Characteristics of Crosslinking Polymers Play Major Roles in Improving the Stability and Catalytic Properties of Immobilized Thermomyces lanuginosus Lipase
Abstract
:1. Introduction
2. Results and Discussion
2.1. Adsorption Process
2.1.1. Influence of Different Factors on the Adsorption Process
2.1.2. Adsorption Kinetic and Isotherm Analysis
2.2. Efficiency of Various Modifications
2.2.1. The Efficiency of Physical Coating
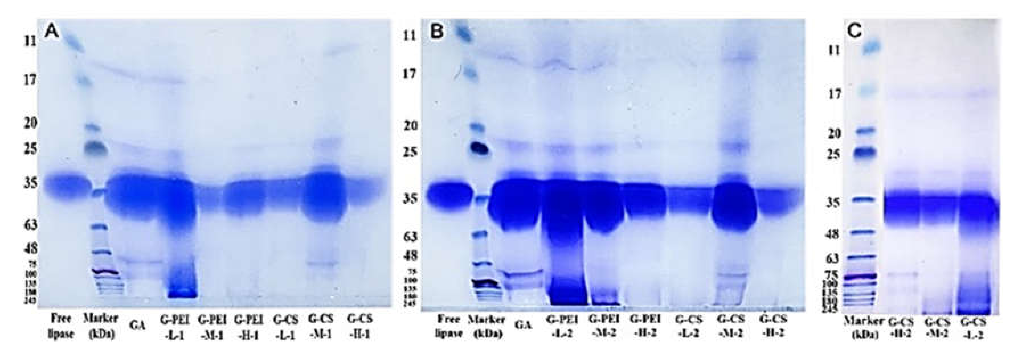
2.2.2. The Efficiency of Chemical Crosslinking
2.3. Characterization of Immobilized Lipase with Various Modifications
2.4. Hydrolytic Activity and Esterification Capacity
2.4.1. Hydrolytic Activity towards Different Substrates
2.4.2. Esterification Capacity
2.5. Stability and Reusability Analysis
3. Materials and Methods
3.1. Materials
3.2. Adsorption of Lipase
3.3. Modifications of Physically Adsorbed Lipase
3.4. Lipase Catalyzed Reactions
3.4.1. Hydrolytic Reactions
3.4.2. Esterification Reactions
3.5. SDS-PAGE Analysis of Chemically Crosslinked Samples
3.6. Characterization of Immobilized Lipase Preparations
3.7. Stability and Reusability Evaluation
3.8. Statistical Analysis
4. Conclusions
Supplementary Materials
Author Contributions
Funding
Institutional Review Board Statement
Informed Consent Statement
Data Availability Statement
Acknowledgments
Conflicts of Interest
References
- Coelho, A.L.S.; Orlandelli, R.C. Immobilized microbial lipases in the food industry: A systematic literature review. Crit. Rev. Food Sci. Nutr. 2020, 61, 1689–1703. [Google Scholar] [CrossRef] [PubMed]
- Mehta, A.; Guleria, S.; Sharma, R.; Gupta, R. The lipases and their applications with emphasis on food industry. In Microbial Biotechnology in Food and Health; Elsevier: Amsterdam, The Netherlands, 2021; pp. 143–164. [Google Scholar]
- Ortiz, C.; Ferreira, M.L.; Barbosa, O.; dos Santos, J.C.S.; Rodrigues, R.C.; Berenguer-Murcia, Á.; Briand, L.E.; Fernandez-Lafuente, R. Novozym 435: The “perfect” lipase immobilized biocatalyst? Catal. Sci. Technol. 2019, 9, 2380–2420. [Google Scholar] [CrossRef] [Green Version]
- Arana-Peña, S.; Rios, N.S.; Carballares, D.; Gonçalves, L.R.B.; Fernandez-Lafuente, R. Immobilization of lipases via interfacial activation on hydrophobic supports: Production of biocatalysts libraries by altering the immobilization conditions. Catal. Today 2021, 362, 130–140. [Google Scholar] [CrossRef]
- Rodrigues, R.C.; Virgen-Ortiz, J.J.; Dos Santos, J.C.S.; Berenguer-Murcia, A.; Alcantara, A.R.; Barbosa, O.; Ortiz, C.; Fernandez-Lafuente, R. Immobilization of lipases on hydrophobic supports: Immobilization mechanism, advantages, problems, and solutions. Biotechnol. Adv. 2019, 37, 746–770. [Google Scholar] [CrossRef] [PubMed] [Green Version]
- Barbosa, O.; Ortiz, C.; Berenguer-Murcia, Á.; Torres, R.; Rodrigues, R.C.; Fernandez-Lafuente, R. Glutaraldehyde in bio-catalysts design: A useful crosslinker and a versatile tool in enzyme immobilization. RSC Adv. 2014, 4, 1583–1600. [Google Scholar] [CrossRef] [Green Version]
- Virgen-Ortiz, J.J.; Dos Santos, J.C.S.; Berenguer-Murcia, A.; Barbosa, O.; Rodrigues, R.C.; Fernandez-Lafuente, R. Polyethylenimine: A very useful ionic polymer in the design of immobilized enzyme biocatalysts. J. Mater. Chem. B 2017, 5, 7461–7490. [Google Scholar] [CrossRef] [Green Version]
- Fernandez-Lopez, L.; Pedrero, S.G.; Lopez-Carrobles, N.; Virgen-Ortíz, J.J.; Gorines, B.C.; Otero, C.; Fernandez-Lafuente, R. Physical crosslinking of lipase from Rhizomucor miehei immobilized on octyl agarose via coating with ionic polymers. Process. Biochem. 2017, 54, 81–88. [Google Scholar] [CrossRef]
- Virgen-Ortiz, J.J.; Pedrero, S.G.; Fernandez-Lopez, L.; Lopez-Carrobles, N.; Gorines, B.C.; Otero, C.; Fernandez-Lafuente, R. Desorption of Lipases Immobilized on Octyl-Agarose Beads and Coated with Ionic Polymers after Thermal Inactivation. Stronger Adsorption of Polymers/Unfolded Protein Composites. Molecules 2017, 22, 91. [Google Scholar] [CrossRef] [Green Version]
- Villalba, M.; Verdasco-Martin, C.M.; Dos Santos, J.C.; Fernandez-Lafuente, R.; Otero, C. Operational stabilities of different chemical derivatives of Novozym 435 in an alcoholysis reaction. Enzyme Microb. Technol. 2016, 90, 35–44. [Google Scholar] [CrossRef]
- Wilson, L.; Fernández-Lorente, G.; Fernández-Lafuente, R.; Illanes, A.; Guisán, J.M.; Palomo, J.M. CLEAs of lipases and poly-ionic polymers: A simple way of preparing stable biocatalysts with improved properties. Enzyme Microb. Technol. 2006, 39, 750–755. [Google Scholar] [CrossRef]
- Pan, J.; Kong, X.-D.; Li, C.-X.; Ye, Q.; Xu, J.-H.; Imanaka, T. Crosslinking of enzyme coaggregate with polyethyleneimine: A simple and promising method for preparing stable biocatalyst of Serratia marcescens lipase. J. Mol. Catal. B Enzym. 2011, 68, 256–261. [Google Scholar] [CrossRef]
- Rafiee, F.; Rezaee, M. Different strategies for the lipase immobilization on the chitosan based supports and their applications. Int. J. Biol. Macromol. 2021, 179, 170–195. [Google Scholar] [CrossRef] [PubMed]
- Migneault, I.; Dartiguenave, C.; Bertrand, M.J.; Waldron, K.C. Glutaraldehyde: Behavior in aqueous solution, reaction with proteins, and application to enzyme crosslinking. Biotechniques 2004, 37, 798–802. [Google Scholar] [CrossRef] [PubMed]
- Silveira, E.A.; Moreno-Perez, S.; Basso, A.; Serban, S.; Mamede, R.P.; Tardioli, P.W.; Farinas, C.S.; Rocha-Martin, J.; Fernandez-Lorente, G.; Guisan, J.M. Modulation of the regioselectivity of Thermomyces lanuginosus lipase via biocatalyst engineering for the Ethanolysis of oil in fully anhydrous medium. BMC Biotechnol. 2017, 17, 88. [Google Scholar] [CrossRef] [PubMed] [Green Version]
- Urrutia, P.; Arrieta, R.; Alvarez, L.; Cardenas, C.; Mesa, M.; Wilson, L. Immobilization of lipases in hydrophobic chitosan for selective hydrolysis of fish oil: The impact of support functionalization on lipase activity, selectivity and stability. Int. J. Biol. Macromol. 2018, 108, 674–686. [Google Scholar] [CrossRef]
- Barbosa, O.; Torres, R.; Ortiz, C.; Fernandez-Lafuente, R. The slow-down of the CALB immobilization rate permits to control the inter and intra molecular modification produced by glutaraldehyde. Process. Biochem. 2012, 47, 766–774. [Google Scholar] [CrossRef]
- Alves, M.D.; Aracri, F.M.; Cren, É.C.; Mendes, A.A. Isotherm, kinetic, mechanism and thermodynamic studies of adsorption of a microbial lipase on a mesoporous and hydrophobic resin. Chem. Eng. J. 2017, 311, 1–12. [Google Scholar] [CrossRef]
- Zaak, H.; Siar, E.-H.; Kornecki, J.F.; Fernandez-Lopez, L.; Pedrero, S.G.; Virgen-Ortíz, J.J.; Fernandez-Lafuente, R. Effect of immobilization rate and enzyme crowding on enzyme stability under different conditions. The case of lipase from Thermomyces lanuginosus immobilized on octyl agarose beads. Process. Biochem. 2017, 56, 117–123. [Google Scholar] [CrossRef]
- Blanco, R.M.; Terreros, P.; Muñoz, N.; Serra, E. Ethanol improves lipase immobilization on a hydrophobic support. J. Mol. Catal. B Enzym. 2007, 47, 13–20. [Google Scholar] [CrossRef]
- Fernandez-Lafuente, R. Lipase from Thermomyces lanuginosus: Uses and prospects as an industrial biocatalyst. J. Mol. Catal. B Enzym. 2010, 62, 197–212. [Google Scholar] [CrossRef]
- Grajales-Hernandez, D.; Armendariz-Ruiz, M.; Velasco-Lozano, S.; Lopez-Gallego, F.; Mateos-Diaz, J.C. Chitosan-based CLEAs from Aspergillus niger type A feruloyl esterase: High-productivity biocatalyst for alkyl ferulate synthesis. Appl. Microbiol. Biotechnol. 2020, 104, 10033–10045. [Google Scholar] [CrossRef] [PubMed]
- Mei, Y.; Miller, L.; Gao, W.; Gross, R.A. Imaging the Distribution and Secondary Structure of Immobilized Enzymes Using Infrared Microspectroscopy. Biomacromolecules 2003, 4, 70–74. [Google Scholar] [CrossRef] [PubMed]
- Verdasco-Martin, C.M.; Garcia-Verdugo, E.; Porcar, R.; Fernandez-Lafuente, R.; Otero, C. Selective synthesis of partial glycerides of conjugated linoleic acids via modulation of the catalytic properties of lipases by immobilization on different supports. Food Chem. 2018, 245, 39–46. [Google Scholar] [CrossRef] [PubMed]
- Rios, N.S.; Morais, E.G.; dos Galvao, W.S.; Neto, D.M.A.; dos Santos, J.C.S.; Bohn, F.; Correa, M.A.; Fechine, P.B.A.; Fernandez-Lafuente, R.; Goncalves, L.R.B. Further stabilization of lipase from Pseudomonas fluorescens immobilized on octyl coated nanoparticles via chemical modification with bifunctional agents. Int. J. Biol. Macromol. 2019, 141, 313–324. [Google Scholar] [CrossRef]
- Cejudo-Sanches, J.; Orrego, A.H.; Jaime-Mendoza, A.; Ghobadi, R.; Moreno-Perez, S.; Fernandez-Lorente, G.; Rocha-Martin, J.; Guisan, J.M. High stabilization of immobilized Rhizomucor miehei lipase by additional coating with hydrophilic crosslinked polymers: Poly-allylamine/Aldehyde–dextran. Process. Biochem. 2020, 92, 156–163. [Google Scholar] [CrossRef]
- Lokha, Y.; Arana-Pena, S.; Rios, N.S.; Mendez-Sanchez, C.; Goncalves, L.R.B.; Lopez-Gallego, F.; Fernandez-Lafuente, R. Modulating the properties of the lipase from Thermomyces lanuginosus immobilized on octyl agarose beads by altering the immobilization conditions. Enzyme Microb. Technol. 2020, 133, 109461–109469. [Google Scholar] [CrossRef]
- Pencreac’h, G.; Baratti, J.C. Comparison of hydrolytic activity in water and heptane for thirty-two commercial lipase preparations. Enzyme Microb. Technol. 2001, 28, 473–479. [Google Scholar] [CrossRef]
- Noro, J.; Castro, T.G.; Cavaco-Paulo, A.; Silva, C. Substrate hydrophobicity and enzyme modifiers play a major role in the activity of lipase from Thermomyces lanuginosus. Catal. Sci. Technol. 2020, 10, 5913–5924. [Google Scholar] [CrossRef]
- Kovalenko, G.A.; Perminova, L.V.; Beklemishev, A.B. Catalytic properties of recombinant Thermomyces lanuginosus lipase immobilized by impregnation into mesoporous silica in the enzymatic esterification of saturated fatty acids with aliphatic alcohols. React. Kinet. Mech. Catal. 2019, 128, 479–491. [Google Scholar] [CrossRef]
- Noro, J.; Cavaco-Paulo, A.; Silva, C. Chemically Modified Lipase from Thermomyces lanuginosus with Enhanced Esterification and Transesterification Activities. Chemcatchem 2021, 13, 4524–4531. [Google Scholar] [CrossRef]
- Martin, L.S.; Ceron, A.; Oliveira, P.C.; Zanin, G.M.; de Castro, H.F. Different organic components on silica hybrid matrices modulate the lipase inhibition by the glycerol formed in continuous transesterification reactions. J. Ind. Eng. Chem. 2018, 62, 462–470. [Google Scholar] [CrossRef]
- Šibalić, D.; Šalić, A.; Zelić, B.; Tran, N.N.; Hessel, V.; Tišma, M. A New Spectrophotometric Assay for Measuring the Hydrolytic Activity of Lipase from Thermomyces lanuginosus: A Kinetic Modeling. ACS Sustain. Chem. Eng. 2020, 8, 4818–4826. [Google Scholar] [CrossRef]
- Kiran, K.; Hari, S.K.; Babu, C.S. An esterification method for determination of lipase activity. Biotechnol. Lett. 2000, 22, 1511–1514. [Google Scholar] [CrossRef]









| Run | Factor A: LIPASE Concentration (mg/mL) | Factor B: Ethanol (%, v/v) | Factor C: NaCl (mol/L) | Factor D: Temperature (°C) | Factor E: pH | Response 1: Protein Loading Amount (mg/g Wet Support) | Response 2: Activity (U/g Wet Support) | Response 3: Specific Activity (U/mg Protein) | Immobilization Yield of Protein (%) | Immobilization Yield of Activity (%) | ΔG (kJ/mol) |
|---|---|---|---|---|---|---|---|---|---|---|---|
| 1 | 2.00 | 30.00 | 0.00 | 25 | 3 | 11.99 | 0.10 | 0.01 | 19.98 | 0.00 | −0.32 |
| 2 | 2.00 | 21.00 | 0.46 | 10 | 5 | 45.58 | 7939.23 | 174.20 | 75.96 | 32.26 | −2.54 |
| 3 | 0.10 | 21.00 | 1.00 | 40 | 8 | 3.03 | 297.20 | 97.95 | 101.14 | 18.14 | −4.78 |
| 4 | 0.10 | 0.00 | 1.00 | 25 | 8 | 3.02 | 886.66 | 244.96 | 100.65 | 45.36 | −5.42 |
| 5 | 2.00 | 21.00 | 0.46 | 10 | 5 | 42.71 | 12,542.20 | 293.69 | 71.18 | 54.39 | −2.73 |
| 6 | 0.10 | 0.00 | 0.39 | 40 | 3 | 2.41 | 360.78 | 149.66 | 80.35 | 27.72 | −7.09 |
| 7 | 2.00 | 30.00 | 0.00 | 25 | 3 | 12.24 | 0.10 | 0.01 | 20.40 | 0.00 | −0.37 |
| 8 | 1.04 | 18.45 | 1.00 | 10 | 3 | 5.66 | 185.85 | 32.83 | 18.10 | 6.08 | −0.77 |
| 9 | 1.05 | 12.00 | 0.00 | 40 | 5 | 27.89 | 11,969.30 | 429.09 | 88.55 | 79.46 | −4.07 |
| 10 | 2.00 | 0.00 | 1.00 | 25 | 5 | 54.30 | 9789.33 | 180.29 | 90.50 | 33.39 | −3.67 |
| 11 | 0.10 | 30.00 | 0.00 | 25 | 8 | 1.45 | 107.32 | 73.79 | 48.48 | 13.66 | −1.57 |
| 12 | 2.00 | 0.00 | 1.00 | 25 | 5 | 48.18 | 10,956.10 | 227.40 | 80.30 | 42.11 | −3.43 |
| 13 | 2.00 | 0.00 | 0.00 | 10 | 8 | 50.31 | 2970.71 | 59.05 | 83.85 | 10.94 | −3.28 |
| 14 | 1.04 | 18.45 | 1.00 | 10 | 3 | 7.77 | 1.96 | 0.25 | 24.83 | 0.05 | −0.48 |
| 15 | 2.00 | 0.00 | 0.00 | 10 | 8 | 48.35 | 3329.86 | 68.87 | 80.58 | 12.75 | −3.35 |
| 16 | 0.59 | 0.00 | 0.00 | 25 | 8 | 18.30 | 4298.99 | 234.94 | 102.68 | 43.51 | −5.37 |
| 17 | 1.92 | 4.50 | 0.50 | 40 | 3 | 27.99 | 0.10 | 0.00 | 48.49 | 0.00 | −1.47 |
| 18 | 0.10 | 30.00 | 0.60 | 10 | 5 | 2.25 | 248.77 | 110.72 | 74.90 | 20.50 | −2.69 |
| 19 | 0.94 | 30.00 | 0.41 | 40 | 3 | 0.90 | 0.10 | 0.11 | 3.20 | 0.02 | 0.06 |
| 20 | 2.00 | 30.00 | 1.00 | 40 | 8 | 14.51 | 0.10 | 0.01 | 24.18 | 0.00 | −0.53 |
| Modification | Sample Code | Additives | GA Concentration (%, v/v) | Time | |
|---|---|---|---|---|---|
| Molecular Weight (kDa)/Viscosity (cp) | Concentration (%, w/w) | ||||
| Physical coating | PEI-L-1 | 2 kDa | 30 | 0 | 60 min |
| PEI-L-2 | 0.5 | 60 min | |||
| PEI-L-3 | 0.5 | 24 h | |||
| PEI-M-1 | 25 kDa | 30 | 60 min | ||
| PEI-M-2 | 0.5 | 60 min | |||
| PEI-M-3 | 0.5 | 24 h | |||
| PEI-H-1 | 75 kDa | 30 | 60 min | ||
| PEI-H-2 | 0.5 | 60 min | |||
| PEI-H-3 | 0.5 | 24 h | |||
| CS-L | ≤2 kDa | 0.5 | 60 min | ||
| CS-M | 50–190 kDa | ||||
| CS-H | 200–800 cp | ||||
| Chemical crosslinking | GA | / | / | 1 | 15 min |
| G-PEI-L-1 | 2 kDa | 0.5 | 15 min | ||
| G-PEI-M-1 | 25 kDa | ||||
| G-PEI-H-1 | 75 kDa | ||||
| G-PEI-L-2 | 2 kDa | 0.5 | PEI coating for 45 min + GA crosslinking for 15 min | ||
| G-PEI-M-2 | 25 kDa | ||||
| G-PEI-H-2 | 75 kDa | ||||
| G-CS-L-1 | ≤2 kDa | 0.5 | 15 min | ||
| G-CS-M-1 | 50–190 kDa | ||||
| G-CS-H-1 | 200–800 cp | ||||
| G-CS-L-2 | ≤2 kDa | 0.5 | CS coating for 45 min + GA crosslinking for 15 min | ||
| G-CS-M-2 | 50–190 kDa | ||||
| G-CS-H-2 | 200–800 cp | ||||
Publisher’s Note: MDPI stays neutral with regard to jurisdictional claims in published maps and institutional affiliations. |
© 2022 by the authors. Licensee MDPI, Basel, Switzerland. This article is an open access article distributed under the terms and conditions of the Creative Commons Attribution (CC BY) license (https://creativecommons.org/licenses/by/4.0/).
Share and Cite
Mao, Y.; Cai, Z.; Zhou, C.; Lan, H.; Ye, X. Characteristics of Crosslinking Polymers Play Major Roles in Improving the Stability and Catalytic Properties of Immobilized Thermomyces lanuginosus Lipase. Int. J. Mol. Sci. 2022, 23, 2917. https://doi.org/10.3390/ijms23062917
Mao Y, Cai Z, Zhou C, Lan H, Ye X. Characteristics of Crosslinking Polymers Play Major Roles in Improving the Stability and Catalytic Properties of Immobilized Thermomyces lanuginosus Lipase. International Journal of Molecular Sciences. 2022; 23(6):2917. https://doi.org/10.3390/ijms23062917
Chicago/Turabian StyleMao, Yuhong, Zhenling Cai, Chenxi Zhou, Hangzhen Lan, and Xiuyun Ye. 2022. "Characteristics of Crosslinking Polymers Play Major Roles in Improving the Stability and Catalytic Properties of Immobilized Thermomyces lanuginosus Lipase" International Journal of Molecular Sciences 23, no. 6: 2917. https://doi.org/10.3390/ijms23062917
APA StyleMao, Y., Cai, Z., Zhou, C., Lan, H., & Ye, X. (2022). Characteristics of Crosslinking Polymers Play Major Roles in Improving the Stability and Catalytic Properties of Immobilized Thermomyces lanuginosus Lipase. International Journal of Molecular Sciences, 23(6), 2917. https://doi.org/10.3390/ijms23062917

