Calcium-Sensing Receptor Expression in Breast Cancer
Abstract
1. Introduction
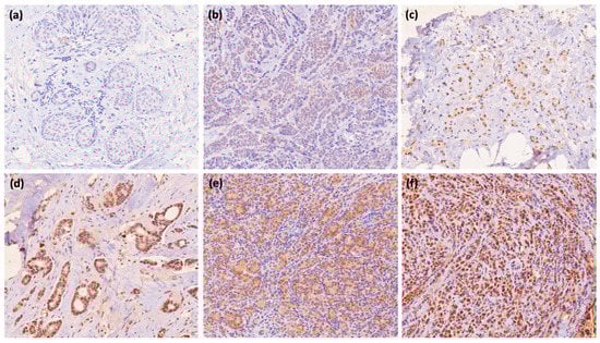
2. Results
3. Discussion
4. Materials and Methods
4.1. Patients
4.2. Immunohistochemistry
4.3. Statistical Analysis
5. Conclusions
Author Contributions
Funding
Institutional Review Board Statement
Informed Consent Statement
Data Availability Statement
Conflicts of Interest
References
- Mihai, R.; Farndon, J.R. Parathyroid disease and calcium metabolism. Br. J. Anaesth. 2000, 85, 29–43. [Google Scholar] [CrossRef] [PubMed]
- Brown, E.M.; Gamba, G.; Riccardi, D.; Lombardi, M.; Butters, R.; Kifor, O.; Sun, A.; Hediger, M.A.; Lytton, J.; Hebert, S.C. Cloning and characterization of an extracellular Ca2+-sensing receptor from bovine parathyroid. Nature 1993, 366, 575–580. [Google Scholar] [CrossRef] [PubMed]
- Diez-Fraile, A.; Lammens, T.; Benoit, Y.; D’Herde, K.G. The calcium-sensing receptor as a regulator of cellular fate in normal and pathological conditions. Curr. Mol. Med. 2013, 13, 282–295. [Google Scholar] [CrossRef]
- Tennakoon, S.; Aggarwal, A.; Kallay, E. The calcium-sensing receptor and the hallmarks of cancer. Biochim. Biophys. Acta 2016, 1863, 1398–1407. [Google Scholar] [CrossRef] [PubMed]
- Cheng, I.; Klingensmith, M.E.; Chattopadhyay, N.; Kifor, O.; Butters, R.R.; Soybel, D.I.; Brown, E.M. Identification and localization of the extracellular calcium-sensing receptor in human breast. J. Clin. Endocrinol. Metab. 1998, 83, 703–707. [Google Scholar] [CrossRef] [PubMed]
- Campos-Verdes, L.M.; Costa-Silva, D.R.; da Silva-Sampaio, J.P.; Barros-Oliveira, M.D.C.; Escórcio-Dourado, C.S.; Martins, L.M.; Sampaio, F.A.; Revoredo, C.; Alves-Ribeiro, F.A.; da Silva, B.B. Review of Polymorphism of the Calcium-Sensing Receptor Gene and Breast Cancer Risk. Cancer Investig. 2018, 36, 1–7. [Google Scholar] [CrossRef]
- Promkan, M.; Liu, G.; Patmasiriwat, P.; Chakrabarty, S. BRCA1 suppresses the expression of survivin and promotes sensitivity to paclitaxel through the calcium sensing receptor (CaSR) in human breast cancer cells. Cell Calcium 2011, 49, 79–88. [Google Scholar] [CrossRef]
- VanHouten, J.; Dann, P.; McGeoch, G.; Brown, E.M.; Krapcho, K.; Neville, M.; Wysolmerski, J.J. The calcium-sensing receptor regulates mammary gland parathyroid hormone-related protein production and calcium transport. J. Clin. Investig. 2004, 113, 598–608. [Google Scholar] [CrossRef]
- Mamillapalli, R.; VanHouten, J.; Dann, P.; Bikle, D.; Chang, W.; Brown, E.; Wysolmerski, J. Mammary-specific ablation of the calcium-sensing receptor during lactation alters maternal calcium metabolism, milk calcium transport, and neonatal calcium accrual. Endocrinology 2013, 154, 3031–3042. [Google Scholar] [CrossRef]
- Wysolmerski, J.J. Parathyroid hormone-related protein: An update. J. Clin. Endocrinol. Metab. 2012, 97, 2947–2956. [Google Scholar] [CrossRef]
- Mihai, R.; Stevens, J.; McKinney, C.; Ibrahim, N.B. Expression of the calcium receptor in human breast cancer--a potential new marker predicting the risk of bone metastases. Eur. J. Surg. Oncol. 2006, 32, 511–515. [Google Scholar] [CrossRef]
- Guise, T.A.; Yin, J.J.; Taylor, S.D.; Kumagai, Y.; Dallas, M.; Boyce, B.F.; Yoneda, T.; Mundy, G.R. Evidence for a causal role of parathyroid hormone-related protein in the pathogenesis of human breast cancer-mediated osteolysis. J. Clin. Investig. 1996, 98, 1544–1549. [Google Scholar] [CrossRef] [PubMed]
- Kim, W.; Takyar, F.M.; Swan, K.; Jeong, J.; VanHouten, J.; Sullivan, C.; Dann, P.; Yu, H.; Fiaschi-Taesch, N.; Chang, W.; et al. Calcium-Sensing Receptor Promotes Breast Cancer by Stimulating Intracrine Actions of Parathyroid Hormone-Related Protein. Cancer Res. 2016, 76, 5348–5360. [Google Scholar] [CrossRef]
- Sanders, J.L.; Chattopadhyay, N.; Kifor, O.; Yamaguchi, T.; Butters, R.R.; Brown, E.M. Extracellular calcium-sensing receptor expression and its potential role in regulating parathyroid hormone-related peptide secretion in human breast cancer cell lines. Endocrinology 2000, 141, 4357–4364. [Google Scholar] [CrossRef] [PubMed]
- Guise, T.A. Molecular mechanisms of osteolytic bone metastases. Cancer 2000, 88, 2892–2898. [Google Scholar] [CrossRef]
- Dumic-Cule, I.; Brkljacic, J.; Rogic, D.; Bordukalo Niksic, T.; Tikvica Luetic, A.; Draca, N.; Kufner, V.; Trkulja, V.; Grgurevic, L.; Vukicevic, S. Systemically available bone morphogenetic protein two and seven affect bone metabolism. Int. Orthop. 2014, 38, 1979–1985. [Google Scholar] [CrossRef] [PubMed]
- Dumic-Cule, I.; Pecina, M.; Jelic, M.; Jankolija, M.; Popek, I.; Grgurevic, L.; Vukicevic, S. Biological aspects of segmental bone defects management. Int. Orthop. 2015, 39, 1005–1011. [Google Scholar] [CrossRef]
- Vargas, S.J.; Gillespie, M.T.; Powell, G.J.; Southby, J.; Danks, J.A.; Moseley, J.M.; Martin, T.J. Localization of parathyroid hormone-related protein mRNA expression in breast cancer and metastatic lesions by in situ hybridization. J. Bone Miner. Res. 1992, 7, 971–979. [Google Scholar] [CrossRef]
- Kohno, N.; Kitazawa, S.; Sakoda, Y.; Kanbara, Y.; Furuya, Y.; Ohashi, O.; Kitazawa, R. Parathyroid Hormone-Related Protein in Breast Cancer Tissues: Relationship between Primary and Metastatic Sites. Breast Cancer 1994, 1, 43–49. [Google Scholar] [CrossRef]
- Das, S.; Clézardin, P.; Kamel, S.; Brazier, M.; Mentaverri, R. The CaSR in Pathogenesis of Breast Cancer: A New Target for Early Stage Bone Metastases. Front. Oncol. 2020, 5, 10:69. [Google Scholar] [CrossRef]
- Silver, I.A.; Murrills, R.J.; Etherington, D.J. Microelectrode studies on the acid microenvironment beneath adherent macrophages and osteoclasts. Exp. Cell Res. 1988, 175, 266–276. [Google Scholar] [CrossRef] [PubMed]
- Coleman, R.E. Skeletal complications of malignancy. Cancer 1997, 80, 1588–1594. [Google Scholar] [CrossRef]
- Boudot, C.; Hénaut, L.; Thiem, U.; Geraci, S.; Galante, M.; Saldanha, P.; Saidak, Z.; Six, I.; Clézardin, P.; Kamel, S.; et al. Overexpression of a functional calcium-sensing receptor dramatically increases osteolytic potential of MDA-MB-231 cells in a mouse model of bone metastasis through epiregulin-mediated osteoprotegerin downregulation. Oncotarget 2017, 8, 56460–56472. [Google Scholar] [CrossRef] [PubMed]
- Sharma, U.; Jagannathan, N.R. Magnetic Resonance Imaging (MRI) and MR Spectroscopic Methods in Understanding Breast Cancer Biology and Metabolism. Metabolites 2022, 12, 295. [Google Scholar] [CrossRef]
- El Hiani, Y.; Ahidouch, A.; Lehen’kyi, V.; Hague, F.; Gouilleux, F.; Mentaverri, R.; Kamel, S.; Lassoued, K.; Brûlé, G.; Ouadid-Ahidouch, H. Extracellular signal-regulated kinases 1 and 2 and TRPC1 channels are required for calcium-sensing receptor-stimulated MCF-7 breast cancer cell proliferation. Cell Physiol. Biochem. 2009, 23, 335–346. [Google Scholar] [CrossRef]
- El Hiani, Y.; Lehen’kyi, V.; Ouadid-Ahidouch, H.; Ahidouch, A. Activation of the calcium-sensing receptor by high calcium induced breast cancer cell proliferation and TRPC1 cation channel over-expression potentially through EGFR pathways. Arch. Biochem. Biophys. 2009, 486, 58–63. [Google Scholar] [CrossRef]
- Urruticoechea, A.; Smith, I.E.; Dowsett, M. Proliferation marker Ki-67 in early breast cancer. J. Clin. Oncol. 2005, 23, 7212–7220. [Google Scholar] [CrossRef]
- Petrelli, F.; Viale, G.; Cabiddu, M.; Barni, S. Prognostic value of different cut-off levels of Ki-67 in breast cancer: A systematic review and meta-analysis of 64,196 patients. Breast Cancer Res. Treat. 2015, 153, 477–491. [Google Scholar] [CrossRef]
- Surov, A.; Clauser, P.; Chang, Y.W.; Li, L.; Martincich, L.; Partridge, S.C.; Kim, J.Y.; Meyer, H.J.; Wienke, A. Can diffusion-weighted imaging predict tumor grade and expression of Ki-67 in breast cancer? A multicenter analysis. Breast Cancer Res. 2018, 20, 58. [Google Scholar] [CrossRef]
- Hua, H.; Zhang, H.; Kong, Q.; Jiang, Y. Mechanisms for estrogen receptor expression in human cancer. Exp. Hematol. Oncol. 2018, 7, 24. [Google Scholar] [CrossRef]
- Journé, F.; Dumon, J.C.; Kheddoumi, N.; Fox, J.; Laïos, I.; Leclercq, G.; Body, J.J. Extracellular calcium downregulates estrogen receptor alpha and increases its transcriptional activity through calcium-sensing receptor in breast cancer cells. Bone 2004, 35, 479–488. [Google Scholar] [CrossRef] [PubMed]
- Guangming, L.; Xin, H.; Subhas, C. Calcium sensing receptor down-regulates malignant cell behavior and promotes chemosensitivity in human breast cancer cells. Cell Calcium 2009, 45, 216–225. [Google Scholar] [CrossRef]
- Morgan, M.P.; Cooke, M.M.; McCarthy, G.M. Microcalcifications associated with breast cancer: An epiphenomenon or biologically significant feature of selected tumors? J. Mammary Gland Biol. Neoplasia 2005, 10, 181–187. [Google Scholar] [CrossRef]
- Rominger, M.B.; Steinmetz, C.; Westerman, R.; Ramaswamy, A.; Albert, U.-S. Microcalcification-associated breast cancer: Presentation, successful first excision, long-term recurrence and survival rate. Breast Care 2015, 10, 380–385. [Google Scholar] [CrossRef] [PubMed]
- Cox, R.F.; Jenkinson, A.; Pohl, K.; O’Brien, F.J.; Morgan, M.P. Osteomimicry of mammary adenocarcinoma cells in vitro; increased expression of bone matrix proteins and proliferation within a 3D collagen environment. PLoS ONE 2012, 7, e41679. [Google Scholar] [CrossRef]
- Giuliano, A.E.; Connolly, J.L.; Edge, S.B.; Mittendorf, E.A.; Rugo, H.S.; Solin, L.J.; Weaver, D.L.; Winchester, D.J.; Hortobagyi, G.N. Breast Cancer-Major changes in the American Joint Committee on Cancer eighth edition cancer staging manual. CA Cancer J. Clin. 2017, 67, 290–303. [Google Scholar] [CrossRef] [PubMed]


| N | % | ||
|---|---|---|---|
| Affected side | Left | 37 | 46.8% |
| Right | 42 | 53.2% | |
| Tumor type | Unifocal | 57 | 72.2% |
| Multicentric | 16 | 20.3% | |
| Multifocal | 6 | 7.6% | |
| Local invasion | No invasion | 59 | 74.7% |
| Skin infiltration | 7 | 8.9% | |
| Infiltration of mamilla | 6 | 7.6% | |
| Pectoral muscle infiltration | 7 | 8.9% | |
| Combination | 0 | 0.0% | |
| ER | Negative | 10 | 12.7% |
| Positive | 69 | 87.3% | |
| PR | Negative | 18 | 22.8% |
| Positive | 61 | 77.2% | |
| HER | Negative | 64 | 81.0% |
| Positive | 15 | 19.0% | |
| Ki-67 | ≤20 | 19 | 24.1% |
| >20 | 60 | 75.9% | |
| CaSR | ||
|---|---|---|
| Age (years) | Correlation coefficient | −0.076 |
| p | 0.503 | |
| N | 79 | |
| Tumor diameter (mm) | Correlation coefficient | 0.379 |
| p | 0.001 | |
| N | 79 | |
| ER (%) | Correlation coefficient | −0.240 |
| p | 0.033 | |
| N | 79 | |
| PR (%) | Correlation coefficient | −0.114 |
| p | 0.316 | |
| N | 79 | |
| HER | Correlation coefficient | 0.340 |
| p | 0.002 | |
| N | 79 | |
| Ki-67 (value) | Correlation coefficient | 0.204 |
| p | 0.072 | |
| N | 79 | |
| Grade | Correlation coefficient | 0.105 |
| p | 0.356 | |
| N | 79 | |
| LVI | Correlation coefficient | 0.217 |
| p | 0.055 | |
| N | 79 | |
| LNI | Correlation coefficient | 0.383 |
| p | <0.001 | |
| N | 79 | |
| T | Correlation coefficient | 0.214 |
| p | 0.059 | |
| N | 79 | |
| N | Correlation coefficient | 0.378 |
| p | 0.001 | |
| N | 79 | |
| M | Correlation coefficient | 0.234 |
| p | 0.038 | |
| N | 79 | |
| Ki-67 | N | Mean | SD | Min. | Max. | Centile | p | |||
|---|---|---|---|---|---|---|---|---|---|---|
| 25. | Median | 75. | ||||||||
| CaSR | ≤20 | 19 | 2.16 | 2.01 | 0.00 | 5.00 | 1.00 | 1.00 | 5.00 | 0.042 |
| >20 | 60 | 3.20 | 1.48 | 0.00 | 5.00 | 2.00 | 3.50 | 4.00 | ||
Disclaimer/Publisher’s Note: The statements, opinions and data contained in all publications are solely those of the individual author(s) and contributor(s) and not of MDPI and/or the editor(s). MDPI and/or the editor(s) disclaim responsibility for any injury to people or property resulting from any ideas, methods, instructions or products referred to in the content. |
© 2023 by the authors. Licensee MDPI, Basel, Switzerland. This article is an open access article distributed under the terms and conditions of the Creative Commons Attribution (CC BY) license (https://creativecommons.org/licenses/by/4.0/).
Share and Cite
Busic-Pavlek, I.; Dumic-Cule, I.; Kovacevic, L.; Milosevic, M.; Delimar, P.; Korsa, L.; Marusic, Z.; Prutki, M. Calcium-Sensing Receptor Expression in Breast Cancer. Int. J. Mol. Sci. 2023, 24, 11678. https://doi.org/10.3390/ijms241411678
Busic-Pavlek I, Dumic-Cule I, Kovacevic L, Milosevic M, Delimar P, Korsa L, Marusic Z, Prutki M. Calcium-Sensing Receptor Expression in Breast Cancer. International Journal of Molecular Sciences. 2023; 24(14):11678. https://doi.org/10.3390/ijms241411678
Chicago/Turabian StyleBusic-Pavlek, Iva, Ivo Dumic-Cule, Lucija Kovacevic, Milan Milosevic, Petra Delimar, Lea Korsa, Zlatko Marusic, and Maja Prutki. 2023. "Calcium-Sensing Receptor Expression in Breast Cancer" International Journal of Molecular Sciences 24, no. 14: 11678. https://doi.org/10.3390/ijms241411678
APA StyleBusic-Pavlek, I., Dumic-Cule, I., Kovacevic, L., Milosevic, M., Delimar, P., Korsa, L., Marusic, Z., & Prutki, M. (2023). Calcium-Sensing Receptor Expression in Breast Cancer. International Journal of Molecular Sciences, 24(14), 11678. https://doi.org/10.3390/ijms241411678

