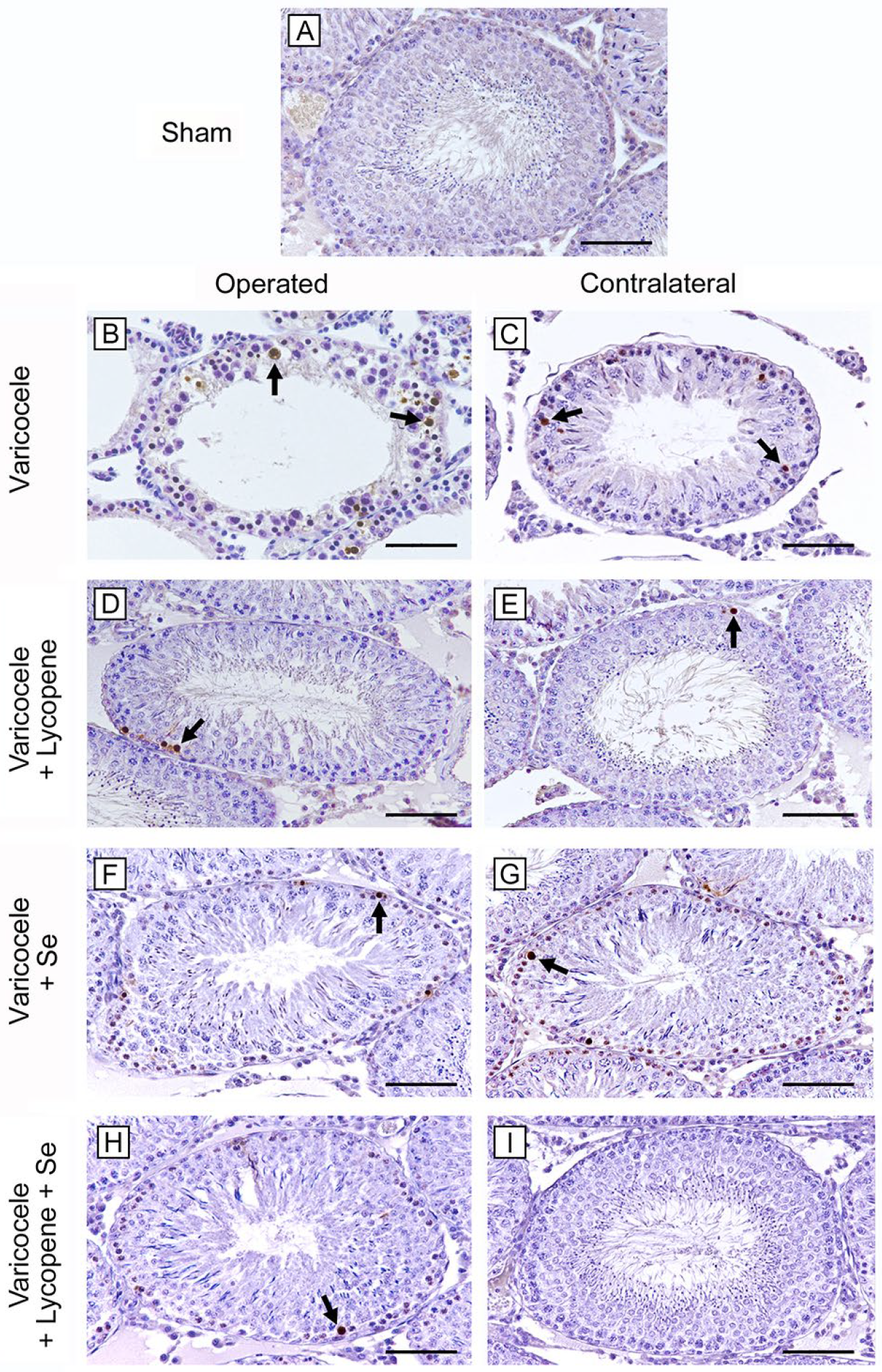
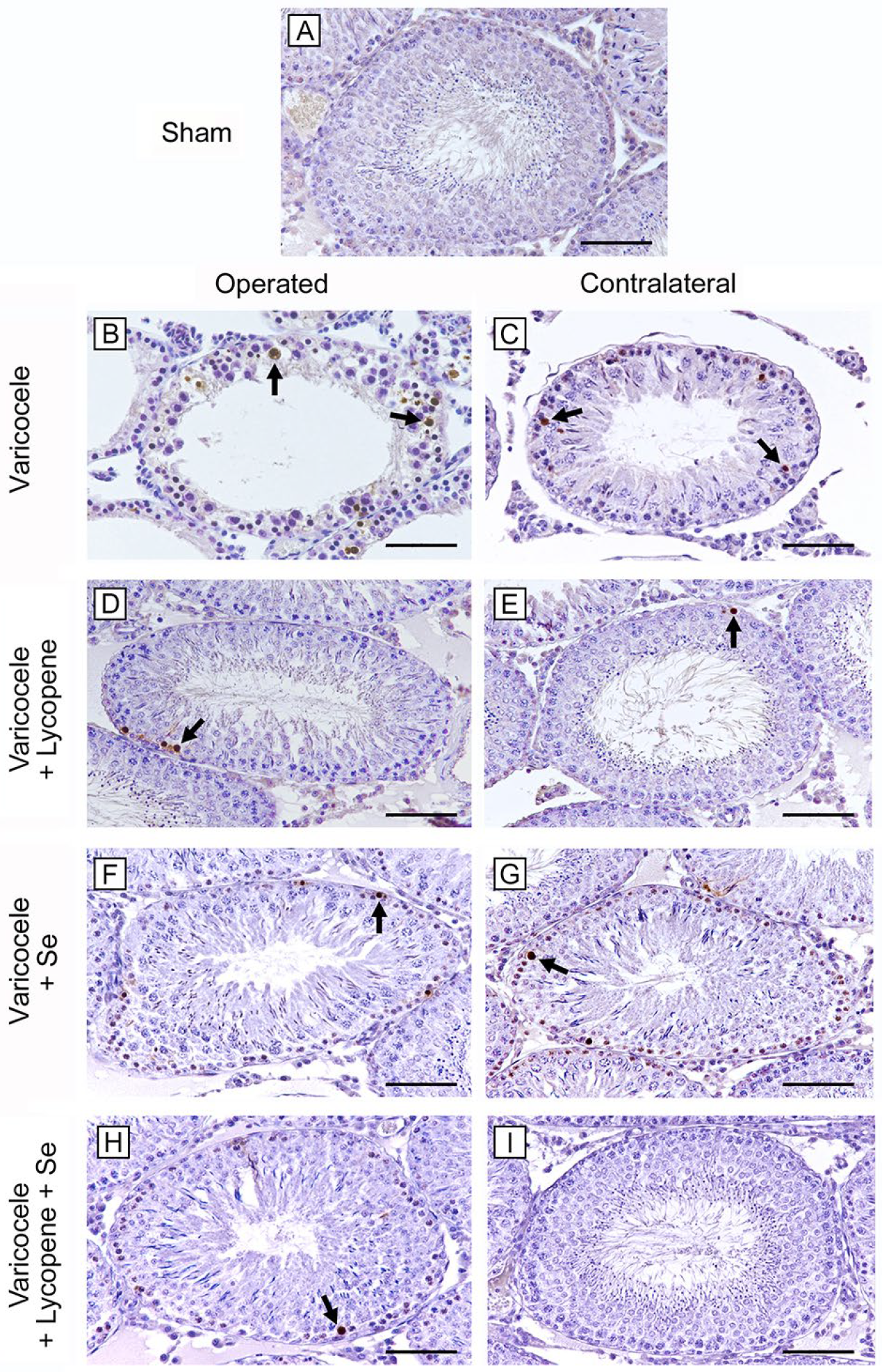
2.6. Influence of Lycopene and Se Alone and Their Association on Apoptosis with TUNEL Assay
2.7. Influence of Lycopene and Se Alone and Their Association on HIF-1α Activity
3. Discussion
4. Conclusions
5. Materials and Methods
5.1. Ethical Approval
5.2. Animals and Experimental Procedures
5.3. Determination of Testosterone Levels
5.4. Determination of MDA Levels
5.5. Western Blot Analysis
5.6. Histological Evaluation
5.7. TUNEL Assay for Apoptosis
5.8. Immunohistochemistry for HIF-1α
5.9. Statistical Analysis
Author Contributions
Funding
Institutional Review Board Statement
Informed Consent Statement
Data Availability Statement
Conflicts of Interest
References
- Parekh, N.; Sabanegh, E., Jr. Anatomic Theories of Varicocele Origin. In Varicocele and Male Infertility; Esteves, S.C., Cho, C.-L., Majzoub, A., Agarwal, A., Eds.; Springer Nature: Basel, Switzerland, 2019; pp. 17–26. [Google Scholar]
- Babaei, A.; Moradi, S.; Hoseinkhani, Z.; Rezazadeh, D.; Dokaneheifard, S.; Asadpour, R.; Sharma, G.; Mansouri, K. Expression of Hypoxia-Inducible Factor1-α in Varicocele Disease: A Comprehensive Systematic Review. Reprod. Sci. 2022, 29, 2731–2743. [Google Scholar] [CrossRef] [PubMed]
- Karna, K.K.; Choi, B.R.; You, J.H.; Shin, Y.S.; Cui, W.S.; Lee, S.W.; Kim, J.H.; Kim, C.Y.; Kim, H.K.; Park, J.K. The ameliorative effect of monotropein, astragalin, and spiraeoside on oxidative stress, endoplasmic reticulum stress, and mitochondrial signaling pathway in varicocelized rats. BMC Complement. Altern. Med. 2019, 19, 333. [Google Scholar] [CrossRef] [PubMed]
- Karna, K.K.; Choi, N.Y.; Kim, C.Y.; Kim, H.K.; Shin, Y.S.; Park, J.K. Gui-A-Gra Attenuates Testicular Dysfunction in Varicocele-Induced Rats via Oxidative Stress, ER Stress and Mitochondrial Apoptosis Pathway. Int. J. Mol. Sci. 2020, 21, 9231. [Google Scholar] [CrossRef]
- Ghandehari-Alavijeh, R.; Tavalaee, M.; Zohrabi, D.; Foroozan-Broojeni, S.; Abbasi, H.; Nasr-Esfahani, M.H. Hypoxia pathway has more impact than inflammation pathway on etiology of infertile men with varicocele. Andrologia 2019, 51, e13189. [Google Scholar] [CrossRef]
- Zhao, W.; Liu, J.; Wang, D.; Wang, Y.; Zhang, F.; Jin, G.; Yuan, C.; Wang, X.; Qin, Q. Effect of silencing HIF-1α gene on testicle spermatogenesis function in varicocele rats. Cell Tissue Res. 2019, 378, 543–554. [Google Scholar] [CrossRef]
- Antonuccio, P.; Pallio, G.; Marini, H.R.; Irrera, N.; Romeo, C.; Puzzolo, D.; Freni, J.; Santoro, G.; Pirrotta, I.; Squadrito, F.; et al. Involvement of Hypoxia-Inducible Factor 1-α in Experimental Testicular Ischemia and Reperfusion: Effects of Polydeoxyribonucleotide and Selenium. Int. J. Mol. Sci. 2022, 23, 13144. [Google Scholar] [CrossRef]
- Mohamed, M.Z.; Morsy, M.A.; Mohamed, H.H.; Hafez, H.M. Paeonol protects against testicular ischaemia-reperfusion injury in rats through inhibition of oxidative stress and inflammation. Andrologia 2020, 52, e13599. [Google Scholar] [CrossRef]
- Taghizadeh, L.; Eidi, A.; Mortazavi, P.; Rohani, A.H. Effect of selenium on testicular damage induced by varicocele in adult male Wistar rats. J. Trace Elem. Med. Biol. 2017, 44, 177–185. [Google Scholar] [CrossRef]
- Antonuccio, P.; Micali, A.; Puzzolo, D.; Romeo, C.; Vermiglio, G.; Squadrito, V.; Freni, J.; Pallio, G.; Trichilo, V.; Righi, M.; et al. Nutraceutical Effects of Lycopene in Experimental Varicocele: An “In Vivo” Model to Study Male Infertility. Nutrients 2020, 12, 1536. [Google Scholar] [CrossRef]
- Antonuccio, P.; Micali, A.G.; Romeo, C.; Freni, J.; Vermiglio, G.; Puzzolo, D.; Squadrito, F.; Irrera, N.; Marini, H.R.; Rana, R.A.; et al. NLRP3 Inflammasome: A New Pharmacological Target for Reducing Testicular Damage Associated with Varicocele. Int. J. Mol. Sci. 2021, 22, 1319. [Google Scholar] [CrossRef]
- Babaei, A.; Asadpour, R.; Mansouri, K.; Sabrivand, A.; Kazemi-Darabadi, S. Lycopene protects sperm from oxidative stress in the experimental varicocele model. Food Sci. Nutr. 2021, 9, 6806–6817. [Google Scholar] [CrossRef] [PubMed]
- Babaei, A.; Asadpour, R.; Mansouri, K.; Sabrivand, A.; Kazemi-Darabadi, S. Lycopene improves testicular damage and sperm quality in experimentally induced varicocele: Relationship with apoptosis, hypoxia, and hyperthermia. Food Sci. Nutr. 2022, 10, 1469–1480. [Google Scholar] [CrossRef] [PubMed]
- Shafie, A.; Kianian, F.; Ashabi, G.; Kadkhodaee, M.; Ranjbaran, M.; Hajiaqaei, M.; Lorian, K.; Abdi, A.; Seifi, B. Beneficial effects of combination therapy with testosterone and hydrogen sulfide by reducing oxidative stress and apoptosis: Rat experimental varicocele model. Int. J. Reprod. Biomed. 2022, 20, 941–954. [Google Scholar] [CrossRef] [PubMed]
- Mendes, T.B.; Simas, J.N.; Fischer, L.W.; Paccola, C.C.; de Oliva, S.U.; Vendramini, V.; Miraglia, S.M. Resveratrol benefits on sperm DNA, chromatin structure and reproductive outcomes of varicocelized rats. Andrologia 2022, 54, e14417. [Google Scholar] [CrossRef]
- Hedayati, N.; Naeini, M.B.; Nezami, A.; Hosseinzadeh, H.; Wallace Hayes, A.; Hosseini, S.; Imenshahidi, M.; Karimi, G. Protective effect of lycopene against chemical and natural toxins: A review. Biofactors 2019, 45, 5–23. [Google Scholar] [CrossRef]
- Durairajanayagam, D.; Agarwal, A.; Ong, C.; Prashast, P. Lycopene and male infertility. Asian J. Androl. 2014, 16, 420–425. [Google Scholar] [CrossRef] [PubMed]
- Marin-Guzman, J.; Mahan, D.C.; Whitmoyer, R. Effect of dietary selenium and vitamin E on the ultrastructure and ATP concentration of boar spermatozoa, and the efficacy of added sodium selenite in extended semen on sperm motility. J. Anim. Sci. 2000, 78, 1544–1550. [Google Scholar] [CrossRef]
- Minutoli, L.; Altavilla, D.; Marini, H.; Rinaldi, M.; Irrera, N.; Pizzino, G.; Bitto, A.; Arena, S.; Cimino, S.; Squadrito, F.; et al. Inhibitors of apoptosis proteins in experimental benign prostatic hyperplasia: Effects of serenoa repens, selenium and lycopene. J. Biomed. Sci. 2014, 21, 19. [Google Scholar] [CrossRef]
- Han, L.; Xiang, S.; Rong, B.; Liang, Y.; Zhao, S. Verbascoside attenuates experimental varicocele-induced damage to testes and sperm levels through up-regulation of the hypothalamus-pituitary-gonadal (HPG) axis. Pharm. Biol. 2021, 59, 715–722. [Google Scholar] [CrossRef]
- Cai, X.; Huang, Y.; Zhang, X.; Wang, S.; Zou, Z.; Wang, G.; Wang, Y.; Zhang, Z. Cloning, characterization, hypoxia and heat shock response of hypoxia inducible factor-1 (HIF-1) from the small abalone Haliotis diversicolor. Gene 2014, 534, 256–264. [Google Scholar] [CrossRef]
- Zhu, S.M.; Rao, T.; Yang, X.; Ning, J.Z.; Yu, W.M.; Ruan, Y.; Yuan, R.; Li, C.L.; Jiang, K.; Hu, W.; et al. Autophagy may play an important role in varicocele. Mol. Med. Rep. 2017, 16, 5471–5479. [Google Scholar] [CrossRef] [PubMed]
- Xu, F.; Chen, Y.; Chen, H.; Xu, Z.P.; Han, Y.F.; Yu, W.; Dai, Y.T. Impact of varicocele and varicocelectomy on the apoptosis of spermatogenic cells and the levels of nitrogen monoxidum and interleukin 1 in the rat testis. Zhonghua Nan Ke Xue 2016, 22, 200–204. [Google Scholar] [PubMed]
- Mruk, D.D.; Cheng, C.Y. The Mammalian Blood-Testis Barrier: Its Biology and Regulation. Endocr. Rev. 2015, 36, 564–591. [Google Scholar] [CrossRef] [PubMed]
- Reyes, J.G.; Farias, J.G.; Henríquez-Olavarrieta, S.; Madrid, E.; Parraga, M.; Zepeda, A.B.; Moreno, R.D. The hypoxic testicle: Physiology and pathophysiology. Oxidative Med. Cell. Longev. 2012, 2012, 929285. [Google Scholar] [CrossRef]
- Marti, H.H.; Katschinski, D.M.; Wagner, K.F.; Schäffer, L.; Stier, B.; Wenger, R.H. Isoform-specific expression of hypoxia-inducible factor-1alpha during the late stages of mouse spermiogenesis. Mol. Endocrinol. 2002, 16, 234–243. [Google Scholar] [CrossRef]
- Karna, K.K.; Choi, B.R.; Kim, M.J.; Kim, H.K.; Park, J.K. The Effect of Schisandra chinensis Baillon on Cross-Talk between Oxidative Stress, Endoplasmic Reticulum Stress, and Mitochondrial Signaling Pathway in Testes of Varicocele-Induced SD Rat. Int. J. Mol. Sci. 2019, 20, 5785. [Google Scholar] [CrossRef]
- Wagner, H.; Cheng, J.W.; Ko, E.Y. Role of reactive oxygen species in male infertility: An updated review of literature. Arab J. Urol. 2017, 16, 35–43. [Google Scholar] [CrossRef]
- Lorian, K.; Kadkhodaee, M.; Kianian, F.; Abdi, A.; Ranjbaran, M.; Ashabi, G.; Seifi, B. Long-term NaHS administration reduces oxidative stress and apoptosis in a rat model of left-side varicocele. Andrologia 2020, 52, e13496. [Google Scholar] [CrossRef]
- Saalu, L.; Oguntola, J.; Babalola, O.; Oyewopo, A. Reversal of experimental varicocele-induced testicular toxicity by L-ascorbate in rats. Afr. J. Biotechnol. 2009, 8, 965–970. [Google Scholar]
- Cyrus, A.; Kabir, A.; Goodarzi, D.; Moghimi, M. The effect of adjuvant vitamin C after varicocele surgery on sperm quality and quantity in infertile men: A double blind placebo controlled clinical trial. Int. Braz. J. Urol. 2015, 41, 230–238. [Google Scholar] [CrossRef]
- Ağtürk, G.; Demir, E.A.; Tutuk, O.; Doğan, H.; Bayraktar, S.; Duran, G.G.; Temiz, M.; Tümer, C. Investigation of the effect of vitamin D in experimental varicocele model in rats. J. Cell. Neurosci. Oxidative Stress 2018, 10, 759–760. [Google Scholar]
- Khosravanian, H.; Razi, M.; Farokhi, F.; Khosravanian, N. Simultaneous Administration of Dexamethasone and Vitamin E Reversed Experimental Varicocele-induced Impact in testicular tissue in Rats; Correlation with Hsp70-2 Chaperone Expression. Int. Braz. J. Urol. 2015, 41, 773–790. [Google Scholar] [CrossRef] [PubMed]
- Festa, R.; Giacchi, E.; Raimondo, S.; Tiano, L.; Zuccarelli, P.; Silvestrini, A.; Meucci, E.; Littarru, G.P.; Mancini, A. Coenzyme Q10 supplementation in infertile men with low-grade varicocele: An open, uncontrolled pilot study. Andrologia 2014, 46, 805–807. [Google Scholar] [CrossRef]
- Al-Rubiey, F.K. Effect of L-carnitine and meloxicam treatment on testicular Leydig cell numbers of varicocelized rats. Middle East Fertil. Soc. J. 2012, 17, 47–53. [Google Scholar] [CrossRef]
- Nematollahi-Mahani, S.N.; Azizollahi, G.H.; Baneshi, M.R.; Safari, Z.; Azizollahi, S. Effect of folic acid and zinc sulphate on endocrine parameters and seminal antioxidant level after varicocelectomy. Andrologia 2014, 46, 240–245. [Google Scholar] [CrossRef]
- Asghari, A.; Akbari, G.; Galustanian, G. Magnesium sulfate protects testis against unilateral varicocele in rat. Anim. Reprod. 2018, 14, 442–451. [Google Scholar] [CrossRef]
- Mazhari, S.; Razi, M.; Sadrkhanlou, R. Silymarin and celecoxib ameliorate experimental varicocele-induced pathogenesis: Evidences for oxidative stress and inflammation inhibition. Int. Urol. Nephrol. 2018, 50, 1039–1052. [Google Scholar] [CrossRef]
- Hassani-Bafrani, H.; Najaran, H.; Razi, M.; Rashtbari, H. Berberine ameliorates experimental varicocele-induced damages at testis and sperm levels; evidences for oxidative stress and inflammation. Andrologia 2019, 51, e13179. [Google Scholar] [CrossRef]
- Gur, F.M.; Timurkaan, S.; Taskin, E.; Guven, C.; Gur, H.E.; Senturk, M.; Dastan, S.; Nurdinov, N.; Unalan, A.; Cankut, S.; et al. Thymoquinone improves testicular damage and sperm quality in experimentally varicocele-induced adolescent rats. Andrologia 2021, 53, e14033. [Google Scholar] [CrossRef]
- Hajipour, E.; Mashayekhi, F.J.; Mosayebi, G.; Baazm, M.; Zendedel, A. Resveratrol decreases apoptosis and NLRP3 complex expressions in experimental varicocele rat model. Iran. J. Basic Med. Sci. 2018, 21, 225–229. [Google Scholar] [CrossRef]
- Rao, A.V.; Ray, M.R.; Rao, L.G. Lycopene. Adv. Food. Nutr. Res. 2006, 51, 99–164. [Google Scholar] [CrossRef] [PubMed]
- Salas-Huetos, A.; Bulló, M.; Salas-Salvadó, J. Dietary patterns, foods and nutrients in male fertility parameters and fecundability: A systematic review of observational studies. Hum. Reprod. Update 2017, 23, 371–389. [Google Scholar] [CrossRef] [PubMed]
- Wang, H.; Zhu, B.; Yu, L.; Li, Q.; Li, S.; Wang, P.; Jing, T.; Men, T. Lycopene Attenuates Hypoxia-Induced Testicular Injury by Inhibiting PROK2 Expression and Activating PI3K/AKT/mTOR Pathway in a Varicocele Adult Rat. Evid. Based Complement. Alternat. Med. 2021, 2021, 3471356. [Google Scholar] [CrossRef] [PubMed]
- Walczak-Jedrzejowska, R.; Wolski, J.K.; Slowikowska-Hilczer, J. The role of oxidative stress and antioxidants in male fertility. Cent. Eur. J. Urol. 2013, 66, 60–67. [Google Scholar] [CrossRef]
- Gual-Frau, J.; Abad, C.; Amengual, M.J.; Hannaoui, N.; Checa, M.A.; Ribas-Maynou, J.; Lozano, I.; Nikolaou, A.; Benet, J.; García-Peiró, A.; et al. Oral antioxidant treatment partly improves integrity of human sperm DNA in infertile grade I varicocele patients. Hum. Fertil. 2015, 18, 225–229. [Google Scholar] [CrossRef]
- Ardestani Zadeh, A.; Arab, D.; Kia, N.S.; Heshmati, S.; Amirkhalili, S.N. The role of Vitamin E—Selenium—Folic Acid Supplementation in Improving Sperm Parameters After Varicocelectomy: A Randomized Clinical Trial. Urol. J. 2019, 16, 495–500. [Google Scholar] [CrossRef]
- Szymański, M.; Domaracki, P.; Szymańska, A.; Wandtke, T.; Szyca, R.; Brycht, Ł.; Wasilow, K.; Skorupski, W.J. The Role and Place of Antioxidants in the Treatment of Male Infertility Caused by Varicocele. J. Clin. Med. 2022, 11, 6391. [Google Scholar] [CrossRef]
- Marini, H.R.; Micali, A.; Puzzolo, D.; Minutoli, L.; Antonuccio, P. Varicocele, Functional Foods and Nutraceuticals: From Mechanisms of Action in Animal Models to Therapeutic Application. Int. J. Mol. Sci. 2022, 23, 16118. [Google Scholar] [CrossRef]
- Kilkenny, C.; Browne, W.J.; Cuthill, I.C.; Emerson, M.; Altman, D.G. Improving Bioscience Research Reporting: The ARRIVE Guidelines for Reporting Animal Research. PLoS Biol. 2010, 8, e1000412. [Google Scholar] [CrossRef]
- Minutoli, L.; Arena, S.; Bonvissuto, G.; Bitto, A.; Polito, F.; Irrera, N.; Arena, F.; Fragalà, E.; Romeo, C.; Nicotina, P.A.; et al. Activation of adenosine A2A receptors by polydeoxyribonucleotide increases vascular endothelial growth factor and protects against testicular damage induced by experimental varicocele in rats. Fertil. Steril. 2011, 95, 1510–1513. [Google Scholar] [CrossRef]
- Kilinç, F.; Kayaselcuk, F.; Aygun, C.; Guvel, S.; Egilmez, T.; Ozkardes, H. Experimental varicocele induces hypoxia inducible factor-1alpha, vascular endothelial growth factor expression and angiogenesis in the rat testis. J. Urol. 2004, 172, 1188–1191. [Google Scholar] [CrossRef] [PubMed]
- Brown, M.J.; Symonowicz, C.; Medina, L.V.; Bratcher, N.A.; Buckmaster, C.A.; Klein, H.; Anderson, L.C. Culture of Care: Organizational Responsibilities. In Management of Animal Care and Use Programs in Research, Education, and Testing, 2nd ed.; Weichbrod, R.H., Thompson, G.A., Norton, J.N., Eds.; CRC Press/Taylor & Francis: Boca Raton, FL, USA, 2018; Chapter 2. [Google Scholar]
- Dogan, G.; Ipek, H. The protective effect of Ganoderma lucidum on testicular torsion/detorsion-induced ischemia-reperfusion (I/R) injury. Acta Cirúrgica Bras. 2020, 35, e202000103. [Google Scholar] [CrossRef] [PubMed]
- Johnsen, S.G. Testicular biopsy score count—A method for registration of spermatogenesis in human testis: Normal values and results in 335 hypogonadal males. Hormones 1970, 1, 2–25. [Google Scholar] [CrossRef] [PubMed]
- Erdemir, F.; Atilgan, D.; Markoc, F.; Boztepe, O.; Suha-Parlaktas, B.; Sahin, S. The effect of diet induced obesity on testicular tissue and serum oxidative stress parameters. Actas Urol. Esp. 2012, 36, 153–159. [Google Scholar] [CrossRef]
- Tsounapi, P.; Saito, M.; Dimitriadis, F.; Kitatani, K.; Kinoshita, Y.; Shomori, K.; Takenaka, A.; Satoh, K. The role of K ATP channels on ischemia-reperfusion injury in the rat testis. Life Sci. 2012, 90, 649–656. [Google Scholar] [CrossRef]




| Groups | Testis Weight (g) | Testosterone (ng/mL) | MDA (nmol/g) |
|---|---|---|---|
| Sham | 1.59 ± 0.12 | 5.9 ± 0.5 | 5.6 ± 0.5 |
| Varicocele | 0.81 ± 0.13 a | 2.7 ± 0.6 a | 12.1 ± 0.6 a |
| Varicocele CL | 1.34 ± 0.29 a,b | 10.2 ± 0.5 a | |
| Varicocele + lycopene | 1.29 ± 0.23 a,b | 4.7 ± 0.6 a,b | 8.3 ± 0.7 a,b |
| Varicocele + lycopene CL | 1.41 ± 0.37 a,b | 6.8 ± 0.3 a,b | |
| Varicocele + Se | 1.37 ± 0.14 a,b | 5.0 ± 0.7 a,b | 8.9 ± 0.7 a,b |
| Varicocele + Se CL | 1.47 ± 0.48 a,b | 7.4 ± 0.5 a,b | |
| Varicocele + lycopene + Se | 1.55 ± 0.32 b | 5.6 ± 0.8 b | 6.0 ± 0.3 b |
| Groups | MTD (µm) | JS | % TWAC |
|---|---|---|---|
| Sham | 243 ± 19 | 9.6 ± 0.4 | 0.3 ± 0.1 |
| Varicocele | 131 ± 25 a | 2.9 ± 0.6 a | 28.5 ± 6 a |
| Varicocele CL | 173 ± 21 a,b | 7.7 ± 0.7 a,b | 7.9 ± 3.1 a,b |
| Varicocele + lycopene | 178 ± 15 a,b | 7.1 ± 0.9 a,b | 11.9 ± 2.4 a,b |
| Varicocele + lycopene CL | 218 ± 19 b | 8.9 ± 0.9 b | 4.0 ± 1.5 a,b |
| Varicocele + Se | 183 ± 14 a,b | 7.4 ± 1.1 a,b | 9.3 ± 1.9 a,b |
| Varicocele + Se CL | 224 ± 16 b | 9.0 ± 0.4 b | 3.8 ± 0.6 a,b |
| Varicocele + lycopene + Se | 238 ± 15 b | 9.2 ± 0.7 b | 4.1 ± 1.2 a,b |
| Varicocele + lycopene + Se CL | 245 ± 13 b | 9.4 ± 0.8 b | 1.8 ± 0.4 b |
Disclaimer/Publisher’s Note: The statements, opinions and data contained in all publications are solely those of the individual author(s) and contributor(s) and not of MDPI and/or the editor(s). MDPI and/or the editor(s) disclaim responsibility for any injury to people or property resulting from any ideas, methods, instructions or products referred to in the content. |
© 2023 by the authors. Licensee MDPI, Basel, Switzerland. This article is an open access article distributed under the terms and conditions of the Creative Commons Attribution (CC BY) license (https://creativecommons.org/licenses/by/4.0/).
Share and Cite
Freni, J.; Pallio, G.; Marini, H.R.; Micali, A.; Irrera, N.; Romeo, C.; Puzzolo, D.; Mannino, F.; Minutoli, L.; Pirrotta, I.; et al. Positive Effects of the Nutraceutical Association of Lycopene and Selenium in Experimental Varicocele. Int. J. Mol. Sci. 2023, 24, 13526. https://doi.org/10.3390/ijms241713526
Freni J, Pallio G, Marini HR, Micali A, Irrera N, Romeo C, Puzzolo D, Mannino F, Minutoli L, Pirrotta I, et al. Positive Effects of the Nutraceutical Association of Lycopene and Selenium in Experimental Varicocele. International Journal of Molecular Sciences. 2023; 24(17):13526. https://doi.org/10.3390/ijms241713526
Chicago/Turabian StyleFreni, Jose, Giovanni Pallio, Herbert Ryan Marini, Antonio Micali, Natasha Irrera, Carmelo Romeo, Domenico Puzzolo, Federica Mannino, Letteria Minutoli, Igor Pirrotta, and et al. 2023. "Positive Effects of the Nutraceutical Association of Lycopene and Selenium in Experimental Varicocele" International Journal of Molecular Sciences 24, no. 17: 13526. https://doi.org/10.3390/ijms241713526
APA StyleFreni, J., Pallio, G., Marini, H. R., Micali, A., Irrera, N., Romeo, C., Puzzolo, D., Mannino, F., Minutoli, L., Pirrotta, I., Scarfone, A., & Antonuccio, P. (2023). Positive Effects of the Nutraceutical Association of Lycopene and Selenium in Experimental Varicocele. International Journal of Molecular Sciences, 24(17), 13526. https://doi.org/10.3390/ijms241713526

