Distinctive Toll-like Receptors Gene Expression and Glial Response in Different Brain Regions of Natural Scrapie
Abstract
1. Introduction
2. Results
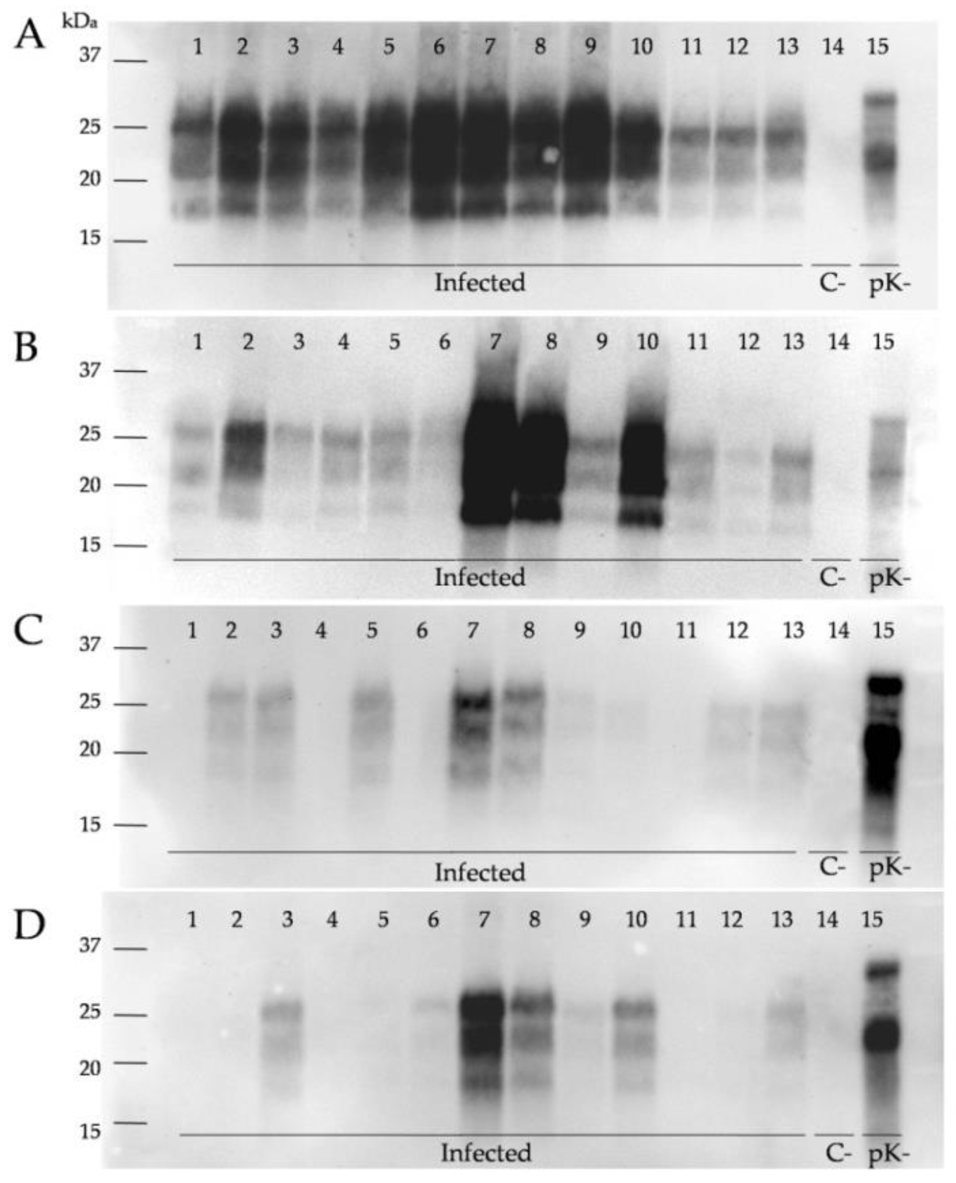
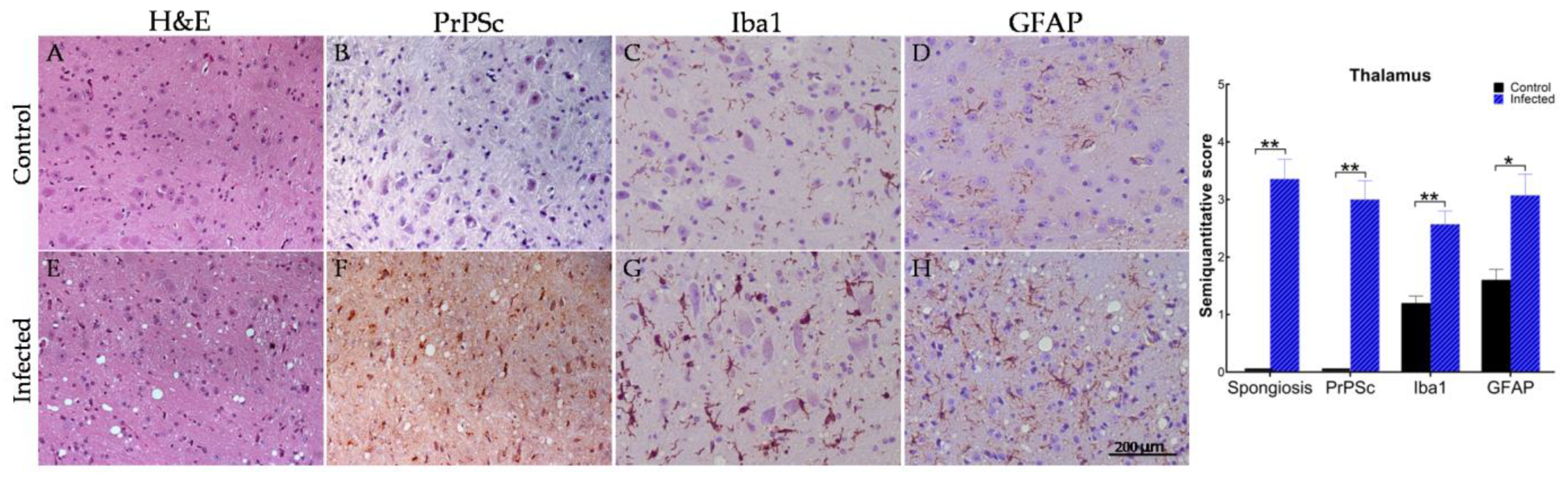
2.1. Scrapie Neuropathology of Naturally Infected Sheep
2.2. Neuropathological Features in Hippocampus of Sheep Naturally Infected with Scrapie
2.3. Neuropathology of Scrapie-Infected tg338 Mice
2.4. Inflammatory Effect of Scrapie Infection in CNS Alters Gene Expression of TLRs, MyD88, Trif, CD36, and Pro- and Anti-Inflammatory Cytokines
2.5. Assessment of TLR4 Protein Levels Confirms Upregulation Detected by qPCR in Scrapie-Infected Sheep
3. Discussion
4. Materials and Methods
4.1. Scrapie-Infected and Control Sheep
4.2. Infection of Tg338 Mouse
4.3. Tissue Collection
4.4. PRNP Sequencing
4.5. Immunohistochemistry
4.6. Western Blot
4.7. RNA Extraction, cDNA Synthesis, and Gene Expression
4.8. Data Analysis and Statistics
5. Conclusions
Supplementary Materials
Author Contributions
Funding
Institutional Review Board Statement
Informed Consent Statement
Data Availability Statement
Acknowledgments
Conflicts of Interest
References
- Andreoletti, O.; Berthon, P.; Marc, D.; Sarradin, P.; Grosclaude, J.; van Keulen, L.; Schelcher, F.; Elsen, J.M.; Lantier, F. Early accumulation of PrP(Sc) in gut-associated lymphoid and nervous tissues of susceptible sheep from a Romanov flock with natural scrapie. J. Gen. Virol. 2000, 81 Pt 12, 3115–3126. [Google Scholar] [CrossRef] [PubMed]
- Prusiner, S.B. Prion diseases and the BSE crisis. Science 1997, 278, 245–251. [Google Scholar] [CrossRef] [PubMed]
- McBride, P.A.; Schulz-Schaeffer, W.J.; Donaldson, M.; Bruce, M.; Diringer, H.; Kretzschmar, H.A.; Beekes, M. Early spread of scrapie from the gastrointestinal tract to the central nervous system involves autonomic fibers of the splanchnic and vagus nerves. J. Virol. 2001, 75, 9320–9327. [Google Scholar] [CrossRef]
- Mabbott, N.A.; MacPherson, G.G. Prions and their lethal journey to the brain. Nat. Rev. Microbiol. 2006, 4, 201–211. [Google Scholar] [CrossRef]
- Wemheuer, W.M.; Benestad, S.L.; Wrede, A.; Wemheuer, W.E.; Brenig, B.; Bratberg, B.; Schulz-Schaeffer, W.J. PrPSc spreading patterns in the brain of sheep linked to different prion types. Vet. Res. 2011, 42, 32. [Google Scholar] [CrossRef]
- Betmouni, S.; Perry, V.H.; Gordon, J.L. Evidence for an early inflammatory response in the central nervous system of mice with scrapie. Neuroscience 1996, 74, 1–5. [Google Scholar] [CrossRef]
- Sandberg, M.K.; Al-Doujaily, H.; Sharps, B.; De Oliveira, M.W.; Schmidt, C.; Richard-Londt, A.; Lyall, S.; Linehan, J.M.; Brandner, S.; Wadsworth, J.D.; et al. Prion neuropathology follows the accumulation of alternate prion protein isoforms after infective titre has peaked. Nat. Commun. 2014, 5, 4347. [Google Scholar] [CrossRef]
- Vincenti, J.E.; Murphy, L.; Grabert, K.; McColl, B.W.; Cancellotti, E.; Freeman, T.C.; Manson, J.C. Defining the Microglia Response during the Time Course of Chronic Neurodegeneration. J. Virol. 2015, 90, 3003–3017. [Google Scholar] [CrossRef]
- Aguzzi, A.; Zhu, C. Microglia in prion diseases. J. Clin. Investig. 2017, 127, 3230–3239. [Google Scholar] [CrossRef]
- Obst, J.; Simon, E.; Mancuso, R.; Gomez-Nicola, D. The Role of Microglia in Prion Diseases: A Paradigm of Functional Diversity. Front. Aging Neurosci. 2017, 9, 207. [Google Scholar] [CrossRef]
- Lawson, L.J.; Perry, V.H.; Dri, P.; Gordon, S. Heterogeneity in the distribution and morphology of microglia in the normal adult mouse brain. Neuroscience 1990, 39, 151–170. [Google Scholar] [CrossRef]
- Matyash, V.; Kettenmann, H. Heterogeneity in astrocyte morphology and physiology. Brain Res. Rev. 2010, 63, 2–10. [Google Scholar] [CrossRef] [PubMed]
- Bachiller, S.; Jimenez-Ferrer, I.; Paulus, A.; Yang, Y.; Swanberg, M.; Deierborg, T.; Boza-Serrano, A. Microglia in Neurological Diseases: A Road Map to Brain-Disease Dependent-Inflammatory Response. Front. Cell. Neurosci. 2018, 12, 488. [Google Scholar] [CrossRef] [PubMed]
- Fernandez-Arjona, M.D.M.; Grondona, J.M.; Granados-Duran, P.; Fernandez-Llebrez, P.; Lopez-Avalos, M.D. Microglia Morphological Categorization in a Rat Model of Neuroinflammation by Hierarchical Cluster and Principal Components Analysis. Front. Cell. Neurosci. 2017, 11, 235. [Google Scholar] [CrossRef] [PubMed]
- Makarava, N.; Mychko, O.; Chang, J.C.; Molesworth, K.; Baskakov, I.V. The degree of astrocyte activation is predictive of the incubation time to prion disease. Acta Neuropathol. Commun. 2021, 9, 87. [Google Scholar] [CrossRef]
- Makarava, N.; Chang, J.C.; Kushwaha, R.; Baskakov, I.V. Region-Specific Response of Astrocytes to Prion Infection. Front. Neurosci. 2019, 13, 1048. [Google Scholar] [CrossRef]
- Carroll, J.A.; Chesebro, B. Neuroinflammation, Microglia, and Cell-Association during Prion Disease. Viruses 2019, 11, 65. [Google Scholar] [CrossRef]
- Makarava, N.; Chang, J.C.; Baskakov, I.V. Region-Specific Sialylation Pattern of Prion Strains Provides Novel Insight into Prion Neurotropism. Int. J. Mol. Sci. 2020, 21, 828. [Google Scholar] [CrossRef]
- Fiebich, B.L.; Batista, C.R.A.; Saliba, S.W.; Yousif, N.M.; de Oliveira, A.C.P. Role of Microglia TLRs in Neurodegeneration. Front. Cell. Neurosci. 2018, 12, 329. [Google Scholar] [CrossRef]
- Gooshe, M.; Abdolghaffari, A.H.; Gambuzza, M.E.; Rezaei, N. The role of Toll-like receptors in multiple sclerosis and possible targeting for therapeutic purposes. Rev. Neurosci. 2014, 25, 713–739. [Google Scholar] [CrossRef]
- Su, F.; Bai, F.; Zhou, H.; Zhang, Z. Microglial toll-like receptors and Alzheimer’s disease. Brain Behav. Immun. 2016, 52, 187–198. [Google Scholar] [CrossRef] [PubMed]
- Carroll, J.A.; Race, B.; Williams, K.; Chesebro, B. Toll-like receptor 2 confers partial neuroprotection during prion disease. PLoS ONE 2018, 13, e0208559. [Google Scholar] [CrossRef] [PubMed]
- Spinner, D.S.; Cho, I.S.; Park, S.Y.; Kim, J.I.; Meeker, H.C.; Ye, X.; Lafauci, G.; Kerr, D.J.; Flory, M.J.; Kim, B.S.; et al. Accelerated prion disease pathogenesis in Toll-like receptor 4 signaling-mutant mice. J. Virol. 2008, 82, 10701–10708. [Google Scholar] [CrossRef] [PubMed]
- Rosset, M.B.; Ballerini, C.; Gregoire, S.; Metharom, P.; Carnaud, C.; Aucouturier, P. Breaking immune tolerance to the prion protein using prion protein peptides plus oligodeoxynucleotide-CpG in mice. J. Immunol. 2004, 172, 5168–5174. [Google Scholar] [CrossRef] [PubMed]
- Sethi, S.; Lipford, G.; Wagner, H.; Kretzschmar, H. Postexposure prophylaxis against prion disease with a stimulator of innate immunity. Lancet 2002, 360, 229–230. [Google Scholar] [CrossRef]
- Saba, R.; Gushue, S.; Huzarewich, R.L.; Manguiat, K.; Medina, S.; Robertson, C.; Booth, S.A. MicroRNA 146a (miR-146a) is over-expressed during prion disease and modulates the innate immune response and the microglial activation state. PLoS ONE 2012, 7, e30832. [Google Scholar] [CrossRef] [PubMed]
- Kang, S.G.; Kim, C.; Cortez, L.M.; Carmen Garza, M.; Yang, J.; Wille, H.; Sim, V.L.; Westaway, D.; McKenzie, D.; Aiken, J. Toll-like receptor-mediated immune response inhibits prion propagation. Glia 2016, 64, 937–951. [Google Scholar] [CrossRef]
- Lai, M.; Yao, H.; Shah, S.Z.A.; Wu, W.; Wang, D.; Zhao, Y.; Wang, L.; Zhou, X.; Zhao, D.; Yang, L. The NLRP3-Caspase 1 Inflammasome Negatively Regulates Autophagy via TLR4-TRIF in Prion Peptide-Infected Microglia. Front. Aging Neurosci. 2018, 10, 116. [Google Scholar] [CrossRef]
- Dervishi, E.; Lam, T.H.; Dunn, S.M.; Zwierzchowski, G.; Saleem, F.; Wishart, D.S.; Ametaj, B.N. Recombinant mouse prion protein alone or in combination with lipopolysaccharide alters expression of innate immunity genes in the colon of mice. Prion 2015, 9, 59–73. [Google Scholar] [CrossRef]
- Meling, S.; Skovgaard, K.; Bardsen, K.; Helweg Heegaard, P.M.; Ulvund, M.J. Expression of selected genes isolated from whole blood, liver and obex in lambs with experimental classical scrapie and healthy controls, showing a systemic innate immune response at the clinical end-stage. BMC Vet. Res. 2018, 14, 281. [Google Scholar] [CrossRef]
- Llorens, F.; Lopez-Gonzalez, I.; Thune, K.; Carmona, M.; Zafar, S.; Andreoletti, O.; Zerr, I.; Ferrer, I. Subtype and regional-specific neuroinflammation in sporadic creutzfeldt-jakob disease. Front. Aging Neurosci. 2014, 6, 198. [Google Scholar] [CrossRef] [PubMed]
- Areskeviciute, A.; Litman, T.; Broholm, H.; Melchior, L.C.; Nielsen, P.R.; Green, A.; Eriksen, J.O.; Smith, C.; Lund, E.L. Regional Differences in Neuroinflammation-Associated Gene Expression in the Brain of Sporadic Creutzfeldt-Jakob Disease Patients. Int. J. Mol. Sci. 2020, 22, 140. [Google Scholar] [CrossRef] [PubMed]
- Lefrancois, T.; Fages, C.; Brugere-Picoux, J.; Tardy, M. Astroglial reactivity in natural scrapie of sheep. Microb. Pathog. 1994, 17, 283–289. [Google Scholar] [CrossRef] [PubMed]
- Hernandez, R.S.; Sarasa, R.; Toledano, A.; Badiola, J.J.; Monzon, M. Morphological approach to assess the involvement of astrocytes in prion propagation. Cell Tissue Res. 2014, 358, 57–63. [Google Scholar] [CrossRef]
- Vidal, E.; Acin, C.; Foradada, L.; Monzon, M.; Marquez, M.; Monleon, E.; Pumarola, M.; Badiola, J.J.; Bolea, R. Immunohistochemical characterisation of classical scrapie neuropathology in sheep. J. Comp. Pathol. 2009, 141, 135–146. [Google Scholar] [CrossRef]
- Jeffrey, M.; Gonzalez, L. Classical sheep transmissible spongiform encephalopathies: Pathogenesis, pathological phenotypes and clinical disease. Neuropathol. Appl. Neurobiol. 2007, 33, 373–394. [Google Scholar] [CrossRef]
- Ito, D.; Imai, Y.; Ohsawa, K.; Nakajima, K.; Fukuuchi, Y.; Kohsaka, S. Microglia-specific localisation of a novel calcium binding protein, Iba1. Brain Res. Mol. Brain Res. 1998, 57, 1–9. [Google Scholar] [CrossRef]
- Boche, D.; Perry, V.H.; Nicoll, J.A. Review: Activation patterns of microglia and their identification in the human brain. Neuropathol. Appl. Neurobiol. 2013, 39, 3–18. [Google Scholar] [CrossRef]
- Martini, A.C.; Helman, A.M.; McCarty, K.L.; Lott, I.T.; Doran, E.; Schmitt, F.A.; Head, E. Distribution of microglial phenotypes as a function of age and Alzheimer’s disease neuropathology in the brains of people with Down syndrome. Alzheimer’s Dement. Diagn. Assess. Dis. Monit. 2020, 12, e12113. [Google Scholar] [CrossRef]
- Bachstetter, A.D.; Van Eldik, L.J.; Schmitt, F.A.; Neltner, J.H.; Ighodaro, E.T.; Webster, S.J.; Patel, E.; Abner, E.L.; Kryscio, R.J.; Nelson, P.T. Disease-related microglia heterogeneity in the hippocampus of Alzheimer’s disease, dementia with Lewy bodies, and hippocampal sclerosis of aging. Acta Neuropathol. Commun. 2015, 3, 32. [Google Scholar] [CrossRef]
- Wyatt-Johnson, S.K.; Herr, S.A.; Brewster, A.L. Status Epilepticus Triggers Time-Dependent Alterations in Microglia Abundance and Morphological Phenotypes in the Hippocampus. Front. Neurol. 2017, 8, 700. [Google Scholar] [CrossRef]
- Taylor, S.E.; Morganti-Kossmann, C.; Lifshitz, J.; Ziebell, J.M. Rod microglia: A morphological definition. PLoS ONE 2014, 9, e97096. [Google Scholar] [CrossRef] [PubMed]
- Li, B.; Chen, M.; Zhu, C. Neuroinflammation in Prion Disease. Int. J. Mol. Sci. 2021, 22, 2196. [Google Scholar] [CrossRef] [PubMed]
- Gomez-Nicola, D.; Fransen, N.L.; Suzzi, S.; Perry, V.H. Regulation of microglial proliferation during chronic neurodegeneration. J. Neurosci. 2013, 33, 2481–2493. [Google Scholar] [CrossRef] [PubMed]
- Gilch, S.; Schmitz, F.; Aguib, Y.; Kehler, C.; Bulow, S.; Bauer, S.; Kremmer, E.; Schatzl, H.M. CpG and LPS can interfere negatively with prion clearance in macrophage and microglial cells. FEBS J. 2007, 274, 5834–5844. [Google Scholar] [CrossRef]
- Zhu, C.; Herrmann, U.S.; Falsig, J.; Abakumova, I.; Nuvolone, M.; Schwarz, P.; Frauenknecht, K.; Rushing, E.J.; Aguzzi, A. A neuroprotective role for microglia in prion diseases. J. Exp. Med. 2016, 213, 1047–1059. [Google Scholar] [CrossRef]
- Carroll, J.A.; Race, B.; Williams, K.; Striebel, J.; Chesebro, B. Microglia Are Critical in Host Defense against Prion Disease. J. Virol. 2018, 92, e00549-18. [Google Scholar] [CrossRef]
- Chen, K.; Iribarren, P.; Hu, J.; Chen, J.; Gong, W.; Cho, E.H.; Lockett, S.; Dunlop, N.M.; Wang, J.M. Activation of Toll-like receptor 2 on microglia promotes cell uptake of Alzheimer disease-associated amyloid beta peptide. J. Biol. Chem. 2006, 281, 3651–3659. [Google Scholar] [CrossRef]
- Tahara, K.; Kim, H.D.; Jin, J.J.; Maxwell, J.A.; Li, L.; Fukuchi, K. Role of toll-like receptor signalling in Abeta uptake and clearance. Brain 2006, 129 Pt 11, 3006–3019. [Google Scholar] [CrossRef]
- Trudler, D.; Farfara, D.; Frenkel, D. Toll-like receptors expression and signaling in glia cells in neuro-amyloidogenic diseases: Towards future therapeutic application. Mediat. Inflamm. 2010, 2010, 497987. [Google Scholar] [CrossRef]
- Ligios, C.; Jeffrey, M.; Ryder, S.J.; Bellworthy, S.J.; Simmons, M.M. Distinction of scrapie phenotypes in sheep by lesion profiling. J. Comp. Pathol. 2002, 127, 45–57. [Google Scholar] [CrossRef] [PubMed]
- Garces, M.; Guijarro, I.M.; Ritchie, D.L.; Badiola, J.J.; Monzon, M. Novel Morphological Glial Alterations in the Spectrum of Prion Disease Types: A Focus on Common Findings. Pathogens 2021, 10, 596. [Google Scholar] [CrossRef] [PubMed]
- Holloway, O.G.; Canty, A.J.; King, A.E.; Ziebell, J.M. Rod microglia and their role in neurological diseases. Semin. Cell Dev. Biol. 2019, 94, 96–103. [Google Scholar] [CrossRef] [PubMed]
- Au, N.P.B.; Ma, C.H.E. Recent Advances in the Study of Bipolar/Rod-Shaped Microglia and their Roles in Neurodegeneration. Front. Aging Neurosci. 2017, 9, 128. [Google Scholar] [CrossRef] [PubMed]
- Giordano, K.R.; Denman, C.R.; Dubisch, P.S.; Akhter, M.; Lifshitz, J. An update on the rod microglia variant in experimental and clinical brain injury and disease. Brain Commun. 2021, 3, fcaa227. [Google Scholar] [CrossRef] [PubMed]
- Tam, W.Y.; Ma, C.H. Bipolar/rod-shaped microglia are proliferating microglia with distinct M1/M2 phenotypes. Sci. Rep. 2014, 4, 7279. [Google Scholar] [CrossRef]
- Heneka, M.T.; Kummer, M.P.; Latz, E. Innate immune activation in neurodegenerative disease. Nat. Rev. Immunol. 2014, 14, 463–477. [Google Scholar] [CrossRef]
- Rosenberger, K.; Derkow, K.; Dembny, P.; Kruger, C.; Schott, E.; Lehnardt, S. The impact of single and pairwise Toll-like receptor activation on neuroinflammation and neurodegeneration. J. Neuroinflamm. 2014, 11, 166. [Google Scholar] [CrossRef]
- Lehmann, S.M.; Kruger, C.; Park, B.; Derkow, K.; Rosenberger, K.; Baumgart, J.; Trimbuch, T.; Eom, G.; Hinz, M.; Kaul, D.; et al. An unconventional role for miRNA: Let-7 activates Toll-like receptor 7 and causes neurodegeneration. Nat. Neurosci. 2012, 15, 827–835. [Google Scholar] [CrossRef]
- Hedman, C.; Lyahyai, J.; Filali, H.; Marin, B.; Serrano, C.; Monleon, E.; Moreno, B.; Zaragoza, P.; Badiola, J.J.; Martin-Burriel, I.; et al. Differential gene expression and apoptosis markers in presymptomatic scrapie affected sheep. Vet. Microbiol. 2012, 159, 23–32. [Google Scholar] [CrossRef]
- Letiembre, M.; Liu, Y.; Walter, S.; Hao, W.; Pfander, T.; Wrede, A.; Schulz-Schaeffer, W.; Fassbender, K. Screening of innate immune receptors in neurodegenerative diseases: A similar pattern. Neurobiol. Aging 2009, 30, 759–768. [Google Scholar] [CrossRef] [PubMed]
- Prinz, M.; Garbe, F.; Schmidt, H.; Mildner, A.; Gutcher, I.; Wolter, K.; Piesche, M.; Schroers, R.; Weiss, E.; Kirschning, C.J.; et al. Innate immunity mediated by TLR9 modulates pathogenicity in an animal model of multiple sclerosis. J. Clin. Investig. 2006, 116, 456–464. [Google Scholar] [CrossRef] [PubMed]
- Wang, J.; Zhao, D.; Pan, B.; Fu, Y.; Shi, F.; Kouadir, M.; Yang, L.; Yin, X.; Zhou, X. Toll-like receptor 2 deficiency shifts PrP106–126-induced microglial activation from a neurotoxic to a neuroprotective phenotype. J. Mol. Neurosci. 2015, 55, 880–890. [Google Scholar] [CrossRef] [PubMed]
- Chiesa, R.; Harris, D.A. Prion diseases: What is the neurotoxic molecule? Neurobiol. Dis. 2001, 8, 743–763. [Google Scholar] [CrossRef] [PubMed][Green Version]
- Moore, K.J.; Freeman, M.W. Scavenger receptors in atherosclerosis: Beyond lipid uptake. Arterioscler. Thromb. Vasc. Biol. 2006, 26, 1702–1711. [Google Scholar] [CrossRef]
- El Khoury, J.B.; Moore, K.J.; Means, T.K.; Leung, J.; Terada, K.; Toft, M.; Freeman, M.W.; Luster, A.D. CD36 mediates the innate host response to beta-amyloid. J. Exp. Med. 2003, 197, 1657–1666. [Google Scholar] [CrossRef]
- Noda, M.; Suzumura, A. Sweepers in the CNS: Microglial Migration and Phagocytosis in the Alzheimer Disease Pathogenesis. Int. J. Alzheimers Dis. 2012, 2012, 891087. [Google Scholar] [CrossRef][Green Version]
- Kouadir, M.; Yang, L.; Tan, R.; Shi, F.; Lu, Y.; Zhang, S.; Yin, X.; Zhou, X.; Zhao, D. CD36 participates in PrP(106–126)-induced activation of microglia. PLoS ONE 2012, 7, e30756. [Google Scholar] [CrossRef]
- Kouadir, M.; Yang, L.; Tu, J.; Yin, X.; Zhou, X.; Zhao, D. Comparison of mRNA expression patterns of class B scavenger receptors in BV2 microglia upon exposure to amyloidogenic fragments of beta-amyloid and prion proteins. DNA Cell Biol. 2011, 30, 893–897. [Google Scholar] [CrossRef]
- Shmuel-Galia, L.; Klug, Y.; Porat, Z.; Charni, M.; Zarmi, B.; Shai, Y. Intramembrane attenuation of the TLR4-TLR6 dimer impairs receptor assembly and reduces microglia-mediated neurodegeneration. J. Biol. Chem. 2017, 292, 13415–13427. [Google Scholar] [CrossRef]
- Stewart, C.R.; Stuart, L.M.; Wilkinson, K.; van Gils, J.M.; Deng, J.; Halle, A.; Rayner, K.J.; Boyer, L.; Zhong, R.; Frazier, W.A.; et al. CD36 ligands promote sterile inflammation through assembly of a Toll-like receptor 4 and 6 heterodimer. Nat. Immunol. 2010, 11, 155–161. [Google Scholar] [CrossRef] [PubMed]
- Carroll, J.A.; Striebel, J.F.; Rangel, A.; Woods, T.; Phillips, K.; Peterson, K.E.; Race, B.; Chesebro, B. Prion Strain Differences in Accumulation of PrPSc on Neurons and Glia Are Associated with Similar Expression Profiles of Neuroinflammatory Genes: Comparison of Three Prion Strains. PLoS Pathog. 2016, 12, e1005551. [Google Scholar] [CrossRef] [PubMed]
- Srivastava, S.; Katorcha, E.; Makarava, N.; Barrett, J.P.; Loane, D.J.; Baskakov, I.V. Inflammatory response of microglia to prions is controlled by sialylation of PrP(Sc). Sci. Rep. 2018, 8, 11326. [Google Scholar] [CrossRef]
- Linnartz, B.; Kopatz, J.; Tenner, A.J.; Neumann, H. Sialic acid on the neuronal glycocalyx prevents complement C1 binding and complement receptor-3-mediated removal by microglia. J. Neurosci. 2012, 32, 946–952. [Google Scholar] [CrossRef] [PubMed]
- Brown, G.C.; Neher, J.J. Microglial phagocytosis of live neurons. Nat. Rev. Neurosci. 2014, 15, 209–216. [Google Scholar] [CrossRef] [PubMed]
- Masullo, C.; Macchi, G. Resistance of the hippocampus in Creutzfeldt-Jakob disease. Clin. Neuropathol. 1997, 16, 37–44. [Google Scholar]
- Kaneko, M.; Sugiyama, N.; Sasayama, D.; Yamaoka, K.; Miyakawa, T.; Arima, K.; Tsuchiya, K.; Hasegawa, K.; Washizuka, S.; Hanihara, T.; et al. Prion disease causes less severe lesions in human hippocampus than other parts of brain. Psychiatry Clin. Neurosci. 2008, 62, 264–270. [Google Scholar] [CrossRef]
- Dawson, T.M.; Golde, T.E.; Lagier-Tourenne, C. Animal models of neurodegenerative diseases. Nat. Neurosci. 2018, 21, 1370–1379. [Google Scholar] [CrossRef]
- Watts, J.C.; Prusiner, S.B. Mouse models for studying the formation and propagation of prions. J. Biol. Chem. 2014, 289, 19841–19849. [Google Scholar] [CrossRef]
- Le Dur, A.; Lai, T.L.; Stinnakre, M.G.; Laisne, A.; Chenais, N.; Rakotobe, S.; Passet, B.; Reine, F.; Soulier, S.; Herzog, L.; et al. Divergent prion strain evolution driven by PrP(C) expression level in transgenic mice. Nat. Commun. 2017, 8, 14170. [Google Scholar] [CrossRef]
- Langevin, C.; Andreoletti, O.; Le Dur, A.; Laude, H.; Beringue, V. Marked influence of the route of infection on prion strain apparent phenotype in a scrapie transgenic mouse model. Neurobiol. Dis. 2011, 41, 219–225. [Google Scholar] [CrossRef] [PubMed]
- Acin, C.; Martin-Burriel, I.; Goldmann, W.; Lyahyai, J.; Monzon, M.; Bolea, R.; Smith, A.; Rodellar, C.; Badiola, J.J.; Zaragoza, P. Prion protein gene polymorphisms in healthy and scrapie-affected Spanish sheep. J. Gen. Virol. 2004, 85 Pt 7, 2103–2110. [Google Scholar] [CrossRef] [PubMed]
- Monleon, E.; Garza, M.C.; Sarasa, R.; Alvarez-Rodriguez, J.; Bolea, R.; Monzon, M.; Vargas, M.A.; Badiola, J.J.; Acin, C. An assessment of the efficiency of PrPsc detection in rectal mucosa and third-eyelid biopsies from animals infected with scrapie. Vet. Microbiol. 2011, 147, 237–243. [Google Scholar] [CrossRef]
- Vargas, F.; Lujan, L.; Bolea, R.; Monleon, E.; Martin-Burriel, I.; Fernandez, A.; De Blas, I.; Badiola, J.J. Detection and clinical evolution of scrapie in sheep by 3rd eyelid biopsy. J. Vet. Intern. Med. 2006, 20, 187–193. [Google Scholar] [CrossRef] [PubMed]
- Laude, H.; Vilette, D.; Le Dur, A.; Archer, F.; Soulier, S.; Besnard, N.; Essalmani, R.; Vilotte, J.L. New in vivo and ex vivo models for the experimental study of sheep scrapie: Development and perspectives. C. R. Biol. 2002, 325, 49–57. [Google Scholar] [CrossRef]
- Gonzalez, L.; Martin, S.; Jeffrey, M. Distinct profiles of PrP(d) immunoreactivity in the brain of scrapie- and BSE-infected sheep: Implications for differential cell targeting and PrP processing. J. Gen. Virol. 2003, 84 Pt 5, 1339–1350. [Google Scholar] [CrossRef] [PubMed]
- Monleon, E.; Monzon, M.; Hortells, P.; Vargas, A.; Acin, C.; Badiola, J.J. Detection of PrPsc on lymphoid tissues from naturally affected scrapie animals: Comparison of three visualization systems. J. Histochem. Cytochem. 2004, 52, 145–151. [Google Scholar] [CrossRef]
- Guijarro, I.M.; Garces, M.; Andres-Benito, P.; Marin, B.; Otero, A.; Barrio, T.; Carmona, M.; Ferrer, I.; Badiola, J.J.; Monzon, M. Assessment of Glial Activation Response in the Progress of Natural Scrapie after Chronic Dexamethasone Treatment. Int. J. Mol. Sci. 2020, 21, 3231. [Google Scholar] [CrossRef]
- Jeffrey, M.; Martin, S.; Gonzalez, L.; Ryder, S.J.; Bellworthy, S.J.; Jackman, R. Differential diagnosis of infections with the bovine spongiform encephalopathy (BSE) and scrapie agents in sheep. J. Comp. Pathol. 2001, 125, 271–284. [Google Scholar] [CrossRef]
- Fernandez-Borges, N.; Espinosa, J.C.; Marin-Moreno, A.; Aguilar-Calvo, P.; Asante, E.A.; Kitamoto, T.; Mohri, S.; Andreoletti, O.; Torres, J.M. Protective Effect of Val129-PrP against Bovine Spongiform Encephalopathy but not Variant Creutzfeldt-Jakob Disease. Emerg. Infect. Dis. 2017, 23, 1522–1530. [Google Scholar] [CrossRef]
- Garcia-Crespo, D.; Juste, R.A.; Hurtado, A. Selection of ovine housekeeping genes for normalisation by real-time RT-PCR; analysis of PrP gene expression and genetic susceptibility to scrapie. BMC Vet. Res. 2005, 1, 3. [Google Scholar] [CrossRef] [PubMed]
- Untergasser, A.; Cutcutache, I.; Koressaar, T.; Ye, J.; Faircloth, B.C.; Remm, M.; Rozen, S.G. Primer3—New capabilities and interfaces. Nucleic Acids Res. 2012, 40, e115. [Google Scholar] [CrossRef] [PubMed]
- Menzies, M.; Ingham, A. Identification and expression of Toll-like receptors 1–10 in selected bovine and ovine tissues. Vet. Immunol. Immunopathol. 2006, 109, 23–30. [Google Scholar] [CrossRef] [PubMed]
- Pelegrin-Valls, J.; Serrano-Perez, B.; Villalba, D.; Martin-Alonso, M.J.; Bertolin, J.R.; Joy, M.; Alvarez-Rodriguez, J. Effect of Dietary Crude Protein on Productive Efficiency, Nutrient Digestibility, Blood Metabolites and Gastrointestinal Immune Markers in Light Lambs. Animals 2020, 10, 328. [Google Scholar] [CrossRef] [PubMed]
- Yang, L.; Bai, J.; Zhao, Z.; Li, N.; Wang, Y.; Zhang, L. Differential expression of T helper cytokines in the liver during early pregnancy in sheep. Anim. Reprod. 2019, 16, 332–339. [Google Scholar] [CrossRef] [PubMed]
- Mahakapuge, T.A.; Scheerlinck, J.P.; Rojas, C.A.; Every, A.L.; Hagen, J. Assessment of reference genes for reliable analysis of gene transcription by RT-qPCR in ovine leukocytes. Vet. Immunol. Immunopathol. 2016, 171, 1–6. [Google Scholar] [CrossRef] [PubMed]
- Grasa, L.; Abecia, L.; Forcen, R.; Castro, M.; de Jalon, J.A.; Latorre, E.; Alcalde, A.I.; Murillo, M.D. Antibiotic-Induced Depletion of Murine Microbiota Induces Mild Inflammation and Changes in Toll-Like Receptor Patterns and Intestinal Motility. Microb. Ecol. 2015, 70, 835–848. [Google Scholar] [CrossRef]
- Cashman, S.B.; Morgan, J.G. Transcriptional analysis of Toll-like receptors expression in M cells. Mol. Immunol. 2009, 47, 365–372. [Google Scholar] [CrossRef]
- Williams, A.S.; Leung, S.Y.; Nath, P.; Khorasani, N.M.; Bhavsar, P.; Issa, R.; Mitchell, J.A.; Adcock, I.M.; Chung, K.F. Role of TLR2, TLR4, and MyD88 in murine ozone-induced airway hyperresponsiveness and neutrophilia. J. Appl. Physiol. 2007, 103, 1189–1195. [Google Scholar] [CrossRef]
- Wang, F.; Wang, J.; Liu, D.; Su, Y. Normalizing genes for real-time polymerase chain reaction in epithelial and nonepithelial cells of mouse small intestine. Anal. Biochem. 2010, 399, 211–217. [Google Scholar] [CrossRef]









| Mo | Th | Hc | Fc | ||||||
|---|---|---|---|---|---|---|---|---|---|
| Clinical Stage | ID | IHC | WB | IHC | WB | IHC | WB | IHC | WB |
| Incipient | 1 | + | + | + | + | + | − | − | − |
| Incipient | 2 | + | + | + | + | + | + | − | − |
| Incipient | 3 | + | + | + | + | + | + | + | + |
| Incipient | 4 | + | + | + | + | + | − | − | − |
| Incipient | 5 | + | + | + | + | + | + | + | + |
| Advanced | 6 | + | + | + | + | + | − | + | + |
| Advanced | 7 | + | + | + | + | + | + | + | + |
| Advanced | 8 | + | + | + | + | + | + | + | + |
| Advanced | 9 | + | + | + | + | + | + | + | + |
| Advanced | 10 | + | + | + | + | + | + | + | + |
| Advanced | 11 | + | + | + | + | + | − | + | − |
| Advanced | 12 | + | + | + | + | + | + | + | + |
| Advanced | 13 | + | + | + | + | + | + | + | + |
| Gene | Forward (F) and Reverse (R) Primer Sequence (5′-3′) | Primer Concentrations innMUsed for qPCR | Accession Number | Reference |
|---|---|---|---|---|
| Ovine Primers | ||||
| TLR1 | F CCCACAGGAAAGAAATTCCA R GGAGGATCGTGATGAAGGAA | 900 | NM_001135060.2 | [93] |
| TLR2 | F ACGACGCCTTTGTGTCCTAC R CCGAAAGCACAAAGATGGTT | 900 | NM_001048231.1 | [93] |
| TLR3 | F GAGGCAGGTGTCCTTGAACT R GCTGAATTTCTGGACCCAAG | 900 | NM_001135928.1 | [93] |
| TLR4 | F ACTGACGGGAAACCCTATCC R CAGGTTGGGAAGGTCAGAAA | 900 | NM_001135930.1 | [93] |
| TLR5 | F AAAACCACATCGCCAACATC R CATCAGATGGAACTGGGACA | 900 | NM_001135926.1 | [93] |
| TLR6 | F CAAAGCAGGGAACAATCCAT R CCACAATGGTGACAATCAGC | 900 | NM_001135927.1 | [93] |
| TLR7 | F ACTCCTTGGGGCTAGATGGT R GCTGGAGAGATGCCTGCTAT | 900 | NM_001135059.1 | [93] |
| TLR8 | F CACATCCCAGACTTTCTACGA R GGTCCCAATCCCTTTCCTCTA | 900 | NM_001135929.1 | [93] |
| TLR9 | F CTCGTATCCCTGTCGCTGAG R CACCTCCGTGAGGTTGTTGT | 900 | NM_001011555.1 | [93] |
| TLR10 | F TCTGCCTGGGTGAAGTATGA R AATGGCACCATTCAGTCTGG | 900 | NM_001135925.1 | [93] |
| TNF-α | F CAAATAACAAGCCGGTAGCC R TGGTTGTCTTTCAGCTCCAC | 200 | NM_001024860.1 | [94] |
| TGF-β | F TTGACGTCACTGGAGTTGTG R CGTTGATGTCCACTTGAAGC | 200 | NM_001009400.2 | [94] |
| IL-10 | F TTAAGGGTTACCTGGGTTGC R TTCACGTGCTCCTTGATGTC | 200 | NM_001009327.1 | [94] |
| IL-6 | F CGAGTTTGAGGGAAATCAGG R GTCAGTGTGTGTGGCTGGAG | 300 | NM_001009392.1 | [95] |
| MyD88 | F CTGCAAAGCAAGGAATGTGA R AGGATGCTGGGGAACTCTTT | 400 300 | NM_001166183.1 | Designed |
| Trif | F GCACGTCTAGCCTGCTTACC R AGGTGTTGGTCACCTTCCTG | 300 | XM_042250120.1 | Designed |
| CD36 | F GCAAAACGGCTGCAGATCAA R AGCAATGGTGGCAGTCTCAT | 300 | XM_012176565.4 | Designed |
| ACTβ | F CTGGACTTCGAGCAGGAGAT R GATGTCGACGTCACACTTC | 600 | NM_001009784 | [94] |
| GAPDH | F TCCGGGAAGCTGTGGCGTGA R GGGATGACCTTGCCCACGGC | 500 | NM 001190390.1 | [96] |
| Murine Primers | ||||
| TLR1 | F CTGGACCCAGAGTTTGTTAGTTTT R GCTCATTATCCTGTTGTTGTGAAG | 150 300 | XM_006503856.3 | Designed |
| TLR2 | F GCCACCATTTCCACGGACT R GGCTTCCTCTTGGCCTGG | 500 | NM_011905 | [97] |
| TLR3 | F TTGTCTTCTGCACGAACCTG R CCCGTTCCCAACTTTGTAGA | 300 | XM_006509283.4 | Designed |
| TLR4 | F AGAAATTCCTGCAGTGGGTCA R CTCTACAGGTGTTGCACATGTCA | 500 | NM_021297 | [97] |
| TLR5 | F GCCACATCATTTCCACTCCT R ACAGCCGAAGTTCCAAGAGA | 200 | XM_017321704.2 | [98] |
| TLR6 | F ACACAATCGGTTGCAAAACA R GGAAAGTCAGCTTCGTCAGG | 300 400 | NM_001384171.1 | Designed |
| TLR7 | F GGTATGCCGCCAAATCTAAA R GCTGAGGTCCAAAATTTCCA | 400 500 | XM_006528713.2 | Designed |
| TLR8 | F GAAGCATTTCGAGCATCTCC R GAAGACGATTTCGCCAAGAG | 200 | XM_017318405.2 | [98] |
| TLR9 | F CAACCTCAGCCACAACATTC R CACACTTCACACCATTAGCC | 200 | NM_031178.2 | [98] |
| MyD88 | F CATGGTGGTGGTTGTTTCTGAC R TGGAGACAGGCTGAGTGCAA | 500 | NM_010851.3 | [99] |
| GAPDH | F CCTCGTCCCGTAGACAAAATG R TGAAGGGGTCGTTGATGGC | 250 | XM_036165840.1 | [100] |
| ACTβ | F CTTCTTTGCAGCTCCTTCGTT R TTCTGACCCATTCCCACCA | 250 | NM_007393.5 | [100] |
Publisher’s Note: MDPI stays neutral with regard to jurisdictional claims in published maps and institutional affiliations. |
© 2022 by the authors. Licensee MDPI, Basel, Switzerland. This article is an open access article distributed under the terms and conditions of the Creative Commons Attribution (CC BY) license (https://creativecommons.org/licenses/by/4.0/).
Share and Cite
García-Martínez, M.; Cortez, L.M.; Otero, A.; Betancor, M.; Serrano-Pérez, B.; Bolea, R.; Badiola, J.J.; Garza, M.C. Distinctive Toll-like Receptors Gene Expression and Glial Response in Different Brain Regions of Natural Scrapie. Int. J. Mol. Sci. 2022, 23, 3579. https://doi.org/10.3390/ijms23073579
García-Martínez M, Cortez LM, Otero A, Betancor M, Serrano-Pérez B, Bolea R, Badiola JJ, Garza MC. Distinctive Toll-like Receptors Gene Expression and Glial Response in Different Brain Regions of Natural Scrapie. International Journal of Molecular Sciences. 2022; 23(7):3579. https://doi.org/10.3390/ijms23073579
Chicago/Turabian StyleGarcía-Martínez, Mirta, Leonardo M. Cortez, Alicia Otero, Marina Betancor, Beatriz Serrano-Pérez, Rosa Bolea, Juan J. Badiola, and María Carmen Garza. 2022. "Distinctive Toll-like Receptors Gene Expression and Glial Response in Different Brain Regions of Natural Scrapie" International Journal of Molecular Sciences 23, no. 7: 3579. https://doi.org/10.3390/ijms23073579
APA StyleGarcía-Martínez, M., Cortez, L. M., Otero, A., Betancor, M., Serrano-Pérez, B., Bolea, R., Badiola, J. J., & Garza, M. C. (2022). Distinctive Toll-like Receptors Gene Expression and Glial Response in Different Brain Regions of Natural Scrapie. International Journal of Molecular Sciences, 23(7), 3579. https://doi.org/10.3390/ijms23073579

