Unveiling the Link: Exploring Mitochondrial Dysfunction as a Probable Mechanism of Hepatic Damage in Post-Traumatic Stress Syndrome
Abstract
1. Introduction
2. Results
2.1. Effects of Predator Stress on Anxiety in an Elevated-Plus-Maze Behavioral Test
2.2. Effects of Predator Stress on Plasma Corticosterone Concentration
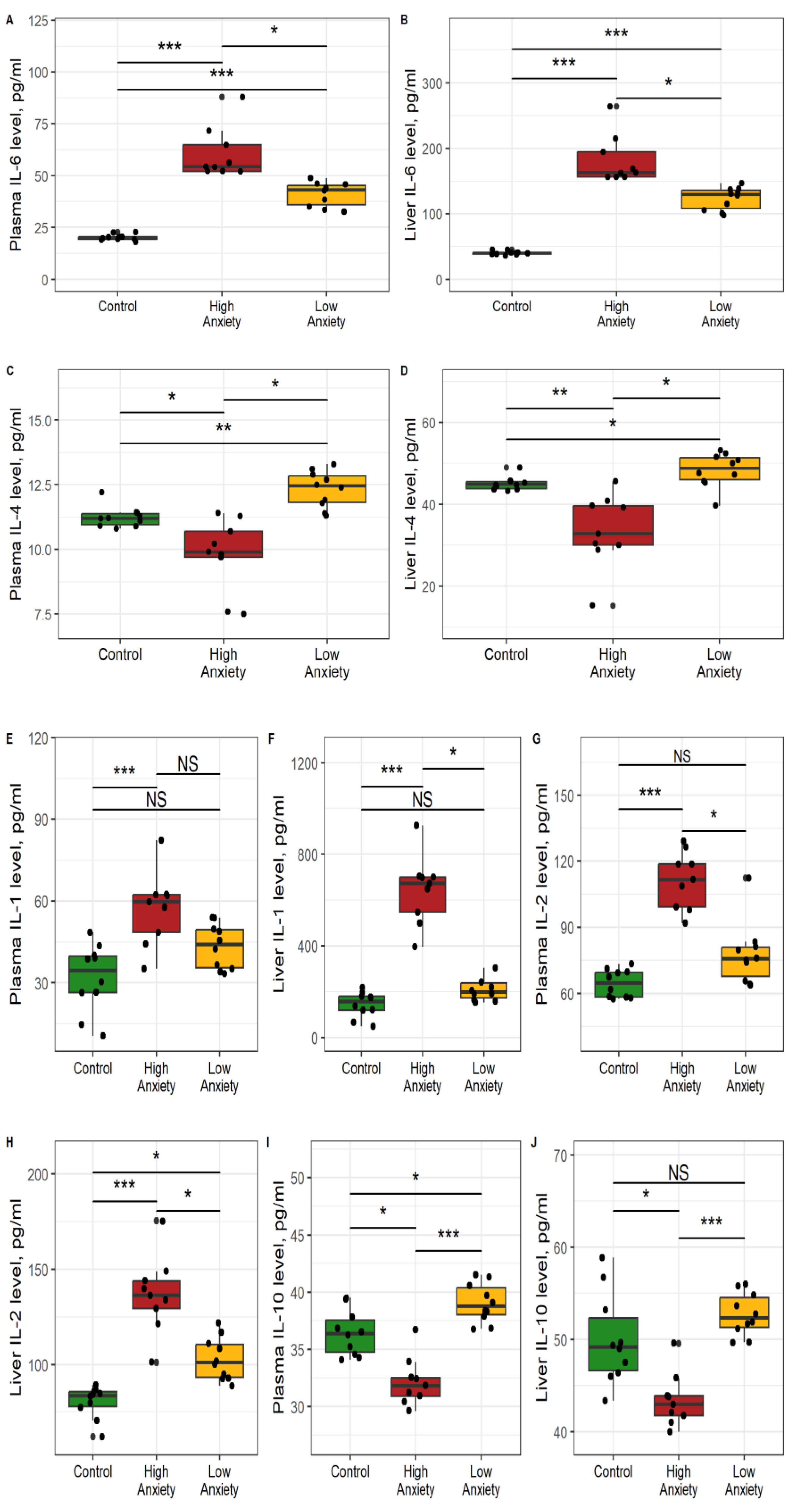
2.3. Effects of Predator Stress on Plasma and Hepatic Cytokines
2.4. Evaluation of Oxidative Stress in the Liver
2.5. PS-Mediated Increases in Aspartate Aminotransferase (AST) and Alanine Aminotransferase (ALT) Activities in Rat Liver and Blood
2.6. Effects of Predator Stress on Liver Weight and Consistency
2.7. Effects of Predator Stress on the Ultrastructure of Mitochondria
2.8. Effects of Predator Stress on Liver Histochemistry
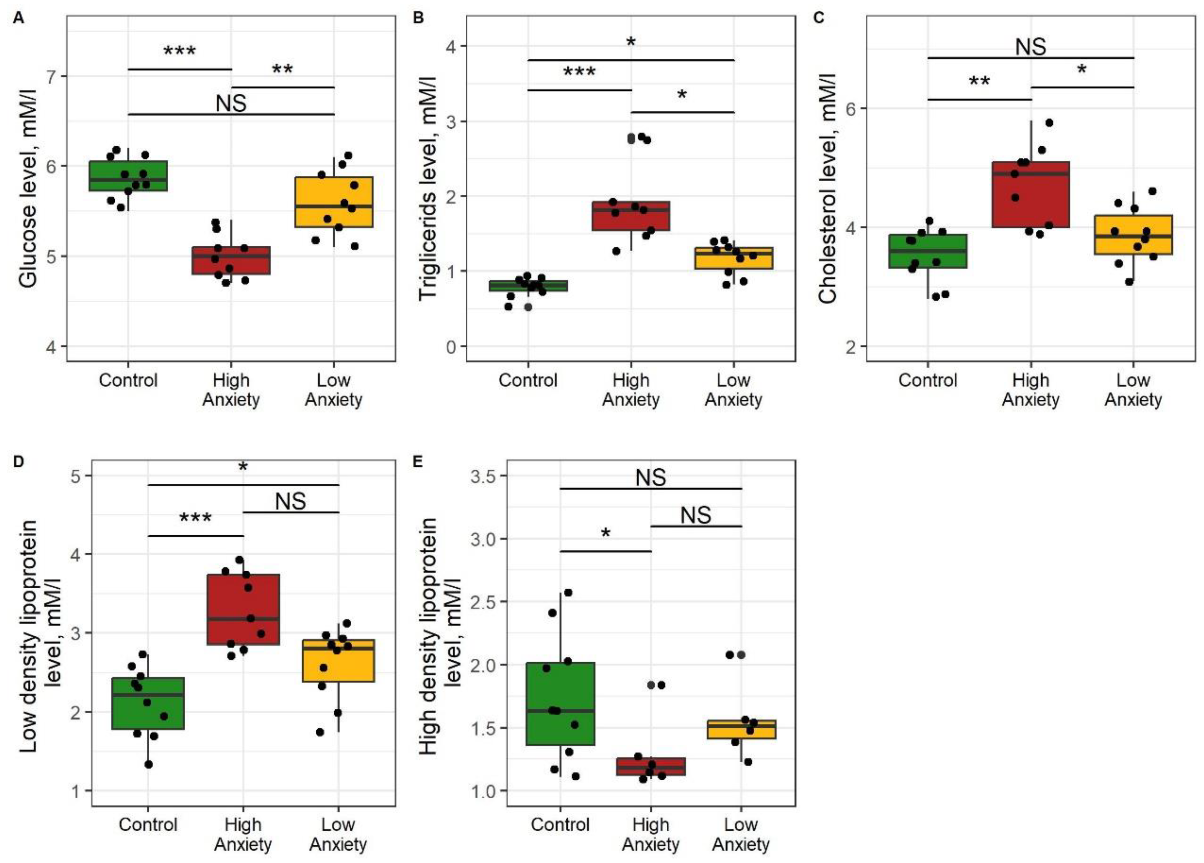
2.9. Effects of Predator Stress on Glycemia and Lipidemia
2.10. Effects of Predator Stress on Ceruloplasmin Concentration in Plasma
3. Discussion
4. Materials and Methods
4.1. Experimental Animals
4.2. Behavioral Testing
4.3. Blood and Tissue Collection and Storage
4.4. Measurement of Glucose Concentration and Lipidogram
4.5. ELISA
4.6. Mitochondria Isolation
4.7. Histomorphological and Histochemical Analysis
4.7.1. Evaluation of Liver Lipids
4.7.2. Evaluation of Glycogen Deposition in Liver
4.7.3. Evaluation of Total Protein in Liver
4.8. Transmission Electron Microscopy (TEM)
4.9. Measurement of Superoxide Dismutase (SOD) Activity in Liver
4.10. Content of LP Products in Liver and in Hepatic Mitochondria
4.11. Data Analyses
5. Conclusions
Supplementary Materials
Author Contributions
Funding
Institutional Review Board Statement
Informed Consent Statement
Data Availability Statement
Conflicts of Interest
References
- Tanaka, M.; Szabó, Á.; Vécsei, L. Preclinical modeling in depression and anxiety: Current challenges and future research directions. Adv. Clin. Exp. Med. 2023, 32, 505–509. [Google Scholar] [CrossRef] [PubMed]
- Kerbage, H.; Bazzi, O.; El Hage, W.; Corruble, E.; Purper-Ouakil, D. Early interventions to prevent post-traumatic stress disorder in youth after exposure to a potentially traumatic event: A scoping review. Healthcare 2022, 28, 818. [Google Scholar] [CrossRef] [PubMed]
- Smagin, D.; Kovalenko, I.; Galyamina, A.; Belozertseva, I.; Tamkovich, N.; Baranov, K.O.; Kudryavtseva, N. Chronic lithium treatment affects anxious behaviors and the expression of serotonergic genes in midbrain raphe nuclei of defeated male mice. Biomedicines 2021, 22, 1293. [Google Scholar] [CrossRef]
- Fava, G.; McEwen, B.; Guidi, J.; Gostoli, S.; Offidani, E.; Sonino, N. Clinical characterization of allostatic overload. Psychoneuroendocrinology 2019, 108, 94–101. [Google Scholar] [CrossRef]
- Stankiewicz, A.; Swiergiel, A.; Lisowski, P. Epigenetics of stress adaptations in the brain. Brain Res. Bull. 2013, 98, 76–92. [Google Scholar] [CrossRef] [PubMed]
- López, J.; Akil, H.; Watson, S. Neural circuits mediating stress. Biol. Psychiatry 1999, 46, 1461–1471. [Google Scholar] [CrossRef] [PubMed]
- McEwen, B.S. Brain on stress: How the social environment gets under the skin. Proc. Natl. Acad. Sci. USA 2012, 109, 17180–17185. [Google Scholar] [CrossRef]
- McEwen, B.S.; Eiland, L.; Hunter, R.G.; Miller, M.M. Stress and anxiety: Structural plasticity and epigenetic regulation as a consequence of stress. Neuropharmacology 2012, 62, 3–12. [Google Scholar] [CrossRef]
- Danan, D.; Matar, M.A.; Kaplan, Z.; Zohar, J.; Cohen, H. Blunted basal corticosterone pulsatility predicts post-exposure susceptibility to PTSD phenotype in rats. Psychoneuroendocrinology 2018, 87, 35–42. [Google Scholar] [CrossRef]
- Pitman, R.K.; Rasmusson, A.M.; Koenen, K.; Shin, L.M.; Orr, S.P.; Gilbertson, M.W.; Milad, M.R.; Liberzon, I. Biological studies of post-traumatic stress disorder. Nat. Rev. Neurosci. 2012, 13, 769–787. [Google Scholar] [CrossRef]
- Flandreau, E.I.; Toth, M. Animal models of PTSD: A critical review. Curr. Top. Behav. Neurosci. 2018, 38, 47–68. [Google Scholar] [CrossRef] [PubMed]
- Kondashevskaya, M.V.; Downey, H.F.; Tseilikman, V.E.; Alexandrin, V.V.; Artem’yeva, K.A.; Aleksankina, V.V.; Tseilikman, O.B.; Pashkov, A.A.; Goryacheva, A.V.; Ivleva, I.S.; et al. Cerebral blood flow in predator stress-resilient and -susceptible rats and mechanisms of resilience. Int. J. Mol. Sci. 2022, 23, 14729. [Google Scholar] [CrossRef] [PubMed]
- Zoladz, P.R.; Diamond, D.M. Predator-based psychosocial stress animal model of PTSD: Preclinical assessment of traumatic stress at cognitive, hormonal, pharmacological, cardiovascular and epigenetic levels of analysis. Exp. Neurol. 2016, 284, 211–219. [Google Scholar] [CrossRef]
- Cohen, H.; Matar, M.A.; Richter-Levin, G.; Zohar, J. The contribution of an animal model toward uncovering biological risk factors for PTSD. Ann. N. Y. Acad. Sci. 2006, 1071, 335–350. [Google Scholar] [CrossRef]
- Manukhina, E.B.; Tseilikman, V.E.; Komelkova, M.V.; Lapshin, M.S.; Goryacheva, A.V.; Kondashevskaya, M.V.; Mkhitarov, V.A.; Lazuko, S.S.; Tseilikman, O.B.; Sarapultsev, A.P.; et al. Cardiac injury in rats with experimental posttraumatic stress disorder and mechanisms of its limitation in experimental posttraumatic stress disorder-resistant rats. J. Appl. Physiol. 2021, 130, 759–771. [Google Scholar] [CrossRef] [PubMed]
- Tseilikman, V.; Komelkova, M.; Lapshin, M.; Alliluev, A.; Tseilikman, O.; Karpenko, M.; Pestereva, N.; Manukhina, E.; Downey, H.F.; Kondashevskaya, M.; et al. High and low anxiety phenotypes in a rat model of complex post-traumatic stress disorder are associated with different alterations in regional brain monoamine neurotransmission. Psychoneuroendocrinology 2020, 117, 104691. [Google Scholar] [CrossRef]
- Kondashevskaya, M.V.; Komel’kova, M.V.; Tseilikman, V.E.; Tseilikman, O.B.; Artem’yeva, K.A.; Aleksankina, V.V.; Boltovskaya, M.N.; Sarapul’tsev, A.P.; Popkov, P.N.; Chereshneva, M.V.; et al. New morphofunctional criteria for resistance profile in post-traumatic stress disorder models as adrenal dysfunction trigger. Dokl. Biol. Sci. 2021, 501, 192–196. [Google Scholar] [CrossRef] [PubMed]
- Tanaka, M.; Szabó, Á.; Spekker, E.; Polyák, H.; Tóth, F.; Vécsei, L. Mitochondrial impairment: A common motif in neuropsychiatric presentation? The link to the tryptophan-kynurenine metabolic system. Cells 2022, 11, 2607. [Google Scholar] [CrossRef]
- Catanesi, M.; d’Angelo, M.; Tupone, M.G.; Benedetti, E.; Giordano, A.; Castelli, V.; Cimini, A. MicroRNAs dysregulation and mitochondrial dysfunction in neurodegenerative diseases. Int. J. Mol. Sci. 2020, 21, 5986. [Google Scholar] [CrossRef]
- Wu, Y.; Chen, M.; Jiang, J. Mitochondrial dysfunction in neurodegenerative diseases and drug targets via apoptotic signaling. Mitochondrion 2019, 49, 35–45. [Google Scholar] [CrossRef]
- Manoli, I.; Alesci, S.; Blackman, M.R.; Su, Y.A.; Rennert, O.M.; Chrousos, G.P. Mitochondria as key components of the stress response. Trends Endocrinol. Metab. 2007, 18, 190–198. [Google Scholar] [CrossRef] [PubMed]
- Picard, M.; McEwen, B.S. Psychological Stress and Mitochondria: A systematic review. Psychosom. Med. 2018, 80, 141–153. [Google Scholar] [CrossRef] [PubMed]
- Daviu, N.; Bruchas, M.R.; Moghaddam, B.; Sandi, C.; Beyeler, A. Neurobiological links between stress and anxiety. Neurobiol. Stress. 2019, 11, 10019. [Google Scholar] [CrossRef] [PubMed]
- Kaplan, G.B.; Dadhi, N.A.; Whitaker, C.S. Mitochondrial dysfunction in animal models of PTSD: Relationships between behavioral models, neural regions, and cellular maladaptation. Front. Physiol. 2023, 14, 1105839. [Google Scholar] [CrossRef] [PubMed]
- Mellon, S.H.; Gautam, A.; Hammamieh, R.; Jett, M.; Wolkowitz, O.M. Metabolism, metabolomics, and inflammation in posttraumatic stress disorder. Biol. Psychiatry. 2018, 83, 866–875. [Google Scholar] [CrossRef] [PubMed]
- Horák, J.; Sulková, S. Stycné body hepatologie a nefrologie [Junctions of hepatology and nephrology]. Cas. Lek. Cesk. 2004, 143, 459–464; discussion 465–466. [Google Scholar]
- Wang, F.; So, K.F.; Xiao, J.; Wang, H. Organ-organ communication: The liver’s perspective. Theranostics 2021, 11, 3317–3330. [Google Scholar] [CrossRef]
- Giridharan, N.V. Glucose & energy homeostasis: Lessons from animal studies. Indian J. Med. Res. 2018, 148, 659–669. [Google Scholar] [CrossRef]
- Rebelos, E.; Immonen, H.; Bucci, M.; Nummenmaa, L.; Honka, M.J.; Soinio, M.; Salminen, P.; Ferrannini, E.; Iozzo, P.; Nuutila, P. Brain glucose uptake is associated with endogenous glucose production in obese patients before and after bariatric surgery and predicts metabolic outcome at follow-up. Diabetes Obes. Metab. 2019, 21, 218–226. [Google Scholar] [CrossRef]
- Tirone, T.A.; Brunicardi, F.C. Overview of glucose regulation. World J. Surg. 2001, 25, 461–467. [Google Scholar] [CrossRef]
- Klover, P.J.; Mooney, R.A. Hepatocytes: Critical for glucose homeostasis. Int. J. Biochem. Cell Biol. 2004, 36, 753–758. [Google Scholar] [CrossRef] [PubMed]
- Luo, W.; Li, L.; Zhang, Y.; Xu, Z.; Xiong, Y.; Guo, Z.; Zhang, N.; Zhang, Y.; Chen, P.; Wang, Y.; et al. Study on the hyperglycemic effect of GLP-1 in Spinibarbus denticulatus by oral administration and intraperitoneal injection methods. Aquac. Nutr. 2023, 2023, 9969406. [Google Scholar] [CrossRef]
- Basso, L.G.M.; Mendes, L.F.S.; Costa-Filho, A.J. The two sides of a lipid-protein story. Biophys. Rev. 2016, 8, 179–191. [Google Scholar] [CrossRef] [PubMed]
- Poirier, J. Apolipoprotein E and Alzheimer’s disease. A role in amyloid catabolism. Ann. N. Y. Acad. Sci. 2000, 924, 81–90. [Google Scholar] [CrossRef]
- Bruce, K.D.; Zsombok, A.; Eckel, R.H. Lipid processing in the brain: A key regulator of systemic metabolism. Front. Endocrinol. 2017, 8, 60. [Google Scholar] [CrossRef] [PubMed]
- Pfrieger, F.W.; Ungerer, N. Cholesterol metabolism in neurons and astrocytes. Prog. Lipid Res. 2011, 50, 357–371. [Google Scholar] [CrossRef] [PubMed]
- Mikami, Y.; Tsunoda, J.; Kiyohara, H.; Taniki, N.; Teratani, T.; Kanai, T. Vagus nerve-mediated intestinal immune regulation: Therapeutic implications of inflammatory bowel diseases. Int. Immunol. 2022, 34, 97–106. [Google Scholar] [CrossRef]
- Arroyo, V.; Fernandez, J.; Ginès, P. Pathogenesis and treatment of hepatorenal syndrome. Semin. Liver Dis. 2008, 28, 81–95. [Google Scholar] [CrossRef]
- Rhyu, J.; Yu, R. Newly discovered endocrine functions of the liver. World J. Hepatol. 2021, 13, 1611–1628. [Google Scholar] [CrossRef]
- Matsubara, Y.; Kiyohara, H.; Teratani, T.; Mikami, Y.; Kanai, T. Organ and brain crosstalk: The liver-brain axis in gastrointestinal, liver, and pancreatic diseases. Neuropharmacology 2022, 205, 108915. [Google Scholar] [CrossRef]
- Tseilikman., V.; Dremencov, E.; Tseilikman, O.; Pavlovicova, M.; Lacinova, L.; Jezova, D. Role of glucocorticoid- and monoamine-metabolizing enzymes in stress-related psychopathological processes. Stress 2020, 23, 1–12. [Google Scholar] [CrossRef] [PubMed]
- Choi, J.M.; Chung, G.E.; Kang, S.J.; Kwak, M.S.; Yang, J.I.; Park, B.; Yim, J.Y. Association between anxiety and depression and nonalcoholic fatty liver disease. Front. Med. 2021, 7, 585618. [Google Scholar] [CrossRef] [PubMed]
- Tseilikman, V.; Lapshin, M.; Klebanov, I.; Chrousos, G.; Vasilieva, M.; Pashkov, A.; Fedotova, J.; Tseilikman, D.; Shatilov, V.; Manukhina, E.; et al. The link between activities of hepatic 11beta-hydroxysteroid dehydrogenase-1 and monoamine oxidase-A in the brain following repeated predator stress: Focus on heightened anxiety. Int. J. Mol. Sci. 2022, 23, 4881. [Google Scholar] [CrossRef] [PubMed]
- Tseilikman, V.; Kozochkin, D.; Synitsky, A.; Sibiriak, S.; Tseilikman, O.; Katashinsky, E.; Nikitina, A.; Vinogradov, D.; Simbirtsev, A. Does stress-induced release of interleukin-1 cause liver injury? Cell Mol. Neurobiol. 2012, 32, 1069–1078. [Google Scholar] [CrossRef]
- Manukhina, E.B.; Tseilikman, V.E.; Karpenko, M.N.; Pestereva, N.S.; Tseilikman, O.B.; Komelkova, M.V.; Kondashevskaya, M.V.; Goryacheva, A.V.; Lapshin, M.S.; Platkovskii, P.O.; et al. Intermittent hypoxic conditioning alleviates post-traumatic stress disorder-induced damage and dysfunction of rat visceral organs and brain. Int. J. Mol. Sci. 2020, 21, 345. [Google Scholar] [CrossRef]
- Sapolsky, R.M.; Romero, L.M.; Munck, A.U. How do glucocorticoids influence stress responses? Integrating permissive, suppressive, stimulatory, and preparative actions. Endocr. Rev. 2000, 21, 55–89. [Google Scholar] [CrossRef]
- Budick-Harmelin, N.; Dudas, J.; Demuth, J.; Madar, Z.; Ramadori, G.; Tirosh, O. Triglycerides potentiate the inflammatory response in rat Kupffer cells. Antioxid. Redox Signal. 2008, 10, 2009–2022. [Google Scholar] [CrossRef]
- Correale, M.; Totaro, A.; Abruzzese, S.; Di Biase, M.; Brunetti, N.D. Acute phase proteins in acute coronary syndrome: An up-to-date. Cardiovasc. Hematol. Agents Med. Chem. 2012, 10, 352–361. [Google Scholar] [CrossRef]
- Ramadori, G.; Van Damme, J.; Rieder, H.; Meyer zum Büschenfelde, K.H. Interleukin 6, the third mediator of acute-phase reaction, modulates hepatic protein synthesis in human and mouse. Comparison with interleukin 1 beta and tumor necrosis factor-alpha. Eur. J. Immunol. 1988, 18, 1259–1264. [Google Scholar] [CrossRef]
- Sun, X.F.; Gu, L.; Deng, W.S.; Xu, Q. Impaired balance of T helper 17/T regulatory cells in carbon tetrachloride-induced liver fibrosis in mice. World J. Gastroenterol. 2014, 20, 2062–2070. [Google Scholar] [CrossRef]
- Vedantam, A.; Brennan, J.; Levin, H.S.; McCarthy, J.J.; Dash, P.K.; Redell, J.B.; Yamal, J.M.; Robertson, C.S. Early versus late profiles of inflammatory cytokines after mild traumatic brain injury and their association with neuropsychological outcomes. J. Neurotrauma 2021, 38, 53–62. [Google Scholar] [CrossRef] [PubMed]
- Dell’Oste, V.; Fantasia, S.; Gravina, D.; Palego, L.; Betti, L.; Dell’Osso, L.; Giannaccini, G.; Carmassi, C. Metabolic and inflammatory response in post-traumatic stress disorder (PTSD): A systematic review on peripheral neuroimmune biomarkers. Int. J. Environ. Res. Public Health. 2023, 20, 2937. [Google Scholar] [CrossRef] [PubMed]
- Zunszain, P.A.; Anacker, C.; Cattaneo, A.; Carvalho, L.A.; Pariante, C.M. Glucocorticoids, cytokines and brain abnormalities in depression. Prog. Neuropsychopharmacol. Biol. Psychiatry 2011, 35, 722–799. [Google Scholar] [CrossRef] [PubMed]
- Horowitz, M.A.; Zunszain, P.A.; Anacker, C.; Musaelyan, K.; Pariante, C.M. Glucocorticoids and inflammation: A double-headed sword in depression? How do neuroendocrine and inflammatory pathways interact during stress to contribute to the pathogenesis of depression? Mod. Trends Pharmacopsychiatry 2013, 28, 127–143. [Google Scholar] [CrossRef]
- Blalock, J.E.; Smith, E.M. Conceptual development of the immune system as a sixth sense. Brain Behav. Immun. 2007, 21, 23–33. [Google Scholar] [CrossRef]
- O’Brien, S.M.; Scott, L.V.; Dinan, T.G. Cytokines: Abnormalities in major depression and implications for pharmacological treatment. Hum. Psychopharmacol. 2004, 19, 397–403. [Google Scholar] [CrossRef]
- Leonard, B.E. The immune system, depression and the action of antidepressants. Prog. Neuropsychopharmacol. Biol. Psychiatry 2001, 25, 767–780. [Google Scholar] [CrossRef]
- Blalock, J.E.; Smith, E.M.; Meyer, W.J., 3rd. The pituitary-adrenocortical axis and the immune system. Clin. Endocrinol. Metab. 1985, 14, 1021–1038. [Google Scholar] [CrossRef]
- Alwahsh, S.M.; Xu, M.; Schultze, F.C.; Wilting, J.; Mihm, S.; Raddatz, D.; Ramadori, G. Combination of alcohol and fructose exacerbates metabolic imbalance in terms of hepatic damage, dyslipidemia, and insulin resistance in rats. PLoS ONE 2014, 9, e104220. [Google Scholar] [CrossRef]
- Tang, P.; Liao, Q.; Tang, Y.; Yao, X.; Du, C.; Wang, Y.; Song, F.; Deng, S.; Wang, Y.; Qiu, X.; et al. Independent and combined associations of urinary metals exposure with markers of liver injury: Results from the NHANES 2013–2016. Chemosphere 2023, 338, 139455. [Google Scholar] [CrossRef]
- Venditti, P.; Di Meo, S. The role of reactive oxygen species in the life cycle of the mitochondrion. Int. J. Mol. Sci. 2020, 21, 2173. [Google Scholar] [CrossRef] [PubMed]
- Akyuva, Y.; Nazıroğlu, M.; Yıldızhan, K. Selenium prevents interferon-gamma induced activation of TRPM2 channel and inhibits inflammation, mitochondrial oxidative stress, and apoptosis in microglia. Metab. Brain Dis. 2021, 36, 285–298. [Google Scholar] [CrossRef] [PubMed]
- Li, A.; Gao, M.; Liu, B. Mitochondrial autophagy: Molecular mechanisms and implications for cardiovascular disease. Cell Death Dis. 2022, 13, 444. [Google Scholar] [CrossRef] [PubMed]
- Ishihara, N.; Jofuku, A.; Eura, Y.; Mihara, K. Regulation of mitochondrial morphology by membrane potential, and DRP1-dependent division and FZO1-dependent fusion reaction in mammalian cells. Biochem. Biophys. Res. Commun. 2003, 301, 891–898. [Google Scholar] [CrossRef]
- Quintana, D.D.; Garcia, J.A.; Sarkar, S.N.; Jun, S.; Engler-Chiurazzi, E.B.; Russell, A.E.; Cavendish, J.Z.; Simpkins, J.W. Hypoxia-reoxygenation of primary astrocytes results in a redistribution of mitochondrial size and mitophagy. Mitochondrion 2019, 47, 244–255. [Google Scholar] [CrossRef]
- Baker, N.; Patel, J.; Khacho, M. Linking mitochondrial dynamics, cristae remodeling and supercomplex formation: How mitochondrial structure can regulate bioenergetics. Mitochondrion 2019, 49, 259–268. [Google Scholar] [CrossRef]
- Lukyanova, L.; Germanova, E.; Khmil, N.; Pavlik, L.; Mikheeva, I.; Shigaeva, M.; Mironova, G. Signaling role of mitochondrial enzymes and ultrastructure in the formation of molecular mechanisms of adaptation to hypoxia. Int. J. Mol. Sci. 2021, 22, 8636. [Google Scholar] [CrossRef]
- Xiao, M.; Zhong, H.; Xia, L.; Tao, Y.; Yin, H. Pathophysiology of mitochondrial lipid oxidation: Role of 4-hydroxynonenal (4-HNE) and other bioactive lipids in mitochondria. Free Radic. Biol. Med. 2017, 111, 316–327. [Google Scholar] [CrossRef]
- Babizhayev, M.A. Mitochondria induce oxidative stress, generation of reactive oxygen species and redox state unbalance of the eye lens leading to human cataract formation: Disruption of redox lens organization by phospholipid hydroperoxides as a common basis for cataract disease. Cell Biochem. Funct. 2011, 29, 183–206. [Google Scholar] [CrossRef]
- Du, J.; McEwen, B.; Manji, H.K. Glucocorticoid receptors modulate mitochondrial function: A novel mechanism for neuroprotection. Commun. Integr. Biol. 2009, 2, 350–352. [Google Scholar] [CrossRef]
- Georgakis, M.K.; Malik, R.; Richardson, T.G.; Howson, J.M.M.; Anderson, C.D.; Burgess, S.; Hovingh, G.K.; Dichgans, M.; Gill, D. Associations of genetically predicted IL-6 signaling with cardiovascular disease risk across population subgroups. BMC Med. 2022, 20, 245. [Google Scholar] [CrossRef] [PubMed]
- Sarapultsev, A.; Sarapultsev, P.; Dremencov, E.; Komelkova, M.; Tseilikman, O.; Tseilikman, V. Low glucocorticoids in stress-related disorders: The role of inflammation. Stress 2020, 23, 651–661. [Google Scholar] [CrossRef] [PubMed]
- Rahimi, L.; Rajpal, A.; Ismail-Beigi, F. Glucocorticoid-induced fatty liver disease. Diabetes Metab. Syndr. Obes. 2020, 13, 1133–1145. [Google Scholar] [CrossRef] [PubMed]
- Wang, M.T.; Jin, Y.; Yang, Y.X.; Zhao, C.Y.; Yang, H.Y.; Xu, X.F.; Qin, X.; Wang, Z.D.; Zhang, Z.R.; Jian, Y.L.; et al. In vivo biodistribution, anti-inflammatory, and hepatoprotective effects of liver targeting dexamethasone acetate loaded nanostructured lipid carrier system. Int. J. Nanomed. 2010, 5, 487–497. [Google Scholar] [CrossRef][Green Version]
- Gonçalves, F.L.; Bittencourt, D.G.; Velloso, L.A.; Schmidt, A.F.; Gallindo, R.M.; Sbragia, L. Corticosteroid effect upon intestinal and hepatic interleukin profile in a gastroschisis rat model. Acta Cir. Bras. 2013, 28 (Suppl. 1), 8–12. [Google Scholar] [CrossRef] [PubMed]
- Krittanawong, C.; Maitra, N.S.; Khawaja, M.; Wang, Z.; Fogg, S.; Rozenkrantz, L.; Virani, S.S.; Levin, M.; Storch, E.A.; Tobler, P.N.; et al. Association of pessimism with cardiovascular events and all-cause mortality. Prog. Cardiovasc. Dis. 2022, 76, 91–98. [Google Scholar] [CrossRef] [PubMed]
- Jakovljević, M.; Reiner, Z.; Milicić, D. Mental disorders, treatment response, mortality and serum cholesterol: A new holistic look at old data. Psychiatr. Danub. 2007, 19, 270–281. [Google Scholar] [PubMed]
- Rebolledo-Solleiro, D.; Roldán-Roldán, G.; Díaz, D.; Velasco, M.; Larqué, C.; Rico-Rosillo, G.; Vega-Robledo, G.B.; Zambrano, E.; Hiriart, M.; Pérez de la Mora, M. Increased anxiety-like behavior is associated with the metabolic syndrome in non-stressed rats. PLoS ONE 2017, 12, e0176554. [Google Scholar] [CrossRef] [PubMed]
- Martínez-Carpio, P.A.; Barba, J.; Bedoya-Del Campillo, A. Relation entre los niveles circulatorios de colesterol y los trastornos neuropsiquiatricos [Relation between cholesterol levels and neuropsychiatric disorders]. Rev. Neurol. 2009, 48, 261–264. (In Spanish) [Google Scholar]
- Thibault, V.; Terlain, B.; Ekindjian, O.G. Interleukine-1 et régulation de l’homéostasie du glucose [Interleukin-1 and regulation of glucose homeostasis]. Pathol. Biol. 1993, 41, 178–186. (In French) [Google Scholar]
- Jurcovicova, J. Glucose transport in brain–effect of inflammation. Endocr. Regul. 2014, 48, 35–48. [Google Scholar] [CrossRef]
- Tremblay, E.; Ottersen, O.P.; Rovira, C.; Ben-Ari, Y. Intra-amygdaloid injections of kainic acid: Regional metabolic changes and their relation to the pathological alterations. Neuroscience 1983, 8, 299–315. [Google Scholar] [CrossRef] [PubMed]
- Li, C.; Pan, J.; Sun, P.; Wang, S.; Wang, S.; Feng, W.; Chen, S.; Chai, X.; Zhao, S.; Zhu, X. Ketogenic diet alleviates hypoglycemia-induced neuroinflammation via modulation the gut microbiota in mice. Mol. Nutr. Food Res. 2023, 67, e2200711. [Google Scholar] [CrossRef] [PubMed]
- Li, G.; Wang, G.; Shi, J.; Xie, X.; Fei, N.; Chen, L.; Liu, N.; Yang, M.; Pan, J.; Huang, W.; et al. trans-Resveratrol ameliorates anxiety-like behaviors and fear memory deficits in a rat model of post-traumatic stress disorder. Neuropharmacology 2018, 133, 181–188. [Google Scholar] [CrossRef]
- Zhang, Z.S.; Qiu, Z.K.; He, J.L.; Liu, X.; Chen, J.S.; Wang, Y.L. Resveratrol ameliorated the behavioral deficits in a mouse model of post-traumatic stress disorder. Pharmacol. Biochem. Behav. 2017, 161, 68–76. [Google Scholar] [CrossRef] [PubMed]
- Yuan, Y.; Zhen, L.; Li, Z.; Xu, W.; Leng, H.; Xu, W.; Zheng, V.; Luria, V.; Pan, J.; Tao, Y.; et al. Trans-Resveratrol ameliorates anxiety-like behaviors and neuropathic pain in mouse model of post-traumatic stress disorder. J. Psychopharmacol. 2020, 34, 726–736. [Google Scholar] [CrossRef]
- Tseilikman, V.E.; Fedotova, J.O.; Tseilikman, O.B.; Novak, J.; Karpenko, M.N.; Maistrenko, V.A.; Lazuko, S.S.; Belyeva, L.E.; Kamel, M.; Buhler, A.V.; et al. Resistance to resveratrol treatment in experimental PTSD is associated with abnormalities in hepatic metabolism of glucocorticoids. Int. J. Mol. Sci. 2023, 24, 9333. [Google Scholar] [CrossRef]
- Satav, J.G.; Katyare, S.S. Effect of experimental thyrotoxicosis on oxidative phosphorylation in rat liver, kidney and brain mitochondria. Mol. Cell. Endocrinol. 1982, 28, 173–189. [Google Scholar] [CrossRef]
- Bezborodkina, N.N.; Okovityi, S.V.; Kudryavtsev, B.N. Postprandial glycogen content is increased in the hepatocytes of human and rat cirrhotic liver. Cells 2021, 10, 976. [Google Scholar] [CrossRef]
- Meyerholz, D.K.; DeGraaff, J.A.; Gallup, J.M.; Olivier, A.K.; Ackermann, M.R. Depletion of alveolar glycogen corresponds with immunohistochemical development of CD208 antigen expression in perinatal lamb lung. J. Histochem. Cytochem. 2006, 54, 1247–1253. [Google Scholar] [CrossRef]
- Reynolds, E.S. The use of lead citrate at high pH as an electron-opaque stain in electron microscopy. J. Cell Biol. 1963, 17, 208–212. [Google Scholar] [CrossRef] [PubMed]
- Kudryavtsev, K.V.; Markevich, A.O.; Virchenko, O.V.; Falalyeyeva, T.M.; Beregova, T.V.; Ostapchenko, L.I.; Zabolotnev, D.V.; Zefirov, N.S. Pharmacological correction of stress-induced gastric ulceration by novel small-molecule agents with antioxidant profile. Sci. World J. 2014, 9, 217039. [Google Scholar] [CrossRef] [PubMed]
- Volchegorskii, I.A.; Rassokhina, L.M.; Miroshnichenko, I.Y. Dynamics of lipid peroxidation-antioxidant defense system during alloxan diabetes in rats. Bull. Exp. Biol. Med. 2013, 155, 26–29. [Google Scholar] [CrossRef] [PubMed]














| Variable | Control Rats (n = 10) | HA Rats (n = 9) | LA Rats (n = 10) |
|---|---|---|---|
| Time spent in open arms (s) | 255 (242.5; 270) | 10 (5; 10) *,# | 140 (122.5; 193.8) |
| Time spent in closed arms (s) | 345 (330; 357.5) | 590 (590; 595) *,# | 460 (406.2; 477.5) |
| Number of entries into open arms | 6 (5.25; 6.75) | 1 (1; 1) *,# | 5 (5; 6) |
| Number of entries into closed arms | 10 (9; 10) | 6 (3; 9) * | 9 (8; 10.75) |
| Anxiety index (AI) | 0.60 (0.58; 0.61) | 0.93 (0.9; 0.94) *,# | 0.68 (0.64; 0.73) |
| Variable | Mitochondria Subtypes | Group | ||
|---|---|---|---|---|
| Control Rats (n = 10) | LA Rats (n = 10) | HA Rats (n = 9) | ||
| Mitochondrial area (μm2) | Small mitochondria | 3.22 (3.6; 3.67) | 3.57 (3.46; 4.12) | 2.07 (1.89; 2.39) **,## |
| Medium mitochondria | 13.98 (13; 15) | 7.26 (7.22; 7.87) * | 6.45 (5.9; 6.85) ***,# | |
| Large mitochondria | 31.14 (27.77; 35.96) | 15.78 (14.11; 16.82) *** | 10.78 (9.89;11.86) ***,## | |
| Number of mitochondria per 100 | Small mitochondria | 24 (21.25; 25.75) | 52 (49.5; 53.75) * | 91 (88.25; 92) ***,# |
| Medium mitochondria | 34.5 (33; 37.75) | 82.5 (79.5; 85.5) *** | 58.5 (57.25; 61) *,# | |
| Large mitochondria | 10 (9.25; 11.75) | 9 (8; 10) | 9.5 (8; 10) | |
| Total number | 67 (65.25; 74) | 145 (142; 148) ** | 158.5 (153.5; 163) ***,# | |
Disclaimer/Publisher’s Note: The statements, opinions and data contained in all publications are solely those of the individual author(s) and contributor(s) and not of MDPI and/or the editor(s). MDPI and/or the editor(s) disclaim responsibility for any injury to people or property resulting from any ideas, methods, instructions or products referred to in the content. |
© 2023 by the authors. Licensee MDPI, Basel, Switzerland. This article is an open access article distributed under the terms and conditions of the Creative Commons Attribution (CC BY) license (https://creativecommons.org/licenses/by/4.0/).
Share and Cite
Kondashevskaya, M.V.; Mikhaleva, L.M.; Artem’yeva, K.A.; Aleksankina, V.V.; Areshidze, D.A.; Kozlova, M.A.; Pashkov, A.A.; Manukhina, E.B.; Downey, H.F.; Tseilikman, O.B.; et al. Unveiling the Link: Exploring Mitochondrial Dysfunction as a Probable Mechanism of Hepatic Damage in Post-Traumatic Stress Syndrome. Int. J. Mol. Sci. 2023, 24, 13012. https://doi.org/10.3390/ijms241613012
Kondashevskaya MV, Mikhaleva LM, Artem’yeva KA, Aleksankina VV, Areshidze DA, Kozlova MA, Pashkov AA, Manukhina EB, Downey HF, Tseilikman OB, et al. Unveiling the Link: Exploring Mitochondrial Dysfunction as a Probable Mechanism of Hepatic Damage in Post-Traumatic Stress Syndrome. International Journal of Molecular Sciences. 2023; 24(16):13012. https://doi.org/10.3390/ijms241613012
Chicago/Turabian StyleKondashevskaya, Marina V., Lyudmila M. Mikhaleva, Kseniya A. Artem’yeva, Valentina V. Aleksankina, David A. Areshidze, Maria A. Kozlova, Anton A. Pashkov, Eugenia B. Manukhina, H. Fred Downey, Olga B. Tseilikman, and et al. 2023. "Unveiling the Link: Exploring Mitochondrial Dysfunction as a Probable Mechanism of Hepatic Damage in Post-Traumatic Stress Syndrome" International Journal of Molecular Sciences 24, no. 16: 13012. https://doi.org/10.3390/ijms241613012
APA StyleKondashevskaya, M. V., Mikhaleva, L. M., Artem’yeva, K. A., Aleksankina, V. V., Areshidze, D. A., Kozlova, M. A., Pashkov, A. A., Manukhina, E. B., Downey, H. F., Tseilikman, O. B., Yegorov, O. N., Zhukov, M. S., Fedotova, J. O., Karpenko, M. N., & Tseilikman, V. E. (2023). Unveiling the Link: Exploring Mitochondrial Dysfunction as a Probable Mechanism of Hepatic Damage in Post-Traumatic Stress Syndrome. International Journal of Molecular Sciences, 24(16), 13012. https://doi.org/10.3390/ijms241613012

