Inositol (1,4,5)-Trisphosphate Receptors in Invasive Breast Cancer: A New Prognostic Tool?
Abstract
:Simple Summary
Abstract
1. Introduction
2. Materials and Methods
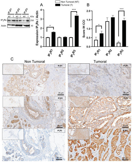
2.1. Western Blot
2.2. Immunohistochemistry
2.3. Survival Analysis
2.4. Statistical Analyses
3. Results
3.1. Study Population
3.2. IP3Rs and Invasive Breast Carcinoma of No Special Type
3.3. IP3R Expression and Predictive Factors
3.4. IP3R Subtype IH Expression and Tumor Size
3.5. IP3Rs and Lymph Node Involvement
3.6. IP3Rs, Histology Grades, and the Ki67 Proliferation Index
3.7. IP3Rs and the Molecular Classification of BCs
3.8. Expression of IP3Rs in Non-Tumor Tissue
3.9. IP3Rs and Patient Survival
4. Discussion
Author Contributions
Funding
Institutional Review Board Statement
Informed Consent Statement
Conflicts of Interest
References
- World Health Organization. Available online: https://www.who.int/news-room/fact-sheets/detail/breast-cancer (accessed on 24 February 2022).
- Gupta, G.P.; Massague, J. Cancer Metastasis: Building a Framework. Cell 2006, 127, 679–695. [Google Scholar] [CrossRef] [PubMed] [Green Version]
- Bendre, M.; Gaddy, D.; Nicholas, R.W.; Suva, L.J. Breast cancer metastasis to bone: It is not all about PTHrP. Clin. Orthop. Relat. Res. 2003, 415, S39–S45. [Google Scholar] [CrossRef] [PubMed]
- Wallgren, A.; Bonetti, M.; Gelber, R.; Goldhirsch, A.; Castiglione-Gertsch, M.; Holmberg, S.; Lindtner, J.; Thürlimann, B.; Fey, M.; Werner, I.; et al. Risk Factors for Locoregional Recurrence Among Breast Cancer Patients: Results From International Breast Cancer Study Group Trials I Through VII. J. Clin. Oncol. 2003, 21, 1205–1213. [Google Scholar] [CrossRef] [PubMed]
- Kilickap, S.; Kaya, Y.; Yucel, B.; Tuncer, E.; Babacan, N.A.; Elagoz, S. Higher Ki67 expression is associates with unfavorable prognostic factors and shorter survival in breast cancer. Asian Pac. J. Cancer Prev. 2014, 15, 1381–1385. [Google Scholar] [CrossRef] [PubMed] [Green Version]
- Fisher, B.; Redmond, C.; Fisher, E.R.; Caplan, R. Relative worth of estrogen or progesterone receptor and pathologic characteristics of differentiation as indicators of prognosis in node negative breast cancer patients: Findings from National Surgical Adjuvant Breast and Bowel Project Protocol B-06. J. Clin. Oncol. 1988, 6, 1076–1087. [Google Scholar] [CrossRef]
- Borg, Å.; Tandon, A.K.; Sigurdsson, H.; Clark, G.M.; Fernö, M.; Fuqua, S.A.; Killander, D.; McGuire, W.L. HER-2/neu amplification predicts poor survival in node-positive breast cancer. Cancer Res. 1990, 50, 4332–4337. [Google Scholar]
- Winstanley, J.; Cooke, T.; Murray, G.D.; Platt-Higgins, A.; George, W.D.; Holt, S.; Myskov, M.; Spedding, A.; Barraclough, B.R.; Rudland, P. The long term prognostic significance of c-erbB-2 in primary breast cancer. Br. J. Cancer 1991, 63, 447–450. [Google Scholar] [CrossRef] [Green Version]
- Paterson, M.C.; Dietrich, K.D.; Danyluk, J.; Paterson, A.H.G.; Lees, A.W.; Jamil, N.; Hanson, J.; Jenkins, H.; Krause, B.E.; McBlain, W.A.; et al. Correlation between c-erbB-2 amplification and risk of recurrent disease in node-negative breast cancer. Cancer Res. 1991, 51, 556–567. [Google Scholar]
- Clark, G.M.; McGuire, W.L. Follow-up study of HER-2/neu amplification in primary breast cancer. Cancer Res. 1991, 51, 944–948. [Google Scholar]
- Ren, Z.; Li, Y.; Hameed, O.; Siegal, G.P.; Wei, S. Prognostic factors in patients with metastatic breast cancer at the time of diagnosis. Pathol. Res. Pr. 2014, 210, 301–306. [Google Scholar] [CrossRef]
- Perou, C.M.; Sørlie, T.; Eisen, M.B.; Van De Rijn, M.; Jeffrey, S.S.; Rees, C.A.; Pollack, J.R.; Ross, D.T.; Johnsen, H.; Akslen, L.A.; et al. Molecular portraits of human breast tumours. Nature 2000, 406, 747–752. [Google Scholar] [CrossRef] [PubMed]
- Kennecke, H.; Yerushalmi, R.; Woods, R.; Cheang, M.C.U.; Voduc, D.; Speers, C.H.; Nielsen, T.O.; Gelmon, K. Metastatic Behavior of Breast Cancer Subtypes. J. Clin. Oncol. 2010, 28, 3271–3277. [Google Scholar] [CrossRef] [PubMed]
- Smid, M.; Wang, Y.; Zhang, Y.; Sieuwerts, A.M.; Yu, J.; Klijn, J.G.M.; Foekens, J.A.; Martens, J.W.M. Subtypes of Breast Cancer Show Preferential Site of Relapse. Cancer Res. 2008, 68, 3108–3114. [Google Scholar] [CrossRef] [Green Version]
- Lowery, A.J.; Kell, M.R.; Glynn, R.W.; Kerin, M.J.; Sweeney, K.J. Locoregional recurrence after breast cancer surgery: A systematic review by receptor phenotype. Breast Cancer Res. Treat. 2011, 133, 831–841. [Google Scholar] [CrossRef]
- Jemal, A.; Bray, F.; Center, M.M.; Ferlay, J.; Ward, E.; Forman, D. Global cancer statistics. CA A Cancer J. Clin. 2011, 61, 69–90. [Google Scholar] [CrossRef] [PubMed] [Green Version]
- Weigelt, B.; Peterse, J.L.; van’t Veer, L.J. Breast cancer metastasis: Markers and models. Nat. Rev. Cancer 2005, 5, 591–602. [Google Scholar] [CrossRef] [PubMed]
- Foulon, A.; Theret, P.; Rodat-Despoix, L.; Kischel, P. Beyond Chemotherapies: Recent Strategies in Breast Cancer Treatment. Cancers 2020, 12, 2634. [Google Scholar] [CrossRef]
- Miyakawa, T.; Maeda, A.; Yamazawa, T.; Hirose, K.; Kurosaki, T.; Iino, M. Encoding of Ca2+ signals by differential expression of IP3 receptor subtypes. EMBO J. 1999, 18, 1303–1308. [Google Scholar] [CrossRef]
- Boutin, B.; Tajeddine, N.; Monaco, G.; Molgo, J.; Vertommen, D.; Rider, M.; Parys, J.; Bultynck, G.; Gailly, P. Endoplasmic reticulum Ca2+ content decrease by PKA-dependent hyperphosphorylation of type 1 IP3 receptor contributes to prostate cancer cell resistance to androgen deprivation. Cell Calcium 2015, 57, 312–320. [Google Scholar] [CrossRef]
- Shi, J.-L.; Fu, L.; Wang, W.-D. High expression of Inositol 1,4,5-trisphosphate receptor, type 2 (ITPR2) as a novel biomarker for worse prognosis in cytogenetically normal acute myeloid leukemia. Oncotarget 2015, 6, 5299–5309. [Google Scholar] [CrossRef] [Green Version]
- Kang, S.S.; Han, K.-S.; Ku, B.M.; Lee, Y.K.; Hong, J.; Shin, H.Y.; Almonte, A.; Woo, D.H.; Brat, D.J.; Hwang, E.M.; et al. Caffeine-Mediated Inhibition of Calcium Release Channel Inositol 1,4,5-Trisphosphate Receptor Subtype 3 Blocks Glioblastoma Invasion and Extends Survival. Cancer Res. 2010, 70, 1173–1183. [Google Scholar] [CrossRef] [PubMed] [Green Version]
- Sakakura, C.; Hagiwara, A.; Fukuda, K.; Shimomura, K.; Takagi, T.; Kin, S.; Nakase, Y.; Fujiyama, J.; Mikoshiba, K.; Okazaki, Y.; et al. Possible involvement of inositol 1,4,5-trisphosphate receptor type 3 (IP3R3) in the peritoneal dissemination of gastric cancers. Anticancer Res. 2003, 23, 3691–3697. [Google Scholar] [PubMed]
- Rosa, N.; Sneyers, F.; Parys, J.B.; Bultynck, G. Type 3 IP3 receptors: The chameleon in cancer. Int. Rev. Cell Mol. Biol. 2020, 351, 101–148. [Google Scholar] [CrossRef] [PubMed]
- Szatkowski, C.; Parys, J.B.; Ouadid-Ahidouch, H.; Matifat, F. Inositol 1,4,5-trisphosphate-induced Ca2+ signalling is involved in estradiol-induced breast cancer epithelial cell growth. Mol. Cancer 2010, 9, 156. [Google Scholar] [CrossRef] [PubMed] [Green Version]
- Mound, A.; Rodat-Despoix, L.; Bougarn, S.; Ouadid-Ahidouch, H.; Matifat, F. Molecular interaction and functional coupling between type 3 inositol 1,4,5-trisphosphate receptor and BKCa channel stimulate breast cancer cell proliferation. Eur. J. Cancer 2013, 49, 3738–3751. [Google Scholar] [CrossRef]
- Mound, A.; Vautrin-Glabik, A.; Foulon, A.; Botia, B.; Hague, F.; Parys, J.B.; Ouadid-Ahidouch, H.; Rodat-Despoix, L. Downregulation of type 3 inositol (1,4,5)-trisphosphate receptor decreases breast cancer cell migration through an oscillatory Ca2+ signal. Oncotarget 2017, 8, 72324–72341. [Google Scholar] [CrossRef]
- Vautrin-Glabik, A.; Botia, B.; Kischel, P.; Ouadid-Ahidouch, H.; Rodat-Despoix, L. IP3R3 silencing induced actin cytoskeletal reorganization through ARHGAP18/RhoA/mDia1/FAK pathway in breast cancer cell lines. Biochim. Biophys. Acta Mol. Cell Res. 2018, 1865, 945–958. [Google Scholar] [CrossRef]
- Singh, A.; Sharma, R.K.; Chagtoo, M.; Agarwal, G.; George, N.; Sinha, N.; Godbole, M.M. 1H NMR Metabolomics Reveals Association of High Expression of Inositol 1,4,5 Trisphosphate Receptor and Metabolites in Breast Cancer Patients. PLoS ONE 2017, 12, e0169330. [Google Scholar] [CrossRef] [Green Version]
- Page, D.L. Prognosis and breast cancer. Recognition of lethal and favorable prognostic types. Am. J. Surg. Pathol. 1991, 15, 334–349. [Google Scholar] [CrossRef]
- Koscielny, S.; Tubiana, M.; Lê, M.G.; Valleron, A.; Mouriesse, H.; Contesso, G.; Sarrazin, D. Breast cancer: Relationship between the size of the primary tumour and the probability of metastatic dissemination. Br. J. Cancer 1984, 49, 709–715. [Google Scholar] [CrossRef] [Green Version]
- Carter, C.L.; Allen, C.; Henson, D.E. Relation of tumor size, lymph node status, and survival in 24,740 breast cancer cases. Cancer 1989, 63, 181–187. [Google Scholar] [CrossRef]
- Elston, C.; Ellis, I. pathological prognostic factors in breast cancer. I. The value of histological grade in breast cancer: Experience from a large study with long-term follow-up. Histopathology 1991, 19, 403–410. [Google Scholar] [CrossRef] [PubMed]
- Sørlie, T.; Tibshirani, R.; Parker, J.; Hastie, T.; Marron, J.S.; Nobel, A.; Deng, S.; Johnsen, H.; Pesich, R.; Geisler, S.; et al. Repeated observation of breast tumor subtypes in independent gene expression data sets. Proc. Natl. Acad. Sci. USA 2003, 100, 8418–8423. [Google Scholar] [CrossRef] [Green Version]
- Aguirre-Gamboa, R.; Gomez-Rueda, H.; Martínez-Ledesma, E.; Martínez-Torteya, A.; Chacolla-Huaringa, R.; Rodriguez-Barrientos, A.; Tamez-Pena, J.G.; Treviño, V. SurvExpress: An Online Biomarker Validation Tool and Database for Cancer Gene Expression Data Using Survival Analysis. PLoS ONE 2013, 8, e74250. [Google Scholar] [CrossRef] [Green Version]
- Davis, F.M.; Parsonage, M.T.; Cabot, P.J.; Parat, M.-O.; Thompson, E.W.; Roberts-Thomson, S.J.; Monteith, G.R. Assessment of gene expression of intracellular calcium channels, pumps and exchangers with epidermal growth factor-induced epithelial-mesenchymal transition in a breast cancer cell line. Cancer Cell Int. 2013, 13, 76. [Google Scholar] [CrossRef] [Green Version]
- Shibao, K.; Fiedler, M.J.; Nagata, J.; Minagawa, N.; Hirata, K.; Nakayama, Y.; Iwakiri, Y.; Nathanson, M.H.; Yamaguchi, K. The type III inositol 1,4,5-trisphosphate receptor is associated with aggressiveness of colorectal carcinoma. Cell Calcium 2010, 48, 315–323. [Google Scholar] [CrossRef] [PubMed] [Green Version]
- Hirata, K.; Dufour, J.-F.; Shibao, K.; Knickelbein, R.; O’Neill, A.F.; Bode, H.-P.; Cassio, D.; St-Pierre, M.V.; LaRusso, N.F.; Leite, M.F.; et al. Regulation of Ca2+ signaling in rat bile duct epithelia by inositol 1,4,5-trisphosphate receptor isoforms. Hepatology 2002, 36, 284–296. [Google Scholar] [CrossRef] [Green Version]
- Ueasilamongkol, P.; Khamphaya, T.; Guerra, M.T.; Rodrigues, M.A.; Gomes, D.; Kong, Y.; Wei, W.; Jain, D.; Trampert, D.C.; Ananthanarayanan, M.; et al. Type 3 Inositol 1,4,5-Trisphosphate Receptor Is Increased and Enhances Malignant Properties in Cholangiocarcinoma. Hepatology 2020, 71, 583–599. [Google Scholar] [CrossRef]
- Khan, A.A.; Soloski, M.J.; Sharp, A.H.; Schilling, G.; Sabatini, D.M.; Li, S.-H.; Ross, C.A.; Snyder, S.H. Lymphocyte Apoptosis: Mediation by Increased Type 3 Inositol 1,4,5-Trisphosphate Receptor. Science 1996, 273, 503–507. [Google Scholar] [CrossRef] [Green Version]
- Blondel, O.; Takeda, J.; Janssen, H.; Seino, S.; Bell, G. Sequence and functional characterization of a third inositol trisphosphate receptor subtype, IP3R-3, expressed in pancreatic islets, kidney, gastrointestinal tract, and other tissues. J. Biol. Chem. 1993, 268, 11356–11363. [Google Scholar] [CrossRef]
- Lail-Trecker, M.R.; Peluso, C.E.; Peluso, J.J. Hepatocyte Growth Factor Disrupts Cell Contact and Stimulates an Increase in Type 3 Inositol Triphosphate Receptor Expression, Intracellular Calcium Levels, and Apoptosis of Rat Ovarian Surface Epithelial Cells. Endocrine 2000, 12, 303–314. [Google Scholar] [CrossRef]
- Rezuchova, I.; Hudecova, S.; Soltysova, A.; Matuskova, M.; Durinikova, E.; Chovancova, B.; Zuzcak, M.; Cihova, M.; Burikova, M.; Penesova, A.; et al. Type 3 inositol 1,4,5-trisphosphate receptor has antiapoptotic and proliferative role in cancer cells. Cell Death Dis. 2019, 10, 186. [Google Scholar] [CrossRef] [PubMed] [Green Version]







| ER | PR | HER2 | Ki67 Index | |
|---|---|---|---|---|
| Luminal A | + | + | − | Low |
| Luminal B Her2− | + | + | − | High |
| Luminal B Her2+ | + | + | + | High |
| Her2 | − | − | + | High |
| Triple negative | − | − | − | High |
| CARCINO IBC-NST Samples (n = 52) | Jean Godinot Institute IBC-NST Samples (n = 15) | ||
|---|---|---|---|
| n (%) | n (%) | ||
| Age | 57 ± 1.7 | 65.3 ± 3 | |
| BMI | 27.1 ± 0.75 | 28.7 ± 2.4 | |
| T1 | 16 (30.7) | 4 (26.7) | |
| T2 | 31 (59.6) | 8 (53.3) | |
| TNM | T3 | 5 (9.7) | 3 (20) |
| N0 | 25 (48.1) | 8 (53.3) | |
| N+ | 27 (51.9) | 7 (46.7) | |
| HmR+ | 43 (82.7) | 12 (80) | |
| HER2+++ | 12 (23.1) | 2 (13.3) | |
| Triple-negative | 7 (13.5) | 2 (13.3) | |
| 1 | 6 (11.5) | 2 (13.3) | |
| SBR grade | 2 | 26 (50) | 3 (20) |
| 3 | 20 (38.5) | 10 (66.7) | |
| Ki67 > 20% | 26 (50) | 10 (66.7) |
| A | |||
| Datasets—IP3R3 and Overall Survival | N: Low-Risk Group vs. High-Risk Group | HR [95%CI] | p-Value |
| Breast—Breast cancer recurrence data, 9 datasets from 7 authors | 198; 92 vs. 106 | 1.74 [1.23–2.46] | ** |
| Breast—Breast Cancer Metabase:10 cohorts 22K genes | 198; 86 vs. 112 | 1.44 [1.02–2.02] | * |
| Breast—BRCA-TCGA Breast Invasive Carcinoma—July 2016 | 962; 538 vs. 424 | 1.67 [1.19–2.35] | ** |
| B | |||
| Datasets—IP3R1 and Overall Survival | N: Low-Risk Group vs. High-Risk Group | HR [95%IC] | p-Value |
| Breast—Breast Invasive Carcinoma TCGA | 502; 376 vs. 126 | 1.87 [1–3.19] | * |
| Breast—Miller Bergh Breast GSE3494−GPL96 | 236; 45 vs. 191 | 4.64 [1.45–14.87] | ** |
| Breast—BRCA−TCGA Breast invasive carcinoma—July 2016 | 962; 505 vs. 457 | 1.8 [1.27–2.54] | *** |
| C | |||
| Datasets—IP3R2 and Overall Survival | N: Low-Risk Group vs. High-Risk Group | HR [95%IC] | p-Value |
| Breast—Breast Cancer Metabase:10 cohorts 22K genes | 198; 167 vs. 31 | 1.61 [1.03–2.53] | * |
| Breast—Miller Bergh Breast GSE3494−GPL96 | 236; 45 vs. 191 | 4.64 [1.45–14.87] | ** |
| D | |||
| Datasets—Disease-Free Survival | N: Low-Risk Group vs. High-Risk Group | HR [95%IC] | p-Value |
| IP3R3—Breast cancer recurrence data, 9 datasets from 7 authors | 1561; 967 vs. 594 | 1.28 [1.08–1.51] | ** |
| IP3R3—Breast Cancer Metabase:10 cohorts 22K genes | 1888; 1407 vs. 481 | 1.25 [1.05–1.49] | * |
| IP3R2—Breast cancer recurrence data, 9 datasets from 7 authors | 1561; 1194 vs. 367 | 1.27 [1.05–1.53] | * |
| IP3R2—Breast Cancer Metabase:10 cohorts 22K genes | 1888; 1614 vs. 274 | 1.36 [1.11–1.67] | ** |
| IP3R1—Breast cancer recurrence data, 9 datasets from 7 authors | 1561; 842 vs. 719 | 1.43 [1.21–1.69] | *** |
| IP3R1—Breast Cancer Metabase:10 cohorts 22K genes | 1888; 1113 vs. 775 | 1.48 [1.27–1.73] | *** |
Publisher’s Note: MDPI stays neutral with regard to jurisdictional claims in published maps and institutional affiliations. |
© 2022 by the authors. Licensee MDPI, Basel, Switzerland. This article is an open access article distributed under the terms and conditions of the Creative Commons Attribution (CC BY) license (https://creativecommons.org/licenses/by/4.0/).
Share and Cite
Foulon, A.; Rybarczyk, P.; Jonckheere, N.; Brabencova, E.; Sevestre, H.; Ouadid-Ahidouch, H.; Rodat-Despoix, L. Inositol (1,4,5)-Trisphosphate Receptors in Invasive Breast Cancer: A New Prognostic Tool? Int. J. Mol. Sci. 2022, 23, 2962. https://doi.org/10.3390/ijms23062962
Foulon A, Rybarczyk P, Jonckheere N, Brabencova E, Sevestre H, Ouadid-Ahidouch H, Rodat-Despoix L. Inositol (1,4,5)-Trisphosphate Receptors in Invasive Breast Cancer: A New Prognostic Tool? International Journal of Molecular Sciences. 2022; 23(6):2962. https://doi.org/10.3390/ijms23062962
Chicago/Turabian StyleFoulon, Arthur, Pierre Rybarczyk, Nicolas Jonckheere, Eva Brabencova, Henri Sevestre, Halima Ouadid-Ahidouch, and Lise Rodat-Despoix. 2022. "Inositol (1,4,5)-Trisphosphate Receptors in Invasive Breast Cancer: A New Prognostic Tool?" International Journal of Molecular Sciences 23, no. 6: 2962. https://doi.org/10.3390/ijms23062962
APA StyleFoulon, A., Rybarczyk, P., Jonckheere, N., Brabencova, E., Sevestre, H., Ouadid-Ahidouch, H., & Rodat-Despoix, L. (2022). Inositol (1,4,5)-Trisphosphate Receptors in Invasive Breast Cancer: A New Prognostic Tool? International Journal of Molecular Sciences, 23(6), 2962. https://doi.org/10.3390/ijms23062962

