Significance of Lipopolysaccharides in Gastric Cancer and Their Potential as a Biomarker for Nivolumab Sensitivity
Abstract
1. Introduction
2. Results
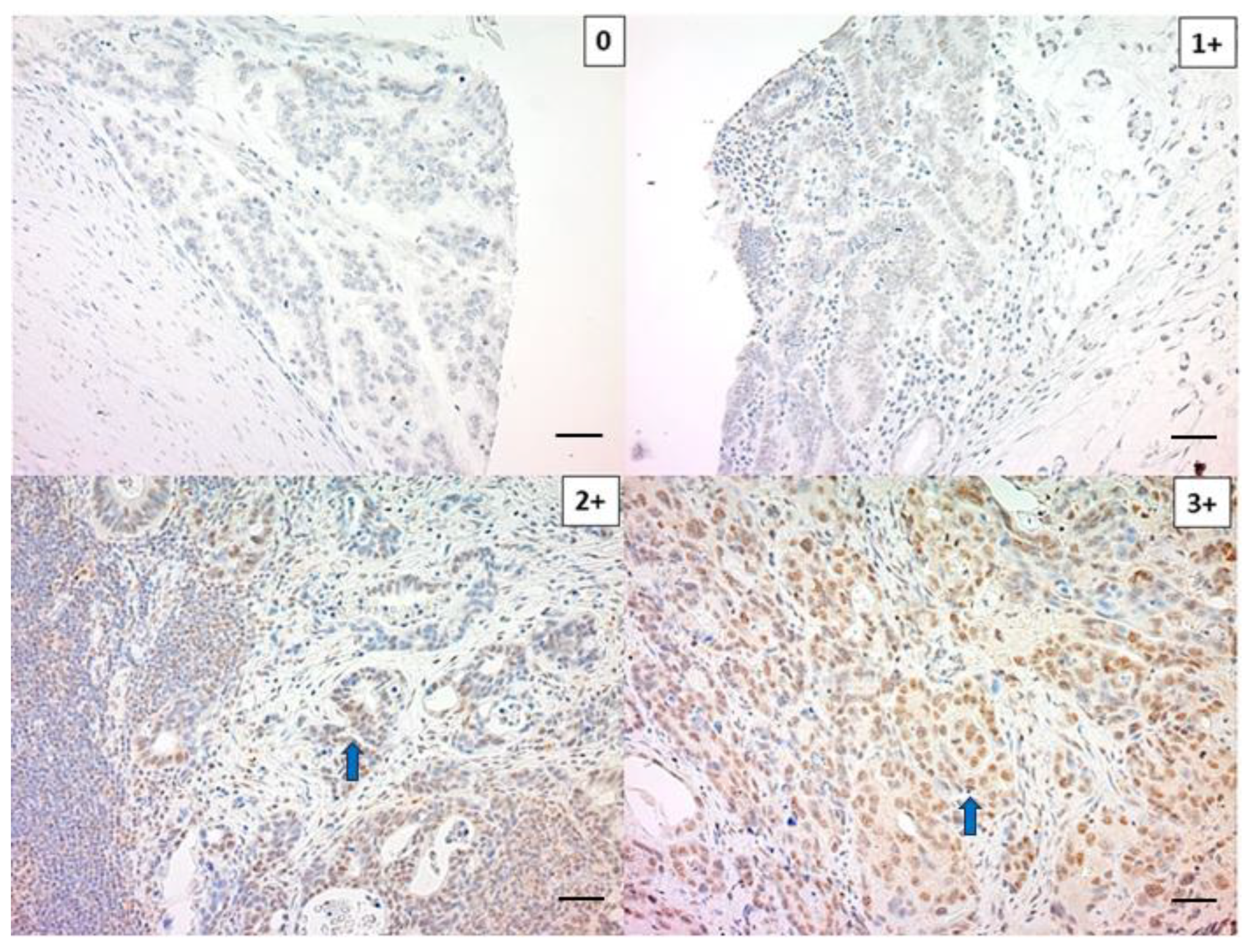
2.1. Presence of LPS in GC Surgical Tissues
2.2. Relationship between LPS and Clinicopathological Factors of Patients with GC
2.3. Kaplan–Meier Curve for Overall Survival According to the Presence of LPS in Surgical Cases with GC
2.4. Kaplan–Meier Curve for Overall Survival with TGFBI Expression and Prognosis According to the Presence or Absence of LPS in Surgical Cases with GC
2.5. Relationship between LPS and Nivolumab Sensitivity
3. Discussion
4. Materials and Methods
4.1. Patients
4.2. Immunohistochemistry
4.3. Statistical Analysis
5. Conclusions
Author Contributions
Funding
Institutional Review Board Statement
Informed Consent Statement
Data Availability Statement
Acknowledgments
Conflicts of Interest
References
- Sung, H.; Ferlay, J.; Siegel, R.L.; Laversanne, M.; Soerjomataram, I.; Jemal, A.; Bray, F. Global Cancer Statistics 2020: GLOBOCAN Estimates of Incidence and Mortality Worldwide for 36 Cancers in 185 Countries. CA Cancer J. Clin. 2021, 71, 209–249. [Google Scholar] [CrossRef]
- Kang, Y.K.; Boku, N.; Satoh, T.; Ryu, M.H.; Chao, Y.; Kato, K.; Chung, H.C.; Chen, J.S.; Muro, K.; Kang, W.K.; et al. Nivolumab in patients with advanced gastric or gastro-oesophageal junction cancer refractory to, or intolerant of, at least two previous chemotherapy regimens (ONO-4538-12, ATTRACTION-2): A randomised, double-blind, placebo-controlled, phase 3 trial. Lancet 2017, 390, 2461–2471. [Google Scholar] [CrossRef]
- Janjigian, Y.Y.; Shitara, K.; Moehler, M.; Garrido, M.; Salman, P.; Shen, L.; Wyrwicz, L.; Yamaguchi, K.; Skoczylas, T.; Bragagnoli, A.C.; et al. Nivolumab plus chemotherapy versus chemotherapy as first-line treatment for advanced gastric cancer/gastroesophageal junction cancer/oesophageal adenocarcinoma (CheckMate 649): A multicentre, randomised, open-label, phase 3 trial. Lancet 2021, 398, 27–40. [Google Scholar] [CrossRef] [PubMed]
- Nejman, D.; Livyatan, I.; Fuks, G.; Gavert, N.; Zwang, Y.; Geller, L.T.; Rotter-Maskowitz, A.; Weiser, R.; Mallel, G.; Gigi, E.; et al. The human tumor microbiome is composed of tumor type-specific intracellular bacteria. Science 2020, 368, 973–980. [Google Scholar] [CrossRef]
- Kalaora, S.; Nagler, A.; Nejman, D.; Alon, M.; Barbolin, C.; Barnea, E.; Ketelaars, S.L.C.; Cheng, K.; Vervier, K.; Shental, N.; et al. Identification of bacteria-derived HLA-bound peptides in melanoma. Nature 2021, 592, 138–143. [Google Scholar] [CrossRef]
- Muhammad, J.S.; Nanjo, S.; Ando, T.; Yamashita, S.; Maekita, T.; Ushijima, T.; Tabuchi, Y.; Sugiyama, T. Autophagy impairment by Helicobacter pylori-induced methylation silencing of MAP1LC3Av1 promotes gastric carcinogenesis. Int. J. Cancer 2017, 140, 2272–2283. [Google Scholar] [CrossRef]
- Yokota, S.; Okabayashi, T.; Rehli, M.; Fujii, N.; Amano, K. Helicobacter pylori lipopolysaccharides upregulate toll-like receptor 4 expression and proliferation of gastric epithelial cells via the MEK1/2-ERK1/2 mitogen-activated protein kinase pathway. Infect. Immun. 2010, 78, 468–476. [Google Scholar] [CrossRef] [PubMed]
- Chen, G.; Tang, N.; Wang, C.; Xiao, L.; Yu, M.; Zhao, L.; Cai, H.; Han, L.; Xie, C.; Zhang, Y. TNF-α-inducing protein of Helicobacter pylori induces epithelial-mesenchymal transition (EMT) in gastric cancer cells through activation of IL-6/STAT3 signaling pathway. Biochem. Biophys. Res. Commun. 2017, 484, 311–317. [Google Scholar] [CrossRef] [PubMed]
- Zhou, Y.; Xia, L.; Liu, Q.; Wang, H.; Lin, J.; Oyang, L.; Chen, X.; Luo, X.; Tan, S.; Tian, Y.; et al. Induction of pro-inflammatory response via activated macrophage-mediated NF-κB and STAT3 pathways in gastric cancer cells. Cell Physiol. Biochem. 2018, 47, 1399–1410. [Google Scholar] [CrossRef] [PubMed]
- Orlowski, R.Z.; Baldwin, A.S. NF-kappaB as a therapeutic target in cancer. Trends Mol. Med. 2002, 8, 385–389. [Google Scholar] [CrossRef] [PubMed]
- Chavarría-Velázquez, C.O.; Torres-Martínez, A.C.; Montaño, L.F.; Rendón-Huerta, E.P. TLR2 activation induced by H. pylori LPS promotes the differential expression of claudin-4, -6, -7 and -9 via either STAT3 and ERK1/2 in AGS cells. Immunobiology 2018, 223, 38–48. [Google Scholar] [CrossRef] [PubMed]
- Xiao, Z.; Su, Z.; Han, S.; Huang, J.; Lin, L.; Shuai, X. Dual pH-sensitive nanodrug blocks PD-1 immune checkpoint and uses T cells to deliver NF-κB inhibitor for antitumor immunotherapy. Sci. Adv. 2020, 6, eaay7785. [Google Scholar] [CrossRef]
- Lanitis, E.; Dangaj, D.; Irving, M.; Coukos, G. Mechanisms regulating T-cell infiltration and activity in solid tumors. Ann. Oncol. 2017, 28, xii18–xii32. [Google Scholar] [CrossRef] [PubMed]
- Cannito, S.; Novo, E.; Di Bonzo, L.V.; Busletta, C.; Colombatto, S.; Parola, M. Epithelial-mesenchymal transition: From molecular mechanisms, redox regulation to implications in human health and disease. Antioxid. Redox Signal. 2010, 12, 1383–1430. [Google Scholar] [CrossRef]
- Xie, F.; Zhang, Z.; Dam, H.v.; Zhang, L.; Zhou, F. Regulation of TGF-β superfamily signaling by SMAD mono-ubiquitination. Cells 2014, 3, 981–993. [Google Scholar] [CrossRef] [PubMed]
- Turini, S.; Bergandi, L.; Gazzano, E.; Prato, M.; Aldieri, E. Epithelial to mesenchymal transition in human mesothelial cells exposed to asbestos fibers: Role of TGF-β as mediator of malignant mesothelioma development or metastasis via EMT event. Int. J. Mol. Sci. 2019, 20, 150. [Google Scholar] [CrossRef] [PubMed]
- Lin, M.; Stewart, D.J.; Spitz, M.R.; Hildebrandt, M.A.T.; Lu, C.; Lin, J.; Gu, J.; Huang, M.; Lippman, S.M.; Wu, X. Genetic variations in the transforming growth factor-beta pathway as predictors of survival in advanced non-small cell lung cancer. Carcinogenesis 2011, 32, 1050–1056. [Google Scholar] [CrossRef] [PubMed]
- Javle, M.; Li, Y.; Tan, D.; Dong, X.; Chang, P.; Kar, S.; Li, D. Biomarkers of TGF-β signaling pathway and prognosis of pancreatic cancer. PLoS ONE 2014, 9, e85942. [Google Scholar] [CrossRef]
- Nakazawa, N.; Yokobori, T.; Kaira, K.; Turtoi, A.; Baatar, S.; Gombodorj, N.; Handa, T.; Tsukagoshi, M.; Ubukata, Y.; Kimura, A.; et al. High stromal TGFBI in lung cancer and intratumoral CD8-positive T cells were associated with poor prognosis and therapeutic resistance to immune checkpoint inhibitors. Ann. Surg. Oncol. 2020, 27, 933–942. [Google Scholar] [CrossRef]
- Skonier, J.; Neubauer, M.; Madisen, L.; Bennett, K.; Plowman, G.D.; Purchio, A.F. cDNA cloning and sequence analysis of beta ig-h3, a novel gene induced in a human adenocarcinoma cell line after treatment with transforming growth factor-beta. DNA Cell Biol. 1992, 11, 511–522. [Google Scholar] [CrossRef]
- Gavert, N.; Ben-Ze’ev, A. Epithelial-mesenchymal transition and the invasive potential of tumors. Trends Mol. Med. 2008, 14, 199–209. [Google Scholar] [CrossRef] [PubMed]
- Odenbreit, S.; Püls, J.; Sedlmaier, B.; Gerland, E.; Fischer, W.; Haas, R. Translocation of Helicobacter pylori CagA into gastric epithelial cells by type IV secretion. Science 2000, 287, 1497–1500. [Google Scholar] [CrossRef] [PubMed]
- Lee, D.G.; Kim, H.S.; Lee, Y.S.; Kim, S.; Cha, S.Y.; Ota, I.; Kim, N.H.; Cha, Y.H.; Yang, D.H.; Lee, Y.; et al. Helicobacter pylori CagA promotes Snail-mediated epithelial-mesenchymal transition by reducing GSK-3 activity. Nat. Commun. 2014, 5, 4423. [Google Scholar] [CrossRef]
- Yu, H.; Zeng, J.; Liang, X.; Wang, W.; Zhou, Y.; Sun, Y.; Liu, S.; Li, W.; Chen, C.; Jia, J. Helicobacter pylori promotes epithelial-mesenchymal transition in gastric cancer by downregulating programmed cell death protein 4 (PDCD4). PLoS ONE 2014, 9, e105306. [Google Scholar] [CrossRef] [PubMed]
- Costanza, B.; Umelo, I.A.; Bellier, J.; Castronovo, V.; Turtoi, A. Stromal modulators of TGF-β in cancer. J. Clin. Med. 2017, 6, 7. [Google Scholar]
- Liu, Y.; Xue, M.; Du, S.; Feng, W.; Zhang, K.; Zhang, L.; Liu, H.; Jia, G.; Wu, L.; Hu, X.; et al. Competitive endogenous RNA is an intrinsic component of EMT regulatory circuits and modulates EMT. Nat. Commun. 2019, 10, 1637. [Google Scholar] [CrossRef]
- Peng, Z.; Wan, P.; Deng, Y.; Shen, W.; Liu, R. Lipopolysaccharide exacerbates to the migration, invasion, and epithelial-mesenchymal transition of esophageal cancer cells by TLR4/NF-κB axis. Environ. Toxicol. 2023, 38, 1090–1099. [Google Scholar] [CrossRef]
- Wang, L.; Saci, A.; Szabo, P.M.; Chasalow, S.D.; Castillo-Martin, M.; Domingo-Domenech, J.; Siefker-Radtke, A.; Sharma, P.; Sfakianos, J.P.; Gong, Y.; et al. EMT- and stroma-related gene expression and resistance to PD-1 blockade in urothelial cancer. Nat. Commun. 2018, 9, 3503. [Google Scholar] [CrossRef]
- Chae, Y.K.; Chang, S.; Ko, T.; Anker, J.; Agte, S.; Iams, W.; Choi, W.M.; Lee, K.; Cruz, M. Epithelial-mesenchymal transition (EMT) signature is inversely associated with T-cell infiltration in non-small cell lung cancer (NSCLC). Sci. Rep. 2018, 8, 2918. [Google Scholar] [CrossRef]
- Gopalakrishnan, V.; Spencer, C.N.; Nezi, L.; Reuben, A.; Andrews, M.C.; Karpinets, T.V.; Prieto, P.A.; Vicente, D.; Hoffman, K.; Wei, S.C.; et al. Gut microbiome modulates response to anti-PD-1 immunotherapy in melanoma patients. Science 2018, 359, 97–103. [Google Scholar] [CrossRef]
- Eisenhauer, E.A.; Therasse, P.; Bogaerts, J.; Sargent, D.; Ford, R.; Dancey, J.; Arbuck, S.; Gwyther, S.; Mooney, M.; Rubinstein, L.; et al. New response evaluation criteria in solid tumours: Revised RECIST guideline (version 1.1). Eur. J. Cancer 2009, 45, 228–247. [Google Scholar] [CrossRef] [PubMed]
- Nakazawa, N.; Sohda, M.; Yokobori, T.; Gombodorj, N.; Sano, A.; Sakai, M.; Oyama, T.; Kuwano, H.; Shirabe, K.; Saeki, H. Cytoplasmic localization of connexin 26 suppresses transition of β-catenin into the nucleus in intestinal- and mix-type gastric cancer. Ann. Gastroenterol. Surg. 2022, 6, 505–514. [Google Scholar] [CrossRef] [PubMed]





| Variable | Presence of LPS | p-Value | |
|---|---|---|---|
| Negative | Positive | ||
| n = 150 | n = 48 | ||
| No. (%) | No. (%) | ||
| Age (years) | |||
| 65 | 63 | 0.20 | |
| Sex | |||
| Male | 108 (72.0%) | 30 (62.5%) | 0.22 |
| Female | 42 (28.0%) | 18 (37.5%) | |
| Tumor size (mm) | |||
| 65.0 ± 2.88 | 63.4 ± 5.01 | 0.78 | |
| Depth | |||
| m, sm, mp | 41 (27.3%) | 9 (18.8%) | 0.22 |
| ss, se, si | 109 (72.7%) | 39 (81.2%) | |
| Differentiation | |||
| tub1,tub2,pap | 58 (38.7%) | 15 (31.3%) | 0.35 |
| por,sig | 92 (61.3%) | 33 (68.7%) | |
| Lymph node metastasis | |||
| Absent | 48 (32.0%) | 15 (31.3%) | 0.92 |
| Present | 102 (68.0) | 33 (68.7%) | |
| Stage | |||
| I II | 77 (51.3%) | 19 (39.6%) | 0.13 |
| III IV | 71 (48.7%) | 29 (60.4%) | |
| TGFBI in stromal | |||
| Low expression | 105 (70.0%) | 16 (33.3%) | <0.0001 * |
| High expression | 44 (30.0%) | 32 (66.7%) | |
| CD8 | |||
| Low expression | 50 (33.3%) | 12 (25.0%) | 0.27 |
| High expression | 100 (66.7%) | 36 (75.0%) | |
| HER2 score | |||
| 0 | 103 (68.7%) | 38 (79.2%) | 0.012 * |
| 1,2,3 | 32 (31.3%) | 3 (20.8%) | |
| PD-L1 | |||
| Low expression | 127 (84.7%) | 31 (64.6%) | 0.0029 * |
| High expression | 22 (15.3%) | 17 (35.4%) | |
| Wnt3a | |||
| Low expression | 70 (46.7%) | 11 (22.9%) | 0.0028 * |
| High expression | 80 (53.3%) | 37 (77.1%) | |
| E-cadherin | |||
| Low expression | 69 (46.0%) | 33 (68.8%) | 0.0055 * |
| High expression | 81 (54.0%) | 15 (31.2%) | |
| Variable | Presence of LPS | p-Value | |
|---|---|---|---|
| Negative | Positive | ||
| n = 3 | n = 17 | ||
| No. (%) | No. (%) | ||
| PR + SD | 2 (66.7%) | 2 (11.8%) | 0.088 ** |
| PD | 1 (33.3%) | 15 (88.2%) | |
Disclaimer/Publisher’s Note: The statements, opinions and data contained in all publications are solely those of the individual author(s) and contributor(s) and not of MDPI and/or the editor(s). MDPI and/or the editor(s) disclaim responsibility for any injury to people or property resulting from any ideas, methods, instructions or products referred to in the content. |
© 2023 by the authors. Licensee MDPI, Basel, Switzerland. This article is an open access article distributed under the terms and conditions of the Creative Commons Attribution (CC BY) license (https://creativecommons.org/licenses/by/4.0/).
Share and Cite
Nakazawa, N.; Yokobori, T.; Sohda, M.; Hosoi, N.; Watanabe, T.; Shimoda, Y.; Ide, M.; Sano, A.; Sakai, M.; Erkhem-Ochir, B.; et al. Significance of Lipopolysaccharides in Gastric Cancer and Their Potential as a Biomarker for Nivolumab Sensitivity. Int. J. Mol. Sci. 2023, 24, 11790. https://doi.org/10.3390/ijms241411790
Nakazawa N, Yokobori T, Sohda M, Hosoi N, Watanabe T, Shimoda Y, Ide M, Sano A, Sakai M, Erkhem-Ochir B, et al. Significance of Lipopolysaccharides in Gastric Cancer and Their Potential as a Biomarker for Nivolumab Sensitivity. International Journal of Molecular Sciences. 2023; 24(14):11790. https://doi.org/10.3390/ijms241411790
Chicago/Turabian StyleNakazawa, Nobuhiro, Takehiko Yokobori, Makoto Sohda, Nobuhiro Hosoi, Takayoshi Watanabe, Yuki Shimoda, Munenori Ide, Akihiko Sano, Makoto Sakai, Bilguun Erkhem-Ochir, and et al. 2023. "Significance of Lipopolysaccharides in Gastric Cancer and Their Potential as a Biomarker for Nivolumab Sensitivity" International Journal of Molecular Sciences 24, no. 14: 11790. https://doi.org/10.3390/ijms241411790
APA StyleNakazawa, N., Yokobori, T., Sohda, M., Hosoi, N., Watanabe, T., Shimoda, Y., Ide, M., Sano, A., Sakai, M., Erkhem-Ochir, B., Ogawa, H., Shirabe, K., & Saeki, H. (2023). Significance of Lipopolysaccharides in Gastric Cancer and Their Potential as a Biomarker for Nivolumab Sensitivity. International Journal of Molecular Sciences, 24(14), 11790. https://doi.org/10.3390/ijms241411790

