Isolation of Extracellular Vesicles of Holothuria (Sea Cucumber Eupentacta fraudatrix)
Abstract
:1. Introduction
2. Results
2.1. Holothurian Whole-Body Extract Characteristics
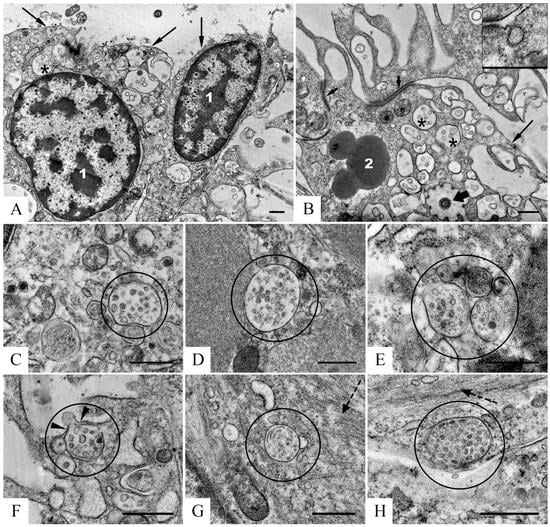
2.2. Electron Microscopic Analysis
3. Discussion
4. Materials and Methods
4.1. Materials
4.2. Preparation of Holothurian Whole-Body Extracts
4.3. Obtaining Crude Vesicle Preparations
4.4. Purification of Vesicle Preparations by Gel Filtration
4.5. Negative Staining for TEM Study
4.6. Ultrastructural Studies of Holothurian Visceral Organs
5. Conclusions
Author Contributions
Funding
Institutional Review Board Statement
Informed Consent Statement
Data Availability Statement
Conflicts of Interest
Abbreviations
| EVs | extracellular vesicles |
| ELV | exosome-like vesicles |
| TEM | transmission electron microscopy |
References
- Zhang, Y.; Bi, J.; Huang, J.; Tang, Y.; Du, S.; Li, P. Exosome: A Review of Its Classification, Isolation Techniques, Storage, Diagnostic and Targeted Therapy Applications. Int. J. Nanomed. 2020, 15, 6917–6934. [Google Scholar] [CrossRef] [PubMed]
- Bhat, E.A.; Sajjad, N.; Thokar, F.M. Current advancement of exosomes as biomarkers for cancer diagnosis and forecasting. Cancer Treat. Res. Commun. 2021, 28, 100417. [Google Scholar] [CrossRef] [PubMed]
- Théry, C.; Zitvogel, L.; Amigorena, S. Exosomes: Composition, biogenesis and function. Nat. Rev. Immunol. 2002, 2, 569–579. [Google Scholar] [CrossRef]
- Yoon, Y.J.; Kim, O.Y.; Gho, Y.S. Extracellular vesicles as emerging intercellular communicasomes. BMB Rep. 2014, 47, 531–539. [Google Scholar] [CrossRef] [PubMed]
- Lopez, K.; Lai, S.W.T.; Lopez Gonzalez, E.J.; Dávila, R.G.; Shuck, S.C. Extracellular vesicles: A dive into their role in the tumor microenvironment and cancer progression. Front. Cell Dev. Biol. 2023, 11, 1154576. [Google Scholar] [CrossRef]
- Jo, S.H.; Kim, S.H.; Kim, C.; Park, S.H. Characterization of Marine Organism Extracellular Matrix-Anchored Extracellular Vesicles and Their Biological Effect on the Alleviation of Pro-Inflammatory Cytokines. Mar. Drugs 2021, 19, 592. [Google Scholar] [CrossRef]
- Jo, S.H.; Kim, C.; Park, S.H. Novel Marine Organism-Derived Extracellular Vesicles for Control of Anti-Inflammation. Tissue Eng. Regen. Med. 2021, 18, 71–79. [Google Scholar] [CrossRef]
- Gurung, S.; Perocheau, D.; Touramanidou, L.; Baruteau, J. The exosome journey: From biogenesis to uptake and intracellular signalling. Cell Commun. Signal. 2021, 19, 47. [Google Scholar] [CrossRef]
- Tkach, M.; Théry, C. Communication by Extracellular Vesicles: Where We Are and Where We Need to Go. Cell 2016, 164, 1226–1232. [Google Scholar] [CrossRef]
- Hessvik, N.P.; Llorente, A. Current knowledge on exosome biogenesis and release. Cell. Mol. Life. Sci. 2018, 75, 193–208. [Google Scholar] [CrossRef]
- Nakayama, A. Proteomic analysis of urinary exosomes. Rinsho. Byori. 2014, 62, 684–691. [Google Scholar] [PubMed]
- Familari, M.; Cronqvist, T.; Masoumi, Z.; Hansson, S.R. Placenta-derived extracellular vesicles: Their cargo and possible functions. Reprod. Fertil. Dev. 2017, 29, 433–447. [Google Scholar] [CrossRef] [PubMed]
- Liao, Y.; Alvarado, R.; Phinney, B.; Lönnerdal, B. Proteomic characterization of human milk whey proteins during a twelve-month lactation period. J. Proteome Res. 2011, 10, 1746–1754. [Google Scholar] [CrossRef] [PubMed]
- Grigor’eva, A.E.; Dyrkheeva, N.S.; Bryzgunova, O.E.; Tamkovich, S.N.; Chelobanov, B.P.; Ryabchikova, E.I. Contamination of exosome preparations, isolated from biological fluids. Biomed. Khim. 2017, 63, 91–96. [Google Scholar] [CrossRef] [PubMed]
- Burkova, E.E.; Grigor’eva, A.E.; Bulgakov, D.V.; Dmitrenok, P.S.; Vlassov, V.V.; Ryabchikova, E.I.; Sedykh, S.E.; Nevinsky, G.A. Extra Purified Exosomes from Human Placenta Contain An Unpredictable Small Number of Different Major Proteins. Int. J. Mol. Sci. 2019, 20, 2434. [Google Scholar] [CrossRef]
- Malkin, E.Z.; Bratman, S.V. Bioactive DNA from extracellular vesicles and particles. Cell Death Dis. 2020, 11, 584. [Google Scholar] [CrossRef]
- Byrne, M. Morphological, Physiological and Mechanical Features of the Mutable Collagenous Tissues Associated with Autotomy and Evisceration in Dendrochirotid Holothuroids. Mar. Drugs 2023, 21, 134. [Google Scholar] [CrossRef]
- Carnevali, M.D. Regeneration in echinoderms: Repair, regrowth, cloning. Invertebr. Surviv. J. 2006, 3, 64–76. [Google Scholar]
- García-Arrarás, J.E.; Greenberg, M.J. Visceral regeneration in holothurians. Microsc. Res. Tech. 2001, 55, 438–451. [Google Scholar] [CrossRef]
- Dolmatov, I.Y.; Mashanov, V.S. Regeneration in Holothurians; Dalnauka: Vladivostok, Russia, 2007; pp. 1–212. [Google Scholar]
- Dolmatov, I.Y. Regeneration of the aquapharyngeal complex in the holothurian Eupentacta fraudatrix (Holothuroidea, Dendrochirota). Monogr. Dev. Biol. 1992, 23, 40–50. [Google Scholar]
- Nizhnichenko, V.A.; Boyko, A.V.; Ginanova, T.T.; Dolmatov, I.Y. Muscle Regeneration in Holothurians without the Upregulation of Muscle Genes. Int. J. Mol. Sci. 2022, 23, 16037. [Google Scholar] [CrossRef] [PubMed]
- Eisapour, M.; Salamat, N.; Salari, M.A.; Bahabadi, M.N.; Salati, A.P. Post-autotomy regeneration of respiratory tree in sea cucumber Holothuria parva. J. Exp. Zool. B Mol. Dev. Evol. 2022, 338, 155–169. [Google Scholar] [CrossRef] [PubMed]
- García-Arrarás, J.E.; Lázaro-Peña, M.I.; Díaz-Balzac, C.A. Holothurians as a Model System to Study Regeneration. Results Probl. Cell Differ. 2018, 65, 255–283. [Google Scholar] [CrossRef] [PubMed]
- Li, X.-X.; Yang, L.-X.; Wang, C.; Li, H.; Shi, D.-S.; Wang, J. The Roles of Exosomal Proteins: Classification, Function, and Applications. Int. J. Mol. Sci. 2023, 24, 3061. [Google Scholar] [CrossRef]
- Lötvall, J.; Hill, A.F.; Hochberg, F.; Buzás, E.I.; Di Vizio, D.; Gardiner, C.; Gho, Y.S.; Kurochkin, I.V.; Mathivanan, S.; Quesenberry, P.; et al. Minimal experimental requirements for definition of extracellular vesicles and their functions: A position statement from the International Society for Extracellular Vesicles. J. Extracell. Vesicles 2014, 3, 26913. [Google Scholar] [CrossRef]
- Théry, C.; Witwer, K.W.; Aikawa, E.; Alcaraz, M.J.; Anderson, J.D.; Andriantsitohaina, R.; Antoniou, A.; Arab, T.; Archer, F.; Atkin-Smith, G.K.; et al. Minimal information for studies of extracellular vesicles 2018 (MISEV2018): A position statement of the International Society for Extracellular Vesicles and update of the MISEV2014 guidelines. J. Extracell. Vesicles 2019, 8, 1535750. [Google Scholar] [CrossRef]
- Burkova, E.E.; Dmitrenok, P.S.; Bulgakov, D.V.; Vlassov, V.V.; Ryabchikova, E.I.; Nevinsky, G.A. Exosomes from human placenta purified by affinity chromatography on sepharose bearing immobilized antibodies against CD81 tetraspanin contain many peptides and small proteins. IUBMB Life 2018, 70, 1144–1155. [Google Scholar] [CrossRef]
- Burkova, E.E.; Sedykh, S.E.; Nevinsky, G.A. Human Placenta Exosomes: Biogenesis, Isolation, Composition, and Prospects for Use in Diagnostics. Int. J. Mol. Sci. 2021, 22, 2158. [Google Scholar] [CrossRef]
- Sedykh, S.E.; Purvinish, L.V.; Monogarov, A.S.; Burkova, E.E.; Grigor’eva, A.E.; Bulgakov, D.V.; Dmitrenok, P.S.; Vlassov, V.V.; Ryabchikova, E.I.; Nevinsky, G.A. Purified horse milk exosomes contain an unpredictable small number of major proteins. Biochim. Open 2017, 4, 61–72. [Google Scholar] [CrossRef]
- Sedykh, S.E.; Purvinsh, L.V.; Burkova, E.E.; Dmitrenok, P.S.; Ryabchikova, E.I.; Nevinsky, G.A. Analysis of Proteins and Peptides of Highly Purified CD9+ and CD63+ Horse Milk Exosomes Isolated by Affinity Chromatography. Int. J. Mol. Sci. 2022, 23, 16106. [Google Scholar] [CrossRef]
- Alberts, B. The cell as a collection of protein machines: Preparing the next generation of molecular biologists. Cell 1998, 92, 291–294. [Google Scholar] [CrossRef] [PubMed]
- Mincheva-Nilsson, L.; Baranov, V. The role of placental exosomes in reproduction. Am. J. Reprod. Immunol. 2010, 63, 520–533. [Google Scholar] [CrossRef]
- Cvjetkovic, A.; Lötvall, J.; Lässer, C. The influence of rotor type and centrifugation time on the yield and purity of extracellular vesicles. J. Extracell. Vesicles 2014, 3, 23111. [Google Scholar] [CrossRef] [PubMed]
- Brownlee, Z.; Lynn, K.D.; Thorpe, P.E.; Schroit, A.J. A novel «salting-out» procedure for the isolation of tumor-derived exosomes. J. Immunol. Methods 2014, 407, 120–126. [Google Scholar] [CrossRef] [PubMed]
- Luo, S.S.; Ishibashi, O.; Ishikawa, G.; Ishikawa, T.; Katayama, A.; Mishima, T.; Takizawa, T.; Shigihara, T.; Goto, T.; Izumi, A. Human Villous Trophoblasts Express and Secrete Placenta-Specific MicroRNAs into Maternal Circulation via Exosomes. Biol. Reprod. 2009, 81, 717–729. [Google Scholar] [CrossRef]
- Baig, S.; Kothandaraman, N.; Manikandan, J.; Rong, L.; Ee, K.H.; Hill, J.; Lai, C.W.; Tan, W.Y.; Yeoh, F.; Kale, A.; et al. Proteomic analysis of human placental syncytiotrophoblast microvesicles in preeclampsia. Clin. Proteom. 2014, 11, 40. [Google Scholar] [CrossRef]
- Atay, S.; Gercel-Taylor, C.; Kesimer, M.; Taylor, D.D. Morphologic and proteomic characterization of exosomes released by cultured extravillous trophoblast cells. Exp. Cell Res. 2011, 317, 1192–1202. [Google Scholar] [CrossRef]
- Morelli, A.E.; Larregina, A.T.; Shufesky, W.J.; Sullivan, M.L.; Stolz, D.B.; Papworth, G.D.; Zahorchak, A.F.; Logar, A.J.; Wang, Z.; Watkins, S.; et al. Endocytosis, intracellular sorting, and processing of exosomes by dendritic cells. Blood 2004, 104, 3257–3266. [Google Scholar] [CrossRef]
- Segura, E.; Nicco, C.; Lombard, B.; Véron, P.; Rapaso, G.; Batteux, F.; Amigorena, S.; Théry, C. ICAM-1 on exosomes from mature dendritic cells is critical for efficient naive T-cell priming. Blood 2005, 106, 216–223. [Google Scholar] [CrossRef]
- Baccetti, B.; Rosati, F. The fine structure of polian vesicles of holothurians. Z. Zellforsch. Mikrosk. Anat. 1968, 90, 148–160. [Google Scholar] [CrossRef]
- Yu, K.; Zhao, X.; Xiang, Y.; Li, C. Phenotypic and functional characterization of two coelomocyte subsets in Apostichopus japonicus. Fish Shellfish Immunol. 2023, 132, 108453. [Google Scholar] [CrossRef] [PubMed]
- Dolmatov, I.Y.; Ginanova, T.T. Muscle Regeneration in Holothurians. Microsc. Res. Tech. 2001, 55, 452–463. [Google Scholar] [CrossRef] [PubMed]
- Gong, Y.; Kong, T.; Ren, X.; Chen, J.; Lin, S.; Zhang, Y.; Li, S. Exosome-mediated apoptosis pathway during WSSV infection in crustacean mud crab. PLoS Pathog. 2020, 16, e1008366. [Google Scholar] [CrossRef] [PubMed]
- Moros, M.; Fergola, E.; Marchesano, V.; Mutarelli, M.; Tommasini, G.; Miedziak, B.; Palumbo, G.; Ambrosone, A.; Tino, A.; Tortiglione, C. The Aquatic Invertebrate Hydra vulgaris Releases Molecular Messages Through Extracellular Vesicles. Front. Cell Dev. Biol. 2021, 9, 788117. [Google Scholar] [CrossRef] [PubMed]
- Dolmatov, I.Y. Regeneration of the digestive system in holothurians. Zhurnal Obs. Biol. 2009, 70, 319–330. [Google Scholar]
- Timofeeva, A.M.; Kostrikina, I.A.; Dmitrenok, P.S.; Soboleva, S.E.; Nevinsky, G.A. Protease and DNase Activities of a Very Stable High-Molecular-Mass Multiprotein Complex from Sea Cucumber Eupentacta fraudatrix. Int. J. Mol. Sci. 2022, 23, 6677. [Google Scholar] [CrossRef]
- Zelepuga, E.A.; Silchenko, A.S.; Avilov, S.A.; Kalinin, V.I. Structure-Activity Relationships of Holothuroid’s Triterpene Glycosides and Some In Silico Insights Obtained by Molecular Dynamics Study on the Mechanisms of Their Membranolytic Action. Mar. Drugs 2021, 19, 604. [Google Scholar] [CrossRef]
- Boyko, A.V.; Girich, A.S.; Tkacheva, E.S.; Dolmatov, I.Y. The Eupentacta fraudatrix transcriptome provides insights into regulation of cell transdifferentiation. Sci. Rep. 2020, 10, 1522. [Google Scholar] [CrossRef]






| Fraction Number | ELVs | Vesicles with Thick Envelope | Non-Vesicles | Small Protein Aggregates | Deposits of Structureless Material |
|---|---|---|---|---|---|
| 1 | + | No | Single | + | No |
| 2 | ++ | No | Single | + | + |
| 3 | ++ | Single | Single | + | ++ |
| 4 | + | ++ | ++ | ++ | ++ |
| 5 | + | ++ | ++ | ++ | ++ |
| 6 | Single | ++ | ++ | ++ | ++ |
| 7 | Single | + | ++ | + | + |
Disclaimer/Publisher’s Note: The statements, opinions and data contained in all publications are solely those of the individual author(s) and contributor(s) and not of MDPI and/or the editor(s). MDPI and/or the editor(s) disclaim responsibility for any injury to people or property resulting from any ideas, methods, instructions or products referred to in the content. |
© 2023 by the authors. Licensee MDPI, Basel, Switzerland. This article is an open access article distributed under the terms and conditions of the Creative Commons Attribution (CC BY) license (https://creativecommons.org/licenses/by/4.0/).
Share and Cite
Tupitsyna, A.V.; Grigorieva, A.E.; Soboleva, S.E.; Maltseva, N.A.; Sedykh, S.E.; Poletaeva, J.; Dmitrenok, P.S.; Ryabchikova, E.I.; Nevinsky, G.A. Isolation of Extracellular Vesicles of Holothuria (Sea Cucumber Eupentacta fraudatrix). Int. J. Mol. Sci. 2023, 24, 12907. https://doi.org/10.3390/ijms241612907
Tupitsyna AV, Grigorieva AE, Soboleva SE, Maltseva NA, Sedykh SE, Poletaeva J, Dmitrenok PS, Ryabchikova EI, Nevinsky GA. Isolation of Extracellular Vesicles of Holothuria (Sea Cucumber Eupentacta fraudatrix). International Journal of Molecular Sciences. 2023; 24(16):12907. https://doi.org/10.3390/ijms241612907
Chicago/Turabian StyleTupitsyna, Anastasiya V., Alina E. Grigorieva, Svetlana E. Soboleva, Nadezhda A. Maltseva, Sergey E. Sedykh, Julia Poletaeva, Pavel S. Dmitrenok, Elena I. Ryabchikova, and Georgy A. Nevinsky. 2023. "Isolation of Extracellular Vesicles of Holothuria (Sea Cucumber Eupentacta fraudatrix)" International Journal of Molecular Sciences 24, no. 16: 12907. https://doi.org/10.3390/ijms241612907
APA StyleTupitsyna, A. V., Grigorieva, A. E., Soboleva, S. E., Maltseva, N. A., Sedykh, S. E., Poletaeva, J., Dmitrenok, P. S., Ryabchikova, E. I., & Nevinsky, G. A. (2023). Isolation of Extracellular Vesicles of Holothuria (Sea Cucumber Eupentacta fraudatrix). International Journal of Molecular Sciences, 24(16), 12907. https://doi.org/10.3390/ijms241612907

