Unleashing the Influence of cAMP Receptor Protein: The Master Switch of Bacteriocin Export in Pectobacterium carotovorum subsp. carotovorum
Abstract
1. Introduction
2. Results
2.1. Construction of CRP Mutant
2.2. CRP Knockout Experiments
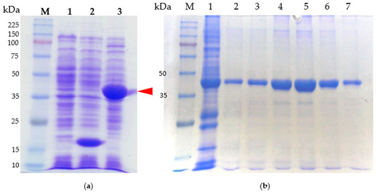
2.3. Purification and Characterization of CRP
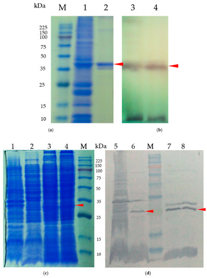
2.4. Production of Anti-CRP Polyclonal Antibody
2.5. Specificity of CRP
2.6. Analysis of CRP and Promoter Binding Region
3. Discussion
4. Materials and Methods
5. Conclusions
Supplementary Materials
Author Contributions
Funding
Institutional Review Board Statement
Informed Consent Statement
Data Availability Statement
Conflicts of Interest
References
- Chuang, D.Y.; Chien, Y.C.; Wu, H.P. Cloning and Expression of the Erwinia carotovora subsp. carotovora Gene Encoding the Low-Molecular-Weight Bacteriocin Carocin S1. J. Bacteriol. 2007, 189, 620–626. [Google Scholar] [CrossRef]
- Wang, J.-W.; Derilo, R.C.; Lagitnay, R.B.; Wu, H.-P.; Chen, K.-I.; Chuang, D.-Y. Identification and Characterization of the Bacteriocin Carocin S3 from the Multiple Bacteriocin Producing Strain of Pectobacterium carotovorum subsp. Carotovorum. BMC Microbiol. 2020, 20, 273. [Google Scholar] [CrossRef]
- Chan, Y.-C.; Wu, J.-L.; Wu, H.-P.; Tzeng, K.-C.; Chuang, D.-Y. Cloning, Purification, and Functional Characterization of Carocin S2, a Ribonuclease Bacteriocin Produced by Pectobacterium carotovorum. BMC Microbiol. 2011, 11, 99. [Google Scholar] [CrossRef]
- Roh, E.; Park, T.-H.; Kim, M.-I.; Lee, S.; Ryu, S.; Oh, C.-S.; Rhee, S.; Kim, D.-H.; Park, B.-S.; Heu, S. Characterization of a New Bacteriocin, Carocin D, from Pectobacterium carotovorum subsp. carotovorum PCC21. Appl. Environ. Microbiol. 2010, 76, 7541–7549. [Google Scholar] [CrossRef]
- Grinter, R.; Milner, J.; Walker, D. Ferredoxin Containing Bacteriocins Suggest a Novel Mechanism of Iron Uptake in Pectobacterium spp. PLoS ONE 2012, 7, e33033. [Google Scholar] [CrossRef]
- Rooney, W.M.; Chai, R.; Milner, J.J.; Walker, D. Bacteriocins Targeting Gram-Negative Phytopathogenic Bacteria: Plantibiotics of the Future. Front. Microbiol. 2020, 11, 575981. [Google Scholar] [CrossRef]
- Wilharm, G.; Heider, C. Interrelationship between Type Three Secretion System and Metabolism in Pathogenic Bacteria. Front. Cell. Infect. Microbiol. 2014, 4, 150. [Google Scholar] [CrossRef]
- Poncet, S.; Milohanic, E.; Mazé, A.; Abdallah, J.N.; Aké, F.; Larribe, M.; Deghmane, A.E.; Taha, M.K.; Dozot, M.; De Bolle, X.; et al. Correlations between Carbon Metabolism and Virulence in Bacteria. Contrib. Microbiol. 2009, 16, 88–102. [Google Scholar] [CrossRef]
- Romeo, T. Global Regulation by the Small RNA-binding Protein CSRA and the Non-coding RNA Molecule CsrB. Mol. Microbiol. 1998, 29, 1321–1330. [Google Scholar] [CrossRef]
- Görke, B.; Stülke, J. Carbon Catabolite Repression in Bacteria: Many Ways to Make the Most out of Nutrients. Nat. Rev. Microbiol. 2008, 6, 613–624. [Google Scholar] [CrossRef]
- La, M.V.; Raoult, D.; Renesto, P. Regulation of Whole Bacterial Pathogen Transcription within Infected Hosts. FEMS Microbiol. Rev. 2008, 32, 440–460. [Google Scholar] [CrossRef]
- Dalebroux, Z.D.; Svensson, S.L.; Gaynor, E.C.; Swanson, M.S. PpGpp Conjures Bacterial Virulence. Microbiol. Mol. Biol. Rev. 2010, 74, 171–199. [Google Scholar] [CrossRef]
- Heroven, A.K.; Böhme, K.; Dersch, P.T. The CSR/RSM System of Yersinia and Related Pathogens. RNA Biol. 2012, 9, 379–391. [Google Scholar] [CrossRef]
- Galán, J.E.; Lara-Tejero, M.; Marlovits, T.C.; Wagner, S. Bacterial Type III Secretion Systems: Specialized Nanomachines for Protein Delivery into Target Cells. Annu. Rev. Microbiol. 2014, 68, 415–438. [Google Scholar] [CrossRef]
- Deng, W.; Marshall, N.C.; Rowland, J.L.; McCoy, J.M.; Worrall, L.J.; Santos, A.S.; Strynadka, N.C.; Finlay, B.B. Assembly, Structure, Function and Regulation of Type III Secretion Systems. Nat. Rev. Microbiol. 2017, 15, 323–337. [Google Scholar] [CrossRef]
- Wagner, S.; Grin, I.; Malmsheimer, S.; Singh, N.; Torres-Vargas, C.E.; Westerhausen, S. Bacterial Type III Secretion Systems: A Complex Device for the Delivery of Bacterial Effector Proteins into Eukaryotic Host Cells. FEMS Microbiol. Lett. 2018, 365, fny201. [Google Scholar] [CrossRef]
- Leinisch, F.; Mariotti, M.; Andersen, S.H.; Lindemose, S.; Hägglund, P.; Møllegaard, N.E.; Davies, M.J. UV Oxidation of Cyclic AMP Receptor Protein, a Global Bacterial Gene Regulator, Decreases DNA Binding and Cleaves DNA at Specific Sites. Sci. Rep. 2020, 10, 3106. [Google Scholar] [CrossRef]
- Santos-Zavaleta, A.; Salgado, H.; Gama-Castro, S.; Sánchez-Pérez, M.; Gómez-Romero, L.; Ledezma-Tejeida, D.; García-Sotelo, J.S.; Alquicira-Hernández, K.; Muñiz-Rascado, L.J.; Peña-Loredo, P.; et al. REGULONDB V 10.5: Tackling Challenges to Unify Classic and High Throughput Knowledge of Gene Regulation in E. coli K-12. Nucleic Acids Res. 2018, 47, D212–D220. [Google Scholar] [CrossRef]
- Grainger, D.C.; Hurd, D.; Harrison, M.; Holdstock, J.; Busby, S.J. Studies of the distribution of Escherichia coli cAMP-receptor protein and RNA polymerase along the E. coli chromosome. Proc. Natl. Acad. Sci. USA 2005, 102, 17693–17698. [Google Scholar] [CrossRef]
- Robison, K.; McGuire, A.M.; Church, G.M. A Comprehensive Library of DNA-Binding Site Matrices for 55 Proteins Applied to the Complete Escherichia Coli K-12 Genome. J. Mol. Biol. 1998, 284, 241–254. [Google Scholar] [CrossRef]
- Leduc, J.L.; Roberts, G.P. Cyclic Di-GMP Allosterically Inhibits the CRP-like Protein (CLP) of Xanthomonas Axonopodis pv. citri. J. Bacteriol. 2009, 191, 7121–7122. [Google Scholar] [CrossRef]
- Fang, X.; Gomelsky, M. A Post-Translational, C-Di-GMP-Dependent Mechanism Regulating Flagellar Motility. Mol. Microbiol. 2010, 76, 1295–1305. [Google Scholar] [CrossRef]
- Yang, S.; Xu, H.; Wang, J.; Liu, C.; Lu, H.; Liu, M.; Zhao, Y.; Tian, B.; Wang, L.; Hua, Y. Cyclic AMP Receptor Protein Acts as a Transcription Regulator in Response to Stresses in Deinococcus Radiodurans. PLoS ONE 2016, 11, e0155010. [Google Scholar] [CrossRef]
- Reverchon, S.; Expert, D.; Robert-Baudouy, J.; Nasser, W. The Cyclic AMP Receptor Protein Is the Main Activator of Pectinolysis Genes in Erwinia Chrysanthemi. J. Bacteriol. 1997, 179, 3500–3508. [Google Scholar] [CrossRef]
- Bolivar, F.; Rodriguez, R.L.; Greene, P.J.; Betlach, M.C.; Heyneker, H.L.; Boyer, H.W.; Crosa, J.H.; Falkow, S. Construction and Characterization of New Cloning Vehicle. II. A Multipurpose Cloning System. Gene 1977, 2, 95–113. [Google Scholar] [CrossRef]
- Hockett, K.L.; Baltrus, D.A. Use of the Soft-Agar Overlay Technique to Screen for Bacterially Produced Inhibitory Compounds. J. Vis. Exp. 2017, 119, 55064. [Google Scholar] [CrossRef]
- Chen, Z.W.; Hsuan, S.L.; Liao, J.W.; Chen, T.H.; Wu, C.M.; Lee, W.C.; Lin, C.C.; Liao, C.M.; Yeh, K.S.; Winton, J.R.; et al. Mutations in the Salmonella Enterica Serovar Choleraesuis Camp-Receptor Protein Gene Lead to Functional Defects in the SPI-1 Type III Secretion System. Vet. Res. 2009, 41, 5. [Google Scholar] [CrossRef][Green Version]
- Fong, J.C.; Yildiz, F.H. Interplay between Cyclic AMP-Cyclic AMP Receptor Protein and Cyclic Di-GMP Signaling in Vibrio Cholerae Biofilm Formation. J. Bacteriol. 2008, 190, 6646–6659. [Google Scholar] [CrossRef]
- Fazli, M.; O’Connell, A.; Nilsson, M.; Niehaus, K.; Dow, J.M.; Givskov, M.; Ryan, R.P.; Tolker-Nielsen, T. The CRP/FNR Family Protein BCAM1349 Is a C-Di-GMP Effector That Regulates Biofilm Formation in the Respiratory Pathogen Burkholderia Cenocepacia. Mol. Microbiol. 2011, 82, 327–341. [Google Scholar] [CrossRef]
- Zink, R.T.; Engwall, J.K.; McEvoy, J.L.; Chatterjee, A.K. RecA Is Required in the Induction of Pectin Lyase and Carotovoricin in Erwinia Carotovora Subsp. Carotovora. J. Bacteriol. 1985, 164, 390–396. [Google Scholar] [CrossRef]
- Podlesek, Z.; Žgur Bertok, D. The DNA Damage Inducible SOS Response Is a Key Player in the Generation of Bacterial Persister Cells and Population Wide Tolerance. Front. Microbiol. 2020, 11, 1785. [Google Scholar] [CrossRef]
- Park, T.H.; Choi, B.S.; Choi, A.Y.; Choi, I.Y.; Heu, S.; Park, B.S. Genome Sequence of Pectobacterium carotovorum subsp. Carotovorum Strain PCC21, a Pathogen Causing Soft Rot in Chinese Cabbage. J. Bacteriol. 2012, 194, 6345–6346. [Google Scholar] [CrossRef]
- Tsai, M.J.; Wang, J.R.; Yang, C.D.; Kao, K.C.; Huang, W.L.; Huang, H.Y.; Tseng, C.P.; Huang, H.D.; Ho, S.Y. PREDCRP: Predicting and Analysing the Regulatory Roles of CRP from Its Binding Sites in Escherichia coli. Sci. Rep. 2018, 8, 951. [Google Scholar] [CrossRef]
- Chan, C.; Paul, R.; Samoray, D.; Amiot, N.C.; Giese, B.; Jenal, U.; Schirmer, T. Structural Basis of Activity and Allosteric Control of Diguanylate Cyclase. Proc. Natl. Acad. Sci. USA 2004, 101, 17084–17089. [Google Scholar] [CrossRef]
- Mills, E.; Pultz, I.S.; Kulasekara, H.D.; Miller, S.I. The Bacterial Second Messenger C-Di-GMP: Mechanisms of Signalling. Cell. Microbiol. 2011, 13, 1122–1129. [Google Scholar] [CrossRef]
- Won, H.S.; Lee, Y.S.; Lee, S.H.; Lee, B.J. Structural Overview on the Allosteric Activation of Cyclic AMP Receptor Protein. Biochim. Et Biophys. Acta (BBA)-Proteins Proteom. 2009, 1794, 1299–1308. [Google Scholar] [CrossRef]
- Popovych, N.; Tzeng, S.R.; Tonelli, M.; Ebright, R.H.; Kalodimos, C.G. Structural Basis for Camp-Mediated Allosteric Control of the Catabolite Activator Protein. Proc. Natl. Acad. Sci. USA 2009, 106, 6927–6932. [Google Scholar] [CrossRef]
- Hanahan, D. Studies on Transformation of Escherichia coli with Plasmids. J. Mol. Biol. 1983, 166, 557–580. [Google Scholar] [CrossRef]
- Reusch, R.N.; Hiske, T.W.; Sadoff, H.L. Poly-Beta-Hydroxybutyrate Membrane Structure and Its Relationship to Genetic Transformability in Escherichia coli. J. Bacteriol. 1986, 168, 553–562. [Google Scholar] [CrossRef]
- Sambrook, J.; Russel, D.W. Molecular Cloning: A laboratory Manual, 3rd ed.; Cold Spring Harbor Laboratory Press: New York, NY, USA, 2001. [Google Scholar]
- Liu, H.; Naismith, J.H. An Efficient One-Step Site-Directed Deletion, Insertion, Single and Multiple-Site Plasmid Mutagenesis Protocol. BMC Biotechnol. 2008, 8, 91. [Google Scholar] [CrossRef]
- Addgene: Handling Plasmids from Addgene—Purifying Plasmid DNA. Addgene.org. Available online: https://www.addgene.org/protocols/purify-plasmid-dna/ (accessed on 28 May 2021).
- Gantotti, B.V.; Kindle, K.L.; Beer, S.V. Transfer of the Drug-Resistance Transposon TN5 Toerwinia Herbicola and the Induction of Insertion Mutations. Curr. Microbiol. 1981, 6, 377–381. [Google Scholar] [CrossRef]









| Strain or Plasmid | Relevant Characteristics | Source of Reference |
|---|---|---|
| Escherichia coli | ||
| DH5α | SupE44 ΔlacU169 (Φ80 lacZ ΔM15) hsdR17 recA1 endA1 gyrA96 thi-l relA1 | Hanahan; Reusch et al. [38,39] |
| BL21(DE3) | hsdS gal(λcIts857 ind1 Sam7 nin5 lacUV5-T7 gene 1) | Novagen |
| Pectobacterium carotovorum subsp. carotovorum | ||
| TO6 | Pcc, Ampr, wild-type, putative biocontrol agent | Laboratory stock |
| Rif-TO6 | Pcc, Ampr, Rifr, wild-type | Laboratory stock |
| 89-H-4 | Pcc, Ampr, wild-type, putative biocontrol agent | Laboratory stock |
| 89-H-rif-12 | Pcc, Ampr, Rifr, wild-type | Laboratory stock |
| 3F3 | Pcc, Ampr, wild-type | Laboratory stock |
| EA1068 | Pcc, wild-type indicator strain | Laboratory stock |
| H-rif-CK (Δcrp::kan) | H-89-4, Δcrp, Rifr, Kanr | This study |
| H-rif-8-6 | Pcc, Ampr, wild-type, putative biocontrol agent | This study |
| TT6-6 | TO6, Δdgc, Rifr, Kanr | This study |
| Plasmids | ||
| pGEM T-Easy | Ampr, lacZ cloning vector | Promega |
| pBR322 | Ampr, Tetr | Bolivar et al. [26] |
| pG-crp | pGEM T-Easy Vector, crp gene Ampr | This study |
| pG-CT (Δcrp::tet) | pGEM T-Easy Vector, crp gene Ampr, Tetr | This study |
| pG-Tet | pGEM T-Easy, Ampr, Tetr | Laboratory stock |
Disclaimer/Publisher’s Note: The statements, opinions and data contained in all publications are solely those of the individual author(s) and contributor(s) and not of MDPI and/or the editor(s). MDPI and/or the editor(s) disclaim responsibility for any injury to people or property resulting from any ideas, methods, instructions or products referred to in the content. |
© 2023 by the authors. Licensee MDPI, Basel, Switzerland. This article is an open access article distributed under the terms and conditions of the Creative Commons Attribution (CC BY) license (https://creativecommons.org/licenses/by/4.0/).
Share and Cite
Chang, C.-P.; Lagitnay, R.B.J.S.; Li, T.-R.; Lai, W.-T.; Derilo, R.C.; Chuang, D.-Y. Unleashing the Influence of cAMP Receptor Protein: The Master Switch of Bacteriocin Export in Pectobacterium carotovorum subsp. carotovorum. Int. J. Mol. Sci. 2023, 24, 9752. https://doi.org/10.3390/ijms24119752
Chang C-P, Lagitnay RBJS, Li T-R, Lai W-T, Derilo RC, Chuang D-Y. Unleashing the Influence of cAMP Receptor Protein: The Master Switch of Bacteriocin Export in Pectobacterium carotovorum subsp. carotovorum. International Journal of Molecular Sciences. 2023; 24(11):9752. https://doi.org/10.3390/ijms24119752
Chicago/Turabian StyleChang, Chung-Pei, Ruchi Briam James Sersenia Lagitnay, Tzu-Rong Li, Wei-Ting Lai, Reymund Calanga Derilo, and Duen-Yau Chuang. 2023. "Unleashing the Influence of cAMP Receptor Protein: The Master Switch of Bacteriocin Export in Pectobacterium carotovorum subsp. carotovorum" International Journal of Molecular Sciences 24, no. 11: 9752. https://doi.org/10.3390/ijms24119752
APA StyleChang, C.-P., Lagitnay, R. B. J. S., Li, T.-R., Lai, W.-T., Derilo, R. C., & Chuang, D.-Y. (2023). Unleashing the Influence of cAMP Receptor Protein: The Master Switch of Bacteriocin Export in Pectobacterium carotovorum subsp. carotovorum. International Journal of Molecular Sciences, 24(11), 9752. https://doi.org/10.3390/ijms24119752

