Identification and Characterization of a Novel α-L-Fucosidase from Enterococcus gallinarum and Its Application for Production of 2′-Fucosyllactose
Abstract
1. Introduction
2. Results and Discussion
2.1. Obtaining α-L-Fucosidase-Producing Strains
2.2. Sequence Analysis of α-L-Fucosidase
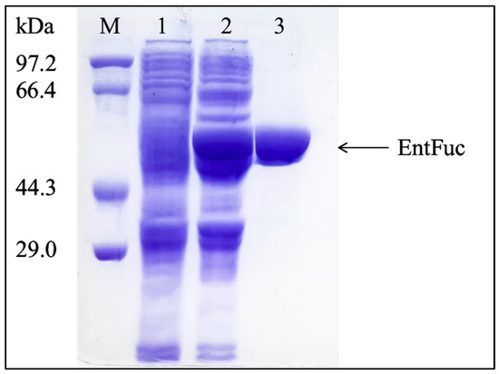
2.3. Expression and Purification of α-L-Fucosidase EntFuc
2.4. Characterizations of α-L-Fucosidase EntFuc for Hydrolytic Activity
2.5. Transglycosylation Specificity and Identification of the Synthesis of 2′FL
3. Materials and Methods
3.1. Materials
3.2. Microorganism Screening and Identification
3.3. The Sequence and Structure Analysis of α-L-Fucosidase
3.4. Cloning, Expression, and Purification of α-L-Fucosidase
3.5. Enzyme Assay
3.6. Characterizations of α-L-Fucosidase EntFuc for Hydrolytic Activity
3.7. Acceptor Specificity of EntFuc in Transfucosylation Reactions
3.8. Synthesis of 2′FL and Optimization of 2′FL
3.9. Identification of Transglycosylation Products
4. Conclusions
Author Contributions
Funding
Institutional Review Board Statement
Informed Consent Statement
Data Availability Statement
Conflicts of Interest
References
- Shi, R.; Ma, J.; Yan, Q.; Yang, S.; Fan, Z.; Jiang, Z. Biochemical characterization of a novel alpha-L-fucosidase from Pedobacter sp. and its application in synthesis of 3′-fucosyllactose and 2′-fucosyllactose. Appl. Microbiol. Biotechnol. 2020, 104, 5813–5826. [Google Scholar] [CrossRef] [PubMed]
- Leite, J.A.S.; Robinson, R.C.; Salcedo, J.; Ract, J.N.R.; Quintal, V.S.; Tadini, C.C.; Barile, D. The effect of microwave-assisted heating on bioactive and immunological compounds in donor human milk. LWT 2022, 161, 113306. [Google Scholar] [CrossRef]
- Sunds, A.V.; Roland, I.S.; Larsen, L.B.; Poulsen, N.A. Thermal stability of milk glycosidases and their activities in industrial whey preparations. LWT 2022, 164, 113633. [Google Scholar] [CrossRef]
- Newburg, D.S.; Grave, G. Recent advances in human milk glycobiology. Pediatr. Res. 2014, 75, 675–679. [Google Scholar] [CrossRef]
- McGuire, M.K.; Meehan, C.L.; McGuire, M.A.; Williams, J.E.; Foster, J.; Sellen, D.W.; Kamau-Mbuthia, E.W.; Kamundia, E.W.; Mbugua, S.; Moore, S.E.; et al. What’s normal? Oligosaccharide concentrations and profiles in milk produced by healthy women vary geographically. Am. J. Clin. Nutr. 2017, 105, 1086–1100. [Google Scholar] [CrossRef]
- Bych, K.; Miks, M.H.; Johanson, T.; Hederos, M.J.; Vigsnaes, L.K.; Becker, P. Production of HMOs using microbial hosts-from cell engineering to large scale production. Curr. Opin. Biotechnol. 2019, 56, 130–137. [Google Scholar] [CrossRef]
- Erney, R.M.; Malone, W.T.; Skelding, M.B.; Marcon, A.A.; Kleman-Leyer, K.M.; O’Ryan, M.L.; Ruiz-Palacios, G.; Hilty, M.D.; Pickering, L.K.; Prieto, P.A. Variability of human milk neutral oligosaccharides in a diverse population. J. Pediatr. Gastroenterol. Nutr. 2000, 30, 181–192. [Google Scholar] [CrossRef]
- Eskandarloo, H.; Abbaspourrad, A. Production of galacto-oligosaccharides from whey permeate using β-galactosidase immobilized on functionalized glass beads. Food Chem. 2018, 251, 115–124. [Google Scholar] [CrossRef]
- Gao, L.; Sun, J.; Secundo, F.; Gao, X.; Xue, C.; Mao, X. Cloning, characterization and substrate degradation mode of a novel chitinase from Streptomyces albolongus ATCC27414. Food Chem. 2018, 261, 329–336. [Google Scholar] [CrossRef]
- Jiang, C.; Liu, Z.; Sun, J.; Mao, X. Characterization of a Novel alpha-Neoagarobiose Hydrolase Capable of Preparation of Medium- and Long-Chain Agarooligosaccharides. Front. Bioeng. Biotechnol. 2019, 7, 470. [Google Scholar] [CrossRef]
- Li, J.; Huang, W.-C.; Gao, L.; Sun, J.; Liu, Z.; Mao, X. Efficient enzymatic hydrolysis of ionic liquid pretreated chitin and its dissolution mechanism. Carbohydr. Polym. 2019, 211, 329–335. [Google Scholar] [CrossRef] [PubMed]
- Musumeci, M.; Simpore, J.; D’Agata, A.; Sotgiu, S.; Musumeci, S. Oligosaccharides in colostrum of Italian and Burkinabe women. J. Pediatr. Gastroenterol. Nutr. 2006, 43, 372–378. [Google Scholar] [CrossRef] [PubMed]
- Zhang, S.; Jiang, H.; Xue, S.; Ge, N.; Sun, Y.; Chi, Z.; Liu, G.; Chi, Z. Efficient Conversion of Cane Molasses into Fructooligosaccharides by a Glucose Derepression Mutant of Aureobasidium melanogenum with High β-Fructofuranosidase Activity. J. Agric. Food Chem. 2019, 67, 13665–13672. [Google Scholar] [CrossRef] [PubMed]
- Zhou, W.; Jiang, H.; Wang, L.; Liang, X.; Mao, X. Biotechnological Production of 2′-Fucosyllactose: A Prevalent Fucosylated Human Milk Oligosaccharide. ACS Synth. Biol. 2021, 10, 447–458. [Google Scholar] [CrossRef] [PubMed]
- Guzmán-Rodríguez, F.; Alatorre-Santamaría, S.; Gómez-Ruiz, L.; Rodríguez-Serrano, G.; García-Garibay, M.; Cruz-Guerrero, A. Employment of fucosidases for the synthesis of fucosylated oligosaccharides with biological potential. Biotechnol. Appl. Biochem. 2019, 66, 172–191. [Google Scholar] [CrossRef]
- Guzmán-Rodríguez, F.; Alatorre-Santamaría, S.; Gómez-Ruiz, L.; Rodríguez-Serrano, G.; García-Garibay, M.; Cruz-Guerrero, A. Synthesis of a Fucosylated Trisaccharide Via Transglycosylation by α-l-Fucosidase from Thermotoga maritima. Appl. Biochem. Biotechnol. 2018, 186, 681–691. [Google Scholar] [CrossRef]
- Sakurama, H.; Tsutsumi, E.; Ashida, H.; Katayama, T.; Yamamoto, K.; Kumagai, H. Differences in the substrate specificities and active-site structures of two α-L-fucosidases (glycoside hydrolase family 29) from Bacteroides thetaiotaomicron. Biosci. Biotechnol. Biochem. 2012, 76, 1022–1024. [Google Scholar] [CrossRef]
- Grootaert, H.; Van Landuyt, L.; Hulpiau, P.; Callewaert, N. Functional exploration of the GH29 fucosidase family. Glycobiology 2020, 30, 735–745. [Google Scholar] [CrossRef]
- Zeuner, B.; Muschiol, J.; Holck, J.; Lezyk, M.; Gedde, M.R.; Jers, C.; Mikkelsen, J.D.; Meyer, A.S. Substrate specificity and transfucosylation activity of GH29 α-l-fucosidases for enzymatic production of human milk oligosaccharides. New Biotechnol. 2018, 41, 34–45. [Google Scholar] [CrossRef]
- Lezyk, M.; Jers, C.; Kjaerulff, L.; Gotfredsen, C.H.; Mikkelsen, M.D.; Mikkelsen, J.D. Novel alpha-L-Fucosidases from a Soil Metagenome for Production of Fucosylated Human Milk Oligosaccharides. PLoS ONE 2016, 11, e0147438. [Google Scholar] [CrossRef]
- Zhou, W.; Jiang, H.; Liang, X.; Qiu, Y.; Wang, L.; Mao, X. Discovery and characterization of a novel alpha-l-fucosidase from the marine-derived Flavobacterium algicola and its application in 2′-fucosyllactose production. Food Chem. 2022, 369, 130942. [Google Scholar] [CrossRef] [PubMed]
- Shaikh, F.A.; Lammerts van Bueren, A.; Davies, G.J.; Withers, S.G. Identifying the Catalytic Acid/Base in GH29 α-l-Fucosidase Subfamilies. Biochemistry 2013, 52, 5857–5864. [Google Scholar] [CrossRef] [PubMed]
- Perrella, N.N.; Withers, S.G.; Lopes, A.R. Identity and role of the non-conserved acid/base catalytic residue in the GH29 fucosidase from the spider Nephilingis cruentata. Glycobiology 2018, 28, 925–932. [Google Scholar] [CrossRef] [PubMed]
- Sela, D.A.; Garrido, D.; Lerno, L.; Wu, S.; Tan, K.; Eom, H.-J.; Joachimiak, A.; Lebrilla, C.B.; Mills, D.A. Bifidobacterium longum subsp. infantis ATCC 15697 alpha-Fucosidases Are Active on Fucosylated Human Milk Oligosaccharides. Appl. Environ. Microbiol. 2012, 78, 795–803. [Google Scholar] [CrossRef] [PubMed]
- Dong, S.; Chang, Y.; Shen, J.; Xue, C.; Chen, F. Purification, expression and characterization of a novel α-l-fucosidase from a marine bacteria Wenyingzhuangia fucanilytica. Protein Expr. Purif. 2017, 129, 9–17. [Google Scholar] [CrossRef]
- Rodríguez-Díaz, J.; Monedero, V.; Yebra, M.J. Utilization of natural fucosylated oligosaccharides by three novel alpha-L-fucosidases from a probiotic Lactobacillus casei strain. Appl. Environ. Microbiol. 2011, 77, 703–705. [Google Scholar] [CrossRef]
- Megson, Z.A.; Koerdt, A.; Schuster, H.; Ludwig, R.; Janesch, B.; Frey, A.; Naylor, K.; Wilson, I.B.; Stafford, G.P.; Messner, P.; et al. Characterization of an α-l-fucosidase from the periodontal pathogen Tannerella forsythia. Virulence 2015, 6, 282–292. [Google Scholar] [CrossRef]
- Sano, M.; Hayakawa, K.; Kato, I. Purification and characterization of an enzyme releasing lacto-N-biose from oligosaccharides with type 1 chain. J. Biol. Chem. 1993, 268, 18560–18566. [Google Scholar] [CrossRef]
- Fan, S.; Zhang, H.; Chen, X.; Lu, L.; Xu, L.; Xiao, M. Cloning, characterization, and production of three α-L-fucosidases from Clostridium perfringens ATCC 13124. J. Basic Microbiol. 2016, 56, 347–357. [Google Scholar] [CrossRef]
- Ashida, H.; Miyake, A.; Kiyohara, M.; Wada, J.; Yoshida, E.; Kumagai, H.; Katayama, T.; Yamamoto, K. Two distinct alpha-L-fucosidases from Bifidobacterium bifidum are essential for the utilization of fucosylated milk oligosaccharides and glycoconjugates. Glycobiology 2009, 19, 1010–1017. [Google Scholar] [CrossRef]
- Liu, X.; Geng, X.; Liu, W.; Lyu, Q. Biochemical characterization of an α-fucosidase PsaFuc from the GH29 family. Process Biochem. 2022, 122, 258–266. [Google Scholar] [CrossRef]
- Sulzenbacher, G.; Bignon, C.; Nishimura, T.; Tarling, C.A.; Withers, S.G.; Henrissat, B.; Bourne, Y. Crystal structure of Thermotoga maritima alpha-L-fucosidase.Insights into the catalytic mechanism and the molecular basis for fucosidosis. J. Biol. Chem. 2004, 279, 13119–13128. [Google Scholar] [CrossRef] [PubMed]
- Mathieu, S.; Touvrey, M.; Poulet, L.; Drouillard, S.; Ulaganathan, T.S.; Ségurel, L.; Cygler, M.; Helbert, W. The porphyran degradation system of the human gut microbiota is complete, phylogenetically diverse and geographically structured across Asian populations. bioRxiv 2023. [Google Scholar] [CrossRef]
- Guo, Y.; Gao, Z.; Xu, J.; Chang, S.; Wu, B.; He, B. A family 30 glucurono-xylanase from Bacillus subtilis LC9: Expression, characterization and its application in Chinese bread making. Int. J. Biol. Macromol. 2018, 117, 377–384. [Google Scholar] [CrossRef]
- Bradford, M.M. A rapid and sensitive method for the quantitation of microgram quantities of protein utilizing the principle of protein-dye binding. Anal. Biochem. 1976, 72, 248–254. [Google Scholar] [CrossRef] [PubMed]
- Paper, J.M.; Scott-Craig, J.S.; Cavalier, D.; Faik, A.; Wiemels, R.E.; Borrusch, M.S.; Bongers, M.; Walton, J.D. α-Fucosidases with different substrate specificities from two species of Fusarium. Appl. Microbiol. Biotechnol. 2013, 97, 5371–5380. [Google Scholar] [CrossRef] [PubMed]
- Zhou, F.; Xu, Y.; Mu, X.Q.; Nie, Y. A Sustainable Approach for Synthesizing (R)-4-Aminopentanoic Acid from Levulinic Acid Catalyzed by Structure-Guided Tailored Glutamate Dehydrogenase. Front. Bioeng. Biotechnol. 2022, 9, 770302. [Google Scholar] [CrossRef] [PubMed]




,
,
represent pH 3–6, pH 6–8, and pH 8–10, respectively. (b)The pH stability assay. (c) The effects of temperature on the activity of EntFuc. (d) The temperature stability assay.
,
,
represent pH 3–6, pH 6–8, and pH 8–10, respectively. (b)The pH stability assay. (c) The effects of temperature on the activity of EntFuc. (d) The temperature stability assay.





| Strains | Conversion Rate (%) |
|---|---|
| ZS0 | 3.4 |
| ZS1 | 8.0 |
| ZS2 | 3.6 |
| ZS3 | 4.3 |
| ZS4 | 5.2 |
| ZS5 | 2.7 |
| ZS6 | <2.0 |
| ZS7 | <2.0 |
Disclaimer/Publisher’s Note: The statements, opinions and data contained in all publications are solely those of the individual author(s) and contributor(s) and not of MDPI and/or the editor(s). MDPI and/or the editor(s) disclaim responsibility for any injury to people or property resulting from any ideas, methods, instructions or products referred to in the content. |
© 2023 by the authors. Licensee MDPI, Basel, Switzerland. This article is an open access article distributed under the terms and conditions of the Creative Commons Attribution (CC BY) license (https://creativecommons.org/licenses/by/4.0/).
Share and Cite
Zhang, Z.; Li, Y.; Wu, M.; Gao, Z.; Wu, B.; He, B. Identification and Characterization of a Novel α-L-Fucosidase from Enterococcus gallinarum and Its Application for Production of 2′-Fucosyllactose. Int. J. Mol. Sci. 2023, 24, 11555. https://doi.org/10.3390/ijms241411555
Zhang Z, Li Y, Wu M, Gao Z, Wu B, He B. Identification and Characterization of a Novel α-L-Fucosidase from Enterococcus gallinarum and Its Application for Production of 2′-Fucosyllactose. International Journal of Molecular Sciences. 2023; 24(14):11555. https://doi.org/10.3390/ijms241411555
Chicago/Turabian StyleZhang, Ziyu, Yuting Li, Mujunqi Wu, Zhen Gao, Bin Wu, and Bingfang He. 2023. "Identification and Characterization of a Novel α-L-Fucosidase from Enterococcus gallinarum and Its Application for Production of 2′-Fucosyllactose" International Journal of Molecular Sciences 24, no. 14: 11555. https://doi.org/10.3390/ijms241411555
APA StyleZhang, Z., Li, Y., Wu, M., Gao, Z., Wu, B., & He, B. (2023). Identification and Characterization of a Novel α-L-Fucosidase from Enterococcus gallinarum and Its Application for Production of 2′-Fucosyllactose. International Journal of Molecular Sciences, 24(14), 11555. https://doi.org/10.3390/ijms241411555

