Cryopreserved Platelets in a Non-Toxic DMSO-Free Solution Maintain Hemostatic Function In Vitro
Abstract
:1. Introduction
2. Results
2.1. Improved Platelet Recovery in DMSO-Free Concentrates
2.2. Changes in Extra- and Intracellular Metabolic Parameters
2.3. Similar Phenotypic Expression after Cryopreservation
2.4. Increased Release of Platelet-Derived Microparticles in Cryopreserved Concentrates
2.5. Controlled-Rate Freezing Restores Platelet Viability in DMSO-Free Concentrates
2.6. Platelet Concentration and Freezing Rate Affect Platelet Coagulation Capacity
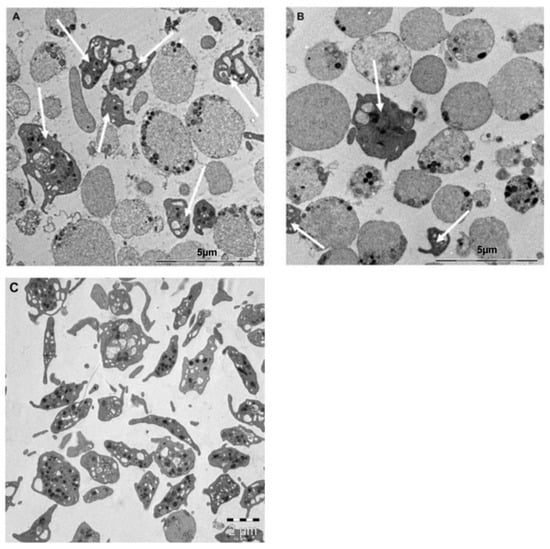
2.7. DMSO and DMSO-Free Platelets Display Similar Ultrastructural Changes through TEM Imaging
3. Discussion
4. Materials and Methods
4.1. Experimental Overview: Cryopreservation
4.2. Intra- and Extracellular Metabolic Parameters
4.3. Flow Cytometry
4.4. Thromboelastometry
4.5. Transmission Electron Microscopy
4.6. Statistics
Author Contributions
Funding
Institutional Review Board Statement
Informed Consent Statement
Data Availability Statement
Acknowledgments
Conflicts of Interest
References
- Dorken Gallastegi, A.; Naar, L.; Gaitanidis, A.; Gebran, A.; Nederpelt, C.J.; Parks, J.J.; Hwabejire, J.O.; Fawley, J.; Mendoza, A.E.; Saillant, N.N.; et al. Do Not Forget the Platelets: The Independent Impact of Red Blood Cell to Platelet Ratio on Mortality in Massively Transfused Trauma Patients. J. Trauma Acute Care Surg. 2022, 93, 21–29. [Google Scholar] [CrossRef] [PubMed]
- Klein, E.; Toch, R.; Farber, S.; Freeman, G.; Fiorentino, R. Hemostasis in Thrombocytopenic Bleeding Following Infusion of Stored, Frozen Platelets. Blood 1956, 11, 693–699. [Google Scholar] [CrossRef] [PubMed]
- Jimenez-Marco, T.; Castrillo, A.; Hierro-Riu, F.; Vicente, V.; Rivera, J. Frozen and Cold-Stored Platelets: Reconsidered Platelet Products. Platelets 2022, 33, 27–34. [Google Scholar] [CrossRef] [PubMed]
- Valeri, C.R. Hemostatic Effectiveness of Liquid-Preserved and Previously Frozen Human Platelets. N. Engl. J. Med. 1974, 290, 353–358. [Google Scholar] [CrossRef] [PubMed]
- Valeri, C.R.; Ragno, G.; Khuri, S. Freezing Human Platelets with 6 Percent Dimethyl Sulfoxide with Removal of the Supernatant Solution before Freezing and Storage at −80 °C without Postthaw Processing. Transfusion 2005, 45, 1890–1898. [Google Scholar] [CrossRef] [PubMed]
- Noorman, F.; Rijnhout, T.W.H.; de Kort, B.; Hoencamp, R. Frozen for Combat: Quality of Deep-Frozen Thrombocytes, Produced and Used by The Netherlands Armed Forces 2001–2021. Transfusion 2022, 63, 203–216. [Google Scholar] [CrossRef] [PubMed]
- Reade, M.C.; Marks, D.C.; Bellomo, R.; Deans, R.; Faulke, D.J.; Fraser, J.F.; Gattas, D.J.; Holley, A.D.; Irving, D.O.; Johnson, L.; et al. A Randomized, Controlled Pilot Clinical Trial of Cryopreserved Platelets for Perioperative Surgical Bleeding: The CLIP-I Trial (Editorial, p. 2759). Transfusion 2019, 59, 2794–2804. [Google Scholar] [CrossRef] [PubMed]
- Slichter, S.J.; Jones, M.; Ransom, J.; Gettinger, I.; Jones, M.K.; Christoffel, T.; Pellham, E.; Bailey, S.L.; Corson, J.; Bolgiano, D. Review of in Vivo Studies of Dimethyl Sulfoxide Cryopreserved Platelets. Transfus. Med. Rev. 2014, 28, 212–225. [Google Scholar] [CrossRef]
- Szmant, H.H. Physical properties of dimethyl sulfoxide and its function in biological systems. Ann. N. Y. Acad. Sci. 1975, 243, 20–23. [Google Scholar] [CrossRef]
- Tynngård, N.; Wikman, A.; Uhlin, M.; Sandgren, P. Haemostatic Responsiveness and Release of Biological Response Modifiers Following Cryopreservation of Platelets Treated with Amotosalen and Ultraviolet A Light. Blood Transfus. 2020, 18, 191. [Google Scholar] [CrossRef]
- Meinke, S.; Wikman, A.; Gryfelt, G.; Hultenby, K.; Uhlin, M.; Höglund, P.; Sandgren, P. Cryopreservation of Buffy Coat–Derived Platelet Concentrates Photochemically Treated with Amotosalen and UVA Light. Transfusion 2018, 58, 2657–2668. [Google Scholar] [CrossRef] [PubMed]
- Tynngård, N.; Bell, A.; Gryfelt, G.; Cvetkovic, S.; Wikman, A.; Uhlin, M.; Sandgren, P. Cryopreservation of Buffy Coat Derived Platelets: Paired in Vitro Characterization Using Uncontrolled versus Controlled Freezing Rate Protocols. Transfusion 2021, 61, 546–556. [Google Scholar] [CrossRef] [PubMed]
- Johnson, L.; Coorey, C.P.; Marks, D.C. The Hemostatic Activity of Cryopreserved Platelets Is Mediated by Phosphatidylserine-Expressing Platelets and Platelet Microparticles. Transfusion 2014, 54, 1917–1926. [Google Scholar] [CrossRef] [PubMed]
- Raynel, S.; Padula, M.P.; Marks, D.C.; Johnson, L. Cryopreservation Alters the Membrane and Cytoskeletal Protein Profile of Platelet Microparticles. Transfusion 2015, 55, 2422–2432. [Google Scholar] [CrossRef]
- Johnson, L.; Raynel, S.; Seghatchian, J.; Marks, D.C. Platelet Microparticles in Cryopreserved Platelets: Potential Mediators of Haemostasis. Transfus. Apher. Sci. 2015, 53, 146–152. [Google Scholar] [CrossRef] [PubMed]
- Pegg, D.E. Principles of Cryopreservation. Methods Mol. Biol. 2007, 368, 39–57. [Google Scholar] [CrossRef] [PubMed]
- Devismita, D.; Kumar, A. Effect of Cryoprotectant on Optimal Cooling Rate during Cryopreservation. Cryobiology 2015, 70, 53–59. [Google Scholar] [CrossRef] [PubMed]
- Arnaud, F.G.; Pegg, D.E. Cryopreservation of Human Platelets with Propane-1,2-Diol. Cryobiology 1990, 27, 130–136. [Google Scholar] [CrossRef]
- Taylor, M.A. Cryopreservation of Platelets: An in-vitro Comparison of Four Methods. J. Clin. Pathol. 1981, 34, 71–75. [Google Scholar] [CrossRef]
- Balduini, C.L.; Mazzucco, M.; Sinigaglia, F.; Grignani, G.; Bertolino, G.; Noris, P.; Pacchiarini, L.; Torti, M.; Salvaneschi, L. Cryopreservation of Human Platelets Using Dimethyl Sulfoxide and Glycerol-Glucose: Effects on “in Vitro” Platelet Function. Haematologica 1993, 78, 101–104. [Google Scholar]
- Kotelba-Witkowska, B. Cryopreservation of Platelet Concentrates Using Glycerol-glucose. Transfusion 1982, 22, 121–124. [Google Scholar] [CrossRef] [PubMed]
- Schiffer, C.A.; Aisner, J.; Dutcher, J.P.; Daly, P.A.; Wiernik, P.H. A Clinical Program of Platelet Cryopreservation. Prog. Clin. Biol. Res. 1982, 88, 165–180. [Google Scholar] [PubMed]
- Lozano, M.L.; Rivera, J.; Corral, J.; Gonzalez-Conejero, R.; Vicente, V. Platelet Cryopreservation Using a Reduced Dimethyl Sulfoxide Concentration and Second-Messenger Effectors as Cryopreserving Solution. Cryobiology 1999, 39, 1–12. [Google Scholar] [CrossRef] [PubMed]
- Xiao, H.; Harvey, K.; Labarrere, C.A.; Kovacs, R. Platelet Cryopreservation Using a Combination of Epinephrine and Dimethyl Sulfoxide as Cryoprotectants. Cryobiology 2000, 41, 97–105. [Google Scholar] [CrossRef] [PubMed]
- Waters, L.; Ben, R.; Acker, J.P.; Padula, M.P.; Marks, D.C.; Johnson, L. Characterizing the Ability of an Ice Recrystallization Inhibitor to Improve Platelet Cryopreservation. Cryobiology 2020, 96, 152–158. [Google Scholar] [CrossRef] [PubMed]
- Nie, Y.; De Pablo, J.J.; Palecek, S.P. Platelet Cryopreservation Using a Trehalose and Phosphate Formulation. Biotechnol. Bioeng. 2005, 92, 79–90. [Google Scholar] [CrossRef] [PubMed]
- Gläfke, C.; Akhoondi, M.; Oldenhof, H.; Sieme, H.; Wolkers, W.F. Cryopreservation of Platelets Using Trehalose: The Role of Membrane Phase Behavior during Freezing. Biotechnol. Prog. 2012, 28, 1347–1354. [Google Scholar] [CrossRef]
- Yi, X.; Huang, Y.; Lin, X.; Liu, M.; Wu, Y.; Ma, Y.; Fu, Q.; Yan, S.; Wang, L.; Chen, Y.; et al. Cryopreserved Platelets Washed with a Dialysis Machine for Dimethyl Sulphoxide Removal. Vox Sang. 2023, 118, 647–655. [Google Scholar] [CrossRef]
- Dumont, L.J.; Wolfe, B.; Leite, C.; Moss, R.; Wegener, C.; Thompson, K.; Min, K. Feasibility Evaluation of Two Novel Systems for the Automated Preparation and Extended Storage of DMSO Cryopreserved Platelets. Transfusion 2023, 63, 1554–1562. [Google Scholar] [CrossRef]
- Nelson, P.H. Osmosis and Thermodynamics Explained by Solute Blocking. Eur. Biophys. J. 2017, 46, 59–64. [Google Scholar] [CrossRef]
- Borzini, P.; Lazzaro, A.; Mazzucco, L.; Connor, R.; Schiavo, J.; Siena, S. Platelet Cryopreservation Using Second-Messenger Effectors and Low-Dose (2%) Dimethyl Sulfoxide. In Vitro Evaluation of Post-Thawing Platelet Activity with the Platelet Function Analyzer. Haematologica 2000, 85, 885–887. [Google Scholar] [PubMed]
- Sandgren, P.; Ehn, K.; Larsson, L.; Uhlin, M.; Wikman, A. Cryopreserved Platelets and Amotosalen-Treated Plasma in an Experimental Clot Formation Set-Up. Blood Transfus 2022, 21, 137–145. [Google Scholar] [CrossRef] [PubMed]
- Verhoeven, A.J.; Verhaar, R.; Gouwerok, E.G.W.; De Korte, D. The Mitochondrial Membrane Potential in Human Platelets: A Sensitive Parameter for Platelet Quality. Transfusion 2005, 45, 82–89. [Google Scholar] [CrossRef] [PubMed]
- Jackson, S.P.; Schoenwaelder, S.M. Procoagulant Platelets: Are They Necrotic? Blood 2010, 116, 2011–2018. [Google Scholar] [CrossRef] [PubMed]
- Hosseini, E.; Ghasemzadeh, M.; Nassaji, F.; Jamaat, Z.P. GPVI Modulation during Platelet Activation and Storage: Its Expression Levels and Ectodomain Shedding Compared to Markers of Platelet Storage Lesion. Platelets 2017, 28, 498–508. [Google Scholar] [CrossRef]
- Hosseini, E.; Mohtashami, M.; Ghasemzadeh, M. Down-Regulation of Platelet Adhesion Receptors Is a Controlling Mechanism of Thrombosis, While Also Affecting Post-Transfusion Efficacy of Stored Platelets. Thromb. J. 2019, 17, 20. [Google Scholar] [CrossRef]
- Tynngård, N.; Alshamari, A.; Sandgren, P.; Kenny, D.; Vasilache, A.M.; Abedi, M.R.; Ramström, S. High Fragmentation in Platelet Concentrates Impacts the Activation, Procoagulant, and Aggregatory Capacity of Platelets. Platelets 2023, 34, 2159018. [Google Scholar] [CrossRef]
- Waters, L.; Padula, M.P.; Marks, D.C.; Johnson, L. Cryopreserved Platelets Demonstrate Reduced Activation Responses and Impaired Signaling after Agonist Stimulation. Transfusion 2017, 57, 2845–2857. [Google Scholar] [CrossRef]
- Eker, İ.; Yılmaz, S.; Çetinkaya, R.A.; Pekel, A.; Ünlü, A.; Gürsel, O.; Yılmaz, S.; Avcu, F.; Muşabak, U.; Pekoğlu, A.; et al. Generation of Platelet Microparticles after Cryopreservation of Apheresis Platelet Concentrates Contributes to Hemostatic Activity. Turk. J. Hematol. 2017, 34, 64–71. [Google Scholar] [CrossRef]
- Sinauridze, E.I.; Kireev, D.A.; Popenko, N.Y.; Pichugin, A.V.; Panteleev, M.A.; Krymskaya, O.V.; Ataullakhanov, F.I. Platelet Microparticle Membranes Have 50- to 100-Fold Higher Specific Procoagulant Activity than Activated Platelets. Thromb. Haemost. 2007, 97, 425–434. [Google Scholar] [CrossRef]
- Heemskerk, J.W.M.; Mattheij, N.J.A.; Cosemans, J.M.E.M. Platelet-Based Coagulation: Different Populations, Different Functions. J. Thromb. Haemost. 2013, 11, 2–16. [Google Scholar] [CrossRef] [PubMed]
- Zwaal, R.F.A.; Schroit, A.J. Pathophysiologic Implications of Membrane Phospholipid Asymmetry in Blood Cells. Blood 1997, 89, 1121–1132. [Google Scholar] [CrossRef] [PubMed]
- Keuren, J.F.W.; Magdeleyns, E.J.P.; Govers-Riemslag, J.W.P.; Lindhout, T.; Curvers, J. Effects of Storage-Induced Platelet Microparticles on the Initiation and Propagation Phase of Blood Coagulation. Br. J. Haematol. 2006, 134, 307–313. [Google Scholar] [CrossRef] [PubMed]
- Agbani, E.O.; Van Den Bosch, M.T.J.; Brown, E.; Williams, C.M.; Mattheij, N.J.A.; Cosemans, J.M.E.M.; Collins, P.W.; Heemskerk, J.W.M.; Hers, I.; Poole, A.W. Coordinated Membrane Ballooning and Procoagulant Spreading in Human Platelets. Circulation 2015, 132, 1414–1424. [Google Scholar] [CrossRef] [PubMed]
- Chu, Y.; Guo, H.; Zhang, Y.; Qiao, R. Procoagulant Platelets: Generation, Characteristics, and Therapeutic Target. J. Clin. Lab. Anal. 2021, 35, e23750. [Google Scholar] [CrossRef]
- Crochemore, T.; Piza, F.M.d.T.; Rodrigues, R.D.R.; Guerra, J.C.d.C.; Ferraz, L.J.R.; Corrêa, T.D. A New Era of Thromboelastometry. Einstein 2017, 15, 380–385. [Google Scholar] [CrossRef] [PubMed]
- Akay, O.M. The Double Hazard of Bleeding and Thrombosis in Hemostasis From a Clinical Point of View: A Global Assessment by Rotational Thromboelastometry (ROTEM). Clin. Appl. Thromb. /Hemost. 2018, 24, 850–858. [Google Scholar] [CrossRef] [PubMed]
- Kander, T.; Larsson, A.; Taune, V.; Schött, U.; Tynngard, N. Assessment of Haemostasis in Disseminated Intravascular Coagulation by Use of Point-of-Care Assays and Routine Coagulation Tests, in Critically Ill Patients; A Prospective Observational Study. PLoS ONE 2016, 11, e0151202. [Google Scholar] [CrossRef]
- Mazur, P. Cryobiology: The Freezing of Biological Systems. Science 1970, 168, 939–949. [Google Scholar] [CrossRef]
- Mazur, P.; Cole, K.W. Influence of Cell Concentration on the Contribution of Unfrozen Fraction and Salt Concentration to the Survival of Slowly Frozen Human Erythrocytes. Cryobiology 1985, 22, 509–536. [Google Scholar] [CrossRef]
- Muldrew, K.; McGann, L.E. Mechanisms of Intracellular Ice Formation. Biophys. J. 1990, 57, 525–532. [Google Scholar] [CrossRef]
- Johnson, L.; Lei, P.; Waters, L.; Padula, M.P.; Marks, D.C. Identification of Platelet Subpopulations in Cryopreserved Platelet Components Using Multi-Colour Imaging Flow Cytometry. Sci. Rep. 2023, 13, 1221. [Google Scholar] [CrossRef]
- Ohlsson, S.; Diedrich, B.; Uhlin, M.; Sandgren, P. Optimized Processing for Pathogen Inactivation of Double-Dose Buffy-Coat Platelet Concentrates: Maintained in Vitro Quality over 7-Day Storage. Vox Sang. 2018, 113, 611–621. [Google Scholar] [CrossRef]






| Pre-Freeze Fresh Platelets | Post-Thaw DMSO | Post-Thaw DMSO-Free | p-Value | |
|---|---|---|---|---|
| Mean platelet volume (fL) | 9.61 ± 0.30 | 9.92 ± 0.50 | 10.25 ± 0.96 | 0.155 |
| pH (37 °C) | 6.94 ± 0.05 | 7.09 ± 0.07 | 7.11 ± 0.07 | <0.001 *** |
| pCO2 (kPa) | 5.96 ± 0.76 | 8.29 ± 0.71 | 7.85 ± 0.69 | <0.001 *** |
| pO2 (kPa) | 16.79 ± 1.78 | 16.52 ± 1.13 | 20.42 ± 0.66 | <0.001 *** |
| Glucose (mmol/L) | 8.00 ± 0.59 | 16.29 ± 3.98 | 16.40 ± 3.86 | 0.335 |
| Lactate (mmol/L) | 7.65 ± 1.05 | 2.89 ± 0.75 | 2.64 ± 0.67 | <0.001 *** |
| Bicarbonate (calculated) | 8.98 ± 0.57 | 18.09 ± 2.19 | 17.86 ± 2.23 | 0.003 ** |
| cK+ (mmol/L) | 4.04 ± 0.08 | 4.29 ± 0.21 | 4.32 ± 0.23 | 0.394 |
| cNa+ (mmol/L) | 159.90 ± 1.10 | 156.10 ± 2.33 | 154.50 ± 1.35 | 0.005 ** |
| cCl− (mmol/L) | 79.90 ± 2.13 | 84.30 ± 1.57 | 84.90 ± 1.91 | 0.81 |
| ATP (μmol/1011 PLTs) | 6.45 ± 1.16 | 4.03 ± 1.39 | 2.79 ± 1.54 | 0.01 ** |
Disclaimer/Publisher’s Note: The statements, opinions and data contained in all publications are solely those of the individual author(s) and contributor(s) and not of MDPI and/or the editor(s). MDPI and/or the editor(s) disclaim responsibility for any injury to people or property resulting from any ideas, methods, instructions or products referred to in the content. |
© 2023 by the authors. Licensee MDPI, Basel, Switzerland. This article is an open access article distributed under the terms and conditions of the Creative Commons Attribution (CC BY) license (https://creativecommons.org/licenses/by/4.0/).
Share and Cite
Ehn, K.; Wikman, A.; Uhlin, M.; Sandgren, P. Cryopreserved Platelets in a Non-Toxic DMSO-Free Solution Maintain Hemostatic Function In Vitro. Int. J. Mol. Sci. 2023, 24, 13097. https://doi.org/10.3390/ijms241713097
Ehn K, Wikman A, Uhlin M, Sandgren P. Cryopreserved Platelets in a Non-Toxic DMSO-Free Solution Maintain Hemostatic Function In Vitro. International Journal of Molecular Sciences. 2023; 24(17):13097. https://doi.org/10.3390/ijms241713097
Chicago/Turabian StyleEhn, Kristina, Agneta Wikman, Michael Uhlin, and Per Sandgren. 2023. "Cryopreserved Platelets in a Non-Toxic DMSO-Free Solution Maintain Hemostatic Function In Vitro" International Journal of Molecular Sciences 24, no. 17: 13097. https://doi.org/10.3390/ijms241713097
APA StyleEhn, K., Wikman, A., Uhlin, M., & Sandgren, P. (2023). Cryopreserved Platelets in a Non-Toxic DMSO-Free Solution Maintain Hemostatic Function In Vitro. International Journal of Molecular Sciences, 24(17), 13097. https://doi.org/10.3390/ijms241713097

